Ung th gan nguyªn ph¸t
B¸c sü NguyÔn Th¸i B×nh
Bé m«n Néi tæng hîp -§¹i häc Y Hµnéi
1. Đại cương
 Trên thế giới:
- Một trong bệnh ác tính phổ biến nhất
- Đứng thứ 5 đối với nam và thứ 9 với nữ
- Chẩn đoán khó, phát hiện muộn
- Tỷ lệ tử vong cao
- Tỷ lệ mắc khác nhau từng khu vực
- Nam/nữ: 3-4/1
 Tại Việt nam
- Khá phổ biến
- Đứng thứ 3 đối với nam và thứ 6 với nữ
2. Phân loại theo GPB
 Ung thư gan nguyên phát bao gồm 3 nhóm:
- Ung thư biểu mô: hay gặp nhất
- Ung thư tổ chức mô liên kết
- Thể hỗn hợp
 Ung thư biểu mô gan gồm
- Ung thư biểu mô tế bào gan (HCC): chiếm 90%
- Ung thư biểu mô đường mật trong gan
- Thể hỗn hợp tế bào gan-tế bào đường mật
- Ung thư biểu mô tuyến nang đường mật
- Ung thư biểu mô không biệt hóa
- U nguyên bào gan (hepatoblastoma)
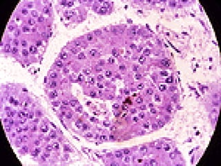
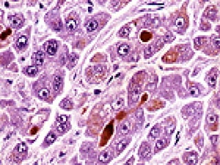
Giải phẫu bệnh của HCC
 Đại thể:
- Thể nốt: một nôt hoặc nhiều nốt KT < 5 cm
- Thể khối: khối > 5 cm, hay xâm lấn TMC
- Thể lan tỏa: lan tỏa khắp gan, KT to nhỏ
 Vi thể
- Thể bè
- Thể giả tuyến và tuyến nang
- Thể đảo
- Thể nhú
- Thể đặc
- Thể tế bào sáng
- Thể xơ
- Thể tế bào đa hình thái
- Thể dạng Sacom
3.BÖnh sinh
2.1.C¸c yÕu tè nguy c¬ x¸c ®Þnh cña HCC
-X¬ gan do bÊt kú nguyªn nh©n g×
-Viªm gan B m¹n
-Viªm gan C m¹n
-C¸c bÖnh chuyÓn ho¸: thiÕu 1antitrypsin, hemochromatosis
-C¸c t¸c nh©n g©y ung th; aflatoxin, thorotrast
2.2.C¸c yÕu tè nguy làm tăng kh¶ n¨ng cña HCC
-Rîu
-Hót thuèc l¸
-Dïng c¸c chÊt oestrogen hay steroid
- Thuốc trừ s©u, Digoxin…
3.ChÈn ®o¸n x¸c ®Þnh
3.1.Hoµn c¶nh ph¸t hiÖn bÖnh
- Theo dâi ®Þnh kú BN x¬ gan: AFP t¨ng, SA- khèi u
- TriÖu chøng:
+ §au HSP,
+ GÇy sót, mÖt mái, ch¸n ¨n
+ Cæ tríng, phï ch©n
+ Sê thÊy mét khèi HSP
+ XuÊt huyÕt tiªu hãa
- Ch¶y m¸u mµng bông do vì nh©n ung th: ®au bông d÷
déi, DMB cã m¸u, thiÕu m¸u.
- TriÖu chøng x¬ gan: HC suy TB gan+HC t¨ng ¸p lùc TM cöa
TriÖu chøng l©m sµng
1. Tuæi – giíi: trung niªn, nam > n÷
2. TriÖu chøng c¬ n¨ng
- §au HSP
- §µy bông
- Sót c©n – ch¸n ¨n
- XuÊt huyÕt tiªu hãa
- Vµng da
- §au x¬ng
- Sèt kÐo dµi
- Khã thë
TriÖu chøng l©m sµng
3. TriÖu chøng thùc thÓ:
- Gan to
- Héi chøng suy tÕ bµo gan
+ Vµng da, vµng m¾t
+ Sao m¹ch
+ XuÊt huyÕt díi da…
- Héi chøng t¨ng ¸p lùc TMC
+ L¸ch to
+ TuÇn hoµn bµng hÖ, gi·n TM trÜ
- Cæ tríng
TriÖu chøng l©m sµng
4. Mét sè thÓ l©m sµng vµ di c¨n xa
- C¬n ®au bông cÊp: nh©n K vì
- Vµng da t¾c mËt: khèi u x©m lÊn vµo ®êng
mËt hoÆc n»m ë rèn gan
- X©m lÊn vµo m¹ch m¸u: TMC, trªn gan…
- Héi chøng trung thÊt trªn: cã thÓ x©m lÊn vµo
TM chñ trªn hoÆc di c¨n h¹ch trung thÊt
- Di c¨n x¬ng: ®au trong x¬ng
- Di c¨n phæi
- Sèt kÐo dµi
Héi chøng cËn K
1. H¹ Glucose m¸u
2. T¨ng hång cÇu: Erythropoietin
3. T¨ng Calxi m¸u: Hormon cËn gi¸p
4. T¨ng mì m¸u
5. Mét sè biÓu hiÖn kh¸c
+ viªm tÜnh m¹ch di chuyÓn
+ biÕn ®æi sinh dôc
+ cêng gi¸p
+ viªm da c¬
+ bÖnh d©y thÇn kinh
+ bÖnh x¬ng ph× ®¹i…
3.ChÈn ®o¸n x¸c ®Þnh
3.3.Th¨m dß cËn l©m sµng
2.3.1.XÐt nghiÖm sinh ho¸
■ HC viªm
■ Th¨m dß chøc n¨ng gan:
+ Chøc n¨ng gan b×nh thêng (khèi u bÐ)
+ HC ø m©t: GGT, PA
■ HC cËn ung th
+ T¨ng hång cÇu
+ T¨ng nghÞch thêng yÕu tè V
+ Polyglobulie (6%)
+ Gi¶m ®êng m¸u
+ T¨ng canxi m¸u (3%)
3.ChÈn ®o¸n x¸c ®Þnh
■C¸c dÊu Ên khèi u
+AFP (80%): gÊp 2-3 lÇn, >500ng rÊt cã gi¸ trÞ
+DCP(Des – Gamma – Carboxy Prothrombin): 60%HCC ®Æc
biÖt lµ khi AFP (-)
2.3.2.C¸c xÐt nghiÖm th¨m dß h×nh th¸i
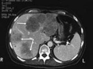
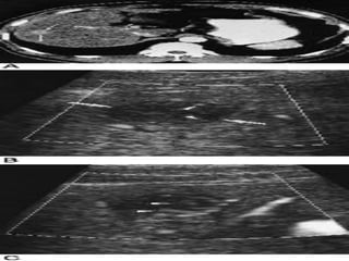
■Siªu ©m bông:
+Khèi u: ↓ ©m, ↑ ©m, hçn hîp ©m, quÇng halo
+X©m lÊn TM cöa, TM trªn gan
+D·n ®êng mËt trong gan ë phÝa trªn khèi u
■CT bông cã tiªm c¶n quang
+Tríc khi tiªm c¶n quang: khèi u ↓tû träng, canxi
ho¸ t¹i khèi u, x©m lÊn h¹ch, mµng bông
+Sau tiªm c¶n quang: khèi u ↑tû träng (t¨ng m¹ch
m¸u), x©m lÊn TM cöa vµ TM trªn gan
3.ChÈn ®o¸n x¸c ®Þnh
■MRI: khèi u tÝn hiÖu ë T1 vµ tÝn hiÖu ë T2
■Chôp §M gan:
+Tríc khi PT gan b¸n phÇn
+Trong ®iÒu trÞ ho¸ chÊt §M gan: Lipiodol cïng v¬Ý ho¸ chÊt
tån t¹i trong khèi u nhiÒu tuÇn, th¸ng; theo dâi sau ®iÒu trÞ.
■M« bÖnh häc: Chäc hót TB hay ST gan díi sù híng dÉn cña
siªu ©m hay CT
Chẩn đoán
Chẩn đoán sớm
3.ChÈn ®o¸n x¸c ®Þnh
*K gan/ gan lµnh: gan to, cøng, læn nhæn, to nhanh, §au
HSP møc ®é nhiÒu
-TriÖu chøng di c¨n: Phæi, TDMT, h¹ch
*K gan/ Gan x¬
-Cæ chíng dÞch tiÕt, cã m¸u
-Gan to, ®au
-GÇy sót nhiÒu
*Mét sè trêng hîp
-Gan to+ c¬n h¹ ®êng huyÕt
-Gan to+ Sèt
-Gan to kh«ng ®Òu, cøng
4.TiÕn triÓn vµ tiªn lîng
4.1.TiÕn triÓn 6-12 th¸ng sau khi ph¸t hiÖn bÖnh.
4.2.C¸c biÕn chøng
+X©m lÊn TM cöa, TM trªn gan → ↑ HC ¸p lùc TM cöa
→XHTH do vì TMTQ
+X©m lÊn vµo ®êng mËt trong gan, OMC → HC ø mËt, Ch¶y
m¸u ®êng mËt.
+Ch¶y m¸u mµng bông
+Di c¨n mµng bông
+X©m lÊn vµo c¬ hoµnh vµ mµng phæi
+Di c¨n xa: phæi, thîng thËn, x¬ng.
+NÆng thªm HC suy TB gan→ BÖnh n·o gan
Phân loại giai đoạn K gan
5.Nguyªn t¾c ®iÒu trÞ
5.1.§iÒu trÞ ngo¹i khoa
5.1.1.PT gan b¸n phÇn: khèi u nhá, kh«ng di c¨n, gan lµnh
hay x¬ gan møc ®é Ýt
5.1.2.PT gan toµn bé kÕt hîp víi thay gan
5.2.§iÒu trÞ néi khoa
5.2.1.Ho¸ chÊt theo ®êng §M gan
+Tiªm vµo §M gan hçn hîp:
ho¸ chÊt (anthracycline/cisplatin)
vµ chÊt g©y t¾c (Spongel/Lipiodol ultrafluid)
+Môc ®Ých: g©y ho¹i tö khèi u do thiÕu m¸u nu«I dìng
+CC§: x©m lÊn TM cöa
5.2.2,Tiªm cån vµo khèi u
+Nguyªn t¾c: tiªm cån tuyÖt ®èi vµo khèi u g©y ho¹i tö khèi
u
+ChØ ®Þnh: khèi u <5 cm, sè lîng <3 khèi
5.2.3.RF khèi u
+Nguyªn t¾c: dïng dßng ®iÒn víi sãng cao tÇn g©y ho¹i tö
khèi u
+ChØ ®Þnh: khèi u<5 cm, sè lîng < 3 khèi
5.2.4.Ho¸ chÊt theo ®êng toµn th©n (Cisplatinum): Ýt cã hiÖu
qu¶
5.2.5.Tia x¹: gi¶m ®au tèt, t¸c dông phô
5.2.4.§iÒu trÞ tr/c
Sơ đồ điều trị K gan

UNG THƯ GAN NGUYÊN PHÁT

  • 1.
    Ung th gannguyªn ph¸t B¸c sü NguyÔn Th¸i B×nh Bé m«n Néi tæng hîp -§¹i häc Y Hµnéi
  • 2.
    1. Đại cương Trên thế giới: - Một trong bệnh ác tính phổ biến nhất - Đứng thứ 5 đối với nam và thứ 9 với nữ - Chẩn đoán khó, phát hiện muộn - Tỷ lệ tử vong cao - Tỷ lệ mắc khác nhau từng khu vực - Nam/nữ: 3-4/1  Tại Việt nam - Khá phổ biến - Đứng thứ 3 đối với nam và thứ 6 với nữ
  • 3.
    2. Phân loạitheo GPB  Ung thư gan nguyên phát bao gồm 3 nhóm: - Ung thư biểu mô: hay gặp nhất - Ung thư tổ chức mô liên kết - Thể hỗn hợp  Ung thư biểu mô gan gồm - Ung thư biểu mô tế bào gan (HCC): chiếm 90% - Ung thư biểu mô đường mật trong gan - Thể hỗn hợp tế bào gan-tế bào đường mật - Ung thư biểu mô tuyến nang đường mật - Ung thư biểu mô không biệt hóa - U nguyên bào gan (hepatoblastoma)
  • 4.
    Giải phẫu bệnhcủa HCC  Đại thể: - Thể nốt: một nôt hoặc nhiều nốt KT < 5 cm - Thể khối: khối > 5 cm, hay xâm lấn TMC - Thể lan tỏa: lan tỏa khắp gan, KT to nhỏ  Vi thể - Thể bè - Thể giả tuyến và tuyến nang - Thể đảo - Thể nhú - Thể đặc - Thể tế bào sáng - Thể xơ - Thể tế bào đa hình thái - Thể dạng Sacom
  • 10.
    3.BÖnh sinh 2.1.C¸c yÕutè nguy c¬ x¸c ®Þnh cña HCC -X¬ gan do bÊt kú nguyªn nh©n g× -Viªm gan B m¹n -Viªm gan C m¹n -C¸c bÖnh chuyÓn ho¸: thiÕu 1antitrypsin, hemochromatosis -C¸c t¸c nh©n g©y ung th; aflatoxin, thorotrast 2.2.C¸c yÕu tè nguy làm tăng kh¶ n¨ng cña HCC -Rîu -Hót thuèc l¸ -Dïng c¸c chÊt oestrogen hay steroid - Thuốc trừ s©u, Digoxin…
  • 11.
    3.ChÈn ®o¸n x¸c®Þnh 3.1.Hoµn c¶nh ph¸t hiÖn bÖnh - Theo dâi ®Þnh kú BN x¬ gan: AFP t¨ng, SA- khèi u - TriÖu chøng: + §au HSP, + GÇy sót, mÖt mái, ch¸n ¨n + Cæ tríng, phï ch©n + Sê thÊy mét khèi HSP + XuÊt huyÕt tiªu hãa - Ch¶y m¸u mµng bông do vì nh©n ung th: ®au bông d÷ déi, DMB cã m¸u, thiÕu m¸u. - TriÖu chøng x¬ gan: HC suy TB gan+HC t¨ng ¸p lùc TM cöa
  • 12.
    TriÖu chøng l©msµng 1. Tuæi – giíi: trung niªn, nam > n÷ 2. TriÖu chøng c¬ n¨ng - §au HSP - §µy bông - Sót c©n – ch¸n ¨n - XuÊt huyÕt tiªu hãa - Vµng da - §au x¬ng - Sèt kÐo dµi - Khã thë
  • 13.
    TriÖu chøng l©msµng 3. TriÖu chøng thùc thÓ: - Gan to - Héi chøng suy tÕ bµo gan + Vµng da, vµng m¾t + Sao m¹ch + XuÊt huyÕt díi da… - Héi chøng t¨ng ¸p lùc TMC + L¸ch to + TuÇn hoµn bµng hÖ, gi·n TM trÜ - Cæ tríng
  • 14.
    TriÖu chøng l©msµng 4. Mét sè thÓ l©m sµng vµ di c¨n xa - C¬n ®au bông cÊp: nh©n K vì - Vµng da t¾c mËt: khèi u x©m lÊn vµo ®êng mËt hoÆc n»m ë rèn gan - X©m lÊn vµo m¹ch m¸u: TMC, trªn gan… - Héi chøng trung thÊt trªn: cã thÓ x©m lÊn vµo TM chñ trªn hoÆc di c¨n h¹ch trung thÊt - Di c¨n x¬ng: ®au trong x¬ng - Di c¨n phæi - Sèt kÐo dµi
  • 15.
    Héi chøng cËnK 1. H¹ Glucose m¸u 2. T¨ng hång cÇu: Erythropoietin 3. T¨ng Calxi m¸u: Hormon cËn gi¸p 4. T¨ng mì m¸u 5. Mét sè biÓu hiÖn kh¸c + viªm tÜnh m¹ch di chuyÓn + biÕn ®æi sinh dôc + cêng gi¸p + viªm da c¬ + bÖnh d©y thÇn kinh + bÖnh x¬ng ph× ®¹i…
  • 16.
    3.ChÈn ®o¸n x¸c®Þnh 3.3.Th¨m dß cËn l©m sµng 2.3.1.XÐt nghiÖm sinh ho¸ ■ HC viªm ■ Th¨m dß chøc n¨ng gan: + Chøc n¨ng gan b×nh thêng (khèi u bÐ) + HC ø m©t: GGT, PA ■ HC cËn ung th + T¨ng hång cÇu + T¨ng nghÞch thêng yÕu tè V + Polyglobulie (6%) + Gi¶m ®êng m¸u + T¨ng canxi m¸u (3%)
  • 17.
    3.ChÈn ®o¸n x¸c®Þnh ■C¸c dÊu Ên khèi u +AFP (80%): gÊp 2-3 lÇn, >500ng rÊt cã gi¸ trÞ +DCP(Des – Gamma – Carboxy Prothrombin): 60%HCC ®Æc biÖt lµ khi AFP (-) 2.3.2.C¸c xÐt nghiÖm th¨m dß h×nh th¸i ■Siªu ©m bông: +Khèi u: ↓ ©m, ↑ ©m, hçn hîp ©m, quÇng halo +X©m lÊn TM cöa, TM trªn gan +D·n ®êng mËt trong gan ë phÝa trªn khèi u ■CT bông cã tiªm c¶n quang +Tríc khi tiªm c¶n quang: khèi u ↓tû träng, canxi ho¸ t¹i khèi u, x©m lÊn h¹ch, mµng bông +Sau tiªm c¶n quang: khèi u ↑tû träng (t¨ng m¹ch m¸u), x©m lÊn TM cöa vµ TM trªn gan
  • 23.
    3.ChÈn ®o¸n x¸c®Þnh ■MRI: khèi u tÝn hiÖu ë T1 vµ tÝn hiÖu ë T2 ■Chôp §M gan: +Tríc khi PT gan b¸n phÇn +Trong ®iÒu trÞ ho¸ chÊt §M gan: Lipiodol cïng v¬Ý ho¸ chÊt tån t¹i trong khèi u nhiÒu tuÇn, th¸ng; theo dâi sau ®iÒu trÞ. ■M« bÖnh häc: Chäc hót TB hay ST gan díi sù híng dÉn cña siªu ©m hay CT
  • 29.
  • 30.
    3.ChÈn ®o¸n x¸c®Þnh *K gan/ gan lµnh: gan to, cøng, læn nhæn, to nhanh, §au HSP møc ®é nhiÒu -TriÖu chøng di c¨n: Phæi, TDMT, h¹ch *K gan/ Gan x¬ -Cæ chíng dÞch tiÕt, cã m¸u -Gan to, ®au -GÇy sót nhiÒu *Mét sè trêng hîp -Gan to+ c¬n h¹ ®êng huyÕt -Gan to+ Sèt -Gan to kh«ng ®Òu, cøng
  • 31.
    4.TiÕn triÓn vµtiªn lîng 4.1.TiÕn triÓn 6-12 th¸ng sau khi ph¸t hiÖn bÖnh. 4.2.C¸c biÕn chøng +X©m lÊn TM cöa, TM trªn gan → ↑ HC ¸p lùc TM cöa →XHTH do vì TMTQ +X©m lÊn vµo ®êng mËt trong gan, OMC → HC ø mËt, Ch¶y m¸u ®êng mËt. +Ch¶y m¸u mµng bông +Di c¨n mµng bông +X©m lÊn vµo c¬ hoµnh vµ mµng phæi +Di c¨n xa: phæi, thîng thËn, x¬ng. +NÆng thªm HC suy TB gan→ BÖnh n·o gan
  • 32.
    Phân loại giaiđoạn K gan
  • 33.
    5.Nguyªn t¾c ®iÒutrÞ 5.1.§iÒu trÞ ngo¹i khoa 5.1.1.PT gan b¸n phÇn: khèi u nhá, kh«ng di c¨n, gan lµnh hay x¬ gan møc ®é Ýt 5.1.2.PT gan toµn bé kÕt hîp víi thay gan 5.2.§iÒu trÞ néi khoa 5.2.1.Ho¸ chÊt theo ®êng §M gan +Tiªm vµo §M gan hçn hîp: ho¸ chÊt (anthracycline/cisplatin) vµ chÊt g©y t¾c (Spongel/Lipiodol ultrafluid) +Môc ®Ých: g©y ho¹i tö khèi u do thiÕu m¸u nu«I dìng +CC§: x©m lÊn TM cöa
  • 43.
    5.2.2,Tiªm cån vµokhèi u +Nguyªn t¾c: tiªm cån tuyÖt ®èi vµo khèi u g©y ho¹i tö khèi u +ChØ ®Þnh: khèi u <5 cm, sè lîng <3 khèi 5.2.3.RF khèi u +Nguyªn t¾c: dïng dßng ®iÒn víi sãng cao tÇn g©y ho¹i tö khèi u +ChØ ®Þnh: khèi u<5 cm, sè lîng < 3 khèi 5.2.4.Ho¸ chÊt theo ®êng toµn th©n (Cisplatinum): Ýt cã hiÖu qu¶ 5.2.5.Tia x¹: gi¶m ®au tèt, t¸c dông phô 5.2.4.§iÒu trÞ tr/c
  • 46.
    Sơ đồ điềutrị K gan