Trauma Grand Round

“The PELVIS”
April 2016
Fran O’Keeffe
Joseph Mathew
Case 1
41 y/o male
Working under bus, bus driven, pt dragged 150m
At scene:
Unrecordable BP then SBP 70
GCS 15
En route:
5L N.Saline, Ketamine
R pneumocath (poor Sats, reduced a/e right)
Pelvic binder
MTP ACTIVATED
On arrival…
A Maintaining
B Sats 99% on 15L Oxygen
• R pneumocath
C sBP 80, HR 130
• 2 x 18G
D GCS 14
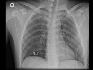
E Massive truncal abrasions/degloving
Large scalp wound
Arch Surg. 2012;147(9):813-818. Published online May 21, 2012
Cameron’s Textbook of Adult Emergency Medicine, 4e, Fitzgerald et al, Chest Trauma
Resus
Intubation
Bilateral ICC’s
Right Lower Limb splint
Scalp wound closure
IDC insertion – frank blood
6 x PRBCs, 2 x FFP, 1 x Plat
– Transient responder, ++ blood dependent
– sBP 90 ! 120 ! 70
– R Subclavian MAC line
! To CT
pH 7.1
Base Excess -10
Bicarbonate 19 (24)
INR 1.4
Lactate 6.9 (<2)
Initial binary decision tree for pleural decompression, Fitzgerald et al,
Pleural decompression and drainage during trauma reception and resuscitation.
Injury 2008;39:9-20
Resus
Intubation
Bilateral ICC’s
Right Lower Limb splint
Scalp wound closure
IDC insertion – frank blood
6 x PRBCs, 2 x FFP, 1 x Plat
Transient responder, ++ blood dependent
sBP 90 ! 120 ! 70
R Subclavian MAC line
! To CT
pH 7.1
Base Excess -10
Bicarbonate 19 (24)
INR 1.4
Lactate 6.9 (<2)
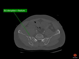
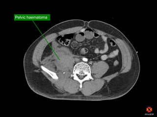
Pelvic haematoma
SIJ disruption + fracture
CT scan
Extraperitoneal
bladder rupture
with contrast leak
OT
Pelvic Ex-Fix
NOF fixation
Tib/Fib IM Nail
Overnight in ICU- tachycardia/low BP
Rpt CT Abdo: progression pelvic haematoma
Blush = Arterial Bleed
Angio-embolisation
Theatre if fails
Case 2
21 y/o male
Fall from 4th floor balcony (drugs/ETOH)
At scene: HR 120, sBP 120. GCS 3 ! 14
En route: Binder applied
? MTP
On arrival…
A Maintaining
B Sats 98% on 15L Oxygen
C sBP 110, HR 110
• eFAST +ve R PTx, abdomen
• Binder
D GCS 15
E Obvious bilateral closed femur #s
R LL: short + ER
Resus
05.00 – 06.30
R ICC
RIC Line and Art Line
Intubation
4 x PRBC, 2 x Plat
! Taken to CT…
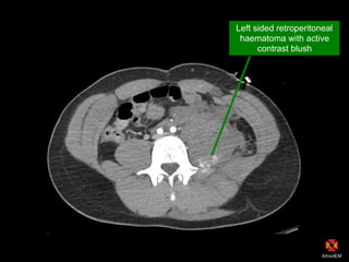
Left sided retroperitoneal
haematoma with active
contrast blush
CT findings
Head
Parafalcine and tentorium SDH, SAH
4mm midline shift
Chest
Bilat Ptx (L = no ICC)
Abdo/Pelvis
Vertical shear pelvic # (symphysis disruption)
Active blush small bowel mesentery
Pelvic haematoma (bladder compression)
Pelvic blush at pubic symphysis
Psoas haematoma with active blush (L4/5)
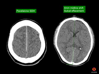
Parafalcine SDH
4mm midline shift
Sulcal effacement
CT findings
Head
Parafalcine and tentorium SDH, SAH
4mm midline shift
Chest
Bilat Ptx (L = no ICC)
Abdo/Pelvis
Vertical shear pelvic # (symphysis disruption)
Active blush small bowel mesentery
Pelvic haematoma (bladder compression)
Pelvic blush at pubic symphysis
Psoas haematoma with active blush (L4/5)
Angio + IVC filter
Lumbar artery embolisation
AV fistula left internal iliac-embolisation
OT
Pelvic ex-fix
Laparotomy (colic artery repair)
– 300ml blood
Left NOF
Femur ex-fix (concern for fat emboli)
EVD insertion
Total MTP = 18 PRBC, 11 FFP, 4 Plat, 2 Cryoprecipitate
CT findings
Head
Parafalcine and tentorium SDH, SAH
4mm midline shift
Chest
Bilat Ptx (L = no ICC)
Abdo/Pelvis
Vertical shear pelvic # (symphysis disruption)
Active blush small bowel mesentery
Pelvic haematoma (bladder compression)
Pelvic blush at pubic symphysis
Psoas haematoma with active blush (L4/5)
Angio + IVC filter
Lumbar artery embolisation
AV fistula left internal iliac-embolisation
OT
Pelvic ex-fix
Laparotomy (colic artery repair)
– 300ml blood
Left NOF
Femur ex-fix (concern for fat emboli)
EVD insertion
Total MTP = 18 PRBC, 11 FFP, 4 Plat, 2 Cryoprecipitate
pH 7.45
Base Excess 2
Bicarbonate 26 (24)
INR 1.3
Lactate 3.2 (<2)
Thank you

Trauma Grand Round - Pelvis

  • 1.
    Trauma Grand Round
 “ThePELVIS” April 2016 Fran O’Keeffe Joseph Mathew
  • 2.
    Case 1 41 y/omale Working under bus, bus driven, pt dragged 150m At scene: Unrecordable BP then SBP 70 GCS 15 En route: 5L N.Saline, Ketamine R pneumocath (poor Sats, reduced a/e right) Pelvic binder
  • 3.
  • 4.
    On arrival… A Maintaining BSats 99% on 15L Oxygen • R pneumocath C sBP 80, HR 130 • 2 x 18G D GCS 14 E Massive truncal abrasions/degloving Large scalp wound
  • 5.
    Arch Surg. 2012;147(9):813-818.Published online May 21, 2012
  • 6.
    Cameron’s Textbook ofAdult Emergency Medicine, 4e, Fitzgerald et al, Chest Trauma
  • 9.
    Resus Intubation Bilateral ICC’s Right LowerLimb splint Scalp wound closure IDC insertion – frank blood 6 x PRBCs, 2 x FFP, 1 x Plat – Transient responder, ++ blood dependent – sBP 90 ! 120 ! 70 – R Subclavian MAC line ! To CT pH 7.1 Base Excess -10 Bicarbonate 19 (24) INR 1.4 Lactate 6.9 (<2)
  • 10.
    Initial binary decisiontree for pleural decompression, Fitzgerald et al, Pleural decompression and drainage during trauma reception and resuscitation. Injury 2008;39:9-20
  • 11.
    Resus Intubation Bilateral ICC’s Right LowerLimb splint Scalp wound closure IDC insertion – frank blood 6 x PRBCs, 2 x FFP, 1 x Plat Transient responder, ++ blood dependent sBP 90 ! 120 ! 70 R Subclavian MAC line ! To CT pH 7.1 Base Excess -10 Bicarbonate 19 (24) INR 1.4 Lactate 6.9 (<2)
  • 12.
  • 13.
  • 14.
  • 15.
    OT Pelvic Ex-Fix NOF fixation Tib/FibIM Nail Overnight in ICU- tachycardia/low BP Rpt CT Abdo: progression pelvic haematoma
  • 16.
    Blush = ArterialBleed Angio-embolisation Theatre if fails
  • 20.
    Case 2 21 y/omale Fall from 4th floor balcony (drugs/ETOH) At scene: HR 120, sBP 120. GCS 3 ! 14 En route: Binder applied
  • 21.
  • 22.
    On arrival… A Maintaining BSats 98% on 15L Oxygen C sBP 110, HR 110 • eFAST +ve R PTx, abdomen • Binder D GCS 15 E Obvious bilateral closed femur #s R LL: short + ER
  • 25.
    Resus 05.00 – 06.30 RICC RIC Line and Art Line Intubation 4 x PRBC, 2 x Plat ! Taken to CT…
  • 26.
    Left sided retroperitoneal haematomawith active contrast blush
  • 28.
    CT findings Head Parafalcine andtentorium SDH, SAH 4mm midline shift Chest Bilat Ptx (L = no ICC) Abdo/Pelvis Vertical shear pelvic # (symphysis disruption) Active blush small bowel mesentery Pelvic haematoma (bladder compression) Pelvic blush at pubic symphysis Psoas haematoma with active blush (L4/5)
  • 29.
    Parafalcine SDH 4mm midlineshift Sulcal effacement
  • 30.
    CT findings Head Parafalcine andtentorium SDH, SAH 4mm midline shift Chest Bilat Ptx (L = no ICC) Abdo/Pelvis Vertical shear pelvic # (symphysis disruption) Active blush small bowel mesentery Pelvic haematoma (bladder compression) Pelvic blush at pubic symphysis Psoas haematoma with active blush (L4/5)
  • 31.
    Angio + IVCfilter Lumbar artery embolisation AV fistula left internal iliac-embolisation OT Pelvic ex-fix Laparotomy (colic artery repair) – 300ml blood Left NOF Femur ex-fix (concern for fat emboli) EVD insertion Total MTP = 18 PRBC, 11 FFP, 4 Plat, 2 Cryoprecipitate
  • 32.
    CT findings Head Parafalcine andtentorium SDH, SAH 4mm midline shift Chest Bilat Ptx (L = no ICC) Abdo/Pelvis Vertical shear pelvic # (symphysis disruption) Active blush small bowel mesentery Pelvic haematoma (bladder compression) Pelvic blush at pubic symphysis Psoas haematoma with active blush (L4/5)
  • 33.
    Angio + IVCfilter Lumbar artery embolisation AV fistula left internal iliac-embolisation OT Pelvic ex-fix Laparotomy (colic artery repair) – 300ml blood Left NOF Femur ex-fix (concern for fat emboli) EVD insertion Total MTP = 18 PRBC, 11 FFP, 4 Plat, 2 Cryoprecipitate pH 7.45 Base Excess 2 Bicarbonate 26 (24) INR 1.3 Lactate 3.2 (<2)
  • 34.