The Etiology of
Orthodontic
Problems
Malocclusion
cause
unknown
Normal
occlusion
Known
causes
Proffit WR, Henry WF JR. Contemporary Orthodontics. Fourth Edition. Masson 2007
Malocclusion is a developmental condition.	

Malocclusion and dentofacial deformity are caused not by some
pathologic process, but by moderate distortions of normal development
Altough is difficult to know the precise cause of most
malocclusions, we do know in general what the possibilities
are.!
!
We will examine etiologic factors for malocclusion:
• specific causes	

• hereditary influences	

• environmental
influences
SPECIFIC CAUSES
Disturbances in
Embryologic Development
1. genetic origin !
2. teratogens ( chemical and other
agents capable of producing
embryologic defects
Disturbances in Embryologic Development
Disturbances in embriologyc development usually result in
death of the embryo. 	

Less of 1% of orthodontic patients have a malocclusion
related to a disturbance in embryologic development
Teratogens affecting dentofacial development	

Aminopterin Anencephaly
Aspirin Cleft lip and palate
Cigarette smoke Cleft lip and palate
Cytomegalovirus Microcephaly, hydrocephaly
microphtalmiaDilantin Cleft lip and palate
Ethyl alcohol Central midface deficency
6-Mercaptopurine Cleft palate
13-cis Retinoic acid
Similar to craniofacial microsomia and
Treacher-Collins syndrome
Rubella virus Microphtalmia,cataracts, deafness
Thalidomide
Malformation similar to craniofacial
microsomia, Treacher-Collins
syndrome
Toxoplasma Microcephaly, hydrocephaly,
microphtalmiaX-radiation Microcephaly
Valium
Similar to craniofacial microsomia and
Treacher-Collins syndrome
Vitamin D excess Premature suture closure
Da Proffit WR,White RP, Sarver DM. Contemporary Treatment of Dentofacial Deformity. St. Louis: Mosby; 2003
There are five principal stages in craniofacial
development and effects on the developing face can
arise during each stage:
STAGE TIME IN HUMANS RELATED SYNDROMES
Germ layer formation and initial
organization of craniofacial
structures
Day 17 Fetal alcohol syndrome (FAS)
Neural tube formation and initial
formation of the oropharynnx
Day 18-23 Anencephaly
Origins, migrations, and
interactions of cell populations
(especially neural crest cells
Day 19-28
Craniofacial microsomia!
Mandibulofacial dysostosis (T-C
syndrome)
Formation of organ systems !
Primary palate!
Secondary palate
Day 28-38!
!
Day 42-55
Cleft lip and/or palate, other
facial clefts!
!
Cleft palate
Final differentiation of tissues Day 50 - birth
Achondroplasia!
Syn)ostosis syndromes ( e.g.
Crouzon’s, Apert’s
Disturbances in Embryologic Development
s. Treacher
Collins
CRANIOFACIAL
Microsomia
CLEFT LIP
CLEFT
PALATE
Cruzon
SYNDROME
Impairment of neural
crest cells migration
Loss of neural
crest cells
Fusion of nasal processes
disturbance lat and med
(VII weeks)
Incompleted fusion of the
secondary palate 	

(VII-VIII week)
Early sutures of the sutures
between the cranial and
facial bones
Mandibular and
maxillary deficit
Mandibular ramus and muscles
deficit (associated soft tissues)
external ear deformed
Midline cleft, on either or both
sides
60% + cleft lip 40% isolated
Deficiency of the midfacial
structures development (eyes and
maxilla)
The characteristic facial appearance of fetal alcohol syndrome (FAS),
caused by exposure to very high blood alcohol levels during the first
trimester of pregnancy.
Da Proffit WR,White RP, Sarver DM. Contemporary Treatment of Dentofacial Deformity. St. Louis: Mosby; 2003
The Treacher-Collins Syndrome is an autosomal dominant congenital disorder
with craniofacial deformities, such as absent cheekbones. A generalized lack
of mesenchymal tissue in the lateral part of the face is the major cause of
the characteristic facial appearance. Other features include downward
slanting eyes, micrognathia (small lower jaw), underdeveloped zygoma,
drooping part of lateral lower eyelids, malformed or absent ears, and
conductive hearing loss.
Hemifacial microsomia is the most common congenital syndrome with the exception of
Down Syndrome. Hemifacial microsomia occurs with a frequency of one in every 3,500 live
births.
Hemifacial microsomia can occur alone or with Goldenar Syndrome (a variant of hemifacial
microsomia, with the additional presence of benign eyeball or eyelid tumors). Most often,
hemifacial microsomia affects one side of the face (15 percent of the time it affects both
sides).
Hemifacial microsomia is also known as oral-mandibular-auricular syndrome, lateral facial
dysplasia, otomandibular dysostosis, or first and second brachial arch syndrome.
!
Hemifacial microsomia begins early in pregnancy, while the baby’s head and
face are developing. One side of the face grows at a slower rate than the other
side. From about six weeks of age and older, the affected side will become
more and more imbalanced, visible specifically in the jaw, mouth, outer and
inner ear, cheeks, and possibly the eyes. The growth rate difference continues
throughout childhood and adolescence
Hemifacial Microsomia Syndrome
Characteristics
Individuals with this syndrome are
typically characterized by the following
differences: 

• underdeveloped lower portion of face
(typically, affecting only one side) –
imbalanced facial appearance

• underdeveloped lower jaw

• underdeveloped ear/hearing problems
Additional characteristics that may be
present include:

• facial skin tags

• a smaller than normal or missing eye on
the affected side

• a smaller than normal or missing ear on
the affected side
Cleft Lip and Plalate CLAP
• The most common congenital defect involving the face
and jaws
• 1/750 (USA) 1/800 (Europe)
• more males than females
• unilateral cleft lip more common than bilateral
(Jensen et al.1988)
• Left side ++++++
(Jensen et al., 1988; Tolarova 1987)
Cleft lip is thought to result from failure of the fusion between the
medial nasal and maxillary processes in early gestation. The defect
usually occurs at the junction between the central and lateral
portions of the upper lip on either side. Cleft lip may be limited to the
upper lip or may extend into the alveolar ridge.!
!
Cleft palate results from partial or complete failure in the apposition
and fusion of the palatal shelves, which normally occurs between 8
and 12 weeks of gestation. Complete cleft palate denotes
involvement of the uvula, soft palate, and hard palate. !
!
Embriology of clefting
Frontal drawings of 4- to 5-week (A) and 5- to 6-week (B) embryos illustrate the progressive
displacement of the nasal sacs toward the midline as a result of medial growth of the maxillary
processes.
Som P , and Naidich T AJNR Am J Neuroradiol 2013;34:2233-2240
Clefting of the lip occurs because of a failure of fusion between the
median and lateral nasal processes and the maxillary prominence, which
normally occurs in human during the sixth week of development
Lateral nasal
Medial nasal
5th -7th week Medial nasal processes migrate toward each other and fuse
Anterior oblique drawing of a 5-week embryo (A) shows the further growth of the medial and lateral
nasal processes and the development of the nasal sac.
Som P , and Naidich T AJNR Am J Neuroradiol 2013;34:2233-2240
©2013 by American Society of Neuroradiology
Since the fusion of these
processes during primary palate
formation creates not only the lip
but the area of the alveolar ridge
containing the central and lateral
incisors, is likely that a notch in
the alveolar process will
accompany a cleft lip even if
there is no cleft of the secondary
palate
Cleft labial:unilateral/bilateral
Formation of the palate
• Primary Palate or
Premaxilla
Medial nasal processes
Upper incisors area
• Soft and Hard
Palate
6th -7th week As nasal pits of lateral nasal process invaginate
and fuse, intermaxillary process extends to form
primary palate
8th - 9th week
Medial walls of MAXILLARY
PROCESSES
produce
PALATINE SHELVES
Shelves grow downwards, parallel to lateral surface
of tongue
End of week 9, rotate upward
into a horizontal position and
fuse with each other and
primary palate to
FORM SECONDARY PALATE
Embryology of Clefting
Cleft palate:
•Growth of lateral palatine
processes, shelf elevation,
adherence and fusion
Factors that interfere with:
One hypothesis:
“lack of lip closure (cleft lip) leads to
overgrowth of the prolabial tissues, diverting
the tongue up into the nasal cavity in such a
way that the tongue delays movement of one
or both palatal shelves to the point that the
optimal time for fussion is lost” (Trasler, 1968)
Palate Cleft
Late fusion failure
8th - 9th week
Soft palate or uvula
Cleft Lip & Palate Variants
Early fusion failure
6th -7th week
Complete palate cleft
Cleft Lip & PalateVariants
COMBINED CLEFTS
Complete lip &/palate Unilateral
Cleft Lip & PalateVariants
Complete lip &/palate Bilateral
PROTRUDED PREMAXILLA
Rare form clefts:
Median (midline) clefts:“…result when there is
interference with neural crest cell flow into the
developing frontonasal process” (Poswillo, 1988)
Rare form clefts:
Lateral clefts: May result from the lack of normal
fusion between the maxillary and mandibular
processes.
Rare form clefts:
Oblique clefts: May result from lack of normal fusion
between the median and lateral nasal processes.
Epidemiology
• Isolated CLEFT PALATE genetically distinct from isolated CLEFT LIP OR CLAP
–same among all ethnic groups (1:2000, M:F 1:2)
–More assoc with Syndrome
• Isolated CL or CLAP
– different among ethnic groups
• American Indians: 3.6:1000 (M:F 2:1)
• Asians 3:1000 (M:F 2:1)
• African American 0.3:1000 (M:F 2:1)
• 20% CL (18% unilateral, 2% bilateral)
• 50% CL and CP (38% unilateral, 12% bilateral)
• 30 % CP alone
Epidemiology
• GENETICS (Clustering in families)
FAMILY MAKEUP RISK OF CLEFT LIP / PALATE RISK OF CLEFT PALATE
ONE AFFECTED SIBLING OR
PARENT
1 IN 25 (4%) 2.5%
TWO AFFECTED SIBLING 1 IN 11 (9%) 1%
ONE SIBLING AND ONE
PARENT
1 IN 6 (16%) 15%
Epidemiology
• SYNDROMIC CLAP
– associated with more than 300 malformations
• CHROMOSOMAL
– Trisomy 13, 18, 21 & Deletion 22q11 (Velocardiofacial Syndrome)
• NON MENDELIAN
– PIERRE ROBIN, Goldenhar
• MENDELIAN
– Corlin’s, Dysplasia-Clefting, Treacher-Collins, Van der Woude (AD)
– Smith-Lemli-Opitz (AR)
– Oto-Palato-digital, Oto-Palato-Facial (XL)
• UNKNOWN
– DeLarge , Kabuki
• TERATOGENIC
– Fetal Alcohol, Phenytoin, Valproate
• NONSYNDROMIC CLAP
• diagnosis of exclusion
• OVERALL INCIDENCE OF ASSOCIATED ANOMALIES (e.g. CARDIAC) = 30%
Genetics
● Disruption of an AP-2a binding site in an IRF6 enanched is
associated with cleft lip.(F.Rahimov, M.Malazita,A.Visel e
coll.)
Genetic factors contributing to cleft lip and cleft palate formation have been identified
for some syndromic cases, but knowledge about genetic factors that contribute to the
more common isolated cases of cleft lip/palate is still patchy.!
Many clefts run in families, even though in some cases there does not seem to be an
identifiable syndrome present, possibly because of the current incomplete genetic
understanding of midfacial development.!
A number of genes are involved including cleft lip and palate transmembrane protein
1 and GAD1one of the glutamate decarboxylases. Many genes are known to play a
role in craniofacial development and are being studied .
Genetics
• Single gene ( Syndromes):	

Treacher Collins syndrome,Velocardiofacial syndrome,
Stickler syndrome, EEC syndrome, van der Woude
syndrome), 	

!
Chromosome Disorders:	

	

Patau syndrome (trisomy 13)
Epidemiology
• RISK FACTORS
– PARENTAL AGE: >30yrs
– VIRAL INFECTIONS: Rubella
– TERATOGENS: Alcohol, Steroids, Anticonvulsants,
Retinoic acid derivatives
Nonsyndromic oral
clefts are among the
most common birth
defects, affecting
approximately 1 in
1000 Caucasian
newborns.
isolated CLAP : enviromental factors
• Smoke	

• Alcohol	

• Hyperthermia.	

• Hypoxia	

• Drugs: Steroids,Antiepileptic,
Vit A
Risk
● Folati
● Vit B6
● Vit B12
Protection
Principles of Management
• Multidisciplinary Approach
• These are not merely surgical problems
– Requires team approach throughout life
• neonatal period
• toddler
• grade school
• adolescence
• young adulthood
Principles of Management
Cleft Lip and Palate
MULTIDISCIPLINARY APPROACH
Beyond lip repair are other issues:
Hearing (Otolaryngologists)
Speech (Speech Pathologists / Therapist)
Dental (Periodontologist/Orthodontist / Prosthodontist/)
Maxillofacial Surgeons/
Psychosocial (Psychologist/ Psychiatrist/ Social Worker)
Geneticist
Integration with team-based approach
Each case is assessed independently by those involved and a global treatment plan is
instituted based on present need in his/her development
Nutrition (Nutritionist )
CLAP
!
• Plurality of factors	

• Teratogens	

• Single gene disorder	

• Cromosomic anomaly 	

• 50-70% non sindromyc origin	

• Race, ethnic group	

Asian e native Americans
Dental anomalies in Cleft lip and palate patients
• The incidence of dental anomalies is
54%(15% normal population)
• Missing teeth
• Supernumerary
• Enamel hypoplasia
• Morphology anomalies
• Impacted teeth (1
• Missing upper lateral incisor (30-50%)
Dental anomalies in Cleft lip and palate patients
Dental anomalies in Cleft lip and palate patients
⬥In deciduous dentition some teeth could be smaller in
the cleft side
⬥Males- laterale incisor and second molar
⬥Females - central and lateral incisors
!
⬥In permanent dentition always lateral incisor
congenitally missing
SPECIFIC CAUSES
Disturbances in
Embryologic Development
Growth Disturbances in the
Fetal and Perinatal period
Fetal Molding (Intrauterine compression)	

Trauma to the Mandible during the birth process	

Childhood Fractures of the Jaw
Growth Disturbances in the Fetal and Perinatal period
Fetal Molding
Midface deficiency in a 3-
year-old due to intrauterine
molding. Prior to birth, one
arm was pressed across the
face
Pierre Robin Sequence: a
tightly flexed head against
the chest in utero,
preventing the mandible to
growing forward normally
Growth Disturbances in the Fetal and Perinatal period
Pierre-Robin Sequence
• Small lower jaw
(micrognathia)
• A tongue which tens to ball
up at the back of the mouth
and fall back towards the
throat (glossoptosis)
• Breathing problems
• Horsehoe-shaped cleft
palate may or may not be
present
the reduced volume of the oral cavity can lead to respiratory
difficult at birth, and it may be necessary to perform a
tracheostomy so the infant can breathe
BIRTH TRAUMA TO THE MANDIBLE
At one time a common explanation for mandibular deficiency was
the use of forcipes in some difficult births, it was fought to damage
either or both TMJ ( high pressure-internal hemorrhage)	

!
The condylar cartilage is not critical for proper growth of the
mandible, severe class II are most likely to have a congenital syndrome
than a birth injuries
Growth Disturbances in the Fetal and Perinatal period
Condylar fracture (neck) in in early childhood
are very common. Fortunately the condylar
process tends to regenerate well. About 75% of
children have normal mandibular growth and do
not develop malocclusions. Often the diagnosis
was never made.
In the 5% of the condylar fracture cases we
find an asymmetric growth deficiency, with the
injuries side lagging behind, due to the scarring
around the TMJ that restrict translation of the
condyle, so the mandible cannot pulled forward as
much as the rest of the growing face
Growth Disturbances in the Fetal and Perinatal period
Childhood Fractures of the Jaw
The 7 year old girl has been glowing and developing normally. She had no
birth trauma. The child had regular dentist checkups twice a year and no
pathology was revealed.
For the first time the dentist payed attention to the deviation of the lower jaw to
the left when mouth opening in May 2013. The child was examined by
orthodontist at the same day and it was evaluated as functional disorder.
!
!
Then the child has grown up rapidly and parents noticed asymmetry of the face
The child does not have any complaints. She can open the mouth wide enough
and there is no discomfort in the left temporo-mandibular joint at all.
!
After questioning the child remembered that 2-3 years ago she had hit her chin
with the metal crossbar ladder. The impact was strong enough. But the parents
cannot confirm this.
Panoramic (reconstructed from CT)
The most likely diagnosis for the facial asymmetry of this young girl is an
undiagnosed condylar fracture that most likely happen when she falled on a meta
crossbar bar ladder 2 or 3 years ago while she was 4 - 5 years old or so. The
condylar stump has healed and a new condylar head has formed, but the losted
substance of the condyle is gone. Therfore, the height of the ramus has
shortened.
The left ramus and condylar neck are shorter and the left eminence has no slope
if any. Healing and normal growth had reshaped both condyle and eminence.
!
!
!
Read more
When looking to the condyle from an anterior view, one can see the oblong
shape of a condyle but the left condyle is smaller.
!
The midline are not coincident. Note that the lower midline is toward right like
the occlusal plane canting to the right. This can be explained by the lack of
heigh of the left ramus and as normal growth occur, there is a wagon wheel
effect and the midline deviate toward the normal side, the occlusal plane is
moving up on the affected side.
!
!
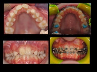
Hybrid functional appliance have to be used to correct the asymmetry.
The goal would be to disctract the left condyle from the fossa, create an open
bite in the left side to allow vertical dentoalveolar growth while restricting to
some extent the dentoalveolar growth with the bite plane in the left side.
!
Hybrid of bionator in the right side and Frankell II in the left side.
!
!
!
Hybrid of bionator in the right side and Frankell II in the left side.	

!
Other destructive processes that
involve the TM joint as rheumatoid
arthritis or a congenital absence of tissue
as in craniofacial microsomia also can
produce ASYMMETRY
Growth Disturbances in the Fetal and Perinatal period
Childhood Fractures of the Jaw
Juvenile Idiopathic Arthritis (JIA) leads to
micrognathia 	

Many other pediatric rheumatic disorders are associated
with arthritis (Systemic Lupus Erythematosus, myositis,
sarcoidosis, Sjogren, mixed connective tissue disease,
etc.)
• 50-75% of children with JIA develop TMJ arthritis.
• All subtypes of JIA develop TMJ arthritis.
• TMJ arthritis is frequently asymptomatic.
• Inflammation of the TMJ leads to growth plate arrest (micrognathia).
• MRI is the most sensitive modality for detecting TMJ arthritis.
• Intraarticular corticosteroid injection is effective treatment for TMJ
arthritis in JIA.
SPECIFIC CAUSES
Disturbances in
Embryologic Development
Growth Disturbances in the
Fetal and Perinatal period
Muscle Dysfunction
Muscle Dysfunction
1)The formation of bone at the point of
muscle attachments depends on the
activity of the muscle	

!
2)The musculature is an important part
of the soft tissue matrix whose growth
normally carries the jaws downward and
forward.
The facial muscles can affect jaw growth in two
ways:
Muscle Dysfunction
Idiopathic, birth injury, damage to the motor nerve
Underdevelopment of part of the face affected
LOSS OF PART OF THE MUSCOLATURE
Facial asymmetry in an 11-year-old boy whose masseter muscle was
largely missing on the left side.The muscle is an important part of the
total soft tissue matrix; in its absence growth of the mandible in the
affected area also is deficient.
Eccessive tonic
muscle activity	

(untreated congenital
torticollis)
Decrease in tonic
muscle activity 	

(muscolar dystrophy
and muscle
weakness
syndromes)
Facial Asymmetry
because of growth
restriction on the
affected side caused
by excessive tonic
contraction of the
neck muscles
Increased anterior face
height and excessive
eruption of posterior
teeth, narrowing of the
maxillary arch and
anterior open bite
Muscle Dysfunction
Muscle activity disorders
SPECIFIC CAUSES
Disturbances in
Embryologic Development
Growth Disturbances in the
Fetal and Perinatal period
Muscle Dysfunction Acromegaly
excessive amounts of growth hormone (GH)
Acromegaly
Caused by an anterior pituitary
tumor (98%)
Uncontrolled secretion GH and IGF-1
Orthodontic features:
skeletal III classe for excessive growth of
mandible in adult life that stops when the
tumor is removed or irradiated even if the
skeletal deformity persists and
orthognathic surgery to reposition the
mandible is needed
SPECIFIC CAUSES
Disturbances in
Embryologic Development
Growth Disturbances in the
Fetal and Perinatal period
Muscle Dysfunction Acromegaly
Hemimandibular
Hypertrophy
Hemimandibular Hypertrophy
Histology
!
Proliferation of the condylar cartilage
Rare disease that results from unilateral excessive growth of the mandible, involves both
the body and ramus of mandible and leads to facial asymmetry
Clinical signs
!
• Mandible deviation to the opposite side	

• Chin protrusion	

• Open bite on the affected side and cross bite in the
controlateral side
Surgery
!
Condilectomy of the affected side
Hemimandibular Hypertrophy
SPECIFIC CAUSES
Disturbances in
Embryologic Development
Growth Disturbances in the
Fetal and Perinatal period
Muscle Dysfunction Acromegaly
Hemimandibular
Hypertrophy
Disturbances of Dental
Development
Disturbances of Dental Development
Most of them are contributors to isolate Class I malocclusion
with some other eruption problems. such as early loss of
primary teeth. 	

Dental problems related to larger congenital or health
problems include:	

!
1. MISSING TEETH	

1. Anodontia: failure of teeth to develop (same as agenesis
of teeth) 	

2. Hypodontia: having less than 6 congenitally missing
teeth.(partial anodontia)	

3. Oligodontia: having 6 or more congenitally missing teeth	

!
ANODONTIA AND OLIGODONTIA
Manifestazioni cliniche
	

 •	

 Abnormal nails	

	

 •	

 Abnormal or missing teeth	

	

 •	

 Absent or decreased tears	

	

 •	

 Decreased skin color (pigment)	

	

 •	

 Heat intolerance	

	

 •	

 Inability to sweat	

	

 •	

 Large forehead	

	

 •	

 Lower than normal number of teeth	

	

 •	

 Low nasal bridge	

	

 •	

 Poor hearing	

	

 •	

 Poor temperature regulation	

	

 •	

 Poor vision	

	

 •	

 Thin, sparse hair	

	

 •	

 Thin skin	

Group of syndromes all deriving from abnormalities of the ectodermal structures (more than 150
different types), inherited disorders that involve defects in the hair, nails, sweat glands and teeth
The inheritance patterns are variable according to the specific type of ED. Patterns include:	

	

 •	

 spontaneous mutations	

	

 •	

 autosomal dominant	

	

 •	

 autosomal recessive	

	

 •	

 X-linked dominant	

	

 •	

 X-linked recessive	

Are usually associated with Ectodermal Dysplasia
III lower molar
II lower premolar
II upper premolar
Upper lateral incisor
Lower central incisor
Hypodontia
UNILATERAL OR BILATERAL MISSING TEETH
The care of patients with congenitally missing lateral incisors is best
achieved through a multi-disciplinary approach. 	

!
It was acknowledged that a number of treatment options are
available to the patient, including canine substitution, tooth-
supported restorations and implant-supported restorations. 	

!
Each offers a number of advantages and disadvantages, and there
remains a relatively weak evidence base for these decisions
CONGENITALLY MISSING LATERAL INCISORS
• Implants could be contraindicated in light of the patient’s medical history and/
or sustained smoking habit.	

• A 3D evaluation of the available bone using CBCT (or equivalent) is crucial
(Grunder U, Gracis S, Capelli M. Influence of the 3-D bone-to-implant relationship on esthetics. Int J
Periodontics Restorative Dent. 2005; 25:113–19)	

• Await skeletal maturity (JemtT,Ahlberg G, Henriksson K, Bondevik O. Changes of anterior clinical
crown height in patients provided with single-implant restorations after more than 15 years of follow-up. Int J
Prosthodont. 2006; 19:455–61).	

• Orthodontic treatment delayed as long as possible,	

• Taking account of the patient’s concerns.
• Appropriate retention was important, particularly following placement of a
resin-retained bridge if orthodontic treatment was undertaken ‘early’. (Kokich
VO, Kinzer GA, Janakievski J. Congentially missing maxillary lateral incisors: restorative replacement.Am J
Orthod Dentofacial Orthop. 2011; 139:435–45).	

• The presence of a gummy smile and a long face were considered
contraindications to implant placement. (Rosa M, Zachrisson BU.The space-closure
alternative for missing maxillary lateral incisors: an update. J Clin Orthod. 2010; 44:540–49).	

• The patient’s sporting activity should be taken account of in planning the type
of replacement.The preference was again to consider implant replacement in
the posterior regions of the dentition.	

• Consider the use of a minimal-length anterior implant to permit a ‘plan b’
option, such as corticotomy and distraction, should a significant degree of
infraocclusion take place.
Unilateral versus bilateral
missing laterals: treatment
aspects to take into
consideration.
Option 1. Extract the contra-lateral incisor and under- take
orthodontic space closure if the following conditions are present:	

!
1.There was a peg-shaped lateral incisor.An alternative option in the
presence of a ‘normal’ lateral incisor could be to extract the contra-
lateral second premolar.	

2. Crowding on the contra-lateral arch.	

3.A class II malocclusion.	

4. Deviation of the centre line towards the absent	

lateral incisor.
Unilateral versus bilateral missing laterals: treatment
aspects to take into consideration.
Option 2. A non-extraction approach could be considered to
either ‘open’ space if the following conditions are present:	

!
1. Class I buccal segment relationship bilaterally. 	

2. Inclination of the upper incisors is favourable to	

	

 proclination.	

3. Class III camouflage is appropriate. 	

4. Spaced upper arch.	

5. Lack of alveolar bone.
Unilateral versus bilateral missing laterals: treatment
aspects to take into consideration.
!
A non-extraction approach could be considered to either ‘close’
space if the following conditions are present:	

!
1. Class II buccal segment relationship on the side of the arch with
	

 the absent lateral incisor.	

2. Class II canine relationship on the side of the arch with the 	

 	

	

 absent lateral incisor.
Disturbances of Dental Development
!
!
2. SUPERNUMERARY TEETH	

!
!
!
!
!
Mesiodens - in the maxillary
medline
Lateral incisor
III premolar
IV molar
Supernumerary teeth (hyperdontia) are
additional number of teeth, over and above the
usual number for the dentition. Supernumerary
teeth occur as isolated events but are also
found in Gardner's syndrome, cleidocranial
dysostosis syndrome, and in cases of cleft
palate (or cleft lip).
Cleidocranial Dysplasia (CCD) is a rare congenital disorder of bone with an autosomal
dominant hereditary mode of inheritance. with complete penetrance, but variable expressivity.
This condition is characterized by clavicular aplasia or deficient formation of the clavicles,
delayed and imperfect ossification of the cranium, moderately short stature, and a variety of
other skeletal abnormalities. The principal oral manifestations are a delayed exfoliation of
primary teeth, delayed or multiple impactions of the permanent dentition, and multiple impacted
supernumerary teeth
SUPERNUMERARY TEETH
Cleidocranial Dysplasia
In children with CCD normal eruption is impeded by deficiency in resorption of
primary teeth and bone and also there is heavy fibrous gengiva and multiple
supernumerary teeth ( mechanical block to succedaneous theeth).	

It is usually autosomal dominant, but in some cases the cause is not known. It
occurs due to
called Runx2), located on the short arm of chromosome 6, which encodes
transcription factor required for osteoblast differentiation.The
instructions for making a protein that is involved in bone and cartilage development
and maintenance.
Cleidocranial Dysplasia
SUPERNUMERARY TEETH
Some clinicians classify
additional teeth according
to their morphology:
1) supernumerary teeth
and 2) supplemental
teeth. Supernumerary
teeth are small,
malformed extra teeth, for
example mesiodens,
distomolar and
paramolar. Supplemental
teeth are extra teeth of
normal morphology, for
example extra premolars
and lateral incisors.
Supernumerary teeth can be classified by shape and by
position
Size and shape close to the next one
103
If impacted they could be asymptomatic
Supernumerary teeth could
cause many prblem as
obstructing the path of eruption
of some permanent teeth like in
this example
FREQUENCY
0,15% to 3%
!
2 : 1 (+male)
!
90% premaxilla
CLASSIFICAtion
a. BY SHAPE 1. cone-shaped
2. tubercolated
3. supplemental
4. odontomi
b. BY POSITION
1. MESIODENS
2. PARAMOLAR 
3. DISTOMOLAR
MESIODENS
MESIODENS
Mesiodens (plural-mesiodentes) is a supernumerary tooth that
occurs in the anterior maxilla in the midline region near the
maxillary central incisors. There may be one or more
mesiodentes. The tooth crown may be cone-shaped with a short
root or may resemble the adjacent teeth. It may be erupted or
impacted, and occasionally inverted. Mesiodens is the most
common supernumerary tooth.
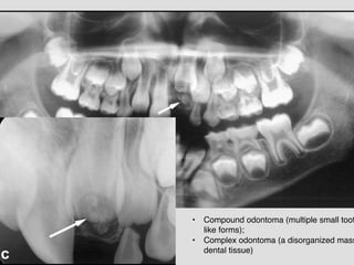
110
• Compound odontoma (multiple small toot
like forms);!
• Complex odontoma (a disorganized mass
dental tissue)
Fusion
Gemination
Tooth size discrepancy (about
5% pop) - disproportionate sizes
of upper and lower teeth
ABNORMALITIES IN TOOTH SHAPE AND SIZE
TOOTH SIZE
ANALYSIS
For good occlusion teeth must be
proportional in size.An anomaly in the
size ot the upper lateral incisors is the
most common cause, but variation in
premolars or other teeth may be
present. Occasionally, all the upper
teeth are too large or too small to fit
properly with the lower teeth
Two things to remember:	

1. An anomaly in the size ot the upper lateral incisors is the most
common cause of an altered Bolton index 	

2. The average size of upper and lower incisors
If the upper lateral
incisor size is the
same or less than
the lower
BI => 77.
If bigger than 7 mm,
BI = < 77.
In case of I Class canine relationship we will have different
situations:
Bolton <77% upper crowding Bolton >77% upper diastemata
OR
lower diastemas lower crowding
But usually nature doesn’t care about I class relationship so we
find :
Bolton <77% Bolton >77%
Ectopic eruption is a malposition
of a permanent tooth bud
resulting in the tooth erupting in
the wrong place.  The most
common areas are the maxillary
first molars, followed by the
maxillary cuspids.
ECTOPIC ERUPTION
FIRST MOLAR:	

Ectopic eruption is due to
mesial positioning or inclination
of the tooth into the second
primary molar.  This can result in
delay of eruption of the first
permanent molar and resorption
of the distal root of the second
primary molar. 
Treatment consists of:	

	

•	

 Placement of separating elastics, brass ligature wire
or orthodontic appliance to distalize the first
molar.	

	

•	

 Contour the distal of the second primary molar.	

	

•	

 Extraction of the second primary molar and
placement of a distalizing appliance.
Clinically, signs and symptoms of an ectopic eruption include:



•Visualization of a trapped mesial marginal ridge of the erupting molar	

• Asymmetrical development	

• Mesially tipped permanent molars	

• Prematurely mobile primary molar.	

The eruption can be assessed upon radiographic examination, either with bite-wing
radiographs or panoramic radiograph.	

Of all first permanent molar ectopic presentations, approximately 66 percent will self
correct. Some advise a three to six month observation period after early diagnosis to
allow for spontaneous self correction and subsequent normal eruption.
Anomalie dentarie
Space loss and arch contraction in the primary or
mixed dentition,
2nd deciduous molar loss = first molar mesial movement =
Posterior crowding for premolars = Space maintainers	

!
1st deciduous molar or canine loss = incisors distal
movements(lips and transseptal fibers) = Crowding e/o
unilateral asymmetry
Prevention = Less Carie = Less premature losss
primary teeth = Less crowding!!!!
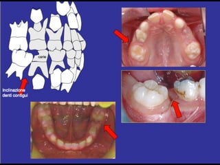
PREMATURE LOSS OF PRIMARY TEETH
2nd deciduous molar loss = first
molar mesial movement =
Posterior crowding for premolars
= Space maintainers
interproximal carious lesion
within a primary molar
Space maintainers
Trauma to a primary tooth that
displaces the permanent tooth bud
underlying it ( enamel defects or root
distortion)
The term dilaceration, describes an abrupt deviation
of the long axis of the crown or root portion of the
tooth.	

!
!
Direct damage to permanent:	

a) crown defect	

b) root damages 	

c) ankylosys	

d) tooth loss
TRAUMATIC DISPLACEMENT OF TEETH
Malocclusion
cause
unknown
Normal
occlusion
Known
causes
Proffit WR, Henry WF JR. Contemporary Orthodontics. Fourth Edition. Masson 2007
GENETIC
INFLUENCES
ENVIROMENTAL
INFLUENCES
Genetic Influences
There are inherited influences on the jaws and teeth.	

A malocclusion could be produced by inherited
characteristics on 2 major possibilities:
1) Inherited disproportion between the size of the
teeth and the size of the jaws 
2) Inherited disproportion betwwen the size or
shape of the upper and the lower jaws which
would cause improper occlusal relationship
Genetic Influences
Could a child inherit relatively
large teeth but a jaw too small
to accomodate them, or, for
instance, a large upper jaw
and a small lower one??
It seems to be unlikely
because dentofacial
characteristic tended to be
linked and are not inherited
independently
• Indipendent inheritance of
size of jaws and teeth
hypothesis
• Twin studies
• Family members studies
Genetic Influences
Stockard (1930): crossed a Boston
terrier (small upper jaw) with a Collie
(long lower jaw)
Severe malocclusion ( jaw discrepance more than
tooth size - jaw size imbalance His experiments
concluded that independent inheritance of facial
characteristics could be a major cause of malocclusion
and often the result of increased outbreeding.
primitive humans = genetic isolation
and uniformity = same dento-facial
characteristics inheritance
high prevalence of malocclusion in the
modern - “genetic melting pot”
Result of outbreeding in humans- Chung et
al (1971): large scale migration from Europe,
China and Japan to Hawaii ( homogeneous
Polinesian population)resulted in
heterogeneous modern population.
A misleading factor of many breeds of
small dogs is their gene for achondroplasia.
Animals or humans affected by this
condition have deficient growth of
cartilage.The result is extremely short
extremities and an underdeveloped
midface
Achrondroplasia is an autosomal dominant
trait.The unusual malocclusions produced
in Stockard's breeding experiments can be
explained, not on the basis of inherited jaw
size, but by the extent to which
achondroplasia was expressed in that
animal.
Malocclusion incidence did
not increase
Hypothesis that independently inherited tooth and jaw
characteristics are a major cause of malocclusion
Genetic Influences
LIMITS
- obtain twin pairs	

- estabilish zygosity	

- confirm that the environments were the same for both members of a twin pair
Lauweryns I, Carels C, Vlietinck R: The use of twins in dentofacial genetic research, Am J Orthod Dentofac Orthop 103:33-38, 1993. !
Corruccini RS, Townsend GC, Richards LC, Brown T: Genetic and environmental determinants of dental occlusal variation in twins of different nationalities, Human Biol 62:353-367, 1990.
Lauweryns et al: 40% of facial
variations that leads to malocclusion
can be referred to inherited factors	

!
Corruccini et al: the heritability for
some dentalcharacteristics such as
overjet is almost zero
MONOZYGOTIC TWINS STUDIES
By compared identical twins the proportion of the variability in that
characteristic due to heredity can be estimated
Influenze genetiche
Harris EF, Johnson MG: Heritability of craniometric and occlusal variables: a longitudinal sib analysis, Am J Orthod Dentofacial Orthop 99:258-268, 1991.
Harris e Johnson (1991): 	

!
- heritability of craniofacial
(SKELETAL) characteristics is
relatively HIGH	

!
- heritability of DENTALI
characteristics is LOW
Other classic method of estimating the influence
of heredity is to study family members
Influenze genetiche
Disarmony
Dental Skeletal
ENVIRONMENTAL
FACTORS
HEREDITARY
FACTORS
Mandibolar
Prognathism
Long Face
pattern
Malocclusion
cause
unknown
Normal
occlusion
Known
causes
Proffit WR, Henry WF JR. Contemporary Orthodontics. Fourth Edition. Masson 2007
GENETIC
INFLUENCES
ENVIROMENTAL
INFLUENCES
Environmental influences
FUNCTION
Forces
FORM
Tooth position
Size and shape of
jaws
DENTAL
EQUILIBRIUM
MAXILLARY
EQUILIBRIUM
Chewing
Swallowing
Speaking
Tongue	

Lips 	

Cheek
Oral
Habits
Orthodontics
Forces
PDL fibers
YES
alteration of
dentalequilibrium
NO
alteration of
dentalequilibrium
Forze intense
durata breve
Light forces
long duration
duration > 6h
intensity
independent
in case of
altered
morphologic
balance
Dental Equilibrium
Potential effects of
masticatory function
Equilibrium of jaws
Dental arches dimensions decreasing
could not be related only to dietary
changes, but also to hereditary factors
The different biting force is an effect rather
than a cause of malocclusion
deep bite =infra-erupted posterior teeth 	

open bite =supra-erupted posterior teeth
There are no differences between children
with long faces and normal faces, the
differences arise after puberty
Biting Force and Eruption,
short and long face
problems
2
Pressures generated by chewing
don’t affect the shape of the jaws,
but change bone density most of
all soprattutto at muscle
attachments.
Dental arches and jaws
size development
1
MASTICAZIONE
Jaws Equilibrium
- If persists beyond the time that the permanent teeth begin to erupt 	

- sucking for more tha 6 hours/day
Thumb between upper and lower incisors
SUCKING
decrease pressure by the tongue
against the lingual of upper posterior
teeth and increase check pressure
against these teeth (buccinatore
contracts during sucking)
MXILLARY ARCH
CONSTRICTION
ANTERIOR
OPEN BITE
Tongue is lowered
More eruption
posterior teeth
incisors eruption
impeded
Placement of the tongue tip forward between the incisors during swallowing.Tongue
thrust swallowing is seen in two circumstances:
TT is a result, of displaced incisors, not the cause: pressure by the tongue against
the teeth lasts for approximately 1 second about 800-1000 times per day. One
thousand seconds of pressure not nearly enough to affect the equilibrium.
If a patient has a forward resting posture of the tongue, the duration of this light
pressure could affect tooth position (OJ and OPEN BITE).
Any age subjects with displaced incisors (OPEN BITE and OVJ) it is and
adaptation to the space between the teeth,to prevent food and liquid
going out of the mouth
2
1
Children with normal occlusion, it represents only a transitional stage in
normal physiologic maturation. !
Thumb sucking delays the transition and support tongue thrusting
TONGUE THRUSTING
Jaws Equilibrium
!
!
Respiratory needs are the primary determinant of the posture of the jaws and tongue.	

More and more studies are showing that environmental factors may play a significant role in
facial and dental development and may alter the phenotype.	

The literature has shown a correlation between mouth breathing and abnormal facial growth
in humans. McNamara found a relationship between upper airway obstruction and deviant
facial growth. McNamara JA Jr, Brudon WL. Orthdontics and dentofacial orthopedics, ed. 3. Ann
Arbor, MI:Needham Press;2004:123-125.	

!
Breathing through the mouth rather than the nose could change the posture of the head, jaw
and tongue.	

!
Left untreated, this condition can adversely affect normal facial growth and dental
development, in addition many other medical problems can be attributed to mouth breathing.
During resting
conditions, greater
effort is required to
breathe trough the
nose than through the
mouth ( resistance to
airflow due to
tortuous nasal
passages- function of
warming and
humidifying the
inspired air).	

!
	

!
if the nose is partially obstructed, the
work associated with nasal breathing
increases, and at certain level there is a
switch to partial mouth breathing	

Chronic respiratory obstruction can
be produced by prolonged
inflammation of the nasal
mucosav( allergie or infection) or
mechanical obstruction in the upper
airways from nares to the posterior
nasal choanae.
Nasal respiration
essential production
of nitric oxide
Nitric oxide inhaled via nasal respiration increases oxygen
exchange efficiency and increase blood oxygen by 18%,
while improving the lungs’ ability to absorb oxygen. Nitric
oxide also is a strong vasodilator and brain transmitter
that increases oxygen transport throughout the body and
is vital to all body organs. Nitric oxide is crucial to overall
health and the efficiency of smooth muscles, such as
blood vessels and the heart. Many other health benefits
have been attributed to nitric oxide. Jiang J, Malavia N, SureshV,
George SC. Nitric oxide gas phase release in human small airway epithelial cells.
Respir Res 2009;10(1):3
Mouth breathing
less attention at school,
behavior problems and
tiredness misdiagnosed with
attention deficit hyperactivity
disorder (ADHD)
low oxygen concentration in
the blood associated with high
blood pressure and cardiac
failures.
children with sleep disorders
and sleep apnea are well
below their peers in terms of
height and weight.
TanigawaT,Tachibana N,Yamagishi K, Muraki I, Kudo M, OhiraT, Kitamura A,
Sato S, ShimamotoT, Iso H. Relationship between sleep-disordered breathing
and blood pressure levels in commu- nity-based samples of Japanese men.
Hypertens Res 2004;27(7):479-484.
swollen adenoids
and tonsils
Mouth breathing
irritated mucosa
major causes of upper
airway obstruction, sleep
disorders, and sleep apnea
Greenfeld M,Tauman R, DeRowe A, SivanY. Ob- structive sleep
apnea syndrome due to adeno- tonsillar hypertrophy in infants. Int
J Pediatr Otorhinolaryngol 2003;67(10):1055-1060.
FOR MOUTH BREATHING IS NEEDED:
Skeletal Class II long face
“adenoid facies”
To lower
mandible
to lower
tongue
to tip back
the head
Lingual pressure on maxilla
decreases and buccinators
muscle pressure increases
anterior
heigth
increase
posterior
teeth
eruption
Craniocervical postural
and muscolar alterations
MAXILLA
CONTRACTION
CROSS BITE
ANT OPEN BITE
INCREASED OVJ
CERVICAL
VERTEBRAE
ALTERATIONS
Total nasal obstruction (rare) is highly likely to alter the pattern of growth and lead to
malocclusion in experimental animals and humans.	

!
Even if the only reliable way to quantify the airflow that goes through the nose and
the mouthl is instrumental evaluation (rhinomanometry, acoustic rinometry) the % of
oral breathing needed to lead to a malocclusion is still unknown	

!
Cause and effect relationship between mouth breathing and malocclusion is unclear:
the majority of individuals with the long face pattern have no evidence of nasal
obstruction and perhaps the alterations in posture associated with partial nasal
obstruction and moderate oral breathing are not great enough to create a severe
malocclusion.	

!
“adenoid facies” is the extreme expression of nasal obstruction.The different
gradation of mouth breathing and the adapting threshold are responsible of the different
facial “phenotypes” that are seen in oral breathers
1. E.N.T EXAMINATION 	

!
!
An otolaryngologist examination may be advised : tonsils, adenoids or
nasal septum. 	

Correction should first aim at REMOVING any anatomic or functional
causes. 	

!
To institute a treatment of actual cause, it is important to determine the
type and degree of mouth breathing, whether it is habitual or obstructive,
and whether total mouth breathing is present or it is partial.
TREATMENT CONSIDERATIONS
!
!
!
2. Treatment should be aimed at: 	

!
1. Elimination of the cause 	

If nasal or pharyngeal obstruction has been diagnosed :
attempts should be made at treating the etiological
factor first. 	

Removal of nasal or pharyngeal obstruction by surgery
or local medication should be sought. 	

If a respiratory allergy is present, this should be
brought under control. 	

TREATMENT CONSIDERATIONS
surgical removal of
swollen tonsils and
adenoids
improvement in behavior, attentiveness, energy
level, academic performance, and growth and	

development; in addition, nocturnal enuresis
was corrected
TREATMENT
Multidisciplinary approach involving pediatricians, physicians,
dentists, and ear-nose-throat (ENT) specialists
palatal expansion to open the
nasal sinuses, which will allow for
more efficient nasal respiration
a combined therapy of adenotonsillectomy and
palatal expansion significantly improved sleep
and nasal respiration while alleviating the
symptoms of ADHD
Wei JL, Mayo MS, Smith HJ, Reese M,Weatherly RA.
Improved behavior and sleep after adeno- tonsillectomy in
children with sleep-disordered breathing.Arch Otolaryngol
Head Neck Surg2007;133(10);974-979.
Villa MP, Malagola C, Pagani J, Montesano M, Rizzoli A,
Guilleminault C, Ronchetti R. Rapid maxillary expansion in
children with obstructive sleep apnea syndrome: 12-
month follow-up. Sleep Med 2007;8(2):128-134.
Posterior Crossbite in the mixed dentition is a
common malocclusion, with a prevalence that
varies from 4% to 23%
Phatouros A, Goonewardene MS Morphologic changes of the
palate after rapid maxillary expansion: a 3-dimensional
computed tomography evaluation Am J
OrthodDentofacialOrthop. 2008 Jul;134(1):117-24
Physiological
condition
Posterior
bilateral
Posterior
unilateral
crossbite
Clinically the relevance of the topic is clear,
since transverse occlusal discrepancies are
relatively common, with uni or bilateral
crossbites, occurring in 9.4 per cent of boys
and 14.1 per cent of girls (Helm, 1968).
The transverse dimension represents the sum
of the skeletal maxillary base and the
inclination of the buccal segment teeth and
surrounding alveolar bone (Solow, 1980).
Discrepancies involving the skeletal base
should be treated by skeletal expansion,
whereas dentoalveolar discrepancies should
be corrected by tooth movement.
Clinically transverse contraction of the
jaws occurs with posterior crossbite
MONOLATERAL BILATERAL
158
In the skeletal discrepancy in the transverse
dimension of the jaws and denture bases, mostly we
use
RAPID PALATAL EXPANSION
Haas AJ. Long-term posttreatment evaluation of
rapid palatal expansion. Angle Orthod.1980 Jul;
CENTRAL
SCREW
skeletal increase in the lateral
dimension of the nasal cavity and
maxillary bone after palatal disjunction
Chung C, Font B. Skeletal and dental changes in the sagittal, vertical and
transverse dimensions after rapid palatal expansion.Am J Orthod
Dentofacial Orthop. 2004;126:569-75.
Hershey HG, Stewart BL,Warren DW. Changes in nasal airway resistance	

associated with rapid maxillary expansion.Am J Orthod Dentofacial Orthop.	

1976;69:274-84.
As a result,we will have a
transverse improvement of
the occlusion and a nasal
expansion
In literature we don’t find real guidelines that
tell us what is the best choice in various clinical
situations
In our Dental School we are researching if
could exist real advantages using permanent or
deciduous teeth as anchorage, evaluating the
amount of expansion obtained
What are the best anchor teeth?
In literature is possible to find cases of adverse effects
on anchor teeth:
!Exostosis
!Pulp stones
!Root resorption
!Gingival recessions
Timms DJ, Moss JP. An
histological investigation into
the effects of rapid maxillary
expansion on the teeth and
their supporting tissues.
Trans Eur Orthod Soc.
1971:263-71
To avoid iatrogenic damage to the permanent teeth, it’s
possible to use deciduous as anchor teeth
Garib DG, Henriques JF, Janson G, de Freitas MR, Fernandes
AY. Periodontal effects of rapid maxillary expansion with
tooth-tissue-borne and tooth-borne expanders: a computed
tomography evaluation. Am J Orthod Dentofacial Orthop.
So we can choose
OR
First permanent
molars used as
anchor teeth
Second deciduous
molars used as
anchor teeth
ORAL BREATHING
!
PALATAL EXPANSION
TRANSVERSE MAXILLARY
CONSTRICTION
?
DENTAL
EFFECTS
SKELETAL
EFFECTS
POSTURE
EFFECTS ON
AIRWAY
RESISTANCE
LDV
THE AIM OF THIS PILOT STUDY WAS TO ANALYZE
THE MORPHOLOGY OF THE CERVICAL VERTEBRAE
OF SUBJECTS
WITH TRANSVERSE MAXILLARY CONSTRICTION.
LDV
The study population included 40 subjects
(7-11 years of age)
undergoing palatal expansion to correct
transverse maxillary constriction, and a
control group of 40 subjects
(7-11 years of age) without transverse
maxillary constriction.
Conclusions:
A statistically significant correlation,
worthy of further
study, was found between transverse
maxillary constriction and cervical
vertebral defects.
Cerruto C. , Di Vece L, Doldo T., Giovannetti A, Polimeni A., Goracci C.
A computerized photographic method to evaluate changes in head posture and
scapular position following rapid palatal expansion: a pilot study. J Clin Pediatr Dent
(accepted; in press)
Cerruto C. , Di Vece L, Doldo T., Giovannetti A, Polimeni A., Goracci C.
A computerized photographic method to evaluate changes in head posture and scapular position following rapid palatal expansion: a
pilot study. J Clin Pediatr Dent (accepted; in press)
Objective: to assess the applicability of a
computerized method to measure on digital
photographs
the changes in head and scapular posture following
rapid palatal expansion (RPE) treatment.
Cerruto C. , Di Vece L, Doldo T., Giovannetti A, Polimeni A., Goracci C.
A computerized photographic method to evaluate changes in head posture and scapular position following rapid palatal expansion: a
pilot study. J Clin Pediatr Dent (accepted; in press)
Study design: randomized controlled trial. Twenty-three
children (age 9.27±0.88 years) diagnosed with maxillary
constriction were randomly divided into two groups: 1.
Study group (n=12): patients receiving RPE treatment;
2. Untreated controls (n=11).
Cerruto C. , Di Vece L, Doldo T., Giovannetti A, Polimeni A., Goracci C.
A computerized photographic method to evaluate changes in head posture and scapular position following rapid palatal expansion: a
pilot study. J Clin Pediatr Dent (accepted; in press)
Results: In the study group a significant reduction in
forward head posture (FHP) occurred between T0 and
T1. Forward shoulder posture (FSP) decreased
significantly between T1 and T2. At T1 treated patients
exhibited significantly lower values of the
measurements indicating FHP and FSP than controls.
Cerruto C. , Di Vece L, Doldo T., Giovannetti A, Polimeni A., Goracci C.
A computerized photographic method to evaluate changes in head posture and scapular position following rapid palatal expansion: a
pilot study. J Clin Pediatr Dent (accepted; in press)
Conclusion: Changes in head and scapular posture
following RPE treatment can be documented with
computerized measurements on digital photographs.
Faleri G., Di Vece L., Picciotti M., Salerni L., Corallo G., Goracci C., Doldo T.
!
Rhinomanometry and palatal expansion: clinical prospective study. Preliminary Data.
Mondo Ortodontico. In Press, Corrected Proof, Available online 17 July 2012
Faleri G., Di Vece L., Picciotti M., Salerni L., Corallo G., Goracci C., Doldo T.
!
Rhinomanometry and palatal expansion: clinical prospective study. Preliminary Data. Mondo Ortodontico. In Press, Corrected Proof, Available online
17 July 2012
Objectives:
To evaluate the effect of palatal expansion
on nasal airway resistance in patients with
maxillary transversal constriction using
rhinomanometry.
Faleri G., Di Vece L., Picciotti M., Salerni L., Corallo G., Goracci C., Doldo T.
!
Rhinomanometry and palatal expansion: clinical prospective study. Preliminary Data. Mondo Ortodontico. In Press, Corrected Proof, Available online
17 July 2012
Materials and Methods:
20 patients (12 females and 8 males) aged 7-11 years with
monolateral or bilateral crossbite
or with transversal maxillary constriction without crossbite,
underwent rhinomanometric
examination before and after rapid palatal expansion
Faleri G., Di Vece L., Picciotti M., Salerni L., Corallo G., Goracci C., Doldo T.
!
Rhinomanometry and palatal expansion: clinical prospective study. Preliminary Data. Mondo Ortodontico. In Press, Corrected Proof, Available online
17 July 2012
Results:
Nasal airway resistance decreased
significantly after rapid maxillary
expansion (P< .05).
Faleri G., Di Vece L., Picciotti M., Salerni L., Corallo G., Goracci C., Doldo T.
!
Rhinomanometry and palatal expansion: clinical prospective study. Preliminary Data. Mondo Ortodontico. In Press, Corrected Proof, Available online
17 July 2012
Conclusions:
Rhinomanometric examination detects an
improvement in nasal resistence after rapid
palatal
expansion.
The stabilometric platform is a device that allows
measurements of either the weight distribution on the feet-
supporting points and the related variation during time of
observation or the center of the body pressure sway.
The platform consist of two
supportring plates, one for the
left and one for the right foot, on
which reference point for feet
positioning are drawn
In this study the following stabilometric measurement
were assessed:
• The weight distribution on the foot area
• The area of body sway
• The speed of body sway
• The entity of body sway

The etiology of_the_orthodontic_problems abu-hussein

  • 2.
  • 3.
    Malocclusion cause unknown Normal occlusion Known causes Proffit WR, HenryWF JR. Contemporary Orthodontics. Fourth Edition. Masson 2007 Malocclusion is a developmental condition. Malocclusion and dentofacial deformity are caused not by some pathologic process, but by moderate distortions of normal development
  • 4.
    Altough is difficultto know the precise cause of most malocclusions, we do know in general what the possibilities are.! ! We will examine etiologic factors for malocclusion: • specific causes • hereditary influences • environmental influences
  • 5.
    SPECIFIC CAUSES Disturbances in EmbryologicDevelopment 1. genetic origin ! 2. teratogens ( chemical and other agents capable of producing embryologic defects
  • 6.
    Disturbances in EmbryologicDevelopment Disturbances in embriologyc development usually result in death of the embryo. Less of 1% of orthodontic patients have a malocclusion related to a disturbance in embryologic development
  • 7.
    Teratogens affecting dentofacialdevelopment Aminopterin Anencephaly Aspirin Cleft lip and palate Cigarette smoke Cleft lip and palate Cytomegalovirus Microcephaly, hydrocephaly microphtalmiaDilantin Cleft lip and palate Ethyl alcohol Central midface deficency 6-Mercaptopurine Cleft palate 13-cis Retinoic acid Similar to craniofacial microsomia and Treacher-Collins syndrome Rubella virus Microphtalmia,cataracts, deafness Thalidomide Malformation similar to craniofacial microsomia, Treacher-Collins syndrome Toxoplasma Microcephaly, hydrocephaly, microphtalmiaX-radiation Microcephaly Valium Similar to craniofacial microsomia and Treacher-Collins syndrome Vitamin D excess Premature suture closure Da Proffit WR,White RP, Sarver DM. Contemporary Treatment of Dentofacial Deformity. St. Louis: Mosby; 2003
  • 8.
    There are fiveprincipal stages in craniofacial development and effects on the developing face can arise during each stage: STAGE TIME IN HUMANS RELATED SYNDROMES Germ layer formation and initial organization of craniofacial structures Day 17 Fetal alcohol syndrome (FAS) Neural tube formation and initial formation of the oropharynnx Day 18-23 Anencephaly Origins, migrations, and interactions of cell populations (especially neural crest cells Day 19-28 Craniofacial microsomia! Mandibulofacial dysostosis (T-C syndrome) Formation of organ systems ! Primary palate! Secondary palate Day 28-38! ! Day 42-55 Cleft lip and/or palate, other facial clefts! ! Cleft palate Final differentiation of tissues Day 50 - birth Achondroplasia! Syn)ostosis syndromes ( e.g. Crouzon’s, Apert’s
  • 9.
    Disturbances in EmbryologicDevelopment s. Treacher Collins CRANIOFACIAL Microsomia CLEFT LIP CLEFT PALATE Cruzon SYNDROME Impairment of neural crest cells migration Loss of neural crest cells Fusion of nasal processes disturbance lat and med (VII weeks) Incompleted fusion of the secondary palate (VII-VIII week) Early sutures of the sutures between the cranial and facial bones Mandibular and maxillary deficit Mandibular ramus and muscles deficit (associated soft tissues) external ear deformed Midline cleft, on either or both sides 60% + cleft lip 40% isolated Deficiency of the midfacial structures development (eyes and maxilla)
  • 10.
    The characteristic facialappearance of fetal alcohol syndrome (FAS), caused by exposure to very high blood alcohol levels during the first trimester of pregnancy. Da Proffit WR,White RP, Sarver DM. Contemporary Treatment of Dentofacial Deformity. St. Louis: Mosby; 2003
  • 11.
    The Treacher-Collins Syndromeis an autosomal dominant congenital disorder with craniofacial deformities, such as absent cheekbones. A generalized lack of mesenchymal tissue in the lateral part of the face is the major cause of the characteristic facial appearance. Other features include downward slanting eyes, micrognathia (small lower jaw), underdeveloped zygoma, drooping part of lateral lower eyelids, malformed or absent ears, and conductive hearing loss.
  • 12.
    Hemifacial microsomia isthe most common congenital syndrome with the exception of Down Syndrome. Hemifacial microsomia occurs with a frequency of one in every 3,500 live births. Hemifacial microsomia can occur alone or with Goldenar Syndrome (a variant of hemifacial microsomia, with the additional presence of benign eyeball or eyelid tumors). Most often, hemifacial microsomia affects one side of the face (15 percent of the time it affects both sides). Hemifacial microsomia is also known as oral-mandibular-auricular syndrome, lateral facial dysplasia, otomandibular dysostosis, or first and second brachial arch syndrome.
  • 13.
    ! Hemifacial microsomia beginsearly in pregnancy, while the baby’s head and face are developing. One side of the face grows at a slower rate than the other side. From about six weeks of age and older, the affected side will become more and more imbalanced, visible specifically in the jaw, mouth, outer and inner ear, cheeks, and possibly the eyes. The growth rate difference continues throughout childhood and adolescence Hemifacial Microsomia Syndrome Characteristics Individuals with this syndrome are typically characterized by the following differences: 
 • underdeveloped lower portion of face (typically, affecting only one side) – imbalanced facial appearance
 • underdeveloped lower jaw
 • underdeveloped ear/hearing problems Additional characteristics that may be present include:
 • facial skin tags
 • a smaller than normal or missing eye on the affected side
 • a smaller than normal or missing ear on the affected side
  • 14.
    Cleft Lip andPlalate CLAP
  • 15.
    • The mostcommon congenital defect involving the face and jaws • 1/750 (USA) 1/800 (Europe) • more males than females • unilateral cleft lip more common than bilateral (Jensen et al.1988) • Left side ++++++ (Jensen et al., 1988; Tolarova 1987)
  • 16.
    Cleft lip isthought to result from failure of the fusion between the medial nasal and maxillary processes in early gestation. The defect usually occurs at the junction between the central and lateral portions of the upper lip on either side. Cleft lip may be limited to the upper lip or may extend into the alveolar ridge.! ! Cleft palate results from partial or complete failure in the apposition and fusion of the palatal shelves, which normally occurs between 8 and 12 weeks of gestation. Complete cleft palate denotes involvement of the uvula, soft palate, and hard palate. ! !
  • 18.
  • 19.
    Frontal drawings of4- to 5-week (A) and 5- to 6-week (B) embryos illustrate the progressive displacement of the nasal sacs toward the midline as a result of medial growth of the maxillary processes. Som P , and Naidich T AJNR Am J Neuroradiol 2013;34:2233-2240 Clefting of the lip occurs because of a failure of fusion between the median and lateral nasal processes and the maxillary prominence, which normally occurs in human during the sixth week of development Lateral nasal Medial nasal 5th -7th week Medial nasal processes migrate toward each other and fuse
  • 20.
    Anterior oblique drawingof a 5-week embryo (A) shows the further growth of the medial and lateral nasal processes and the development of the nasal sac. Som P , and Naidich T AJNR Am J Neuroradiol 2013;34:2233-2240 ©2013 by American Society of Neuroradiology Since the fusion of these processes during primary palate formation creates not only the lip but the area of the alveolar ridge containing the central and lateral incisors, is likely that a notch in the alveolar process will accompany a cleft lip even if there is no cleft of the secondary palate
  • 21.
  • 22.
    Formation of thepalate • Primary Palate or Premaxilla Medial nasal processes Upper incisors area • Soft and Hard Palate
  • 23.
    6th -7th weekAs nasal pits of lateral nasal process invaginate and fuse, intermaxillary process extends to form primary palate
  • 24.
    8th - 9thweek Medial walls of MAXILLARY PROCESSES produce PALATINE SHELVES Shelves grow downwards, parallel to lateral surface of tongue End of week 9, rotate upward into a horizontal position and fuse with each other and primary palate to FORM SECONDARY PALATE Embryology of Clefting
  • 25.
    Cleft palate: •Growth oflateral palatine processes, shelf elevation, adherence and fusion Factors that interfere with: One hypothesis: “lack of lip closure (cleft lip) leads to overgrowth of the prolabial tissues, diverting the tongue up into the nasal cavity in such a way that the tongue delays movement of one or both palatal shelves to the point that the optimal time for fussion is lost” (Trasler, 1968)
  • 26.
  • 27.
    Late fusion failure 8th- 9th week Soft palate or uvula Cleft Lip & Palate Variants Early fusion failure 6th -7th week Complete palate cleft
  • 28.
    Cleft Lip &PalateVariants COMBINED CLEFTS Complete lip &/palate Unilateral
  • 29.
    Cleft Lip &PalateVariants Complete lip &/palate Bilateral PROTRUDED PREMAXILLA
  • 30.
    Rare form clefts: Median(midline) clefts:“…result when there is interference with neural crest cell flow into the developing frontonasal process” (Poswillo, 1988)
  • 31.
    Rare form clefts: Lateralclefts: May result from the lack of normal fusion between the maxillary and mandibular processes.
  • 32.
    Rare form clefts: Obliqueclefts: May result from lack of normal fusion between the median and lateral nasal processes.
  • 33.
    Epidemiology • Isolated CLEFTPALATE genetically distinct from isolated CLEFT LIP OR CLAP –same among all ethnic groups (1:2000, M:F 1:2) –More assoc with Syndrome • Isolated CL or CLAP – different among ethnic groups • American Indians: 3.6:1000 (M:F 2:1) • Asians 3:1000 (M:F 2:1) • African American 0.3:1000 (M:F 2:1) • 20% CL (18% unilateral, 2% bilateral) • 50% CL and CP (38% unilateral, 12% bilateral) • 30 % CP alone
  • 34.
    Epidemiology • GENETICS (Clusteringin families) FAMILY MAKEUP RISK OF CLEFT LIP / PALATE RISK OF CLEFT PALATE ONE AFFECTED SIBLING OR PARENT 1 IN 25 (4%) 2.5% TWO AFFECTED SIBLING 1 IN 11 (9%) 1% ONE SIBLING AND ONE PARENT 1 IN 6 (16%) 15%
  • 35.
    Epidemiology • SYNDROMIC CLAP –associated with more than 300 malformations • CHROMOSOMAL – Trisomy 13, 18, 21 & Deletion 22q11 (Velocardiofacial Syndrome) • NON MENDELIAN – PIERRE ROBIN, Goldenhar • MENDELIAN – Corlin’s, Dysplasia-Clefting, Treacher-Collins, Van der Woude (AD) – Smith-Lemli-Opitz (AR) – Oto-Palato-digital, Oto-Palato-Facial (XL) • UNKNOWN – DeLarge , Kabuki • TERATOGENIC – Fetal Alcohol, Phenytoin, Valproate • NONSYNDROMIC CLAP • diagnosis of exclusion • OVERALL INCIDENCE OF ASSOCIATED ANOMALIES (e.g. CARDIAC) = 30%
  • 36.
    Genetics ● Disruption ofan AP-2a binding site in an IRF6 enanched is associated with cleft lip.(F.Rahimov, M.Malazita,A.Visel e coll.) Genetic factors contributing to cleft lip and cleft palate formation have been identified for some syndromic cases, but knowledge about genetic factors that contribute to the more common isolated cases of cleft lip/palate is still patchy.! Many clefts run in families, even though in some cases there does not seem to be an identifiable syndrome present, possibly because of the current incomplete genetic understanding of midfacial development.! A number of genes are involved including cleft lip and palate transmembrane protein 1 and GAD1one of the glutamate decarboxylases. Many genes are known to play a role in craniofacial development and are being studied .
  • 37.
    Genetics • Single gene( Syndromes): Treacher Collins syndrome,Velocardiofacial syndrome, Stickler syndrome, EEC syndrome, van der Woude syndrome), ! Chromosome Disorders: Patau syndrome (trisomy 13)
  • 38.
    Epidemiology • RISK FACTORS –PARENTAL AGE: >30yrs – VIRAL INFECTIONS: Rubella – TERATOGENS: Alcohol, Steroids, Anticonvulsants, Retinoic acid derivatives
  • 39.
    Nonsyndromic oral clefts areamong the most common birth defects, affecting approximately 1 in 1000 Caucasian newborns.
  • 40.
    isolated CLAP :enviromental factors • Smoke • Alcohol • Hyperthermia. • Hypoxia • Drugs: Steroids,Antiepileptic, Vit A Risk ● Folati ● Vit B6 ● Vit B12 Protection
  • 41.
    Principles of Management •Multidisciplinary Approach • These are not merely surgical problems – Requires team approach throughout life • neonatal period • toddler • grade school • adolescence • young adulthood
  • 42.
    Principles of Management CleftLip and Palate MULTIDISCIPLINARY APPROACH Beyond lip repair are other issues: Hearing (Otolaryngologists) Speech (Speech Pathologists / Therapist) Dental (Periodontologist/Orthodontist / Prosthodontist/) Maxillofacial Surgeons/ Psychosocial (Psychologist/ Psychiatrist/ Social Worker) Geneticist Integration with team-based approach Each case is assessed independently by those involved and a global treatment plan is instituted based on present need in his/her development Nutrition (Nutritionist )
  • 43.
    CLAP ! • Plurality offactors • Teratogens • Single gene disorder • Cromosomic anomaly • 50-70% non sindromyc origin • Race, ethnic group Asian e native Americans
  • 44.
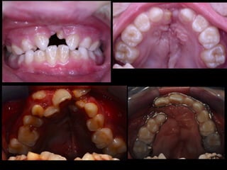
    Dental anomalies inCleft lip and palate patients • The incidence of dental anomalies is 54%(15% normal population) • Missing teeth • Supernumerary • Enamel hypoplasia • Morphology anomalies • Impacted teeth (1 • Missing upper lateral incisor (30-50%) Dental anomalies in Cleft lip and palate patients
  • 45.
    Dental anomalies inCleft lip and palate patients ⬥In deciduous dentition some teeth could be smaller in the cleft side ⬥Males- laterale incisor and second molar ⬥Females - central and lateral incisors ! ⬥In permanent dentition always lateral incisor congenitally missing
  • 50.
    SPECIFIC CAUSES Disturbances in EmbryologicDevelopment Growth Disturbances in the Fetal and Perinatal period
  • 51.
    Fetal Molding (Intrauterinecompression) Trauma to the Mandible during the birth process Childhood Fractures of the Jaw Growth Disturbances in the Fetal and Perinatal period
  • 52.
    Fetal Molding Midface deficiencyin a 3- year-old due to intrauterine molding. Prior to birth, one arm was pressed across the face Pierre Robin Sequence: a tightly flexed head against the chest in utero, preventing the mandible to growing forward normally Growth Disturbances in the Fetal and Perinatal period
  • 53.
    Pierre-Robin Sequence • Smalllower jaw (micrognathia) • A tongue which tens to ball up at the back of the mouth and fall back towards the throat (glossoptosis) • Breathing problems • Horsehoe-shaped cleft palate may or may not be present the reduced volume of the oral cavity can lead to respiratory difficult at birth, and it may be necessary to perform a tracheostomy so the infant can breathe
  • 54.
    BIRTH TRAUMA TOTHE MANDIBLE At one time a common explanation for mandibular deficiency was the use of forcipes in some difficult births, it was fought to damage either or both TMJ ( high pressure-internal hemorrhage) ! The condylar cartilage is not critical for proper growth of the mandible, severe class II are most likely to have a congenital syndrome than a birth injuries Growth Disturbances in the Fetal and Perinatal period
  • 55.
    Condylar fracture (neck)in in early childhood are very common. Fortunately the condylar process tends to regenerate well. About 75% of children have normal mandibular growth and do not develop malocclusions. Often the diagnosis was never made. In the 5% of the condylar fracture cases we find an asymmetric growth deficiency, with the injuries side lagging behind, due to the scarring around the TMJ that restrict translation of the condyle, so the mandible cannot pulled forward as much as the rest of the growing face Growth Disturbances in the Fetal and Perinatal period Childhood Fractures of the Jaw
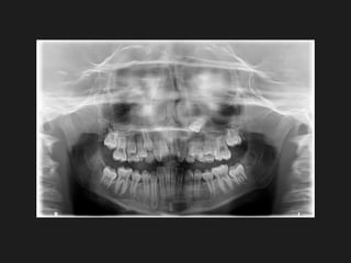
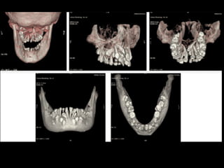
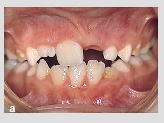
  • 59.
    The 7 yearold girl has been glowing and developing normally. She had no birth trauma. The child had regular dentist checkups twice a year and no pathology was revealed. For the first time the dentist payed attention to the deviation of the lower jaw to the left when mouth opening in May 2013. The child was examined by orthodontist at the same day and it was evaluated as functional disorder. ! !
  • 60.
    Then the childhas grown up rapidly and parents noticed asymmetry of the face The child does not have any complaints. She can open the mouth wide enough and there is no discomfort in the left temporo-mandibular joint at all. ! After questioning the child remembered that 2-3 years ago she had hit her chin with the metal crossbar ladder. The impact was strong enough. But the parents cannot confirm this.
  • 61.
  • 62.
    The most likelydiagnosis for the facial asymmetry of this young girl is an undiagnosed condylar fracture that most likely happen when she falled on a meta crossbar bar ladder 2 or 3 years ago while she was 4 - 5 years old or so. The condylar stump has healed and a new condylar head has formed, but the losted substance of the condyle is gone. Therfore, the height of the ramus has shortened.
  • 63.
    The left ramusand condylar neck are shorter and the left eminence has no slope if any. Healing and normal growth had reshaped both condyle and eminence. ! ! ! Read more
  • 64.
    When looking tothe condyle from an anterior view, one can see the oblong shape of a condyle but the left condyle is smaller. !
  • 65.
    The midline arenot coincident. Note that the lower midline is toward right like the occlusal plane canting to the right. This can be explained by the lack of heigh of the left ramus and as normal growth occur, there is a wagon wheel effect and the midline deviate toward the normal side, the occlusal plane is moving up on the affected side. ! !
  • 66.
    Hybrid functional appliancehave to be used to correct the asymmetry. The goal would be to disctract the left condyle from the fossa, create an open bite in the left side to allow vertical dentoalveolar growth while restricting to some extent the dentoalveolar growth with the bite plane in the left side. ! Hybrid of bionator in the right side and Frankell II in the left side. !
  • 67.
    ! ! Hybrid of bionatorin the right side and Frankell II in the left side. !
  • 69.
    Other destructive processesthat involve the TM joint as rheumatoid arthritis or a congenital absence of tissue as in craniofacial microsomia also can produce ASYMMETRY Growth Disturbances in the Fetal and Perinatal period Childhood Fractures of the Jaw
  • 70.
    Juvenile Idiopathic Arthritis(JIA) leads to micrognathia Many other pediatric rheumatic disorders are associated with arthritis (Systemic Lupus Erythematosus, myositis, sarcoidosis, Sjogren, mixed connective tissue disease, etc.)
  • 71.
    • 50-75% ofchildren with JIA develop TMJ arthritis. • All subtypes of JIA develop TMJ arthritis. • TMJ arthritis is frequently asymptomatic. • Inflammation of the TMJ leads to growth plate arrest (micrognathia). • MRI is the most sensitive modality for detecting TMJ arthritis. • Intraarticular corticosteroid injection is effective treatment for TMJ arthritis in JIA.
  • 73.
    SPECIFIC CAUSES Disturbances in EmbryologicDevelopment Growth Disturbances in the Fetal and Perinatal period Muscle Dysfunction
  • 74.
    Muscle Dysfunction 1)The formationof bone at the point of muscle attachments depends on the activity of the muscle ! 2)The musculature is an important part of the soft tissue matrix whose growth normally carries the jaws downward and forward. The facial muscles can affect jaw growth in two ways:
  • 75.
    Muscle Dysfunction Idiopathic, birthinjury, damage to the motor nerve Underdevelopment of part of the face affected LOSS OF PART OF THE MUSCOLATURE Facial asymmetry in an 11-year-old boy whose masseter muscle was largely missing on the left side.The muscle is an important part of the total soft tissue matrix; in its absence growth of the mandible in the affected area also is deficient.
  • 76.
    Eccessive tonic muscle activity (untreatedcongenital torticollis) Decrease in tonic muscle activity (muscolar dystrophy and muscle weakness syndromes) Facial Asymmetry because of growth restriction on the affected side caused by excessive tonic contraction of the neck muscles Increased anterior face height and excessive eruption of posterior teeth, narrowing of the maxillary arch and anterior open bite Muscle Dysfunction Muscle activity disorders
  • 77.
    SPECIFIC CAUSES Disturbances in EmbryologicDevelopment Growth Disturbances in the Fetal and Perinatal period Muscle Dysfunction Acromegaly
  • 78.
    excessive amounts ofgrowth hormone (GH) Acromegaly Caused by an anterior pituitary tumor (98%) Uncontrolled secretion GH and IGF-1 Orthodontic features: skeletal III classe for excessive growth of mandible in adult life that stops when the tumor is removed or irradiated even if the skeletal deformity persists and orthognathic surgery to reposition the mandible is needed
  • 79.
    SPECIFIC CAUSES Disturbances in EmbryologicDevelopment Growth Disturbances in the Fetal and Perinatal period Muscle Dysfunction Acromegaly Hemimandibular Hypertrophy
  • 80.
    Hemimandibular Hypertrophy Histology ! Proliferation ofthe condylar cartilage Rare disease that results from unilateral excessive growth of the mandible, involves both the body and ramus of mandible and leads to facial asymmetry Clinical signs ! • Mandible deviation to the opposite side • Chin protrusion • Open bite on the affected side and cross bite in the controlateral side Surgery ! Condilectomy of the affected side
  • 81.
  • 82.
    SPECIFIC CAUSES Disturbances in EmbryologicDevelopment Growth Disturbances in the Fetal and Perinatal period Muscle Dysfunction Acromegaly Hemimandibular Hypertrophy Disturbances of Dental Development
  • 83.
    Disturbances of DentalDevelopment Most of them are contributors to isolate Class I malocclusion with some other eruption problems. such as early loss of primary teeth. Dental problems related to larger congenital or health problems include: ! 1. MISSING TEETH 1. Anodontia: failure of teeth to develop (same as agenesis of teeth) 2. Hypodontia: having less than 6 congenitally missing teeth.(partial anodontia) 3. Oligodontia: having 6 or more congenitally missing teeth !
  • 84.
    ANODONTIA AND OLIGODONTIA Manifestazionicliniche • Abnormal nails • Abnormal or missing teeth • Absent or decreased tears • Decreased skin color (pigment) • Heat intolerance • Inability to sweat • Large forehead • Lower than normal number of teeth • Low nasal bridge • Poor hearing • Poor temperature regulation • Poor vision • Thin, sparse hair • Thin skin Group of syndromes all deriving from abnormalities of the ectodermal structures (more than 150 different types), inherited disorders that involve defects in the hair, nails, sweat glands and teeth The inheritance patterns are variable according to the specific type of ED. Patterns include: • spontaneous mutations • autosomal dominant • autosomal recessive • X-linked dominant • X-linked recessive Are usually associated with Ectodermal Dysplasia
  • 85.
    III lower molar IIlower premolar II upper premolar Upper lateral incisor Lower central incisor Hypodontia UNILATERAL OR BILATERAL MISSING TEETH
  • 88.
    The care ofpatients with congenitally missing lateral incisors is best achieved through a multi-disciplinary approach. ! It was acknowledged that a number of treatment options are available to the patient, including canine substitution, tooth- supported restorations and implant-supported restorations. ! Each offers a number of advantages and disadvantages, and there remains a relatively weak evidence base for these decisions CONGENITALLY MISSING LATERAL INCISORS
  • 89.
    • Implants couldbe contraindicated in light of the patient’s medical history and/ or sustained smoking habit. • A 3D evaluation of the available bone using CBCT (or equivalent) is crucial (Grunder U, Gracis S, Capelli M. Influence of the 3-D bone-to-implant relationship on esthetics. Int J Periodontics Restorative Dent. 2005; 25:113–19) • Await skeletal maturity (JemtT,Ahlberg G, Henriksson K, Bondevik O. Changes of anterior clinical crown height in patients provided with single-implant restorations after more than 15 years of follow-up. Int J Prosthodont. 2006; 19:455–61). • Orthodontic treatment delayed as long as possible, • Taking account of the patient’s concerns.
  • 90.
    • Appropriate retentionwas important, particularly following placement of a resin-retained bridge if orthodontic treatment was undertaken ‘early’. (Kokich VO, Kinzer GA, Janakievski J. Congentially missing maxillary lateral incisors: restorative replacement.Am J Orthod Dentofacial Orthop. 2011; 139:435–45). • The presence of a gummy smile and a long face were considered contraindications to implant placement. (Rosa M, Zachrisson BU.The space-closure alternative for missing maxillary lateral incisors: an update. J Clin Orthod. 2010; 44:540–49). • The patient’s sporting activity should be taken account of in planning the type of replacement.The preference was again to consider implant replacement in the posterior regions of the dentition. • Consider the use of a minimal-length anterior implant to permit a ‘plan b’ option, such as corticotomy and distraction, should a significant degree of infraocclusion take place.
  • 91.
    Unilateral versus bilateral missinglaterals: treatment aspects to take into consideration. Option 1. Extract the contra-lateral incisor and under- take orthodontic space closure if the following conditions are present: ! 1.There was a peg-shaped lateral incisor.An alternative option in the presence of a ‘normal’ lateral incisor could be to extract the contra- lateral second premolar. 2. Crowding on the contra-lateral arch. 3.A class II malocclusion. 4. Deviation of the centre line towards the absent lateral incisor.
  • 92.
    Unilateral versus bilateralmissing laterals: treatment aspects to take into consideration. Option 2. A non-extraction approach could be considered to either ‘open’ space if the following conditions are present: ! 1. Class I buccal segment relationship bilaterally. 2. Inclination of the upper incisors is favourable to proclination. 3. Class III camouflage is appropriate. 4. Spaced upper arch. 5. Lack of alveolar bone.
  • 93.
    Unilateral versus bilateralmissing laterals: treatment aspects to take into consideration. ! A non-extraction approach could be considered to either ‘close’ space if the following conditions are present: ! 1. Class II buccal segment relationship on the side of the arch with the absent lateral incisor. 2. Class II canine relationship on the side of the arch with the absent lateral incisor.
  • 94.
    Disturbances of DentalDevelopment ! ! 2. SUPERNUMERARY TEETH ! ! ! ! ! Mesiodens - in the maxillary medline Lateral incisor III premolar IV molar
  • 95.
    Supernumerary teeth (hyperdontia)are additional number of teeth, over and above the usual number for the dentition. Supernumerary teeth occur as isolated events but are also found in Gardner's syndrome, cleidocranial dysostosis syndrome, and in cases of cleft palate (or cleft lip).
  • 96.
    Cleidocranial Dysplasia (CCD)is a rare congenital disorder of bone with an autosomal dominant hereditary mode of inheritance. with complete penetrance, but variable expressivity. This condition is characterized by clavicular aplasia or deficient formation of the clavicles, delayed and imperfect ossification of the cranium, moderately short stature, and a variety of other skeletal abnormalities. The principal oral manifestations are a delayed exfoliation of primary teeth, delayed or multiple impactions of the permanent dentition, and multiple impacted supernumerary teeth SUPERNUMERARY TEETH Cleidocranial Dysplasia
  • 97.
    In children withCCD normal eruption is impeded by deficiency in resorption of primary teeth and bone and also there is heavy fibrous gengiva and multiple supernumerary teeth ( mechanical block to succedaneous theeth). It is usually autosomal dominant, but in some cases the cause is not known. It occurs due to called Runx2), located on the short arm of chromosome 6, which encodes transcription factor required for osteoblast differentiation.The instructions for making a protein that is involved in bone and cartilage development and maintenance. Cleidocranial Dysplasia
  • 100.
  • 101.
    Some clinicians classify additionalteeth according to their morphology: 1) supernumerary teeth and 2) supplemental teeth. Supernumerary teeth are small, malformed extra teeth, for example mesiodens, distomolar and paramolar. Supplemental teeth are extra teeth of normal morphology, for example extra premolars and lateral incisors. Supernumerary teeth can be classified by shape and by position
  • 102.
    Size and shapeclose to the next one
  • 103.
  • 104.
    If impacted theycould be asymptomatic
  • 105.
    Supernumerary teeth could causemany prblem as obstructing the path of eruption of some permanent teeth like in this example
  • 106.
    FREQUENCY 0,15% to 3% ! 2: 1 (+male) ! 90% premaxilla
  • 107.
    CLASSIFICAtion a. BY SHAPE1. cone-shaped 2. tubercolated 3. supplemental 4. odontomi
  • 108.
    b. BY POSITION 1.MESIODENS 2. PARAMOLAR 3. DISTOMOLAR
  • 109.
    MESIODENS MESIODENS Mesiodens (plural-mesiodentes) isa supernumerary tooth that occurs in the anterior maxilla in the midline region near the maxillary central incisors. There may be one or more mesiodentes. The tooth crown may be cone-shaped with a short root or may resemble the adjacent teeth. It may be erupted or impacted, and occasionally inverted. Mesiodens is the most common supernumerary tooth.
  • 110.
  • 113.
    • Compound odontoma(multiple small toot like forms);! • Complex odontoma (a disorganized mass dental tissue)
  • 114.
    Fusion Gemination Tooth size discrepancy(about 5% pop) - disproportionate sizes of upper and lower teeth ABNORMALITIES IN TOOTH SHAPE AND SIZE
  • 115.
    TOOTH SIZE ANALYSIS For goodocclusion teeth must be proportional in size.An anomaly in the size ot the upper lateral incisors is the most common cause, but variation in premolars or other teeth may be present. Occasionally, all the upper teeth are too large or too small to fit properly with the lower teeth
  • 117.
    Two things toremember: 1. An anomaly in the size ot the upper lateral incisors is the most common cause of an altered Bolton index 2. The average size of upper and lower incisors If the upper lateral incisor size is the same or less than the lower BI => 77. If bigger than 7 mm, BI = < 77.
  • 118.
    In case ofI Class canine relationship we will have different situations: Bolton <77% upper crowding Bolton >77% upper diastemata OR lower diastemas lower crowding
  • 119.
    But usually naturedoesn’t care about I class relationship so we find : Bolton <77% Bolton >77%
  • 120.
    Ectopic eruption isa malposition of a permanent tooth bud resulting in the tooth erupting in the wrong place.  The most common areas are the maxillary first molars, followed by the maxillary cuspids. ECTOPIC ERUPTION FIRST MOLAR: Ectopic eruption is due to mesial positioning or inclination of the tooth into the second primary molar.  This can result in delay of eruption of the first permanent molar and resorption of the distal root of the second primary molar. 
  • 121.
    Treatment consists of: • Placement of separating elastics, brass ligature wire or orthodontic appliance to distalize the first molar. • Contour the distal of the second primary molar. • Extraction of the second primary molar and placement of a distalizing appliance. Clinically, signs and symptoms of an ectopic eruption include:
 
 •Visualization of a trapped mesial marginal ridge of the erupting molar • Asymmetrical development • Mesially tipped permanent molars • Prematurely mobile primary molar. The eruption can be assessed upon radiographic examination, either with bite-wing radiographs or panoramic radiograph. Of all first permanent molar ectopic presentations, approximately 66 percent will self correct. Some advise a three to six month observation period after early diagnosis to allow for spontaneous self correction and subsequent normal eruption.
  • 122.
    Anomalie dentarie Space lossand arch contraction in the primary or mixed dentition, 2nd deciduous molar loss = first molar mesial movement = Posterior crowding for premolars = Space maintainers ! 1st deciduous molar or canine loss = incisors distal movements(lips and transseptal fibers) = Crowding e/o unilateral asymmetry Prevention = Less Carie = Less premature losss primary teeth = Less crowding!!!! PREMATURE LOSS OF PRIMARY TEETH
  • 123.
    2nd deciduous molarloss = first molar mesial movement = Posterior crowding for premolars = Space maintainers interproximal carious lesion within a primary molar
  • 125.
  • 126.
    Trauma to aprimary tooth that displaces the permanent tooth bud underlying it ( enamel defects or root distortion) The term dilaceration, describes an abrupt deviation of the long axis of the crown or root portion of the tooth. ! ! Direct damage to permanent: a) crown defect b) root damages c) ankylosys d) tooth loss TRAUMATIC DISPLACEMENT OF TEETH
  • 127.
    Malocclusion cause unknown Normal occlusion Known causes Proffit WR, HenryWF JR. Contemporary Orthodontics. Fourth Edition. Masson 2007 GENETIC INFLUENCES ENVIROMENTAL INFLUENCES
  • 128.
    Genetic Influences There areinherited influences on the jaws and teeth. A malocclusion could be produced by inherited characteristics on 2 major possibilities: 1) Inherited disproportion between the size of the teeth and the size of the jaws 2) Inherited disproportion betwwen the size or shape of the upper and the lower jaws which would cause improper occlusal relationship
  • 129.
    Genetic Influences Could achild inherit relatively large teeth but a jaw too small to accomodate them, or, for instance, a large upper jaw and a small lower one?? It seems to be unlikely because dentofacial characteristic tended to be linked and are not inherited independently
  • 130.
    • Indipendent inheritanceof size of jaws and teeth hypothesis • Twin studies • Family members studies Genetic Influences
  • 131.
    Stockard (1930): crosseda Boston terrier (small upper jaw) with a Collie (long lower jaw) Severe malocclusion ( jaw discrepance more than tooth size - jaw size imbalance His experiments concluded that independent inheritance of facial characteristics could be a major cause of malocclusion and often the result of increased outbreeding. primitive humans = genetic isolation and uniformity = same dento-facial characteristics inheritance high prevalence of malocclusion in the modern - “genetic melting pot” Result of outbreeding in humans- Chung et al (1971): large scale migration from Europe, China and Japan to Hawaii ( homogeneous Polinesian population)resulted in heterogeneous modern population. A misleading factor of many breeds of small dogs is their gene for achondroplasia. Animals or humans affected by this condition have deficient growth of cartilage.The result is extremely short extremities and an underdeveloped midface Achrondroplasia is an autosomal dominant trait.The unusual malocclusions produced in Stockard's breeding experiments can be explained, not on the basis of inherited jaw size, but by the extent to which achondroplasia was expressed in that animal. Malocclusion incidence did not increase Hypothesis that independently inherited tooth and jaw characteristics are a major cause of malocclusion
  • 132.
    Genetic Influences LIMITS - obtaintwin pairs - estabilish zygosity - confirm that the environments were the same for both members of a twin pair Lauweryns I, Carels C, Vlietinck R: The use of twins in dentofacial genetic research, Am J Orthod Dentofac Orthop 103:33-38, 1993. ! Corruccini RS, Townsend GC, Richards LC, Brown T: Genetic and environmental determinants of dental occlusal variation in twins of different nationalities, Human Biol 62:353-367, 1990. Lauweryns et al: 40% of facial variations that leads to malocclusion can be referred to inherited factors ! Corruccini et al: the heritability for some dentalcharacteristics such as overjet is almost zero MONOZYGOTIC TWINS STUDIES By compared identical twins the proportion of the variability in that characteristic due to heredity can be estimated
  • 133.
    Influenze genetiche Harris EF,Johnson MG: Heritability of craniometric and occlusal variables: a longitudinal sib analysis, Am J Orthod Dentofacial Orthop 99:258-268, 1991. Harris e Johnson (1991): ! - heritability of craniofacial (SKELETAL) characteristics is relatively HIGH ! - heritability of DENTALI characteristics is LOW Other classic method of estimating the influence of heredity is to study family members
  • 134.
  • 135.
    Malocclusion cause unknown Normal occlusion Known causes Proffit WR, HenryWF JR. Contemporary Orthodontics. Fourth Edition. Masson 2007 GENETIC INFLUENCES ENVIROMENTAL INFLUENCES
  • 136.
    Environmental influences FUNCTION Forces FORM Tooth position Sizeand shape of jaws DENTAL EQUILIBRIUM MAXILLARY EQUILIBRIUM
  • 137.
    Chewing Swallowing Speaking Tongue Lips Cheek Oral Habits Orthodontics Forces PDL fibers YES alterationof dentalequilibrium NO alteration of dentalequilibrium Forze intense durata breve Light forces long duration duration > 6h intensity independent in case of altered morphologic balance Dental Equilibrium
  • 138.
    Potential effects of masticatoryfunction Equilibrium of jaws Dental arches dimensions decreasing could not be related only to dietary changes, but also to hereditary factors The different biting force is an effect rather than a cause of malocclusion deep bite =infra-erupted posterior teeth open bite =supra-erupted posterior teeth There are no differences between children with long faces and normal faces, the differences arise after puberty Biting Force and Eruption, short and long face problems 2 Pressures generated by chewing don’t affect the shape of the jaws, but change bone density most of all soprattutto at muscle attachments. Dental arches and jaws size development 1 MASTICAZIONE
  • 139.
    Jaws Equilibrium - Ifpersists beyond the time that the permanent teeth begin to erupt - sucking for more tha 6 hours/day Thumb between upper and lower incisors SUCKING decrease pressure by the tongue against the lingual of upper posterior teeth and increase check pressure against these teeth (buccinatore contracts during sucking) MXILLARY ARCH CONSTRICTION ANTERIOR OPEN BITE Tongue is lowered More eruption posterior teeth incisors eruption impeded
  • 140.
    Placement of thetongue tip forward between the incisors during swallowing.Tongue thrust swallowing is seen in two circumstances: TT is a result, of displaced incisors, not the cause: pressure by the tongue against the teeth lasts for approximately 1 second about 800-1000 times per day. One thousand seconds of pressure not nearly enough to affect the equilibrium. If a patient has a forward resting posture of the tongue, the duration of this light pressure could affect tooth position (OJ and OPEN BITE). Any age subjects with displaced incisors (OPEN BITE and OVJ) it is and adaptation to the space between the teeth,to prevent food and liquid going out of the mouth 2 1 Children with normal occlusion, it represents only a transitional stage in normal physiologic maturation. ! Thumb sucking delays the transition and support tongue thrusting TONGUE THRUSTING Jaws Equilibrium
  • 143.
    ! ! Respiratory needs arethe primary determinant of the posture of the jaws and tongue. More and more studies are showing that environmental factors may play a significant role in facial and dental development and may alter the phenotype. The literature has shown a correlation between mouth breathing and abnormal facial growth in humans. McNamara found a relationship between upper airway obstruction and deviant facial growth. McNamara JA Jr, Brudon WL. Orthdontics and dentofacial orthopedics, ed. 3. Ann Arbor, MI:Needham Press;2004:123-125. ! Breathing through the mouth rather than the nose could change the posture of the head, jaw and tongue. ! Left untreated, this condition can adversely affect normal facial growth and dental development, in addition many other medical problems can be attributed to mouth breathing.
  • 144.
    During resting conditions, greater effortis required to breathe trough the nose than through the mouth ( resistance to airflow due to tortuous nasal passages- function of warming and humidifying the inspired air). ! !
  • 145.
    if the noseis partially obstructed, the work associated with nasal breathing increases, and at certain level there is a switch to partial mouth breathing Chronic respiratory obstruction can be produced by prolonged inflammation of the nasal mucosav( allergie or infection) or mechanical obstruction in the upper airways from nares to the posterior nasal choanae.
  • 146.
    Nasal respiration essential production ofnitric oxide Nitric oxide inhaled via nasal respiration increases oxygen exchange efficiency and increase blood oxygen by 18%, while improving the lungs’ ability to absorb oxygen. Nitric oxide also is a strong vasodilator and brain transmitter that increases oxygen transport throughout the body and is vital to all body organs. Nitric oxide is crucial to overall health and the efficiency of smooth muscles, such as blood vessels and the heart. Many other health benefits have been attributed to nitric oxide. Jiang J, Malavia N, SureshV, George SC. Nitric oxide gas phase release in human small airway epithelial cells. Respir Res 2009;10(1):3 Mouth breathing less attention at school, behavior problems and tiredness misdiagnosed with attention deficit hyperactivity disorder (ADHD) low oxygen concentration in the blood associated with high blood pressure and cardiac failures. children with sleep disorders and sleep apnea are well below their peers in terms of height and weight. TanigawaT,Tachibana N,Yamagishi K, Muraki I, Kudo M, OhiraT, Kitamura A, Sato S, ShimamotoT, Iso H. Relationship between sleep-disordered breathing and blood pressure levels in commu- nity-based samples of Japanese men. Hypertens Res 2004;27(7):479-484.
  • 147.
    swollen adenoids and tonsils Mouthbreathing irritated mucosa major causes of upper airway obstruction, sleep disorders, and sleep apnea Greenfeld M,Tauman R, DeRowe A, SivanY. Ob- structive sleep apnea syndrome due to adeno- tonsillar hypertrophy in infants. Int J Pediatr Otorhinolaryngol 2003;67(10):1055-1060.
  • 148.
    FOR MOUTH BREATHINGIS NEEDED: Skeletal Class II long face “adenoid facies” To lower mandible to lower tongue to tip back the head Lingual pressure on maxilla decreases and buccinators muscle pressure increases anterior heigth increase posterior teeth eruption Craniocervical postural and muscolar alterations MAXILLA CONTRACTION CROSS BITE ANT OPEN BITE INCREASED OVJ CERVICAL VERTEBRAE ALTERATIONS
  • 150.
    Total nasal obstruction(rare) is highly likely to alter the pattern of growth and lead to malocclusion in experimental animals and humans. ! Even if the only reliable way to quantify the airflow that goes through the nose and the mouthl is instrumental evaluation (rhinomanometry, acoustic rinometry) the % of oral breathing needed to lead to a malocclusion is still unknown ! Cause and effect relationship between mouth breathing and malocclusion is unclear: the majority of individuals with the long face pattern have no evidence of nasal obstruction and perhaps the alterations in posture associated with partial nasal obstruction and moderate oral breathing are not great enough to create a severe malocclusion. ! “adenoid facies” is the extreme expression of nasal obstruction.The different gradation of mouth breathing and the adapting threshold are responsible of the different facial “phenotypes” that are seen in oral breathers
  • 151.
    1. E.N.T EXAMINATION ! ! An otolaryngologist examination may be advised : tonsils, adenoids or nasal septum. Correction should first aim at REMOVING any anatomic or functional causes. ! To institute a treatment of actual cause, it is important to determine the type and degree of mouth breathing, whether it is habitual or obstructive, and whether total mouth breathing is present or it is partial. TREATMENT CONSIDERATIONS
  • 152.
    ! ! ! 2. Treatment shouldbe aimed at: ! 1. Elimination of the cause If nasal or pharyngeal obstruction has been diagnosed : attempts should be made at treating the etiological factor first. Removal of nasal or pharyngeal obstruction by surgery or local medication should be sought. If a respiratory allergy is present, this should be brought under control. TREATMENT CONSIDERATIONS
  • 153.
    surgical removal of swollentonsils and adenoids improvement in behavior, attentiveness, energy level, academic performance, and growth and development; in addition, nocturnal enuresis was corrected TREATMENT Multidisciplinary approach involving pediatricians, physicians, dentists, and ear-nose-throat (ENT) specialists palatal expansion to open the nasal sinuses, which will allow for more efficient nasal respiration a combined therapy of adenotonsillectomy and palatal expansion significantly improved sleep and nasal respiration while alleviating the symptoms of ADHD Wei JL, Mayo MS, Smith HJ, Reese M,Weatherly RA. Improved behavior and sleep after adeno- tonsillectomy in children with sleep-disordered breathing.Arch Otolaryngol Head Neck Surg2007;133(10);974-979. Villa MP, Malagola C, Pagani J, Montesano M, Rizzoli A, Guilleminault C, Ronchetti R. Rapid maxillary expansion in children with obstructive sleep apnea syndrome: 12- month follow-up. Sleep Med 2007;8(2):128-134.
  • 154.
    Posterior Crossbite inthe mixed dentition is a common malocclusion, with a prevalence that varies from 4% to 23% Phatouros A, Goonewardene MS Morphologic changes of the palate after rapid maxillary expansion: a 3-dimensional computed tomography evaluation Am J OrthodDentofacialOrthop. 2008 Jul;134(1):117-24 Physiological condition Posterior bilateral Posterior unilateral crossbite
  • 155.
    Clinically the relevanceof the topic is clear, since transverse occlusal discrepancies are relatively common, with uni or bilateral crossbites, occurring in 9.4 per cent of boys and 14.1 per cent of girls (Helm, 1968).
  • 156.
    The transverse dimensionrepresents the sum of the skeletal maxillary base and the inclination of the buccal segment teeth and surrounding alveolar bone (Solow, 1980). Discrepancies involving the skeletal base should be treated by skeletal expansion, whereas dentoalveolar discrepancies should be corrected by tooth movement.
  • 157.
    Clinically transverse contractionof the jaws occurs with posterior crossbite MONOLATERAL BILATERAL
  • 158.
  • 164.
    In the skeletaldiscrepancy in the transverse dimension of the jaws and denture bases, mostly we use RAPID PALATAL EXPANSION Haas AJ. Long-term posttreatment evaluation of rapid palatal expansion. Angle Orthod.1980 Jul; CENTRAL SCREW
  • 165.
    skeletal increase inthe lateral dimension of the nasal cavity and maxillary bone after palatal disjunction Chung C, Font B. Skeletal and dental changes in the sagittal, vertical and transverse dimensions after rapid palatal expansion.Am J Orthod Dentofacial Orthop. 2004;126:569-75. Hershey HG, Stewart BL,Warren DW. Changes in nasal airway resistance associated with rapid maxillary expansion.Am J Orthod Dentofacial Orthop. 1976;69:274-84.
  • 166.
    As a result,wewill have a transverse improvement of the occlusion and a nasal expansion
  • 167.
    In literature wedon’t find real guidelines that tell us what is the best choice in various clinical situations In our Dental School we are researching if could exist real advantages using permanent or deciduous teeth as anchorage, evaluating the amount of expansion obtained What are the best anchor teeth?
  • 168.
    In literature ispossible to find cases of adverse effects on anchor teeth: !Exostosis !Pulp stones !Root resorption !Gingival recessions Timms DJ, Moss JP. An histological investigation into the effects of rapid maxillary expansion on the teeth and their supporting tissues. Trans Eur Orthod Soc. 1971:263-71 To avoid iatrogenic damage to the permanent teeth, it’s possible to use deciduous as anchor teeth Garib DG, Henriques JF, Janson G, de Freitas MR, Fernandes AY. Periodontal effects of rapid maxillary expansion with tooth-tissue-borne and tooth-borne expanders: a computed tomography evaluation. Am J Orthod Dentofacial Orthop.
  • 169.
    So we canchoose OR First permanent molars used as anchor teeth Second deciduous molars used as anchor teeth
  • 170.
    ORAL BREATHING ! PALATAL EXPANSION TRANSVERSEMAXILLARY CONSTRICTION ? DENTAL EFFECTS SKELETAL EFFECTS POSTURE EFFECTS ON AIRWAY RESISTANCE
  • 171.
  • 172.
    THE AIM OFTHIS PILOT STUDY WAS TO ANALYZE THE MORPHOLOGY OF THE CERVICAL VERTEBRAE OF SUBJECTS WITH TRANSVERSE MAXILLARY CONSTRICTION.
  • 173.
    LDV The study populationincluded 40 subjects (7-11 years of age) undergoing palatal expansion to correct transverse maxillary constriction, and a control group of 40 subjects (7-11 years of age) without transverse maxillary constriction.
  • 174.
    Conclusions: A statistically significantcorrelation, worthy of further study, was found between transverse maxillary constriction and cervical vertebral defects.
  • 175.
    Cerruto C. ,Di Vece L, Doldo T., Giovannetti A, Polimeni A., Goracci C. A computerized photographic method to evaluate changes in head posture and scapular position following rapid palatal expansion: a pilot study. J Clin Pediatr Dent (accepted; in press)
  • 176.
    Cerruto C. ,Di Vece L, Doldo T., Giovannetti A, Polimeni A., Goracci C. A computerized photographic method to evaluate changes in head posture and scapular position following rapid palatal expansion: a pilot study. J Clin Pediatr Dent (accepted; in press) Objective: to assess the applicability of a computerized method to measure on digital photographs the changes in head and scapular posture following rapid palatal expansion (RPE) treatment.
  • 177.
    Cerruto C. ,Di Vece L, Doldo T., Giovannetti A, Polimeni A., Goracci C. A computerized photographic method to evaluate changes in head posture and scapular position following rapid palatal expansion: a pilot study. J Clin Pediatr Dent (accepted; in press) Study design: randomized controlled trial. Twenty-three children (age 9.27±0.88 years) diagnosed with maxillary constriction were randomly divided into two groups: 1. Study group (n=12): patients receiving RPE treatment; 2. Untreated controls (n=11).
  • 178.
    Cerruto C. ,Di Vece L, Doldo T., Giovannetti A, Polimeni A., Goracci C. A computerized photographic method to evaluate changes in head posture and scapular position following rapid palatal expansion: a pilot study. J Clin Pediatr Dent (accepted; in press) Results: In the study group a significant reduction in forward head posture (FHP) occurred between T0 and T1. Forward shoulder posture (FSP) decreased significantly between T1 and T2. At T1 treated patients exhibited significantly lower values of the measurements indicating FHP and FSP than controls.
  • 179.
    Cerruto C. ,Di Vece L, Doldo T., Giovannetti A, Polimeni A., Goracci C. A computerized photographic method to evaluate changes in head posture and scapular position following rapid palatal expansion: a pilot study. J Clin Pediatr Dent (accepted; in press) Conclusion: Changes in head and scapular posture following RPE treatment can be documented with computerized measurements on digital photographs.
  • 180.
    Faleri G., DiVece L., Picciotti M., Salerni L., Corallo G., Goracci C., Doldo T. ! Rhinomanometry and palatal expansion: clinical prospective study. Preliminary Data. Mondo Ortodontico. In Press, Corrected Proof, Available online 17 July 2012
  • 181.
    Faleri G., DiVece L., Picciotti M., Salerni L., Corallo G., Goracci C., Doldo T. ! Rhinomanometry and palatal expansion: clinical prospective study. Preliminary Data. Mondo Ortodontico. In Press, Corrected Proof, Available online 17 July 2012 Objectives: To evaluate the effect of palatal expansion on nasal airway resistance in patients with maxillary transversal constriction using rhinomanometry.
  • 182.
    Faleri G., DiVece L., Picciotti M., Salerni L., Corallo G., Goracci C., Doldo T. ! Rhinomanometry and palatal expansion: clinical prospective study. Preliminary Data. Mondo Ortodontico. In Press, Corrected Proof, Available online 17 July 2012 Materials and Methods: 20 patients (12 females and 8 males) aged 7-11 years with monolateral or bilateral crossbite or with transversal maxillary constriction without crossbite, underwent rhinomanometric examination before and after rapid palatal expansion
  • 183.
    Faleri G., DiVece L., Picciotti M., Salerni L., Corallo G., Goracci C., Doldo T. ! Rhinomanometry and palatal expansion: clinical prospective study. Preliminary Data. Mondo Ortodontico. In Press, Corrected Proof, Available online 17 July 2012 Results: Nasal airway resistance decreased significantly after rapid maxillary expansion (P< .05).
  • 184.
    Faleri G., DiVece L., Picciotti M., Salerni L., Corallo G., Goracci C., Doldo T. ! Rhinomanometry and palatal expansion: clinical prospective study. Preliminary Data. Mondo Ortodontico. In Press, Corrected Proof, Available online 17 July 2012 Conclusions: Rhinomanometric examination detects an improvement in nasal resistence after rapid palatal expansion.
  • 185.
    The stabilometric platformis a device that allows measurements of either the weight distribution on the feet- supporting points and the related variation during time of observation or the center of the body pressure sway. The platform consist of two supportring plates, one for the left and one for the right foot, on which reference point for feet positioning are drawn
  • 186.
    In this studythe following stabilometric measurement were assessed: • The weight distribution on the foot area • The area of body sway • The speed of body sway • The entity of body sway