BY
M.SARASJOTHI
   81 batch   vz
DEFINITION
Thalassaemias are the heterogeneous group of
 hereditary disorders in which there is reduced rate
  of synthesis of one or more of the globin
 polypeptide chains.
Quantitative abnormalities of polypeptide globin
 chain synthesis.
Genetically transmitted.
GENETIC CONCEPT
Individuals inherits:
   2α globin genes-located one each on 2 chromosome
 16
2β globin genes –locate one each on chromosome 11
EG:- normal adult haemoglobin HbA
CLASSIFICATION OF
         THALASSAEMIAS

αTHALASSAEMIA        βTHALASSAEMIA


 hydrops foetalis    βThalassaemia major
HbH disease          βThalassaemia
Thalassaemia trait    intermedia
                      βThalassaemia minor
DEPENDING ON CHARACTERS
TWO TYPES OF THALASSAEMIA
     HETEROZYGOUS STATE [α and β thalassaemia
 minor or trait]- generally asymptomatic
     HOMOZYGOUS STATE [α and β thalassaemia
 major]-congenital haemolytic
α THALSSAEMIA
CAUSE: inability to synthesis adult haemoglobin.
MOLECULAR PATHOGENESIS:
         defective synthesis of α – globin chains
 results in decreased production of Hb contains α
 chain (i.e)HbA,HbA2,HbF.
        due to deletion of 1 or more α chain genes
 located on short arm of chromosome 16
CLASSIFICATION
Depending upon the number of gene deleted,
   4 α gene deletion –Hb bart’s hydrops foetalis
3 α gene deletion- Hb H disease
2 α gene deletion- α thalassaemia trait
1 α gene deletion- α thalassaemia trait( carrier)
Hb BART’S HYDROPS FOETALIS
Deletion of all 4 α chain genes it results in total
  suppression of α globin chain synthesis –most severe
  form of α
 thalassaemia
Hb BART’s is a gamma globin chain tetramers γ4 which
  has high o2 affinity leading to severe tissue hypoxia
CLINICAL FEATURES
Incompatible with life due to severe tissue hypoxia
Fatal in utero or infant dies after birth
Alive –severe Rh haemolytic disease
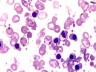
LABORATORY FINDINGS
Infant born alive
    anaemia severe (Hb <6g/dl)
    blood film:
 anisopoikilocytosis,hypochromia,microcytosis,pol
 ychromasia,basophilic stippling,numerous
 normoblast,target cells
 reticulocyte increase
Serum bilirubin increase
Haemolobin electrophoresis 80 -90%
 HbBART’s,small amount hb H,hb portland but no
HbH DISEASE
deletion of 3α chain genes
HbH- β globin chain tetramer (β4)
Markedly impaired αchains synthesis.
HEINZ BODIES-HbH precipitated within RBC
Elongated α chain variants of HbHdisease termed as
 Hb constant spring
CLINICAL FEATURES
Well compensated haemolytic anaemia
Intermediate between beta thalassaemia minor and
 major
Anaemia severity flactuate –fall to very low in
 pregnancy or infection
Splenomegaly and cholelithiasis
 HEPATOSPLENOMEGA
  LY
LAB FINDINGS
Anaemia moderate Hb 8-9g/dl
Blood film:microcytosis
 ,hypochromic,basophilic,taret cells
 ,normoblast,stippling
Reticulocyte mild
Heinz body in mature red cell with brilliant cresol
 blue stain
Hb electrophoresis:2-4%HbH remains
 HbA,HbA2,HbF
α thalassaemia trait
 deletion of two of 4 α chain genes in homozygous
 form homozygous α thalassaemia or
double heterozygous form heterozygous α
 thalassaemia
Deletion of single αchain gene called heterozygous α
 thalassaemia
CLINICAL FEATURES
Asymptomatic
Suspected in patient of refractory microcytic
 hypochromic anaemia in whom iron deficiency and
 beta thalassaemia minor have been excluded and the
 patient belongs to high risk of ethnic group.
One gene deletion is silent carrier state.
LAB FINDINGS
Hb normal or mild decreased
Blood film:microcytic,hypochromic red cells but no
 evidence of haemolysis or anaemia
MCH,MCV,MCHC are slightly decreased
Hb electrophoresis:small amount of HbBART’s in
 neonatal period which gradually disappears by adult
 life,HbA2 slightly decreased
βTHALASSAEMIA
CAUSE:decreased rate of β chain synthesis resulting
 in reduced formation of HbA in red cells.
More complex than alpha thalassaemia
SYMBOLS:β-complete absent of synthesis
          β+ partial synthesis
IMPORTANT EFFECTS ON IT
 BY
 
 transcription defect in promotor region result in β+
 translation defects in coding segment cause
 termination results in βo
mRNA splicing defect cause abnormal mRNA ,may be
 βo or β+
TYPES
Depending upon its extend of defect ,
 homozygous form: β thalassaemia major
 β thalassaemia intermedia
 heterozygous form: β thalassaemia minor
β THALASSAEMIA MAJOR
Also as Mediterranean or cooley’s anaemia
Most common form of congenital haemolytic
 anaemia
Either complete or partial absence of β synthesis
Results in excess formation of HbF(α2,γ2) and HbA2
 (α2,δ2)
CLINICAL FEATURES
Anaemia appears within 1st 4-6 months of life when switch
 over from γ chain to βchain production occurs
Hepatosplenomegaly results in red cell
 destruction,extramedullary haematopoiesis,iron overload
Hyperplasia
Iron over load due to repeated blood transfusion cause
 damage to endocrine organs –growth decrease,delayed
 puberty,DM,damage to liver ,heart.
LAB FINDINGS
Anaemia severe
Blood film: same as in alpha thalassaemia
S.bilirubin unconjugated increase
Reticulocytosis present
Blood indices decreased
WBC increased
Platelets normal or decrease with splenomegaly
Osmotic fragility decreased
TREATMENT
 Regular blood transfusion(4-6 weeks)Hb ↑ 8g/dl
 
Folic acid increases demand of hyperplastic marrow
Children over 6 yrs –splenectomy
Prevent and treatment for iron over load br chelation
 therapy
RISK:require multiple blood transfusion may cause
 AIDS,myocardial siderosis leading to cardiac
 arrhythmias,congestive heart failure,therefore death
β THALASSAEMIA INTERMEDIA
β thalassaemia of intermediate degree of severity that
 does not require regular blood transfusion .these
 cases are genetically heterozygous(βo/β or β+/ β)
β Thalassaemia minor
Mild asymptomatic in which there is moderate
 suppression of β globin synthesis
CLINICAL FEATURES:asymptomatic
 diagnosis when patient is investiated for mild
 chronic anaemia
Spleen palpable
LAB FINDINGS
Anaemia mild:mean Hb level 15% lower than normal
Blood film:mild
 anisopoikilocytosis,microcytosis,hypochromia,occational
 taret cells,basophilicnstippling
S.bilirubin normal or slightly raised
Reticulocytosis often +
Blood indices slightly reduced
Osmotic fraility decreased
Hb electrophoresis:confirmatory and shows 2-folds
 increase in HbA2 and small elevation in HbF(2-3%)
TREATMENT
No any treatment
Explain about enetic implication of disorders
 particularly to child bearing age
Eg; if 2 β thalassaemia trait married results in 25% of β
 thalassaemia major in offsprings
     patients with βthalassaemia minor have normal life
 span who mistaked and diagnose so treat for iron
 deficiency anaemia which developes siderosis, and
 complication
Few uncommon globin chain
combination resulting in trait
δβ-thalassaemia minor- total absence of both δ and β
 chain synthesis –HbF↑
Hb lepore syndrome characterised by non
 homologous fusion of δ and β enes formin an
 abnormal haemohlobin called Hb Lepore.there is
 total absence of β chain synthesis,
PREVENTION OF THALASSAEMIA
Possible by making an
 Antenatal diagnosis and this is done by chorionic
 villous biopsy or
 Cells obtained by amniocentesis and
DNA studied by PCR amplification technique for
 presence of genetic mutations of thalassaemia
THAN   Q

Thalassaemias - By Sarasjothi

  • 1.
    BY M.SARASJOTHI 81 batch vz
  • 2.
    DEFINITION Thalassaemias are theheterogeneous group of hereditary disorders in which there is reduced rate of synthesis of one or more of the globin polypeptide chains. Quantitative abnormalities of polypeptide globin chain synthesis. Genetically transmitted.
  • 5.
    GENETIC CONCEPT Individuals inherits:  2α globin genes-located one each on 2 chromosome 16 2β globin genes –locate one each on chromosome 11 EG:- normal adult haemoglobin HbA
  • 12.
    CLASSIFICATION OF THALASSAEMIAS αTHALASSAEMIA βTHALASSAEMIA  hydrops foetalis βThalassaemia major HbH disease βThalassaemia Thalassaemia trait intermedia βThalassaemia minor
  • 13.
    DEPENDING ON CHARACTERS TWOTYPES OF THALASSAEMIA  HETEROZYGOUS STATE [α and β thalassaemia minor or trait]- generally asymptomatic  HOMOZYGOUS STATE [α and β thalassaemia major]-congenital haemolytic
  • 14.
    α THALSSAEMIA CAUSE: inabilityto synthesis adult haemoglobin. MOLECULAR PATHOGENESIS:  defective synthesis of α – globin chains results in decreased production of Hb contains α chain (i.e)HbA,HbA2,HbF.  due to deletion of 1 or more α chain genes located on short arm of chromosome 16
  • 15.
    CLASSIFICATION Depending upon thenumber of gene deleted,  4 α gene deletion –Hb bart’s hydrops foetalis 3 α gene deletion- Hb H disease 2 α gene deletion- α thalassaemia trait 1 α gene deletion- α thalassaemia trait( carrier)
  • 17.
    Hb BART’S HYDROPSFOETALIS Deletion of all 4 α chain genes it results in total suppression of α globin chain synthesis –most severe form of α thalassaemia Hb BART’s is a gamma globin chain tetramers γ4 which has high o2 affinity leading to severe tissue hypoxia
  • 18.
    CLINICAL FEATURES Incompatible withlife due to severe tissue hypoxia Fatal in utero or infant dies after birth Alive –severe Rh haemolytic disease
  • 20.
    LABORATORY FINDINGS Infant bornalive  anaemia severe (Hb <6g/dl)  blood film: anisopoikilocytosis,hypochromia,microcytosis,pol ychromasia,basophilic stippling,numerous normoblast,target cells  reticulocyte increase Serum bilirubin increase Haemolobin electrophoresis 80 -90% HbBART’s,small amount hb H,hb portland but no
  • 22.
    HbH DISEASE deletion of3α chain genes HbH- β globin chain tetramer (β4) Markedly impaired αchains synthesis. HEINZ BODIES-HbH precipitated within RBC Elongated α chain variants of HbHdisease termed as Hb constant spring
  • 23.
    CLINICAL FEATURES Well compensatedhaemolytic anaemia Intermediate between beta thalassaemia minor and major Anaemia severity flactuate –fall to very low in pregnancy or infection Splenomegaly and cholelithiasis
  • 24.
  • 25.
    LAB FINDINGS Anaemia moderateHb 8-9g/dl Blood film:microcytosis ,hypochromic,basophilic,taret cells ,normoblast,stippling Reticulocyte mild Heinz body in mature red cell with brilliant cresol blue stain Hb electrophoresis:2-4%HbH remains HbA,HbA2,HbF
  • 27.
    α thalassaemia trait deletion of two of 4 α chain genes in homozygous form homozygous α thalassaemia or double heterozygous form heterozygous α thalassaemia Deletion of single αchain gene called heterozygous α thalassaemia
  • 28.
    CLINICAL FEATURES Asymptomatic Suspected inpatient of refractory microcytic hypochromic anaemia in whom iron deficiency and beta thalassaemia minor have been excluded and the patient belongs to high risk of ethnic group. One gene deletion is silent carrier state.
  • 29.
    LAB FINDINGS Hb normalor mild decreased Blood film:microcytic,hypochromic red cells but no evidence of haemolysis or anaemia MCH,MCV,MCHC are slightly decreased Hb electrophoresis:small amount of HbBART’s in neonatal period which gradually disappears by adult life,HbA2 slightly decreased
  • 31.
    βTHALASSAEMIA CAUSE:decreased rate ofβ chain synthesis resulting in reduced formation of HbA in red cells. More complex than alpha thalassaemia SYMBOLS:β-complete absent of synthesis  β+ partial synthesis
  • 32.
    IMPORTANT EFFECTS ONIT BY   transcription defect in promotor region result in β+  translation defects in coding segment cause termination results in βo mRNA splicing defect cause abnormal mRNA ,may be βo or β+
  • 34.
    TYPES Depending upon itsextend of defect ,  homozygous form: β thalassaemia major  β thalassaemia intermedia  heterozygous form: β thalassaemia minor
  • 36.
    β THALASSAEMIA MAJOR Alsoas Mediterranean or cooley’s anaemia Most common form of congenital haemolytic anaemia Either complete or partial absence of β synthesis Results in excess formation of HbF(α2,γ2) and HbA2 (α2,δ2)
  • 38.
    CLINICAL FEATURES Anaemia appearswithin 1st 4-6 months of life when switch over from γ chain to βchain production occurs Hepatosplenomegaly results in red cell destruction,extramedullary haematopoiesis,iron overload Hyperplasia Iron over load due to repeated blood transfusion cause damage to endocrine organs –growth decrease,delayed puberty,DM,damage to liver ,heart.
  • 40.
    LAB FINDINGS Anaemia severe Bloodfilm: same as in alpha thalassaemia S.bilirubin unconjugated increase Reticulocytosis present Blood indices decreased WBC increased Platelets normal or decrease with splenomegaly Osmotic fragility decreased
  • 41.
    TREATMENT Regular bloodtransfusion(4-6 weeks)Hb ↑ 8g/dl  Folic acid increases demand of hyperplastic marrow Children over 6 yrs –splenectomy Prevent and treatment for iron over load br chelation therapy RISK:require multiple blood transfusion may cause AIDS,myocardial siderosis leading to cardiac arrhythmias,congestive heart failure,therefore death
  • 43.
    β THALASSAEMIA INTERMEDIA βthalassaemia of intermediate degree of severity that does not require regular blood transfusion .these cases are genetically heterozygous(βo/β or β+/ β)
  • 44.
    β Thalassaemia minor Mildasymptomatic in which there is moderate suppression of β globin synthesis CLINICAL FEATURES:asymptomatic  diagnosis when patient is investiated for mild chronic anaemia Spleen palpable
  • 46.
    LAB FINDINGS Anaemia mild:meanHb level 15% lower than normal Blood film:mild anisopoikilocytosis,microcytosis,hypochromia,occational taret cells,basophilicnstippling S.bilirubin normal or slightly raised Reticulocytosis often + Blood indices slightly reduced Osmotic fraility decreased Hb electrophoresis:confirmatory and shows 2-folds increase in HbA2 and small elevation in HbF(2-3%)
  • 47.
    TREATMENT No any treatment Explainabout enetic implication of disorders particularly to child bearing age Eg; if 2 β thalassaemia trait married results in 25% of β thalassaemia major in offsprings  patients with βthalassaemia minor have normal life span who mistaked and diagnose so treat for iron deficiency anaemia which developes siderosis, and complication
  • 49.
    Few uncommon globinchain combination resulting in trait δβ-thalassaemia minor- total absence of both δ and β chain synthesis –HbF↑ Hb lepore syndrome characterised by non homologous fusion of δ and β enes formin an abnormal haemohlobin called Hb Lepore.there is total absence of β chain synthesis,
  • 50.
    PREVENTION OF THALASSAEMIA Possibleby making an  Antenatal diagnosis and this is done by chorionic villous biopsy or  Cells obtained by amniocentesis and DNA studied by PCR amplification technique for presence of genetic mutations of thalassaemia
  • 54.