Supracardiac TAPVR
Vertical vein obstruction
Dr. Abdul Ahad
Trainee Fellow Paeds Cardiology
Liaqat National Hospital Karachi
Case presentation
• 24 days neonate, product of consangious marriage presented with
chief complaint of;
Cyanosis since birth 3rd day of life
Difficulty in breathing since 3rd day of life
• Term delivery at periphery hospital via SVD. Normal antenatal scans
• At 5th day of life was admitted in hospital where
echocardiography was done, which showed small ASD with L to
R shunt, severe PPHN, mildly dilated RV, EF 64%.
HOPC
• History of one sibling death at 2nd month of life due to pneumonia
• All anthropometric measurement between 25th -50th percentile.
• All vitals were normal except for SpO2 80%.
• Central and peripheral cyanosis present.
• S1+S2( P2 loud), no murmur audible. Rest of exam unremarkable.
Hospital course
• Repeat Echocardiography showed: Supracardiac TAPVR with vertical
vein obstruction. Moderate size ASD secundum.Dilated right atrium
and ventricle. Severe tricuspid regurgitation 97 mmHg. LVEF 67%.
• Other laboratory investigation were in normal limits.
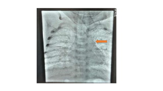
• Baby admitted in NICU for vertical vein stenting.
Procedure: Vertical vein stenting under Local
anesthesia
Post procedure
• Baby shifted to NICU for further management
• OG feed started after 2 hours of procedure
• Next day echocardiography done.
• It showed: Supracardiac TAPVR with vertical vein stents, Moderate
size ASD secundum, Dilate RA and RV, mild TR 30 mmHg, LVEF 70%
and normal RV function.
Thanks

Supracardiac TAPVR with obstructive.pptx

  • 1.
    Supracardiac TAPVR Vertical veinobstruction Dr. Abdul Ahad Trainee Fellow Paeds Cardiology Liaqat National Hospital Karachi
  • 2.
    Case presentation • 24days neonate, product of consangious marriage presented with chief complaint of; Cyanosis since birth 3rd day of life Difficulty in breathing since 3rd day of life • Term delivery at periphery hospital via SVD. Normal antenatal scans • At 5th day of life was admitted in hospital where echocardiography was done, which showed small ASD with L to R shunt, severe PPHN, mildly dilated RV, EF 64%.
  • 3.
    HOPC • History ofone sibling death at 2nd month of life due to pneumonia • All anthropometric measurement between 25th -50th percentile. • All vitals were normal except for SpO2 80%. • Central and peripheral cyanosis present. • S1+S2( P2 loud), no murmur audible. Rest of exam unremarkable.
  • 4.
    Hospital course • RepeatEchocardiography showed: Supracardiac TAPVR with vertical vein obstruction. Moderate size ASD secundum.Dilated right atrium and ventricle. Severe tricuspid regurgitation 97 mmHg. LVEF 67%. • Other laboratory investigation were in normal limits. • Baby admitted in NICU for vertical vein stenting.
  • 8.
    Procedure: Vertical veinstenting under Local anesthesia
  • 11.
    Post procedure • Babyshifted to NICU for further management • OG feed started after 2 hours of procedure • Next day echocardiography done. • It showed: Supracardiac TAPVR with vertical vein stents, Moderate size ASD secundum, Dilate RA and RV, mild TR 30 mmHg, LVEF 70% and normal RV function.
  • 14.