ΕΝΔΑΓΓΕΙΑΚΗ ΑΝΤΙΜΕΤΩΠΙΣΗ ΔΙΑΤΙΤΡΑΙΝΩΝΤΩΝΕΝΔΑΓΓΕΙΑΚΗ ΑΝΤΙΜΕΤΩΠΙΣΗ ΔΙΑΤΙΤΡΑΙΝΩΝΤΩΝ
ΑΘΗΡΟΣΚΛΗΡΩΤΙΚΩΝ ΕΛΚΩΝ ΚΟΙΛΙΑΚΗΣ ΑΟΡΤΗΣ:ΑΘΗΡΟΣΚΛΗΡΩΤΙΚΩΝ ΕΛΚΩΝ ΚΟΙΛΙΑΚΗΣ ΑΟΡΤΗΣ:
ΜΙΑ ΣΠΑΝΙΑ ΑΛΛΑ ΑΠΕΙΛΗΤΙΚΗ ΓΙΑ ΤΗ ΖΩΗ ΟΝΤΟΤΗΤΑΜΙΑ ΣΠΑΝΙΑ ΑΛΛΑ ΑΠΕΙΛΗΤΙΚΗ ΓΙΑ ΤΗ ΖΩΗ ΟΝΤΟΤΗΤΑ
Γ. ΤρελλόπουλοςΓ. Τρελλόπουλος11
,,
1. Αγγειοχειρουργικό Τμήμα, Καρδιοχειρουργική Κλινική, Νοσ. Γ. Παπανικολάου.1. Αγγειοχειρουργικό Τμήμα, Καρδιοχειρουργική Κλινική, Νοσ. Γ. Παπανικολάου.
2. Πανεπιστημιακή Αγγειοχειρουργική Κλινική, Δημοκρίτειο Πανεπιστήμιο Θράκης.2. Πανεπιστημιακή Αγγειοχειρουργική Κλινική, Δημοκρίτειο Πανεπιστήμιο Θράκης.
ΕΙΣΑΓΩΓΗΕΙΣΑΓΩΓΗ
 Διατιτραίνον Αθηρωσκληρωτικό Έλκος (ΔΑΕ)Διατιτραίνον Αθηρωσκληρωτικό Έλκος (ΔΑΕ)::
Αθηροσκληρωτικές αλλοιώσεις με εξέλκωση του έσω και μέσουΑθηροσκληρωτικές αλλοιώσεις με εξέλκωση του έσω και μέσου
χιτώνα της αορτής και ρήξη του έσω ελαστικού πετάλουχιτώνα της αορτής και ρήξη του έσω ελαστικού πετάλου
 Θωρακική Αορτή ≈ 2-7%Θωρακική Αορτή ≈ 2-7%
 Κοιλιακή Αορτή ≈ 1-5%Κοιλιακή Αορτή ≈ 1-5%
Συνυπάρχει σημαντικού βαθμού αθηρωσκλήρωση της αορτής και υπέρτασηΣυνυπάρχει σημαντικού βαθμού αθηρωσκλήρωση της αορτής και υπέρταση
 Πιθανές επιπλοκές:Πιθανές επιπλοκές:
 Ενδοτοιχωματικό αιμάτωμαΕνδοτοιχωματικό αιμάτωμα
 Περιφερικές εμβολέςΠεριφερικές εμβολές
 Ψευδές ανεύρυσμαΨευδές ανεύρυσμα
 ΡήξηΡήξη
ΕΙΣΑΓΩΓΗΕΙΣΑΓΩΓΗ
 Φυσική εξέλιξη των ΔΑΕΦυσική εξέλιξη των ΔΑΕ
 Τάση για συντηρητική αντιμετώπιση των ασυμπτωματικών ΔΑΕΤάση για συντηρητική αντιμετώπιση των ασυμπτωματικών ΔΑΕ
 Ανοικτή και ενδαγγειακή αποκατάσταση των συμπτωματικών και επιπλεγμένωνΑνοικτή και ενδαγγειακή αποκατάσταση των συμπτωματικών και επιπλεγμένων
 Ενδαγγειακή αντιμετώπιση από το 2003Ενδαγγειακή αντιμετώπιση από το 2003
 Ασθενείς με υψηλή νοσηρότηταΑσθενείς με υψηλή νοσηρότητα
 Περιορισμένη έκταση της βλάβηςΠεριορισμένη έκταση της βλάβης
ΕΙΣΑΓΩΓΗΕΙΣΑΓΩΓΗ
Διατιτραίνον Αθηρωσκληρωτικό Έλκος (ΔΑΕ)Διατιτραίνον Αθηρωσκληρωτικό Έλκος (ΔΑΕ):: ΘωρακικήΘωρακική vsvs Κοιλιακή ΑορτήΚοιλιακή Αορτή
ΕΙΣΑΓΩΓΗΕΙΣΑΓΩΓΗ
Μεταβλητή Κοιλιακή Αορτή
(n=46)
Θωρακική αορτή
(n=220)
p
Ηλικία 67 72 ΜΣ
Ενδοτοχωματικό
αιμάτωμα
4 (9%) 93 (42%) p<0.01
Εμβολή 5 (9%) 2(0.9%) p<0.01
Ρήξη 17 (38%) 44 (20%) ΜΣ
Διατομή 0 18 (8%) ΜΣ
Συνοδά Ανευρύσματα
(και σε άλλες θέσεις)
18 (46%) 61 (28%) P<0.01
Μετεγχειρητικός Θάνατος 1 (2%) 4 (2%) ΜΣ
M.Batt et al, Eur J Vasc Endovasc Surg 29,35-42 (2005)
•24 + 1 εργασίες
•94 ασθενείς
•Άρρεν/Θήλυ:10/1
•ΑΥ σε 45/59 ασθενείς (76%)
•Άλγος 38/76 (50%)
•Σοκ 6/76 (8%) Συμπτωματικοί 52/76 (69%)
•Εμβολή 8/76 (11%)
•Ψευδοανεύρυσμα 37/80 (46%) Επιπλεγμένα 60/80 (75%)
•Ρήξη 23/80 (29%)
•Ανοιχτή αντιμετώπιση 28/83 (34%)
•Ενοαυλική αντιμετώπιση 55/83 (66%)
•Πρώτη ενδοαυλική αντιμετώπιση το 2003
•Από το 2006 όλα τα ΔΑΕ αντιμετωπίστηκαν ενδοαυλικά (47)
ΕΙΣΑΓΩΓΗΕΙΣΑΓΩΓΗ
N Ηλικία Φύλο Συνοδές Παθήσεις Συμπτώματα Αλλοιώσεις κοιλιακής αορτής Αντιμετώπιση
Α/Θ ΑΥ ΣΝ ΠΑΑ Άλγος Σοκ Εμβολή
κάτω
άκρων
Κανένα ΔΑΕ Ψευδοανευρύσμα Ρήξη Ανοιχτή Ενδοαυλική
Lagaa 1974 3 58 3/0 1 3 0 3 1 0 0 0 0 3 3 0
Comud 1980 1 53 1/0 0 1 0 1 0 0 0 0 0 1 1 0
Barbier 1983 1 73 0/1 0 0 0 1 0 0 0 0 0 1 1 0
Barba 1990 1 37 1/0 0 0 0 0 0 1 0 1 0 0 1 0
Harris 1994 7 NA NA NA NA NA 0 0 2 5 6 1 0 1 0
Origuchi 1996 4 59 3/1 1 0 0 4 0 0 0 0 0 4 4 0
Goldstein 1997 1 67 1/0 1 1 0 1 0 0 0 0 0 1 1 0
Moriyama 1998 1 74 1/0 1 0 0 0 0 0 1 0 0 0 1 0
Taylor 1999 2 NA NA NA NA NA 0 0 0 2 0 2 0 2 0
Quint 2001 6 NA NA NA NA NA NA NA NA NA 6 0 0 0 0
Toda 2001 1 70 2/0 2 0 0 2 0 0 0 0 2 0 2 0
Farooq 2001 2 68 2/0 2 0 1 0 0 1 1 0 2 0 2 0
Saiki 2001 1 81 0/1 1 0 0 1 0 0 0 0 1 1 1 0
Tsuji 2003 4 78 4/0 4 2 0 3 0 0 1 1 1 2 0 4
Vasquez 2003 1 81 1/0 1 0 0 1 0 0 0 0 0 1 0 1
Ventura 2003 1 68 0/1 1 0 0 1 0 0 0 1 0 0 1 0
Takagi 2004 1 64 1/0 NA NA NA 1 0 0 0 0 1 0 1 0
Batt 2005 8 70 7/1 4 3 6 4 1 1 2 0 5 3 5 3
Chervenkov
2005
1 80 1/0 1 0 0 1 0 0 0 1 0 0 1 0
Eggebrecht
2006
2 70 2/0 1 0 0 0 0 0 2 NA NA NA 0 2
Dalainas 2007 2 NA NA NA NA NA 2 0 0 0 2 0 0 0 2
Pifaretti 2007 13 77 12/1 13 2 6 1 1 3 8 6 6 1 0 13
Polombo 2008 5 69 5/0 NA NA NA 1 0 0 4 0 5 0 0 5
Geisbusch 2008 12 NA NA NA NA NA NA NA NA NA NA NA NA 0 12
Present report
2010
13 67 13/0 11 4 3 10 3 0 2 1 11 5 0 13
ΣύνολοΣύνολο 9494 60/660/6 4545 1616 1616 3838 66 88 2828 2255 3737 2323 2828 5555
ΥΛΙΚΟΥΛΙΚΟ
 2003 έως 2009 στα νοσ.Παπανικολάου και Παν.Γεν.Νοσ.Αλεξανδρούπολης2003 έως 2009 στα νοσ.Παπανικολάου και Παν.Γεν.Νοσ.Αλεξανδρούπολης
 Συνολικά: 432 ασθενείς με υπονεφρικό ΑΚΑΣυνολικά: 432 ασθενείς με υπονεφρικό ΑΚΑ
 13 ασθενείς είχαν υπονεφρικά ΔΑΕ13 ασθενείς είχαν υπονεφρικά ΔΑΕ
 Όλοι ήταν άνδρεςΌλοι ήταν άνδρες
 Μέσος όρος ηλικίας: 66Μέσος όρος ηλικίας: 66.6.6±10±10.1.1 έτηέτη
ΑΠΟΤΕΛΕΣΜΑΤΑΑΠΟΤΕΛΕΣΜΑΤΑ
ΣΥΝΟΔΕΣ ΠΑΘΗΣΕΙΣΣΥΝΟΔΕΣ ΠΑΘΗΣΕΙΣ
 1111  αρτηριακή υπέρτασηαρτηριακή υπέρταση
 77  υπερλιπιδαιμίαυπερλιπιδαιμία
 55  χρόνια νεφρική ανεπάρκειαχρόνια νεφρική ανεπάρκεια
 44  στεφανιαία νόσοστεφανιαία νόσο
 33  περιφερική αγγειοπάθειαπεριφερική αγγειοπάθεια
 11  χρόνια αποφρακτική πνευμονοπάθειαχρόνια αποφρακτική πνευμονοπάθεια
 11  χρόνια λεμφογενή λευκαιμίαχρόνια λεμφογενή λευκαιμία
 11  σακχαρώδη διαβήτησακχαρώδη διαβήτη
 2 Ασυμπτωματικοί2 Ασυμπτωματικοί
 11 Συμπτωματικοί11 Συμπτωματικοί
 3 καταπληξία3 καταπληξία
 6 κοιλιακό άλγος ή οσφυαλγία6 κοιλιακό άλγος ή οσφυαλγία
 1 διαλείπουσα χωλότητα1 διαλείπουσα χωλότητα
 12/13 ΔΑΕ ήταν επιπλεγμένα (ψευδοανεύρυσμα ή ρήξη)12/13 ΔΑΕ ήταν επιπλεγμένα (ψευδοανεύρυσμα ή ρήξη)
ΥΛΙΚΟ - ΑΠΟΤΕΛΕΣΜΑΤΑΥΛΙΚΟ - ΑΠΟΤΕΛΕΣΜΑΤΑ
ΔιάγνωσηΔιάγνωση
 USUS
 CTCT μεμε iviv σκιαγραφικόσκιαγραφικό
 ±±ΑορτογραφίαΑορτογραφία
ΥΛΙΚΟ - ΑΠΟΤΕΛΕΣΜΑΤΑΥΛΙΚΟ - ΑΠΟΤΕΛΕΣΜΑΤΑ
Περιοχική αναισθησία (6/13)Περιοχική αναισθησία (6/13)
Τοπική αναισθησία (6/13)Τοπική αναισθησία (6/13)
 Ενδαγγειακή αντιμετώπιση με επικαλυμμένη ενδοπρόθεσηΕνδαγγειακή αντιμετώπιση με επικαλυμμένη ενδοπρόθεση
 6 αορτοδιλαγόνιες ενδ.6 αορτοδιλαγόνιες ενδ.
 3 αορτομονολαγόνιες ενδ.3 αορτομονολαγόνιες ενδ.
 4 σωληνωτές ενδ.4 σωληνωτές ενδ.
 Oversizing ≈ 10Oversizing ≈ 10%%
ΑΠΟΤΕΛΕΣΜΑΤΑΑΠΟΤΕΛΕΣΜΑΤΑ
Ασθενής ΑορτομονολαγόνιαΑορτομονολαγόνια ΑορτοδιλαγόνιαΑορτοδιλαγόνια ΣωληνωτήΣωληνωτή
1 Endofit SG 26 X 140 X
14 mm
2 Δύο Εxcluder 35 X 23 mm
3 Εxcluder 26X145X14mm
4 Endofit SG 26 X 140 X
14 mm
5 Endurarnt Medronic
Σκέλος Μοσχεύματος 20 X
80 mm
6 Endurarnt Medronic 25 X 145 x 13mm
7 Endurarnt Medronic
Σκέλος Μοσχεύματος 16 X
80 mm
8 Excluder 26 x 145 x 14 mm
9 Talent 28 Χ 170 Χ 16
mm
10 Talent 35 Χ 26 mm
11 Talent 26 Χ140 Χ 16 mm
12 Excluder 28 Χ 140 Χ 14 mm
13 Excluder 25 Χ 170 Χ 16 mm
 100% επιτυχία της τεχνικής100% επιτυχία της τεχνικής
 12/13:12/13: ομαλή ΜΤΧ πορεία – Εξιτήριοομαλή ΜΤΧ πορεία – Εξιτήριο
1/13:1/13: θάνατος την 5θάνατος την 5ηη
ΜΤΧ ημέρα από σύνδρομο ανεπαρκείαςΜΤΧ ημέρα από σύνδρομο ανεπαρκείας
πολλαπλών οργάνων (ρήξηπολλαπλών οργάνων (ρήξη-shock-shock))
 Παρακολούθηση: 3-6-12 μήνες και ετησίως κατόπιν, 4Παρακολούθηση: 3-6-12 μήνες και ετησίως κατόπιν, 4..2 έτη (μ.ο.)2 έτη (μ.ο.)
 22 επιπλέον θανάτοιεπιπλέον θανάτοι (αιματολογικό νόσημα και καρκίνος πνεύμονα)(αιματολογικό νόσημα και καρκίνος πνεύμονα)
ΑΠΟΤΕΛΕΣΜΑΤΑΑΠΟΤΕΛΕΣΜΑΤΑ
Περίπτωση 1Περίπτωση 1ηη
•Άρρεν
•53 ετών
•Κοιλιακό άλγος
•Ψευδοανεύρυσμα
•Σωληνωτή ενδοπροθέση (Σκέλος Μοσχεύματος 20 X 80mm Endurarnt
Medronic)
Περίπτωση 2Περίπτωση 2ηη
•Άρρεν
•78 ετών
•Οσφυϊκό άλγος
•Ρήξη
•Αορτοδιλαγόνια ενδοπροθέση
(Excluder 28 Χ 140 Χ 14 mm)
•
Περίπτωση 3Περίπτωση 3ηη
•Άρρεν
•62 ετών
•Κοιλιακό – οσφυϊκό άλγος
•Σοκ
•Ψευδοανεύρυσμα -Ρήξη
•Αορτοδιλαγόνια ενδοπροθέση(25 X 145 x 13mm Endurarnt Medronic)
Περίπτωση 4Περίπτωση 4ηη
•Άρρεν
•68 ετών
•Κοιλιακό άλγος
•Ψευδοανεύρυσμα
•Δύο Σωληνωτές ενδοπροθέσεις (excluder 3.5 x 23 m2
)
Περίπτωση 5Περίπτωση 5ηη
•Άρρεν
•50 ετών
•Σοκ
•Ρήξη
•Αορτοδιλαγόνια ενδοπροθέση(Excluder 26 x 145 x 14 mm3)
Περίπτωση 6Περίπτωση 6ηη
•Άρρεν
•76 ετών
•Σοκ
•Ρήξη
•Αορτομονολαγόνια ενδοπροθέση Endofit 26 x 140 x 14 mm3
•θάνατος την 5η
ΜΤΧ ημέρα από σύνδρομο ανεπαρκείας πολλαπλών
οργάνων
 Τα ΚοιλιακάΤα Κοιλιακά Διατιτραίνοντα Αθηρωσκληρωτικά Έλκη είναιΔιατιτραίνοντα Αθηρωσκληρωτικά Έλκη είναι
συμπτωματικά και επιπλεγμένα σε πολύ υψηλό ποσοστόσυμπτωματικά και επιπλεγμένα σε πολύ υψηλό ποσοστό
 Η ενδαγγειακή αποκατάσταση ακόμη και με διχαλωτές ενδοπροθέσειςΗ ενδαγγειακή αποκατάσταση ακόμη και με διχαλωτές ενδοπροθέσεις
έχει υψηλό ποσοστό επιτυχίαςέχει υψηλό ποσοστό επιτυχίας
 Η ενδαγγειακή αντιμετώπιση αποτελεί επέμβαση εκλογήςΗ ενδαγγειακή αντιμετώπιση αποτελεί επέμβαση εκλογής
ΣΥΜΠΕΡΑΣΜΑΣΥΜΠΕΡΑΣΜΑ
Ενδαγγειακή αντιμετώπιση διατιτραινώντων αθηροσκληρωτικών ελκών

Ενδαγγειακή αντιμετώπιση διατιτραινώντων αθηροσκληρωτικών ελκών

  • 1.
    ΕΝΔΑΓΓΕΙΑΚΗ ΑΝΤΙΜΕΤΩΠΙΣΗ ΔΙΑΤΙΤΡΑΙΝΩΝΤΩΝΕΝΔΑΓΓΕΙΑΚΗΑΝΤΙΜΕΤΩΠΙΣΗ ΔΙΑΤΙΤΡΑΙΝΩΝΤΩΝ ΑΘΗΡΟΣΚΛΗΡΩΤΙΚΩΝ ΕΛΚΩΝ ΚΟΙΛΙΑΚΗΣ ΑΟΡΤΗΣ:ΑΘΗΡΟΣΚΛΗΡΩΤΙΚΩΝ ΕΛΚΩΝ ΚΟΙΛΙΑΚΗΣ ΑΟΡΤΗΣ: ΜΙΑ ΣΠΑΝΙΑ ΑΛΛΑ ΑΠΕΙΛΗΤΙΚΗ ΓΙΑ ΤΗ ΖΩΗ ΟΝΤΟΤΗΤΑΜΙΑ ΣΠΑΝΙΑ ΑΛΛΑ ΑΠΕΙΛΗΤΙΚΗ ΓΙΑ ΤΗ ΖΩΗ ΟΝΤΟΤΗΤΑ Γ. ΤρελλόπουλοςΓ. Τρελλόπουλος11 ,, 1. Αγγειοχειρουργικό Τμήμα, Καρδιοχειρουργική Κλινική, Νοσ. Γ. Παπανικολάου.1. Αγγειοχειρουργικό Τμήμα, Καρδιοχειρουργική Κλινική, Νοσ. Γ. Παπανικολάου. 2. Πανεπιστημιακή Αγγειοχειρουργική Κλινική, Δημοκρίτειο Πανεπιστήμιο Θράκης.2. Πανεπιστημιακή Αγγειοχειρουργική Κλινική, Δημοκρίτειο Πανεπιστήμιο Θράκης.
  • 2.
    ΕΙΣΑΓΩΓΗΕΙΣΑΓΩΓΗ  Διατιτραίνον ΑθηρωσκληρωτικόΈλκος (ΔΑΕ)Διατιτραίνον Αθηρωσκληρωτικό Έλκος (ΔΑΕ):: Αθηροσκληρωτικές αλλοιώσεις με εξέλκωση του έσω και μέσουΑθηροσκληρωτικές αλλοιώσεις με εξέλκωση του έσω και μέσου χιτώνα της αορτής και ρήξη του έσω ελαστικού πετάλουχιτώνα της αορτής και ρήξη του έσω ελαστικού πετάλου  Θωρακική Αορτή ≈ 2-7%Θωρακική Αορτή ≈ 2-7%  Κοιλιακή Αορτή ≈ 1-5%Κοιλιακή Αορτή ≈ 1-5%
  • 3.
    Συνυπάρχει σημαντικού βαθμούαθηρωσκλήρωση της αορτής και υπέρτασηΣυνυπάρχει σημαντικού βαθμού αθηρωσκλήρωση της αορτής και υπέρταση  Πιθανές επιπλοκές:Πιθανές επιπλοκές:  Ενδοτοιχωματικό αιμάτωμαΕνδοτοιχωματικό αιμάτωμα  Περιφερικές εμβολέςΠεριφερικές εμβολές  Ψευδές ανεύρυσμαΨευδές ανεύρυσμα  ΡήξηΡήξη ΕΙΣΑΓΩΓΗΕΙΣΑΓΩΓΗ
  • 4.
     Φυσική εξέλιξητων ΔΑΕΦυσική εξέλιξη των ΔΑΕ  Τάση για συντηρητική αντιμετώπιση των ασυμπτωματικών ΔΑΕΤάση για συντηρητική αντιμετώπιση των ασυμπτωματικών ΔΑΕ  Ανοικτή και ενδαγγειακή αποκατάσταση των συμπτωματικών και επιπλεγμένωνΑνοικτή και ενδαγγειακή αποκατάσταση των συμπτωματικών και επιπλεγμένων  Ενδαγγειακή αντιμετώπιση από το 2003Ενδαγγειακή αντιμετώπιση από το 2003  Ασθενείς με υψηλή νοσηρότηταΑσθενείς με υψηλή νοσηρότητα  Περιορισμένη έκταση της βλάβηςΠεριορισμένη έκταση της βλάβης ΕΙΣΑΓΩΓΗΕΙΣΑΓΩΓΗ
  • 5.
    Διατιτραίνον Αθηρωσκληρωτικό Έλκος(ΔΑΕ)Διατιτραίνον Αθηρωσκληρωτικό Έλκος (ΔΑΕ):: ΘωρακικήΘωρακική vsvs Κοιλιακή ΑορτήΚοιλιακή Αορτή ΕΙΣΑΓΩΓΗΕΙΣΑΓΩΓΗ Μεταβλητή Κοιλιακή Αορτή (n=46) Θωρακική αορτή (n=220) p Ηλικία 67 72 ΜΣ Ενδοτοχωματικό αιμάτωμα 4 (9%) 93 (42%) p<0.01 Εμβολή 5 (9%) 2(0.9%) p<0.01 Ρήξη 17 (38%) 44 (20%) ΜΣ Διατομή 0 18 (8%) ΜΣ Συνοδά Ανευρύσματα (και σε άλλες θέσεις) 18 (46%) 61 (28%) P<0.01 Μετεγχειρητικός Θάνατος 1 (2%) 4 (2%) ΜΣ M.Batt et al, Eur J Vasc Endovasc Surg 29,35-42 (2005)
  • 6.
    •24 + 1εργασίες •94 ασθενείς •Άρρεν/Θήλυ:10/1 •ΑΥ σε 45/59 ασθενείς (76%) •Άλγος 38/76 (50%) •Σοκ 6/76 (8%) Συμπτωματικοί 52/76 (69%) •Εμβολή 8/76 (11%) •Ψευδοανεύρυσμα 37/80 (46%) Επιπλεγμένα 60/80 (75%) •Ρήξη 23/80 (29%) •Ανοιχτή αντιμετώπιση 28/83 (34%) •Ενοαυλική αντιμετώπιση 55/83 (66%) •Πρώτη ενδοαυλική αντιμετώπιση το 2003 •Από το 2006 όλα τα ΔΑΕ αντιμετωπίστηκαν ενδοαυλικά (47) ΕΙΣΑΓΩΓΗΕΙΣΑΓΩΓΗ
  • 7.
    N Ηλικία ΦύλοΣυνοδές Παθήσεις Συμπτώματα Αλλοιώσεις κοιλιακής αορτής Αντιμετώπιση Α/Θ ΑΥ ΣΝ ΠΑΑ Άλγος Σοκ Εμβολή κάτω άκρων Κανένα ΔΑΕ Ψευδοανευρύσμα Ρήξη Ανοιχτή Ενδοαυλική Lagaa 1974 3 58 3/0 1 3 0 3 1 0 0 0 0 3 3 0 Comud 1980 1 53 1/0 0 1 0 1 0 0 0 0 0 1 1 0 Barbier 1983 1 73 0/1 0 0 0 1 0 0 0 0 0 1 1 0 Barba 1990 1 37 1/0 0 0 0 0 0 1 0 1 0 0 1 0 Harris 1994 7 NA NA NA NA NA 0 0 2 5 6 1 0 1 0 Origuchi 1996 4 59 3/1 1 0 0 4 0 0 0 0 0 4 4 0 Goldstein 1997 1 67 1/0 1 1 0 1 0 0 0 0 0 1 1 0 Moriyama 1998 1 74 1/0 1 0 0 0 0 0 1 0 0 0 1 0 Taylor 1999 2 NA NA NA NA NA 0 0 0 2 0 2 0 2 0 Quint 2001 6 NA NA NA NA NA NA NA NA NA 6 0 0 0 0 Toda 2001 1 70 2/0 2 0 0 2 0 0 0 0 2 0 2 0 Farooq 2001 2 68 2/0 2 0 1 0 0 1 1 0 2 0 2 0 Saiki 2001 1 81 0/1 1 0 0 1 0 0 0 0 1 1 1 0 Tsuji 2003 4 78 4/0 4 2 0 3 0 0 1 1 1 2 0 4 Vasquez 2003 1 81 1/0 1 0 0 1 0 0 0 0 0 1 0 1 Ventura 2003 1 68 0/1 1 0 0 1 0 0 0 1 0 0 1 0 Takagi 2004 1 64 1/0 NA NA NA 1 0 0 0 0 1 0 1 0 Batt 2005 8 70 7/1 4 3 6 4 1 1 2 0 5 3 5 3 Chervenkov 2005 1 80 1/0 1 0 0 1 0 0 0 1 0 0 1 0 Eggebrecht 2006 2 70 2/0 1 0 0 0 0 0 2 NA NA NA 0 2 Dalainas 2007 2 NA NA NA NA NA 2 0 0 0 2 0 0 0 2 Pifaretti 2007 13 77 12/1 13 2 6 1 1 3 8 6 6 1 0 13 Polombo 2008 5 69 5/0 NA NA NA 1 0 0 4 0 5 0 0 5 Geisbusch 2008 12 NA NA NA NA NA NA NA NA NA NA NA NA 0 12 Present report 2010 13 67 13/0 11 4 3 10 3 0 2 1 11 5 0 13 ΣύνολοΣύνολο 9494 60/660/6 4545 1616 1616 3838 66 88 2828 2255 3737 2323 2828 5555
  • 8.
    ΥΛΙΚΟΥΛΙΚΟ  2003 έως2009 στα νοσ.Παπανικολάου και Παν.Γεν.Νοσ.Αλεξανδρούπολης2003 έως 2009 στα νοσ.Παπανικολάου και Παν.Γεν.Νοσ.Αλεξανδρούπολης  Συνολικά: 432 ασθενείς με υπονεφρικό ΑΚΑΣυνολικά: 432 ασθενείς με υπονεφρικό ΑΚΑ  13 ασθενείς είχαν υπονεφρικά ΔΑΕ13 ασθενείς είχαν υπονεφρικά ΔΑΕ  Όλοι ήταν άνδρεςΌλοι ήταν άνδρες  Μέσος όρος ηλικίας: 66Μέσος όρος ηλικίας: 66.6.6±10±10.1.1 έτηέτη
  • 9.
  • 10.
    ΣΥΝΟΔΕΣ ΠΑΘΗΣΕΙΣΣΥΝΟΔΕΣ ΠΑΘΗΣΕΙΣ 1111  αρτηριακή υπέρτασηαρτηριακή υπέρταση  77  υπερλιπιδαιμίαυπερλιπιδαιμία  55  χρόνια νεφρική ανεπάρκειαχρόνια νεφρική ανεπάρκεια  44  στεφανιαία νόσοστεφανιαία νόσο  33  περιφερική αγγειοπάθειαπεριφερική αγγειοπάθεια  11  χρόνια αποφρακτική πνευμονοπάθειαχρόνια αποφρακτική πνευμονοπάθεια  11  χρόνια λεμφογενή λευκαιμίαχρόνια λεμφογενή λευκαιμία  11  σακχαρώδη διαβήτησακχαρώδη διαβήτη
  • 11.
     2 Ασυμπτωματικοί2Ασυμπτωματικοί  11 Συμπτωματικοί11 Συμπτωματικοί  3 καταπληξία3 καταπληξία  6 κοιλιακό άλγος ή οσφυαλγία6 κοιλιακό άλγος ή οσφυαλγία  1 διαλείπουσα χωλότητα1 διαλείπουσα χωλότητα  12/13 ΔΑΕ ήταν επιπλεγμένα (ψευδοανεύρυσμα ή ρήξη)12/13 ΔΑΕ ήταν επιπλεγμένα (ψευδοανεύρυσμα ή ρήξη) ΥΛΙΚΟ - ΑΠΟΤΕΛΕΣΜΑΤΑΥΛΙΚΟ - ΑΠΟΤΕΛΕΣΜΑΤΑ
  • 12.
    ΔιάγνωσηΔιάγνωση  USUS  CTCTμεμε iviv σκιαγραφικόσκιαγραφικό  ±±ΑορτογραφίαΑορτογραφία ΥΛΙΚΟ - ΑΠΟΤΕΛΕΣΜΑΤΑΥΛΙΚΟ - ΑΠΟΤΕΛΕΣΜΑΤΑ
  • 13.
    Περιοχική αναισθησία (6/13)Περιοχικήαναισθησία (6/13) Τοπική αναισθησία (6/13)Τοπική αναισθησία (6/13)  Ενδαγγειακή αντιμετώπιση με επικαλυμμένη ενδοπρόθεσηΕνδαγγειακή αντιμετώπιση με επικαλυμμένη ενδοπρόθεση  6 αορτοδιλαγόνιες ενδ.6 αορτοδιλαγόνιες ενδ.  3 αορτομονολαγόνιες ενδ.3 αορτομονολαγόνιες ενδ.  4 σωληνωτές ενδ.4 σωληνωτές ενδ.  Oversizing ≈ 10Oversizing ≈ 10%% ΑΠΟΤΕΛΕΣΜΑΤΑΑΠΟΤΕΛΕΣΜΑΤΑ
  • 14.
    Ασθενής ΑορτομονολαγόνιαΑορτομονολαγόνια ΑορτοδιλαγόνιαΑορτοδιλαγόνιαΣωληνωτήΣωληνωτή 1 Endofit SG 26 X 140 X 14 mm 2 Δύο Εxcluder 35 X 23 mm 3 Εxcluder 26X145X14mm 4 Endofit SG 26 X 140 X 14 mm 5 Endurarnt Medronic Σκέλος Μοσχεύματος 20 X 80 mm 6 Endurarnt Medronic 25 X 145 x 13mm 7 Endurarnt Medronic Σκέλος Μοσχεύματος 16 X 80 mm 8 Excluder 26 x 145 x 14 mm 9 Talent 28 Χ 170 Χ 16 mm 10 Talent 35 Χ 26 mm 11 Talent 26 Χ140 Χ 16 mm 12 Excluder 28 Χ 140 Χ 14 mm 13 Excluder 25 Χ 170 Χ 16 mm
  • 15.
     100% επιτυχίατης τεχνικής100% επιτυχία της τεχνικής  12/13:12/13: ομαλή ΜΤΧ πορεία – Εξιτήριοομαλή ΜΤΧ πορεία – Εξιτήριο 1/13:1/13: θάνατος την 5θάνατος την 5ηη ΜΤΧ ημέρα από σύνδρομο ανεπαρκείαςΜΤΧ ημέρα από σύνδρομο ανεπαρκείας πολλαπλών οργάνων (ρήξηπολλαπλών οργάνων (ρήξη-shock-shock))  Παρακολούθηση: 3-6-12 μήνες και ετησίως κατόπιν, 4Παρακολούθηση: 3-6-12 μήνες και ετησίως κατόπιν, 4..2 έτη (μ.ο.)2 έτη (μ.ο.)  22 επιπλέον θανάτοιεπιπλέον θανάτοι (αιματολογικό νόσημα και καρκίνος πνεύμονα)(αιματολογικό νόσημα και καρκίνος πνεύμονα) ΑΠΟΤΕΛΕΣΜΑΤΑΑΠΟΤΕΛΕΣΜΑΤΑ
  • 16.
    Περίπτωση 1Περίπτωση 1ηη •Άρρεν •53ετών •Κοιλιακό άλγος •Ψευδοανεύρυσμα •Σωληνωτή ενδοπροθέση (Σκέλος Μοσχεύματος 20 X 80mm Endurarnt Medronic)
  • 17.
    Περίπτωση 2Περίπτωση 2ηη •Άρρεν •78ετών •Οσφυϊκό άλγος •Ρήξη •Αορτοδιλαγόνια ενδοπροθέση (Excluder 28 Χ 140 Χ 14 mm) •
  • 18.
    Περίπτωση 3Περίπτωση 3ηη •Άρρεν •62ετών •Κοιλιακό – οσφυϊκό άλγος •Σοκ •Ψευδοανεύρυσμα -Ρήξη •Αορτοδιλαγόνια ενδοπροθέση(25 X 145 x 13mm Endurarnt Medronic)
  • 19.
    Περίπτωση 4Περίπτωση 4ηη •Άρρεν •68ετών •Κοιλιακό άλγος •Ψευδοανεύρυσμα •Δύο Σωληνωτές ενδοπροθέσεις (excluder 3.5 x 23 m2 )
  • 20.
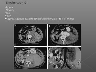
    Περίπτωση 5Περίπτωση 5ηη •Άρρεν •50ετών •Σοκ •Ρήξη •Αορτοδιλαγόνια ενδοπροθέση(Excluder 26 x 145 x 14 mm3)
  • 21.
    Περίπτωση 6Περίπτωση 6ηη •Άρρεν •76ετών •Σοκ •Ρήξη •Αορτομονολαγόνια ενδοπροθέση Endofit 26 x 140 x 14 mm3 •θάνατος την 5η ΜΤΧ ημέρα από σύνδρομο ανεπαρκείας πολλαπλών οργάνων
  • 22.
     Τα ΚοιλιακάΤαΚοιλιακά Διατιτραίνοντα Αθηρωσκληρωτικά Έλκη είναιΔιατιτραίνοντα Αθηρωσκληρωτικά Έλκη είναι συμπτωματικά και επιπλεγμένα σε πολύ υψηλό ποσοστόσυμπτωματικά και επιπλεγμένα σε πολύ υψηλό ποσοστό  Η ενδαγγειακή αποκατάσταση ακόμη και με διχαλωτές ενδοπροθέσειςΗ ενδαγγειακή αποκατάσταση ακόμη και με διχαλωτές ενδοπροθέσεις έχει υψηλό ποσοστό επιτυχίαςέχει υψηλό ποσοστό επιτυχίας  Η ενδαγγειακή αντιμετώπιση αποτελεί επέμβαση εκλογήςΗ ενδαγγειακή αντιμετώπιση αποτελεί επέμβαση εκλογής ΣΥΜΠΕΡΑΣΜΑΣΥΜΠΕΡΑΣΜΑ