Dr Kishore Vemula MS(ortho)
Senior Resident
Department Of Orthopaedics
Apollo Medical College,chittoor.
REGIONAL CONDITIONS OF SPINE
(SPONDYLOLISTHEIS)
Any Difference???
HISTORY
In 1782,Herbiniaux, A British Obstetritian Noted A Bone
Prominence Infront Of Sacrum That Caused Problems In Delivary
In 1854… Kilian Coined The Term Spondylolisthesis
Spondylo=spine
Olisthenein= Slip
Retrolisthesis( Backward Slip)
SPONDYLOLYSIS MEANS (APPG 2014)
1.Slip Of One Vertebra Over Its Caudal Vertebra
2. Defect Of Pars Interarticularis Causing Slip To Occur
3. Degenerative Condition Of Spine Charecterised By Disc Space
Narrowing, Osteophytes, Facet Arthropathy, Segmental Instability
4. Complete Forward Slip Of Vertebra Over Its Caudal Segment
(Complete Dissassociation Between Two Vertebra)
LISTHESIS
LYSIS
LOSIS OPTOSIS
NEWMANN CLASSIFICATION-- ETIOLOGICAL
• Lytic type 50%.... pars defects
• Dysplastic 20%.... Dysplasia of L5-S1 joint
• Degenerative 25%... Segmental instability due to age
• Post traumatic… defect in posterior elements other than pars
• Post surgical… excessive resection of posterior elements eg
laminectomy
• Pathological eg..multiple myeloma, infections
DYSPLASTIC TYPE
• < 20 Years
• Women Affects More
• Mostly Asymptomtic Resolves Before 20
Years
• L5-S1 Dysplasia Of Joint Surfaces
Leading To Slip
• Few Progress To Severe Neurological
Deficiencies
ISTHEMIC TYPE
• Most common type
• Age.. Adults
• ( sports activities)
• Mc site >> L5-S1
• Defect in pars
DEGENERATIVE TYPE
• Segmental Instability Due To Degeneration
• Mostly Asymptomatic
• Auto Stabilisation Occurs
• Common In Females
• Common In L4-L5 Area
HIGHER RISK OF SLIP PROGRESSION
• Females
• Young age
• High grade slip
• More slip angle
• Inclined or dome shaped sacrum
• Segmental instability in flextion and extension views
CLINICAL FEATURES
Mostly Asymptomatic
Low Back Ache … Mc Symptom
Muscle Spasms
Disc Bulges Or Tears
Compression Of Nerve Roots
May Progress To Severe Neurological Deficits
Bladder And Bowel Dysfunction
SIGNS
• Flat buttocks
• Absence of waist line
• lumbar hyperlordosis
• Transverse loin crease
• Palpation step sign
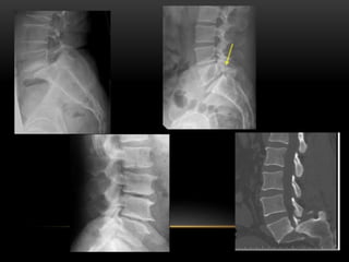
DIAGNOSIS
• X Rays
• Ap View … Napolean Hat Sign
• Lateral View
• Oblique Views… Scottish Dog With Collar Sign
• Flexion And Extension Lateral Views …
For Segmental Instability
INERTED NAPOLEAN HAT SIGN ON AP VIEW
OBLIQUE VIEWS .. SCOTTISH DOG WITH
COLLAR APPEARANCE
FLEXION AND EXTENSION VIEWS
• MRI
• SPECT … MOST SENSITIVE INVESTIGATION TO
FIND IMPENDING SPONDYLOLYSIS AND
PROGRESSION
MANAGEMENT
• Conservative
Rest, restriction of activities
brace for longer periods
Physio therapy
SURGERY .. INDICATIONS
• Severe neurological pain
• Neurological deficiencies
• Bladder and bowel disturbances
• High grade slip >50% with high risk of progression
OPERATIVE MANAGEMENT
Includes a combination of these proceedures…
• Decompression
• Pedicle screw fixation (stabilisation)
• Vertebral fusion
SUMMARY
• Listhesis means slip of vertebra
• Lysis means pars defect
• Mc type lytic type
• Mc in men ( dysplastic, degenarative common in females)
• Females more prone for progression
• Mostly asymptomatic
• Mostcommon symptom is LBA
• Step sign on palpation
• Scottish dog with collar on oblique views
• Severe pain,high grade slip, neurological defieciencies are indications of
surgery
Hope this is enough!!!!!
Thank
you ...

Spondylolisthesis

  • 1.
    Dr Kishore VemulaMS(ortho) Senior Resident Department Of Orthopaedics Apollo Medical College,chittoor. REGIONAL CONDITIONS OF SPINE (SPONDYLOLISTHEIS)
  • 2.
  • 3.
    HISTORY In 1782,Herbiniaux, ABritish Obstetritian Noted A Bone Prominence Infront Of Sacrum That Caused Problems In Delivary In 1854… Kilian Coined The Term Spondylolisthesis Spondylo=spine Olisthenein= Slip Retrolisthesis( Backward Slip)
  • 4.
    SPONDYLOLYSIS MEANS (APPG2014) 1.Slip Of One Vertebra Over Its Caudal Vertebra 2. Defect Of Pars Interarticularis Causing Slip To Occur 3. Degenerative Condition Of Spine Charecterised By Disc Space Narrowing, Osteophytes, Facet Arthropathy, Segmental Instability 4. Complete Forward Slip Of Vertebra Over Its Caudal Segment (Complete Dissassociation Between Two Vertebra)
  • 7.
  • 8.
    NEWMANN CLASSIFICATION-- ETIOLOGICAL •Lytic type 50%.... pars defects • Dysplastic 20%.... Dysplasia of L5-S1 joint • Degenerative 25%... Segmental instability due to age • Post traumatic… defect in posterior elements other than pars • Post surgical… excessive resection of posterior elements eg laminectomy • Pathological eg..multiple myeloma, infections
  • 9.
    DYSPLASTIC TYPE • <20 Years • Women Affects More • Mostly Asymptomtic Resolves Before 20 Years • L5-S1 Dysplasia Of Joint Surfaces Leading To Slip • Few Progress To Severe Neurological Deficiencies
  • 10.
    ISTHEMIC TYPE • Mostcommon type • Age.. Adults • ( sports activities) • Mc site >> L5-S1 • Defect in pars
  • 11.
    DEGENERATIVE TYPE • SegmentalInstability Due To Degeneration • Mostly Asymptomatic • Auto Stabilisation Occurs • Common In Females • Common In L4-L5 Area
  • 13.
    HIGHER RISK OFSLIP PROGRESSION • Females • Young age • High grade slip • More slip angle • Inclined or dome shaped sacrum • Segmental instability in flextion and extension views
  • 14.
    CLINICAL FEATURES Mostly Asymptomatic LowBack Ache … Mc Symptom Muscle Spasms Disc Bulges Or Tears Compression Of Nerve Roots May Progress To Severe Neurological Deficits Bladder And Bowel Dysfunction
  • 15.
    SIGNS • Flat buttocks •Absence of waist line • lumbar hyperlordosis • Transverse loin crease • Palpation step sign
  • 16.
    DIAGNOSIS • X Rays •Ap View … Napolean Hat Sign • Lateral View • Oblique Views… Scottish Dog With Collar Sign • Flexion And Extension Lateral Views … For Segmental Instability
  • 17.
    INERTED NAPOLEAN HATSIGN ON AP VIEW
  • 18.
    OBLIQUE VIEWS ..SCOTTISH DOG WITH COLLAR APPEARANCE
  • 19.
  • 20.
    • MRI • SPECT… MOST SENSITIVE INVESTIGATION TO FIND IMPENDING SPONDYLOLYSIS AND PROGRESSION
  • 21.
    MANAGEMENT • Conservative Rest, restrictionof activities brace for longer periods Physio therapy
  • 22.
    SURGERY .. INDICATIONS •Severe neurological pain • Neurological deficiencies • Bladder and bowel disturbances • High grade slip >50% with high risk of progression
  • 23.
    OPERATIVE MANAGEMENT Includes acombination of these proceedures… • Decompression • Pedicle screw fixation (stabilisation) • Vertebral fusion
  • 25.
    SUMMARY • Listhesis meansslip of vertebra • Lysis means pars defect • Mc type lytic type • Mc in men ( dysplastic, degenarative common in females) • Females more prone for progression • Mostly asymptomatic • Mostcommon symptom is LBA • Step sign on palpation • Scottish dog with collar on oblique views • Severe pain,high grade slip, neurological defieciencies are indications of surgery
  • 26.
    Hope this isenough!!!!! Thank you ...