A Primer of Diagnostic Ultrasonic Imaging
A Primer of Diagnostic Ultrasonic Imaging
           Brought to you by
           Nicole and her dad
A Primer of Diagnostic Ultrasonic Imaging
           Brought to you by
           Nicole and her dad
  with special acknowledgment to our
   expert sonographer Denise Nunes
A Primer of Diagnostic Ultrasonic Imaging
Outline of Topics Covered
   What is ultrasonic imaging, what can be
  imaged and why?
   Modalities
      • A-mode, B-mode, 2D imaging
      • 3D rendering
      • M-mode
      • Doppler modes
         * Color Flow (CF)
         * Spectral Doppler
A Primer of Diagnostic Ultrasonic Imaging

 What is ultrasonic imaging?
   .
A Primer of Diagnostic Ultrasonic Imaging

 What is ultrasonic imaging?
 Ultrasonic imaging is the transmission of very high
 frequent inaudible sound waves into the body by an
 ultrasonic transducer, then receiving echo information for
 tissue structures with the same transducer. The echo
 information is then electronically processed to form a
 viewable image of the tissue structures. This is very
 similar to to the sonar process used in the Navy for
 finding underwater objects.
A Primer of Diagnostic Ultrasonic Imaging

 What can be imaged?
  Soft tissue and fluids.
A Primer of Diagnostic Ultrasonic Imaging

 What can be imaged?
  Soft tissue and fluids
   .

 What can’t be imaged?
  Bone and air, e.g. lungs
A Primer of Diagnostic Ultrasonic Imaging

 Why?
A Primer of Diagnostic Ultrasonic Imaging

 Why?

 Diagnostic ultrasonic imaging is used by
 doctors to view internal body structures
 for the diagnosis of diseases, abnormality
 of structures, and even blood flow.
A Primer of Diagnostic Ultrasonic Imaging
 Modalities
   A-mode, B-mode, 2D imaging
A Primer of Diagnostic Ultrasonic Imaging
 Modalities
   A-mode




         Suzanne Amador Kane, Haverford College, “Ultrasound Imaging Physics”
A Primer of Diagnostic Ultrasonic Imaging
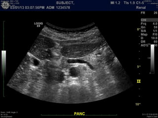
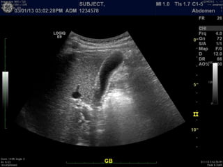
 Modalities
   B-mode, 2D imaging
A Primer of Diagnostic Ultrasonic Imaging
   3D rendering
A Primer of Diagnostic Ultrasonic Imaging
Modalities
  M-mode, or motion mode
A Primer of Diagnostic Ultrasonic Imaging
 Modalities
   A-mode




         Suzanne Amador Kane, Haverford College, “Ultrasound Imaging Physics”
M-mode image
A Primer of Diagnostic Ultrasonic Imaging
 Modalities
   Doppler modes
A Primer of Diagnostic Ultrasonic Imaging
 Modalities
   Doppler modes




   Source: World Health Organization, “Manual of diagnostic ultrasound”
A Primer of Diagnostic Ultrasonic Imaging
 Modalities
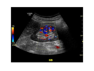
   Doppler modes:
    Color Flow (CF)
    Spectral Doppler
A Primer of Diagnostic Ultrasonic Imaging
 Modalities
   Doppler modes
   Color Flow (CF)
A Primer of Diagnostic Ultrasonic Imaging
 Modalities
   Spectral Doppler
A Primer of Diagnostic Ultrasonic Imaging
 Modalities
   A-mode




         Suzanne Amador Kane, Haverford College, “Ultrasound Imaging Physics”
A Primer of Diagnostic Ultrasonic Imaging
Review
     • A-mode, B-mode (aka 2D imaging)
     • 3D rendering
     • M-mode (aka motion mode)
     • Doppler modes
        * Color Flow (CF)
        * Spectral Doppler

SPED 54 Presentation

  • 1.
    A Primer ofDiagnostic Ultrasonic Imaging
  • 2.
    A Primer ofDiagnostic Ultrasonic Imaging Brought to you by Nicole and her dad
  • 3.
    A Primer ofDiagnostic Ultrasonic Imaging Brought to you by Nicole and her dad with special acknowledgment to our expert sonographer Denise Nunes
  • 4.
    A Primer ofDiagnostic Ultrasonic Imaging Outline of Topics Covered  What is ultrasonic imaging, what can be imaged and why?  Modalities • A-mode, B-mode, 2D imaging • 3D rendering • M-mode • Doppler modes * Color Flow (CF) * Spectral Doppler
  • 5.
    A Primer ofDiagnostic Ultrasonic Imaging What is ultrasonic imaging? .
  • 6.
    A Primer ofDiagnostic Ultrasonic Imaging What is ultrasonic imaging? Ultrasonic imaging is the transmission of very high frequent inaudible sound waves into the body by an ultrasonic transducer, then receiving echo information for tissue structures with the same transducer. The echo information is then electronically processed to form a viewable image of the tissue structures. This is very similar to to the sonar process used in the Navy for finding underwater objects.
  • 7.
    A Primer ofDiagnostic Ultrasonic Imaging What can be imaged? Soft tissue and fluids.
  • 8.
    A Primer ofDiagnostic Ultrasonic Imaging What can be imaged? Soft tissue and fluids . What can’t be imaged? Bone and air, e.g. lungs
  • 9.
    A Primer ofDiagnostic Ultrasonic Imaging Why?
  • 10.
    A Primer ofDiagnostic Ultrasonic Imaging Why? Diagnostic ultrasonic imaging is used by doctors to view internal body structures for the diagnosis of diseases, abnormality of structures, and even blood flow.
  • 11.
    A Primer ofDiagnostic Ultrasonic Imaging Modalities A-mode, B-mode, 2D imaging
  • 12.
    A Primer ofDiagnostic Ultrasonic Imaging Modalities A-mode Suzanne Amador Kane, Haverford College, “Ultrasound Imaging Physics”
  • 13.
    A Primer ofDiagnostic Ultrasonic Imaging Modalities B-mode, 2D imaging
  • 19.
    A Primer ofDiagnostic Ultrasonic Imaging 3D rendering
  • 21.
    A Primer ofDiagnostic Ultrasonic Imaging Modalities M-mode, or motion mode
  • 22.
    A Primer ofDiagnostic Ultrasonic Imaging Modalities A-mode Suzanne Amador Kane, Haverford College, “Ultrasound Imaging Physics”
  • 23.
  • 24.
    A Primer ofDiagnostic Ultrasonic Imaging Modalities Doppler modes
  • 25.
    A Primer ofDiagnostic Ultrasonic Imaging Modalities Doppler modes Source: World Health Organization, “Manual of diagnostic ultrasound”
  • 26.
    A Primer ofDiagnostic Ultrasonic Imaging Modalities Doppler modes: Color Flow (CF) Spectral Doppler
  • 27.
    A Primer ofDiagnostic Ultrasonic Imaging Modalities Doppler modes Color Flow (CF)
  • 32.
    A Primer ofDiagnostic Ultrasonic Imaging Modalities Spectral Doppler
  • 33.
    A Primer ofDiagnostic Ultrasonic Imaging Modalities A-mode Suzanne Amador Kane, Haverford College, “Ultrasound Imaging Physics”
  • 36.
    A Primer ofDiagnostic Ultrasonic Imaging Review • A-mode, B-mode (aka 2D imaging) • 3D rendering • M-mode (aka motion mode) • Doppler modes * Color Flow (CF) * Spectral Doppler