The Respiratory System Nhelia B. Perez RN, MSN Northeastern College Santiago City
Respiratory system allows for gas exchange
Anatomically , the respiratory system consists of an  upper respiratory tract and a lower respiratory tract .  Functionally , it can be divided into a  conducting portion  (“the pipes”) and a  respiratory portion  (tiny air sacs where gas exchange occurs.
The primary function most of us associate with the respiratory tract is  breathing,  which consists of inhalation (inspiration) and exhalation (expiration).
The inhaled air is “conditioned”  prior to reaching the tiny air sacs of the lungs.  The gases are warmed, humidified, and cleansed of particulate matter through contact with the respiratory epithelium.
The respiratory system not only allows gas exchange, it also promotes vocalization.
Cranial nerve I  (olfactory nerve) relies upon  chemoreceptors  in upper nasal mucous membranes.
The structure of the respiratory system  protects the body  by trapping foreign debris in mucus and destroying microbes with lysozyme.
Read about  cystic fibrosis  in the  two  clinical views in your text
The  upper respiratory tract  consists of the  nose and nasal cavity ,  the paranasal sinuses, the pharynx (throat), and structures associated with all of the above .  All of these are part of the  conducting portion  of the respiratory tract.
The  external portion of the nose  consists of cartilage and bone
Pliable  cartilage  forms the distal portions of the nose. Paired  nostrils (external nares)  open on the inferior surface of the nose
The  roof of the nose  consists of the  nasal bones, the frontal bone , the  cribriform plate of the ethmoid bone, and the sphenoid bone . The  floor of the nose  consists of the  horizontal plate of the maxillae and the horizontal portions of the palatine bones .
The anterior region of the nasal cavity, near the nostrils, is called the  vestibule .  Near the vestibule are coarse hairs called  vibrissae  to help trap large particles.
Nasal hairs  (vibrissae)
The nose is coated with  ciliated epithelial cells  which move a blanket of  mucus  posteriorly towards the nasopharynx.
Locations in upper mucous membranes of the nasal cavity where  chemoreceptors of olfactory nerve  are located.
The  nasal septum , which is composed of  septal cartilage, perpendicular plate of the ethmoid bone, and the vomer bone , divides the nose completely until it empties into the pharynx.
The lateral  walls of the nose  are formed primarily by the conchae (turbinates). The maxillary bones, palatine bones, and lacrimal bones also contribute to the walls. Lacrimal bone
Note the opening of the  nasolacrimal duct  (tear duct) just inferior to the inferior nasal conchae.  This explains why your nose runs when crying occurs.
The  paranasal sinuses  are lined with cilia and mucous and all drain into the nasal cavity.
The  cilia  in the sinuses move the  mucous  out through the exit that leads to the nose.
The  frontal sinuses, ethmoidal sinuses, sphenoidal sinuses, and maxillary sinuses  are shown.  Each is lined with mucous and cilia and each drains into the nasal cavity.
Each sinus has its own opening into the nose
The  maxillary sinuses  are quite large and drain high on their medial side.
Because the drainage of the  maxillary sinuses  is so high, fluid has a tendency to accumulate and result in an infection (sinusitis). Region of drainage Maxillary sinus
The  pharynx  (throat) for most of its length (except for the nasopharynx) is a common pathway for both inhaled and exhaled air and for ingested food.
There are  three regions to the pharynx  (throat).
The  nasopharynx,  which is lined with cilia,   is the portion of the throat behind the nose. The  Eustachian tubes  from the middle ear open into this region and the  uvula  is in the lower portion of this region.
The  uvula , which is the most posterior portion of the soft palate,  rises upward with the soft palate during swallowing  to block food or liquids from entering the nasopharynx.
Note the  soft palate and uvula  preventing food or liquids from entering the nasopharynx during swallowing.
The palatine tonsils are the masses of lymphatic tissue you see at the back of the oropharynx while the  pharyngeal tonsils (adenoids) are not apparent and are located in the nasopharynx . (Adenoids)
This is a  posterior view of the nasopharynx  showing the pharyngeal tonsils (adenoids).  Note also the conchae (turbinates), soft palate, uvula, and nasal septum. Conchae
The  oropharynx  is the portion of the throat behind the mouth.  The visible  palatine tonsils  can be seen at this location.
This small snake has navigated the nasal cavity, the nasopharynx, the oropharynx, and the mouth (buccal cavity). Head Tail
Usually, there are several groups of  tonsils  found in the pharynx:  pharyngeal tonsils  (adenoids),  palatine tonsils , and  lingual tonsils .
The  laryngopharynx  is the lowest portion of the throat.  It allows food or liquids into the esophagus and air in and out of the trachea.
The most common location for large pieces of food to get stuck is the  laryngopharynx .
The  lower respiratory tract  is made up of  conduction airways  (larynx, trachea, bronchi, bronchioles, and associated structures) as well as the  respiratory portion  of the respiratory system (reparatory bronchioles, alveolar ducts, and alveoli).
The  larynx  (voice box) connects the laryngopharynx to the trachea.  Inferior to the vocal cords, the larynx is lined with cilia.
The  larynx , despite being called the “voice box” is shaped more like a shield.  It is open posteriorly.  Note the  epiglottis, thyroid cartilage (Adam’s apple), and the circular cricoid cartilage .
The laryngeal prominence is created by the  thyroid cartilage  and is commonly called the Adam’s apple.
Note  thyroid cartilage, cricothyroid ligament,  and  cricoid cartilage .
The  cricoid cartilage  is a complete circle and connects the thyroid cartilage above with the trachea below. An emergency airway ( cricothyrotomy)  can be made by cutting through the cricothyroid ligament.
 
 
Note the spoon-shaped  epiglottis  that is pivoted shut when the larynx rises superiorly during swallowing.
The  epiglottis  closes posteriorly (towards the spine) when the larynx moves superiorly during swallowing.
Posterior view showing the  epiglottis  in an open position
Note  epiglottis closing posteriorly  to cover the entrance to the larynx during swallowing so the mass of blue food can only enter the esophagus.
Laryngoscope  for visualizing the larynx
The tip of the laryngoscope moves the epiglottis  anteriorly
The tip of the  laryngoscope  either pivots the epiglottis anteriorly at its base  or  actually touches the epiglottis to pull it anteriorly.  In both instances the epiglottis moves away from the spine and makes it easier to look down into the larynx.
False vocal cords The  false vocal cords  (vestibular folds) support the true vocal cords just below.  The false cords do not produce sound.
The  true vocal cords  vibrate when air is passed over them and produce sound.  The vocal cords of males are longer, vibrate more slowly than those of females, and produce lower pitches.
The opening between the vocal folds (true vocal cords) is called the  rima glottidis .  The term  glottis  refers to the rima glottidis plus the vocal folds. When air is forced through the rima glottidis, the vocal folds vibrate, and this vibration produces sound.
The  range  of voices is determined by the length of the vocal folds,  pitch  is determined by the tightness of the vocal folds, and  loudness  is depends on the force of air passing the vocal folds.
The lips, tongue, oral cavity, nasal cavity, sinuses, and constriction of pharyngeal walls all contribute to the recognizable generation of  speech.
Read about  laryngitis  in the  clinical view  in the text
The  trachea  connects the larynx to the primary bronchi.  The trachea is located anterior to the esophagus and is held open by C-shaped hyaline cartilage rings with the open part of the C facing posteriorly to allow the esophagus to bulge anteriorly when food is passing down the esophagus.
Internal view of the  trachea.   Note arches created by C-shaped hyaline cartilage rings that keep the trachea open (patent).
The  trachealis muscle , which spans the open end of the C-shaped rings, can contract to narrow the trachea so air moves more rapidly to help expel a foreign object or mucus.
 
Coughing and sneezing are  forced expiration  and employ the  internal intercostals  to force the ribs down and in and the  abdominal muscles  to force the abdominal organs in and up against the diaphragm.  The  trachealis muscle  narrows the trachea to make this expulsion more forceful.
The  trachea  is lined with  ciliated epithelium and mucus secreting cells .  Dust and foreign particles are swept up into the pharynx where the mucus is  either coughed out or swallowed .
Color enhanced view of  cilia  in the trachea.
Note that the right primary bronchus is more vertical   while the left primary bronchus leaves at a more acute angle  (because of the heart).  This means that foreign objects are more likely to lodge in the  right  lung as it is more of a straight down route.
 
Internal view of the  trachea.   Note the internal ridge ( carina ) that divides the origins of the left and right primary bronchi.
This  branching of the airways  looks like the branches of a tree (respiratory tree) with the trachea as the trunk.
As they branch, the airways ( bronchial tree ) get smaller and smaller until they reach the tiny bronchioles that have NO cartilage rings.
Branching of the airways
It is the small  bronchioles , which have NO cartilage rings to keep them open, that often narrow during an asthmatic or allergic attack.
The  terminal bronchioles  are  the final portion of the conducting system  and conduct air to the respiratory portion of the respiratory system.
Read about  bronchitis  in the  clinical view  in your text
The  terminal bronchioles  are  the final portion of the conducting system  and conduct air to the respiratory portion of the respiratory system.
Gas exchange occurs in the  alveoli
Alveolar macrophages  (dust cells) are migratory cells that constantly crawl within the alveoli, engulfing microbes and foreign material that has reached the alveoli.
WHICH OF THE FOLLOWING IS MOST RESPONSIBLE  FOR BLOOD FLOW (PERFUSION) OF THE ALVEOLI? A RIGHT VENTRICULAR SYSTOLE B PULMONARY VEINS C BRACHIAL ARTERIES D CAPILLARY REFILL AFTER COMPRESSION E ALL OF THE ABOVE
 
There is a partial vacuum that holds the  pleural membranes  together
Read about  pneumothorax  in the  clinical view
Note the  base  and the  apex  of the lungs.  Also note that the left lung only has two  lobes , while the right lung has three.
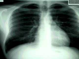
Read the  clinical view  in your text about  pneumonia
Blood  low in oxygen  is pumped from the right ventricle, into the  pulmonary trunk , and then into the  left and right pulmonary arteries  which deliver the blood to the  pulmonary capillaries .  Blood  high in oxygen  is then conducted by the  pulmonary veins  to the left atrium.
Bronchial arteries , from the systemic circulation, also bring blood to the lungs
Lymph nodes and vessels are closely associated with the lungs.  The lymphatic drainage of the  right lung  drains into the  right lymphatic duct  while the lymphatic drainage of the  left lung  goes to the  thoracic duct.
Breathing  (ventilation) is carried out by muscular structures surrounding the lungs
Inspiration  is an active process that occurs when the dome-shaped  diaphragm contracts downward and the external intercostals pull the ribs up and out .
During  inspiration  the movement of the diaphragm and ribs pull the parietal pleura out and down and the visceral pleura (with the attached lungs) follows.  Air is pulled in by negative pressure.
Expiration  is a passive process caused by the  elastic recoil  of the lung tissues.  This causes the ribs to move down and in and the diaphragm to be pulled upward.  This reduction of space causes air to be pushed out of the lungs by positive pressure.
In order to  passively exhale,  all a person needs to do is to stop nervous stimulation of the external intercostals and the diaphragm.  The  elasticity of the lungs  will then pull the ribs down and in and the diaphragm up.
The  internal intercostal muscles  can depress the ribs and diminish the volume of the thoracic cavity.  However, this only occurs during forceful exhalation (exercise or coughing/sneezing.
Read about  asthma  in the  clinical view  in the text
Sympathetic innervation  opens up airways while  parasympathetic innervation  narrows them. The respiratory control centers are located in the  pons  and in the  medulla oblongata .
Smoking an pollution can lead to  emphysema  and  lung cancer .  Read the  clinical view  in your text.
Putting babies to sleep  on their backs  will reduce risk of suffocation and  Sudden Infant Death Syndrome  (SIDS).  Read the  clinical view  in your text.
EVERYTHING PAST THIS POINT IS EXTRA OR FOR EXAMS
Preparation for a  tracheotomy , which is the  surgery  to open this airway in the trachea.
Contraction of the trachealis muscle, and narrowing of the trachea , can allow air to move more forcefully to expel mucus and debris
If the cartilage of the larynx or trachea were  crushed by trauma , these airways would collapse and death would quickly occur by asphyxiation.
Crepitus  may occur
Tracheotomy  procedure to open an airway in the trachea
Figure 13.p402
A  tracheostomy  is the  hole  made in the trachea following a tracheotomy
Tracheostomy
Note scar from tracheotomy done in childhood
The terminal bronchi empty into the thin-walled  alveoli
 
The  lungs  are large, spongy, paired organs in the thoracic cavity
Location of the lungs
The lungs are separated by the  mediastinum  which contains the heart, trachea, esophagus, thymus, and major blood vessels.
All structures of the respiratory tract beyond the primary bronchi are contained in the lungs.  Note the  right lung  has  three lobes  while the  left lung  has only  two lobes  because of the space taken up by the heart on that side.
WHICH  OF THE FOLLOWING  HAS BEEN LINKED  TO THE DEVELOPMENT OF  EMPHYSEM A? A CHEWING TOBACCO B AIR POLLUTION C STIFFLING A SNEEZE D COCAINE ABUSE E PREMATURE BIRTH
Read interest item about the dangers of smoking.
The serous membranes associated with the lungs are the outer  parietal pleura  and the inner  visceral pleura .
The  pleural cavity  is actually a “potential space” that is mostly occupied by the spongy tissues of the lungs.  Normally the two pleural membranes are close together like two pieces of Saran wrap with a small amount of lubricating pleural fluid between them.
If outside air entered the space between the pleural membranes (pleural space) the elastic lung tissue would collapse inward and the chest wall would expand outward.
WHICH  OF THE FOLLOWING  OCCURS  DURING RESTFUL  INSPIRATION ? A THE DIAPHRAGM MOVES SUPERIORLY B THE PHRENIC NERVE IS ACTIVATED C THE EPIGLOTTIS MOVES TOWARDS THE SPINE D THE INTERNAL INTERCOSTAL MUSCLES CONTRACT E THE MESENCEPHALON SENDS STIMULATORY IMPULSES TO THE CENTRAL TENDON
Cleft palate
Pounding of a child’s chest to loosen thick mucous caused by  cystic fibrosis
Cystic fibrosis  causes thick secretions to block the airways of the lungs and the ducts of the pancreas
Historically,  cystic fibrosis  was diagnosed by detecting increased chloride in induced sweat.
A recent treatment for  cystic fibrosis  is inhalation of DNAse to break up thick mucus.
Large pieces of food are most commonly lodged in the  laryngopharynx  blocking the entrance to the esophagus AND the entrance to the trachea
Heimlich maneuver  is designed to compress the diaphragm up and in to increase the thoracic pressure. Hopefully the blocking food will pop out like a champagne cork!
Out pops the food or obstructing object.
A blow to the abdomen, or a sudden fall onto one’s back, can  stretch the diaphragm and its associated nerves . It will then spasm for a brief period of time and fail to contract.  This temporary reduction in ventilatory ability is referred to as  “getting the wind knocked out of you”.
Singultus
The  common cold  can cause the nasal membranes to become inflamed and swell.
Note swollen mucous membranes from  common cold  on nasal conchae that may obstruct the drainage openings from the sinuses.
Inflammation and pain from  maxillary sinusitis
Scan showing pus collecting in infected maxillary sinus
Sinusitis is most painful
Swollen inflamed palatine tonsils.
 
 
 
Pleurisy  is a complication of a respiratory infection.  If is inflammation of the pleural membranes which results in pain as the membranes slide past each other during breathing.
Teens wanting to develop lung cancer
Lung cancer
Outside air between the pleural membranes  (pneumothorax) allows the elastic lung to collapse inward and the chest wall to expand outward.  The pleural cavity becomes obvious.  Once the lung is collapsed, the person has only the one lung to survive on.
Figure 25.07c
Figure 25.10b
Figure 25.12b
Figure 25.15a
Figure 25.15b
Figure 25.16a
Figure 25.16b
Figure 25.p778
Figure 25.p781a
Figure 25.06
Figure 25.06
Figure 25.07ab
Figure 25.07ab
Figure 25.09bc
Figure 25.p768
Figure 25.p776a
Figure 25.p776b
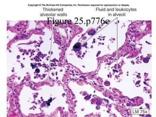
Figure 25.p776c
Figure 25.p783a
Figure 25.p783b
Figure 25.p783c
Figure 25.p784a
Figure 25.p784b
Figure 25.p784c
 
 
 
 
 
 
 
 
 
 
 
 
 
 
 
 
 
 
 
 
 
 
 
 
 
 
 
 
 
 
 
 
 
 
 
 
 
 
 
 
 
 
 
 
 
 
 
 
 
 
 
 
 
 
 
 
 
 
Tracheotomy surgery
Inserting airway into tracheotomy
Attaching tracheotomy hose
 
 
 
 
 
 
 
 
 
 
 
 
 
 
 
 
 
 
 
 
 
 
 
 
 
 
 
Right Maxillary Sinusitis
 
 
 
 
 
 
 
 
 
 
 
 
 
 
 
 
 
 
Vocal cords of larynx Cut throat in homicide Stab wound
 
 
 
 
 
 
 
 
 
Opening of maxillary sinus
 
 
 
Ventilation  (breathing) is the movement of gases in and out of lungs
 
 
 
 
 
 
 
 
 
 
Loudness  is determined by the force of the air passed over the vocal cords and the amount of vibrating.
 
 
Valsalva’s maneuver  also increases abdominal pressure to aid in childbirth (parturition).
Breathing  (ventilation) External respiration , which occurs in the alveoli, and  internal respiration , which occurs in active tissues throughout the body. Cellular respiration , which is metabolism in cells.
External respiration  occurs between alveoli and pulmonary capillaries
Internal respiration  occurs between tissue capillaries throughout the body and nearby cells.
Cellular respiration  is the use of oxygen and generation of carbon dioxide by cell metabolism.
Brain damage and death  can occur if breathing stop, or is cut off, for 7-8 minutes so that the body’s store of oxygen is depleted.
Valsalva’s maneuver  increases thoracic and abdominal pressure to help stabilize the spine while lifting heavy objects.
Coughing and sneezing  also keep the airways free of obstruction and help remove irritants.
WHAT DRAINS  FROM AN OPENING JUST INFERIOR TO THE INFERIOR NASAL CONCHAE? A SALIVARY GLAND B FLUID FROM ORBIT C ETHMOIDAL SINUSES D PHEROMONES E JUICE FROM THE “SMALL GRAPE” KNOWN AS THE UVULA
WHAT  IS CONNECTED BY THE  EUSTACHIAN TUBE ? A MASTOID AIR CELLS AND NOSE B TEMPORAL BONE AND NASOPHARYNX C CRANIAL CAVITY AND MIDDLE EAR D EXTERNAL EAR AND EAR DRUM E EYE AND NOSE
Epiglottitis  is inflammation of the epiglottis typically caused by a bacterial infection that may cause it to swell and block the airway.
Child with epiglottitis  getting an X ray
WHICH  OF THE FOLLOWING  OCCURS  DURING NORMAL SWALLOWING? A THE UVULA ELEVATES B THE EPIGLOTTIS OPENS C THE LARYNX IS DEPRESSED D THE GLOTTIS ALLOWS THE PASSAGE OF  FOOD E ALL OF THE ABOVE

Respiratory System

  • 1.
    The Respiratory SystemNhelia B. Perez RN, MSN Northeastern College Santiago City
  • 2.
    Respiratory system allowsfor gas exchange
  • 3.
    Anatomically , therespiratory system consists of an upper respiratory tract and a lower respiratory tract . Functionally , it can be divided into a conducting portion (“the pipes”) and a respiratory portion (tiny air sacs where gas exchange occurs.
  • 4.
    The primary functionmost of us associate with the respiratory tract is breathing, which consists of inhalation (inspiration) and exhalation (expiration).
  • 5.
    The inhaled airis “conditioned” prior to reaching the tiny air sacs of the lungs. The gases are warmed, humidified, and cleansed of particulate matter through contact with the respiratory epithelium.
  • 6.
    The respiratory systemnot only allows gas exchange, it also promotes vocalization.
  • 7.
    Cranial nerve I (olfactory nerve) relies upon chemoreceptors in upper nasal mucous membranes.
  • 8.
    The structure ofthe respiratory system protects the body by trapping foreign debris in mucus and destroying microbes with lysozyme.
  • 9.
    Read about cystic fibrosis in the two clinical views in your text
  • 10.
    The upperrespiratory tract consists of the nose and nasal cavity , the paranasal sinuses, the pharynx (throat), and structures associated with all of the above . All of these are part of the conducting portion of the respiratory tract.
  • 11.
    The externalportion of the nose consists of cartilage and bone
  • 12.
    Pliable cartilage forms the distal portions of the nose. Paired nostrils (external nares) open on the inferior surface of the nose
  • 13.
    The roofof the nose consists of the nasal bones, the frontal bone , the cribriform plate of the ethmoid bone, and the sphenoid bone . The floor of the nose consists of the horizontal plate of the maxillae and the horizontal portions of the palatine bones .
  • 14.
    The anterior regionof the nasal cavity, near the nostrils, is called the vestibule . Near the vestibule are coarse hairs called vibrissae to help trap large particles.
  • 15.
    Nasal hairs (vibrissae)
  • 16.
    The nose iscoated with ciliated epithelial cells which move a blanket of mucus posteriorly towards the nasopharynx.
  • 17.
    Locations in uppermucous membranes of the nasal cavity where chemoreceptors of olfactory nerve are located.
  • 18.
    The nasalseptum , which is composed of septal cartilage, perpendicular plate of the ethmoid bone, and the vomer bone , divides the nose completely until it empties into the pharynx.
  • 19.
    The lateral walls of the nose are formed primarily by the conchae (turbinates). The maxillary bones, palatine bones, and lacrimal bones also contribute to the walls. Lacrimal bone
  • 20.
    Note the openingof the nasolacrimal duct (tear duct) just inferior to the inferior nasal conchae. This explains why your nose runs when crying occurs.
  • 21.
    The paranasalsinuses are lined with cilia and mucous and all drain into the nasal cavity.
  • 22.
    The cilia in the sinuses move the mucous out through the exit that leads to the nose.
  • 23.
    The frontalsinuses, ethmoidal sinuses, sphenoidal sinuses, and maxillary sinuses are shown. Each is lined with mucous and cilia and each drains into the nasal cavity.
  • 24.
    Each sinus hasits own opening into the nose
  • 25.
    The maxillarysinuses are quite large and drain high on their medial side.
  • 26.
    Because the drainageof the maxillary sinuses is so high, fluid has a tendency to accumulate and result in an infection (sinusitis). Region of drainage Maxillary sinus
  • 27.
    The pharynx (throat) for most of its length (except for the nasopharynx) is a common pathway for both inhaled and exhaled air and for ingested food.
  • 28.
    There are three regions to the pharynx (throat).
  • 29.
    The nasopharynx, which is lined with cilia, is the portion of the throat behind the nose. The Eustachian tubes from the middle ear open into this region and the uvula is in the lower portion of this region.
  • 30.
    The uvula, which is the most posterior portion of the soft palate, rises upward with the soft palate during swallowing to block food or liquids from entering the nasopharynx.
  • 31.
    Note the soft palate and uvula preventing food or liquids from entering the nasopharynx during swallowing.
  • 32.
    The palatine tonsilsare the masses of lymphatic tissue you see at the back of the oropharynx while the pharyngeal tonsils (adenoids) are not apparent and are located in the nasopharynx . (Adenoids)
  • 33.
    This is a posterior view of the nasopharynx showing the pharyngeal tonsils (adenoids). Note also the conchae (turbinates), soft palate, uvula, and nasal septum. Conchae
  • 34.
    The oropharynx is the portion of the throat behind the mouth. The visible palatine tonsils can be seen at this location.
  • 35.
    This small snakehas navigated the nasal cavity, the nasopharynx, the oropharynx, and the mouth (buccal cavity). Head Tail
  • 36.
    Usually, there areseveral groups of tonsils found in the pharynx: pharyngeal tonsils (adenoids), palatine tonsils , and lingual tonsils .
  • 37.
    The laryngopharynx is the lowest portion of the throat. It allows food or liquids into the esophagus and air in and out of the trachea.
  • 38.
    The most commonlocation for large pieces of food to get stuck is the laryngopharynx .
  • 39.
    The lowerrespiratory tract is made up of conduction airways (larynx, trachea, bronchi, bronchioles, and associated structures) as well as the respiratory portion of the respiratory system (reparatory bronchioles, alveolar ducts, and alveoli).
  • 40.
    The larynx (voice box) connects the laryngopharynx to the trachea. Inferior to the vocal cords, the larynx is lined with cilia.
  • 41.
    The larynx, despite being called the “voice box” is shaped more like a shield. It is open posteriorly. Note the epiglottis, thyroid cartilage (Adam’s apple), and the circular cricoid cartilage .
  • 42.
    The laryngeal prominenceis created by the thyroid cartilage and is commonly called the Adam’s apple.
  • 43.
    Note thyroidcartilage, cricothyroid ligament, and cricoid cartilage .
  • 44.
    The cricoidcartilage is a complete circle and connects the thyroid cartilage above with the trachea below. An emergency airway ( cricothyrotomy) can be made by cutting through the cricothyroid ligament.
  • 45.
  • 46.
  • 47.
    Note the spoon-shaped epiglottis that is pivoted shut when the larynx rises superiorly during swallowing.
  • 48.
    The epiglottis closes posteriorly (towards the spine) when the larynx moves superiorly during swallowing.
  • 49.
    Posterior view showingthe epiglottis in an open position
  • 50.
    Note epiglottisclosing posteriorly to cover the entrance to the larynx during swallowing so the mass of blue food can only enter the esophagus.
  • 51.
    Laryngoscope forvisualizing the larynx
  • 52.
    The tip ofthe laryngoscope moves the epiglottis anteriorly
  • 53.
    The tip ofthe laryngoscope either pivots the epiglottis anteriorly at its base or actually touches the epiglottis to pull it anteriorly. In both instances the epiglottis moves away from the spine and makes it easier to look down into the larynx.
  • 54.
    False vocal cordsThe false vocal cords (vestibular folds) support the true vocal cords just below. The false cords do not produce sound.
  • 55.
    The truevocal cords vibrate when air is passed over them and produce sound. The vocal cords of males are longer, vibrate more slowly than those of females, and produce lower pitches.
  • 56.
    The opening betweenthe vocal folds (true vocal cords) is called the rima glottidis . The term glottis refers to the rima glottidis plus the vocal folds. When air is forced through the rima glottidis, the vocal folds vibrate, and this vibration produces sound.
  • 57.
    The range of voices is determined by the length of the vocal folds, pitch is determined by the tightness of the vocal folds, and loudness is depends on the force of air passing the vocal folds.
  • 58.
    The lips, tongue,oral cavity, nasal cavity, sinuses, and constriction of pharyngeal walls all contribute to the recognizable generation of speech.
  • 59.
    Read about laryngitis in the clinical view in the text
  • 60.
    The trachea connects the larynx to the primary bronchi. The trachea is located anterior to the esophagus and is held open by C-shaped hyaline cartilage rings with the open part of the C facing posteriorly to allow the esophagus to bulge anteriorly when food is passing down the esophagus.
  • 61.
    Internal view ofthe trachea. Note arches created by C-shaped hyaline cartilage rings that keep the trachea open (patent).
  • 62.
    The trachealismuscle , which spans the open end of the C-shaped rings, can contract to narrow the trachea so air moves more rapidly to help expel a foreign object or mucus.
  • 63.
  • 64.
    Coughing and sneezingare forced expiration and employ the internal intercostals to force the ribs down and in and the abdominal muscles to force the abdominal organs in and up against the diaphragm. The trachealis muscle narrows the trachea to make this expulsion more forceful.
  • 65.
    The trachea is lined with ciliated epithelium and mucus secreting cells . Dust and foreign particles are swept up into the pharynx where the mucus is either coughed out or swallowed .
  • 66.
    Color enhanced viewof cilia in the trachea.
  • 67.
    Note that theright primary bronchus is more vertical while the left primary bronchus leaves at a more acute angle (because of the heart). This means that foreign objects are more likely to lodge in the right lung as it is more of a straight down route.
  • 68.
  • 69.
    Internal view ofthe trachea. Note the internal ridge ( carina ) that divides the origins of the left and right primary bronchi.
  • 70.
    This branchingof the airways looks like the branches of a tree (respiratory tree) with the trachea as the trunk.
  • 71.
    As they branch,the airways ( bronchial tree ) get smaller and smaller until they reach the tiny bronchioles that have NO cartilage rings.
  • 72.
  • 73.
    It is thesmall bronchioles , which have NO cartilage rings to keep them open, that often narrow during an asthmatic or allergic attack.
  • 74.
    The terminalbronchioles are the final portion of the conducting system and conduct air to the respiratory portion of the respiratory system.
  • 75.
    Read about bronchitis in the clinical view in your text
  • 76.
    The terminalbronchioles are the final portion of the conducting system and conduct air to the respiratory portion of the respiratory system.
  • 77.
    Gas exchange occursin the alveoli
  • 78.
    Alveolar macrophages (dust cells) are migratory cells that constantly crawl within the alveoli, engulfing microbes and foreign material that has reached the alveoli.
  • 79.
    WHICH OF THEFOLLOWING IS MOST RESPONSIBLE FOR BLOOD FLOW (PERFUSION) OF THE ALVEOLI? A RIGHT VENTRICULAR SYSTOLE B PULMONARY VEINS C BRACHIAL ARTERIES D CAPILLARY REFILL AFTER COMPRESSION E ALL OF THE ABOVE
  • 80.
  • 81.
    There is apartial vacuum that holds the pleural membranes together
  • 82.
    Read about pneumothorax in the clinical view
  • 83.
    Note the base and the apex of the lungs. Also note that the left lung only has two lobes , while the right lung has three.
  • 84.
    Read the clinical view in your text about pneumonia
  • 85.
    Blood lowin oxygen is pumped from the right ventricle, into the pulmonary trunk , and then into the left and right pulmonary arteries which deliver the blood to the pulmonary capillaries . Blood high in oxygen is then conducted by the pulmonary veins to the left atrium.
  • 86.
    Bronchial arteries ,from the systemic circulation, also bring blood to the lungs
  • 87.
    Lymph nodes andvessels are closely associated with the lungs. The lymphatic drainage of the right lung drains into the right lymphatic duct while the lymphatic drainage of the left lung goes to the thoracic duct.
  • 88.
    Breathing (ventilation)is carried out by muscular structures surrounding the lungs
  • 89.
    Inspiration isan active process that occurs when the dome-shaped diaphragm contracts downward and the external intercostals pull the ribs up and out .
  • 90.
    During inspiration the movement of the diaphragm and ribs pull the parietal pleura out and down and the visceral pleura (with the attached lungs) follows. Air is pulled in by negative pressure.
  • 91.
    Expiration isa passive process caused by the elastic recoil of the lung tissues. This causes the ribs to move down and in and the diaphragm to be pulled upward. This reduction of space causes air to be pushed out of the lungs by positive pressure.
  • 92.
    In order to passively exhale, all a person needs to do is to stop nervous stimulation of the external intercostals and the diaphragm. The elasticity of the lungs will then pull the ribs down and in and the diaphragm up.
  • 93.
    The internalintercostal muscles can depress the ribs and diminish the volume of the thoracic cavity. However, this only occurs during forceful exhalation (exercise or coughing/sneezing.
  • 94.
    Read about asthma in the clinical view in the text
  • 95.
    Sympathetic innervation opens up airways while parasympathetic innervation narrows them. The respiratory control centers are located in the pons and in the medulla oblongata .
  • 96.
    Smoking an pollutioncan lead to emphysema and lung cancer . Read the clinical view in your text.
  • 97.
    Putting babies tosleep on their backs will reduce risk of suffocation and Sudden Infant Death Syndrome (SIDS). Read the clinical view in your text.
  • 98.
    EVERYTHING PAST THISPOINT IS EXTRA OR FOR EXAMS
  • 99.
    Preparation for a tracheotomy , which is the surgery to open this airway in the trachea.
  • 100.
    Contraction of thetrachealis muscle, and narrowing of the trachea , can allow air to move more forcefully to expel mucus and debris
  • 101.
    If the cartilageof the larynx or trachea were crushed by trauma , these airways would collapse and death would quickly occur by asphyxiation.
  • 102.
  • 103.
    Tracheotomy procedureto open an airway in the trachea
  • 104.
  • 105.
    A tracheostomy is the hole made in the trachea following a tracheotomy
  • 106.
  • 107.
    Note scar fromtracheotomy done in childhood
  • 108.
    The terminal bronchiempty into the thin-walled alveoli
  • 109.
  • 110.
    The lungs are large, spongy, paired organs in the thoracic cavity
  • 111.
  • 112.
    The lungs areseparated by the mediastinum which contains the heart, trachea, esophagus, thymus, and major blood vessels.
  • 113.
    All structures ofthe respiratory tract beyond the primary bronchi are contained in the lungs. Note the right lung has three lobes while the left lung has only two lobes because of the space taken up by the heart on that side.
  • 114.
    WHICH OFTHE FOLLOWING HAS BEEN LINKED TO THE DEVELOPMENT OF EMPHYSEM A? A CHEWING TOBACCO B AIR POLLUTION C STIFFLING A SNEEZE D COCAINE ABUSE E PREMATURE BIRTH
  • 115.
    Read interest itemabout the dangers of smoking.
  • 116.
    The serous membranesassociated with the lungs are the outer parietal pleura and the inner visceral pleura .
  • 117.
    The pleuralcavity is actually a “potential space” that is mostly occupied by the spongy tissues of the lungs. Normally the two pleural membranes are close together like two pieces of Saran wrap with a small amount of lubricating pleural fluid between them.
  • 118.
    If outside airentered the space between the pleural membranes (pleural space) the elastic lung tissue would collapse inward and the chest wall would expand outward.
  • 119.
    WHICH OFTHE FOLLOWING OCCURS DURING RESTFUL INSPIRATION ? A THE DIAPHRAGM MOVES SUPERIORLY B THE PHRENIC NERVE IS ACTIVATED C THE EPIGLOTTIS MOVES TOWARDS THE SPINE D THE INTERNAL INTERCOSTAL MUSCLES CONTRACT E THE MESENCEPHALON SENDS STIMULATORY IMPULSES TO THE CENTRAL TENDON
  • 120.
  • 121.
    Pounding of achild’s chest to loosen thick mucous caused by cystic fibrosis
  • 122.
    Cystic fibrosis causes thick secretions to block the airways of the lungs and the ducts of the pancreas
  • 123.
    Historically, cysticfibrosis was diagnosed by detecting increased chloride in induced sweat.
  • 124.
    A recent treatmentfor cystic fibrosis is inhalation of DNAse to break up thick mucus.
  • 125.
    Large pieces offood are most commonly lodged in the laryngopharynx blocking the entrance to the esophagus AND the entrance to the trachea
  • 126.
    Heimlich maneuver is designed to compress the diaphragm up and in to increase the thoracic pressure. Hopefully the blocking food will pop out like a champagne cork!
  • 127.
    Out pops thefood or obstructing object.
  • 128.
    A blow tothe abdomen, or a sudden fall onto one’s back, can stretch the diaphragm and its associated nerves . It will then spasm for a brief period of time and fail to contract. This temporary reduction in ventilatory ability is referred to as “getting the wind knocked out of you”.
  • 129.
  • 130.
    The commoncold can cause the nasal membranes to become inflamed and swell.
  • 131.
    Note swollen mucousmembranes from common cold on nasal conchae that may obstruct the drainage openings from the sinuses.
  • 132.
    Inflammation and painfrom maxillary sinusitis
  • 133.
    Scan showing puscollecting in infected maxillary sinus
  • 134.
  • 135.
  • 136.
  • 137.
  • 138.
  • 139.
    Pleurisy isa complication of a respiratory infection. If is inflammation of the pleural membranes which results in pain as the membranes slide past each other during breathing.
  • 140.
    Teens wanting todevelop lung cancer
  • 141.
  • 142.
    Outside air betweenthe pleural membranes (pneumothorax) allows the elastic lung to collapse inward and the chest wall to expand outward. The pleural cavity becomes obvious. Once the lung is collapsed, the person has only the one lung to survive on.
  • 143.
  • 144.
  • 145.
  • 146.
  • 147.
  • 148.
  • 149.
  • 150.
  • 151.
  • 152.
  • 153.
  • 154.
  • 155.
  • 156.
  • 157.
  • 158.
  • 159.
  • 160.
  • 161.
  • 162.
  • 163.
  • 164.
  • 165.
  • 166.
  • 167.
  • 168.
  • 169.
  • 170.
  • 171.
  • 172.
  • 173.
  • 174.
  • 175.
  • 176.
  • 177.
  • 178.
  • 179.
  • 180.
  • 181.
  • 182.
  • 183.
  • 184.
  • 185.
  • 186.
  • 187.
  • 188.
  • 189.
  • 190.
  • 191.
  • 192.
  • 193.
  • 194.
  • 195.
  • 196.
  • 197.
  • 198.
  • 199.
  • 200.
  • 201.
  • 202.
  • 203.
  • 204.
  • 205.
  • 206.
  • 207.
  • 208.
  • 209.
  • 210.
  • 211.
  • 212.
  • 213.
  • 214.
  • 215.
  • 216.
  • 217.
  • 218.
  • 219.
  • 220.
  • 221.
  • 222.
  • 223.
  • 224.
  • 225.
  • 226.
  • 227.
  • 228.
  • 229.
  • 230.
  • 231.
  • 232.
  • 233.
  • 234.
  • 235.
  • 236.
  • 237.
  • 238.
  • 239.
  • 240.
  • 241.
  • 242.
  • 243.
  • 244.
  • 245.
  • 246.
  • 247.
  • 248.
  • 249.
  • 250.
  • 251.
  • 252.
  • 253.
  • 254.
  • 255.
  • 256.
  • 257.
  • 258.
  • 259.
  • 260.
  • 261.
  • 262.
  • 263.
  • 264.
  • 265.
  • 266.
  • 267.
  • 268.
  • 269.
  • 270.
  • 271.
  • 272.
  • 273.
  • 274.
    Vocal cords oflarynx Cut throat in homicide Stab wound
  • 275.
  • 276.
  • 277.
  • 278.
  • 279.
  • 280.
  • 281.
  • 282.
  • 283.
  • 284.
  • 285.
  • 286.
  • 287.
  • 288.
    Ventilation (breathing)is the movement of gases in and out of lungs
  • 289.
  • 290.
  • 291.
  • 292.
  • 293.
  • 294.
  • 295.
  • 296.
  • 297.
  • 298.
  • 299.
    Loudness isdetermined by the force of the air passed over the vocal cords and the amount of vibrating.
  • 300.
  • 301.
  • 302.
    Valsalva’s maneuver also increases abdominal pressure to aid in childbirth (parturition).
  • 303.
    Breathing (ventilation)External respiration , which occurs in the alveoli, and internal respiration , which occurs in active tissues throughout the body. Cellular respiration , which is metabolism in cells.
  • 304.
    External respiration occurs between alveoli and pulmonary capillaries
  • 305.
    Internal respiration occurs between tissue capillaries throughout the body and nearby cells.
  • 306.
    Cellular respiration is the use of oxygen and generation of carbon dioxide by cell metabolism.
  • 307.
    Brain damage anddeath can occur if breathing stop, or is cut off, for 7-8 minutes so that the body’s store of oxygen is depleted.
  • 308.
    Valsalva’s maneuver increases thoracic and abdominal pressure to help stabilize the spine while lifting heavy objects.
  • 309.
    Coughing and sneezing also keep the airways free of obstruction and help remove irritants.
  • 310.
    WHAT DRAINS FROM AN OPENING JUST INFERIOR TO THE INFERIOR NASAL CONCHAE? A SALIVARY GLAND B FLUID FROM ORBIT C ETHMOIDAL SINUSES D PHEROMONES E JUICE FROM THE “SMALL GRAPE” KNOWN AS THE UVULA
  • 311.
    WHAT ISCONNECTED BY THE EUSTACHIAN TUBE ? A MASTOID AIR CELLS AND NOSE B TEMPORAL BONE AND NASOPHARYNX C CRANIAL CAVITY AND MIDDLE EAR D EXTERNAL EAR AND EAR DRUM E EYE AND NOSE
  • 312.
    Epiglottitis isinflammation of the epiglottis typically caused by a bacterial infection that may cause it to swell and block the airway.
  • 313.
    Child with epiglottitis getting an X ray
  • 314.
    WHICH OFTHE FOLLOWING OCCURS DURING NORMAL SWALLOWING? A THE UVULA ELEVATES B THE EPIGLOTTIS OPENS C THE LARYNX IS DEPRESSED D THE GLOTTIS ALLOWS THE PASSAGE OF FOOD E ALL OF THE ABOVE