Tinjauan Kepustakaan Hematologi

Waldenstrom´s Macroglobulinemia
Oleh : dr John Wiwin
Pembimbing: dr Arifoel Hajat,Sp.PK

1
Pendahuluan
 Jan Gosta

Waldenstrom
 1944
 Menggambarkan
pasien mirip
mieloma multipel

2
Pendahuluan
 Gambaran pasien dengan :
 perdarahan oro-nasal,anemia,LED meningkat
 hepatosplenomegali,trombositopenia,
 viskositas serum meningkat,tulang normal,dan
dominan limfoid pada BM
 Ditemukan protein abnormal pada serum
Dikenal sebagai Waldenstrom´s
macroglobulinemia (WM).
3
Definisi WM
 Gambaran patologi klinis akibat proliferasi
limfosit B yang menunjukkan proses maturasi
menjadi sel plasma dengan gambaran BM
yang khas berupa infiltrasi limpoplasmasitik
dan sintesis IgM monoklonal
 Gangguan sel B yang ditandai dengan
produksi IgM yang dapat menyebabkan
komplikasi hiperviskositas, perdarahan, dan
neuropati perifer
4
Klasifikasi WM
 Klasifikasi Kiel : lymphoma of Ig-secreting cell
 REAL /WHO : Lymphoplasmacytic lymphoma
(LPL) / Waldenstrom´s macroglobulinemia
 Konsensus Workshop Internasional Kedua
WM : infiltrasi LPL pada sumsum tulang dan
gamopati monoklonal IgM.

5
Epidemiologi & Etiologi WM
 Epidemiologi :
 Insiden 1,7 / juta org/tahun pada wanita
 Insiden 3,4 / juta org/tahun pada pria
 Meningkat seiring usia ,sering usia 71 tahun,
rentang usia 38-91 tahun
 Etiologi : sebagian besar tidak diketahui dan
diduga ada faktor genetik
6
Faktor Risiko WM
 IgM-MGUS sebelumnya
 Riwayat keluarga dengan WM atau keganasan
sel B lainnya
 Faktor Imunologi

7
Patofisiologi WM
 Sel limfoplasmasitoid memproduksi IgM
dalam jumlah besar sehingga menimbulkan
makroglobulinemia.
 Terjadi hiperviskositas dan volume plasma
meningkat
 Menyebabkan gejala susunan saraf
pusat,gangguan perdarahan,krioglobulin dan
sindrom Raynaud
8
Gambaran Klinis WM
 Akibat infiltrasi tumor :
 Gejala konstitusional
 Sitopenia
 Organomegali
 Infiltrasi paru,usus,dan kulit
 Akibat protein monoklonal:
 Hiperviskositas
 Krioglobulinemia
 Amiloidosis
 Phenomena autoimun
 Nepropati
9
Sindrom Raynauds

10
Laboratorium
 Pemeriksaan darah
 HDT normokromik normositik dan formasi
rouleaux
 MCV meningkat
 Hb rendah
 Leukosit dan trombosit bisa normal
 LED meningkat
 Trombin Time memanjang
11
Laboratorium
 Pemeriksaan Sumsum Tulang
 Infiltrasi sumsum tulang dengan populasi sel
limfoplasmasitik yg ditandai limfosit kecil
dengan plasmasitoid dan sel plasma matur
 Pola infiltrasi sumsum tulang :
difuse,interstitial dan nodular

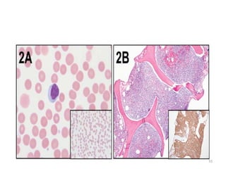
12
Gambaran sumsum tulang

13
Pemeriksaan Imunologi
 Elektroforesis Protein
 Imunofiksasi Serum dan Urine
 Pemeriksaan Krioglobulin

14
Elektroforesis Normal

15
Elektroforesis Serum

16
Elektroforesis Urine

17
Pemeriksaan Viskositas Serum
 Dengan Viscometer
 Timbul karena akumulasi protein IgM pada
darah
 Menimbulkan kelainan
perdarahan,kelelahan,sakit
kepala,infeksi,vertigo,gangguan
penglihatan,dimensia
 Memerlukan plasmapheresis
18
Krioglobulin

19
Fundoskopi

20
Pemeriksaan Imaging
 CT scan : menunjukkan nodus yang
membesar pada 40% kasus
 MRI : menentukan lokasi limfoma

21
Pemeriksaan Imunofenotiping
 Untuk identifikasi Limposit B
 Ekspresi CD19,CD20,CD22,CD79,FMC7
 Ekspresi CD5,CD10,dan CD 23 hanya pada
10-20% kasus

22
Pemeriksaan Sitogenetika
 Kelainan Jumlah dan Struktur
 Kelainan Jumlah : kromosom
17,18,19,20,21,22,X dan Y
 Kelainan struktural : del 6q

23
Kelainan kromoson
( kiri normal dan kanan : del6q

24
Kriteria Diagnosis WM
 Adanya protein monoklonal IgM
 Infiltrasi sumsum tulang oleh limfosit kecil
yang menunjukkan plasmasitoid/diferensiasi
sel plasma
 Pola inter-trabecular sumsum tulang
 Imunophenotipe:
sIgM+,CD5±,CD10­,CD19+,CD20+,CD23,CD25+,CD27+,FMC7+,CD103-,CD138-.
25
Faktor Prognostik

26
Diagnosis Banding WM dari gangguan
limpoproliferatif lainnya

27
Diagnosis Banding WM dari gangguan
limpoproliferatif lainnya dengan menggunakan
imunohistokimia

28
Terapi WM

29
Respon Terapi WM

30
31
Terimakasih

32
Manifestasi WM berkaitan infiltrasi sel
neoplasma
 Paru: massa,nodul ,efusi pelura
 GI : malabsorbsi,diare, obstruksi
 Ginjal: infiltrasi pd interstitium ginjal,jarang
 Skin : Schnitzler syndrome( urtikaria
kronis+gamopati IgM)
 CNS : Bing-Neel syndrome(bingung,hilang
ingatan,disorientasi,disfungsi motorik)
33
Deposit IgM di jaringan
Kulit : bullous skin disease
Deposit pada dermis : macroglobulinemia cutis
GI : pada lamina propria atau submucosa
Keterlibatan ginjal kurang dibanding MM karena
jumlah rantai ringan yg disekresi lewat urine kurang
dan faktor hiperkalsemia tidak ada
 Amiloidosis = gangguan sistemik akibat deposisi
amiloid protein pada jaringan (terjadi
neprotik,hepatomegali,CHF,neuropati dll)
 peripheral neurophathy= evaluasi antimyelinasscociated glycoprotein,antigangliocides M1, dan
antisulfatide IgM antibodies





34
Gambaran Klinis WM

35
Beda CLL,WM,MM berdasarkan
imunofenotiping

36
Sindrom Hiperviskositas
 Akumulasi protein IgM dalam jumlah besar pada
darah. Protein ini menyebabkan darah menjadi
kental dan aliran darah terganggu.
 Ketika darah terlalu kental maka akan
menyulitkan darah melalui pembuluh darah yang
kecil dan menyebakan sirkulasi darah yang jelek
 Terjadi pada 10-30% WM
 Pasien dengan IgM serum > 50 g/L meningkatkan
risiko mengalami sindrom hiperviskositas
37
Pengukuran Viskositas

38
Viskositas
 jarang muncul gejala bila viskositas serum/plasma 3cP
 cP=centipoise
 poise secara umum dinyatakan dalam
CGS(centimeter-gram-second)
 Viskositas air pada suhu 20 C adalah 1,002 cP
 Viskositas dihitung dengan mengukur waktu cairan
untuk mengalir dengan jarak yang telah ditentukan
sepanjang tube
 Reference range : < 1,8 cP
 Sampel : 2-5 ml
39
Sel
 Limfoplasmasitoid (dominan limfosit kecil)
 Limfoplasmasitik ( campuran limfosit kecil dan
sel plasma)
 Polymorphous (campuran populasi sel yg
terdiri dari limfosit kecil,sel plasma, dan sel
blast)
 Plasmacytoid lymphocytes= cell with
abundant basophilic cytoplasm but
lymphocyte-like nuclei).
40
BM
 Interstitial infiltrasi = as generalized marrow
involvement but with sparing of normal
hematopoesis and marrow architecture
 Diffuse pattern= confluent area of infiltration
with a loss of hematopoietic element and fat
spaces.
 Focal infiltration = indicated foci of infiltration
separated by normal residual hematopoietic
element
41
42
Krioglobulin
 Krioglobulin adalah globulin abnormal yang
ditandai oleh perubahan menjadi bentuk
gelatin atau mengalami presipitasi pada suhu
dingin
 Prinsip : serum dimasukkan ke dalam tabung
reaksi , kemudian didinginkan pada suhu 2-8C
selama 24 jam. Gel atau kekeruhan yang
terjadi dianggap positif.
 Bahan : serum 2 ml
43
 Siapkan 2 tabung reaksi , masukkan masing 1
ml serum
 Beri tanda pada tabung pasien dan kontrol
 Tutup kedua tabung tersebut dengan parafilm
 Letakkan tabung pasien ke dalam lemari
pendingin 2-8 C selama 24 jam dan tabung
kontrol pada suhu kamar
 Penilaian : Bila keruh pada tabung pasien dan
tabung kontrol negatif berarti krioglobulin
positif
44
Krioglobulinemia
 Ambil darah 10-20 ml yang dikumpulkan pada tabung
prewarmed 37 C.
 Sampel dijaga pada temperatur ini sampai satu jam hingga
membeku.
 Kemudian serum dipisahkan dengan centrifuging warm
selama 10 menit pada 2500 rpm
 Setelah pemisahan , serum diinkubasi dengan 4 C selama 7
hari. Setiap hari dilihat apakah ada kriopresipitat.
 Jika positif maka konsentrasi krioglobulinemia dapat diukur
dengan metode pengukuran of the packed volume of
prepitate (cryocrit) dan spectrofotometric menentukan
konsentrasi protein

45
Russel bodies and dutcher bodies
 akumulasi imunoglobulin pseudonuclear atau
sitoplasmik pada sel plasma

46
Protein Bence Jones urin
 Protein Bence Jones Urin adalah
imunoglobulin rantai ringan yang didapatkan
di dalam urine
 Prinsip :protein bence jones dapat mengalami
presipitasi bila dipanaskan suhu 56C dan larut
kembali pada pemanasan 100 C.
Bahan : urine segar

47
1.Masukkan 4 ml urine yang telah disentrifus ke
dalam tabung reaksi dan tambahkan 1 ml
campuran buffer asetat
2.Panaskan campuran tersebut pada suhu 56C
selama 15 menit
3.Kekeruhan yang terjadi menandakan
kemungkinan adanya protein Bence Jones
4.Panaskan urine tersebut pada suhu 100C selama
3menit.
5.Kekeruhan yang menghilang menandakan adanya
protein Bence Jones
48
IMUNOFIXATION
 digunakan untuk mengidentifikasi imunoglobulin
monoklonal
 uji ini merupakan kombinasi serum protein
elektrophoresis dan imunopresipitasi
 Imunofiksasi elektroforesis merupakan prosedur 2
langkah menggunakan agarose gel high resolution
elektroforesis pada langkah pertama dan
imunopresipitasi pada langkah kedua. Pertama :protein
dipisahkan dgn elektroforesis . Kemudian kedua soluble
antigen in the gel reacts with spesific antibody dan
resultant antigen-antibody complexs become insoluble
(sepanjang ab meningkat ) dan tjd presipitasi.
49
Elektroforesis Serum dan urine
 Jika elektroforesis serum positif maka dilakukan
imunofiksasi serum (untuk mengkonfirmasi
adanya monoklonal protein dan rantai berat dan
rantai ringan).
 Jika monoklonal protein teridentifikasi pada
elektroforesis protein serum maka dilakukan
elektroforesis protein urine
 Langkah pertama adalah menentukan jumlah
protein pada urine 24 jam.
 Lakukan elektroforesis
50
 Protein monoklonal urin teridentifikasi sebagai
dense band on the gel dan tall narrow peak pada
densitometer tracing.
 Hitung protein monoklonal dgn cara ukuran spike
x protein g/24 jam.
 Penting pemeriksaan urine karena merefleksikan
disease burden.
 Penting untuk melakukan pemeriksaan urine
karena beberapa pasien monoklonal gammopati
mempunyai elektroforesis serum normal tapi
menunjukkan monoklonal light chain (Bence
jones proteinuria)pada urine
51
 Jika hasil elektroforesis protein urine negatif
maka dilanjutkan dengan imunofiksasi pada
serum dan urine.
 Imunofiksasi mampu menunjukkan adanya
protein monoklonal pada konsentrasi rendah
(<0,2 g/dL)
 Jika Imunofiksasi serum dan urine negatif---stop disini.
 Jika imunofiksasi serum dan atau urine positif
maka dilanjutkan dengan nephelometer untuk
menentukan konsentrasi imunoglobulin
secara kuantitatif.
52
Konsentrasi Ig Normal
•
•
•
•
•

IgG =800-1200 mg/dl
IgA=180-480 mg/dl
IgM=50-150 mg/dl
IgD=3 mg/dl
IgE=0,3 mg/dl

53
54
55
Russel bodies

56
57
58
59
60
61
62
63
64
Indikasi Elektroporesis protein serum

65
66
Monoklonal gamopati

67
Pola normal HRE

17-12-2012

68
4.1.High Resolution Protein
Electrophoresis
• penyempurnaan elektroforesis protein
standar, dengan tegangan listrik > tinggi,
sistem pendingin, bufer yg > pekat→ 12 zona.
• media penyangga: gel agarose.
• interpretasi : visual atau scaning dengan
densitometer.
• B2M pada posisi zona β2.
17-12-2012

69
 Komponen IgM berinteraksi dgn protein
sirkulasi atau dgn protein pd membran sel
termasuk fibrinogen dan F V,VII,VIII yang
mengakibatkan kelainan perdarahan dan
clotting time.

70
LPL vs WM
 Mengenai kelenjar limfe dibandingkan WM
 LPL didiagnosis dengan biopsi kel.limfe
sedangkan WM dengan BMA
 Kadar IgM pada LPL tidak meningkat
sedangkan pada WM meningkat/level tinggi

71
Bone marrow, Imunophenotypic,
sitogenetika
 Bone marrow merupakan center dari WM
 Secara rutin dikonfirmasi oleh
imunofenotiping
 Sitogenetika tidak rutin kecuali untuk
klarifikasi dx IgM Myeloma dimana translokasi
14q32 dominan pada MM dan kontras dengan
WM

72
Terapi
 Rituximab dikombinasi dengan
cyclophosphamide,Doxorubicin,Vincristine,Pre
dnison (R-CHOP)
 91% mencapai partial respon dengan
kecepatan respon 1,6 bulan dengan median
follow up 18 bulan.
 Mielosupresi merupakan toksis utama

73
Terapi
 Dimopoulos memperkenalkan regimen
Dexametason 20 mg + Rituximab 375 mg/m2
IV pada hari I dan cyclophosphamide 100
mg/m2 oral pd hari I-V (DRC).
 sangat efektif pada pasien simptomatik WM
 hasil : 7% CR dan 67% PR

74
IgM MM vs WM
 lytic bone lesion (jarang pada WM)
 t (11;14) tidak terjadi pada WM
 CD 138 dan cytoplasmic Ig pada MM
sedangkan pada WmM --- CD 20 dan sIg

75

Referat 1

  • 1.
    Tinjauan Kepustakaan Hematologi Waldenstrom´sMacroglobulinemia Oleh : dr John Wiwin Pembimbing: dr Arifoel Hajat,Sp.PK 1
  • 2.
    Pendahuluan  Jan Gosta Waldenstrom 1944  Menggambarkan pasien mirip mieloma multipel 2
  • 3.
    Pendahuluan  Gambaran pasiendengan :  perdarahan oro-nasal,anemia,LED meningkat  hepatosplenomegali,trombositopenia,  viskositas serum meningkat,tulang normal,dan dominan limfoid pada BM  Ditemukan protein abnormal pada serum Dikenal sebagai Waldenstrom´s macroglobulinemia (WM). 3
  • 4.
    Definisi WM  Gambaranpatologi klinis akibat proliferasi limfosit B yang menunjukkan proses maturasi menjadi sel plasma dengan gambaran BM yang khas berupa infiltrasi limpoplasmasitik dan sintesis IgM monoklonal  Gangguan sel B yang ditandai dengan produksi IgM yang dapat menyebabkan komplikasi hiperviskositas, perdarahan, dan neuropati perifer 4
  • 5.
    Klasifikasi WM  KlasifikasiKiel : lymphoma of Ig-secreting cell  REAL /WHO : Lymphoplasmacytic lymphoma (LPL) / Waldenstrom´s macroglobulinemia  Konsensus Workshop Internasional Kedua WM : infiltrasi LPL pada sumsum tulang dan gamopati monoklonal IgM. 5
  • 6.
    Epidemiologi & EtiologiWM  Epidemiologi :  Insiden 1,7 / juta org/tahun pada wanita  Insiden 3,4 / juta org/tahun pada pria  Meningkat seiring usia ,sering usia 71 tahun, rentang usia 38-91 tahun  Etiologi : sebagian besar tidak diketahui dan diduga ada faktor genetik 6
  • 7.
    Faktor Risiko WM IgM-MGUS sebelumnya  Riwayat keluarga dengan WM atau keganasan sel B lainnya  Faktor Imunologi 7
  • 8.
    Patofisiologi WM  Sellimfoplasmasitoid memproduksi IgM dalam jumlah besar sehingga menimbulkan makroglobulinemia.  Terjadi hiperviskositas dan volume plasma meningkat  Menyebabkan gejala susunan saraf pusat,gangguan perdarahan,krioglobulin dan sindrom Raynaud 8
  • 9.
    Gambaran Klinis WM Akibat infiltrasi tumor :  Gejala konstitusional  Sitopenia  Organomegali  Infiltrasi paru,usus,dan kulit  Akibat protein monoklonal:  Hiperviskositas  Krioglobulinemia  Amiloidosis  Phenomena autoimun  Nepropati 9
  • 10.
  • 11.
    Laboratorium  Pemeriksaan darah HDT normokromik normositik dan formasi rouleaux  MCV meningkat  Hb rendah  Leukosit dan trombosit bisa normal  LED meningkat  Trombin Time memanjang 11
  • 12.
    Laboratorium  Pemeriksaan SumsumTulang  Infiltrasi sumsum tulang dengan populasi sel limfoplasmasitik yg ditandai limfosit kecil dengan plasmasitoid dan sel plasma matur  Pola infiltrasi sumsum tulang : difuse,interstitial dan nodular 12
  • 13.
  • 14.
    Pemeriksaan Imunologi  ElektroforesisProtein  Imunofiksasi Serum dan Urine  Pemeriksaan Krioglobulin 14
  • 15.
  • 16.
  • 17.
  • 18.
    Pemeriksaan Viskositas Serum Dengan Viscometer  Timbul karena akumulasi protein IgM pada darah  Menimbulkan kelainan perdarahan,kelelahan,sakit kepala,infeksi,vertigo,gangguan penglihatan,dimensia  Memerlukan plasmapheresis 18
  • 19.
  • 20.
  • 21.
    Pemeriksaan Imaging  CTscan : menunjukkan nodus yang membesar pada 40% kasus  MRI : menentukan lokasi limfoma 21
  • 22.
    Pemeriksaan Imunofenotiping  Untukidentifikasi Limposit B  Ekspresi CD19,CD20,CD22,CD79,FMC7  Ekspresi CD5,CD10,dan CD 23 hanya pada 10-20% kasus 22
  • 23.
    Pemeriksaan Sitogenetika  KelainanJumlah dan Struktur  Kelainan Jumlah : kromosom 17,18,19,20,21,22,X dan Y  Kelainan struktural : del 6q 23
  • 24.
    Kelainan kromoson ( kirinormal dan kanan : del6q 24
  • 25.
    Kriteria Diagnosis WM Adanya protein monoklonal IgM  Infiltrasi sumsum tulang oleh limfosit kecil yang menunjukkan plasmasitoid/diferensiasi sel plasma  Pola inter-trabecular sumsum tulang  Imunophenotipe: sIgM+,CD5±,CD10­,CD19+,CD20+,CD23,CD25+,CD27+,FMC7+,CD103-,CD138-. 25
  • 26.
  • 27.
    Diagnosis Banding WMdari gangguan limpoproliferatif lainnya 27
  • 28.
    Diagnosis Banding WMdari gangguan limpoproliferatif lainnya dengan menggunakan imunohistokimia 28
  • 29.
  • 30.
  • 31.
  • 32.
  • 33.
    Manifestasi WM berkaitaninfiltrasi sel neoplasma  Paru: massa,nodul ,efusi pelura  GI : malabsorbsi,diare, obstruksi  Ginjal: infiltrasi pd interstitium ginjal,jarang  Skin : Schnitzler syndrome( urtikaria kronis+gamopati IgM)  CNS : Bing-Neel syndrome(bingung,hilang ingatan,disorientasi,disfungsi motorik) 33
  • 34.
    Deposit IgM dijaringan Kulit : bullous skin disease Deposit pada dermis : macroglobulinemia cutis GI : pada lamina propria atau submucosa Keterlibatan ginjal kurang dibanding MM karena jumlah rantai ringan yg disekresi lewat urine kurang dan faktor hiperkalsemia tidak ada  Amiloidosis = gangguan sistemik akibat deposisi amiloid protein pada jaringan (terjadi neprotik,hepatomegali,CHF,neuropati dll)  peripheral neurophathy= evaluasi antimyelinasscociated glycoprotein,antigangliocides M1, dan antisulfatide IgM antibodies     34
  • 35.
  • 36.
  • 37.
    Sindrom Hiperviskositas  Akumulasiprotein IgM dalam jumlah besar pada darah. Protein ini menyebabkan darah menjadi kental dan aliran darah terganggu.  Ketika darah terlalu kental maka akan menyulitkan darah melalui pembuluh darah yang kecil dan menyebakan sirkulasi darah yang jelek  Terjadi pada 10-30% WM  Pasien dengan IgM serum > 50 g/L meningkatkan risiko mengalami sindrom hiperviskositas 37
  • 38.
  • 39.
    Viskositas  jarang munculgejala bila viskositas serum/plasma 3cP  cP=centipoise  poise secara umum dinyatakan dalam CGS(centimeter-gram-second)  Viskositas air pada suhu 20 C adalah 1,002 cP  Viskositas dihitung dengan mengukur waktu cairan untuk mengalir dengan jarak yang telah ditentukan sepanjang tube  Reference range : < 1,8 cP  Sampel : 2-5 ml 39
  • 40.
    Sel  Limfoplasmasitoid (dominanlimfosit kecil)  Limfoplasmasitik ( campuran limfosit kecil dan sel plasma)  Polymorphous (campuran populasi sel yg terdiri dari limfosit kecil,sel plasma, dan sel blast)  Plasmacytoid lymphocytes= cell with abundant basophilic cytoplasm but lymphocyte-like nuclei). 40
  • 41.
    BM  Interstitial infiltrasi= as generalized marrow involvement but with sparing of normal hematopoesis and marrow architecture  Diffuse pattern= confluent area of infiltration with a loss of hematopoietic element and fat spaces.  Focal infiltration = indicated foci of infiltration separated by normal residual hematopoietic element 41
  • 42.
  • 43.
    Krioglobulin  Krioglobulin adalahglobulin abnormal yang ditandai oleh perubahan menjadi bentuk gelatin atau mengalami presipitasi pada suhu dingin  Prinsip : serum dimasukkan ke dalam tabung reaksi , kemudian didinginkan pada suhu 2-8C selama 24 jam. Gel atau kekeruhan yang terjadi dianggap positif.  Bahan : serum 2 ml 43
  • 44.
     Siapkan 2tabung reaksi , masukkan masing 1 ml serum  Beri tanda pada tabung pasien dan kontrol  Tutup kedua tabung tersebut dengan parafilm  Letakkan tabung pasien ke dalam lemari pendingin 2-8 C selama 24 jam dan tabung kontrol pada suhu kamar  Penilaian : Bila keruh pada tabung pasien dan tabung kontrol negatif berarti krioglobulin positif 44
  • 45.
    Krioglobulinemia  Ambil darah10-20 ml yang dikumpulkan pada tabung prewarmed 37 C.  Sampel dijaga pada temperatur ini sampai satu jam hingga membeku.  Kemudian serum dipisahkan dengan centrifuging warm selama 10 menit pada 2500 rpm  Setelah pemisahan , serum diinkubasi dengan 4 C selama 7 hari. Setiap hari dilihat apakah ada kriopresipitat.  Jika positif maka konsentrasi krioglobulinemia dapat diukur dengan metode pengukuran of the packed volume of prepitate (cryocrit) dan spectrofotometric menentukan konsentrasi protein 45
  • 46.
    Russel bodies anddutcher bodies  akumulasi imunoglobulin pseudonuclear atau sitoplasmik pada sel plasma 46
  • 47.
    Protein Bence Jonesurin  Protein Bence Jones Urin adalah imunoglobulin rantai ringan yang didapatkan di dalam urine  Prinsip :protein bence jones dapat mengalami presipitasi bila dipanaskan suhu 56C dan larut kembali pada pemanasan 100 C. Bahan : urine segar 47
  • 48.
    1.Masukkan 4 mlurine yang telah disentrifus ke dalam tabung reaksi dan tambahkan 1 ml campuran buffer asetat 2.Panaskan campuran tersebut pada suhu 56C selama 15 menit 3.Kekeruhan yang terjadi menandakan kemungkinan adanya protein Bence Jones 4.Panaskan urine tersebut pada suhu 100C selama 3menit. 5.Kekeruhan yang menghilang menandakan adanya protein Bence Jones 48
  • 49.
    IMUNOFIXATION  digunakan untukmengidentifikasi imunoglobulin monoklonal  uji ini merupakan kombinasi serum protein elektrophoresis dan imunopresipitasi  Imunofiksasi elektroforesis merupakan prosedur 2 langkah menggunakan agarose gel high resolution elektroforesis pada langkah pertama dan imunopresipitasi pada langkah kedua. Pertama :protein dipisahkan dgn elektroforesis . Kemudian kedua soluble antigen in the gel reacts with spesific antibody dan resultant antigen-antibody complexs become insoluble (sepanjang ab meningkat ) dan tjd presipitasi. 49
  • 50.
    Elektroforesis Serum danurine  Jika elektroforesis serum positif maka dilakukan imunofiksasi serum (untuk mengkonfirmasi adanya monoklonal protein dan rantai berat dan rantai ringan).  Jika monoklonal protein teridentifikasi pada elektroforesis protein serum maka dilakukan elektroforesis protein urine  Langkah pertama adalah menentukan jumlah protein pada urine 24 jam.  Lakukan elektroforesis 50
  • 51.
     Protein monoklonalurin teridentifikasi sebagai dense band on the gel dan tall narrow peak pada densitometer tracing.  Hitung protein monoklonal dgn cara ukuran spike x protein g/24 jam.  Penting pemeriksaan urine karena merefleksikan disease burden.  Penting untuk melakukan pemeriksaan urine karena beberapa pasien monoklonal gammopati mempunyai elektroforesis serum normal tapi menunjukkan monoklonal light chain (Bence jones proteinuria)pada urine 51
  • 52.
     Jika hasilelektroforesis protein urine negatif maka dilanjutkan dengan imunofiksasi pada serum dan urine.  Imunofiksasi mampu menunjukkan adanya protein monoklonal pada konsentrasi rendah (<0,2 g/dL)  Jika Imunofiksasi serum dan urine negatif---stop disini.  Jika imunofiksasi serum dan atau urine positif maka dilanjutkan dengan nephelometer untuk menentukan konsentrasi imunoglobulin secara kuantitatif. 52
  • 53.
    Konsentrasi Ig Normal • • • • • IgG=800-1200 mg/dl IgA=180-480 mg/dl IgM=50-150 mg/dl IgD=3 mg/dl IgE=0,3 mg/dl 53
  • 54.
  • 55.
  • 56.
  • 57.
  • 58.
  • 59.
  • 60.
  • 61.
  • 62.
  • 63.
  • 64.
  • 65.
  • 66.
  • 67.
  • 68.
  • 69.
    4.1.High Resolution Protein Electrophoresis •penyempurnaan elektroforesis protein standar, dengan tegangan listrik > tinggi, sistem pendingin, bufer yg > pekat→ 12 zona. • media penyangga: gel agarose. • interpretasi : visual atau scaning dengan densitometer. • B2M pada posisi zona β2. 17-12-2012 69
  • 70.
     Komponen IgMberinteraksi dgn protein sirkulasi atau dgn protein pd membran sel termasuk fibrinogen dan F V,VII,VIII yang mengakibatkan kelainan perdarahan dan clotting time. 70
  • 71.
    LPL vs WM Mengenai kelenjar limfe dibandingkan WM  LPL didiagnosis dengan biopsi kel.limfe sedangkan WM dengan BMA  Kadar IgM pada LPL tidak meningkat sedangkan pada WM meningkat/level tinggi 71
  • 72.
    Bone marrow, Imunophenotypic, sitogenetika Bone marrow merupakan center dari WM  Secara rutin dikonfirmasi oleh imunofenotiping  Sitogenetika tidak rutin kecuali untuk klarifikasi dx IgM Myeloma dimana translokasi 14q32 dominan pada MM dan kontras dengan WM 72
  • 73.
    Terapi  Rituximab dikombinasidengan cyclophosphamide,Doxorubicin,Vincristine,Pre dnison (R-CHOP)  91% mencapai partial respon dengan kecepatan respon 1,6 bulan dengan median follow up 18 bulan.  Mielosupresi merupakan toksis utama 73
  • 74.
    Terapi  Dimopoulos memperkenalkanregimen Dexametason 20 mg + Rituximab 375 mg/m2 IV pada hari I dan cyclophosphamide 100 mg/m2 oral pd hari I-V (DRC).  sangat efektif pada pasien simptomatik WM  hasil : 7% CR dan 67% PR 74
  • 75.
    IgM MM vsWM  lytic bone lesion (jarang pada WM)  t (11;14) tidak terjadi pada WM  CD 138 dan cytoplasmic Ig pada MM sedangkan pada WmM --- CD 20 dan sIg 75