+
RENAL CELL
CARCINOMA-
ETIOLOGY,PATHOLOGY
DR G PRAVEEN CHANDRA
+
RCC in numbers
 Accounts for 2% to 3% of all adult malignant neoplasms
 The most lethal of the common urologic cancers.
 Five-year relative survival rates for patients diagnosed in 2002
to 2008 were 71% for kidney cancer, 78% for bladder cancer
(excluding carcinoma in situ), and 99% for prostate cancer
(Siegel et al, 2013).
+
 Approximately 65,000 new diagnoses of RCC are made each
year in the United States, and 13,000 patients die of disease
(Siegel et al,2013).
 Overall, approximately 12 new cases are diagnosed per
100,000 population per year, with a male-to-female
predominance of 3:2 (Siegel et al, 2013).
 This is primarily a disease of older adults, with typical
presentation between 50 and 70 years of age.
+
 However, diagnosis of renal cancer has increased more rapidly
in those less than 40 years of age than any other age group
(Nepple et al, 2012).
 Incidence rates are 10% to 20% higher and 5-year survival
rates 5% lower in African-Americans for unknown reasons
(Lipworth et al, 2006; Stafford et al, 2008; Chow et al,2013;
Siegel et al, 2013).
+
 The majority of cases of RCC are believed to be sporadic; only
2% to 3% are proven to be familial.
+
 The incidence of RCC has increased since the 1970s by an
average of 3% to 4% per year, largely related to the more
prevalent use of ultrasonography of abdominal complaints
+
 Although Wilms tumor is much more common in younger
children, RCC is as common as Wilms tumor during the second
decade of life.
+
ETIOLOGY
+
 RCCs were traditionally thought to arise primarily from the
proximal convoluted tubules, and this is probably true for the
clear cell and papillary variants.
 However, other histologic subtypes of RCC, such as
chromophobe RCC and collecting duct carcinoma, are derived
from the more distal components of the nephron
+
 The most general accepted environmental risk factor for RCC
is tobacco exposure ; Relative risk---1.4 to 2.5.
 Obesity is now accepted as another major risk factor for RCC,
with an increased relative risk of 1.07 for each additional unit of
body mass index.
+
 Hypertension appears to be the 3rd major etiologic
factor for RCC.
 The proposed mechanisms are hypertension induced renal
injury and inflammation or metabolic or functional changes in
the renal tubules that may increase susceptibility to
carcinogens
+
 A family history of RCC may also be a factor;
 One study showed a relative risk of 2.9 for individuals with a
first- or second-degree relative with RCC.
+
 Other potential iatrogenic causes include regular usage of
nonsteroidal anti-inflammatory drugs, which is associated with
a relative risk of 1.51,
 while aspirin and acetaminophen were not associated with any
increased risk (Cho et al, 2011).
+
 Retroperitoneal radiation therapy, typically administered for
Wilms tumor or testicular cancer, appears to be a risk factor for
RCC, although the relative risks are low (Romanenko et al,
2000).
+
 An increased incidence of RCC is also observed in patients
with end-stage renal disease and certain familial
syndromes.
+
FAMILIAL RCC subtypes
+
+
TUMOR BIOLOGY &
CLINICAL IMPLICATIONS
+
+
PATHOLOGY
+
 Most RCCs are round to ovoid and circumscribed by a
pseudocapsule of compressed parenchyma and fibrous tissue
rather than a true histologic capsule.
 Unlike upper tract urothelial carcinomas, most RCCs are not
grossly infiltrative, with the notable exception of collecting duct
carcinoma and sarcomatoid variants.
+
Size Matters…
 Tumor size has averaged between 4 and 8 cm in most series
but can vary from a few millimeters to large enough to fill the
entire abdomen.
 Tumors smaller than 3 cm were previously classified a benign
adenomas, but some small tumors have been associated with
metastases.
 With the exception of oncocytomas and some small (<5-mm)
low-grade papillary adenomas, there are no reliable histologic
or ultrastructural criteria to differentiate benign from malignant
renal epithelial tumors.
+
 When they are bivalved, RCCs consist of yellow, tan, or brown
tumor interspersed with fibrotic, necrotic, or hemorrhagic areas;
few are uniform in gross appearance.
 Cystic degeneration is found in 10% to 25% of RCCs and
appears to be associated with a better prognosis compared
with purely solid RCC.
 Calcification can be stippled or plaque like and is found in 10%
to 20% of RCCs.
+
 Nuclear features can be highly variable.
 Grading has been based primarily on nuclear size and shape
and the presence or absence of prominent nucleoli.
+
 Fuhrman’s system is an independent prognostic factor for RCC
generally and for clear cell RCC in particular.
 Recent evidence suggests that Fuhrman grade is also a
significant predictor of outcome for papillary RCC, but features
other than nuclear characteristics may form the basis of a
preferred scheme for chromophobe RCC
+ FUHRMAN’S CLASSIFICATION
SYSTEM FOR
NUCLEAR GRADE IN RCC
+
 Frank invasion and perforation of the renal capsule, renal
sinus, or collecting system are found in approximately 20% of
cases, although displacement of these structures is a more
common finding.
+
 One unique feature of RCC is its predilection for involvement of
the venous system, which is found in 10% of RCCs, more often
than in any other tumor type.
 This is most commonly manifested in the form of a contiguous
tumor thrombus that can extend into the inferior vena cava
(IVC) as high as the right atrium.
 Many such tumor thrombi are highly vascularized by arterial
blood flow, and some directly invade the wall of the renal vein
or vena cava, which correlates with compromised prognosis
+
 Most sporadic RCCs are unilateral and unifocal.
 Bilateral involvement can be synchronous or asynchronous and
is found in 2% to 4% of sporadic RCCs, although it is
considerably more common in patients with familial forms of
RCC, such as von Hippel-Lindau disease.
 Multicentricity, which is found in 10% to 20% of cases, is more
common in association with papillary histology and familial
RCC.
+
 Microsatellite analysis suggests a clonal origin for most
multifocal RCC within the same kidney, but tumor in the
contralateral kidney is likely to be an independent growth if it is
synchronous or a metastasis if it is asynchronous.
+
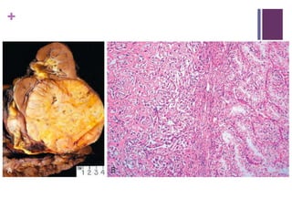
Clear Cell RCC
 Clear cell RCC accounts for 70% to 80% of all RCCs, formerly
known as “conventional” RCC.
 These tumors are typically yellow when they are bivalved and
are highly vascular, containing a network of delicate vascular
sinusoids interspersed between sheets or acini of tumor cells.
 On microscopic examination, clear cell RCC can include clear
cell, granular cell, or mixed types.
+
+
 In general, patients with clear cell RCC have a worse
prognosis compared with papillary or chromophobe RCC,
even after stratification for stage and grade.
+
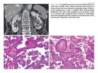
Papillary Renal Cell Carcinoma
 Also designated chromophilic RCC in previous classification
schemes
 The 2nd most common histologic subtype .
 It represents 10% to 15%of all RCCs.
+
+
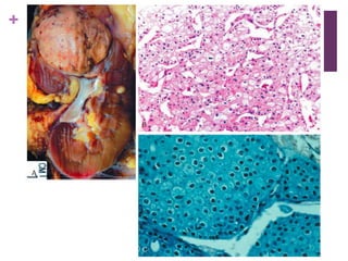
Chromophobe
Renal Cell Carcinoma
 First described in 1985
 A distinctive histologic subtype of RCC that represents 5% of all
RCCs.
 Appears to be derived from the cortical portion of the collecting
duct
+
 A perinuclear clearing or “halo” is typically found
 Electron microscopic findings consist of numerous 150- to 300-
nm microvesicles, which are the single most distinctive and
defining feature of chromophobe cell carcinoma.
 These microvesicles characteristically stain positive for Hale
colloidal iron, indicating the presence of a mucopolysaccharide
unique to chromophobe RCC.
+
+
 Most studies of the clinical behavior of chromophobe RCC
suggest a better prognosis for localized chromophobe RCC
than for clear cell RCC
 but a poor outcome in the subset of patients with sarcomatoid
features or metastatic disease.
+
Collecting Duct Carcinoma
 Carcinoma of the collecting ducts of Bellini is a relatively rare
subtype of RCC, accounting for less than 1% of all RCCs
 Most reported cases of collecting duct carcinoma have been
high grade, advanced stage, and unresponsive to
conventional therapies
+
Renal Medullary Carcinoma
 Renal medullary carcinoma is a subtype of RCC that occurs
almost exclusively in patients with the sickle cell trait.
 It is typically diagnosed in young African-Americans, often in
the third decade of life, and many cases are both locally
advanced and metastatic at the time of diagnosis.
 This tumor shares many histologic features with collecting duct
carcinoma, and some consider it a subtype of collecting duct
carcinoma or at least a closely related tumor.
+
Sarcomatoid Differentiation
 Sarcomatoid differentiation is found in 1%-5% of RCCs
 Most commonly in association with clear cell RCC or
chromophobe RCC.
 Sarcomatoid differentiation is characterized by
 spindle cell histology,
 positive staining for vimentin,
 infiltrative growth pattern,
 aggressive local and metastatic behaviour &
 poor prognosis.
+
+
Unclassified
Renal Cell Carcinoma
 Unclassified RCC represents a small minority of cases (1% to
5%) of presumed RCC
 Features remain indeterminate even after careful analysis.
 Poorly differentiated
 Associated with a highly aggressive biologic behaviour &
 A particularly poor prognosis.
+
Clinical Presentation
 Because of the sequestered location of the kidney within the
retroperitoneum, many renal masses remain asymptomatic and
nonpalpable until they are locally advanced.
 With the more pervasive use of noninvasive imaging for the
evaluation of a variety of nonspecific symptom complexes,
more than 60% of RCCs are now detected incidentally
+
+
 A less common but important presentation of RCC is that of
spontaneous perirenal hemorrhage, in which the underlying
mass may be obscured.
 More than 50% of patients with perirenal hematoma of unclear
etiology have an occult renal tumor, most often AML or RCC.
+
 Paraneoplastic syndromes are found in 10% to 20% of patients
with RCC, and few tumors are associated with the diversity of
such syndromes.
 In fact, RCC was previously referred to as the internist’s
tumor because of the predominance of systemic rather than
local manifestations.
 Now, a more appropriate name would be the radiologist’s
tumor, given the frequency of incidental detection
+
+
 Hypercalcemia has been reported in up to 13% of patients with
RCC and can be due to either paraneoplastic phenomena or
osteolytic metastatic involvement of the bone.
+
 The signs and symptoms of hypercalcemia are often
nonspecific and include nausea, anorexia fatigue, and
decreased deep tendon reflexes.
 Medical management predominates and includes vigorous
hydration followed by diuresis with furosemide and the
selective use of bisphosphonates, corticosteroids, or calcitonin.
+
 Bisphosphonate therapy is now established as a standard of
care for patients with hypercalcemia of malignancy, as long as
renal function is adequate.
 Zoledronic acid, 4 mg intravenously every 4 weeks, appears to
be particularly effective in patients with RCC but must be
withheld in the presence of renal insufficiency
+
 Hypertension and polycythemia are other important
paraneoplastic syndromes commonly found in patients with
RCC
+
 One of the more fascinating paraneoplastic syndromes
associated with RCC is nonmetastatic hepatic dysfunction, or
Stauffer syndrome, which has been reported in 3% to
20% of cases.
 Almost all patients with Stauffer syndrome have an elevated serum
alkaline phosphatase level,
 67% have elevated prothrombin time or hypoalbuminemia &
 20% to 30% have elevated serum bilirubin or transaminase
+
 In general, treatment of paraneoplastic syndromes associated
with RCC has required surgical excision or systemic therapy
and, except for hypercalcemia, medical therapies have not
proved helpful.
+
SCREENING
 A number of factors make screening for RCC appealing.
 Most important, RCC remains primarily a surgical disease
requiring early diagnosis to optimize the opportunity for cure.
+
 The primary factor that limits the widespread implementation of
screening for RCC is the relatively low incidence of RCC in the
general population (approximately 12 cases per 100,000
population per year)
+
 For now, however, the focus of screening for RCC must be on
well-defined target populations, such as patients with end-stage
renal disease and acquired renal cystic disease, tuberous
sclerosis, and familial RCC.
+
+
THANK YOU

Rcc1

  • 1.
  • 2.
    + RCC in numbers Accounts for 2% to 3% of all adult malignant neoplasms  The most lethal of the common urologic cancers.  Five-year relative survival rates for patients diagnosed in 2002 to 2008 were 71% for kidney cancer, 78% for bladder cancer (excluding carcinoma in situ), and 99% for prostate cancer (Siegel et al, 2013).
  • 3.
    +  Approximately 65,000new diagnoses of RCC are made each year in the United States, and 13,000 patients die of disease (Siegel et al,2013).  Overall, approximately 12 new cases are diagnosed per 100,000 population per year, with a male-to-female predominance of 3:2 (Siegel et al, 2013).  This is primarily a disease of older adults, with typical presentation between 50 and 70 years of age.
  • 4.
    +  However, diagnosisof renal cancer has increased more rapidly in those less than 40 years of age than any other age group (Nepple et al, 2012).  Incidence rates are 10% to 20% higher and 5-year survival rates 5% lower in African-Americans for unknown reasons (Lipworth et al, 2006; Stafford et al, 2008; Chow et al,2013; Siegel et al, 2013).
  • 5.
    +  The majorityof cases of RCC are believed to be sporadic; only 2% to 3% are proven to be familial.
  • 6.
    +  The incidenceof RCC has increased since the 1970s by an average of 3% to 4% per year, largely related to the more prevalent use of ultrasonography of abdominal complaints
  • 7.
    +  Although Wilmstumor is much more common in younger children, RCC is as common as Wilms tumor during the second decade of life.
  • 8.
  • 9.
    +  RCCs weretraditionally thought to arise primarily from the proximal convoluted tubules, and this is probably true for the clear cell and papillary variants.  However, other histologic subtypes of RCC, such as chromophobe RCC and collecting duct carcinoma, are derived from the more distal components of the nephron
  • 10.
    +  The mostgeneral accepted environmental risk factor for RCC is tobacco exposure ; Relative risk---1.4 to 2.5.  Obesity is now accepted as another major risk factor for RCC, with an increased relative risk of 1.07 for each additional unit of body mass index.
  • 11.
    +  Hypertension appearsto be the 3rd major etiologic factor for RCC.  The proposed mechanisms are hypertension induced renal injury and inflammation or metabolic or functional changes in the renal tubules that may increase susceptibility to carcinogens
  • 12.
    +  A familyhistory of RCC may also be a factor;  One study showed a relative risk of 2.9 for individuals with a first- or second-degree relative with RCC.
  • 13.
    +  Other potentialiatrogenic causes include regular usage of nonsteroidal anti-inflammatory drugs, which is associated with a relative risk of 1.51,  while aspirin and acetaminophen were not associated with any increased risk (Cho et al, 2011).
  • 14.
    +  Retroperitoneal radiationtherapy, typically administered for Wilms tumor or testicular cancer, appears to be a risk factor for RCC, although the relative risks are low (Romanenko et al, 2000).
  • 15.
    +  An increasedincidence of RCC is also observed in patients with end-stage renal disease and certain familial syndromes.
  • 16.
  • 17.
  • 18.
  • 19.
  • 20.
  • 21.
    +  Most RCCsare round to ovoid and circumscribed by a pseudocapsule of compressed parenchyma and fibrous tissue rather than a true histologic capsule.  Unlike upper tract urothelial carcinomas, most RCCs are not grossly infiltrative, with the notable exception of collecting duct carcinoma and sarcomatoid variants.
  • 22.
    + Size Matters…  Tumorsize has averaged between 4 and 8 cm in most series but can vary from a few millimeters to large enough to fill the entire abdomen.  Tumors smaller than 3 cm were previously classified a benign adenomas, but some small tumors have been associated with metastases.  With the exception of oncocytomas and some small (<5-mm) low-grade papillary adenomas, there are no reliable histologic or ultrastructural criteria to differentiate benign from malignant renal epithelial tumors.
  • 23.
    +  When theyare bivalved, RCCs consist of yellow, tan, or brown tumor interspersed with fibrotic, necrotic, or hemorrhagic areas; few are uniform in gross appearance.  Cystic degeneration is found in 10% to 25% of RCCs and appears to be associated with a better prognosis compared with purely solid RCC.  Calcification can be stippled or plaque like and is found in 10% to 20% of RCCs.
  • 24.
    +  Nuclear featurescan be highly variable.  Grading has been based primarily on nuclear size and shape and the presence or absence of prominent nucleoli.
  • 25.
    +  Fuhrman’s systemis an independent prognostic factor for RCC generally and for clear cell RCC in particular.  Recent evidence suggests that Fuhrman grade is also a significant predictor of outcome for papillary RCC, but features other than nuclear characteristics may form the basis of a preferred scheme for chromophobe RCC
  • 26.
    + FUHRMAN’S CLASSIFICATION SYSTEMFOR NUCLEAR GRADE IN RCC
  • 27.
    +  Frank invasionand perforation of the renal capsule, renal sinus, or collecting system are found in approximately 20% of cases, although displacement of these structures is a more common finding.
  • 28.
    +  One uniquefeature of RCC is its predilection for involvement of the venous system, which is found in 10% of RCCs, more often than in any other tumor type.  This is most commonly manifested in the form of a contiguous tumor thrombus that can extend into the inferior vena cava (IVC) as high as the right atrium.  Many such tumor thrombi are highly vascularized by arterial blood flow, and some directly invade the wall of the renal vein or vena cava, which correlates with compromised prognosis
  • 29.
    +  Most sporadicRCCs are unilateral and unifocal.  Bilateral involvement can be synchronous or asynchronous and is found in 2% to 4% of sporadic RCCs, although it is considerably more common in patients with familial forms of RCC, such as von Hippel-Lindau disease.  Multicentricity, which is found in 10% to 20% of cases, is more common in association with papillary histology and familial RCC.
  • 30.
    +  Microsatellite analysissuggests a clonal origin for most multifocal RCC within the same kidney, but tumor in the contralateral kidney is likely to be an independent growth if it is synchronous or a metastasis if it is asynchronous.
  • 31.
    + Clear Cell RCC Clear cell RCC accounts for 70% to 80% of all RCCs, formerly known as “conventional” RCC.  These tumors are typically yellow when they are bivalved and are highly vascular, containing a network of delicate vascular sinusoids interspersed between sheets or acini of tumor cells.  On microscopic examination, clear cell RCC can include clear cell, granular cell, or mixed types.
  • 32.
  • 33.
    +  In general,patients with clear cell RCC have a worse prognosis compared with papillary or chromophobe RCC, even after stratification for stage and grade.
  • 34.
    + Papillary Renal CellCarcinoma  Also designated chromophilic RCC in previous classification schemes  The 2nd most common histologic subtype .  It represents 10% to 15%of all RCCs.
  • 35.
  • 36.
    + Chromophobe Renal Cell Carcinoma First described in 1985  A distinctive histologic subtype of RCC that represents 5% of all RCCs.  Appears to be derived from the cortical portion of the collecting duct
  • 37.
    +  A perinuclearclearing or “halo” is typically found  Electron microscopic findings consist of numerous 150- to 300- nm microvesicles, which are the single most distinctive and defining feature of chromophobe cell carcinoma.  These microvesicles characteristically stain positive for Hale colloidal iron, indicating the presence of a mucopolysaccharide unique to chromophobe RCC.
  • 38.
  • 39.
    +  Most studiesof the clinical behavior of chromophobe RCC suggest a better prognosis for localized chromophobe RCC than for clear cell RCC  but a poor outcome in the subset of patients with sarcomatoid features or metastatic disease.
  • 40.
    + Collecting Duct Carcinoma Carcinoma of the collecting ducts of Bellini is a relatively rare subtype of RCC, accounting for less than 1% of all RCCs  Most reported cases of collecting duct carcinoma have been high grade, advanced stage, and unresponsive to conventional therapies
  • 41.
    + Renal Medullary Carcinoma Renal medullary carcinoma is a subtype of RCC that occurs almost exclusively in patients with the sickle cell trait.  It is typically diagnosed in young African-Americans, often in the third decade of life, and many cases are both locally advanced and metastatic at the time of diagnosis.  This tumor shares many histologic features with collecting duct carcinoma, and some consider it a subtype of collecting duct carcinoma or at least a closely related tumor.
  • 42.
    + Sarcomatoid Differentiation  Sarcomatoiddifferentiation is found in 1%-5% of RCCs  Most commonly in association with clear cell RCC or chromophobe RCC.  Sarcomatoid differentiation is characterized by  spindle cell histology,  positive staining for vimentin,  infiltrative growth pattern,  aggressive local and metastatic behaviour &  poor prognosis.
  • 43.
  • 44.
    + Unclassified Renal Cell Carcinoma Unclassified RCC represents a small minority of cases (1% to 5%) of presumed RCC  Features remain indeterminate even after careful analysis.  Poorly differentiated  Associated with a highly aggressive biologic behaviour &  A particularly poor prognosis.
  • 45.
    + Clinical Presentation  Becauseof the sequestered location of the kidney within the retroperitoneum, many renal masses remain asymptomatic and nonpalpable until they are locally advanced.  With the more pervasive use of noninvasive imaging for the evaluation of a variety of nonspecific symptom complexes, more than 60% of RCCs are now detected incidentally
  • 46.
  • 47.
    +  A lesscommon but important presentation of RCC is that of spontaneous perirenal hemorrhage, in which the underlying mass may be obscured.  More than 50% of patients with perirenal hematoma of unclear etiology have an occult renal tumor, most often AML or RCC.
  • 48.
    +  Paraneoplastic syndromesare found in 10% to 20% of patients with RCC, and few tumors are associated with the diversity of such syndromes.  In fact, RCC was previously referred to as the internist’s tumor because of the predominance of systemic rather than local manifestations.  Now, a more appropriate name would be the radiologist’s tumor, given the frequency of incidental detection
  • 49.
  • 50.
    +  Hypercalcemia hasbeen reported in up to 13% of patients with RCC and can be due to either paraneoplastic phenomena or osteolytic metastatic involvement of the bone.
  • 51.
    +  The signsand symptoms of hypercalcemia are often nonspecific and include nausea, anorexia fatigue, and decreased deep tendon reflexes.  Medical management predominates and includes vigorous hydration followed by diuresis with furosemide and the selective use of bisphosphonates, corticosteroids, or calcitonin.
  • 52.
    +  Bisphosphonate therapyis now established as a standard of care for patients with hypercalcemia of malignancy, as long as renal function is adequate.  Zoledronic acid, 4 mg intravenously every 4 weeks, appears to be particularly effective in patients with RCC but must be withheld in the presence of renal insufficiency
  • 53.
    +  Hypertension andpolycythemia are other important paraneoplastic syndromes commonly found in patients with RCC
  • 54.
    +  One ofthe more fascinating paraneoplastic syndromes associated with RCC is nonmetastatic hepatic dysfunction, or Stauffer syndrome, which has been reported in 3% to 20% of cases.  Almost all patients with Stauffer syndrome have an elevated serum alkaline phosphatase level,  67% have elevated prothrombin time or hypoalbuminemia &  20% to 30% have elevated serum bilirubin or transaminase
  • 55.
    +  In general,treatment of paraneoplastic syndromes associated with RCC has required surgical excision or systemic therapy and, except for hypercalcemia, medical therapies have not proved helpful.
  • 56.
    + SCREENING  A numberof factors make screening for RCC appealing.  Most important, RCC remains primarily a surgical disease requiring early diagnosis to optimize the opportunity for cure.
  • 57.
    +  The primaryfactor that limits the widespread implementation of screening for RCC is the relatively low incidence of RCC in the general population (approximately 12 cases per 100,000 population per year)
  • 58.
    +  For now,however, the focus of screening for RCC must be on well-defined target populations, such as patients with end-stage renal disease and acquired renal cystic disease, tuberous sclerosis, and familial RCC.
  • 59.
  • 60.