FIFIT BASTIAWATI
PROTISTA : eukariot pertama hasil evolusi prokariot
CIRI UMUM











Eukariot
Organel sel lebih kompleks daripada prokariot
Uniseluler / Multiseluler
Hidup bebas (soliter/koloni) dan simbiosis
Aerob / Anaerob
Heterotrof / Fotoautotrof
Reproduksi seksual / aseksual
Beberapa memiliki alat gerak (motilitas)  Protozoa
Beberapa memiliki pigmen warna  Algae
Habitat di air atau mengandung air (tempat lembab)
Protista
mirip
Jamur
Ciri Khas
Walupun tampaknya sama namun anggota
protista mirip jamur berbeda dengan jamur
sejati (fungi) dalam hal :
-organisasi seluler,
-cara reproduksi, dan
-siklus hidup.
Klasifika
si
Oomycotina (Jamur Air)
Ciri Khas :
 Hidup secara bebas atau parasit pada sisa tumbuhan di
perairan.
 Reproduksi Seksual (Penyatuan Gamet, membentuk oospora)
& Aseksual (Zoospora)
Persamaan dengan Jamur Sejati :
 Uniseluler
 Tidak memiliki kloroplas
 Heterotrof, merupakan organisme berfilamen
Perbedaan dengan Jamur Sejati :
Karakteristik

Protista Jamur

Jamur Sejati

Dinding Sel

Selulosa

Polisakarida

Flagella

Biflagellata

Non-Flagellata
Saprolegnia parasitica
Saprolegnia parasitica
Myxomycotina (Jamur Lendir)
Ciri Khas :
 Hidup secara bebas.
 Memiliki pigmen berwarna terang (kuning atau orange).
 Reproduksi Aseksual (Zoospora)
 Tahapan makan berupa massa ameoboid
Persamaan dengan Jamur Sejati :
 Uniseluler
 Tidak memiliki kloroplas
 Heterotrof
Perbedaan dengan Jamur Sejati :
Karakteristik

Protista Jamur

Jamur Sejati

Dinding Sel

Selulosa

Polisakarida

Flagella

Biflagellata

Non-Flagellata
Jamur lendir aseluler (Acrasiomycota)



 Berbeda dengan myxomycota dalam hal : spora tidak
berflagella, memiliki badan buah untuk reproduksi
seksual.
 Contoh : ...... Peranan .......
PROTOZO
A
Hewan Tingkat Tinggi vs Protozoa



Persamaan
Hewan Tingat Tinggi dan Protozoa memiliki alat gerak yang
berfungsi untuk bergerak secara bebas dan membantu
memperoleh makanan.
Perbedaan
Hewan
- Multiseluler
Protozoa
- Uniseluler
Rhizopoda
(sarcodina)
Rhizopoda (filum sarcodina)












Rhizo = akar
Podos = kaki
Alat gerak pseudopodia (kaki semu)
1 inti sel
2 vakuola : v.kontraktil dan v.makanan
2 sitoplasma : ektoplasma dan
endoplasma
Membentuk kista
Ectamoeba = diluar tubuh organisme.
Contoh : ..... Peranan ........
Entamoeba = didalam tubuh
organisme, parasit. Contoh .......
Peranan .......


 Amoeba proteus bergerak mencari makan dengan
gerak amoeboid (menjulurkan pseudopodia dan
mengaitkan ujungnya dan mengeluarkan lebih
banyak sitoplasma ke dalam pseudopodia.
Reproduksi
3. Amoeba
 1,2,menjadi bulat dan

inti selnya menjadi
panjang
4,5. inti sel membelah
diikuti pembagian
protoplasma
6. Sitoplasma pun ikut
membelah dan
membentuk 2
amoeba baru
Rhizopoda
(sarcodina)
Struktur Tubuh

Fungsi

Pseudopodia

Alat gerak & alat bantu makan

Sitoplasma

Cairan sel yang memberi tekanan pada
pseudopodia untuk melakukan pergerakan

Nukleus

Berperan dalam proses reproduksi (membelah diri)

Vakuola Makanan

Untuk mencerna makanan

Vakuola Kontraktil

Untuk pembuangan sisa metabolisme
Flagellata
Struktur Tubuh

Fungsi

Flagella

Alat gerak & alat bantu makan

Nukleus

Berperan dalam proses reproduksi (membelah diri)

Kloroplas

Berisi pigmen fotosintesis

Bintik Mata

Fotoreseptor

Vakuola Makanan

Untuk mencerna makanan

Vakuola Kontraktil

Untuk pembuangan sisa metabolisme

Fitoflagellata


Euglena viridis

Zooflagellata
Penyebab penyakit
tidur pada manusia
penyebab
infeksi pada
saluran
pencernaan
manusia.

Penyebab
penyakit
keputihan
di vagina
Ciliata (filum Ciliophora)











Cilia → rambut kecil
Alat gerak cilia
Uniseluler
Memiliki 2 inti sel : makronukleus
dan mikronukleus
2 vakuola : v.makanan dan
v.kontraktil
Habitat → lingkungan berair, baik
air tawar maupun laut.
Hidup bebas di alam, contoh : .......
Peranan .......
Hidup bersimbiosis dalam perut
hewan pemakan rumput
contoh ....... Peranan ......
Hidup sebagai parasit , contoh ......
Peranan .......


Ciliata
Struktur Tubuh

Fungsi

Cilia

Alat gerak & alat bantu makan

Mulut dan Sitofaring

Jalan masuknya makanan dari luar

Pori/Lubang Anus

Jalan keluarnya sisa hasil metabolisme

Mikronukleus

Reproduksi Seksual (konjugasi)

Makronukleus

Reproduksi Aseksual (membelah diri)

Vakuola Makanan

Untuk mencerna makanan

Vakuola Kontraktil

Untuk pembuangan sisa metabolisme
Struktur dan fungsi tubuh cilliata (Paramecium)

Makronukleus → inti sel


berukuran besar berfungsi
dalam reproduksi aseksual
 Mikronukleus → inti sel
berukuran kecil diperlukan
untuk bereproduksi secara
seksual
 Oral groove (sitosoma) →
rongga mulut
Reproduksi

•



Reproduksi seksual: konjugasi

Reproduksi aseksual : pembelahan biner
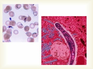
Sporozoa






Sporozoa hidup semuanya sebagai parasit
Tidak memiliki alat gerak
Reproduksi aseksual → pembelahan biner
Reproduksi seksual → pembentukan gamet dan
penyatuan gamet jantan betina

 Plasmodium vivax → penyakit malaria tertiana,
masa sporulasi 2x24 jam
 Plasmodium falciparum → penyakit malaria tropika,
masa sporulasi 1-2 x24 jam
 Plasmodium malariae → penyakit malaria quartana,
masa sporulasi 3 x 24 jam
 Plasmodium ovale → penyakit malaria ovale, masa
sporulasi 2x24 jam
 Toxoplasma gondii → penyakit toksoplasmosis

VIDEO OF PLASMODIUM CYCLE


Phylum

Cara gerak

Flagellata

Flagela (satu
atau lebih)

Rhizopoda

Pseudopodia

Ciliata

Silia (seluruh
tubuh atau
hanya sebagian)

Sporozoa

Gerak dengan
meluncur atau
tidak bergerak

Cara
berkembang
biak

Ciri-ciri lain

Pembelahan
Nutrisinya
biner membujur,
fototrofik,
pada beberapa
heterotrofik atau
kelompok ada
keduanya
reproduksi
seksual
Umumnya
Pembelahan
hidup bebas,
biner
heterotrofik



Pembelahan
biner melintang,
reptoduksi
seksual dengan
konjugasi
Pembelahan
bahurangkap,
reproduksi
seksual

Umumnya
hidup bebas,
heterotrofik

Semua spesies
parasitik

Contoh
ALGAE
Tumbuhan Tingkat Tinggi vs Algae



Persamaan
Tumbuhan Tingat Tinggi dan Algae memiliki pigmen warna
yang berfungsi untuk membantu menangkap cahaya dalam
proses fotosintesis.
Perbedaan
Tumbuhan
a.Multiseluler
b.Akar, Batang, dan Daun sejati (dapat dibedakan)
Algae
a.Uniseluler / Multiseluler
b.Akar, Batang, dan Daun = Talus (tidak dapat dibedakan)
Euglenophyta
Karakteristik :
• Pigmen dominan  Fikobilin
• Pigmen lain

 klorofil a & b, karoten

• Uniseluler
• Fotoautotrof & Heterotrof
• ≠ Dinding Sel

 Pelikel

• Bintik Mata

 Fotoreseptor

• 2 Flagelum

 (panjang & pendek)

• Habitat

 air tawar (kolam, danau)

• Repro. Aseksual  pembelahan biner
Chrysophyta
Karakteristik :
• Pigmen dominan

 Santofil

• Pigmen lain

 klorofil a & c

• Uniseluler
• Dinding Sel

 hemiselulosa, pektin, silika

• ≠ Flagel
• Habitat

 air tawar dan laut

• Repro. Aseksual

 pembelahan biner

Repro. Seksual

 penyatuan gamet
Pyrrophyta
Karakteristik :
• Fakta
• Fluoresen
• Blooming
• Pigmen

 Red Tide
 klorofil a & c, karoten, fikobilin

• Uniseluler
• Dinding Sel
• 2 Flagelum

 (lateral & apikal)

• Habitat

 air laut (tepi pantai)

• Repro. Aseksual

 pembelahan biner
Chlorophyta
Karakteristik :
• Pigmen dominan

 klorofil a & b

• Pigmen lain

 karoten

• Uniseluler & Multiseluler
• Dinding Sel

 selulosa

• Flagel
• Habitat

 air tawar & laut dangkal

• Repro. Aseksual

 pembelahan biner, fragmentasi,
pembentukan spora

• Repro. Seksual

 isogami, anisogami, oogami
Chlorella sp.

Volvox sp.

Ulothrix sp.

Spirogyra sp.
Hydrodiction sp.

Oedogonium sp.

Ulva lactuca

Halimeda discoidea
Halimeda discoidea
Phaeophyta
Karakteristik :
• Pigmen dominan

 Fukosantin

• Pigmen lain

 karoten

• Multiseluler
• Dinding Sel

 Pektin & Algin

• Habitat

 air laut (mengapung/melekat)

• Repro. Aseksual

 fragmentasi
pembentukan spora

• Repro. Seksual

 isogami, anisogami, oogami
Padina sp.
Sargassum sp.
Macrocystis sp.
Rhodophyta
Karakteristik :
• Pigmen dominan

 Fikoeritrin

• Pigmen lain

 klorofil a & d, fikobilin

• Multiseluler
• Dinding Sel

 pektin & selulosa

• Habitat

 laut dalam

• Repro. Aseksual

 pembentukan spora

• Repro. Seksual

 oogami
Eucheuma cottoni

Gellidium sp.
PROTISTA

Karakteristik

Mirip Hewan

Mirip Jamur

tetap / tentatif

Bentuk Tubuh

Mirip Tumbuhan
sel tunggal, filamen,
lembaran

benang (hifa),

Reproduksi :
-Seksual
-Aseksual

Konjugasi
Pemb.Biner

Konjugasi, Fertilisasi
Pemb.Biner,
Fragmentasi, Zoospora

Fertilisasi
Zoospora

Habitat

Air & MH

Air & Tempat Lembab

Akuatik, terestrial

Struktur
Tubuh

-

Flagella
Cilia
Pseudopodia
Non-motil

Ciri Khas

-

Heterotrof
Alat Gerak

-

Kloroplas
Talus

Autotrof
Pigmen Fotosintesis

-

Hifa
Dinding Sel
Badan Buah
Spora

-

Heterotrof
Spora

Protista materi kelas X

  • 1.
  • 2.
    PROTISTA : eukariotpertama hasil evolusi prokariot
  • 3.
    CIRI UMUM           Eukariot Organel sellebih kompleks daripada prokariot Uniseluler / Multiseluler Hidup bebas (soliter/koloni) dan simbiosis Aerob / Anaerob Heterotrof / Fotoautotrof Reproduksi seksual / aseksual Beberapa memiliki alat gerak (motilitas)  Protozoa Beberapa memiliki pigmen warna  Algae Habitat di air atau mengandung air (tempat lembab)
  • 5.
  • 6.
    Ciri Khas Walupun tampaknyasama namun anggota protista mirip jamur berbeda dengan jamur sejati (fungi) dalam hal : -organisasi seluler, -cara reproduksi, dan -siklus hidup.
  • 7.
  • 8.
    Oomycotina (Jamur Air) CiriKhas :  Hidup secara bebas atau parasit pada sisa tumbuhan di perairan.  Reproduksi Seksual (Penyatuan Gamet, membentuk oospora) & Aseksual (Zoospora) Persamaan dengan Jamur Sejati :  Uniseluler  Tidak memiliki kloroplas  Heterotrof, merupakan organisme berfilamen Perbedaan dengan Jamur Sejati : Karakteristik Protista Jamur Jamur Sejati Dinding Sel Selulosa Polisakarida Flagella Biflagellata Non-Flagellata
  • 9.
  • 10.
    Myxomycotina (Jamur Lendir) CiriKhas :  Hidup secara bebas.  Memiliki pigmen berwarna terang (kuning atau orange).  Reproduksi Aseksual (Zoospora)  Tahapan makan berupa massa ameoboid Persamaan dengan Jamur Sejati :  Uniseluler  Tidak memiliki kloroplas  Heterotrof Perbedaan dengan Jamur Sejati : Karakteristik Protista Jamur Jamur Sejati Dinding Sel Selulosa Polisakarida Flagella Biflagellata Non-Flagellata
  • 12.
    Jamur lendir aseluler(Acrasiomycota)   Berbeda dengan myxomycota dalam hal : spora tidak berflagella, memiliki badan buah untuk reproduksi seksual.  Contoh : ...... Peranan .......
  • 13.
  • 14.
    Hewan Tingkat Tinggivs Protozoa  Persamaan Hewan Tingat Tinggi dan Protozoa memiliki alat gerak yang berfungsi untuk bergerak secara bebas dan membantu memperoleh makanan. Perbedaan Hewan - Multiseluler Protozoa - Uniseluler
  • 16.
  • 17.
    Rhizopoda (filum sarcodina)           Rhizo= akar Podos = kaki Alat gerak pseudopodia (kaki semu) 1 inti sel 2 vakuola : v.kontraktil dan v.makanan 2 sitoplasma : ektoplasma dan endoplasma Membentuk kista Ectamoeba = diluar tubuh organisme. Contoh : ..... Peranan ........ Entamoeba = didalam tubuh organisme, parasit. Contoh ....... Peranan .......
  • 18.
      Amoeba proteusbergerak mencari makan dengan gerak amoeboid (menjulurkan pseudopodia dan mengaitkan ujungnya dan mengeluarkan lebih banyak sitoplasma ke dalam pseudopodia.
  • 19.
    Reproduksi 3. Amoeba  1,2,menjadibulat dan inti selnya menjadi panjang 4,5. inti sel membelah diikuti pembagian protoplasma 6. Sitoplasma pun ikut membelah dan membentuk 2 amoeba baru
  • 20.
    Rhizopoda (sarcodina) Struktur Tubuh Fungsi Pseudopodia Alat gerak& alat bantu makan Sitoplasma Cairan sel yang memberi tekanan pada pseudopodia untuk melakukan pergerakan Nukleus Berperan dalam proses reproduksi (membelah diri) Vakuola Makanan Untuk mencerna makanan Vakuola Kontraktil Untuk pembuangan sisa metabolisme
  • 23.
    Flagellata Struktur Tubuh Fungsi Flagella Alat gerak& alat bantu makan Nukleus Berperan dalam proses reproduksi (membelah diri) Kloroplas Berisi pigmen fotosintesis Bintik Mata Fotoreseptor Vakuola Makanan Untuk mencerna makanan Vakuola Kontraktil Untuk pembuangan sisa metabolisme
  • 24.
  • 25.
    Fitoflagellata  Euglena viridis Zooflagellata Penyebab penyakit tidurpada manusia penyebab infeksi pada saluran pencernaan manusia. Penyebab penyakit keputihan di vagina
  • 28.
    Ciliata (filum Ciliophora)          Cilia→ rambut kecil Alat gerak cilia Uniseluler Memiliki 2 inti sel : makronukleus dan mikronukleus 2 vakuola : v.makanan dan v.kontraktil Habitat → lingkungan berair, baik air tawar maupun laut. Hidup bebas di alam, contoh : ....... Peranan ....... Hidup bersimbiosis dalam perut hewan pemakan rumput contoh ....... Peranan ...... Hidup sebagai parasit , contoh ...... Peranan ....... 
  • 29.
    Ciliata Struktur Tubuh Fungsi Cilia Alat gerak& alat bantu makan Mulut dan Sitofaring Jalan masuknya makanan dari luar Pori/Lubang Anus Jalan keluarnya sisa hasil metabolisme Mikronukleus Reproduksi Seksual (konjugasi) Makronukleus Reproduksi Aseksual (membelah diri) Vakuola Makanan Untuk mencerna makanan Vakuola Kontraktil Untuk pembuangan sisa metabolisme
  • 30.
    Struktur dan fungsitubuh cilliata (Paramecium) Makronukleus → inti sel  berukuran besar berfungsi dalam reproduksi aseksual  Mikronukleus → inti sel berukuran kecil diperlukan untuk bereproduksi secara seksual  Oral groove (sitosoma) → rongga mulut
  • 31.
  • 34.
    Sporozoa      Sporozoa hidup semuanyasebagai parasit Tidak memiliki alat gerak Reproduksi aseksual → pembelahan biner Reproduksi seksual → pembentukan gamet dan penyatuan gamet jantan betina
  • 35.
      Plasmodium vivax→ penyakit malaria tertiana, masa sporulasi 2x24 jam  Plasmodium falciparum → penyakit malaria tropika, masa sporulasi 1-2 x24 jam  Plasmodium malariae → penyakit malaria quartana, masa sporulasi 3 x 24 jam  Plasmodium ovale → penyakit malaria ovale, masa sporulasi 2x24 jam  Toxoplasma gondii → penyakit toksoplasmosis
  • 36.
  • 37.
  • 38.
    Phylum Cara gerak Flagellata Flagela (satu ataulebih) Rhizopoda Pseudopodia Ciliata Silia (seluruh tubuh atau hanya sebagian) Sporozoa Gerak dengan meluncur atau tidak bergerak Cara berkembang biak Ciri-ciri lain Pembelahan Nutrisinya biner membujur, fototrofik, pada beberapa heterotrofik atau kelompok ada keduanya reproduksi seksual Umumnya Pembelahan hidup bebas, biner heterotrofik  Pembelahan biner melintang, reptoduksi seksual dengan konjugasi Pembelahan bahurangkap, reproduksi seksual Umumnya hidup bebas, heterotrofik Semua spesies parasitik Contoh
  • 39.
  • 40.
    Tumbuhan Tingkat Tinggivs Algae  Persamaan Tumbuhan Tingat Tinggi dan Algae memiliki pigmen warna yang berfungsi untuk membantu menangkap cahaya dalam proses fotosintesis. Perbedaan Tumbuhan a.Multiseluler b.Akar, Batang, dan Daun sejati (dapat dibedakan) Algae a.Uniseluler / Multiseluler b.Akar, Batang, dan Daun = Talus (tidak dapat dibedakan)
  • 42.
    Euglenophyta Karakteristik : • Pigmendominan  Fikobilin • Pigmen lain  klorofil a & b, karoten • Uniseluler • Fotoautotrof & Heterotrof • ≠ Dinding Sel  Pelikel • Bintik Mata  Fotoreseptor • 2 Flagelum  (panjang & pendek) • Habitat  air tawar (kolam, danau) • Repro. Aseksual  pembelahan biner
  • 43.
    Chrysophyta Karakteristik : • Pigmendominan  Santofil • Pigmen lain  klorofil a & c • Uniseluler • Dinding Sel  hemiselulosa, pektin, silika • ≠ Flagel • Habitat  air tawar dan laut • Repro. Aseksual  pembelahan biner Repro. Seksual  penyatuan gamet
  • 44.
    Pyrrophyta Karakteristik : • Fakta •Fluoresen • Blooming • Pigmen  Red Tide  klorofil a & c, karoten, fikobilin • Uniseluler • Dinding Sel • 2 Flagelum  (lateral & apikal) • Habitat  air laut (tepi pantai) • Repro. Aseksual  pembelahan biner
  • 45.
    Chlorophyta Karakteristik : • Pigmendominan  klorofil a & b • Pigmen lain  karoten • Uniseluler & Multiseluler • Dinding Sel  selulosa • Flagel • Habitat  air tawar & laut dangkal • Repro. Aseksual  pembelahan biner, fragmentasi, pembentukan spora • Repro. Seksual  isogami, anisogami, oogami
  • 46.
  • 47.
    Hydrodiction sp. Oedogonium sp. Ulvalactuca Halimeda discoidea
  • 48.
  • 49.
    Phaeophyta Karakteristik : • Pigmendominan  Fukosantin • Pigmen lain  karoten • Multiseluler • Dinding Sel  Pektin & Algin • Habitat  air laut (mengapung/melekat) • Repro. Aseksual  fragmentasi pembentukan spora • Repro. Seksual  isogami, anisogami, oogami
  • 50.
  • 51.
  • 52.
  • 53.
    Rhodophyta Karakteristik : • Pigmendominan  Fikoeritrin • Pigmen lain  klorofil a & d, fikobilin • Multiseluler • Dinding Sel  pektin & selulosa • Habitat  laut dalam • Repro. Aseksual  pembentukan spora • Repro. Seksual  oogami
  • 54.
  • 55.
    PROTISTA Karakteristik Mirip Hewan Mirip Jamur tetap/ tentatif Bentuk Tubuh Mirip Tumbuhan sel tunggal, filamen, lembaran benang (hifa), Reproduksi : -Seksual -Aseksual Konjugasi Pemb.Biner Konjugasi, Fertilisasi Pemb.Biner, Fragmentasi, Zoospora Fertilisasi Zoospora Habitat Air & MH Air & Tempat Lembab Akuatik, terestrial Struktur Tubuh - Flagella Cilia Pseudopodia Non-motil Ciri Khas - Heterotrof Alat Gerak - Kloroplas Talus Autotrof Pigmen Fotosintesis - Hifa Dinding Sel Badan Buah Spora - Heterotrof Spora