PRINCIPLES &PRINCIPLES &
APPLICATIONS OF PET - CTAPPLICATIONS OF PET - CT
and PET - MRand PET - MR
PRESENTATION BY-
CHARUSMITA CHAUDHARY
Moderator: Prof. (HOD) R .K. GOGOI
INTRODUCTIONINTRODUCTION
Cancer is one of leading causes of morbidity and mortality in
developed countries.
Most radiologic procedures map the anatomy and morphology of
tumors with little or no information about their metabolism
Positron emission tomography (PET) is a coalition of physics,
chemistry, physiology, and medicine united in an effort to measure
physiologic parameters noninvasively.
Positron Emission Tomography and Computed Tomography / MRI
is the combination of functional imaging as well as anatomical
imaging.
HistoryHistory
 1978 the first commercial
PET scanner was
introduced
 70s and 80s PET was
mainly used for research
 1990s being used in
clinics regularly
 First approval in 1998.
PRINCIPLE OF PETPRINCIPLE OF PET
 The concept of PET is to radiolabel a bio-compound, inject it into the patient,
and then measure its bio-distribution as a function of time to determine
physiologic quantities associated with the biocompound.
 All PET compounds are radiolabeled with positron-emitting radionuclides.
 These radionuclides have decay characteristics that enable localization in the
body.
 A positron is emitted from the nucleus, travels a short distance, and annihilates
with its antiparticle (an electron), which results in two 5 I l-keV photons
traveling in opposite directions.
 After both photons are detected, the activity is localized somewhere along the
line defined by the two detectors.
2-[F-18]Fluoro-2-Deoxy-D-Glucose
(FDG)
O
H
O
O
H
HO
F
H
H
H
H
H
CH2
OH
511 keV photon
511 keV photon
E = mc2
180o
+ -
UC LA
producing radiotracers
Synthesizing radiopharmaceuticals from the tracers
administering the radiopharmaceutical to a patient
measuring the resulting radioactivity distribution in an
organ of interest
interpreting activity distribution as a function of
physiologic parameters.
A PET study consists of
PRODUCTION OF RADIONUCLIDEPRODUCTION OF RADIONUCLIDE
PET radionuclides are positron emitters.
There are 5 convenient nuclides-
HALF LIFE (min)
Rubidium- 82 1.23
Fluorine – 18 109
Oxygen- 15 2
Nitrogen- 13 10
Carbon- 11 20
Commonly produced isotopes : “F O N C”
SYNTHESIS OF F-18 &FDGSYNTHESIS OF F-18 &FDG
Over 500 PET compounds have been
synthesized since 1970.
Natural substrates such as amino acids,
analogues ,fluorinated glucose &drugs.
MC used is a glucose analogue, 2-[F18]fluoro-
2-deoxy-D-glucose (FDG).
Why is 18 F the most used positron emitter?
18F is a small atom.
its addition to a molecule does not deform it to the point
where it is not recognized by the body anymor
has a half-life of 109 minutes.
This is long enough to perform a complicated chemistry
(labelling) , and to allow transport over some distance.
It is also long enough to keep the radiation burden to patient
low
USES
Fluorodeoxyglucose
[18F]-labeled 2-deoxyglucose (FDG) is used in neurology,
cardiology and oncology to study glucose metabolism. FDG is
potentially useful in differentiating benign from malignant forms of
lesions because of the high metabolic activity of many types of
aggressive tumors.
Oxygen
[15O]-labeled water is used to evaluate myocardial oxygen
consumption and oxygen extraction fraction. It can also be used to
measure tumor necrosis.
 Ammonia
[13N]-labeled ammonia can be used to measure blood flow.
 Leucine
[11C]-labeled methionine and leucine can be used to evaluate
amino acid uptake and protein synthesis, providing an
indicator of tumor viability.
 Fluorine Ion
Radiolabeled fluorine ion [18F-] was once a standard agent for
clinical bone scanning.
A typical production schedule for FDG is 3hours in duration,
starting from the time the chemist walks into the laboratory
until the radiochemical is produced.
The synthesis is 50%-60% efficient, so accounting for this and
the radioactive decay, about 200 mCi (7.4 GBq) of FDG is
available at the end of the synthesis.
A patient usually receivesA patient usually receives 10 mCi (370 MBq).
If two scanners are available so that a patient can receive an injectionIf two scanners are available so that a patient can receive an injection
every half hour,every half hour, one production run will allow scanning aboutrun will allow scanning about six
patients per day..
Principle of metabolic imaging with FDG
Glucose 18 FDG Blood vessel
Cell
Glucose 6 Phosphate 18FDG 6 Phosphate
Fructose 6 Phosphate
Pyruvate
Anaerobic resp Citric acid cycle
G LUT
SCANNER DESIGNSCANNER DESIGN
A positron emission
tomography (PET) scanner
is a large machine with a
round, doughnut shaped
hole in the middle
 Within this machine are
multiple rings of detectors
that record the emission of
energy from the radiotracer
in your body.
A nearby computer aids in
creating the images from
the data obtained by the
camera or scanner.
SCANNER DESIGN….SCANNER DESIGN….
Detectors are 18-40 rings of crystals forming a
cylindrical field of view about 15cm long that can
acquire many slices of coincidence data
PET scanners use crystals with higher density &
higher Z numbers due to sensitivity
Group of crystals is put together into a block
Four PMT’s to each block of crystal
Use “electronic collimation” to detect location of
annihilation event
SCANNER DESIGN….SCANNER DESIGN….
 Localizing the site of impact is achieved by
measuring the light detected in each PMT
 Signal is then amplified
 System must be able to determine which signals
come from paired 511keV photons and record the
time of detection (timing discriminator)
 Coincidence circuit then examines signals to
confirm it if it occurred with in the time window
CRYSTALS USED IN PETCRYSTALS USED IN PET
BaFBaF22– Barium
Flouride(0.8ns)
BGOBGO – Bismuth Germinate
Oxide(300ns)
LSOLSO – Lutetium
Orthosilicate(40ns)
GSOGSO – Gadolineum
Orthosilicate(60ns)
YLSOYLSO – Yttrium Lutetium
Orthosilicate(40ns)
COINCIDENCE DETECTIONCOINCIDENCE DETECTION
Photons should arrive with in a certain time of
one another
A coincidence timing window allows detection
of the PMT electrical signal from photon pair
(4-12ns)
If it falls within timing window it is registered
as a true event
When two different annihilation events are
detected with in the timing window is known as
“random event”
DATA ACQUSITIONDATA ACQUSITION
The detection of photon pairs by opposing
crystals create one event (LOR)
Millions of these event will be stored with in
sinograms and used to reconstruct the image
Spatial resolution is determined by the size of
crystal and their separation and is typically 3-
5mm
PET is 50-100 times more sensitive and
produces higher quality than a SPECT
Reconstruction is similar to SPECT
RECONSTRUCTIONRECONSTRUCTION
PET reconstruction can be performed with
a variety of algorithms
o Filtered back projection
o Iterative reconstruction(ordered subset
reconstruction )
ATTENUATION CORRECTIONATTENUATION CORRECTION
 Mathematical attenuation correction techniques may
be used if tissue attenuation is the same at all areas
within a transaxial slice .
 Measured attenuation may be performed by two
methods:
– Transmission scan using a radioactive source rotating it
around the patient
– CT scan to measure tissue density
 The ability to correct for attenuation improves quality
and permits absolute quantification of radioactivity in
the body
Resolution in PET is determined by three factors:
distance the positron travels before it annihilates with an electron,
variation in angle between the two annihilation photons, and
physical size of the detectors.
A positron will travel between 0.5 and 2 mm in tissue before
annihilation, depending on its energy.
Typical detector sizes are 1 -3 mm.
The best possible resolution of a PET scanner is 1-2mm.
Typical clinical scanners have a resolution of approximately
4-7 mm.
PET vs. CT & MRIPET vs. CT & MRI
PET CT and MRI
Shows extent of disease
Detects changes in body
structure
Can help in monitoring
treatment and shows it’s
effectiveness
Simply confirms the presence
of a mass
Reveals disease earlier, can
diagnose faster
Can detect whether a mass is
benign of malignant
Can detect abnomalities before
there is an anatomical change
SAFETY ASPECTS OF PETSAFETY ASPECTS OF PET
 PET has 511Kev gamma rays energy, that is 3 times of
140Kev gamma ray energy of Technitium99m
 Due to their high energy 16 times more lead is required to
obtain the same stopping effect for 511Kev photons as
compared to 140Kev photons
SAFETY ASPECTS OF PETSAFETY ASPECTS OF PET
So Tungsten shielding
is used for Positron
emitting radionuclide.
It provides 1.4 times
the shielding capability
for the same thickness
of Lead
CONTRA INDICATIONSCONTRA INDICATIONS
Pregnancy
Use of caffeine, tobacco, or alcohol in
past 24hours before scan
Using sedatives
Using medicines that change metabolism
ex: INSULIN.
PRINCIPLE OF PET-CTPRINCIPLE OF PET-CT
PET-CT FUSIONPET-CT FUSION
 FDG PET is a strictly functional modality and lacks anatomic landmarks.
 Unless anatomic correlation is available to delineate normal structures,
pathologic sites of FDG accumulation can easily be confused with normal
physiologic uptake, leading to false-positive or false-negative findings.
 Coregistration of PET scans with CT using a combined PET-CT scanner
improves the overall sensitivity and specificity of information provided by
PET or CT alone .
 advantage is ability to correlate findings at two complementary imaging
modalities in a comprehensive examination. Hence, PET-CT provides more
precise anatomic definition for both the physiologic and pathologic
uptake seen at FDG PET
Max coverage during combined study
Distance betwn pet and ct scanner
SCANNING TECHNIQUESCANNING TECHNIQUE
Nil orally for approximately 4–6 hours
avoid caffeinated or alcoholic beverages but can have water
during this period.
blood glucose level of less than 150 mg/dL is desirable.
Avoid strenuous activity to avoid physiologic muscle uptake of
FDG
water-soluble iodinated contrast media orally for bowel
opacification except for head and neck study.
10 mCi injected intravenously
Patient activity and speech are limited for 20 minutes
immediately following injection
Pet study is started 60 mins after injection.
CT TECHNIQUE
Contrast material–enhanced helical CT is performed following injection of
125 mL of a contrast medium at a rate of 4 mL/sec by using a power
injector .
Whole-body PET-CT study scanning begins at the level of the skull base
and extends caudally to the level of the symphysis pubis.
PET TECHNIQUE
The PET scanner is located behind the CT scanner and housed in the same
extended-length gantry. PET is performed following the CT study without
moving the patient in the caudocranial direction,starting at the thighs to
limit artifacts from the FDG metaboliteexcretion into the urinary system
Typical scout image obtained during an FDG PET-CT study. The blue-purple rectangle
represents CT coverage during the study, and each overlapping green rectangle
represents PET coverage.
INTERPRETATION OF IMAGESINTERPRETATION OF IMAGES
PET provides images of quantitative uptake of the
radionuclide injected that can give the concentration of
radiotracer activity in kilobecquerels per milliliter .
Methods for assessment of radiotracer uptake –
• visual inspection
• standardized uptake value (SUV)
• glucose metabolic rate
LIMITATIONS AND ARTIFACTS OF PET-CTLIMITATIONS AND ARTIFACTS OF PET-CT
 1.Patient motion may cause confusion as to the correct position of the
origin of the detected photon.

Patient motion is minimized by –
 carefully instructing patients not to move during the study;
 placing them in a comfortable position before the start of the
study;
 ensuring that they are not taking diuretics, which may otherwise
require them to evacuate the bladder during the study;
 having patients empty their bladder before the start of the study
or catheterizing the bladder.
2.Attenuation (transmission) correction artifacts highly attenuating
objects in the path of the CT beam, such as hip prostheses,
pacemakers, dental devices, and contrast-enhanced vessels
ADVANTAGES OF PET-CTADVANTAGES OF PET-CT
1. helpful in accurate localization of small areas of increased radiotracer
activity that would have been difficult or not possible to localize on
PET images alone .
2. helps in distinguishing structures that normally show high metabolic
activity from those with abnormally increased activity.
3. PET-CT combines the advantages of the excellent functional
information provided by PET and the superb spatial and contrast
resolution of CT
4. Finally, attenuation correction for quantitative or semi quantitative
assessment of data is possible by using the CT data,
Whole-body PET/MRIWhole-body PET/MRI::
The Future in OncologicalThe Future in Oncological
ImagingImaging
PET/MRIPET/MRI: TECHNICAL EVOLUTION: TECHNICAL EVOLUTION
 The idea to combine PET and MRI arose as early as the mid
1990s, even before PET/CT was introduced.
 The PET/MRI combination requires 3 risky technologic steps
that modify state-of-the-art PET and MRI.
1. First, the photomultiplier technology must be replaced with magnetic
field–insensitive photodiodes .
2. Second, compact PET detectors must be constructed so that it shouldn't
interfere with the field gradients or MR radiofrequency.
3. Finally, the MRI scanner must be adapted to accommodate the PET
detectors and to allow simultaneous data acquisition without mutual
interference.
 Based on the technologic challenges to combine PET and MRI into a
single gantry, Philips and Siemens proposed 2 fundamentally different
prototype PET/MRI designs.
 In the Siemens prototypes include 4 dedicated brain PET scanners
that fit into a standard 3-T clinical MRI scanner.
The PET/MRI system, together with a dedicated radiofrequency head
coil, allows simultaneous PET/MRI data acquisition of the human
brain or body extremities.
 Philips developed a PET/MRI design in which the gantries are
approximately 2.5 m apart but share a common patient handling
system. This implementation does not allow for simultaneous data
acquisition and, therefore, results in longer examination times.
Scanner DesignScanner Design
CLINICAL POTENTIAL OF PET/MRICLINICAL POTENTIAL OF PET/MRI
 It is reasonable to expect that brain PET/MRI will provide new
insights in the field of neuroscience and neurologic disorders, such as
neuro degeneration, brain ischemia, neuro oncologyor seizures .
 It is feasible with current prototypes and future-generation systems to
simultaneously study brain function, metabolism, oxygen
consumption, and perfusion.
 In oncology, an accurate spatial match between PET and MRI data is
mandatory for both radiation therapy planning and biopsy guidance.
 Combining PET with cardiac MRI may enable detection and
differentiation of vulnerable plaques and diseased myocardium.
Advantage of PET/MRI over PET/CT
1. is not associated with significant radiation exposure
2. has a much higher soft tissue contrast.
3. MRI allows for additional techniques - such as angiography, functional MRI
,diffusion ,spectroscopy and perfusion techniques within one single
examination.
PHYSIOLOGIC VERSES PATHOLOGIC FDG UPTAKEPHYSIOLOGIC VERSES PATHOLOGIC FDG UPTAKE
of FDGof FDG
There are several sites of normal physiologic accumulation ofFDG. FDG
accumulation is most intense in the cerebralcortex, basal ganglia,
thalamus, and cerebellum. The myocardiumexpresses insulin-sensitive
glucose transporters, which facilitatethe transport of glucose into muscle. A
recent meal often causes intense myocardial FDGuptake because of the
associated elevated serum insulin levels
Because FDG appears in the glomerular filtrate and, unlike glucose,is not
reabsorbed in the tubules, intense FDG activity is seenin the intrarenal
collecting systems, ureters, and bladder
The most common areas of normal distribution of FDG
include the brain, myocardium, and genitourinary tract.
SEMI QUANTITATIVE VALUE- CALCULATION OF INTENSITY
OF FDG UPTAKE IN REGION OF INTERST.
SUV-5 Indicates five times the average uptake.
RISUV - new index, Retention Index SUV after 3 hours.
STANDARDISED UPTAKE VALUE
Physiologic FDG uptake
The distribution of FDG
within a normal individual (MIP).
Chest
•Moderate to high FDG uptake is noted in patients with thymic
rebound andshould not be confused with asymmetric uptake due
to lymphoma in this location .
•In pediatric patients, anatomic correlation is necessary following
chemotherapy to differentiate the enlarged thymus from residual or
recurrent disease at this location, especially with focal thymic
uptake .
Physiologic thymic uptake in a 23-year-old woman with a
history of Hodgkin disease of the chest who was referred for
posttherapy evaluation.
Low to moderate FDG uptake is noted in the distal esophagus,
particularly in patients with gastroesophageal reflux secondary
to inflammatory changes.
However, high-grade uptake in the same location maybe
caused by malignant processes (ie, carcinoma of the distal
esophagus, usually associated with morphologic esophageal
changes)
Nonneoplastic esophageal uptake in a 21-year-old woman with a
history of non-Hodgkin lymphoma
Esophageal adenocarcinoma in a 52-year-old man who was
referred for presurgical evaluation.
THE ROLE OF PET/CT IN LUNG CANCER
Assessment of the solitary pulmonary nodule (SPN)
Staging of non-small cell lung cancer (NSCLC)
Assessment of mediastinal lymphadenopathy
Identification of distant metastatic disease
Detection of recurrent disease
Solitary pulmonary noduleSolitary pulmonary nodule
? Benign or malignant
No activity. Diagnosis: benign bronchocoele
Top Tip
Approximately 85%
of metabolically
active pulmonary
nodules are malignant.
If an FDG positive
pulmonary
nodule is found, it
should be assumed to
be malignant until
proved otherwise.
Bilateral pulmonary
nodules. Diagnosis:
metabolically
active pulmonary
sarcoidosis.
False positive SPN False negative SPN
1.Granulomas BAC
2.Sarcoidosis Scar adenoca
3.Infection carcinoids
4.Adenomas
5.Hamartomas
6.Neurofibromas
Top Tip
Without the aid of
PET/CT it can be
difficult to distinguish
active tumor from
collapsed lung or
necrotic tissue.
Identification of distant metastatic disease
Top Tip
Evidence suggests that the
removal of a solitary adrenal
deposit at the time of resection
of the lung primary results in
an increased life expectancy.
Liver, adrenal, brain and bony
deposits are common with
lung cancer but many of the
lesions are undetected in
the course of conventional
staging
PET/CT IN RADIOTHERAPY PLANNING
Patient for radiotherapy. Where does the tumor end and the
collapsed lung begin ?
The Role of PET/CT in Lymphoma
 Assess response to therapy/residual disease
 Identify recurrent disease
 Initial diagnosis and staging
 Identify suitable sites for biopsy
 Disease surveillance
 Radiotherapy planning
An example of stage 4
disease. NHL with
disease in the
mediastinum,
neck, and abdomen
ASSESSMENT OF TREATMENT
RESPONSE
Pretherapy and post
therapy
studies showing a
complete metabolic
response to therapy.
Top Tip
Brown fat activation can cause
confusion and care must
be taken to ensure that each area of uptake
corresponds to fat. Activated brown fat is
seen more commonly in thin individuals
during the winter months, but there is also
an increased incidence in women and in
patients suffering from lymphoma
Intense marrow
activation
following granulocyte
stimulating factor.
Head and Neck
Moderate to high FDG uptakeis noticeable in the muscles,
including the ocular muscles.
may be a potential source of false-positive findings inpatients
with malignant head and neck tumors.
Contraction-induced FDG uptakein cervical muscles in tense
patients can be confused with lymphnode metastasis which
constitutes a serious problem in patients with
asymmetric muscleuptake due to prior neck dissection.
FDG accumulates in the striated laryngeal muscles in
proportion to contractile activity during speech.
This phenomenon is a major concern and may lead to false
readings in patients with head and neck cancers .
Rigorous approach to preventing physiologic FDG uptake in
thelaryngeal muscles should be adopted to avoid false-positive
findings.
Physiologic laryngeal uptake in a 52-year-old woman
with squamous cell carcinoma of the floor of the mouth.
Primary tumor of the larynx in a 45-year-old man with epiglottic
carcinoma who was referred for presurgical evaluation.
NEUROLOGY INDICATIONSNEUROLOGY INDICATIONS
NEURO-ONCOLOGY
Tumor recurrence versus radiation necrosis
Diagnosis
Grading
Monitoring response to therapy
Radiotherapy planning
Biopsy planning
SEIZURE FOCUS IDENTIFICATION
STROKE
DEMENTIAS
OTHER APPLICATIONS
Brain injury- vascular, trauma
Psychiatry- depression, schizophrenia,anxiety
Movement disorders with 18F-dopa
Miscellaneous- infection, substance abuse,eating disorders
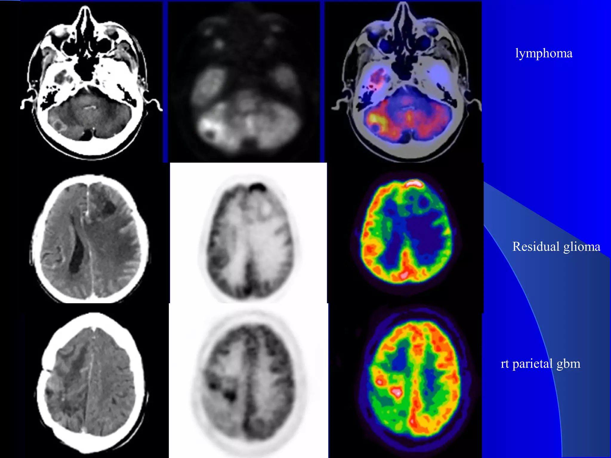
rere
lymphoma
Residual glioma
rt parietal gbm
LOSS OF VISION BOWEL & BLADDER INCONTINENCE
SINCE I MONTH
BUTTERFLY GLIOMA
High precision Radiation therapy Planning
PET
CT
PET/CT
Biopsy Planning
Localizing
the most
viable tissue
in the lesion
Comparison of MRI time-to-peak (TTP) and PET O2
extraction fraction (OEF) images
Extensive hypo metabolism of entire brain
parenchyma, except thalami & basal ganglia
METABOLIC ENCEPHALOPATHY
PET in NeurologyPET in Neurology
The Active Human BrainThe Active Human Brain
PET in Brain DisordersPET in Brain Disorders
Simultaneous PET/MRI study in
Alzheimer disease
Hypo metabolism in left temporal lobe secondary to epilepsy
Abdomen and Pelvis
 Moderate to highFDG uptake is visible in the muscles that contribute to
breathingin patients with chronic obstructive pulmonary disease.
 due todifficulty in breathing and use of accessory muscles to facilitate
breathing.
 In addition, due to an imbalance between oxygen supplyand increased demand,
the decrease in oxygen delivery causesa switch to anaerobic metabolism.
 Hence, the increaseduptake seen in the diaphragmatic cruces may be the result
of accentuated abdominal breathing effort and the anaerobic metabolismthat
leads to increased FDG uptake similar to the physiologicalterations in cancer
cells.
 Any disease process involving theceliac or perigastric lymph nodes (eg,
lymphoma, nodal metastaticdisease) can be difficult to interpret in patients with
diaphragmaticuptake, especially in the posttherapy setting.
Physiologic diaphragmatic uptake in a 49-year-old woman with a
history of abdominal lymphoma and severe COPD who was
referred for posttherapy follow-up.
Low to moderate uptake is usually observed in
the stomach.
Focal and irregular uptake in the stomachis
usually due to a malignant process;
nevertheless, local gastritiscannot be excluded
with certainty without the help of CT.
Physiologic gastric uptake in a 52-year-old man with colorectal
cancer who had undergone surgical tumor resection.
Gastric cancer in a 59-year-old woman
The importance of FDG PET in the evaluation of colorectal
canceris well established.
Both small and large bowel may demonstratevarying degrees
of FDG uptake, usually with a diffuse and linearpattern.
However, focal physiologic uptake is not an uncommon
finding in short segments of the bowel.
UnlessCT correlation is available, the configuration of uptake
in thesecases may be indistinguishable from malignant
processes .
Adenocarcinoma of the cecum in a 77-year-old man.
Gallbladder uptake of FDG is not a common finding.
When activity is observed in this anatomic location,
choleductalcancer, adenocarcinoma of the gallbladder,
and primary or metastaticdisease of the liver should be
considered in the differentialdiagnosis.
CT correlation is most helpful in delineatinganatomic
landmarks and distinguishing a benign gallbladder
variantfrom malignant lesions.
Chronic cholecystitis in a patient with papillary thyroid
cancer who underwent thyroidectomy
Liver metastasis in a 55-year-old man with rectal adenocarcinoma.
Unlike glucose, FDG is not reabsorbed by the renal tubules
afterfiltration.
Thus, significant FDG accumulation is seen in theintrarenal
collecting system and renal pelvis.
This accumulationmay interfere with the identification of
renal parenchymal orpelvic urothelial tumors.
However, anatomicinformation provided by CT allows proper
assessment and characterizationof renal masses
Renal cell carcinoma in a 60-year-old woman
Focal FDG accumulation in the ureters is a
common finding dueto the pooling of radiotracer
in the recumbent patient.
althoughthe intensity and location of uptake
usually allow accurateidentification of the ureters
in patients with abdominal malignancies, this
finding can be misdiagnosed as pelvic lymph
node metastasisor nodal lymphoma.
Physiologic uptake in the renal pelvis in a 66-year-old man
with a history of colorectal cancer .
There is usually no FDG accumulation in the uterus, althoughfocal
FDG uptake in the uterus during menstruation has beendescribed.
can beattributed to heavy bleeding or to necrotic endometrial
epitheliumdue to sudden reduction of estrogen and progesterone
levelsat the end of the secretory phase of the menstrual cycle.
Itmay not be possible to differentiate this uptake pattern fromuterine
carcinoma, even with the help of PET-CT .
However, FDG uptake is usually more irregular, diffuse, and
extensive in uterine cancer .
 
Physiologic uterine uptake in a 40-year-old woman with a
history of lymphoma who was referred for posttherapy
evaluation.
Endometrial cancer in a 66-year-old woman.
Cardiac PET andCardiac PET and Myocardial perfusion ImagingMyocardial perfusion Imaging
 Rb Distributed in the myocardium depending on the regional blood flow
Rb delivery limited to ischemic or underperfused areas
These areas will appear as defect on initial images
On delayed images(2-4hrs) post inj
Defects resolves due to redistribution which reflects not only eventual
accumulation of Rb in viable ischemic zones but release & washout from
normally perfused area
(Areas of myocardial infarction or fibrosis present as permanent defects
due to lack of perfusion)
CARDIAC PET and PET CT IMAGING
The stress images
show a severe
perfusion defect
throughout the
anterolateral wall
that is completely
reversible at rest
 The first heart has a mycardial infarction. The
arrows point to damaged areas (‘dead’
tissue).Therefore it is assumed that the patient
will not benefit from heart surgery.
 The second heart is normal
Example: Myocardial Viability
PET IN INFLAMMATORY CONDITIONS
Hepatic and splenic uptake of FDG are generally low grade and
diffuse
In the setting of infection, splenic uptake can be intense.
Acquired Immuno-deficiency Syndrome.
Till now, gallium imaging radionuclide imaging - study of choice in evaluating
opportunistic infections in AIDS patients.
FDG – PET – helpful in many CNS conditions in AIDS patients.
Lymphoma and toxoplasmosis are frequent CNS complications – not always
distinguishable at CT and MRI.
CNS LYMPHOMA- Highly metabolically active.
TOXOPLASMOSIS- metabolically inactive.
FDG PET of Infection and Inflammation1
Toxoplasmosis in an AIDS patient
Acquired Immuno-deficiency Syndrome
CNS lymphoma in a different AIDS patientCNS lymphoma in a different AIDS patient
Acquired Immuno-deficiency
Syndrome
2. Fever of unknown origin.
 FDG PET- LT PL EFF: HYPERMETABOLIC FOCUS SUB PLEURAL
AREA.
 CTPA- LEFT LOWER LOBE PULMONARY EMBOLI,
 WEDGE SHAPED PULMONARY INFARCT.
FINAL DIAGNOSIS- PULMONARY EMBOLISM C INFARCTION.
3.OSTEOMYELITIS
Increased metabolic activity in inflammation
results in increased FDG uptake.
Also occur in
a. inflammatory arthritis
b. acute fractures,
c. normally healing bone after surgery.
Differentiation between inflammatory and
malignant lesions.
 Traditionally, a single time point SUV of 2.0–3.0 hasbeen proposed as the
optimal threshold for separating malignantfrom benign lesions.
 With the exception of granulomatous lesions- malignant lesions shows
increased SUV values on delayed images i.e., increased RI SUV
( RETENTION INDEX SUV ).
 DUAL TIME FDG PET imaging at two intervals appears promising now.
Lesions with decreased SUV s over time are likely to have a benign
etiology. Malignant lesions tend to have increase in SUV over time.
PET vs. SPECTPET vs. SPECT
PET have superior sensitivity and resolution
Greater flexibility of incorporating positron
labels into biomolecules
PET is more expensive and requires the
presence of an onsite cyclotron
PEMPEM
 Positron Emission Mammography
 PEM is a specialized & improved
form of PET for imaging breasts
and other small body parts.
 Camera and detectors are closer to
the area affected with cancer which
produces a very sharp detailed
image of tumors and cancerous
tissue.
 Can see cancers as small as 1.5 –
2mm about the width of a grain of
rice.
 Also allows for the earlier
detection of elusive cancers such
as DCIS (ductal carcinoma in situ).
PEMPEM
Breast PET MRIBreast PET MRI
Schematic diag of pet insert and mri coil
Understand the differences between whole-body PET and PEM
Spatial Resolution
better spatial resolution (1-2 mm vs. 5-10 mm). This comes at the
cost of field-of-view
Photon-Detection Sensitivity
 •Closer proximity of PEM detectors increases geometric
sensitivity
 Allows lower dose/faster imaging/longer uptake time
differences between mammography and PEM
 Transmission vs. Emission Imaging
 Anatomical vs. Functional Imaging
 Planar vs. Tomosynthesis (or Tomographic)
 •Planar is single projection view with considerable tissue
overlap
 •Tomosynth./tomographic is 3-dimensional volumetric image
 Utilities, cost, dose
CONCLUSIONCONCLUSION
Detection of coincidence photons emitted during positron annihilationis the key to
PET imaging, whereas accurate coregistration ofthis quantitative/functional
information with the CT data isthe key to successful PET-CT imaging.
Specific attention topatient preparation, data acquisition, data reconstruction,and
image interpretation is crucial to obtaining high-qualityPET-CT images.
Fusion of the anatomic and functional imagesby using a dedicated PET-CT /Pet
mri scanner is exploited for optimalresults required in the management of complex
clinical scenariosfaced by our clinical colleagues. Having witnessed an impressive
technologic development of PET detector technology, first PET/MRI prototype
systems, and MRI-based PET attenuation correction, as well as encouraging clinical
and specifically preclinical PET/MRI results, we now seek opportunities to translate
these technologic advances into clinical benefits
CT/PET/MRI-Anatomical + Functional
imaging.
18F-FDG-Increase glucose utilisation in
malignancies.
Oncology,Neurology ,Cardiology
Diagnosis.
Staging.
Restaging.
Monitoring response to therapy.
Guided biopsy.
Radiotherapy planning
THANK YOUTHANK YOU
new ideas make work interestingnew ideas make work interesting

Principles and application of PET CT & PET MR

  • 1.
    PRINCIPLES &PRINCIPLES & APPLICATIONSOF PET - CTAPPLICATIONS OF PET - CT and PET - MRand PET - MR PRESENTATION BY- CHARUSMITA CHAUDHARY Moderator: Prof. (HOD) R .K. GOGOI
  • 3.
    INTRODUCTIONINTRODUCTION Cancer is oneof leading causes of morbidity and mortality in developed countries. Most radiologic procedures map the anatomy and morphology of tumors with little or no information about their metabolism Positron emission tomography (PET) is a coalition of physics, chemistry, physiology, and medicine united in an effort to measure physiologic parameters noninvasively. Positron Emission Tomography and Computed Tomography / MRI is the combination of functional imaging as well as anatomical imaging.
  • 4.
    HistoryHistory  1978 thefirst commercial PET scanner was introduced  70s and 80s PET was mainly used for research  1990s being used in clinics regularly  First approval in 1998.
  • 5.
    PRINCIPLE OF PETPRINCIPLEOF PET  The concept of PET is to radiolabel a bio-compound, inject it into the patient, and then measure its bio-distribution as a function of time to determine physiologic quantities associated with the biocompound.  All PET compounds are radiolabeled with positron-emitting radionuclides.  These radionuclides have decay characteristics that enable localization in the body.  A positron is emitted from the nucleus, travels a short distance, and annihilates with its antiparticle (an electron), which results in two 5 I l-keV photons traveling in opposite directions.  After both photons are detected, the activity is localized somewhere along the line defined by the two detectors.
  • 7.
  • 8.
    producing radiotracers Synthesizing radiopharmaceuticalsfrom the tracers administering the radiopharmaceutical to a patient measuring the resulting radioactivity distribution in an organ of interest interpreting activity distribution as a function of physiologic parameters. A PET study consists of
  • 9.
    PRODUCTION OF RADIONUCLIDEPRODUCTIONOF RADIONUCLIDE PET radionuclides are positron emitters. There are 5 convenient nuclides- HALF LIFE (min) Rubidium- 82 1.23 Fluorine – 18 109 Oxygen- 15 2 Nitrogen- 13 10 Carbon- 11 20 Commonly produced isotopes : “F O N C”
  • 10.
    SYNTHESIS OF F-18&FDGSYNTHESIS OF F-18 &FDG Over 500 PET compounds have been synthesized since 1970. Natural substrates such as amino acids, analogues ,fluorinated glucose &drugs. MC used is a glucose analogue, 2-[F18]fluoro- 2-deoxy-D-glucose (FDG).
  • 11.
    Why is 18F the most used positron emitter? 18F is a small atom. its addition to a molecule does not deform it to the point where it is not recognized by the body anymor has a half-life of 109 minutes. This is long enough to perform a complicated chemistry (labelling) , and to allow transport over some distance. It is also long enough to keep the radiation burden to patient low
  • 12.
    USES Fluorodeoxyglucose [18F]-labeled 2-deoxyglucose (FDG)is used in neurology, cardiology and oncology to study glucose metabolism. FDG is potentially useful in differentiating benign from malignant forms of lesions because of the high metabolic activity of many types of aggressive tumors. Oxygen [15O]-labeled water is used to evaluate myocardial oxygen consumption and oxygen extraction fraction. It can also be used to measure tumor necrosis.
  • 13.
     Ammonia [13N]-labeled ammoniacan be used to measure blood flow.  Leucine [11C]-labeled methionine and leucine can be used to evaluate amino acid uptake and protein synthesis, providing an indicator of tumor viability.  Fluorine Ion Radiolabeled fluorine ion [18F-] was once a standard agent for clinical bone scanning.
  • 14.
    A typical productionschedule for FDG is 3hours in duration, starting from the time the chemist walks into the laboratory until the radiochemical is produced. The synthesis is 50%-60% efficient, so accounting for this and the radioactive decay, about 200 mCi (7.4 GBq) of FDG is available at the end of the synthesis.
  • 15.
    A patient usuallyreceivesA patient usually receives 10 mCi (370 MBq). If two scanners are available so that a patient can receive an injectionIf two scanners are available so that a patient can receive an injection every half hour,every half hour, one production run will allow scanning aboutrun will allow scanning about six patients per day..
  • 16.
    Principle of metabolicimaging with FDG Glucose 18 FDG Blood vessel Cell Glucose 6 Phosphate 18FDG 6 Phosphate Fructose 6 Phosphate Pyruvate Anaerobic resp Citric acid cycle G LUT
  • 17.
    SCANNER DESIGNSCANNER DESIGN Apositron emission tomography (PET) scanner is a large machine with a round, doughnut shaped hole in the middle  Within this machine are multiple rings of detectors that record the emission of energy from the radiotracer in your body. A nearby computer aids in creating the images from the data obtained by the camera or scanner.
  • 18.
    SCANNER DESIGN….SCANNER DESIGN…. Detectorsare 18-40 rings of crystals forming a cylindrical field of view about 15cm long that can acquire many slices of coincidence data PET scanners use crystals with higher density & higher Z numbers due to sensitivity Group of crystals is put together into a block Four PMT’s to each block of crystal Use “electronic collimation” to detect location of annihilation event
  • 19.
    SCANNER DESIGN….SCANNER DESIGN…. Localizing the site of impact is achieved by measuring the light detected in each PMT  Signal is then amplified  System must be able to determine which signals come from paired 511keV photons and record the time of detection (timing discriminator)  Coincidence circuit then examines signals to confirm it if it occurred with in the time window
  • 20.
    CRYSTALS USED INPETCRYSTALS USED IN PET BaFBaF22– Barium Flouride(0.8ns) BGOBGO – Bismuth Germinate Oxide(300ns) LSOLSO – Lutetium Orthosilicate(40ns) GSOGSO – Gadolineum Orthosilicate(60ns) YLSOYLSO – Yttrium Lutetium Orthosilicate(40ns)
  • 21.
    COINCIDENCE DETECTIONCOINCIDENCE DETECTION Photonsshould arrive with in a certain time of one another A coincidence timing window allows detection of the PMT electrical signal from photon pair (4-12ns) If it falls within timing window it is registered as a true event When two different annihilation events are detected with in the timing window is known as “random event”
  • 22.
    DATA ACQUSITIONDATA ACQUSITION Thedetection of photon pairs by opposing crystals create one event (LOR) Millions of these event will be stored with in sinograms and used to reconstruct the image Spatial resolution is determined by the size of crystal and their separation and is typically 3- 5mm PET is 50-100 times more sensitive and produces higher quality than a SPECT Reconstruction is similar to SPECT
  • 23.
    RECONSTRUCTIONRECONSTRUCTION PET reconstruction canbe performed with a variety of algorithms o Filtered back projection o Iterative reconstruction(ordered subset reconstruction )
  • 24.
    ATTENUATION CORRECTIONATTENUATION CORRECTION Mathematical attenuation correction techniques may be used if tissue attenuation is the same at all areas within a transaxial slice .  Measured attenuation may be performed by two methods: – Transmission scan using a radioactive source rotating it around the patient – CT scan to measure tissue density  The ability to correct for attenuation improves quality and permits absolute quantification of radioactivity in the body
  • 25.
    Resolution in PETis determined by three factors: distance the positron travels before it annihilates with an electron, variation in angle between the two annihilation photons, and physical size of the detectors. A positron will travel between 0.5 and 2 mm in tissue before annihilation, depending on its energy. Typical detector sizes are 1 -3 mm. The best possible resolution of a PET scanner is 1-2mm. Typical clinical scanners have a resolution of approximately 4-7 mm.
  • 26.
    PET vs. CT& MRIPET vs. CT & MRI PET CT and MRI Shows extent of disease Detects changes in body structure Can help in monitoring treatment and shows it’s effectiveness Simply confirms the presence of a mass Reveals disease earlier, can diagnose faster Can detect whether a mass is benign of malignant Can detect abnomalities before there is an anatomical change
  • 27.
    SAFETY ASPECTS OFPETSAFETY ASPECTS OF PET  PET has 511Kev gamma rays energy, that is 3 times of 140Kev gamma ray energy of Technitium99m  Due to their high energy 16 times more lead is required to obtain the same stopping effect for 511Kev photons as compared to 140Kev photons
  • 28.
    SAFETY ASPECTS OFPETSAFETY ASPECTS OF PET So Tungsten shielding is used for Positron emitting radionuclide. It provides 1.4 times the shielding capability for the same thickness of Lead
  • 29.
    CONTRA INDICATIONSCONTRA INDICATIONS Pregnancy Useof caffeine, tobacco, or alcohol in past 24hours before scan Using sedatives Using medicines that change metabolism ex: INSULIN.
  • 30.
  • 31.
    PET-CT FUSIONPET-CT FUSION FDG PET is a strictly functional modality and lacks anatomic landmarks.  Unless anatomic correlation is available to delineate normal structures, pathologic sites of FDG accumulation can easily be confused with normal physiologic uptake, leading to false-positive or false-negative findings.  Coregistration of PET scans with CT using a combined PET-CT scanner improves the overall sensitivity and specificity of information provided by PET or CT alone .  advantage is ability to correlate findings at two complementary imaging modalities in a comprehensive examination. Hence, PET-CT provides more precise anatomic definition for both the physiologic and pathologic uptake seen at FDG PET
  • 32.
    Max coverage duringcombined study Distance betwn pet and ct scanner
  • 33.
    SCANNING TECHNIQUESCANNING TECHNIQUE Nilorally for approximately 4–6 hours avoid caffeinated or alcoholic beverages but can have water during this period. blood glucose level of less than 150 mg/dL is desirable. Avoid strenuous activity to avoid physiologic muscle uptake of FDG water-soluble iodinated contrast media orally for bowel opacification except for head and neck study. 10 mCi injected intravenously Patient activity and speech are limited for 20 minutes immediately following injection Pet study is started 60 mins after injection.
  • 34.
    CT TECHNIQUE Contrast material–enhancedhelical CT is performed following injection of 125 mL of a contrast medium at a rate of 4 mL/sec by using a power injector . Whole-body PET-CT study scanning begins at the level of the skull base and extends caudally to the level of the symphysis pubis. PET TECHNIQUE The PET scanner is located behind the CT scanner and housed in the same extended-length gantry. PET is performed following the CT study without moving the patient in the caudocranial direction,starting at the thighs to limit artifacts from the FDG metaboliteexcretion into the urinary system
  • 35.
    Typical scout imageobtained during an FDG PET-CT study. The blue-purple rectangle represents CT coverage during the study, and each overlapping green rectangle represents PET coverage.
  • 36.
    INTERPRETATION OF IMAGESINTERPRETATIONOF IMAGES PET provides images of quantitative uptake of the radionuclide injected that can give the concentration of radiotracer activity in kilobecquerels per milliliter . Methods for assessment of radiotracer uptake – • visual inspection • standardized uptake value (SUV) • glucose metabolic rate
  • 37.
    LIMITATIONS AND ARTIFACTSOF PET-CTLIMITATIONS AND ARTIFACTS OF PET-CT  1.Patient motion may cause confusion as to the correct position of the origin of the detected photon.  Patient motion is minimized by –  carefully instructing patients not to move during the study;  placing them in a comfortable position before the start of the study;  ensuring that they are not taking diuretics, which may otherwise require them to evacuate the bladder during the study;  having patients empty their bladder before the start of the study or catheterizing the bladder. 2.Attenuation (transmission) correction artifacts highly attenuating objects in the path of the CT beam, such as hip prostheses, pacemakers, dental devices, and contrast-enhanced vessels
  • 38.
    ADVANTAGES OF PET-CTADVANTAGESOF PET-CT 1. helpful in accurate localization of small areas of increased radiotracer activity that would have been difficult or not possible to localize on PET images alone . 2. helps in distinguishing structures that normally show high metabolic activity from those with abnormally increased activity. 3. PET-CT combines the advantages of the excellent functional information provided by PET and the superb spatial and contrast resolution of CT 4. Finally, attenuation correction for quantitative or semi quantitative assessment of data is possible by using the CT data,
  • 39.
    Whole-body PET/MRIWhole-body PET/MRI:: TheFuture in OncologicalThe Future in Oncological ImagingImaging
  • 40.
    PET/MRIPET/MRI: TECHNICAL EVOLUTION:TECHNICAL EVOLUTION  The idea to combine PET and MRI arose as early as the mid 1990s, even before PET/CT was introduced.  The PET/MRI combination requires 3 risky technologic steps that modify state-of-the-art PET and MRI. 1. First, the photomultiplier technology must be replaced with magnetic field–insensitive photodiodes . 2. Second, compact PET detectors must be constructed so that it shouldn't interfere with the field gradients or MR radiofrequency. 3. Finally, the MRI scanner must be adapted to accommodate the PET detectors and to allow simultaneous data acquisition without mutual interference.
  • 41.
     Based onthe technologic challenges to combine PET and MRI into a single gantry, Philips and Siemens proposed 2 fundamentally different prototype PET/MRI designs.  In the Siemens prototypes include 4 dedicated brain PET scanners that fit into a standard 3-T clinical MRI scanner. The PET/MRI system, together with a dedicated radiofrequency head coil, allows simultaneous PET/MRI data acquisition of the human brain or body extremities.  Philips developed a PET/MRI design in which the gantries are approximately 2.5 m apart but share a common patient handling system. This implementation does not allow for simultaneous data acquisition and, therefore, results in longer examination times. Scanner DesignScanner Design
  • 44.
    CLINICAL POTENTIAL OFPET/MRICLINICAL POTENTIAL OF PET/MRI  It is reasonable to expect that brain PET/MRI will provide new insights in the field of neuroscience and neurologic disorders, such as neuro degeneration, brain ischemia, neuro oncologyor seizures .  It is feasible with current prototypes and future-generation systems to simultaneously study brain function, metabolism, oxygen consumption, and perfusion.  In oncology, an accurate spatial match between PET and MRI data is mandatory for both radiation therapy planning and biopsy guidance.  Combining PET with cardiac MRI may enable detection and differentiation of vulnerable plaques and diseased myocardium.
  • 45.
    Advantage of PET/MRIover PET/CT 1. is not associated with significant radiation exposure 2. has a much higher soft tissue contrast. 3. MRI allows for additional techniques - such as angiography, functional MRI ,diffusion ,spectroscopy and perfusion techniques within one single examination.
  • 46.
    PHYSIOLOGIC VERSES PATHOLOGICFDG UPTAKEPHYSIOLOGIC VERSES PATHOLOGIC FDG UPTAKE of FDGof FDG There are several sites of normal physiologic accumulation ofFDG. FDG accumulation is most intense in the cerebralcortex, basal ganglia, thalamus, and cerebellum. The myocardiumexpresses insulin-sensitive glucose transporters, which facilitatethe transport of glucose into muscle. A recent meal often causes intense myocardial FDGuptake because of the associated elevated serum insulin levels Because FDG appears in the glomerular filtrate and, unlike glucose,is not reabsorbed in the tubules, intense FDG activity is seenin the intrarenal collecting systems, ureters, and bladder
  • 47.
    The most commonareas of normal distribution of FDG include the brain, myocardium, and genitourinary tract. SEMI QUANTITATIVE VALUE- CALCULATION OF INTENSITY OF FDG UPTAKE IN REGION OF INTERST. SUV-5 Indicates five times the average uptake. RISUV - new index, Retention Index SUV after 3 hours. STANDARDISED UPTAKE VALUE
  • 48.
  • 49.
    The distribution ofFDG within a normal individual (MIP).
  • 50.
    Chest •Moderate to highFDG uptake is noted in patients with thymic rebound andshould not be confused with asymmetric uptake due to lymphoma in this location . •In pediatric patients, anatomic correlation is necessary following chemotherapy to differentiate the enlarged thymus from residual or recurrent disease at this location, especially with focal thymic uptake .
  • 51.
    Physiologic thymic uptakein a 23-year-old woman with a history of Hodgkin disease of the chest who was referred for posttherapy evaluation.
  • 52.
    Low to moderateFDG uptake is noted in the distal esophagus, particularly in patients with gastroesophageal reflux secondary to inflammatory changes. However, high-grade uptake in the same location maybe caused by malignant processes (ie, carcinoma of the distal esophagus, usually associated with morphologic esophageal changes)
  • 53.
    Nonneoplastic esophageal uptakein a 21-year-old woman with a history of non-Hodgkin lymphoma
  • 54.
    Esophageal adenocarcinoma ina 52-year-old man who was referred for presurgical evaluation.
  • 55.
    THE ROLE OFPET/CT IN LUNG CANCER Assessment of the solitary pulmonary nodule (SPN) Staging of non-small cell lung cancer (NSCLC) Assessment of mediastinal lymphadenopathy Identification of distant metastatic disease Detection of recurrent disease
  • 56.
    Solitary pulmonary noduleSolitarypulmonary nodule ? Benign or malignant
  • 57.
    No activity. Diagnosis:benign bronchocoele Top Tip Approximately 85% of metabolically active pulmonary nodules are malignant. If an FDG positive pulmonary nodule is found, it should be assumed to be malignant until proved otherwise.
  • 58.
  • 59.
    False positive SPNFalse negative SPN 1.Granulomas BAC 2.Sarcoidosis Scar adenoca 3.Infection carcinoids 4.Adenomas 5.Hamartomas 6.Neurofibromas
  • 60.
    Top Tip Without theaid of PET/CT it can be difficult to distinguish active tumor from collapsed lung or necrotic tissue.
  • 61.
    Identification of distantmetastatic disease Top Tip Evidence suggests that the removal of a solitary adrenal deposit at the time of resection of the lung primary results in an increased life expectancy. Liver, adrenal, brain and bony deposits are common with lung cancer but many of the lesions are undetected in the course of conventional staging
  • 63.
    PET/CT IN RADIOTHERAPYPLANNING Patient for radiotherapy. Where does the tumor end and the collapsed lung begin ?
  • 64.
    The Role ofPET/CT in Lymphoma  Assess response to therapy/residual disease  Identify recurrent disease  Initial diagnosis and staging  Identify suitable sites for biopsy  Disease surveillance  Radiotherapy planning
  • 65.
    An example ofstage 4 disease. NHL with disease in the mediastinum, neck, and abdomen
  • 66.
    ASSESSMENT OF TREATMENT RESPONSE Pretherapyand post therapy studies showing a complete metabolic response to therapy.
  • 67.
    Top Tip Brown fatactivation can cause confusion and care must be taken to ensure that each area of uptake corresponds to fat. Activated brown fat is seen more commonly in thin individuals during the winter months, but there is also an increased incidence in women and in patients suffering from lymphoma
  • 68.
  • 69.
    Head and Neck Moderateto high FDG uptakeis noticeable in the muscles, including the ocular muscles. may be a potential source of false-positive findings inpatients with malignant head and neck tumors. Contraction-induced FDG uptakein cervical muscles in tense patients can be confused with lymphnode metastasis which constitutes a serious problem in patients with asymmetric muscleuptake due to prior neck dissection.
  • 70.
    FDG accumulates inthe striated laryngeal muscles in proportion to contractile activity during speech. This phenomenon is a major concern and may lead to false readings in patients with head and neck cancers . Rigorous approach to preventing physiologic FDG uptake in thelaryngeal muscles should be adopted to avoid false-positive findings.
  • 71.
    Physiologic laryngeal uptakein a 52-year-old woman with squamous cell carcinoma of the floor of the mouth.
  • 72.
    Primary tumor ofthe larynx in a 45-year-old man with epiglottic carcinoma who was referred for presurgical evaluation.
  • 73.
  • 74.
    NEURO-ONCOLOGY Tumor recurrence versusradiation necrosis Diagnosis Grading Monitoring response to therapy Radiotherapy planning Biopsy planning SEIZURE FOCUS IDENTIFICATION STROKE DEMENTIAS OTHER APPLICATIONS Brain injury- vascular, trauma Psychiatry- depression, schizophrenia,anxiety Movement disorders with 18F-dopa Miscellaneous- infection, substance abuse,eating disorders
  • 75.
  • 76.
    LOSS OF VISIONBOWEL & BLADDER INCONTINENCE SINCE I MONTH BUTTERFLY GLIOMA
  • 77.
    High precision Radiationtherapy Planning
  • 78.
  • 79.
    Comparison of MRItime-to-peak (TTP) and PET O2 extraction fraction (OEF) images Extensive hypo metabolism of entire brain parenchyma, except thalami & basal ganglia METABOLIC ENCEPHALOPATHY
  • 80.
    PET in NeurologyPETin Neurology The Active Human BrainThe Active Human Brain
  • 81.
    PET in BrainDisordersPET in Brain Disorders Simultaneous PET/MRI study in Alzheimer disease
  • 82.
    Hypo metabolism inleft temporal lobe secondary to epilepsy
  • 83.
    Abdomen and Pelvis Moderate to highFDG uptake is visible in the muscles that contribute to breathingin patients with chronic obstructive pulmonary disease.  due todifficulty in breathing and use of accessory muscles to facilitate breathing.  In addition, due to an imbalance between oxygen supplyand increased demand, the decrease in oxygen delivery causesa switch to anaerobic metabolism.  Hence, the increaseduptake seen in the diaphragmatic cruces may be the result of accentuated abdominal breathing effort and the anaerobic metabolismthat leads to increased FDG uptake similar to the physiologicalterations in cancer cells.  Any disease process involving theceliac or perigastric lymph nodes (eg, lymphoma, nodal metastaticdisease) can be difficult to interpret in patients with diaphragmaticuptake, especially in the posttherapy setting.
  • 84.
    Physiologic diaphragmatic uptakein a 49-year-old woman with a history of abdominal lymphoma and severe COPD who was referred for posttherapy follow-up.
  • 85.
    Low to moderateuptake is usually observed in the stomach. Focal and irregular uptake in the stomachis usually due to a malignant process; nevertheless, local gastritiscannot be excluded with certainty without the help of CT.
  • 86.
    Physiologic gastric uptakein a 52-year-old man with colorectal cancer who had undergone surgical tumor resection.
  • 87.
    Gastric cancer ina 59-year-old woman
  • 88.
    The importance ofFDG PET in the evaluation of colorectal canceris well established. Both small and large bowel may demonstratevarying degrees of FDG uptake, usually with a diffuse and linearpattern. However, focal physiologic uptake is not an uncommon finding in short segments of the bowel. UnlessCT correlation is available, the configuration of uptake in thesecases may be indistinguishable from malignant processes .
  • 89.
    Adenocarcinoma of thececum in a 77-year-old man.
  • 90.
    Gallbladder uptake ofFDG is not a common finding. When activity is observed in this anatomic location, choleductalcancer, adenocarcinoma of the gallbladder, and primary or metastaticdisease of the liver should be considered in the differentialdiagnosis. CT correlation is most helpful in delineatinganatomic landmarks and distinguishing a benign gallbladder variantfrom malignant lesions.
  • 91.
    Chronic cholecystitis ina patient with papillary thyroid cancer who underwent thyroidectomy
  • 92.
    Liver metastasis ina 55-year-old man with rectal adenocarcinoma.
  • 93.
    Unlike glucose, FDGis not reabsorbed by the renal tubules afterfiltration. Thus, significant FDG accumulation is seen in theintrarenal collecting system and renal pelvis. This accumulationmay interfere with the identification of renal parenchymal orpelvic urothelial tumors. However, anatomicinformation provided by CT allows proper assessment and characterizationof renal masses
  • 94.
    Renal cell carcinomain a 60-year-old woman
  • 95.
    Focal FDG accumulationin the ureters is a common finding dueto the pooling of radiotracer in the recumbent patient. althoughthe intensity and location of uptake usually allow accurateidentification of the ureters in patients with abdominal malignancies, this finding can be misdiagnosed as pelvic lymph node metastasisor nodal lymphoma.
  • 96.
    Physiologic uptake inthe renal pelvis in a 66-year-old man with a history of colorectal cancer .
  • 97.
    There is usuallyno FDG accumulation in the uterus, althoughfocal FDG uptake in the uterus during menstruation has beendescribed. can beattributed to heavy bleeding or to necrotic endometrial epitheliumdue to sudden reduction of estrogen and progesterone levelsat the end of the secretory phase of the menstrual cycle. Itmay not be possible to differentiate this uptake pattern fromuterine carcinoma, even with the help of PET-CT . However, FDG uptake is usually more irregular, diffuse, and extensive in uterine cancer .  
  • 98.
    Physiologic uterine uptakein a 40-year-old woman with a history of lymphoma who was referred for posttherapy evaluation.
  • 99.
    Endometrial cancer ina 66-year-old woman.
  • 100.
    Cardiac PET andCardiacPET and Myocardial perfusion ImagingMyocardial perfusion Imaging  Rb Distributed in the myocardium depending on the regional blood flow Rb delivery limited to ischemic or underperfused areas These areas will appear as defect on initial images On delayed images(2-4hrs) post inj Defects resolves due to redistribution which reflects not only eventual accumulation of Rb in viable ischemic zones but release & washout from normally perfused area (Areas of myocardial infarction or fibrosis present as permanent defects due to lack of perfusion)
  • 101.
    CARDIAC PET andPET CT IMAGING The stress images show a severe perfusion defect throughout the anterolateral wall that is completely reversible at rest
  • 102.
     The firstheart has a mycardial infarction. The arrows point to damaged areas (‘dead’ tissue).Therefore it is assumed that the patient will not benefit from heart surgery.  The second heart is normal Example: Myocardial Viability
  • 103.
    PET IN INFLAMMATORYCONDITIONS Hepatic and splenic uptake of FDG are generally low grade and diffuse In the setting of infection, splenic uptake can be intense.
  • 104.
    Acquired Immuno-deficiency Syndrome. Tillnow, gallium imaging radionuclide imaging - study of choice in evaluating opportunistic infections in AIDS patients. FDG – PET – helpful in many CNS conditions in AIDS patients. Lymphoma and toxoplasmosis are frequent CNS complications – not always distinguishable at CT and MRI. CNS LYMPHOMA- Highly metabolically active. TOXOPLASMOSIS- metabolically inactive.
  • 105.
    FDG PET ofInfection and Inflammation1 Toxoplasmosis in an AIDS patient Acquired Immuno-deficiency Syndrome
  • 106.
    CNS lymphoma ina different AIDS patientCNS lymphoma in a different AIDS patient Acquired Immuno-deficiency Syndrome
  • 107.
    2. Fever ofunknown origin.  FDG PET- LT PL EFF: HYPERMETABOLIC FOCUS SUB PLEURAL AREA.  CTPA- LEFT LOWER LOBE PULMONARY EMBOLI,  WEDGE SHAPED PULMONARY INFARCT. FINAL DIAGNOSIS- PULMONARY EMBOLISM C INFARCTION.
  • 108.
    3.OSTEOMYELITIS Increased metabolic activityin inflammation results in increased FDG uptake. Also occur in a. inflammatory arthritis b. acute fractures, c. normally healing bone after surgery.
  • 109.
    Differentiation between inflammatoryand malignant lesions.  Traditionally, a single time point SUV of 2.0–3.0 hasbeen proposed as the optimal threshold for separating malignantfrom benign lesions.  With the exception of granulomatous lesions- malignant lesions shows increased SUV values on delayed images i.e., increased RI SUV ( RETENTION INDEX SUV ).  DUAL TIME FDG PET imaging at two intervals appears promising now. Lesions with decreased SUV s over time are likely to have a benign etiology. Malignant lesions tend to have increase in SUV over time.
  • 110.
    PET vs. SPECTPETvs. SPECT PET have superior sensitivity and resolution Greater flexibility of incorporating positron labels into biomolecules PET is more expensive and requires the presence of an onsite cyclotron
  • 111.
    PEMPEM  Positron EmissionMammography  PEM is a specialized & improved form of PET for imaging breasts and other small body parts.  Camera and detectors are closer to the area affected with cancer which produces a very sharp detailed image of tumors and cancerous tissue.  Can see cancers as small as 1.5 – 2mm about the width of a grain of rice.  Also allows for the earlier detection of elusive cancers such as DCIS (ductal carcinoma in situ).
  • 112.
  • 113.
    Breast PET MRIBreastPET MRI Schematic diag of pet insert and mri coil
  • 116.
    Understand the differencesbetween whole-body PET and PEM Spatial Resolution better spatial resolution (1-2 mm vs. 5-10 mm). This comes at the cost of field-of-view Photon-Detection Sensitivity  •Closer proximity of PEM detectors increases geometric sensitivity  Allows lower dose/faster imaging/longer uptake time
  • 117.
    differences between mammographyand PEM  Transmission vs. Emission Imaging  Anatomical vs. Functional Imaging  Planar vs. Tomosynthesis (or Tomographic)  •Planar is single projection view with considerable tissue overlap  •Tomosynth./tomographic is 3-dimensional volumetric image  Utilities, cost, dose
  • 118.
    CONCLUSIONCONCLUSION Detection of coincidencephotons emitted during positron annihilationis the key to PET imaging, whereas accurate coregistration ofthis quantitative/functional information with the CT data isthe key to successful PET-CT imaging. Specific attention topatient preparation, data acquisition, data reconstruction,and image interpretation is crucial to obtaining high-qualityPET-CT images. Fusion of the anatomic and functional imagesby using a dedicated PET-CT /Pet mri scanner is exploited for optimalresults required in the management of complex clinical scenariosfaced by our clinical colleagues. Having witnessed an impressive technologic development of PET detector technology, first PET/MRI prototype systems, and MRI-based PET attenuation correction, as well as encouraging clinical and specifically preclinical PET/MRI results, we now seek opportunities to translate these technologic advances into clinical benefits
  • 119.
    CT/PET/MRI-Anatomical + Functional imaging. 18F-FDG-Increaseglucose utilisation in malignancies. Oncology,Neurology ,Cardiology Diagnosis. Staging. Restaging. Monitoring response to therapy. Guided biopsy. Radiotherapy planning
  • 120.
    THANK YOUTHANK YOU newideas make work interestingnew ideas make work interesting

Editor's Notes

  • #4 Positron•Uses positron(β+) emitting radio-isotopes to label physiologic tracers (e.g. radiopharmaceuticals)•Positrons are unstable in that they annihilate with electrons, resulting in two anti-parallel photons each with energy 511 keV•PET scanners measure coincident annihilation photons and collimate the source of the decay via coincidence detection Emission•The source of the signal is emissionof photons from within the patient, as opposed to photons transmitted through the patient in x-ray imaging (mammography) Tomography•Three-dimensional volume image reconstruction through collection of projection data from all angles around the patient
  • #5 The first approval by CMS for reimbursement was for the evaluation of the solitary pulmonary nodule (SPN) and the initial staging of non–small cell lung cancer (NSCLC), effective January 1, 1998.
  • #7 Annihilation reaction. Positrons ( β+) released from the nucleus of FDG annihilate with electrons ( β−), releasing two coincidence 511-keV photons ( γ), which are detected by scintillation crystals (blue rectangles). N=neutron, P= proton
  • #16 Mci-millicurie., 1mci=1bq,37megabq(Mbq)
  • #25 Initially rod source germanium 68 now ct
  • #28 Radio Nuclide Effective Radiation Dose (mSv) F 18 -FDG (370 MBq) 7.0
  • #33 Photograph (side view) of a hybrid PET-CTscanner shows the PET(P) and CT (C) components. Thedistance between the PETand CT scanners is 80 cm, andthe maximum coverage that can be achieved during acombined study is 145 cm. The PETand CT scanners are mechanically independent and can be used in isolation fo rPET or CT only.
  • #34 Good control of blood glucose is essential because the uptake of FDG into cells is competitively inhibited by glucose , as they use a common transport mechanism (glucose transporters [GLUT]) for facilitated transport into both normal and tumor cells
  • #36 Typical scout image obtained during an FDG PET-CT study. The blue-purple rectangle represents CT coverage during the study, and each overlapping green rectangle represents PET coverage . Six to seven bed positions are required for PET coverage of the neck, chest, abdomen, and pelvis .
  • #38 Patient motion can produce significant artifacts on the fused images and may cause confusion as to the correct position of the origin of the detected photon.
  • #43 First installation of clinical PET/MRI system at University of Tübingen. System is dedicated for brain applications and features 3-T MRI system with dedicated head coil and PET head insert with 18-cm axial field of view. (Courtesy of University of Tübingen.)
  • #44 Philips ..
  • #46 PET/CT and PET/MRI 71-y-old woman with frontobasal meningioma in olfactory region. PET/CT images were acquired 20 min and PET/MR images 100 min after injection of 135 MBq of68 Ga-[1,4,7,10-tetraazacyclododecane-N,N9,N$,N$9-tetraacetic acid]-DPhe1,Tyr3-octreotide. Tracer uptake inthe tumor is seen on PET images. Inaddition, second smaller and previously unknown frontal meningioma was seen on PET and possibly corresponded to small mass demonstrated on T2-weighted turbo spin-echo MR images.This finding was not detected by CT.
  • #48 2.5 cut off limit for spn . By dukes. Refence hagga . Suv initially knw as standarised uptake ratio. Maximum lesional activity /injection dose/ body weight . Help in distinguishing betwn benign and malignant.
  • #60 In mucinus carcinoma ovary false negative
  • #81 Delete this slide?
  • #82 Reduced neuronal activity in left temporoparietal cortex, representing by green .