Infection of the alveoli, distal airways, and interstitium.
Step 1:  Entry Aspiration   (ie  Pneumococcus) Inhalation   (ie Mtb and viral pathogens) Inoculation   (contaminated equipment) Colonization   (in patients with COPD) Hematogenous  spread  (patients with sepsis) Direct spread   (adjacent abscess)
Mechanical and structural  - nose - cough/gag reflex - Airway branching - Mucociliary clearance - Normal oropharyngeal flora Cellular - Macrophages - Epithelial cells - Neutrophils Humoral / Molecular / Inflammatory - IgG, IgA - Cytokines - Colony stimulating factors
Pattern Possible Diagnosis Lobar S. pneumo, Kleb, H. flu, GN Patchy Atypicals, viral, Legionella Interstitial Viral,  Legionella Cavitary Anaerobes, Kleb, TB, S. aureus, fungi Large effusion Staph, anaerobes, Kleb
 
 
Etiologic Types: Infective  Viral Bacterial Fungal Tuberculosis Non Infective Toxins chemical Aspiration Morphologic types: Lobar Broncho Interstitial Duration: Acute Chronic Clinical: Primary / secondary. Typical / Atypical Community a / hospital a
whole lobe, exudation - consolidation  95% - Strep pneum.(Klebsiella in aged, DM, alcoholics) High fever, rusty sputum, Pleuritic chest pain. Four stages: ( * also in bronchopneumonia) Congestion or edema Red   Hepatization   Gray   Hepatizaiton   Resolution
Edema - 1d - Presence of proteinaceous exudates and often bacteria
RED HEPATIZATION -2d - presence of erythrocytes in the intraalveolar exudate - neutrophils are also present
GRAY HEPATIZATION -4d - no new extravasating erythrocytes - neutrophils are the predominant cells - fibrin deposition is abundant - bacteria have disappeared
 
RESOLUTION -8d - macrophages are the dominant cells in the alveolar space - inflammatory debris cleared (neutrophil, bacteria, fibrin)
 
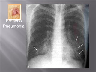
Extremes of age. (infancy and old age) Staph, Strep, Pneumo & H. influenza Patchy consolidation –  not limited to lobes . Suppurative inflammation Usually bilateral Lower lobes common
 
Broncho Pneumonia
Extremes of age. Secondary. Both genders. Staph, Strep, H.infl. Patchy consolidation Around Small airway Not limited by anatomic boundaries. Usually bilateral. Middle age – 20-50 Primary in a healthy  males common. 95% pneumoc (Klebs.) Entire lobe consolidation Diffuse Limited by anatomic boundaries. Usually unilateral
 
Primary atypical pneumonia in the immunocompetant host  (Mycoplasma or Chlamydia) Interstitial pneumonitis immunocompromised host  :  Pneumocystic carinii;  CMV Immunocompetant host:  Influenza A Gross features:  Lungs are heavy but not firmly consolidated Microscopic features: Septal mononuclear infiltrate Alveolar air spaces either ‘empty’ or filled with proteinaceous fluid with few or no inflammatory cells
Community acquired pneumonia (CAP) -  Typical - Atypical *Aspiration Hospital Acquired Pneumonia  (HAP)   - Early onset - Late onset - Ventilator associated
Community acquired pneumonia (CAP) Health Care-Associated Pneumonia (HCAP)   - Hospital-Acquired Pneumonia (HAP) - Ventilator-Associated pneumonia (VAP)
Widespread use of potent antibiotics  Early transfer to home/low-acuity care Increased use of outpatient IV antibiotic therapy General aging of the population More extensive immunomodulatory therapies
 
Hospitalization Patients Outpatients  Non-ICU  ICU  Streptococcus pneumoniae  S. pneumoniae  S. pneumoniae Mycoplasma pneumoniae  M. pneumoniae  Staphylococcus aereus Haenophilus influenzae  Chlamydophila  Legionella spp. C. Pneumoniae  pneumoniae  Gram-negative bacilli Respiratory viruses  H. influenzae  H. influenzae Legionella spp. Respiratory viruses
Factor  Possible Pathogen(s) Alcoholism  Streptococcus pneumoniae, oral anaerobes, Klebsiella pneumoniae, Acinetobacter spp., Mycobacterium tuberculosis COPD and/or smoking  Haemophilus influenzae, Pseudomonas aeruginosa, Legionella spp., S pneumoniae Moraxella catarrhalis, Chlamydophila  pneumoniae Structural lung disease  P. aeruginosa, Burkholderia cepacia, Staphy-  lococcus aureus Dementia stroke, decreased  Oral anaerobes, gram-negative enteric bacteria level of conciousness Lung abscess  CA_MRSA, oral anaerobes, endemic fungi, M. tuberculosis, atypical mycobacteria Travel to Ohio or St.  Histoplasma capsulatum Lawrence river valleys Travel to Southwestern  Hantavirus, Coccidioides spp.
United States Travel to Southeast Asia  Burkholderia pseudomallei, avian influennza virus Stay in hotel or on cruise  Legionella spp, ship in previous 2 weeks Local influenza activity  Influenza virus, 5. pneumoniae, S. aureus Exposure to bats or birds  H. capsulatum Exposure to birds  Chlamydophila psittaci Exposure to rabbits  Francisella tularensis Exposure to sheep, goats,  Coxiella burnetii parturient cats
TEN LEADING CAUSES OF MORBIDITY Rate/100,000 Population PHILIPPINES, 1999 Cause Number Rate 1. Diarrheas 908,454    1189.9   2. Bronchitis/Bronchiolitis 717,214   939.4   3.  Pneumonia 693,334   908.1   4. Influenza 514,198    673.5    5. Hypertension 208,248    272.8    6. T.B. Respiratory 144,932    189.8    7. Malaria 68,155    89.3    8. Diseases of the Heart 63,167    82.7    9. Chickenpox 35,699    46.8    10. Typhoid Fever 17,675    23.1   Source: FHSIS Annual Report 1999
TEN LEADING CAUSES OF MORTALITY Number and Rate/100,000 Population PHILIPPINES, 1997 CAUSES NUMBER RATE* 1. Diseases of the Heart 49,962 69.8 2. Diseases of the Vascular System  38,693 54.1 3.  Pneumonia 30,811 43.1 4. Accidents 28,563 39.9 5. Malignant Neoplasm 26,842 37.5 6. Tuberculosis, All Forms 23,056 32.2 7. Chronic Obstructive Pulmonary Diseases and Allied Condition 11,807 16.5 8. Other Diseases of the Respiratory System 6,961 9.7 9. Diabetes Mellitus 6,749 9.4 10. Nephritis, Nephrotic Syndrome and Nephrosis 6,704 9.4 Source: Philippine Health Statistics 1997 
Alcoholism  Asthma Immunosuppression Institutionalization Age  >  70 years Dementia Seizure disorders Tobacco smoking Chronic obstructive pulmonary disease (COPD)
May vary from indolent to fulminant; from mild to fatal  Fever Tachycardia Chills and/or sweats Productive or non-productive cough Dyspnea (occasionally) Pleuritic chest pain (if pleura is involved) Fatigue, headache, myalgias
Increased RR  Use of accessory muscles of respiration Increased tactile fremitus, dull percussion note for consolidation Decreased tactile fremitus, flat percussion note for effusion Crackles, bronchial breath sounds on auscultation
Pulmonary edema Pulmonary infarction Acute respiratory distress syndrome (ARDS) Pulmonary hemorrhage Lung cancer/metastatic cancer Atelectasis Radiation pneumonitis Drug reactions involving the lung Extrinsic allergic alveolitis Pulmonary vasculitis Pulmonary eosinophilia Bronchiolitis obliterans and organizing pneumonia
No particular clinical symptom/physical finding is sufficiently sensitive or specific to confirm/exclude CAP Sensitivity of history and PE- 58% Specificity of history and PE- 67% Chest radiography is necessary to help differentiate CAP from other conditions
TYPICAL S. pneumoniae H. Influenzae S. aureus K. pneumoniae P. aeruginosa ATYPICAL M. pneumoniae C. pneumoniae Legionella spp. Respiratory viruses
2004 Philippine Consensus Guideline
Cough Tachycardia CR  > 100 Tachypnea  RR  > 20 Fever T >37.8C At least one abnormal chest findings - diminished breath sounds, rhonchi, crackles or wheeze New x-ray infiltrate with no clear alternative such as lung cancer or pulmonary edema
Confirm the diagnosis of pneumonia Assess severity of disease and presence of complication Suggest possible etiology
Cannot be determined on the basis of the clinical presentation Laboratory tests are needed to establish etiology Identification of an etiologic agent allows narrowing of the initial empirical regimen Collected data show trends in resistance
Gram Stain - May help identify pathogens by their appearance - Main purpose is to ensure suitability of sputum for culture (> 25 neutrophils and <10 squamous epithelial cells per LPF
Sputum Culture - Sensitivity and specificity is highly variable ( <  50%) - Greatest benefit is to alert the physician of unsuspected and/or resistant pathogens
Blood Culture - Only 5-14% of cultures of blood are positive - No longer considered necessary for all hospitalized CAP patients - Should be done in certain high-risk patients (i.e. severe CAP; chronic liver disease
Antigen tests - Two commercially available tests detect pneumococcal and Legionella antigens in urine - Sensitivity and specificity are high for both tests - Can detect antigen even after the initiation of appropriate antibiotic therapy - Limited availability
Blood Cultures: gold standard Gram stain and cultures of appropriate pulmonary secretions Serology  PCR Urine antigen test Direct antibody test
Must take into consideration diminishing health care resources and rising costs of treatment Decision to where a patient should be managed is sometimes difficult Use of objective tools that assess risk of adverse outcomes and severity of the disease (i.e. PSI; CURB-65)
2004 Philippine Consensus Guideline
Low risk CAP  Moderate risk CAP High risk CAP
Stable vital signs RR < 30/min PR < 125/min SBP  >  90, DBP  >  60 mmHg Temp. < 40 C No or stable co-morbid conditions -   DM, neoplastic disease, neurologic disease, CHF Class I,  CAD, immunosuppresive  therapy (Grade A) - Renal insufficiency (Grade B) - COPD, chronic liver disease, or chronic alcohol abuse (Grade C)
Vital Signs: any one of the following RR  >  30/min PR  >  125/min Temp.  >  40 C X-ray findings of: Multi-lobar involvement Progression of lesion to 50% within 24 hours Abscess Pleural effusion Those with suspected aspiration Those with extra-pulmonary findings of sepsis:  hepatic, hematologic, gastrointestinal, endocrine Unstable comorbid condition:  uncontrolled DM, active malignacies, neurologic disease in evolution, CHF Class II-IV, unstable CAD, renal failure on dialysis, uncompensated COPD, decompensated liver disease
All criteria under moderate risk plus Impending or frank respiratory failure Hypoxemia with PaO2 < 60 mmHg Acute hypercapnia with PaCO2 > 50 mmHg Hemodynamic alterations and hypoperfusion: SBP < 90mmHg, DBP < 60mmHg Urine output < 30cc/hour Altered mental state
Any of the ff: Shock or signs of hypoperfusion: - Hypotension -Altered mental state -urine output <30ml/hr 2. PaO2 < 60mmHg acute hypocapnea PaCO2>50mmHg COMMUNITY  ACQUIRED PNEUMONIA LOW RISK CAP MODERATE RISK CAP HIGH RISK CAP Outpatient Ward Admission ICU Admission YES YES NO NO Algorithm: Management-Oriented  Risk Stratification of Community-Acquired Pneumonia In Immunocompetent Adults Any of the ff: RR  >  30/min PR  >  125/min Tº  >  40ºC or  <  35ºC Extrapulmonary  evidence of sepsis 5.  Suspected aspiration 6.  Unstable comorbid  conditions CXR: multilobar,  pleural effusion, abscess,  progression  to >50%  within 24 hrs
LOW RISK CAP Previously healthy and no antibiotics in past 3 months - A macrolide (Clarithromycin 500mg BID or Azithromycin 500mg OD  or -  Doxycycline 100mg BID Comorbidities or antibiotics in past 3 months: select an alternative from a different class -A respiratory fluoroquinolone (Moxifloxacin 400mg OD, Gemifloxacin 320mg OD, Levofloxacin 750mg OD)  or -A beta-lactam (Amoxicillin 1gm TID, Amoxicillin/Clavulanate 2gm BID, Cefpodoxime 200mg BID, Cefuroxime 500mg BID)  plus  macrolide
MODERATE RISK CAP - A fluoroquinolone (Moxifloxacin 400mg PO or IV OD, Gemifloxacin 320mg PO OD, Levofloxacin 750mg PO or IV OD) -  A beta-lactam (Cefotaxime 1-2gm IV q8h, Ceftriaxone 1-2gm IV OD, Ampicillin 1-2gm IV q4-q6)  plus   a macrolide
HIGH RISK CAP (no risk for Pseudomonas) -  A beta-lactam (Cefotaxime 1-2gm IV q8h, Ceftriaxone 2gm IV OD, Ampicillin-Sulbactam 2gm IV q8)  plus - Azithromycin  or   a fluoroquinolone
SPECIAL CONCERNS If Pseudomonas is a consideration -  An antipseudomonal, antipneumococcal beta-lactam (Piperacillin/Tazobactam 4.5 gm IV q4-q6, Cefepime 1-2gm IV q12, Imipinem 500mg IV q6, Meropenem 1 g IV q8) plus  either Ciprofloxacin 400mg IV q12 or Levofloxacin 750mg IV OD - The above beta-lactams  plus  an aminoglycoside (Amikacin 15mg/kg OD or Tobramycin 1.7 mg/kd OD)  and  Azithromycin -The above beta-lactams  plus  an aminoglycoside  plus  an antipneumococcal fluoroquinolone If CA-MRSA is a consideration - Add Linezolid 600mg IV q12 or Vancomycin 1gm IV q12
Potential pathogen S. pneumoniae H. influenzae C. pneumoniae M. pneumoniae M. catarrhalis gram negative bacilli (enteric) * If with comorid illness Empiric Therapy If previously healthy: Amoxycillin  or Extended Macrolide If with stable co-morbid illness/ recent use of antibiotics: Co-amoxiclav  or Sultamicillin  or 2 nd  Gen. cephalosporins  or Extended Macrolide
Potential pathogen S. pneumoniae H. influenzae C. pneumoniae M. pneumoniae M. catarrhalis gram negative bacilli Legionella pneumophila Anaerobes :  in aspiration Empiric therapy IV beta lactams with or without anaerobic coverage + Macrolide OR Alternative:  IV Antipneumococcal Fluoroquinolones alone
Potential pathogen S. pneumoniae H. influenzae L. pneumophila C. pneumoniae M. catarrhalis gram negative bacilli Anaerobes S. aureus P. aeroginosa Empiric Therapy If no risk for P. aeruginosa or aspiration: IV 3 RD  Gen. cephalosporins w/o anaerobic coverage + IV Macrolide  OR IV antipneumococcal fluoroquinolone alone If no risk for P. aeruginosa but with risk for aspiration: IV beta lactam/beta lactamase inhibitor + IV antipneumococcal fluoroquinolone   OR IV 3 RD  Gen. cephalosporins with anaerobic coverage + IV Macrolide   If with risk for P. aeruginosa: IV anti-pseudomonal beta lactams +/- Aminogylcosides AND IV macrolide  or IV antipneumococcal fluroquinolone
Adequate hydration Oxygen therapy for hypoxemia Assisted ventilation when necessary
Noninfectious conditions -  Cancer, embolus, hemorrhage Resistant pathogen Wrong drug Right drug, wrong dose Unusual pathogens - Mycobacterial, anaerobic, viral, fungal Nosocomial superinfections
Respiratory failure Shock; Multiorgan failure Bleeding diathesis Exacerbation of comorbid illnesses Metastatic infections - Brain abscess; Endocarditis Lung abscess - usually occurs in the setting of aspiration - should be drained Pleural effusion - should be tapped for diagnostic and therapeutic purposes
Patient is considered to have responded if: Fever declines within 72 hrs Temperature normalizes within 5 days Respiratory signs (tachypnea) return to normal Abnormalities Duration Fever 2 to 4 days Cough 4 to 9 days Crackles 3 to 6 days Leukocytosis 3 to 4 days C-reactive protein 1 to 3 days CXR abnormalities 4-12 weeks
Low risk  : < 5% Moderate risk  : 21% High risk : 36%
PNEUMOCOCCAL VACCINE > 60 yrs old Chronic illness: cardiovascular disease, lung disease, DM, alcohol abuse, chronic liver disease, asplenia Immune system disorder: HIV, malignancy INFLUENZA VACCINE > 50 yrs old Chronic illness Immune system disorder Residents of nursing homes Health care workers Persons in contact with high risk patients
 
a newly recognized form of pneumonia, included in the 2005 American Thoracic Society (ATS)/Infectious Diseases Society of America (IDSA) guidelines for nosocomial pneumonia.
Health Care-Associated Pneumonia (HCAP ) - Hospitalization for 2 or more days within 90 days of the present infection - Resident of a nursing home or long-term care facility - Received recent IV antibiotic therapy, chemotherapy or wound care in the past 30 days of the current infection - Attended a hospital or hemodialysis clinic
Ventilator Associated Pneumonia (VAP ) - Pneumonia that arises more than 48-72 hours after endotracheal intubation
Hospital Acquired Pneumonia (HAP ) -Defined as pneumonia that occurs 48 hours or more after admission, which was not incubating at the time of admission
Similar to VAP The main differences are in the higher frequency of non-MDR pathogens and the better underlying host immunity in nonintubated patients.
Non-MDR Pathogens  MDR Pathogens Streptococcus pneumoniae  Pseudomonas aeruginosa Other Streptococcus spp.  MRSA Haemophilus influenzae  Acinetobacter spp. MSSA  Antibiotic-resistant Enterobacteriaceae Antibiotic-sensitive Enterobacteriaceae  Enterobacter spp. Escherichia coli  ESBL-positive strains Klebsiella pneumoniae  Klebsiella spp. Proteus spp.  Legionella pneumophila Enterobacter spp.  Burkholderia cepacia Serratia marcescens  Aspergillus
Pseudomonas  Acinetobacter  MDR Condition  MRSA  aeruginosa  spp.  Enterobacteriacease Hospitalization for  ≥48 h  x  x  x  x Hospitalization for ≥2  x  x  x  x days in prior 3 months Nursing home or extended-  x  x  x  x care facility residence Antibiotic therapy in  x  x preceding 3 months Chronic dialysis  x  Home infusion therapy  x Home wound care  x Family member with  x  x  MDR infection Pathogen
Colonization of the oropharynx with pathogenic microorganisms Aspiration from the oropharynx into the lower respiratory tract Compromise of the normal host defense mechanisms
ET- most obvious Most important: Antibiotic selection pressure Cross infection from other infected patients or contaminated equipment Malnutrition
Fever Leukocytosis Increase in respiratory secretions PE findings of consolidation New or changing radiographic infiltrate Tachypnea Tachycardia Worsening oxygenation Increased minute ventilation
Tracheal colonization with pathogenic bacteria in patients with ET tubes Multiple alternative causes of radiographic infiltrates in mechanically ventilated patients High frequency of other sources of fever in critically ill patients
Blood culture Endotracheal aspiration PSB or BAL via bronchoscopy
 
Table 251-7 Clinical Pulmonary Infection Score (CPIS) Criterion Score Fever (°C)     38.5  1    >39 or < 36 2 Leukocytosis      <4000 or >11,000/ L 1    Bands > 50% 1 (additional) Oxygenation (mmHg)      Pa O2 /FI O2  <250 and no ARDS    2
a The progression of the infiltrate is not known and tracheal aspirate culture results are often unavailable at the time of the original diagnosis; thus, the maximal score is initially 8–10. Chest radiograph      Localized infiltrate 2    Patchy or diffuse infiltrate 1    Progression of infiltrate (no ARDS or CHF) 2 Tracheal aspirate      Moderate or heavy growth 1    Same morphology on Gram's stain 1 (additional)    Maximal score a   12
PATIENTS W/O RISK FACTORS FOR MDR PATHOGENS - Ceftriaxone 2g IV q24 hours  or -  Moxifloxacin 400mg IV q24 hours, Ciprofloxacin 400mg IV q8 hours, Levofloxacin 750mg IV q24 hours  or - Ampicillin/Sulbactam 3 gm IV q6 hours  or - Ertapenem 1gm IV q24 hours
PATIENTS WITH RISK FACTORS FOR MDR PATHOGENS 1.  A beta-lactam : Ceftazidime 2 gm IV q8 hours or Cefepime 2 gm IV q8-q12 hours  or Piperacillin/Tazobactam 4.5 gm IV q6 hours, Imipinem 500mg IV q6 hours or 1 gm IV q8 hours, Meropenem 1 gm IV q8 hours  plus 2.  A second agent active against gram-negative bacterial pathogens: Gentamicin or Tobramycin 7 mg/kg IV q24 hours or Amikacin 20 mg/kg IV q24 hours  or Ciprofloxacin 400mg IV q8 hours or Levofloxacin 750mg IV q24 hours  plus 3. An agent active against gram-positive bacterial pathogens: Linezolid 600 mg IV q 24 hours  or Vancomycin 15mg/kg q12 hours
Due to MDR pathogens Reintroduction of the microorganisms Superinfection Extrapulmonary infections Drug toxicity
Death Prolonged mechanical ventilation  Prolonged hospital stay Development of necrotizing pneumonia Long-term pulmonary complications Inability of the patient to return to independent function
HCAP is associated with significant mortality (50%-70%) Presence of underlying diseases increases mortality rate Causative pathogen also plays a major role
Switch of oral antibiotic agent There is less cough and resolution of respiratory distress (normalization of RR) The patient is afebrile for > 24 hours. The etiology is not a high risk (virulent/resistant) pathogen. There is no   unstable co-morbid condition or life-threatening complication such as MI, CHF, complete heart block, new atrial fibrillation, supraventricular tachycardia, etc. There is no obvious reason for continued hospitalization such as hypotension, acute mental changes, BUN: Cr of >10:1, hypoxemia, metabolic acidosis, etc.
Decreasing likelihood of encountering the pathogen hand washing use of gloves Use of face mask Negative pressure room Prompt institution of effective chemotherapy for patients with contagious illnesses Correction of condition that facilitate aspiration Maintenance of gastric acidity Strengthening the host’s response once the pathogen is encountered Chemoprophylaxis Immunizing of patients at risk
Hand washing Surveillance of pneumonia For mechanically ventilated: extubate rapidly, minimize circuit changes, drain tubings regularly Small bore feeding tube Elevation of head to 30º
Table 251-6 Pathogenic Mechanisms and Corresponding Prevention Strategies for Ventilator-Associated Pneumonia Pathogenic Mechanism Prevention Strategy Oropharyngeal colonization with pathogenic bacteria      Elimination of normal flora Avoidance of prolonged antibiotic courses    Large-volume oropharyngeal aspiration around time of intubation  Short course of prophylactic antibiotics for comatose patients a      Gastroesophageal reflux Postpyloric enteral feeding b ; avoidance of high gastric residuals, prokinetic agents      Bacterial overgrowth of stomach Avoidance of gastrointestinal bleeding due to prophylactic agents that raise gastric pH b ; selective decontamination of digestive tract with nonabsorbable antibiotics b  
Cross-infection from other colonized patients Hand washing, especially with alcohol-based hand rub; intensive infection control education a ; isolation; proper cleaning of reusable equipment   Large-volume aspiration Endotracheal intubation; avoidance of sedation; decompression of small-bowel obstruction Microaspiration around endotracheal tube      Endotracheal intubation Noninvasive ventilation a  
   Prolonged duration of ventilation Daily awakening from sedation, a  weaning protocols a      Abnormal swallowing function Early percutaneous tracheostomy a      Secretions pooled above endotracheal tube Head of bed elevated a ; continuous aspiration of subglottic secretions with specialized endotracheal tube a ; avoidance of reintubation; minimization of sedation and patient transport Altered lower respiratory host defenses Tight glycemic control a ; lowering of hemoglobin transfusion threshold; specialized enteral feeding formula
The first CDC Guideline for Prevention of Nosocomial Pneumonia was published in 1981  addressed the main infection-control problems related to hospital-acquired pneumonia at the time: the use of large-volume nebulizers that were attached to mechanical ventilators and improper reprocessing (i.e., cleaning and disinfection or sterilization) of respiratory-care equipment.
The document also covered the prevention and control of hospital-acquired influenza and respiratory syncytial virus (RSV) infection. ] In 1994, the Healthcare Infection Control Practices Advisory Committee (HICPAC) revised and expanded the CDC Guideline for Prevention of Nosocomial Pneumonia to include Legionnaires disease and pulmonary aspergillosis.
HICPAC recommendations address such issues as education of health-care personnel about the prevention and control of health-care--associated pneumonia and other lower respiratory tract infections, surveillance and reporting of diagnosed cases of infections, prevention of person-to-person transmission of each disease, and reduction of host risk for infection.
I. Staff Education and Involvement in Infection Prevention   Educate health-care workers about the epidemiology of, and infection-control procedures for, preventing health-care--associated bacterial pneumonia to ensure worker competency according to the worker's level of responsibility in the health-care setting, and involve the workers in the implementation of interventions to prevent health-care--associated pneumonia by using performance-improvement tools and techniques
II. Infection and Microbiologic Surveillance   A. Conduct surveillance for bacterial pneumonia in intensive care unit (ICU) patients who are at high risk for health-care--related bacterial pneumonia (e.g., patients with mechanically assisted ventilation or selected postoperative patients) to determine trends and help identify outbreaks and other potential infection-control problems.
B. In the absence of specific clinical, epidemiologic, or infection-control objectives, do not routinely perform surveillance cultures of patients or of equipment or devices used for respiratory therapy, pulmonary-function testing, or delivery of inhalation anesthesia .
. Sterilization or Disinfection and Maintenance of Equipment and Devices   1. General measures  a. Thoroughly clean all equipment and devices to be sterilized or disinfected.  b. Whenever possible, use steam sterilization (by autoclaving) or high-level disinfection by wet heat pasteurization at >158 F (>70°C) for 30 minutes for reprocessing semicritical equipment or devices (i.e., items that come into direct or indirect contact with mucous membranes of the lower respiratory tract) that are not sensitive to heat and moisture.
After disinfection, proceed with appropriate rinsing, drying, and packaging, taking care not to contaminate the disinfected items in the process c. Preferentially use sterile water for rinsing reusable semicritical respiratory equipment and devices when rinsing is needed after they have been chemically disinfected. If this is not feasible, rinse the device with filtered water (i.e., water that has been through a 0.2 µ  filter) or tap water, and then rinse with isopropyl alcohol and dry with forced air or in a drying cabinet.
2. Mechanical ventilators  Do not routinely sterilize or disinfect the internal machinery of mechanical ventilators (II).  3. Breathing circuits, humidifiers, and heat-and-moisture exchangers (HMEs)  a. Breathing circuits with humidifiers  1) Do not change routinely, on the basis of duration of use, the breathing circuit (i.e., ventilator tubing and exhalation valve and the attached humidifier) that is in use on an individual patient. Change the circuit when it is visibly soiled or mechanically malfunctioning.
2) Breathing-circuit--tubing condensate  a) Periodically drain and discard any condensate that collects in the tubing of a mechanical ventilator, taking precautions not to allow condensate to drain toward the patient.  b) Wear gloves to perform the previous procedure and/or when handling the fluid.  c) Decontaminate hands with soap and water (if hands are visibly soiled) or with an alcohol-based hand rub after performing the procedure or handling the fluid.
3) No recommendation can be made for placing a filter or trap at the distal end of the expiratory-phase tubing of the breathing circuit to collect condensate (Unresolved issue).  4) Humidifier fluids  a) Use sterile (not distilled, nonsterile) water to fill bubbling humidifiers.  b) No recommendation can be made for the preferential use of a closed, continuous-feed humidification system (Unresolved issue).
b. Ventilator breathing circuits with HMEs  1) No recommendation can be made for the preferential use of either HMEs or heated humidifiers to prevent pneumonia in patients receiving mechanically assisted ventilation (Unresolved issue) (IB) ( 44--49 ).  2) Changing HME  a) Change an HME that is in use on a patient when it malfunctions mechanically or becomes visibly soiled (II).  b) Do not routinely change more frequently than every 48 hours an HME that is in use on a patient (II)  (50--52 ).
3) Do not change routinely (in the absence of gross contamination or malfunction) the breathing circuit attached to an HME while it is in use on a patient (II) ( 53 ).  4. Oxygen humidifiers  a. Follow manufacturers' instructions for use of oxygen humidifiers (II,C) ( 29;54--56 ).  b. Change the humidifier-tubing (including any nasal prongs or mask) that is in use on one patient when it malfunctions or becomes visibly contaminated (II).
5. Small-volume medication nebulizers: in-line and hand-held nebulizers  a. Between treatments on the same patient clean, disinfect, rinse with sterile water (if rinsing is needed), and dry small-volume in-line or hand-held medication nebulizers.  b. Use only sterile fluid for nebulization, and dispense the fluid into the nebulizer aseptically. c. Whenever possible, use aerosolized medications in single-dose vials. If multidose medication vials are used, follow manufacturers' instructions for handling, storing, and dispensing the medications
6. Mist tents  a. Between uses on different patients, replace mist tents and their nebulizers, reservoirs, and tubings with those that have been subjected to sterilization or high-level disinfection.  b. No recommendation can be made about the frequency of routinely changing mist-tent nebulizers, reservoirs, and tubings while in use on one patient (Unresolved issue).  c. Subject mist-tent nebulizers, reservoirs, and tubings that are used on the same patient to daily low-level disinfection (e.g., with 2% acetic acid) or pasteurization followed by air-drying
7. Other devices used in association with respiratory therapy  a. Respirometer and ventilator thermometer: between their uses on different patients, sterilize or subject to high-level disinfection portable respirometers and ventilator thermometer.  b. Resuscitation bags  1) Between their uses on different patients, sterilize or subject to high-level disinfection reusable hand-powered resuscitation bags.  2) No recommendation can be made about the frequency of changing hydrophobic filters placed on the connection port of resuscitation bags (Unresolved issue).
8. Anesthesia machines and breathing systems or patient circuits  a. Do not routinely sterilize or disinfect the internal machinery of anesthesia equipment.  b. Between uses on different patients, clean reusable components of the breathing system or patient circuit (e.g., tracheal tube or face mask) inspiratory and expiratory breathing tubing, y-piece, reservoir bag, humidifier, and tubing, and then sterilize or subject them to high-level liquid chemical disinfection or pasteurization in accordance with the device manufacturers' instructions for their reprocessing
c. No recommendation can be made about the frequency of routinely cleaning and disinfecting unidirectional valves and carbon dioxide absorber chambers (Unresolved issue).  d. Follow published guidelines or manufacturers' instructions about in-use maintenance, cleaning, and disinfection or sterilization of other components or attachments of the breathing system or patient circuit of anesthesia equipment.  e. No recommendation can be made for placing a bacterial filter in the breathing system or patient circuit of anesthesia equipment (Unresolved issue)
9. Pulmonary-function testing equipment  a. Do not routinely sterilize or disinfect the internal machinery of pulmonary-function testing machines between uses on different patients.  b. Change the mouthpiece of a peak flow meter or the mouthpiece and filter of a spirometer between uses on different patients
. Room-air &quot;humidifiers&quot; and faucet aerators  a. Do not use large-volume room-air humidifiers that create aerosols (e.g., by venturi principle, ultrasound, or spinning disk, and thus actually are nebulizers) unless they can be sterilized or subjected to high-level disinfection at least daily and filled only with sterile water.  b. Faucet aerators  1) No recommendation can be made about the removal of faucet aerators from areas for immunocompetent patients.  2) If  Legionella  spp. are detected in the water of a transplant unit and until  Legionella  spp. are no longer detected by culture, remove faucet aerators in the unit
Standard Precautions  a. Hand hygiene b. Gloving  c.When soiling with respiratory secretions from a patient is anticipated, wear a gown and change it after soiling occurs and before providing care to another patient.
2. Care of patients with tracheostomy  a. Perform tracheostomy under aseptic conditions (II).  b. When changing a tracheostomy tube, wear a gown, use aseptic technique, and replace the tube with one that has undergone sterilization or high-level disinfection.  c. No recommendation can be made for the daily application of topical antimicrobial agent(s) at the tracheostoma.
Suctioningof respiratory tract secretions     a. No recommendation can be made for the preferential use of either the multiuse closed-system suction catheter or the single-use open-system suction catheter for prevention of pneumonia (Unresolved issue).  b. No recommendation can be made about wearing sterile rather than clean gloves when performing endotracheal suctioning (Unresolved issue).  c. No recommendation can be made about the frequency of routinely changing the in-line suction catheter of a closed-suction system in use on one patient (Unresolved issue).  d. If the open-system suction is employed, use a sterile, single-use catheter (II).  e. Use only sterile fluid to remove secretions from the suction catheter if the catheter is to be used for re-entry into the patient's lower respiratory tract
A. Increasing Host Defense Against Infection: Administration of immune modulators   1. Pneumococcal vaccination. Vaccinate patients at high risk for severe pneumococcal infections  2. No recommendation can be made for the routine administration of preparations of granulocyte-colony stimulating factor (GCSF) or intravenous gamma globulin for prophylaxis against health-care--associated pneumonia (Unresolved issue).  3. No recommendation can be made for the routine enteral administration of glutamine for prevention of health-care--associated pneumonia (Unresolved issue)
1. Prevention of aspiration associated with endotracheal intubation  a. Use of noninvasive ventilation (NIV) to reduce the need for and duration of endotracheal intubation  b. As much as possible, avoid repeat endotracheal intubation in patients who have received mechanically assisted ventilation.  c. Unless contraindicated by the patient's condition, perform orotracheal rather than nasotracheal intubation on patients.  d. If feasible, use an endotracheal tube with a dorsal lumen above the endotracheal cuff to allow drainage (by continuous or frequent intermittent suctioning) of tracheal secretions that accumulate in the patient's subglottic area.  e. Before deflating the cuff of an endotracheal tube in preparation for tube removal, or before moving the tube, ensure that secretions are cleared from above the tube cuff
2. Prevention of aspiration associated with enteral feeding  a. In the absence of medical contraindication(s), elevate at an angle of 30--45 degrees of the head of the bed of a patient at high risk for aspiration (e.g., a person receiving mechanically assisted ventilation and/or who has an enteral tube in place) b. Routinely verify appropriate placement of the feeding tube.  c. No recommendation can be made for the preferential use of small-bore tubes for enteral feeding (Unresolved issue).  d. No recommendation can be made for preferentially administering enteral feedings continuously or intermittently (Unresolved issue).  e. No recommendation can be made for preferentially placing the feeding tubes, (e.g., jejunal tubes) distal to the pylorus (Unresolved issue)
. Prevention or modulation of oropharyngeal colonization  a. Oropharyngeal cleaning and decontamination with an antiseptic agent b. Chlorhexidine oral rinse  c. Oral decontamination with topical antimicrobial agents.  4. Prevention of gastric colonization
1. Instruct preoperative patients, especially those at high risk for contracting pneumonia, about taking deep breaths and ambulating as soon as medically indicated in the postoperative period.  2. Encourage all postoperative patients to take deep breaths, move about the bed, and ambulate unless medically contraindicated.  3. Use incentive spirometry on postoperative patients at high risk for pneumonia.  4. No recommendation can be made about the routine use of chest physiotherapy on all postoperative patients at high risk for pneumonia (Unresolved issue).
Criteria For Hospital Discharge Stable vital signs for 24-hour period Temperature <=100 F (37.8 C) Respiratory rate <= 24 breaths/minute Heart rate <= 100 beats/minute Systolic blood pressure >= 90 mm Hg Oxygen saturation >= 90% on room air
Patient able to take oral antibiotics Patient is able to maintain adequate hydration and nutrition Patient’s mental status is at baseline Patient has no other active clinical or psychological problems

Pneumonia

  • 1.
  • 2.
    Infection of thealveoli, distal airways, and interstitium.
  • 3.
    Step 1: Entry Aspiration (ie Pneumococcus) Inhalation (ie Mtb and viral pathogens) Inoculation (contaminated equipment) Colonization (in patients with COPD) Hematogenous spread (patients with sepsis) Direct spread (adjacent abscess)
  • 4.
    Mechanical and structural - nose - cough/gag reflex - Airway branching - Mucociliary clearance - Normal oropharyngeal flora Cellular - Macrophages - Epithelial cells - Neutrophils Humoral / Molecular / Inflammatory - IgG, IgA - Cytokines - Colony stimulating factors
  • 5.
    Pattern Possible DiagnosisLobar S. pneumo, Kleb, H. flu, GN Patchy Atypicals, viral, Legionella Interstitial Viral, Legionella Cavitary Anaerobes, Kleb, TB, S. aureus, fungi Large effusion Staph, anaerobes, Kleb
  • 6.
  • 7.
  • 8.
    Etiologic Types: Infective Viral Bacterial Fungal Tuberculosis Non Infective Toxins chemical Aspiration Morphologic types: Lobar Broncho Interstitial Duration: Acute Chronic Clinical: Primary / secondary. Typical / Atypical Community a / hospital a
  • 9.
    whole lobe, exudation- consolidation 95% - Strep pneum.(Klebsiella in aged, DM, alcoholics) High fever, rusty sputum, Pleuritic chest pain. Four stages: ( * also in bronchopneumonia) Congestion or edema Red Hepatization Gray Hepatizaiton Resolution
  • 10.
    Edema - 1d- Presence of proteinaceous exudates and often bacteria
  • 11.
    RED HEPATIZATION -2d- presence of erythrocytes in the intraalveolar exudate - neutrophils are also present
  • 12.
    GRAY HEPATIZATION -4d- no new extravasating erythrocytes - neutrophils are the predominant cells - fibrin deposition is abundant - bacteria have disappeared
  • 13.
  • 14.
    RESOLUTION -8d -macrophages are the dominant cells in the alveolar space - inflammatory debris cleared (neutrophil, bacteria, fibrin)
  • 15.
  • 16.
    Extremes of age.(infancy and old age) Staph, Strep, Pneumo & H. influenza Patchy consolidation – not limited to lobes . Suppurative inflammation Usually bilateral Lower lobes common
  • 17.
  • 18.
  • 19.
    Extremes of age.Secondary. Both genders. Staph, Strep, H.infl. Patchy consolidation Around Small airway Not limited by anatomic boundaries. Usually bilateral. Middle age – 20-50 Primary in a healthy males common. 95% pneumoc (Klebs.) Entire lobe consolidation Diffuse Limited by anatomic boundaries. Usually unilateral
  • 20.
  • 21.
    Primary atypical pneumoniain the immunocompetant host (Mycoplasma or Chlamydia) Interstitial pneumonitis immunocompromised host : Pneumocystic carinii; CMV Immunocompetant host: Influenza A Gross features: Lungs are heavy but not firmly consolidated Microscopic features: Septal mononuclear infiltrate Alveolar air spaces either ‘empty’ or filled with proteinaceous fluid with few or no inflammatory cells
  • 22.
    Community acquired pneumonia(CAP) - Typical - Atypical *Aspiration Hospital Acquired Pneumonia (HAP) - Early onset - Late onset - Ventilator associated
  • 23.
    Community acquired pneumonia(CAP) Health Care-Associated Pneumonia (HCAP) - Hospital-Acquired Pneumonia (HAP) - Ventilator-Associated pneumonia (VAP)
  • 24.
    Widespread use ofpotent antibiotics Early transfer to home/low-acuity care Increased use of outpatient IV antibiotic therapy General aging of the population More extensive immunomodulatory therapies
  • 25.
  • 26.
    Hospitalization Patients Outpatients Non-ICU ICU Streptococcus pneumoniae S. pneumoniae S. pneumoniae Mycoplasma pneumoniae M. pneumoniae Staphylococcus aereus Haenophilus influenzae Chlamydophila Legionella spp. C. Pneumoniae pneumoniae Gram-negative bacilli Respiratory viruses H. influenzae H. influenzae Legionella spp. Respiratory viruses
  • 27.
    Factor PossiblePathogen(s) Alcoholism Streptococcus pneumoniae, oral anaerobes, Klebsiella pneumoniae, Acinetobacter spp., Mycobacterium tuberculosis COPD and/or smoking Haemophilus influenzae, Pseudomonas aeruginosa, Legionella spp., S pneumoniae Moraxella catarrhalis, Chlamydophila pneumoniae Structural lung disease P. aeruginosa, Burkholderia cepacia, Staphy- lococcus aureus Dementia stroke, decreased Oral anaerobes, gram-negative enteric bacteria level of conciousness Lung abscess CA_MRSA, oral anaerobes, endemic fungi, M. tuberculosis, atypical mycobacteria Travel to Ohio or St. Histoplasma capsulatum Lawrence river valleys Travel to Southwestern Hantavirus, Coccidioides spp.
  • 28.
    United States Travelto Southeast Asia Burkholderia pseudomallei, avian influennza virus Stay in hotel or on cruise Legionella spp, ship in previous 2 weeks Local influenza activity Influenza virus, 5. pneumoniae, S. aureus Exposure to bats or birds H. capsulatum Exposure to birds Chlamydophila psittaci Exposure to rabbits Francisella tularensis Exposure to sheep, goats, Coxiella burnetii parturient cats
  • 29.
    TEN LEADING CAUSESOF MORBIDITY Rate/100,000 Population PHILIPPINES, 1999 Cause Number Rate 1. Diarrheas 908,454  1189.9 2. Bronchitis/Bronchiolitis 717,214 939.4 3. Pneumonia 693,334 908.1 4. Influenza 514,198  673.5  5. Hypertension 208,248  272.8  6. T.B. Respiratory 144,932  189.8  7. Malaria 68,155  89.3  8. Diseases of the Heart 63,167  82.7  9. Chickenpox 35,699  46.8  10. Typhoid Fever 17,675  23.1 Source: FHSIS Annual Report 1999
  • 30.
    TEN LEADING CAUSESOF MORTALITY Number and Rate/100,000 Population PHILIPPINES, 1997 CAUSES NUMBER RATE* 1. Diseases of the Heart 49,962 69.8 2. Diseases of the Vascular System  38,693 54.1 3. Pneumonia 30,811 43.1 4. Accidents 28,563 39.9 5. Malignant Neoplasm 26,842 37.5 6. Tuberculosis, All Forms 23,056 32.2 7. Chronic Obstructive Pulmonary Diseases and Allied Condition 11,807 16.5 8. Other Diseases of the Respiratory System 6,961 9.7 9. Diabetes Mellitus 6,749 9.4 10. Nephritis, Nephrotic Syndrome and Nephrosis 6,704 9.4 Source: Philippine Health Statistics 1997 
  • 31.
    Alcoholism AsthmaImmunosuppression Institutionalization Age > 70 years Dementia Seizure disorders Tobacco smoking Chronic obstructive pulmonary disease (COPD)
  • 32.
    May vary fromindolent to fulminant; from mild to fatal Fever Tachycardia Chills and/or sweats Productive or non-productive cough Dyspnea (occasionally) Pleuritic chest pain (if pleura is involved) Fatigue, headache, myalgias
  • 33.
    Increased RR Use of accessory muscles of respiration Increased tactile fremitus, dull percussion note for consolidation Decreased tactile fremitus, flat percussion note for effusion Crackles, bronchial breath sounds on auscultation
  • 34.
    Pulmonary edema Pulmonaryinfarction Acute respiratory distress syndrome (ARDS) Pulmonary hemorrhage Lung cancer/metastatic cancer Atelectasis Radiation pneumonitis Drug reactions involving the lung Extrinsic allergic alveolitis Pulmonary vasculitis Pulmonary eosinophilia Bronchiolitis obliterans and organizing pneumonia
  • 35.
    No particular clinicalsymptom/physical finding is sufficiently sensitive or specific to confirm/exclude CAP Sensitivity of history and PE- 58% Specificity of history and PE- 67% Chest radiography is necessary to help differentiate CAP from other conditions
  • 36.
    TYPICAL S. pneumoniaeH. Influenzae S. aureus K. pneumoniae P. aeruginosa ATYPICAL M. pneumoniae C. pneumoniae Legionella spp. Respiratory viruses
  • 37.
  • 38.
    Cough Tachycardia CR > 100 Tachypnea RR > 20 Fever T >37.8C At least one abnormal chest findings - diminished breath sounds, rhonchi, crackles or wheeze New x-ray infiltrate with no clear alternative such as lung cancer or pulmonary edema
  • 39.
    Confirm the diagnosisof pneumonia Assess severity of disease and presence of complication Suggest possible etiology
  • 40.
    Cannot be determinedon the basis of the clinical presentation Laboratory tests are needed to establish etiology Identification of an etiologic agent allows narrowing of the initial empirical regimen Collected data show trends in resistance
  • 41.
    Gram Stain -May help identify pathogens by their appearance - Main purpose is to ensure suitability of sputum for culture (> 25 neutrophils and <10 squamous epithelial cells per LPF
  • 42.
    Sputum Culture -Sensitivity and specificity is highly variable ( < 50%) - Greatest benefit is to alert the physician of unsuspected and/or resistant pathogens
  • 43.
    Blood Culture -Only 5-14% of cultures of blood are positive - No longer considered necessary for all hospitalized CAP patients - Should be done in certain high-risk patients (i.e. severe CAP; chronic liver disease
  • 44.
    Antigen tests -Two commercially available tests detect pneumococcal and Legionella antigens in urine - Sensitivity and specificity are high for both tests - Can detect antigen even after the initiation of appropriate antibiotic therapy - Limited availability
  • 45.
    Blood Cultures: goldstandard Gram stain and cultures of appropriate pulmonary secretions Serology PCR Urine antigen test Direct antibody test
  • 46.
    Must take intoconsideration diminishing health care resources and rising costs of treatment Decision to where a patient should be managed is sometimes difficult Use of objective tools that assess risk of adverse outcomes and severity of the disease (i.e. PSI; CURB-65)
  • 47.
  • 48.
    Low risk CAP Moderate risk CAP High risk CAP
  • 49.
    Stable vital signsRR < 30/min PR < 125/min SBP > 90, DBP > 60 mmHg Temp. < 40 C No or stable co-morbid conditions - DM, neoplastic disease, neurologic disease, CHF Class I, CAD, immunosuppresive therapy (Grade A) - Renal insufficiency (Grade B) - COPD, chronic liver disease, or chronic alcohol abuse (Grade C)
  • 50.
    Vital Signs: anyone of the following RR > 30/min PR > 125/min Temp. > 40 C X-ray findings of: Multi-lobar involvement Progression of lesion to 50% within 24 hours Abscess Pleural effusion Those with suspected aspiration Those with extra-pulmonary findings of sepsis: hepatic, hematologic, gastrointestinal, endocrine Unstable comorbid condition: uncontrolled DM, active malignacies, neurologic disease in evolution, CHF Class II-IV, unstable CAD, renal failure on dialysis, uncompensated COPD, decompensated liver disease
  • 51.
    All criteria undermoderate risk plus Impending or frank respiratory failure Hypoxemia with PaO2 < 60 mmHg Acute hypercapnia with PaCO2 > 50 mmHg Hemodynamic alterations and hypoperfusion: SBP < 90mmHg, DBP < 60mmHg Urine output < 30cc/hour Altered mental state
  • 52.
    Any of theff: Shock or signs of hypoperfusion: - Hypotension -Altered mental state -urine output <30ml/hr 2. PaO2 < 60mmHg acute hypocapnea PaCO2>50mmHg COMMUNITY ACQUIRED PNEUMONIA LOW RISK CAP MODERATE RISK CAP HIGH RISK CAP Outpatient Ward Admission ICU Admission YES YES NO NO Algorithm: Management-Oriented Risk Stratification of Community-Acquired Pneumonia In Immunocompetent Adults Any of the ff: RR > 30/min PR > 125/min Tº > 40ºC or < 35ºC Extrapulmonary evidence of sepsis 5. Suspected aspiration 6. Unstable comorbid conditions CXR: multilobar, pleural effusion, abscess, progression to >50% within 24 hrs
  • 53.
    LOW RISK CAPPreviously healthy and no antibiotics in past 3 months - A macrolide (Clarithromycin 500mg BID or Azithromycin 500mg OD or - Doxycycline 100mg BID Comorbidities or antibiotics in past 3 months: select an alternative from a different class -A respiratory fluoroquinolone (Moxifloxacin 400mg OD, Gemifloxacin 320mg OD, Levofloxacin 750mg OD) or -A beta-lactam (Amoxicillin 1gm TID, Amoxicillin/Clavulanate 2gm BID, Cefpodoxime 200mg BID, Cefuroxime 500mg BID) plus macrolide
  • 54.
    MODERATE RISK CAP- A fluoroquinolone (Moxifloxacin 400mg PO or IV OD, Gemifloxacin 320mg PO OD, Levofloxacin 750mg PO or IV OD) - A beta-lactam (Cefotaxime 1-2gm IV q8h, Ceftriaxone 1-2gm IV OD, Ampicillin 1-2gm IV q4-q6) plus a macrolide
  • 55.
    HIGH RISK CAP(no risk for Pseudomonas) - A beta-lactam (Cefotaxime 1-2gm IV q8h, Ceftriaxone 2gm IV OD, Ampicillin-Sulbactam 2gm IV q8) plus - Azithromycin or a fluoroquinolone
  • 56.
    SPECIAL CONCERNS IfPseudomonas is a consideration - An antipseudomonal, antipneumococcal beta-lactam (Piperacillin/Tazobactam 4.5 gm IV q4-q6, Cefepime 1-2gm IV q12, Imipinem 500mg IV q6, Meropenem 1 g IV q8) plus either Ciprofloxacin 400mg IV q12 or Levofloxacin 750mg IV OD - The above beta-lactams plus an aminoglycoside (Amikacin 15mg/kg OD or Tobramycin 1.7 mg/kd OD) and Azithromycin -The above beta-lactams plus an aminoglycoside plus an antipneumococcal fluoroquinolone If CA-MRSA is a consideration - Add Linezolid 600mg IV q12 or Vancomycin 1gm IV q12
  • 57.
    Potential pathogen S.pneumoniae H. influenzae C. pneumoniae M. pneumoniae M. catarrhalis gram negative bacilli (enteric) * If with comorid illness Empiric Therapy If previously healthy: Amoxycillin or Extended Macrolide If with stable co-morbid illness/ recent use of antibiotics: Co-amoxiclav or Sultamicillin or 2 nd Gen. cephalosporins or Extended Macrolide
  • 58.
    Potential pathogen S.pneumoniae H. influenzae C. pneumoniae M. pneumoniae M. catarrhalis gram negative bacilli Legionella pneumophila Anaerobes : in aspiration Empiric therapy IV beta lactams with or without anaerobic coverage + Macrolide OR Alternative: IV Antipneumococcal Fluoroquinolones alone
  • 59.
    Potential pathogen S.pneumoniae H. influenzae L. pneumophila C. pneumoniae M. catarrhalis gram negative bacilli Anaerobes S. aureus P. aeroginosa Empiric Therapy If no risk for P. aeruginosa or aspiration: IV 3 RD Gen. cephalosporins w/o anaerobic coverage + IV Macrolide OR IV antipneumococcal fluoroquinolone alone If no risk for P. aeruginosa but with risk for aspiration: IV beta lactam/beta lactamase inhibitor + IV antipneumococcal fluoroquinolone OR IV 3 RD Gen. cephalosporins with anaerobic coverage + IV Macrolide If with risk for P. aeruginosa: IV anti-pseudomonal beta lactams +/- Aminogylcosides AND IV macrolide or IV antipneumococcal fluroquinolone
  • 60.
    Adequate hydration Oxygentherapy for hypoxemia Assisted ventilation when necessary
  • 61.
    Noninfectious conditions - Cancer, embolus, hemorrhage Resistant pathogen Wrong drug Right drug, wrong dose Unusual pathogens - Mycobacterial, anaerobic, viral, fungal Nosocomial superinfections
  • 62.
    Respiratory failure Shock;Multiorgan failure Bleeding diathesis Exacerbation of comorbid illnesses Metastatic infections - Brain abscess; Endocarditis Lung abscess - usually occurs in the setting of aspiration - should be drained Pleural effusion - should be tapped for diagnostic and therapeutic purposes
  • 63.
    Patient is consideredto have responded if: Fever declines within 72 hrs Temperature normalizes within 5 days Respiratory signs (tachypnea) return to normal Abnormalities Duration Fever 2 to 4 days Cough 4 to 9 days Crackles 3 to 6 days Leukocytosis 3 to 4 days C-reactive protein 1 to 3 days CXR abnormalities 4-12 weeks
  • 64.
    Low risk : < 5% Moderate risk : 21% High risk : 36%
  • 65.
    PNEUMOCOCCAL VACCINE >60 yrs old Chronic illness: cardiovascular disease, lung disease, DM, alcohol abuse, chronic liver disease, asplenia Immune system disorder: HIV, malignancy INFLUENZA VACCINE > 50 yrs old Chronic illness Immune system disorder Residents of nursing homes Health care workers Persons in contact with high risk patients
  • 66.
  • 67.
    a newly recognizedform of pneumonia, included in the 2005 American Thoracic Society (ATS)/Infectious Diseases Society of America (IDSA) guidelines for nosocomial pneumonia.
  • 68.
    Health Care-Associated Pneumonia(HCAP ) - Hospitalization for 2 or more days within 90 days of the present infection - Resident of a nursing home or long-term care facility - Received recent IV antibiotic therapy, chemotherapy or wound care in the past 30 days of the current infection - Attended a hospital or hemodialysis clinic
  • 69.
    Ventilator Associated Pneumonia(VAP ) - Pneumonia that arises more than 48-72 hours after endotracheal intubation
  • 70.
    Hospital Acquired Pneumonia(HAP ) -Defined as pneumonia that occurs 48 hours or more after admission, which was not incubating at the time of admission
  • 71.
    Similar to VAPThe main differences are in the higher frequency of non-MDR pathogens and the better underlying host immunity in nonintubated patients.
  • 72.
    Non-MDR Pathogens MDR Pathogens Streptococcus pneumoniae Pseudomonas aeruginosa Other Streptococcus spp. MRSA Haemophilus influenzae Acinetobacter spp. MSSA Antibiotic-resistant Enterobacteriaceae Antibiotic-sensitive Enterobacteriaceae Enterobacter spp. Escherichia coli ESBL-positive strains Klebsiella pneumoniae Klebsiella spp. Proteus spp. Legionella pneumophila Enterobacter spp. Burkholderia cepacia Serratia marcescens Aspergillus
  • 73.
    Pseudomonas Acinetobacter MDR Condition MRSA aeruginosa spp. Enterobacteriacease Hospitalization for ≥48 h x x x x Hospitalization for ≥2 x x x x days in prior 3 months Nursing home or extended- x x x x care facility residence Antibiotic therapy in x x preceding 3 months Chronic dialysis x Home infusion therapy x Home wound care x Family member with x x MDR infection Pathogen
  • 74.
    Colonization of theoropharynx with pathogenic microorganisms Aspiration from the oropharynx into the lower respiratory tract Compromise of the normal host defense mechanisms
  • 75.
    ET- most obviousMost important: Antibiotic selection pressure Cross infection from other infected patients or contaminated equipment Malnutrition
  • 76.
    Fever Leukocytosis Increasein respiratory secretions PE findings of consolidation New or changing radiographic infiltrate Tachypnea Tachycardia Worsening oxygenation Increased minute ventilation
  • 77.
    Tracheal colonization withpathogenic bacteria in patients with ET tubes Multiple alternative causes of radiographic infiltrates in mechanically ventilated patients High frequency of other sources of fever in critically ill patients
  • 78.
    Blood culture Endotrachealaspiration PSB or BAL via bronchoscopy
  • 79.
  • 80.
    Table 251-7 ClinicalPulmonary Infection Score (CPIS) Criterion Score Fever (°C)     38.5 1    >39 or < 36 2 Leukocytosis      <4000 or >11,000/ L 1    Bands > 50% 1 (additional) Oxygenation (mmHg)      Pa O2 /FI O2 <250 and no ARDS   2
  • 81.
    a The progressionof the infiltrate is not known and tracheal aspirate culture results are often unavailable at the time of the original diagnosis; thus, the maximal score is initially 8–10. Chest radiograph      Localized infiltrate 2    Patchy or diffuse infiltrate 1    Progression of infiltrate (no ARDS or CHF) 2 Tracheal aspirate      Moderate or heavy growth 1    Same morphology on Gram's stain 1 (additional)    Maximal score a   12
  • 82.
    PATIENTS W/O RISKFACTORS FOR MDR PATHOGENS - Ceftriaxone 2g IV q24 hours or - Moxifloxacin 400mg IV q24 hours, Ciprofloxacin 400mg IV q8 hours, Levofloxacin 750mg IV q24 hours or - Ampicillin/Sulbactam 3 gm IV q6 hours or - Ertapenem 1gm IV q24 hours
  • 83.
    PATIENTS WITH RISKFACTORS FOR MDR PATHOGENS 1. A beta-lactam : Ceftazidime 2 gm IV q8 hours or Cefepime 2 gm IV q8-q12 hours or Piperacillin/Tazobactam 4.5 gm IV q6 hours, Imipinem 500mg IV q6 hours or 1 gm IV q8 hours, Meropenem 1 gm IV q8 hours plus 2. A second agent active against gram-negative bacterial pathogens: Gentamicin or Tobramycin 7 mg/kg IV q24 hours or Amikacin 20 mg/kg IV q24 hours or Ciprofloxacin 400mg IV q8 hours or Levofloxacin 750mg IV q24 hours plus 3. An agent active against gram-positive bacterial pathogens: Linezolid 600 mg IV q 24 hours or Vancomycin 15mg/kg q12 hours
  • 84.
    Due to MDRpathogens Reintroduction of the microorganisms Superinfection Extrapulmonary infections Drug toxicity
  • 85.
    Death Prolonged mechanicalventilation Prolonged hospital stay Development of necrotizing pneumonia Long-term pulmonary complications Inability of the patient to return to independent function
  • 86.
    HCAP is associatedwith significant mortality (50%-70%) Presence of underlying diseases increases mortality rate Causative pathogen also plays a major role
  • 87.
    Switch of oralantibiotic agent There is less cough and resolution of respiratory distress (normalization of RR) The patient is afebrile for > 24 hours. The etiology is not a high risk (virulent/resistant) pathogen. There is no unstable co-morbid condition or life-threatening complication such as MI, CHF, complete heart block, new atrial fibrillation, supraventricular tachycardia, etc. There is no obvious reason for continued hospitalization such as hypotension, acute mental changes, BUN: Cr of >10:1, hypoxemia, metabolic acidosis, etc.
  • 88.
    Decreasing likelihood ofencountering the pathogen hand washing use of gloves Use of face mask Negative pressure room Prompt institution of effective chemotherapy for patients with contagious illnesses Correction of condition that facilitate aspiration Maintenance of gastric acidity Strengthening the host’s response once the pathogen is encountered Chemoprophylaxis Immunizing of patients at risk
  • 89.
    Hand washing Surveillanceof pneumonia For mechanically ventilated: extubate rapidly, minimize circuit changes, drain tubings regularly Small bore feeding tube Elevation of head to 30º
  • 90.
    Table 251-6 PathogenicMechanisms and Corresponding Prevention Strategies for Ventilator-Associated Pneumonia Pathogenic Mechanism Prevention Strategy Oropharyngeal colonization with pathogenic bacteria      Elimination of normal flora Avoidance of prolonged antibiotic courses    Large-volume oropharyngeal aspiration around time of intubation Short course of prophylactic antibiotics for comatose patients a      Gastroesophageal reflux Postpyloric enteral feeding b ; avoidance of high gastric residuals, prokinetic agents      Bacterial overgrowth of stomach Avoidance of gastrointestinal bleeding due to prophylactic agents that raise gastric pH b ; selective decontamination of digestive tract with nonabsorbable antibiotics b  
  • 91.
    Cross-infection from othercolonized patients Hand washing, especially with alcohol-based hand rub; intensive infection control education a ; isolation; proper cleaning of reusable equipment   Large-volume aspiration Endotracheal intubation; avoidance of sedation; decompression of small-bowel obstruction Microaspiration around endotracheal tube      Endotracheal intubation Noninvasive ventilation a  
  • 92.
       Prolonged durationof ventilation Daily awakening from sedation, a weaning protocols a      Abnormal swallowing function Early percutaneous tracheostomy a      Secretions pooled above endotracheal tube Head of bed elevated a ; continuous aspiration of subglottic secretions with specialized endotracheal tube a ; avoidance of reintubation; minimization of sedation and patient transport Altered lower respiratory host defenses Tight glycemic control a ; lowering of hemoglobin transfusion threshold; specialized enteral feeding formula
  • 93.
    The first CDCGuideline for Prevention of Nosocomial Pneumonia was published in 1981 addressed the main infection-control problems related to hospital-acquired pneumonia at the time: the use of large-volume nebulizers that were attached to mechanical ventilators and improper reprocessing (i.e., cleaning and disinfection or sterilization) of respiratory-care equipment.
  • 94.
    The document alsocovered the prevention and control of hospital-acquired influenza and respiratory syncytial virus (RSV) infection. ] In 1994, the Healthcare Infection Control Practices Advisory Committee (HICPAC) revised and expanded the CDC Guideline for Prevention of Nosocomial Pneumonia to include Legionnaires disease and pulmonary aspergillosis.
  • 95.
    HICPAC recommendations addresssuch issues as education of health-care personnel about the prevention and control of health-care--associated pneumonia and other lower respiratory tract infections, surveillance and reporting of diagnosed cases of infections, prevention of person-to-person transmission of each disease, and reduction of host risk for infection.
  • 96.
    I. Staff Educationand Involvement in Infection Prevention Educate health-care workers about the epidemiology of, and infection-control procedures for, preventing health-care--associated bacterial pneumonia to ensure worker competency according to the worker's level of responsibility in the health-care setting, and involve the workers in the implementation of interventions to prevent health-care--associated pneumonia by using performance-improvement tools and techniques
  • 97.
    II. Infection andMicrobiologic Surveillance A. Conduct surveillance for bacterial pneumonia in intensive care unit (ICU) patients who are at high risk for health-care--related bacterial pneumonia (e.g., patients with mechanically assisted ventilation or selected postoperative patients) to determine trends and help identify outbreaks and other potential infection-control problems.
  • 98.
    B. In theabsence of specific clinical, epidemiologic, or infection-control objectives, do not routinely perform surveillance cultures of patients or of equipment or devices used for respiratory therapy, pulmonary-function testing, or delivery of inhalation anesthesia .
  • 99.
    . Sterilization orDisinfection and Maintenance of Equipment and Devices 1. General measures a. Thoroughly clean all equipment and devices to be sterilized or disinfected. b. Whenever possible, use steam sterilization (by autoclaving) or high-level disinfection by wet heat pasteurization at >158 F (>70°C) for 30 minutes for reprocessing semicritical equipment or devices (i.e., items that come into direct or indirect contact with mucous membranes of the lower respiratory tract) that are not sensitive to heat and moisture.
  • 100.
    After disinfection, proceedwith appropriate rinsing, drying, and packaging, taking care not to contaminate the disinfected items in the process c. Preferentially use sterile water for rinsing reusable semicritical respiratory equipment and devices when rinsing is needed after they have been chemically disinfected. If this is not feasible, rinse the device with filtered water (i.e., water that has been through a 0.2 µ filter) or tap water, and then rinse with isopropyl alcohol and dry with forced air or in a drying cabinet.
  • 101.
    2. Mechanical ventilators Do not routinely sterilize or disinfect the internal machinery of mechanical ventilators (II). 3. Breathing circuits, humidifiers, and heat-and-moisture exchangers (HMEs) a. Breathing circuits with humidifiers 1) Do not change routinely, on the basis of duration of use, the breathing circuit (i.e., ventilator tubing and exhalation valve and the attached humidifier) that is in use on an individual patient. Change the circuit when it is visibly soiled or mechanically malfunctioning.
  • 102.
    2) Breathing-circuit--tubing condensate a) Periodically drain and discard any condensate that collects in the tubing of a mechanical ventilator, taking precautions not to allow condensate to drain toward the patient. b) Wear gloves to perform the previous procedure and/or when handling the fluid. c) Decontaminate hands with soap and water (if hands are visibly soiled) or with an alcohol-based hand rub after performing the procedure or handling the fluid.
  • 103.
    3) No recommendationcan be made for placing a filter or trap at the distal end of the expiratory-phase tubing of the breathing circuit to collect condensate (Unresolved issue). 4) Humidifier fluids a) Use sterile (not distilled, nonsterile) water to fill bubbling humidifiers. b) No recommendation can be made for the preferential use of a closed, continuous-feed humidification system (Unresolved issue).
  • 104.
    b. Ventilator breathingcircuits with HMEs 1) No recommendation can be made for the preferential use of either HMEs or heated humidifiers to prevent pneumonia in patients receiving mechanically assisted ventilation (Unresolved issue) (IB) ( 44--49 ). 2) Changing HME a) Change an HME that is in use on a patient when it malfunctions mechanically or becomes visibly soiled (II). b) Do not routinely change more frequently than every 48 hours an HME that is in use on a patient (II) (50--52 ).
  • 105.
    3) Do notchange routinely (in the absence of gross contamination or malfunction) the breathing circuit attached to an HME while it is in use on a patient (II) ( 53 ). 4. Oxygen humidifiers a. Follow manufacturers' instructions for use of oxygen humidifiers (II,C) ( 29;54--56 ). b. Change the humidifier-tubing (including any nasal prongs or mask) that is in use on one patient when it malfunctions or becomes visibly contaminated (II).
  • 106.
    5. Small-volume medicationnebulizers: in-line and hand-held nebulizers a. Between treatments on the same patient clean, disinfect, rinse with sterile water (if rinsing is needed), and dry small-volume in-line or hand-held medication nebulizers. b. Use only sterile fluid for nebulization, and dispense the fluid into the nebulizer aseptically. c. Whenever possible, use aerosolized medications in single-dose vials. If multidose medication vials are used, follow manufacturers' instructions for handling, storing, and dispensing the medications
  • 107.
    6. Mist tents a. Between uses on different patients, replace mist tents and their nebulizers, reservoirs, and tubings with those that have been subjected to sterilization or high-level disinfection. b. No recommendation can be made about the frequency of routinely changing mist-tent nebulizers, reservoirs, and tubings while in use on one patient (Unresolved issue). c. Subject mist-tent nebulizers, reservoirs, and tubings that are used on the same patient to daily low-level disinfection (e.g., with 2% acetic acid) or pasteurization followed by air-drying
  • 108.
    7. Other devicesused in association with respiratory therapy a. Respirometer and ventilator thermometer: between their uses on different patients, sterilize or subject to high-level disinfection portable respirometers and ventilator thermometer. b. Resuscitation bags 1) Between their uses on different patients, sterilize or subject to high-level disinfection reusable hand-powered resuscitation bags. 2) No recommendation can be made about the frequency of changing hydrophobic filters placed on the connection port of resuscitation bags (Unresolved issue).
  • 109.
    8. Anesthesia machinesand breathing systems or patient circuits a. Do not routinely sterilize or disinfect the internal machinery of anesthesia equipment. b. Between uses on different patients, clean reusable components of the breathing system or patient circuit (e.g., tracheal tube or face mask) inspiratory and expiratory breathing tubing, y-piece, reservoir bag, humidifier, and tubing, and then sterilize or subject them to high-level liquid chemical disinfection or pasteurization in accordance with the device manufacturers' instructions for their reprocessing
  • 110.
    c. No recommendationcan be made about the frequency of routinely cleaning and disinfecting unidirectional valves and carbon dioxide absorber chambers (Unresolved issue). d. Follow published guidelines or manufacturers' instructions about in-use maintenance, cleaning, and disinfection or sterilization of other components or attachments of the breathing system or patient circuit of anesthesia equipment. e. No recommendation can be made for placing a bacterial filter in the breathing system or patient circuit of anesthesia equipment (Unresolved issue)
  • 111.
    9. Pulmonary-function testingequipment a. Do not routinely sterilize or disinfect the internal machinery of pulmonary-function testing machines between uses on different patients. b. Change the mouthpiece of a peak flow meter or the mouthpiece and filter of a spirometer between uses on different patients
  • 112.
    . Room-air &quot;humidifiers&quot;and faucet aerators a. Do not use large-volume room-air humidifiers that create aerosols (e.g., by venturi principle, ultrasound, or spinning disk, and thus actually are nebulizers) unless they can be sterilized or subjected to high-level disinfection at least daily and filled only with sterile water. b. Faucet aerators 1) No recommendation can be made about the removal of faucet aerators from areas for immunocompetent patients. 2) If Legionella spp. are detected in the water of a transplant unit and until Legionella spp. are no longer detected by culture, remove faucet aerators in the unit
  • 113.
    Standard Precautions a. Hand hygiene b. Gloving c.When soiling with respiratory secretions from a patient is anticipated, wear a gown and change it after soiling occurs and before providing care to another patient.
  • 114.
    2. Care ofpatients with tracheostomy a. Perform tracheostomy under aseptic conditions (II). b. When changing a tracheostomy tube, wear a gown, use aseptic technique, and replace the tube with one that has undergone sterilization or high-level disinfection. c. No recommendation can be made for the daily application of topical antimicrobial agent(s) at the tracheostoma.
  • 115.
    Suctioningof respiratory tractsecretions     a. No recommendation can be made for the preferential use of either the multiuse closed-system suction catheter or the single-use open-system suction catheter for prevention of pneumonia (Unresolved issue). b. No recommendation can be made about wearing sterile rather than clean gloves when performing endotracheal suctioning (Unresolved issue). c. No recommendation can be made about the frequency of routinely changing the in-line suction catheter of a closed-suction system in use on one patient (Unresolved issue). d. If the open-system suction is employed, use a sterile, single-use catheter (II). e. Use only sterile fluid to remove secretions from the suction catheter if the catheter is to be used for re-entry into the patient's lower respiratory tract
  • 116.
    A. Increasing HostDefense Against Infection: Administration of immune modulators 1. Pneumococcal vaccination. Vaccinate patients at high risk for severe pneumococcal infections 2. No recommendation can be made for the routine administration of preparations of granulocyte-colony stimulating factor (GCSF) or intravenous gamma globulin for prophylaxis against health-care--associated pneumonia (Unresolved issue). 3. No recommendation can be made for the routine enteral administration of glutamine for prevention of health-care--associated pneumonia (Unresolved issue)
  • 117.
    1. Prevention ofaspiration associated with endotracheal intubation a. Use of noninvasive ventilation (NIV) to reduce the need for and duration of endotracheal intubation b. As much as possible, avoid repeat endotracheal intubation in patients who have received mechanically assisted ventilation. c. Unless contraindicated by the patient's condition, perform orotracheal rather than nasotracheal intubation on patients. d. If feasible, use an endotracheal tube with a dorsal lumen above the endotracheal cuff to allow drainage (by continuous or frequent intermittent suctioning) of tracheal secretions that accumulate in the patient's subglottic area. e. Before deflating the cuff of an endotracheal tube in preparation for tube removal, or before moving the tube, ensure that secretions are cleared from above the tube cuff
  • 118.
    2. Prevention ofaspiration associated with enteral feeding a. In the absence of medical contraindication(s), elevate at an angle of 30--45 degrees of the head of the bed of a patient at high risk for aspiration (e.g., a person receiving mechanically assisted ventilation and/or who has an enteral tube in place) b. Routinely verify appropriate placement of the feeding tube. c. No recommendation can be made for the preferential use of small-bore tubes for enteral feeding (Unresolved issue). d. No recommendation can be made for preferentially administering enteral feedings continuously or intermittently (Unresolved issue). e. No recommendation can be made for preferentially placing the feeding tubes, (e.g., jejunal tubes) distal to the pylorus (Unresolved issue)
  • 119.
    . Prevention ormodulation of oropharyngeal colonization a. Oropharyngeal cleaning and decontamination with an antiseptic agent b. Chlorhexidine oral rinse c. Oral decontamination with topical antimicrobial agents. 4. Prevention of gastric colonization
  • 120.
    1. Instruct preoperativepatients, especially those at high risk for contracting pneumonia, about taking deep breaths and ambulating as soon as medically indicated in the postoperative period. 2. Encourage all postoperative patients to take deep breaths, move about the bed, and ambulate unless medically contraindicated. 3. Use incentive spirometry on postoperative patients at high risk for pneumonia. 4. No recommendation can be made about the routine use of chest physiotherapy on all postoperative patients at high risk for pneumonia (Unresolved issue).
  • 121.
    Criteria For HospitalDischarge Stable vital signs for 24-hour period Temperature <=100 F (37.8 C) Respiratory rate <= 24 breaths/minute Heart rate <= 100 beats/minute Systolic blood pressure >= 90 mm Hg Oxygen saturation >= 90% on room air
  • 122.
    Patient able totake oral antibiotics Patient is able to maintain adequate hydration and nutrition Patient’s mental status is at baseline Patient has no other active clinical or psychological problems