CLINICO-
PATHOLOGICAL
 CORRELATION
MOHD
                   HANAFI
                   SURYA
SUPERVISOR:        RAJ
 DR. TAN NUGROHO MICHAEL
 CIPTO RIYANTO   WONG
                 ANGEL
                   KWAN
                   NUR
                   AINURA
         CPC       FATIN
                   AKMAL
HISTORY

          • 33 | nullipara | obese
     • Fertility | after 5 years marriage
         • Menarche: 13 (regular)
• Currently: Irregular menses | Weight gain
  • Day 2: FSH 3.5 mIU/ml | LH 5 mIU/ml
DEFINITION: INFERTILITY
Infertility
              is defined as   Primary       happened
              failure to      Infertility   in woman
              conceive                      who has
              after one                     never
              year of                       conceived
              unprotected
              coitus at       Secondary happened
              frequent        Infertility in a woman
              intervals.                    who has
                                            conceived
                                            before
AETIOLOGY: INFERTILITY
                       Coital
                    problems, 5

Endometriosis, Fi                 Unexplained
    broid, 9                      infertility, 28



        Tubal
     diseases, 14



     Ovulatory                    Male factor, 21
    disorder, 18
MALE: INFERTILITY ADVICES
      – 2nd most common cause
      – BMI > 29 may reduced fertility.
      – increased scrotal temperature.
      – excessive alcohol consumption
        (NICE,2004).
      – smoker’s sperm concentration is
        on average 13-17% lower than
        non-smokers. (Jenkins et. al 2003)
FEMALE: INFERTILITY ADVICES
 – declines with age.
   (NICE, 2004)
 – Moderate weight loss (Health
   Education Authority, 1996).
 – limit their alcohol intake
   (Jensen et al 1998).
 – stop smoking (RCOG, 1998).
 – Genital tract infection
   (Winter and Ahmad, 1998)
1
    COMMENT THE
ULTRASOUND
      FINDINGS?
WHAT IS THE SUGGESTIVE


    AND HOW TO DIAGNOSE


2
POLYCYSTIC
OVARIAN SYNDROME
WHAT IS PCOS
• Is a heterogenous disorder
  affecting the
  reproductive, endocrine and
  metabolic systems.
• PCOS is often complicated by
  chronic anovulatory infertility
  and hyperandrogenism with the
  clinical manifestation of
  oligomenorrhoea, hirsutism
  and acne
PATHOPHYSIOLOGY: PCOS
Genetically have insulin receptor disorder
and thus insulin resistance-
HYPERINSULINAEMIA


 During puberty- GH spurt- IGF1 ↑↑
 Hyperinsulinaemia+IGF1 cause ovarian
 hyperstimulation


          Ovarian hyperstimulation- cause thecal cell
          hyperplasia and excessive androgen
          production
PATHOPHYSIOLOGY: PCOS
HYPERINSULINAEMIA- also act on liver to reduce
sex hormone binding globulin (SHBG)- increase
free testosterone




  Increased LH production by anterior pituitary relative
  to FSH. Cause theca cell stimulation. Cyst formation




           Follicles do not mature due to premature surge
           in LH. Decreased FSH:LH cause inability of ovary
           to convert androgen to estrogen.
HOW TO DIAGNOSE: PCOS
• Rotterdam criteria for diagnosis
• The diagnosis of PCOS requires the
  exclusion of all other disorders that can
  result in menstrual irregularity and
  hyperandrogenism:
   congenital adrenal hyperplasia

   cushing syndrome

   androgen secreting tumours

   hyperprolactinaemia
HOW TO DIAGNOSE: PCOS
           Rotterdam criteria for diagnosis
      Two or more of the three following criteria:
     • polycystic ovaries (either 12 or more peripheral follicles or
       increased ovarian volume up to 10mm3)
1    • -via TVUS



     • oligo- or anovulation (manifested as oligo- or amenorrhea)
2

     • clinical and/or biochemical signs of hyperandrogenism.
3
CLINICAL AND/OR BIOCHEMICAL
SIGNS OF HYPERANDROGENISM

     Clinical           Biochemical

• Early sign-acne    • Free serum
• Later develop       testosterone
  hirsuitism or       level (not more
  even male           than 5nmol/L)
  pattern alopecia
A raised luteinising hormone/follicle-
      stimulating hormone ratio
     (LH:FSH 2:1) is NO LONGER a
         diagnostic criteria!!!!
SCENARIO

  • Husband: Seminal fluid – severe
     oligoasthenoteratoazoospermia
    • Day 21 serum progesterone –
              not ovulating
• Ovarian stimulating induction + IVF
PREPARATION: SEMEN SAMPLING
• Advice patient - abstinence from
  sex and masturbation for 2 - 7
  days prior
• collected in a private room near
  the laboratory to limit the
  exposure of the semen to
  fluctuations in temperature and to
  control the time between
  collection and analysis
• semen sample needs to be
  complete & should report any loss
  of any fraction of the sample
COLLECTION: SEMEN SAMPLING
• obtained by masturbation and ejaculated
  into a clean and wide mouthed container
• specimen container should be kept at
  ambient temperature, between 20 C and
  37 C
• placed on the bench or in an incubator (37
   C) while the semen liquefies.
HOME: SEMEN COLLECTION
 • Sample need to be completed. Report if
   incomplete.
 • Record the time of semen production
   and sent to lab within 1H. Temperature
   kept between 20 C and 37 C during
   transport of sample
 • Noted at report place of collection (home
   / outside the lab)
CONDOM: SEMEN COLLECTION
     • Collected in a condom during sexual
       intercourse
     • Only special non-toxic condoms
       designed used
     • Information on how to use the
       condom, close it, and send or
       transport it to the laboratory.
     • Record the time of semen production
       and sent to lab within 1H. Temperature
       kept between 20 C and 37 C during
       transport of sample
     • Noted at report place of collection
       (home / outside the lab)
SEMEN ANALYSIS: WHO

  Volume        • > 1.5 mL


     pH         • ≄ 7.2


 Total Sperm    • 39 Ɨ 10^6 spermatozoa per
   Number         ejaculate

   Sperm        • 15 Ɨ 10^6 spermatozoa per ml
Concentration
SEMEN ANALYSIS: WHO 2010
• Sperm Motility :
  – Progressive motility (PR): spermatozoa moving
    actively, either linearly or in a large
    circle, regardless of speed.
  – Non-progressive motility (NP): all other patterns
    of motility with an absence of progression, e.g.
    swimming in small circles, the flagellar force
    hardly displacing the head, or when only a
    flagellar beat can be observed.
  – Immotility (IM): no movement.
  – Total motility (PR + NP) is 40%
  – Progressive motility (PR) is 32%
SEMEN ANALYSIS: WHO 2010

• Sperm Vitality (membrane-intact
  spermatozoa): 58% or more

• Sperm Normal Morphology (regular oval
  head, with a connecting mid-piece and a long
  straight tail): > 4%
NOMENCLATURE: WHO 2010
• Normozoospermia: total number of
  spermatozoa, and % of progressively
  motile (PR) and morphologically normal
  spermatozoa ≄ lower reference limits

• Oligozoospermia: Total number of
  spermatozoa <39 106 spermatozoa per
  ejaculate or concentration of spermatozoa
  <15 106 spermatozoa per ml

• Asthenozoospermia: Progressively motile
  (PR) spermatozoa <32%
NOMENCLATURE: WHO 2010
• Teratozoospermia: < 4%
  morphologically normal spermatozoa

• Azoospermia: No spermatozoa in the
  ejaculate

• Aspermia: no semen (no or retrograde
  ejaculation)
3
WHAT DOES
MEAN?
OLIGOASTHENOTERATOZOOSPERMIA

• Total number/concentration of spermatozoa, and
  percentages of both progressively motile (PR)
  and morphologically normal spermatozoa, below
  the lower reference limits
COMMENT ON THE
    REASON OF USING
4   DAY 21
    PROGESTERONE TEST
CRITERIA FOR TEST
1. Normal menstrual cycle
2. Length of menstrual cycle (28
   days)
3. Not on hormonal therapy/OCP/
   hormonal contraception 
   interfere normal hormonal
   changes
4. If on OCP, stop at least 1 month
   before test
Ideal progesterone test done 21 days after
breeding
(Progesterone is high)
- Normal Day 21 progesterone level in
  functioning corpus luteum > 30ng/ml
- ↓ Day 21 progesterone level 
   Anovulatory cycles (no ovulation & no corpus luteum
   formation to secrete the progesterone)

   Abnormal menstrual cycle


   Length of the menstrual cycle


   On hormonal therapy/OCP/ hormonal contraception
WHAT ARE THE POSSIBLE


ASSOCIATED WITH




                        5
INDICATIONS OF IVF

• Tubal problems: blocked or damaged
  Fallopian tubes
• Severe endometriosis
• Pelvic inflammatory disease with
  severe adhesion
• Male factor
• Unexplained infertility
COMPLICATIONS OF IVF
• IVF is basically a safe procedure.
• As with any medical or surgical procedure, a
  few patients undergoing IVF treatment will
  experience side effects and complications.
• The most common complications associated
  with IVF treatment are the:
 Failure of treatment       The possibility of ectopic
                            pregnancy.
 Ovarian hyperstimulation
                            Bladder, bowel injury and other
 Multiple pregnancy,        risk related to egg retrieval
WHAT IS IVF?
The steps of IVF are as follows:
• Ovulation Induction
• Retrieval
• Insemination of eggs and embryos culture
• Transferring embryos to the uterus
OVULATION INDUCTION
• optional if women can ovulate normally
• the stimulatory phase of an IVF cycle must begin
  on the third day of the menstrual cycle.
• patients receive daily injections of gonadotropins
  – hormones, which stimulate your ovaries to
  produce multiple eggs.
• The ultimate goal of IVF stimulation is to achieve
  the maximum number of mature follicles- eggs-
  without over stimulation.
OVARIAN HYPERSTIMULATION SYNDROME
              (OHSS)
   Mild to Moderate


    majority of women have a mild or moderate form of the
   syndrome and invariably resolve within a few days unless
          pregnancy occurs, that may delay recovery.


    complain of pain, a bloated feeling and mild abdominal
                           swelling.



   In a small proportion of women, the degree of discomfort
OVARIAN HYPERSTIMULATION SYNDROME
              (OHSS)
                                                       Severe


           Very rarely is severe and the ovaries are very swollen.


    The woman will feel ill, with nausea and vomiting, abdominal pain.

  Fluid accumulates in the abdominal cavity and chest, causing abdominal
     swelling and shortness of breath. Reduction in the amount of urine
                                  produced.
 These complications require urgent hospital admission to restore the fluid
  and electrolyte balance, monitor progress, control pain and in some very
                  serious cases, termination of pregnancy.
    Complications associated with severe OHHS include blood clotting
      disorders, kidney damage and twisted ovary (ovarian torsion).
CAUSES OF OHSS
         Women with polycystic ovaries.

         Over response to fertility drugs.

               Young thin women.

High estrogen hormone levels and a large number of
                 follicles or eggs.

         Administration of GnRh agonist.

     The use of hCG for luteal phase support.
RETRIEVAL
     When the eggs are
ā€œreadyā€, that is, the majority                                    Mature eggs will be collected
                                  that we ask the male partner
     of eggs are ripe for                                         by ultrasound guided needle
                                   to produce a semen sample
 harvesting but they are not                                               aspiration.
      yet truly mature.




  Retrieval is done after at
least 3 mature follicles of 18      It is at this time, shortly
                                                                   This technique is performed
  mm or more to produce a         rafter the conclusion of the
                                                                  in the office with IV sedation.
mature egg, a final injection              egg retrieval,
       must be taken.



                                   minor surgical-Follicles are
                                   located by ultrasound and
                                     then a needle is guided
This final shot is called HCG.
                                  through the vaginal wall into
                                    the ovary to aspirate the
                                     eggs from the follicles.
INSEMINATION OF EGGS AND
             EMBRYO CULTURE

                ICSI                                          IVF

  intracytoplasmic sperm
          injection                             In-Vitro Fertilisation

inject a single sperm into each egg.      decision regarding the number of embryos to
                                                    transfer is not always easy


 48 hours the fertilized eggs – now      depends on such things as patient age, past IVF
called embryos – will be left alone in       cycles and the quality of the embryos.
    the incubator- for 3 to 5 days.

                                         objective is to maximize the chance of pregnancy
the embryos will have been carefully         while minimizing the chances of multiple
            examined                                        pregnancies.
TRANSFERRING EMBRYOS TO
                UTERUS
the embryos will be transferred by placing very small
flexible catheter into your cervix and injecting the
embryos.


     continue to take Progesterone (shots, pills or
     pessaries)



           A pregnancy test will be done 2 weeks after the
           transfer



                 If the test is positive Progesterone shots are continued
                 as instructed (serum B-HCG).
6TH WEEK AFTER IVF
• c/o lower abdominal pain associated with
          per vaginal bleed for 2/7
• pain more marked on right side radiated
                to the back
         • vomited several times
 • pain temporarily relieved by analgesia
ON EXAMINATION
     •      Blood pressure: 90/60 mmHg (↓)
 •       Pulse rate: 110 beats per minute (↑)
•        Abdomen examination: tender on the
          right iliac fossa (RIF) with no mass
                         palpable
•        Vaginal examination: cervical os was
         closed with some old blood seen on
                      posterior fornix
     •     Minimal cervical excitation and no
                 adnexal mass palpable
6 LIST 4
Ectopic pregnancy
• Pregnancy occurring in sites other than endometrium of the
  uterus.


Threatened miscarriage
• Vaginal bleeding (usually fresh bleed and painless) with a closed
  cervix prior to 22 weeks of pregnancy


Molar pregnancy
• Pregnancy in which a hydatid mole develops from the
  trophoblastic tissue of the early embryonic stage of development


Impending miscarriage (inevitable)
• Onset of miscarriage process and will end as either
  complete, incomplete or septic miscarriage
7
    COMMENT THE
ULTRASOUND
      FINDINGS?
a gestational sac extra uterine




Empty uterus, free fluid in pouch of
         Douglas (POD)
RUPTURED
ECTOPIC
PREGNANCY
EVENTUALLY
• An emergency laparatomy was done and
  found to have 2 litres of haemoperitonium
     and ectopic pregnancy of right tube.

• Subsequently, right salphingectomy was
 done and she was discharged after 3 days
                from ward.
THANK
YOU

Pcos and infertility

  • 1.
  • 2.
    MOHD HANAFI SURYA SUPERVISOR: RAJ DR. TAN NUGROHO MICHAEL CIPTO RIYANTO WONG ANGEL KWAN NUR AINURA CPC FATIN AKMAL
  • 3.
    HISTORY • 33 | nullipara | obese • Fertility | after 5 years marriage • Menarche: 13 (regular) • Currently: Irregular menses | Weight gain • Day 2: FSH 3.5 mIU/ml | LH 5 mIU/ml
  • 4.
    DEFINITION: INFERTILITY Infertility is defined as Primary happened failure to Infertility in woman conceive who has after one never year of conceived unprotected coitus at Secondary happened frequent Infertility in a woman intervals. who has conceived before
  • 5.
    AETIOLOGY: INFERTILITY Coital problems, 5 Endometriosis, Fi Unexplained broid, 9 infertility, 28 Tubal diseases, 14 Ovulatory Male factor, 21 disorder, 18
  • 6.
    MALE: INFERTILITY ADVICES – 2nd most common cause – BMI > 29 may reduced fertility. – increased scrotal temperature. – excessive alcohol consumption (NICE,2004). – smoker’s sperm concentration is on average 13-17% lower than non-smokers. (Jenkins et. al 2003)
  • 7.
    FEMALE: INFERTILITY ADVICES – declines with age. (NICE, 2004) – Moderate weight loss (Health Education Authority, 1996). – limit their alcohol intake (Jensen et al 1998). – stop smoking (RCOG, 1998). – Genital tract infection (Winter and Ahmad, 1998)
  • 8.
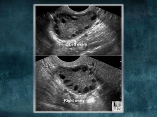
    1 COMMENT THE ULTRASOUND FINDINGS?
  • 10.
    WHAT IS THESUGGESTIVE AND HOW TO DIAGNOSE 2
  • 11.
  • 12.
    WHAT IS PCOS •Is a heterogenous disorder affecting the reproductive, endocrine and metabolic systems. • PCOS is often complicated by chronic anovulatory infertility and hyperandrogenism with the clinical manifestation of oligomenorrhoea, hirsutism and acne
  • 13.
    PATHOPHYSIOLOGY: PCOS Genetically haveinsulin receptor disorder and thus insulin resistance- HYPERINSULINAEMIA During puberty- GH spurt- IGF1 ↑↑ Hyperinsulinaemia+IGF1 cause ovarian hyperstimulation Ovarian hyperstimulation- cause thecal cell hyperplasia and excessive androgen production
  • 14.
    PATHOPHYSIOLOGY: PCOS HYPERINSULINAEMIA- alsoact on liver to reduce sex hormone binding globulin (SHBG)- increase free testosterone Increased LH production by anterior pituitary relative to FSH. Cause theca cell stimulation. Cyst formation Follicles do not mature due to premature surge in LH. Decreased FSH:LH cause inability of ovary to convert androgen to estrogen.
  • 15.
    HOW TO DIAGNOSE:PCOS • Rotterdam criteria for diagnosis • The diagnosis of PCOS requires the exclusion of all other disorders that can result in menstrual irregularity and hyperandrogenism: congenital adrenal hyperplasia cushing syndrome androgen secreting tumours hyperprolactinaemia
  • 16.
    HOW TO DIAGNOSE:PCOS Rotterdam criteria for diagnosis Two or more of the three following criteria: • polycystic ovaries (either 12 or more peripheral follicles or increased ovarian volume up to 10mm3) 1 • -via TVUS • oligo- or anovulation (manifested as oligo- or amenorrhea) 2 • clinical and/or biochemical signs of hyperandrogenism. 3
  • 17.
    CLINICAL AND/OR BIOCHEMICAL SIGNSOF HYPERANDROGENISM Clinical Biochemical • Early sign-acne • Free serum • Later develop testosterone hirsuitism or level (not more even male than 5nmol/L) pattern alopecia
  • 18.
    A raised luteinisinghormone/follicle- stimulating hormone ratio (LH:FSH 2:1) is NO LONGER a diagnostic criteria!!!!
  • 19.
    SCENARIO •Husband: Seminal fluid – severe oligoasthenoteratoazoospermia • Day 21 serum progesterone – not ovulating • Ovarian stimulating induction + IVF
  • 20.
    PREPARATION: SEMEN SAMPLING •Advice patient - abstinence from sex and masturbation for 2 - 7 days prior • collected in a private room near the laboratory to limit the exposure of the semen to fluctuations in temperature and to control the time between collection and analysis • semen sample needs to be complete & should report any loss of any fraction of the sample
  • 21.
    COLLECTION: SEMEN SAMPLING •obtained by masturbation and ejaculated into a clean and wide mouthed container • specimen container should be kept at ambient temperature, between 20 C and 37 C • placed on the bench or in an incubator (37 C) while the semen liquefies.
  • 22.
    HOME: SEMEN COLLECTION • Sample need to be completed. Report if incomplete. • Record the time of semen production and sent to lab within 1H. Temperature kept between 20 C and 37 C during transport of sample • Noted at report place of collection (home / outside the lab)
  • 23.
    CONDOM: SEMEN COLLECTION • Collected in a condom during sexual intercourse • Only special non-toxic condoms designed used • Information on how to use the condom, close it, and send or transport it to the laboratory. • Record the time of semen production and sent to lab within 1H. Temperature kept between 20 C and 37 C during transport of sample • Noted at report place of collection (home / outside the lab)
  • 24.
    SEMEN ANALYSIS: WHO Volume • > 1.5 mL pH • ≄ 7.2 Total Sperm • 39 Ɨ 10^6 spermatozoa per Number ejaculate Sperm • 15 Ɨ 10^6 spermatozoa per ml Concentration
  • 25.
    SEMEN ANALYSIS: WHO2010 • Sperm Motility : – Progressive motility (PR): spermatozoa moving actively, either linearly or in a large circle, regardless of speed. – Non-progressive motility (NP): all other patterns of motility with an absence of progression, e.g. swimming in small circles, the flagellar force hardly displacing the head, or when only a flagellar beat can be observed. – Immotility (IM): no movement. – Total motility (PR + NP) is 40% – Progressive motility (PR) is 32%
  • 26.
    SEMEN ANALYSIS: WHO2010 • Sperm Vitality (membrane-intact spermatozoa): 58% or more • Sperm Normal Morphology (regular oval head, with a connecting mid-piece and a long straight tail): > 4%
  • 27.
    NOMENCLATURE: WHO 2010 •Normozoospermia: total number of spermatozoa, and % of progressively motile (PR) and morphologically normal spermatozoa ≄ lower reference limits • Oligozoospermia: Total number of spermatozoa <39 106 spermatozoa per ejaculate or concentration of spermatozoa <15 106 spermatozoa per ml • Asthenozoospermia: Progressively motile (PR) spermatozoa <32%
  • 28.
    NOMENCLATURE: WHO 2010 •Teratozoospermia: < 4% morphologically normal spermatozoa • Azoospermia: No spermatozoa in the ejaculate • Aspermia: no semen (no or retrograde ejaculation)
  • 29.
  • 30.
    OLIGOASTHENOTERATOZOOSPERMIA • Total number/concentrationof spermatozoa, and percentages of both progressively motile (PR) and morphologically normal spermatozoa, below the lower reference limits
  • 31.
    COMMENT ON THE REASON OF USING 4 DAY 21 PROGESTERONE TEST
  • 32.
    CRITERIA FOR TEST 1.Normal menstrual cycle 2. Length of menstrual cycle (28 days) 3. Not on hormonal therapy/OCP/ hormonal contraception  interfere normal hormonal changes 4. If on OCP, stop at least 1 month before test
  • 34.
    Ideal progesterone testdone 21 days after breeding (Progesterone is high)
  • 35.
    - Normal Day21 progesterone level in functioning corpus luteum > 30ng/ml - ↓ Day 21 progesterone level  Anovulatory cycles (no ovulation & no corpus luteum formation to secrete the progesterone) Abnormal menstrual cycle Length of the menstrual cycle On hormonal therapy/OCP/ hormonal contraception
  • 36.
    WHAT ARE THEPOSSIBLE ASSOCIATED WITH 5
  • 37.
    INDICATIONS OF IVF •Tubal problems: blocked or damaged Fallopian tubes • Severe endometriosis • Pelvic inflammatory disease with severe adhesion • Male factor • Unexplained infertility
  • 38.
    COMPLICATIONS OF IVF •IVF is basically a safe procedure. • As with any medical or surgical procedure, a few patients undergoing IVF treatment will experience side effects and complications. • The most common complications associated with IVF treatment are the: Failure of treatment The possibility of ectopic pregnancy. Ovarian hyperstimulation Bladder, bowel injury and other Multiple pregnancy, risk related to egg retrieval
  • 39.
    WHAT IS IVF? Thesteps of IVF are as follows: • Ovulation Induction • Retrieval • Insemination of eggs and embryos culture • Transferring embryos to the uterus
  • 40.
    OVULATION INDUCTION • optionalif women can ovulate normally • the stimulatory phase of an IVF cycle must begin on the third day of the menstrual cycle. • patients receive daily injections of gonadotropins – hormones, which stimulate your ovaries to produce multiple eggs. • The ultimate goal of IVF stimulation is to achieve the maximum number of mature follicles- eggs- without over stimulation.
  • 41.
    OVARIAN HYPERSTIMULATION SYNDROME (OHSS) Mild to Moderate majority of women have a mild or moderate form of the syndrome and invariably resolve within a few days unless pregnancy occurs, that may delay recovery. complain of pain, a bloated feeling and mild abdominal swelling. In a small proportion of women, the degree of discomfort
  • 42.
    OVARIAN HYPERSTIMULATION SYNDROME (OHSS) Severe Very rarely is severe and the ovaries are very swollen. The woman will feel ill, with nausea and vomiting, abdominal pain. Fluid accumulates in the abdominal cavity and chest, causing abdominal swelling and shortness of breath. Reduction in the amount of urine produced. These complications require urgent hospital admission to restore the fluid and electrolyte balance, monitor progress, control pain and in some very serious cases, termination of pregnancy. Complications associated with severe OHHS include blood clotting disorders, kidney damage and twisted ovary (ovarian torsion).
  • 43.
    CAUSES OF OHSS Women with polycystic ovaries. Over response to fertility drugs. Young thin women. High estrogen hormone levels and a large number of follicles or eggs. Administration of GnRh agonist. The use of hCG for luteal phase support.
  • 44.
    RETRIEVAL When the eggs are ā€œreadyā€, that is, the majority Mature eggs will be collected that we ask the male partner of eggs are ripe for by ultrasound guided needle to produce a semen sample harvesting but they are not aspiration. yet truly mature. Retrieval is done after at least 3 mature follicles of 18 It is at this time, shortly This technique is performed mm or more to produce a rafter the conclusion of the in the office with IV sedation. mature egg, a final injection egg retrieval, must be taken. minor surgical-Follicles are located by ultrasound and then a needle is guided This final shot is called HCG. through the vaginal wall into the ovary to aspirate the eggs from the follicles.
  • 46.
    INSEMINATION OF EGGSAND EMBRYO CULTURE ICSI IVF intracytoplasmic sperm injection In-Vitro Fertilisation inject a single sperm into each egg. decision regarding the number of embryos to transfer is not always easy 48 hours the fertilized eggs – now depends on such things as patient age, past IVF called embryos – will be left alone in cycles and the quality of the embryos. the incubator- for 3 to 5 days. objective is to maximize the chance of pregnancy the embryos will have been carefully while minimizing the chances of multiple examined pregnancies.
  • 47.
    TRANSFERRING EMBRYOS TO UTERUS the embryos will be transferred by placing very small flexible catheter into your cervix and injecting the embryos. continue to take Progesterone (shots, pills or pessaries) A pregnancy test will be done 2 weeks after the transfer If the test is positive Progesterone shots are continued as instructed (serum B-HCG).
  • 50.
    6TH WEEK AFTERIVF • c/o lower abdominal pain associated with per vaginal bleed for 2/7 • pain more marked on right side radiated to the back • vomited several times • pain temporarily relieved by analgesia
  • 51.
    ON EXAMINATION • Blood pressure: 90/60 mmHg (↓) • Pulse rate: 110 beats per minute (↑) • Abdomen examination: tender on the right iliac fossa (RIF) with no mass palpable • Vaginal examination: cervical os was closed with some old blood seen on posterior fornix • Minimal cervical excitation and no adnexal mass palpable
  • 52.
  • 53.
    Ectopic pregnancy • Pregnancyoccurring in sites other than endometrium of the uterus. Threatened miscarriage • Vaginal bleeding (usually fresh bleed and painless) with a closed cervix prior to 22 weeks of pregnancy Molar pregnancy • Pregnancy in which a hydatid mole develops from the trophoblastic tissue of the early embryonic stage of development Impending miscarriage (inevitable) • Onset of miscarriage process and will end as either complete, incomplete or septic miscarriage
  • 54.
    7 COMMENT THE ULTRASOUND FINDINGS?
  • 55.
    a gestational sacextra uterine Empty uterus, free fluid in pouch of Douglas (POD)
  • 57.
  • 58.
    EVENTUALLY • An emergencylaparatomy was done and found to have 2 litres of haemoperitonium and ectopic pregnancy of right tube. • Subsequently, right salphingectomy was done and she was discharged after 3 days from ward.
  • 59.

Editor's Notes

  • #7Ā Male partner should be examine firstMen who have BMI&gt; 29 may reduced fertility. avoiding increased scrotal temperature like wearing loose underwear, not to take hot bath and to avoid hot occupational environments. excessive alcohol consumption is detrimental to semen quality(NICE,2004). Jenkins et al 2003 said that smoker’s sperm concentration is on average 13-17% lower than non-smokers which is a concern for oligospermic men.
  • #8Ā female fertility declines with age. Fertility falls steeply beyond 40 years of female’s age(NICE, 2004)women who have BMI&gt;29 need to loose weight. Moderate weight loss may restore ovulation and improve pregnancy rates (Health Education Authority, 1996). limit their alcohol intake to one or two units once or twice per week so that the harm to the developing fetus can be reduced (Jensen et al 1998). Women who smoke should be advised to stop smoking as this improves her fertility and reduces the chances of miscarriage if she does conceive (RCOG, 1998). Genital tract infection with Chlamydia trachomatis is a major risk factor for subsequent tubal infertility (Winter and Ahmad, 1998)
  • #11Ā The second rule is: Spread ideas and move people.
  • #18Ā More than 5 free serum testosterone- must exclude adrenal androgen producing
  • #57 …global causes.
  • #58Ā Along the way we’ve discovered…