PÄRILIK
MUUTLIKKUS
Koostas: Kristel
Mäekask
PÄRILIKKUS
Organismide võime säilitada
ja paljunemisel järglastele
edasi anda tunnuste
kujunemise ja arenemise
iseärasusi.
Geenides oleva info
avaldumist mõjutab
keskkond.
MUUTLIKKUS
Organismi võime muutuda
ning seetõttu üksteisest
erineda.
Jaotatakse:
pärilik muutlikkus ehk
geneetiline
mittepärilik muutlikkus
ehk modifikatsiooniline
PÄRILIK MUUTLIKKUS
Pärilik muutlikkus pärandub järglastele, kuna mutatsioonid
on toimunud kas geenides või kromosoomides.
Jaotatakse:
• Kombinatiivne muutlikkus
• Mutatsioonid
Kombinatiivse muutlikkuse tõttu sarnanevad lapsed ühtede
tunnuste poolest rohkem emaga, teiste tunnuste poolest
rohkem isaga.
KOMBINATIIVNE MUUTLIKKUS
Vanemate geenialleelide ümberkombineerumine järglaste
genotüüpideks.
• kromosoomide ristsiire meioosis
• viljastumine
Retsessiivsed alleelid satuvad homosügootsesse seisundisse.
AHELDUNUD PÄRANDUMINE
Tunnused, mida määravad geenid
asuvad ühes kromosoomis lähestikku
päranduvad edasi aheldunult.
Koospärandumine on seda tõenäolisem,
mida lähemal geenid kromosoomis
üksteisele asuvad.
Morgan seostas osalise aheldatuse
ristsiirdega, mis toimub meioosi I
profaasis
Thomas Hunt Morgan
MUTATSIOONILINE MUUTLIKKUS
Muutused raku geneetilises materjalis. Jaotatakse:
Geenmutatsioonid - kahjustatud on üks geen - väiksed
muutused DNA nukleotiidses järjestuses
Kromosoommutatsioonid - kromosoomi struktuuri ja
pikkuse muutused (deletsioon; duplikatsioon;
translokatsioon; inversioon) või homoloogiliste
kromosoomide arvu muutused
MUTAGEENID
Mutatsioone põhjustavad mutageenid:
bioloogilised mutageenid - viirused,
bakterid, alkaloidid, hallitusseente toksiinid
keemilised mutageenid - mõned
ravimid, olmekeemia, ekstreemsed pH
väärtused, tugevatoimelised alused ja
happed
füüsikalised mutageenid - kiirgused:
radioaktiivne-, röntgen- ja UV - kiirgus
Mutatsioone põhjustavad ka
organismisisesed vead:
replikatsioonil – DNA
kahekordistumine
mitoosil
meioosil
GEENMUTATSIOONID
Nukleotiid on asendunud teise
nukleotiidiga.
Nukleotiid on kaduma läinud - deletsioon
Nukleotiid on juurde tulnud - insertsioon
GEENHAIGUSED
Geenmutatsioonist on põhjustatud albinism, hemofiilia,
hemokromatoos, kurttummus, Huntingtoni tantstõbi,
Marfani sündroom, tsüstiline fibroos, fenüülketonuuria.
Päriliku eelsoodumusega haigused nt diabeet,
kõrgvererõhutõbi, lühinägelikkus, Alzheimeri tõbi.
KROMOSOOMMUTATSIOONID
Deletsioon – geneetiline info läheb kaduma.
Duplikatsioon – geneetiline info kahekordistub
Inversioon – geneetiline info pöördub ümber
Insertsioon – geneetilise info lisandumine
Translokatsioon – geneetiline info paikneb ümber
Kromosoomide arvu muutus
Animatsioon kromosoommutatsioonide tekkeviisidest
http://highered.mcgraw-hill.com/sites/dl/free/0072835125/126997/animation9.html
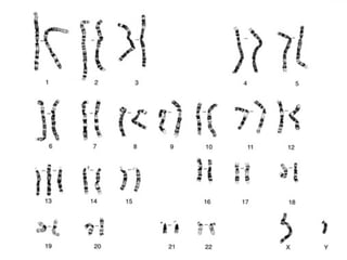
KROMOSOOMHAIGUSED
Kassikisa sündroom (Cri-du-chat)
Martin Bell’i sündroom (fragiilse X sündroom)
Wolf- Hirschhorn’i sündroom
Inimese autosoomide
trisoomiatest sünnib
peamiselt vaid kolm (+21,
+18, +13), Down’i,
Edwards’i ja Patau
sündroom
Ligi 2% sügootidest
arenevad väidetavalt
trisoomiaga, neis 96%
aborteerub.
AUTOSOOMNE TRISOOMIA
Sugukromosoomide arvu muutustest
põhjustatud haigused
Turner’i sündroom (X); Klienefelter’i sündroom (XXY);
X-trisoomia (XXX); Diplo-Y sündroom (XYY)
Klienefelter’i sündroom
PÄRILIKUD HAIGUSED
Lühike ülevaade sagedasematest pärilikest haigustest.
HUNTINGTONI TANTSTÕBI
Haigust kandev dominantne geen paikneb 4.
kromosoomis.
Esinemissagedus 1:10 000
Haiguse sümptomid ilmnevad tavaliselt 30-50
eluaastal ning nende hulka kuuluvad kiiresti
süvenev kontrolli kadumine oma kehaliigutuste
üle ja dementsus.
Huntingtoni tõbi on ravimatu ja lõpeb alati
patsiendi surmaga.
ALBINISM
Enamasti paikneb haigust põhjustav geen 11.
kromosoomis.
Esinemissagedus 1:17 000
Puudub pigment melaniin (kaitseb UV-kiirguse eest)
nahas, juustes ja/või silmades, mistõttu on neil sageli väga
hele nahk, valged juuksed ning karvad, helesinised või
helehallid silmad.
Tekivad nägemishäired.
Nahapõletused.
Albinism esineb kõikide inimrasside seas
TSÜSTILINE FIBROOS
Haigust kandev geen paikneb 7. kromosoomis.
Esinemissagedus Euroopas on 1:2000, Eestis 1:4500
vastsündinu kohta.
Eluiga on kusagil 30-40 aastat.
Haigus on retsessiivne.
Raseduse varases staadiumis on võimalik haiguse kindlaks
määramiseks teha biopsia (platsenta).
Tsüstilise fibroosi sümtomid:
Häired kopsude töös juba varasest lapseeast alates
Sarnased haigustunnused teistel lastel peres või
suguvõsas.
Sagedased kopsupõletikud
Pidev köha sitke rögaga
Hingamisteede ahenemise tunnused
Füüsiline alaareng lastel
Seedehäired kõhunäärme funktsioonihäiretest
FENÜÜLKETONUURIA
Haigust kandev geen paikneb 12. kromosoomis.
Esinemissagedus 1:20 000
Eestis sünnib 1-3 haiget last aastas. Kõiki vastsündinuid
uuritakse selle haiguse suhtes.
Aminohappe fenüülalaniin kuhjumine organismis.
Ravita põhjustab vaimset alaarengut.
Ravitakse spetsiaalse dieediga.
Haiguse kindlaks määramiseks on võimalik teha ka
looteuuring.
Kalasoomustõbi
MARTIN-BELL SÜNDROOM
Muutused X-kromosoomis.
Üks sagedamaid
kromosoomhaiguseid maailmas
18:10 000
Esineb põhiliselt meestel, sagedus
1:1500
Tunnused:
Vaimne mahajäämus, suurem pea,
kumer laup, tugev alalõug, suured
kõrvad, suurenenud munandid.
• Avaldub 30% naistel ja 80% meestel.
KASSIKISA SÜNDROOM
Muutus on toimunud 5ndas
kromosoomis
Esinemissagedus 1:45 000
Tunnused:
Vastsündinutel kassi näugumise
sarnane nutt (hääleaparaadi defektsus),
tugev vaimne mahajäämus,
nõrgenenud immuunsüsteem, väike
pea, kõõrdsilmsus, madalal asetsevad
kõrvad, varakult hallinevad juuksed.
WOLF-HIRSCHHORNI SÜNDROOM
Muutus on toimunud 4ndas kromosoomis.
Esineb harva, esinemissagedus 1:100 000, sagedamini
tüdrukutel.
Keskmine eluiga alla 1 kuu.
Tunnused:
Lootelise arengu mahajäämus,
näo anomaaliad,
südame ja neerude arenguhäired.
Patau sündroom
Esinemissagedus 1:120 000
45% sündinud lastest sureb 1. elukuul.
Vaid 5% elab 3. eluaastani
Tunnused:
Vaimne alaareng,
Kurtus,
Suulae- ja huulelõhe,
Aju arengu häired
Tihti ka lisasõrm või varvas
Edwardsi sündroom
Esinemissagedus 1: 6000
Umbes 10% elab 1 aastani
Tunnused:
Kasvu ja arengu mahajäämus
Väga väike sünnikaal ning loid vastsündinu
Madalal asetsevad kõrvad,
Lai ninaselg,
Väike alalõug ja suu
Lühikesed ning ebanormaalselt asetsevad sõrmed
Downi sündroom
Downi sündroomi on varem nimetatud ka
mongoloidne idiotism
Esinemissagedus 1:700
Sagedus kasvab sõltudes ema vanusest:
20-24 aastased 1:1600
25-29 aastased 1:1200
30-34 aastased 1:870
35-39 aastased 1:300
40-44 aastased 1:100
üle 45 aastased 1:50
Tunnused:
Vaimse, füüsilise ja sugulise arengu aeglustumine
IQ 20-60
Lühike eluiga (50% sureb enne 10. eluaastat)
Lame nägu,
kolmas silmalaug,
lame nina,
peopesas ahvivagu
Downi sündroomi on avastatud ka inimahvlastel
Triploidsus
Inimese puhul enamasti iseeneslik abort, esineb
peamiselt taimedel.
Sugukromosoomides toimunud
muutustest põhjustatud haigused
X-trisoomia ehk triplo-X-sündroom
Esinemissagedus naistel 1:1000
Põhjustatud rakujagunemise veast sugurakkude jagunemisel
Tunnused:
Pikka kasvu
Väike pea
Intellekt pisut alla keskmise
Kõnehäired, hiline kõneareng
Võivad kaasneda skisofreenia-taolised psühhoosid
Võib esineda suguelundite talitluse häireid
Diplo-Y-sündroom
Esinemissagedus meestel 1:1000
Tunnused:
Pikka kasvu
IQ alla keskmise (80-88)
lapsena väga aktiivsed
Tihti esineb agressiivset käitumist
Turneri sündroom
Esinemissagedus naistel 1:2500
Tunnused:
Lühikest kasvu
Tursunud käed ja jalad
laienenud kael, madal juuksepiir kaelal
Ebaharilik kõrvade suurus ja paiknemine
Sugutunnused vähearenenud, steriilsed
60% esineb neerutalitlushäireid
Täiskasvanuna intellektuaalne areng pidurdub
Klinefelteri sündroom
Esinemissagedus 1:1000
Tunnused:
Pikad jalad
Puberteedieas võivad areneda rinnad
Meessuguhormoonide alatalitlus (sugutunnuste alaareng)
Madal IQ (88-96), raskused lugemisega, kõnehäired
Endassesulgunud, passiivsed
Muutused sugulises käitumises
Tihti esinevad psüühilised häired
Kasutatud materjal:
• http://www.inimene.ee
• http://hcd2.bupa.co.uk/fact_sheets/Mosby_factsheets/Cystic_fibrosis.html
• http://users.rcn.com/jkimball.ma.ultranet/BiologyPages/M/Mutations.html
• http://www.tiscali.co.uk/reference/encyclopaedia/hutchinson/m0003494.html
• http://www.ygyh.org/pku/cause.htm
• http://en.wikipedia.org/wiki/Albinism
• http://albinism.med.umn.edu/facts.htm#whatis
• http://www.mrcophth.com/iriscases/albino11.JPG
• http://www.kumc.edu/hospital/huntingtons/genetics.html
• http://www.postimees.ee/120805/online_uudised/174028.php
• http://images1.clinicaltools.com//images/gene/ad_diagram_large.jpg
• http://www.ndsu.nodak.edu/instruct/mcclean/plsc431/popgen/popgen1.htm
• http://nhs.needham.k12.ma.us/cur/bio96_97/P5/Biome-Grasslands/ZEBRAS.JPG
• http://content.answers.com/main/content/wp/en/thumb/0/08/150px-Dna-split.png
• http://www.nature.com/jid/journal/v127/n2/images/5700721i1.jpg
• http://medgen.genetics.utah.edu/photographs/pages/fragile_x.htm
• http://www.ebc.ee/loengud/sirje/osa7.html
• http://mil.citrus.cc.ca.us/cat2courses/bio104/ChapterNotes/Chapter11notesLewis.htm
• http://www.chromodisorder.org/intro.htm
• http://learn.genetics.utah.edu/content/disorders/whataregd/cdc/images/cri-du-chat_diagram.gif
Kasutatud materjal:
• http://www.med.umich.edu/1libr/yourchild/xxxsyn.htm
• http://www.mc.edu/campus/users/rbuckley/randi.htm
• http://www.aaa.dk/TURNER/ENGELSK/INDEX.HTM
• http://fig.cox.miami.edu/~cmallery/150/mendel/KYturner.gif
• http://sunsite.wits.ac.za/saida/images/Turner%20Syndrome
%20Images/Figure%201.jpg
• http://www.agintheclass.com/CellBiology/images/DNA/Mutation/tris
omy21.jpg
• http://web.coehs.siu.edu/Grants/TRIS/images/NATALIA150.jpg
• http://www.carolguze.com/images/chromosomes/trisomy18-b&w.jpg
• http://www.houstontx.gov/hr/pulsepages/winter04/winter04_caregiver
1.htm
• http://www.smbs.buffalo.edu/pth600/IMC-Path/y1case/y1case10.htm
• http://commons.wikimedia.org/wiki/Image:Neck_Turner.JPG

Parilikmuutlikkus

  • 1.
  • 2.
    PÄRILIKKUS Organismide võime säilitada japaljunemisel järglastele edasi anda tunnuste kujunemise ja arenemise iseärasusi. Geenides oleva info avaldumist mõjutab keskkond.
  • 3.
    MUUTLIKKUS Organismi võime muutuda ningseetõttu üksteisest erineda. Jaotatakse: pärilik muutlikkus ehk geneetiline mittepärilik muutlikkus ehk modifikatsiooniline
  • 4.
    PÄRILIK MUUTLIKKUS Pärilik muutlikkuspärandub järglastele, kuna mutatsioonid on toimunud kas geenides või kromosoomides. Jaotatakse: • Kombinatiivne muutlikkus • Mutatsioonid Kombinatiivse muutlikkuse tõttu sarnanevad lapsed ühtede tunnuste poolest rohkem emaga, teiste tunnuste poolest rohkem isaga.
  • 5.
    KOMBINATIIVNE MUUTLIKKUS Vanemate geenialleelideümberkombineerumine järglaste genotüüpideks. • kromosoomide ristsiire meioosis • viljastumine Retsessiivsed alleelid satuvad homosügootsesse seisundisse.
  • 6.
    AHELDUNUD PÄRANDUMINE Tunnused, midamääravad geenid asuvad ühes kromosoomis lähestikku päranduvad edasi aheldunult. Koospärandumine on seda tõenäolisem, mida lähemal geenid kromosoomis üksteisele asuvad. Morgan seostas osalise aheldatuse ristsiirdega, mis toimub meioosi I profaasis Thomas Hunt Morgan
  • 7.
    MUTATSIOONILINE MUUTLIKKUS Muutused rakugeneetilises materjalis. Jaotatakse: Geenmutatsioonid - kahjustatud on üks geen - väiksed muutused DNA nukleotiidses järjestuses Kromosoommutatsioonid - kromosoomi struktuuri ja pikkuse muutused (deletsioon; duplikatsioon; translokatsioon; inversioon) või homoloogiliste kromosoomide arvu muutused
  • 8.
    MUTAGEENID Mutatsioone põhjustavad mutageenid: bioloogilisedmutageenid - viirused, bakterid, alkaloidid, hallitusseente toksiinid keemilised mutageenid - mõned ravimid, olmekeemia, ekstreemsed pH väärtused, tugevatoimelised alused ja happed füüsikalised mutageenid - kiirgused: radioaktiivne-, röntgen- ja UV - kiirgus
  • 9.
    Mutatsioone põhjustavad ka organismisisesedvead: replikatsioonil – DNA kahekordistumine mitoosil meioosil
  • 10.
    GEENMUTATSIOONID Nukleotiid on asendunudteise nukleotiidiga. Nukleotiid on kaduma läinud - deletsioon Nukleotiid on juurde tulnud - insertsioon
  • 11.
    GEENHAIGUSED Geenmutatsioonist on põhjustatudalbinism, hemofiilia, hemokromatoos, kurttummus, Huntingtoni tantstõbi, Marfani sündroom, tsüstiline fibroos, fenüülketonuuria. Päriliku eelsoodumusega haigused nt diabeet, kõrgvererõhutõbi, lühinägelikkus, Alzheimeri tõbi.
  • 12.
    KROMOSOOMMUTATSIOONID Deletsioon – geneetilineinfo läheb kaduma. Duplikatsioon – geneetiline info kahekordistub Inversioon – geneetiline info pöördub ümber Insertsioon – geneetilise info lisandumine Translokatsioon – geneetiline info paikneb ümber Kromosoomide arvu muutus Animatsioon kromosoommutatsioonide tekkeviisidest http://highered.mcgraw-hill.com/sites/dl/free/0072835125/126997/animation9.html
  • 13.
    KROMOSOOMHAIGUSED Kassikisa sündroom (Cri-du-chat) MartinBell’i sündroom (fragiilse X sündroom) Wolf- Hirschhorn’i sündroom
  • 14.
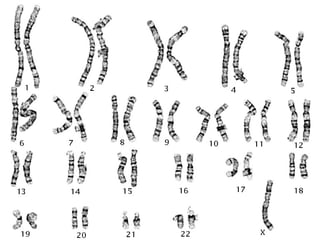
    Inimese autosoomide trisoomiatest sünnib peamiseltvaid kolm (+21, +18, +13), Down’i, Edwards’i ja Patau sündroom Ligi 2% sügootidest arenevad väidetavalt trisoomiaga, neis 96% aborteerub. AUTOSOOMNE TRISOOMIA
  • 15.
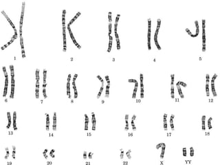
    Sugukromosoomide arvu muutustest põhjustatudhaigused Turner’i sündroom (X); Klienefelter’i sündroom (XXY); X-trisoomia (XXX); Diplo-Y sündroom (XYY) Klienefelter’i sündroom
  • 16.
    PÄRILIKUD HAIGUSED Lühike ülevaadesagedasematest pärilikest haigustest.
  • 17.
    HUNTINGTONI TANTSTÕBI Haigust kandevdominantne geen paikneb 4. kromosoomis. Esinemissagedus 1:10 000 Haiguse sümptomid ilmnevad tavaliselt 30-50 eluaastal ning nende hulka kuuluvad kiiresti süvenev kontrolli kadumine oma kehaliigutuste üle ja dementsus. Huntingtoni tõbi on ravimatu ja lõpeb alati patsiendi surmaga.
  • 18.
    ALBINISM Enamasti paikneb haigustpõhjustav geen 11. kromosoomis. Esinemissagedus 1:17 000 Puudub pigment melaniin (kaitseb UV-kiirguse eest) nahas, juustes ja/või silmades, mistõttu on neil sageli väga hele nahk, valged juuksed ning karvad, helesinised või helehallid silmad. Tekivad nägemishäired. Nahapõletused.
  • 19.
    Albinism esineb kõikideinimrasside seas
  • 20.
    TSÜSTILINE FIBROOS Haigust kandevgeen paikneb 7. kromosoomis. Esinemissagedus Euroopas on 1:2000, Eestis 1:4500 vastsündinu kohta. Eluiga on kusagil 30-40 aastat. Haigus on retsessiivne. Raseduse varases staadiumis on võimalik haiguse kindlaks määramiseks teha biopsia (platsenta).
  • 21.
    Tsüstilise fibroosi sümtomid: Häiredkopsude töös juba varasest lapseeast alates Sarnased haigustunnused teistel lastel peres või suguvõsas. Sagedased kopsupõletikud Pidev köha sitke rögaga Hingamisteede ahenemise tunnused Füüsiline alaareng lastel Seedehäired kõhunäärme funktsioonihäiretest
  • 22.
    FENÜÜLKETONUURIA Haigust kandev geenpaikneb 12. kromosoomis. Esinemissagedus 1:20 000 Eestis sünnib 1-3 haiget last aastas. Kõiki vastsündinuid uuritakse selle haiguse suhtes. Aminohappe fenüülalaniin kuhjumine organismis. Ravita põhjustab vaimset alaarengut. Ravitakse spetsiaalse dieediga. Haiguse kindlaks määramiseks on võimalik teha ka looteuuring.
  • 23.
  • 24.
    MARTIN-BELL SÜNDROOM Muutused X-kromosoomis. Ükssagedamaid kromosoomhaiguseid maailmas 18:10 000 Esineb põhiliselt meestel, sagedus 1:1500 Tunnused: Vaimne mahajäämus, suurem pea, kumer laup, tugev alalõug, suured kõrvad, suurenenud munandid. • Avaldub 30% naistel ja 80% meestel.
  • 25.
    KASSIKISA SÜNDROOM Muutus ontoimunud 5ndas kromosoomis Esinemissagedus 1:45 000 Tunnused: Vastsündinutel kassi näugumise sarnane nutt (hääleaparaadi defektsus), tugev vaimne mahajäämus, nõrgenenud immuunsüsteem, väike pea, kõõrdsilmsus, madalal asetsevad kõrvad, varakult hallinevad juuksed.
  • 26.
    WOLF-HIRSCHHORNI SÜNDROOM Muutus ontoimunud 4ndas kromosoomis. Esineb harva, esinemissagedus 1:100 000, sagedamini tüdrukutel. Keskmine eluiga alla 1 kuu. Tunnused: Lootelise arengu mahajäämus, näo anomaaliad, südame ja neerude arenguhäired.
  • 28.
    Patau sündroom Esinemissagedus 1:120000 45% sündinud lastest sureb 1. elukuul. Vaid 5% elab 3. eluaastani Tunnused: Vaimne alaareng, Kurtus, Suulae- ja huulelõhe, Aju arengu häired Tihti ka lisasõrm või varvas
  • 31.
    Edwardsi sündroom Esinemissagedus 1:6000 Umbes 10% elab 1 aastani Tunnused: Kasvu ja arengu mahajäämus Väga väike sünnikaal ning loid vastsündinu Madalal asetsevad kõrvad, Lai ninaselg, Väike alalõug ja suu Lühikesed ning ebanormaalselt asetsevad sõrmed
  • 35.
    Downi sündroom Downi sündroomion varem nimetatud ka mongoloidne idiotism Esinemissagedus 1:700 Sagedus kasvab sõltudes ema vanusest: 20-24 aastased 1:1600 25-29 aastased 1:1200 30-34 aastased 1:870 35-39 aastased 1:300 40-44 aastased 1:100 üle 45 aastased 1:50
  • 36.
    Tunnused: Vaimse, füüsilise jasugulise arengu aeglustumine IQ 20-60 Lühike eluiga (50% sureb enne 10. eluaastat) Lame nägu, kolmas silmalaug, lame nina, peopesas ahvivagu Downi sündroomi on avastatud ka inimahvlastel
  • 39.
    Triploidsus Inimese puhul enamastiiseeneslik abort, esineb peamiselt taimedel.
  • 40.
  • 42.
    X-trisoomia ehk triplo-X-sündroom Esinemissagedusnaistel 1:1000 Põhjustatud rakujagunemise veast sugurakkude jagunemisel Tunnused: Pikka kasvu Väike pea Intellekt pisut alla keskmise Kõnehäired, hiline kõneareng Võivad kaasneda skisofreenia-taolised psühhoosid Võib esineda suguelundite talitluse häireid
  • 44.
    Diplo-Y-sündroom Esinemissagedus meestel 1:1000 Tunnused: Pikkakasvu IQ alla keskmise (80-88) lapsena väga aktiivsed Tihti esineb agressiivset käitumist
  • 46.
    Turneri sündroom Esinemissagedus naistel1:2500 Tunnused: Lühikest kasvu Tursunud käed ja jalad laienenud kael, madal juuksepiir kaelal Ebaharilik kõrvade suurus ja paiknemine Sugutunnused vähearenenud, steriilsed 60% esineb neerutalitlushäireid Täiskasvanuna intellektuaalne areng pidurdub
  • 49.
    Klinefelteri sündroom Esinemissagedus 1:1000 Tunnused: Pikadjalad Puberteedieas võivad areneda rinnad Meessuguhormoonide alatalitlus (sugutunnuste alaareng) Madal IQ (88-96), raskused lugemisega, kõnehäired Endassesulgunud, passiivsed Muutused sugulises käitumises Tihti esinevad psüühilised häired
  • 50.
    Kasutatud materjal: • http://www.inimene.ee •http://hcd2.bupa.co.uk/fact_sheets/Mosby_factsheets/Cystic_fibrosis.html • http://users.rcn.com/jkimball.ma.ultranet/BiologyPages/M/Mutations.html • http://www.tiscali.co.uk/reference/encyclopaedia/hutchinson/m0003494.html • http://www.ygyh.org/pku/cause.htm • http://en.wikipedia.org/wiki/Albinism • http://albinism.med.umn.edu/facts.htm#whatis • http://www.mrcophth.com/iriscases/albino11.JPG • http://www.kumc.edu/hospital/huntingtons/genetics.html • http://www.postimees.ee/120805/online_uudised/174028.php • http://images1.clinicaltools.com//images/gene/ad_diagram_large.jpg • http://www.ndsu.nodak.edu/instruct/mcclean/plsc431/popgen/popgen1.htm • http://nhs.needham.k12.ma.us/cur/bio96_97/P5/Biome-Grasslands/ZEBRAS.JPG • http://content.answers.com/main/content/wp/en/thumb/0/08/150px-Dna-split.png • http://www.nature.com/jid/journal/v127/n2/images/5700721i1.jpg • http://medgen.genetics.utah.edu/photographs/pages/fragile_x.htm • http://www.ebc.ee/loengud/sirje/osa7.html • http://mil.citrus.cc.ca.us/cat2courses/bio104/ChapterNotes/Chapter11notesLewis.htm • http://www.chromodisorder.org/intro.htm • http://learn.genetics.utah.edu/content/disorders/whataregd/cdc/images/cri-du-chat_diagram.gif
  • 51.
    Kasutatud materjal: • http://www.med.umich.edu/1libr/yourchild/xxxsyn.htm •http://www.mc.edu/campus/users/rbuckley/randi.htm • http://www.aaa.dk/TURNER/ENGELSK/INDEX.HTM • http://fig.cox.miami.edu/~cmallery/150/mendel/KYturner.gif • http://sunsite.wits.ac.za/saida/images/Turner%20Syndrome %20Images/Figure%201.jpg • http://www.agintheclass.com/CellBiology/images/DNA/Mutation/tris omy21.jpg • http://web.coehs.siu.edu/Grants/TRIS/images/NATALIA150.jpg • http://www.carolguze.com/images/chromosomes/trisomy18-b&w.jpg • http://www.houstontx.gov/hr/pulsepages/winter04/winter04_caregiver 1.htm • http://www.smbs.buffalo.edu/pth600/IMC-Path/y1case/y1case10.htm • http://commons.wikimedia.org/wiki/Image:Neck_Turner.JPG