PANCREATIC
NEOPLASMS
Dr.Rami Al Amawi , MD
Histopathologist , JMOH
TABLE OF CONTENTS
Ductal
Adenocarcinoma
Acinar Cell Tumors
Cystic Pancreatic
Neoplasms
PanNET
Pancreatoblastoma
05
Intraductal Neoplasms
03
Solid–Pseudopapillary
Tumor
06
01
04
02
07
Ductal
Adenocarcinoma
01
 90% of all cases of pancreatic malignancy
 Elderly
 Slight male preponderance (1.6 : 1 ratio)
 Back pain, weight loss, malaise, jaundice, diabetes mellitus &
Trousseau sign (migratory thrombophlebitis)
 10% of pancreatic cancers inherited component
(1) hereditary breast and ovarian (BRCA2)
(2) familial atypical multiple mole melanoma syndrome
(3) Peutz–Jeghers syndrome (STK11/LKB1)
(4) hereditary nonpolyposis colorectal cancer
(5) hereditary pancreatitis (PRSS1)
 Head of the pancreas: 60 - 70% ;
body : 5 - 15%; tail: 10 - 15% .
 Grossly : White gray, sclerotic, poorly defined
mass .
 Microscopically, typical pancreatic ductal adenocarcinomas consist of infiltrating, haphazard
glands and ducts with surrounding desmoplastic stroma .
 Perineurial invasion in 90% of the cases .
 The presence of ducts surrounded by adipose tissue without intervening acini (“naked ducts”) are
also highly indicative of malignancy .
 Features useful in diagnosing carcinoma within small biopsy specimens include glands present
outside the normal lobular architecture; the presence of glands immediately adjacent to muscular
arteries and necrotic debris within gland lumens .
 WHO variants: Adenosquamous carcinoma and squamous cell carcinoma // Colloid carcinoma
Hepatoid carcinoma // Medullary carcinoma // Invasive micropapillary carcinoma // Signet ring
cell (poorly cohesive cell) carcinoma // Undifferentiated carcinoma (anaplastic, sarcomatoid,
carcinosarcoma) // Undifferentiated carcinoma with osteoclast-like giant cells .
markednuclearpleomorphism, variationin nuclearsize, lossof
polarity, prominentnucleoli, and mitoticactivity
Low-grade PanIN characterized by tall columnar
mucinous epithelium without nuclear atypia
High-grade PanIN features architectural complexity and
marked nuclear atypia
 The tumor cells express MUC1, MUC3, MUC4 , MUC5AC & p53
Cystic
Pancreatic
Neoplasms
02
Serous cystadenoma
 Mean age: 58
 F:M = 3:1
 Frequently occurs sporadically but rarely arises in (VHL)
syndrome
 Serous cystic tumors have been seen in pancreas harboring
ductal adenocarcinoma, neuroendocrine tumors (NETs), or
IPMN .
Grossly as a large multiloculated mass ,
the individual cystic cavities being small
and filled with a clear (“serous”) fluid with
spongy appearance of the cut surface
mostly in the pancreatic body / tail regions
.
 Multiple cystic spaces lined by a simple
cuboidal to flattened epithelium with round,
uniform nuclei and clear cytoplasm.
 Significant nuclear atypia or mitotic activity
absent .
 There is some acellular fibrous tissue with
a variable degree of hyalinization and
edematous change in the stroma.
 Immunohistochemically, there is reactivity for EMA, low-molecular-
weight and broad-spectrum keratins alpha-inhibin, MUC6, and
calponin.
 The fluid contained in the cyst lumens has a low CEA level .
Mucinous Cystic Neoplasms
 Mean age: 40
 Predominate in women.
Grossly as a large multilocular or, in rare
cases,unilocular cystic neoplasms with
smooth internal surfaces that may contain
papillary projections , not communicate
with ductal system, has mucoid / watery
cyst contents , mostly in the pancreatic
body / tail regions .
 Large cyst lined by intestinal,
pseudopyloric or gastric foveolar type
epithelium that often form papillae,
surrounded by characteristic dense
ovarian type stroma.
 Epithelial lining has variable atypia (none,
low grade, high grade)
 Invasive adenocarcinoma may or may not
be present; must sample extensively to
rule out an invasive component.
high grade
invasive
 The cells of MCN express EMA, SOX9, and cytokeratins 7, 8, 18,
and 19, as well as CK10 and CK20 .
 The majority of MCN with a component of invasive adenocarcinoma
express EGFR and Her2/neu .
 The fluid contained in the cyst lumens has higher levels of CEA .
Intraductal
Neoplasms
03
Intraductal papillary mucinous neoplasm
 Mean age: 58
 F:M = 3:1
 Peutz-Jeghers syndrome (autosomal dominant inherited
syndrome, mutations in STK11 / LKB1I) associated with
IPMN .
Grossly it may involve any part of the
ductal system. The tumor may involve the
main pancreatic duct, branch ducts, or
both which become dilated, tortuous and
irregular, filled with mucin , mostly in the
pancreatic head regions .
 Mucin producing epithelial cells with varied
degrees of dysplasia (none, low grade,
high grade) .
 No ovarian type stroma.
 Invasive adenocarcinoma may or may not
be present; must sample extensively to
rule out an invasive component.
high grade + invasive
 The cells of IPMN express CK7, CK19, CA 19-9, B72.3 and CEA,
 The fluid contained in lumens has higher levels of CEA .
 Intraductal tubulopapillary neoplasms (ITPNs):
* These are solid, fleshy intraductal masses involving the head of the pancreas.
* The tumors consist of densely packed tubular glands , occasionally there is formation of
papillary structures , with some degree of nuclear atypia .
* There is no mucin production .
* Immunohistochemically , positive for MUC1 and MUC6 but negative for MUC5AC and
MUC2.
 Intraductal tubular pyloric gland–type adenoma :
* It can be sessile or pedunculated , occurs in the main pancreatic duct .
* The tumors consist of lobules of closely packed tubular glands resembling pyloric glands.
* Immunohistochemically, CK7+/CK20– and express MUC5AC .
ITPNs
Intraductal pyloric adenoma
Acinar Cell
Tumors
04
Acinar cell carcinoma
Clinical  Usually in adults , 15% of patients present with widespread subcutaneous fat
necrosis, eosinophilia, and arthralgia, as a result of the secretion of lipase by the tumor.
Gross  Presents grossly as a relatively well circumscribed fleshy mass with variably
present hemorrhage, cystic degeneration, and necrosis .
Microscopically The pattern of growth may be solid, trabecular, glandular, or papillary ,
Stroma is typically not prominent. The cytoplasm abundant, eosinophilic, and granular .
Ancillary  PAS-positive, diastase-resistant cytoplasmic zymogen granules may be present
, with immunoreactivity for trypsin, chymotrypsin, lipase, and amylase, as well as BCL10 .
Molecular  At the molecular genetic level, acinar cell carcinomas show mutations in the
APC/β-catenin pathway in about 20% of tumors.
Acinar cell cystadenoma : Unicystic or multicystic lesion lined by well
differentiated acinar cells, usually not connected with the pancreatic ductal
system.
Acinar cell cystadenocarcinoma : Large multilocular cystic tumors with greater
degree of cytologic atypia than acinar cell cystadenoma and manifest malignant
behavior such as invasion and metastases.
Mixed acinar–neuroendocrinecarcinoma (NEC) : More than 25% of cells have
neuroendocrine differentiation by morphology and/or immunohistochemistry .
Mixed acinar–ductal carcinomas : The ductal component should comprise at
least 25% of the tumor.
Pancreatoblastoma
05
 The most common form of pancreatic neoplasia in childhood
, but it can also occur in adults with slight male
predominance.
 Associated with Beckwith-Wiedemann syndrome, familial
adenomatous polyposis with mutations in the β-catenin
(CTNNB1) or APC gene.
 Partial encapsulation very cellular tumors,
often lobular at low power, and made up of
solid sheets and acini of uniform cells.
 Squamoid nests or corpuscles are a
constant and characteristic finding with
optically clear nuclei, apparently due to the
accumulation of biotin.
 The stroma may be abundant and
occasionally hypercellular, and there may
be heterologous cartilage or bone.
Neuroendocrine components, ductal
components, and/or a primitive small
round blue cell component may be present
Acinar differentiation Squamoid nests
Neuroendocrine component Primitive component
 Immunohistochemically, these tumors show evidence of acinar
(pancreatic enzymes), endocrine (synaptophysin and chromogranin),
and ductal (CK7 and CK19) differentiation , squamoid corpuscles have
a characteristic phenotype: they are CK8/CK18/CK19/EMA positive
and CK7 negative.
 AFP may be produced by the tumor, in keeping with its primitive
nature.
Solid pseudopapillary
tumor (SPPT)
06
* Young women
* Grossly, tumors are usually large and
solitary , cross section range from solid to
almost entirely cystic, and often there are
areas of hemorrhage and necrosis
 Tumors are heterogeneous, with variable
admixture of solid and pseudopapillary
areas , pseudopapillae are formed due to
tumor cells getting detached from blood
vessels .
 Stroma usually shows various degrees of
hyalinization or evidence of degeneration,
such as hemorrhage, foamy macrophages,
calcification and cholesterol clefts .
 Positive stains
Beta catenin (98%): aberrant nuclear expression
Alpha-1-antichymotrypsin (95%), alpha-1-antitrypsin (82%)
Cyclin D1
CD10 (63%)
SOX11 (100%)
CD56 (96%), neuron specific enolase (70%), synaptophysin (55%)
CD99 (dot-like)
 Molecular / cytogenetics description
- Point mutation in exon 3 of β catenin gene (CTNNB1) is present in > 90% .
- Rarely, mutations in APC gene .
PanNETs
07
 Most occur in adults .
 Several syndromes are associated with PanNET, including
the multiple endocrine neoplasia (MEN) syndromes, VHL
disease, neurofibromatosis type 1, and tuberous sclerosis .
 Insulinoma :
• Most common .
• Whipple triad: symptoms of hypoglycemia, low plasma glucose, relief with glucose administration.
• Solitary tumor < 2 cm
• 5 - 10% MEN1 and are usually multiple
• Generally indolent
 Gastrinoma :
• Second most common functioning pancreatic neuroendocrine tumor .
• Sporadic gastrinomas associated with the Zollinger–Ellison syndrome are nearly always solitary,
located in either the pancreas (slightly more often) or the duodenal wall, and often clinically malignant
• Gastrinomas presented as acomponent of MEN 1 (~20%) tend to be multicentric, are usually
located in the duodenal wall (and very rarely in the pancreas), and are less likely to be clinically
malignant.
 Glucagonomas :
• 4 Ds: diabetes, dermatitis (necrolytic migratory erythema), deep vein thrombosis, depression .
• Those associated with the glucagonoma syndrome are usually solitary and large and have a high
incidence of malignancy.
• Those not associated with the glucagonoma syndrome; they have been reported as multiple and
small, and unlike their syndromic counterparts, are nearly always benign.
VIPoma :
•Verner-Morrison syndrome: watery diarrhea, hypokalemia, achlorhydria /hypochlorhydria
•Solitary, large
•Tail > head
Somatostatinoma:
•Diabetes mellitus, diarrhea or steatorrhea, anemia, malabsorption, cholelithiasis
•Very rare
•Solitary, large
•> 50% have metastasis at presentation
* Grossly, they are usually solitary,
homogeneous masses that lack a well-
defined capsule , the cut surface ranging
from tan yellow to red. Some tumors
contain hemorrhage or necrotic foci .
 Microscopically, these tumors are usually composed
of small, relatively uniform cuboidal cells with
centrally located nuclei and acidophilic or
amphophilic, finely granular cytoplasm
 Architectural growth patterns include solid nests,
trabecular patterns, and rosettes .
 * Clear cell PanNETs which are associated with
VHL syndrome
* Psammoma bodies often associated with
somatostatinomas
* Amyloid may be encountered in PanNETs,
particularly in insulin secreting neoplasms .
Clear cell
Psammoma bodies
Amyloid
Immunohistochemically :
Synaptophysin and chromogranin A may be useful in confirming the
diagnosis383; CD56 and NSE may also be expressed but are less specific.
Grading :
-G1 (mitoses <2/10HPF and Ki67 index <3%) / well differentiated
-G2 (mitoses 2–20/10/HPF or Ki67 index 3%–20%) / well differentiated
-G3 tumors (mitoses >20/10HPF or Ki67 index >20%) / poorly differentiated
THANKS!

PANCREATIC NEOPLASM HISTOPATHOLOGY .pptx

  • 1.
    PANCREATIC NEOPLASMS Dr.Rami Al Amawi, MD Histopathologist , JMOH
  • 2.
    TABLE OF CONTENTS Ductal Adenocarcinoma AcinarCell Tumors Cystic Pancreatic Neoplasms PanNET Pancreatoblastoma 05 Intraductal Neoplasms 03 Solid–Pseudopapillary Tumor 06 01 04 02 07
  • 3.
  • 4.
     90% ofall cases of pancreatic malignancy  Elderly  Slight male preponderance (1.6 : 1 ratio)  Back pain, weight loss, malaise, jaundice, diabetes mellitus & Trousseau sign (migratory thrombophlebitis)  10% of pancreatic cancers inherited component (1) hereditary breast and ovarian (BRCA2) (2) familial atypical multiple mole melanoma syndrome (3) Peutz–Jeghers syndrome (STK11/LKB1) (4) hereditary nonpolyposis colorectal cancer (5) hereditary pancreatitis (PRSS1)
  • 5.
     Head ofthe pancreas: 60 - 70% ; body : 5 - 15%; tail: 10 - 15% .  Grossly : White gray, sclerotic, poorly defined mass .
  • 6.
     Microscopically, typicalpancreatic ductal adenocarcinomas consist of infiltrating, haphazard glands and ducts with surrounding desmoplastic stroma .  Perineurial invasion in 90% of the cases .  The presence of ducts surrounded by adipose tissue without intervening acini (“naked ducts”) are also highly indicative of malignancy .  Features useful in diagnosing carcinoma within small biopsy specimens include glands present outside the normal lobular architecture; the presence of glands immediately adjacent to muscular arteries and necrotic debris within gland lumens .  WHO variants: Adenosquamous carcinoma and squamous cell carcinoma // Colloid carcinoma Hepatoid carcinoma // Medullary carcinoma // Invasive micropapillary carcinoma // Signet ring cell (poorly cohesive cell) carcinoma // Undifferentiated carcinoma (anaplastic, sarcomatoid, carcinosarcoma) // Undifferentiated carcinoma with osteoclast-like giant cells .
  • 7.
    markednuclearpleomorphism, variationin nuclearsize,lossof polarity, prominentnucleoli, and mitoticactivity
  • 8.
    Low-grade PanIN characterizedby tall columnar mucinous epithelium without nuclear atypia High-grade PanIN features architectural complexity and marked nuclear atypia
  • 9.
     The tumorcells express MUC1, MUC3, MUC4 , MUC5AC & p53
  • 10.
  • 11.
    Serous cystadenoma  Meanage: 58  F:M = 3:1  Frequently occurs sporadically but rarely arises in (VHL) syndrome  Serous cystic tumors have been seen in pancreas harboring ductal adenocarcinoma, neuroendocrine tumors (NETs), or IPMN .
  • 12.
    Grossly as alarge multiloculated mass , the individual cystic cavities being small and filled with a clear (“serous”) fluid with spongy appearance of the cut surface mostly in the pancreatic body / tail regions .
  • 13.
     Multiple cysticspaces lined by a simple cuboidal to flattened epithelium with round, uniform nuclei and clear cytoplasm.  Significant nuclear atypia or mitotic activity absent .  There is some acellular fibrous tissue with a variable degree of hyalinization and edematous change in the stroma.
  • 15.
     Immunohistochemically, thereis reactivity for EMA, low-molecular- weight and broad-spectrum keratins alpha-inhibin, MUC6, and calponin.  The fluid contained in the cyst lumens has a low CEA level .
  • 16.
    Mucinous Cystic Neoplasms Mean age: 40  Predominate in women.
  • 17.
    Grossly as alarge multilocular or, in rare cases,unilocular cystic neoplasms with smooth internal surfaces that may contain papillary projections , not communicate with ductal system, has mucoid / watery cyst contents , mostly in the pancreatic body / tail regions .
  • 18.
     Large cystlined by intestinal, pseudopyloric or gastric foveolar type epithelium that often form papillae, surrounded by characteristic dense ovarian type stroma.  Epithelial lining has variable atypia (none, low grade, high grade)  Invasive adenocarcinoma may or may not be present; must sample extensively to rule out an invasive component.
  • 20.
  • 21.
  • 22.
     The cellsof MCN express EMA, SOX9, and cytokeratins 7, 8, 18, and 19, as well as CK10 and CK20 .  The majority of MCN with a component of invasive adenocarcinoma express EGFR and Her2/neu .  The fluid contained in the cyst lumens has higher levels of CEA .
  • 23.
  • 24.
    Intraductal papillary mucinousneoplasm  Mean age: 58  F:M = 3:1  Peutz-Jeghers syndrome (autosomal dominant inherited syndrome, mutations in STK11 / LKB1I) associated with IPMN .
  • 25.
    Grossly it mayinvolve any part of the ductal system. The tumor may involve the main pancreatic duct, branch ducts, or both which become dilated, tortuous and irregular, filled with mucin , mostly in the pancreatic head regions .
  • 26.
     Mucin producingepithelial cells with varied degrees of dysplasia (none, low grade, high grade) .  No ovarian type stroma.  Invasive adenocarcinoma may or may not be present; must sample extensively to rule out an invasive component.
  • 27.
    high grade +invasive
  • 28.
     The cellsof IPMN express CK7, CK19, CA 19-9, B72.3 and CEA,  The fluid contained in lumens has higher levels of CEA .
  • 29.
     Intraductal tubulopapillaryneoplasms (ITPNs): * These are solid, fleshy intraductal masses involving the head of the pancreas. * The tumors consist of densely packed tubular glands , occasionally there is formation of papillary structures , with some degree of nuclear atypia . * There is no mucin production . * Immunohistochemically , positive for MUC1 and MUC6 but negative for MUC5AC and MUC2.  Intraductal tubular pyloric gland–type adenoma : * It can be sessile or pedunculated , occurs in the main pancreatic duct . * The tumors consist of lobules of closely packed tubular glands resembling pyloric glands. * Immunohistochemically, CK7+/CK20– and express MUC5AC .
  • 30.
  • 31.
  • 32.
    Acinar cell carcinoma Clinical Usually in adults , 15% of patients present with widespread subcutaneous fat necrosis, eosinophilia, and arthralgia, as a result of the secretion of lipase by the tumor. Gross  Presents grossly as a relatively well circumscribed fleshy mass with variably present hemorrhage, cystic degeneration, and necrosis . Microscopically The pattern of growth may be solid, trabecular, glandular, or papillary , Stroma is typically not prominent. The cytoplasm abundant, eosinophilic, and granular . Ancillary  PAS-positive, diastase-resistant cytoplasmic zymogen granules may be present , with immunoreactivity for trypsin, chymotrypsin, lipase, and amylase, as well as BCL10 . Molecular  At the molecular genetic level, acinar cell carcinomas show mutations in the APC/β-catenin pathway in about 20% of tumors.
  • 34.
    Acinar cell cystadenoma: Unicystic or multicystic lesion lined by well differentiated acinar cells, usually not connected with the pancreatic ductal system. Acinar cell cystadenocarcinoma : Large multilocular cystic tumors with greater degree of cytologic atypia than acinar cell cystadenoma and manifest malignant behavior such as invasion and metastases. Mixed acinar–neuroendocrinecarcinoma (NEC) : More than 25% of cells have neuroendocrine differentiation by morphology and/or immunohistochemistry . Mixed acinar–ductal carcinomas : The ductal component should comprise at least 25% of the tumor.
  • 35.
  • 36.
     The mostcommon form of pancreatic neoplasia in childhood , but it can also occur in adults with slight male predominance.  Associated with Beckwith-Wiedemann syndrome, familial adenomatous polyposis with mutations in the β-catenin (CTNNB1) or APC gene.
  • 37.
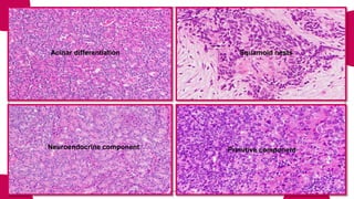
     Partial encapsulationvery cellular tumors, often lobular at low power, and made up of solid sheets and acini of uniform cells.  Squamoid nests or corpuscles are a constant and characteristic finding with optically clear nuclei, apparently due to the accumulation of biotin.  The stroma may be abundant and occasionally hypercellular, and there may be heterologous cartilage or bone. Neuroendocrine components, ductal components, and/or a primitive small round blue cell component may be present
  • 38.
    Acinar differentiation Squamoidnests Neuroendocrine component Primitive component
  • 39.
     Immunohistochemically, thesetumors show evidence of acinar (pancreatic enzymes), endocrine (synaptophysin and chromogranin), and ductal (CK7 and CK19) differentiation , squamoid corpuscles have a characteristic phenotype: they are CK8/CK18/CK19/EMA positive and CK7 negative.  AFP may be produced by the tumor, in keeping with its primitive nature.
  • 40.
  • 41.
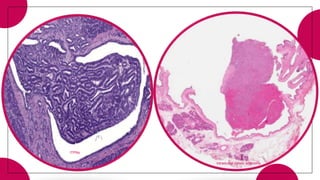
    * Young women *Grossly, tumors are usually large and solitary , cross section range from solid to almost entirely cystic, and often there are areas of hemorrhage and necrosis
  • 42.
     Tumors areheterogeneous, with variable admixture of solid and pseudopapillary areas , pseudopapillae are formed due to tumor cells getting detached from blood vessels .  Stroma usually shows various degrees of hyalinization or evidence of degeneration, such as hemorrhage, foamy macrophages, calcification and cholesterol clefts .
  • 43.
     Positive stains Betacatenin (98%): aberrant nuclear expression Alpha-1-antichymotrypsin (95%), alpha-1-antitrypsin (82%) Cyclin D1 CD10 (63%) SOX11 (100%) CD56 (96%), neuron specific enolase (70%), synaptophysin (55%) CD99 (dot-like)  Molecular / cytogenetics description - Point mutation in exon 3 of β catenin gene (CTNNB1) is present in > 90% . - Rarely, mutations in APC gene .
  • 44.
  • 45.
     Most occurin adults .  Several syndromes are associated with PanNET, including the multiple endocrine neoplasia (MEN) syndromes, VHL disease, neurofibromatosis type 1, and tuberous sclerosis .
  • 46.
     Insulinoma : •Most common . • Whipple triad: symptoms of hypoglycemia, low plasma glucose, relief with glucose administration. • Solitary tumor < 2 cm • 5 - 10% MEN1 and are usually multiple • Generally indolent  Gastrinoma : • Second most common functioning pancreatic neuroendocrine tumor . • Sporadic gastrinomas associated with the Zollinger–Ellison syndrome are nearly always solitary, located in either the pancreas (slightly more often) or the duodenal wall, and often clinically malignant • Gastrinomas presented as acomponent of MEN 1 (~20%) tend to be multicentric, are usually located in the duodenal wall (and very rarely in the pancreas), and are less likely to be clinically malignant.  Glucagonomas : • 4 Ds: diabetes, dermatitis (necrolytic migratory erythema), deep vein thrombosis, depression . • Those associated with the glucagonoma syndrome are usually solitary and large and have a high incidence of malignancy. • Those not associated with the glucagonoma syndrome; they have been reported as multiple and small, and unlike their syndromic counterparts, are nearly always benign.
  • 47.
    VIPoma : •Verner-Morrison syndrome:watery diarrhea, hypokalemia, achlorhydria /hypochlorhydria •Solitary, large •Tail > head Somatostatinoma: •Diabetes mellitus, diarrhea or steatorrhea, anemia, malabsorption, cholelithiasis •Very rare •Solitary, large •> 50% have metastasis at presentation
  • 48.
    * Grossly, theyare usually solitary, homogeneous masses that lack a well- defined capsule , the cut surface ranging from tan yellow to red. Some tumors contain hemorrhage or necrotic foci .
  • 49.
     Microscopically, thesetumors are usually composed of small, relatively uniform cuboidal cells with centrally located nuclei and acidophilic or amphophilic, finely granular cytoplasm  Architectural growth patterns include solid nests, trabecular patterns, and rosettes .  * Clear cell PanNETs which are associated with VHL syndrome * Psammoma bodies often associated with somatostatinomas * Amyloid may be encountered in PanNETs, particularly in insulin secreting neoplasms .
  • 50.
  • 51.
    Immunohistochemically : Synaptophysin andchromogranin A may be useful in confirming the diagnosis383; CD56 and NSE may also be expressed but are less specific. Grading : -G1 (mitoses <2/10HPF and Ki67 index <3%) / well differentiated -G2 (mitoses 2–20/10/HPF or Ki67 index 3%–20%) / well differentiated -G3 tumors (mitoses >20/10HPF or Ki67 index >20%) / poorly differentiated
  • 52.