PRESENTED BY: 
MD. ISHTIAQ HASAN 
FCPS-II TRAINEE, 
DEPT. OF ORTHODONTICS, 
DDCH 
SUPERVISOR: 
PROF. DR. MD. ZAKIR HOSSAIN 
BDS, PHD(JAPAN) 
PROF. & HEAD, 
DEPT. OF ORTHODONTICS, 
DDCH.
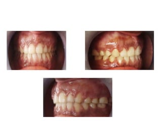
PT NAME: FATEMA 
AGE: 24 YRS
LEFT AND RIGHT PROFILE VIEW
CHIEF COMPLAIN: 
SPACING IN UPPER & 
LOW JAW
MODEL ANALYSIS 
UPPERJAW : 12 mm SPACING 
LOWERJAW: 10 mm SPACING
DIAGNOSIS 
• It is a case of ant. open bite with spacing 
in upper and lower jaw .
TREATMENT PLAN 
APPROXIMATE 12 12 
12 12 
THEN ?
ARCH 
CONTRACTION 
OR 
PROSTHESIS ?
NASO-LABIAL ANGLE 
For each mm of incisor retraction, 1.6 ° increase of naso-labial angle. 
94° 
Normal=102 +/- 8°
LABIO-MENTAL ANGLE 
123° 
Normal=122+/- 11.7°
The lips will move two-thirds of the 
distance that the incisors are retracted , i.e. 
, 3 mm of incisor retraction will reduce lip 
protrusion by 2 mm , but only until 
competence is reached. Beyond that 
point , further retraction of the incisors 
will not further reduce lip prominence. 
---------- PROFFIT
1 mm of lower incisor retraction resulting in 
1 mm of lower lip retraction and on 
average, 3 mm of upper incisor retraction 
is needed for 1 mm of upper lip retraction. 
--------BURSTONE
LETS TAKE A LOOK WHAT OTHER 
BOOKS TELL US ABOUT THIS 
TREATMENT PLAN
OVERJET REDUCTION
The following four dental and skeletal non-surgical 
changes are responsible for overjet reduction---- 
Mesial movement of lower incisors 
Distal movement of upper incisors 
Distalizing or limiting forward growth of maxilla 
Mesial movement of mandible by---(a)forward 
mandibular growth or (b) limiting vertical 
development 
The first two changes involve dental tooth movement , while the last 
two involve skeletal changes. In adult , non-growing patients , such 
skeletal changes must be carried out surgically.
Overjet reduction from mesial 
movement of lower incisors. 
Overjet reduction from distal 
movement of upper incisors.
Overjet reduction from mesial 
movement of mandible 
resulting from condylar 
growth. 
Overjet reduction from distalizing 
or limiting forward growth of 
maxilla.
Overjet reduction from mesial movement of 
mandible by limiting development.
Mesial movement of lower incisors 
The end treatment position of lower incisors is 
important for several reasons ---- 
If lower incisors are too far back , then there is a 
tendency to a retrognathic profile and a long 
term deepening of overbite. 
If the lower incisors are too far forward , then 
there is a undue fullness of facial profile and 
possibility of instability of lower labial segment 
,as incisors drop back towards the tongue in 
response to lip pressure.
If the lower incisors are left too 
far back , there is a tendency to 
a retrognathic profile and a long 
term deepening of overbite. 
If the lower incisors are left too 
forward , there is a tendency to 
undue fullness of the facial 
profile and possibility of 
instability of lower labial 
segment.
The ideal position of 
lower incisors should 
be 2 mm infront of 
APo line.
• At the end of 
treatment , there 
should be 90-95° 
angulations between 
lower incisors and 
mandibular plane.
• There is usually a soft 
tissue involvement when 
require mesial movement 
of lower incisors. For 
example , if there is a 
history of thumb sucking 
activity or hyperactive 
mentalis muscle function 
where lower incisors have 
been held back and 
retroclined. In these 
cases , it is mechanically 
appropriate to move the 
lower incisors forward.
• cl-II div 2 treatment sometimes involve the 
mesial movement of lower incisors. There is 
often soft tissue element to such cases , where 
the high lip line with lip activity has retroclined 
both upper and lower incisors. 
During routine mechanics after the 
incisors have been moved forward to create a cl- 
II div 1 pattern with an overjet , it is frequently 
found that the lower incisors are back in the 
profile. It is then appropriate to tip the lower 
incisors forward .
Distal movement of upper incisors 
• The ideal position of 
upper incisors should 
be 6 mm infront of 
APo line with an 
angulation of 110 ° to 
the maxillary plane
Traditionally distal movement of 
upper incisors has been 
regarded as the main method 
of correction of cl-II div1 
malocclusion. However , since 
it has been shown that true 
maxillary protrusion occurs in 
only about 20% cases , 
changes involving mesial 
movement of chin point are 
preferable for facial profile 
reasons. In adults , this implies 
orthognathic surgery to the 
maxilla or the mandible.
• Where the 
commencing upper 
incisor angulation is 
above 115° , the initial 
retraction is often 
achieved by a tipping 
type of movement 
until normal 
angulation is 
reached , and then 
bodily movement is 
attempt.
Distal movement or limiting forward 
growth of maxilla 
Assessment of the position 
of maxillary bone may be 
measured by--- 
 the SNA angle favoured 
by Steiner and 
 Dropping a perpendicular 
line from Nasion to 
Frankfort plane and using 
a normal of 0 mm for A 
point , as recommended 
by McNamara.
• When it is clear that increased overjet is due to a 
forward position of maxillary bone , it is 
appropriate to attempt to use orthopedic 
headgear or class II elastics to influence 
maxillary growth in the growing individual. The 
distalization of the maxilla itself is difficult and 
require good co-operation with heavy orthopedic 
forces. Usually such forces to the maxilla will 
limit its forward growth , which would be 
approximately 1 mm per year in a growing child.
Mesial movement of the mandible 
• Normal position of 
mandible is 4 mm 
behind the Nasion 
Frankfort 
perpendicular line 
(McNamara). 
• Also SNB angle of 80° 
as recommended by 
Steiner can be used as 
a reference for 
horizontal mandibular 
position .
• Mesial movement of the mandible also can be achieved 
by limiting of vertical growth. 
Any mechanical process which reduce or maintain 
the MM angle will producee mesial movement of 
pogonion in the facial profile. The use of high pull head 
gear , palatal bar , lingual arch and post bite plate favor 
control of this type. Also , the extraction of premolar 
teeth makes vertical control easier. 
Use of inter-maxillary elastics in high angle cases, 
as well as, cervical headgear and ant. Bite plate tends to 
open the MM angle and produce unfavourable change in 
the position of pogonion. Non-extraction treatment also 
makes it difficult to prevent the MM angle opening.
MM angle tends to open in response to— 
• non-extraction treatment 
• cervical headgear 
• prolonged intermaxillary elastics 
• ant bite plate 
MM angle tends to close or be maintained in 
response to--- 
• extraction treatment 
• high pull headgear 
• palatal bar and lingual arches 
• post. Bite plate
In cl-II div 1 cases with increased MM angle , 
vertical control is important to reduce the 
angle or at least prevent it from increasing. 
Pogonion will move distally in the profile if MM 
angle is allowed to increase . 
•In summery, an understanding of the 
importance of vertical factors is essential 
to proper management of overjet 
reduction.
THE MECHANICS OF OVERJET REDUCTION 
There are primarily 3 methods used to correct cl-II 
molar relationship and reduce overjet--- 
Cl II elastics 
Headgear 
Functional appliance 
These 3 primary methods can be used separately 
or in combination and ultimately their correct use 
is the key to a successful result.
CLINICAL EXAMPLES
EXAMPLE A:  Lower arch 
contraction 
finished and the 
lower incisors 
are good 
position in the 
facial profile. 
 Upper incisors 
torque is correct 
 3 mm excess 
overjet to close 
 overbite is 
properly 
controlled 
 6 mm of upper 
extraction need 
to close 
 Molar 
relationship 3 
mm cl-III 
6 mm 
3 mm 
3 mm
TREATMENT PLAN: 
 The remaining 6 mm of upper space 
may be closed by reciprocal space 
closure , using sliding mechanics , 
because molar relationship is cl-III. The 
molars and premolars will move mesially 
by 3 mm as the canines and incisore 
move distally by 3mm. 
 Night time head gear support can be 
use if the molars move forward more 
rapidly than anteriors. 
The rectangular wire will allow bodily 
control of the upper incisors , provided 
force levels are light. 
6 mm 
3 mm 3 mm
6 mm 
3 mm 3 mm
EXAMPLE B: 
Lower incisors are in 
good position in facial 
profile 
Upper incisor torque 
is correct 
4 mm of excess 
overjet to reduce 
molars are Cl-I 
4 mm of upper 
extraction space to 
close. 
4 mm 
4 mm
TREATMENT PLAN: 
 The remaining space should 
not be closed by reciprocal 
space closure , because molar 
relation is cl-I and it will 
change into cl-II because 
molars and premolars will tend 
to move mesially as the 
canines and incisors moved 
distally. 
 Support from a sleeping head 
gear or a palatal bar is needed 
to protect the molar 
relationship during overjet 
reduction. 
4 mm 
4 mm
4 mm 
4 mm
EXAMPLE C: 
Lower arch space closure 
finished. 
But lower incisors are set 
back by 2mm in facial profile 
Upper incisor torque is 
correct 
4 mm of upper extraction 
space need to close 
4 mm of overjet need to be 
reduced 
molar relationship Cl-I 
4 mm 
4 mm
TREATMENT NEED: 
 The remaining space can be 
closed by reciprocal space closure 
with Cl-II elastics which will protect 
the molar relationship by bringing 
the lower arch forward to a 
position close to APo +2mm. 
 In upper arch , the molars and 
premolars will move mesially by 
2mm as the canines and incisors 
move distally by 2 mm. 
 Here MM angle is 28° (average) , 
so Cl-II elastics can be used. 
INTERMAXILLARY ELASTIC IS CONTRAINDICATED IN HIGH ANGLE CASES. 
4 mm 
A HIGH PULL HEADGEAR IS NORMALLY PREFERRED FOR UPPER MOLAR SUPPORT 
DURING OVERJET REDUCTION IN HIGH ANGLE CASES. 
4 mm
4 mm 
4 mm
EXAMPLE D: 
 Lower arch space 
closure finished. 
 Lower incisor is good 
position in facial 
profile. 
 Upper incisor torque is 
not correct , they are 
proclined at 122° 
 7 mm of overjet to 
reduce 
 7 mm of upper 
extraction space to 
close 
 Molars are Cl-I 
7 mm 
7 mm
TREATMENT PLAN: 
 The remaining space should 
not be closed by reciprocal 
space closure as Cl-I molar 
relationship will be lost. 
 Excess 10° tipping can be 
corrected by round wire first , 
then rectangular wire can be 
used for bodily movement. 
 If a large overjet needs to be 
closed , rectangular wire is 
essential and support from a 
sleeping headgear or palatal 
bar will definitely needed, 
otherwise molars will come 
forward and molar relationship 
will lost.Also force level should 
be low. 
7 mm 
7 mm
EFFECT OF TOO RAPID SPACE 
CLOSURE---- 
 Reduced torque control when space 
closure more than 1.5 mm/month 
 Rapid mesial movement of upper molar 
followed by palatal cusp hang down. 
 Lateral open bite 
 Soft tissue hyperplasia at extraction site.
7 mm 
7 mm
EXAMPLE E: 
Lower arch appear to be 
finished 
Lower incisors set back 
in the facial profile 
Upper incisors torque is 
correct 
3 mm excess overjet to 
correct 
Molars are 2 mm Cl-II 
3 mm 
2 mm
TREATMENT PLAN:  Tieback are placed to hold the upper and 
lower spaces closed. 
 3 mm of overjet may be reduced by Cl-II 
elastics , as MM angle is average (28°) 
 The upper arch act as an anchorage unit 
with teeth ligated to a rectangular wire. 
 The lower incisors are at 89° and can 
therefore be allowed to tip forward by 
upto 6° 
 As the overjet reduces , the lower teeth 
move mesially and molar move in Cl-I 
relationship 
 The tips of the lower incisors can be 
expected to move mesially more than the 
lower molars do (3 mm compared to 2 
mm) , because part of the incisor closure 
involve tipping. The lower rectangular 
wire can carry a little labial crown torque 
in the incisor region to assist forward 
tipping of incisors. 
2 mm 3 mm 
EVERY 2.5° PROCLINATION , MOVES THE LOWER INCISOR EDGE FORWARD BY 1 MM 
(RESULTING IN SPACE GAINS OF 2 MM FOR EVERY 2.5° OF PROCLINATION).
2 mm 3 mm
EXAMPLE F: 
 Cl-II div 1 cases with 
extraction of all four 
bicuspids. 
3 mm of lower extraction 
space need to close. 
4 mm of upper extraction 
space need to close 
4 mm of overjet need to 
close 
Molars are 3 mm Cl-II 
4 mm 
4 mm 
3 mm 
3 mm
TREATMENT PLAN: 
 4 mm of overjet may be reduced 
by Cl-II elastics as MM angle is 
average (28°) 
 Sleeping hadgear is necessary , 
otherwise upper molar will come 
anteriorly. 
 Cl-II elastics causes lower molars 
and premolars to move mesially , 
thus helping 3 mm of lower 
extraction space closure and 3 
mm of molar relationship to be 
corrected. 
 Month by month monitoring is 
needed and good patient co-operation 
is needed. 
 Upper second molar should be 
included. 
4 mm 
4 mm 
3 mm 
3 mm
4 mm 
4 mm 
3 mm 
3 mm
EXAMPLE G: 
Cases with extraction of 
all 4 bicuspids 
Lower incisors are 2 mm 
forward position than ideal 
position 
4 mm of overjet to 
reduce 
4 mm of upper and 
lower extraction space to 
close 
Molars are 4 mm Cl-II 
4 mm 
4 mm 
4 mm 
4 mm
TREATMENT PLAN: 
• cl-II elastic can not be 
used as it is a high angle 
case. 
• upper labial segment 
move distally by 6 mm 
• headgear support is 
needed for 2 mm upper 
molar distalization 
• lower space closure will 
need to be reciprocal , 
with molar traveling 
mesially by 2 mm and 
incisors going distally by 
2 mm 
4 mm 
4 mm 
4 mm 
4 mm
4 mm 
4 mm 
4 mm 
4 mm
EXAMPLE H: 
Non-extraction 
case 
Lower incisors set 
back 1 mm in facial 
profile 
Upper incisors 
torque is correct 
3 mm overjet to 
reduce 
Molars are 3 mm 
Cl-II 
3 mm 
3 mm
TREATMENT PLAN : 
 Only a reduced amount od Cl-II 
elastic traction is needed to 
reduce the overjet and headgear 
support to the upper first molar is 
essential for distalization of 2 mm. 
 A headgear during sleeping and 
Cl-II elastics during the day time 
can be used. This will give a 24 
hour distalizing force on the upper 
arch and only a 12 hours of 
mesializing force on lower molars. 
 The lower rectangular wire has 
additional lingual crown torque in 
the incisor region to resist forward 
tipping movement of the incisors. 
Lower teeth should be ligated 
hard. 
3 mm 
3 mm
3 mm 3 mm
EXAMPLE I: 
 Cl-II div 1 malocclusion 
 Molar 7 mm Cl-II 
 OJ 7 mm 
7 mm 
7 mm
TREATMENT PLAN: 
Cervical pull headgear on upper 
arch for 14 hours per day , usually 
when pt is at home and sleeping 
Cl-II elastics with an upper sliding jig 
for 10 hours per day
After 6 mm of molar 
distalization , upper 
cuspids and bicuspids are 
bracketed 
Headgear continue to wear 14 
hours per day to initiate overjet 
reduction 
During day time, 10 hours of 
Cl-II elastics are worn to the 
hooks on archwire rather than 
to the sliding jig to complete 
overjet reduction 
A 24 hour of force is applied to the upper arch to complete the molar 
relationship first & then to complete overjet reduction & only an intermittent 
force of 10 hrs per day is applied to the lower arch with Cl-II elastics
7 mm 
7 mm
8 
7 
6 
5
• NEITHER FULL ARCH CONTRACTION 
NOR PROSTHESIS
THE MORE VERTICAL THE UPPER INCISORS ARE, THE MORE 
TORQUE IS NEEDED.
BEFORE AFTER
BEFORE AFTER
NASO-LABIAL ANGLE 
94° 
Normal=102 
+/- 8° 
104° 
BEFORE AFTER
MENTO-LABIAL ANGLE 
137° 
123° 
Normal=122+/- 
11.7° 
BEFORE AFTER
Overjet reduction(2)

Overjet reduction(2)

  • 2.
    PRESENTED BY: MD.ISHTIAQ HASAN FCPS-II TRAINEE, DEPT. OF ORTHODONTICS, DDCH SUPERVISOR: PROF. DR. MD. ZAKIR HOSSAIN BDS, PHD(JAPAN) PROF. & HEAD, DEPT. OF ORTHODONTICS, DDCH.
  • 4.
    PT NAME: FATEMA AGE: 24 YRS
  • 5.
    LEFT AND RIGHTPROFILE VIEW
  • 6.
    CHIEF COMPLAIN: SPACINGIN UPPER & LOW JAW
  • 7.
    MODEL ANALYSIS UPPERJAW: 12 mm SPACING LOWERJAW: 10 mm SPACING
  • 8.
    DIAGNOSIS • Itis a case of ant. open bite with spacing in upper and lower jaw .
  • 9.
    TREATMENT PLAN APPROXIMATE12 12 12 12 THEN ?
  • 10.
    ARCH CONTRACTION OR PROSTHESIS ?
  • 12.
    NASO-LABIAL ANGLE Foreach mm of incisor retraction, 1.6 ° increase of naso-labial angle. 94° Normal=102 +/- 8°
  • 13.
    LABIO-MENTAL ANGLE 123° Normal=122+/- 11.7°
  • 14.
    The lips willmove two-thirds of the distance that the incisors are retracted , i.e. , 3 mm of incisor retraction will reduce lip protrusion by 2 mm , but only until competence is reached. Beyond that point , further retraction of the incisors will not further reduce lip prominence. ---------- PROFFIT
  • 15.
    1 mm oflower incisor retraction resulting in 1 mm of lower lip retraction and on average, 3 mm of upper incisor retraction is needed for 1 mm of upper lip retraction. --------BURSTONE
  • 16.
    LETS TAKE ALOOK WHAT OTHER BOOKS TELL US ABOUT THIS TREATMENT PLAN
  • 17.
  • 18.
    The following fourdental and skeletal non-surgical changes are responsible for overjet reduction---- Mesial movement of lower incisors Distal movement of upper incisors Distalizing or limiting forward growth of maxilla Mesial movement of mandible by---(a)forward mandibular growth or (b) limiting vertical development The first two changes involve dental tooth movement , while the last two involve skeletal changes. In adult , non-growing patients , such skeletal changes must be carried out surgically.
  • 19.
    Overjet reduction frommesial movement of lower incisors. Overjet reduction from distal movement of upper incisors.
  • 20.
    Overjet reduction frommesial movement of mandible resulting from condylar growth. Overjet reduction from distalizing or limiting forward growth of maxilla.
  • 21.
    Overjet reduction frommesial movement of mandible by limiting development.
  • 22.
    Mesial movement oflower incisors The end treatment position of lower incisors is important for several reasons ---- If lower incisors are too far back , then there is a tendency to a retrognathic profile and a long term deepening of overbite. If the lower incisors are too far forward , then there is a undue fullness of facial profile and possibility of instability of lower labial segment ,as incisors drop back towards the tongue in response to lip pressure.
  • 23.
    If the lowerincisors are left too far back , there is a tendency to a retrognathic profile and a long term deepening of overbite. If the lower incisors are left too forward , there is a tendency to undue fullness of the facial profile and possibility of instability of lower labial segment.
  • 24.
    The ideal positionof lower incisors should be 2 mm infront of APo line.
  • 25.
    • At theend of treatment , there should be 90-95° angulations between lower incisors and mandibular plane.
  • 26.
    • There isusually a soft tissue involvement when require mesial movement of lower incisors. For example , if there is a history of thumb sucking activity or hyperactive mentalis muscle function where lower incisors have been held back and retroclined. In these cases , it is mechanically appropriate to move the lower incisors forward.
  • 27.
    • cl-II div2 treatment sometimes involve the mesial movement of lower incisors. There is often soft tissue element to such cases , where the high lip line with lip activity has retroclined both upper and lower incisors. During routine mechanics after the incisors have been moved forward to create a cl- II div 1 pattern with an overjet , it is frequently found that the lower incisors are back in the profile. It is then appropriate to tip the lower incisors forward .
  • 29.
    Distal movement ofupper incisors • The ideal position of upper incisors should be 6 mm infront of APo line with an angulation of 110 ° to the maxillary plane
  • 30.
    Traditionally distal movementof upper incisors has been regarded as the main method of correction of cl-II div1 malocclusion. However , since it has been shown that true maxillary protrusion occurs in only about 20% cases , changes involving mesial movement of chin point are preferable for facial profile reasons. In adults , this implies orthognathic surgery to the maxilla or the mandible.
  • 31.
    • Where the commencing upper incisor angulation is above 115° , the initial retraction is often achieved by a tipping type of movement until normal angulation is reached , and then bodily movement is attempt.
  • 32.
    Distal movement orlimiting forward growth of maxilla Assessment of the position of maxillary bone may be measured by---  the SNA angle favoured by Steiner and  Dropping a perpendicular line from Nasion to Frankfort plane and using a normal of 0 mm for A point , as recommended by McNamara.
  • 33.
    • When itis clear that increased overjet is due to a forward position of maxillary bone , it is appropriate to attempt to use orthopedic headgear or class II elastics to influence maxillary growth in the growing individual. The distalization of the maxilla itself is difficult and require good co-operation with heavy orthopedic forces. Usually such forces to the maxilla will limit its forward growth , which would be approximately 1 mm per year in a growing child.
  • 34.
    Mesial movement ofthe mandible • Normal position of mandible is 4 mm behind the Nasion Frankfort perpendicular line (McNamara). • Also SNB angle of 80° as recommended by Steiner can be used as a reference for horizontal mandibular position .
  • 35.
    • Mesial movementof the mandible also can be achieved by limiting of vertical growth. Any mechanical process which reduce or maintain the MM angle will producee mesial movement of pogonion in the facial profile. The use of high pull head gear , palatal bar , lingual arch and post bite plate favor control of this type. Also , the extraction of premolar teeth makes vertical control easier. Use of inter-maxillary elastics in high angle cases, as well as, cervical headgear and ant. Bite plate tends to open the MM angle and produce unfavourable change in the position of pogonion. Non-extraction treatment also makes it difficult to prevent the MM angle opening.
  • 37.
    MM angle tendsto open in response to— • non-extraction treatment • cervical headgear • prolonged intermaxillary elastics • ant bite plate MM angle tends to close or be maintained in response to--- • extraction treatment • high pull headgear • palatal bar and lingual arches • post. Bite plate
  • 38.
    In cl-II div1 cases with increased MM angle , vertical control is important to reduce the angle or at least prevent it from increasing. Pogonion will move distally in the profile if MM angle is allowed to increase . •In summery, an understanding of the importance of vertical factors is essential to proper management of overjet reduction.
  • 39.
    THE MECHANICS OFOVERJET REDUCTION There are primarily 3 methods used to correct cl-II molar relationship and reduce overjet--- Cl II elastics Headgear Functional appliance These 3 primary methods can be used separately or in combination and ultimately their correct use is the key to a successful result.
  • 40.
  • 41.
    EXAMPLE A: Lower arch contraction finished and the lower incisors are good position in the facial profile.  Upper incisors torque is correct  3 mm excess overjet to close  overbite is properly controlled  6 mm of upper extraction need to close  Molar relationship 3 mm cl-III 6 mm 3 mm 3 mm
  • 42.
    TREATMENT PLAN: The remaining 6 mm of upper space may be closed by reciprocal space closure , using sliding mechanics , because molar relationship is cl-III. The molars and premolars will move mesially by 3 mm as the canines and incisore move distally by 3mm.  Night time head gear support can be use if the molars move forward more rapidly than anteriors. The rectangular wire will allow bodily control of the upper incisors , provided force levels are light. 6 mm 3 mm 3 mm
  • 43.
    6 mm 3mm 3 mm
  • 44.
    EXAMPLE B: Lowerincisors are in good position in facial profile Upper incisor torque is correct 4 mm of excess overjet to reduce molars are Cl-I 4 mm of upper extraction space to close. 4 mm 4 mm
  • 45.
    TREATMENT PLAN: The remaining space should not be closed by reciprocal space closure , because molar relation is cl-I and it will change into cl-II because molars and premolars will tend to move mesially as the canines and incisors moved distally.  Support from a sleeping head gear or a palatal bar is needed to protect the molar relationship during overjet reduction. 4 mm 4 mm
  • 46.
  • 47.
    EXAMPLE C: Lowerarch space closure finished. But lower incisors are set back by 2mm in facial profile Upper incisor torque is correct 4 mm of upper extraction space need to close 4 mm of overjet need to be reduced molar relationship Cl-I 4 mm 4 mm
  • 48.
    TREATMENT NEED: The remaining space can be closed by reciprocal space closure with Cl-II elastics which will protect the molar relationship by bringing the lower arch forward to a position close to APo +2mm.  In upper arch , the molars and premolars will move mesially by 2mm as the canines and incisors move distally by 2 mm.  Here MM angle is 28° (average) , so Cl-II elastics can be used. INTERMAXILLARY ELASTIC IS CONTRAINDICATED IN HIGH ANGLE CASES. 4 mm A HIGH PULL HEADGEAR IS NORMALLY PREFERRED FOR UPPER MOLAR SUPPORT DURING OVERJET REDUCTION IN HIGH ANGLE CASES. 4 mm
  • 49.
  • 50.
    EXAMPLE D: Lower arch space closure finished.  Lower incisor is good position in facial profile.  Upper incisor torque is not correct , they are proclined at 122°  7 mm of overjet to reduce  7 mm of upper extraction space to close  Molars are Cl-I 7 mm 7 mm
  • 51.
    TREATMENT PLAN: The remaining space should not be closed by reciprocal space closure as Cl-I molar relationship will be lost.  Excess 10° tipping can be corrected by round wire first , then rectangular wire can be used for bodily movement.  If a large overjet needs to be closed , rectangular wire is essential and support from a sleeping headgear or palatal bar will definitely needed, otherwise molars will come forward and molar relationship will lost.Also force level should be low. 7 mm 7 mm
  • 52.
    EFFECT OF TOORAPID SPACE CLOSURE----  Reduced torque control when space closure more than 1.5 mm/month  Rapid mesial movement of upper molar followed by palatal cusp hang down.  Lateral open bite  Soft tissue hyperplasia at extraction site.
  • 53.
  • 54.
    EXAMPLE E: Lowerarch appear to be finished Lower incisors set back in the facial profile Upper incisors torque is correct 3 mm excess overjet to correct Molars are 2 mm Cl-II 3 mm 2 mm
  • 55.
    TREATMENT PLAN: Tieback are placed to hold the upper and lower spaces closed.  3 mm of overjet may be reduced by Cl-II elastics , as MM angle is average (28°)  The upper arch act as an anchorage unit with teeth ligated to a rectangular wire.  The lower incisors are at 89° and can therefore be allowed to tip forward by upto 6°  As the overjet reduces , the lower teeth move mesially and molar move in Cl-I relationship  The tips of the lower incisors can be expected to move mesially more than the lower molars do (3 mm compared to 2 mm) , because part of the incisor closure involve tipping. The lower rectangular wire can carry a little labial crown torque in the incisor region to assist forward tipping of incisors. 2 mm 3 mm EVERY 2.5° PROCLINATION , MOVES THE LOWER INCISOR EDGE FORWARD BY 1 MM (RESULTING IN SPACE GAINS OF 2 MM FOR EVERY 2.5° OF PROCLINATION).
  • 56.
  • 57.
    EXAMPLE F: Cl-II div 1 cases with extraction of all four bicuspids. 3 mm of lower extraction space need to close. 4 mm of upper extraction space need to close 4 mm of overjet need to close Molars are 3 mm Cl-II 4 mm 4 mm 3 mm 3 mm
  • 58.
    TREATMENT PLAN: 4 mm of overjet may be reduced by Cl-II elastics as MM angle is average (28°)  Sleeping hadgear is necessary , otherwise upper molar will come anteriorly.  Cl-II elastics causes lower molars and premolars to move mesially , thus helping 3 mm of lower extraction space closure and 3 mm of molar relationship to be corrected.  Month by month monitoring is needed and good patient co-operation is needed.  Upper second molar should be included. 4 mm 4 mm 3 mm 3 mm
  • 59.
    4 mm 4mm 3 mm 3 mm
  • 60.
    EXAMPLE G: Caseswith extraction of all 4 bicuspids Lower incisors are 2 mm forward position than ideal position 4 mm of overjet to reduce 4 mm of upper and lower extraction space to close Molars are 4 mm Cl-II 4 mm 4 mm 4 mm 4 mm
  • 61.
    TREATMENT PLAN: •cl-II elastic can not be used as it is a high angle case. • upper labial segment move distally by 6 mm • headgear support is needed for 2 mm upper molar distalization • lower space closure will need to be reciprocal , with molar traveling mesially by 2 mm and incisors going distally by 2 mm 4 mm 4 mm 4 mm 4 mm
  • 62.
    4 mm 4mm 4 mm 4 mm
  • 63.
    EXAMPLE H: Non-extraction case Lower incisors set back 1 mm in facial profile Upper incisors torque is correct 3 mm overjet to reduce Molars are 3 mm Cl-II 3 mm 3 mm
  • 64.
    TREATMENT PLAN :  Only a reduced amount od Cl-II elastic traction is needed to reduce the overjet and headgear support to the upper first molar is essential for distalization of 2 mm.  A headgear during sleeping and Cl-II elastics during the day time can be used. This will give a 24 hour distalizing force on the upper arch and only a 12 hours of mesializing force on lower molars.  The lower rectangular wire has additional lingual crown torque in the incisor region to resist forward tipping movement of the incisors. Lower teeth should be ligated hard. 3 mm 3 mm
  • 65.
  • 66.
    EXAMPLE I: Cl-II div 1 malocclusion  Molar 7 mm Cl-II  OJ 7 mm 7 mm 7 mm
  • 67.
    TREATMENT PLAN: Cervicalpull headgear on upper arch for 14 hours per day , usually when pt is at home and sleeping Cl-II elastics with an upper sliding jig for 10 hours per day
  • 68.
    After 6 mmof molar distalization , upper cuspids and bicuspids are bracketed Headgear continue to wear 14 hours per day to initiate overjet reduction During day time, 10 hours of Cl-II elastics are worn to the hooks on archwire rather than to the sliding jig to complete overjet reduction A 24 hour of force is applied to the upper arch to complete the molar relationship first & then to complete overjet reduction & only an intermittent force of 10 hrs per day is applied to the lower arch with Cl-II elastics
  • 69.
  • 71.
  • 72.
    • NEITHER FULLARCH CONTRACTION NOR PROSTHESIS
  • 73.
    THE MORE VERTICALTHE UPPER INCISORS ARE, THE MORE TORQUE IS NEEDED.
  • 75.
  • 76.
  • 77.
    NASO-LABIAL ANGLE 94° Normal=102 +/- 8° 104° BEFORE AFTER
  • 78.
    MENTO-LABIAL ANGLE 137° 123° Normal=122+/- 11.7° BEFORE AFTER