Done by
Dr.Sakhaa Garfan
MSD
pre-adjusted edgewise appliance
(PEA)
 Andrews listed the ingredients of occlusion which
he considered essential to accomplish the
anatomical goal and achieve harmony of
occlusion as:
 1. Molar relationship
 2. Crown angulation
 3. Crown inclination
 4. Rotational control
 5. Good proximal contact
 6. Flat curve of Spee
 The term" edgewise" refers to the method by
which a rectangular archwire is inserted into the
bracket, i.e. on edge.
 In the edgewise bracket system, to achieve an ideal
alignment of teeth all the bends-first order (in and
out), second order (mesiodistal) and third order
(torquing) have to be built into the archwire by the
clinician.
 But as the name suggests, in the pre-adjusted
edgewise appliance (PEA) a11these are built into the
brackets or the appliance (Figs 42.1A to C).
first order
 Each PEA bracket has particular base thickness
to compensate for the first order bends (in-out
bends).
Second order
 The slot of the bracket is angulated with respect
to the long axis of the tooth. This leads to the
teeth being positioned in the ideal mesiodistal
angulation from the beginning of the treatment.
Third order
 The torque (or the third order bend) is, either
incorporated by angulating the slot with respect to
the base (Fig. 42.3A) or by angulating the base of
the bracket with respect to the slot (Fig.42.3B).
 Andrew advocated the placement of brackets on
the Andrew's plane, which is the plane or surface
on which the mid-transverse plane of every crown
in an arch .
 When treating cases with the pre-adjusted edgewise
appliance, the management can be divided into six
stages as:
 1. Anchorage control
 2. Leveling and aligning
 3. Overbite control
 4. Overjet reduction
 5. Space closures
 6. Finishing and detailing
ANCHORAGE CONTROL
 Anchorage control can be achieved using
intraoral means like transpalatal arches (Fig.
42.6) or Nance palatal button (Fig. 42.7) etc. or
extraoral means,
 e.g. head gears (Fig. 42.8).
LEVELlNG AND ALIGNING
 is done with light continuous force wires like,
nickel titanium alloy wires sequentially increasing
in stiffness and diameter
OVER BITE CONTROL
 is achieved using utility arches (Fig. 42.10) or
wires with a reverse curve of Spee (Figs 42.11A
to B[ii]). Molar extrusion might even be achieved
using headgears.
OVERJET REDUCTION AND
SPACE CLOSURES
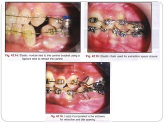
 are accomplished with the help of elastics (Fig.
42.12) closed coil springs (Fig. 42.13) or elastic
modules (Fig. 42.14), or elastic chains (Fig.
42.15) or loops incorporated into the arch wire
(Fig. 42.16).
FINISHING AND DETAILING
 involves the use of stiff rectangular stainless steel
wires with or without the use of artistic bends.
reference
 Textbook of Orthodontics © 2007, Gurkeerat
Singh
 http://medind.nic.in/maa/t03/i1/maat03i1p58.pdf
Thank you

pre-adjusted edgewise appliance (PEA)

  • 1.
  • 2.
     Andrews listedthe ingredients of occlusion which he considered essential to accomplish the anatomical goal and achieve harmony of occlusion as:  1. Molar relationship  2. Crown angulation  3. Crown inclination  4. Rotational control  5. Good proximal contact  6. Flat curve of Spee
  • 3.
     The term"edgewise" refers to the method by which a rectangular archwire is inserted into the bracket, i.e. on edge.
  • 4.
     In theedgewise bracket system, to achieve an ideal alignment of teeth all the bends-first order (in and out), second order (mesiodistal) and third order (torquing) have to be built into the archwire by the clinician.  But as the name suggests, in the pre-adjusted edgewise appliance (PEA) a11these are built into the brackets or the appliance (Figs 42.1A to C).
  • 5.
    first order  EachPEA bracket has particular base thickness to compensate for the first order bends (in-out bends).
  • 6.
    Second order  Theslot of the bracket is angulated with respect to the long axis of the tooth. This leads to the teeth being positioned in the ideal mesiodistal angulation from the beginning of the treatment.
  • 7.
    Third order  Thetorque (or the third order bend) is, either incorporated by angulating the slot with respect to the base (Fig. 42.3A) or by angulating the base of the bracket with respect to the slot (Fig.42.3B).
  • 8.
     Andrew advocatedthe placement of brackets on the Andrew's plane, which is the plane or surface on which the mid-transverse plane of every crown in an arch .
  • 9.
     When treatingcases with the pre-adjusted edgewise appliance, the management can be divided into six stages as:  1. Anchorage control  2. Leveling and aligning  3. Overbite control  4. Overjet reduction  5. Space closures  6. Finishing and detailing
  • 10.
    ANCHORAGE CONTROL  Anchoragecontrol can be achieved using intraoral means like transpalatal arches (Fig. 42.6) or Nance palatal button (Fig. 42.7) etc. or extraoral means,  e.g. head gears (Fig. 42.8).
  • 11.
    LEVELlNG AND ALIGNING is done with light continuous force wires like, nickel titanium alloy wires sequentially increasing in stiffness and diameter
  • 12.
    OVER BITE CONTROL is achieved using utility arches (Fig. 42.10) or wires with a reverse curve of Spee (Figs 42.11A to B[ii]). Molar extrusion might even be achieved using headgears.
  • 14.
    OVERJET REDUCTION AND SPACECLOSURES  are accomplished with the help of elastics (Fig. 42.12) closed coil springs (Fig. 42.13) or elastic modules (Fig. 42.14), or elastic chains (Fig. 42.15) or loops incorporated into the arch wire (Fig. 42.16).
  • 16.
    FINISHING AND DETAILING involves the use of stiff rectangular stainless steel wires with or without the use of artistic bends.
  • 20.
    reference  Textbook ofOrthodontics © 2007, Gurkeerat Singh  http://medind.nic.in/maa/t03/i1/maat03i1p58.pdf
  • 21.