Dr Megha B
Senior lecturer
Department of Oral Medicine and Radiology
MINDS, MAHE
Normal anatomical variations of oral cavity
• Introduction
• Fundamental to diagnosing oral pathologic conditions is the
ability to recognize the spectrum of clinical findings that
represents variation of normal within the population.
• Some are purely developmental, while others have a clear
inflammatory or traumatic etiology.
• 1.Variation On Buccal Mucosa
• Leukedema
• Fordyces Granule
• Linea Alba
• 2.Variations On Gingiva
• Physiologic Pigmentation
• 3.Variations On Tongue
• Fissured Tongue
• Geographic Tongue
• Oral Varicosity
• Median Rhomboid Glossitis
• Bifid Tongue
• Folliate Papilla
•
• 4.Variations On Lips
• Commissural Lip Pit
• Paramedian Lip Pit
• 5.Radiological Variations
• Idiopathic Osteosclerosis
• Focal Osteoporotic Bone Defect
• Stafne Bone Defect
• Leukedema
• Common developmental alteration of the oral mucosa which
present most typically as an asymptomatic, bilateral, whitish, grey
semitransparent macule of the buccal mucosa
• Epidemology
• Distribution between genders has
been found to be equal
• The incidence and intensity
increases with age
• Clinical features
• White and wheel like alteration of oral mucosa
• bilaterally on buccal mucosa
• Less clinically evident after stretching of the mucosa but
reappear after this manipulation is discontinued
• Asymptomatic
• No malignant transformation
• Differential diagnosis
• Clinical examination readily differentiate leukedema from
leukoplakia since there is no loss of pliability or flexibilty of
involved tissue
• In addition tissue affected by leukedema manifest an
edematous state
• lichen planus
• White spongy nevus
• cheek biting
• Linea alba
• Normal variations which appear as a white line extending from the
corner of the mouth to posterior region at the level of occlusal
plane bilaterally
• Frictional keratosis
• Trauma from facial surface of teeth.
• Usually present bilateraly
• It is believed that parakeratosis occur along the line of occlusal
plane as the cheeks sucks in due to negative pressure
• Fordyces granule
• Ectopic sebaceous gland located on oral mucosa and vermillion
border of lips
• 80% of the adult population
• More pronounced in males
• Male to female ratio 11:5
• Clinical features
• The buccal mucosa and vermillion border are the most common
locations
• Alveolar ridge, gingiva, palate and tongue
• Maculopappular lesions typically smaller than 2mm
• White or cream colour spots
• May occasionally coalesce and form plaque
• Treatment
• Not required
• Chemical peel
• Laser
• Surgical diathermy or cryotherapy
• Physiological pigmentation
• increased melanotic activity rather than an increase in number of
melanocytes
•
• Africans, Asians and Mediterranean
• both gender
• 1st two decades
Epidemiology
Epidemiology
• Clinical features
• Attached gingiva
• light to dark brown
• It appears as bilateral, well demarcated, ribbon like dark brown
band
• The buccal mucosa, hard palate, lips and tongue may also be
affected
• symmetrically distributed
• Disease that may be confused with melanin pigmentation are
• Addisons disease ,
• Oral melanotic macule.
• Oral mucosal melanoma,
• Drug induced pigmentation
• Geographic tongue
• Is an annular lesion affecting the dorsum of tongue and margins
• Also known as erythema migrans
• Epidemiology
• 1-2.5% prevalence
• Gender distribution is equal
• Clinical features
• comprise a white yellow or grey slightly
elevated peripheral zone
• Erythmatous patch =atropy of filiform papilla .
• white border regenerating= filiform papilae and a mixture of
keratin and neutrophil
– Tip
– lateral border
– dorsum of the tongue
• Geographic tongue is circumferentially migrating and leaves an
erythmatous area behind
• The peripheral zone disappear after sometime and healing of
depapilated and erythmatous area starts
• The lesion may commence at various starting points, the
peripheral zones fuse and typical clinical features of geographic
tongue appears
• single to multiple lesions
• Usually non symptomatic
• Fissured tongue
• shallow to deep grooves or furrows
• dorsal surface of the tongue
Epidemiology
• Higher frequency among males
• Hereditary
clinical features
• Aging and local environmental factors
• Fissured tongue is diagnosed on the basis of fissures clinically
• Based on the position of the fissures it can be classified as
median and lateral type
• Diagnosis
• Clinical features are diagnostic , biopsy is rarely done
• Histology
• Shows increase thickness of lamina propria
• Hyperplasia of rete ridges
• Neutrophillic microabcess in the upper epithelial layer
• Mixed inflammatory infiltrate in lamina propria
• Bifid tongue
• A completely cleft or bifid tongue is a rare condition
• A partially cleft tongue is considerably more common and is
manifested simply as a deep groove in the midline of dorsal
surface
• The lateral lingual structures rapidly grow and cover the
tuberculum impar to form the anterior two-thirds of the tongue.
When this process is disturbed, tip of the tongue is divided
longitudinally for a certain distance giving rise to cleft
tongue/bifid tongue.
• Mostly associated with orofacial digital syndrome
• Median rhomboid glossitis
• Median rhomboid glossitis is clinically characterized by
erythmatous lesion in the center of posterior part of dorsum of
tongue
• Developmental defect resulting from an incomplete desent of
tuberculum impar and entrapment of a portion between
fusing lateral halves of the tongue
• 3:1 male predilection
• rhomboid shaped, smooth erythmatous mucosa lacking in
papilla or taste buds
• atropic candidiasis
• Clinical features
• Present in the posterior midline of the dorsum of the tongue
• Less than 2cm
• Surface is smooth
• lobulated
• kissing lesion
• Occasionally lesions are located somewhat anterior to usual
location. None have been located posterior to circumvallate
papilla
• Oral varicosities
• Varicosities are aquired benign lesion of a vein, artery or lymphatic
vessel abnormally dilated and tortuous but in within oral cavity is
only used in reference to venous lesions
• sublingual varix
• Males
• over 50years
• Clinical features
• Irregular, blue purple lesion
• Multiple with a bilateral linear distribution
• Thrombosed varix
• Diascopy
• Commisural lip pit
• congenital or developmental defects
• Their location suggest that they may represent a failure of normal
fusion of embryonal maxillary and mandibular process
• Unilateral or bilateral
• Clinical features
• Invagination is usually 1-2mm in diameter, may be as deep as
4mm and is lined by stratified squamous epithelium
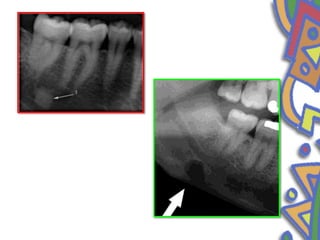
• Periapical idiopathic osteosclerosis
• Enostosis
• Dense bone island
• Localized growth of compact bone
• Asymptomatic
• vary in size from 2 mm to 1-2 cm.
• Mandible
• Premolar molar area
• Radiographic image- radiopaque
• Asymptomatic
• Etiology – no
• margins or capsule
• D/D
• Folliate papilla
• Occurs as an area of vertical fold and grooves located on the
extreme posterior lateral surface of tongue
• Occasionaly mistaken for tumours or inflammatory disease
• Bilaterally symmetrical
• In some people the papilla are small and inconspicious whereas
in others they are prominent
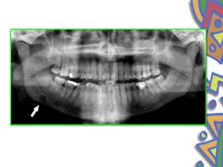
• Stafne bone defect
• First described by Stafne in 1942
• The exact pathogenesis is still obscure.
• Epidemiology
• Men in their
• fifth or seventh decade of life
• Stafne suggested that the cavity could result from a failure of
normal bone deposition in the region formerly occupied by
cartilage .
• localized pressure atrophy of the lingual surface of the
mandible from the adjacent salivary gland
• Clinical features
• Present as asymptomatic radiolucency below the mandibular canal in
the posterior mandible between the molar and angle of mandible
• well circumscribed
• sclerotic border
• Superimposed over the apices of anterior teeth
• Stable in size
• 1 to 3cm in diameter
• below the inferior dental canal
• Incidental
• d/d
REFERENCES
1. Burket Oral Medicine: diagnosis and treatment 12th edition
2. Oral Radiology :Principle and nterpretation White and
Pharoah
3. Shafers Textbook of Oral Pathology
4. Oral diseases – Roderich A Cawson, William H Binniew, John
H Wright
5. Oral Radiology :Principle and Interpretation White and
Pharoah
Thank you

Normal anatomical variations( Dr MEGHA B)

  • 1.
    Dr Megha B Seniorlecturer Department of Oral Medicine and Radiology MINDS, MAHE
  • 2.
  • 3.
    • Introduction • Fundamentalto diagnosing oral pathologic conditions is the ability to recognize the spectrum of clinical findings that represents variation of normal within the population. • Some are purely developmental, while others have a clear inflammatory or traumatic etiology.
  • 4.
    • 1.Variation OnBuccal Mucosa • Leukedema • Fordyces Granule • Linea Alba • 2.Variations On Gingiva • Physiologic Pigmentation • 3.Variations On Tongue • Fissured Tongue • Geographic Tongue • Oral Varicosity • Median Rhomboid Glossitis • Bifid Tongue • Folliate Papilla •
  • 5.
    • 4.Variations OnLips • Commissural Lip Pit • Paramedian Lip Pit • 5.Radiological Variations • Idiopathic Osteosclerosis • Focal Osteoporotic Bone Defect • Stafne Bone Defect
  • 7.
    • Leukedema • Commondevelopmental alteration of the oral mucosa which present most typically as an asymptomatic, bilateral, whitish, grey semitransparent macule of the buccal mucosa • Epidemology • Distribution between genders has been found to be equal • The incidence and intensity increases with age
  • 8.
    • Clinical features •White and wheel like alteration of oral mucosa • bilaterally on buccal mucosa • Less clinically evident after stretching of the mucosa but reappear after this manipulation is discontinued
  • 9.
    • Asymptomatic • Nomalignant transformation • Differential diagnosis • Clinical examination readily differentiate leukedema from leukoplakia since there is no loss of pliability or flexibilty of involved tissue • In addition tissue affected by leukedema manifest an edematous state
  • 10.
    • lichen planus •White spongy nevus • cheek biting
  • 12.
    • Linea alba •Normal variations which appear as a white line extending from the corner of the mouth to posterior region at the level of occlusal plane bilaterally • Frictional keratosis • Trauma from facial surface of teeth.
  • 13.
    • Usually presentbilateraly • It is believed that parakeratosis occur along the line of occlusal plane as the cheeks sucks in due to negative pressure
  • 15.
    • Fordyces granule •Ectopic sebaceous gland located on oral mucosa and vermillion border of lips • 80% of the adult population • More pronounced in males • Male to female ratio 11:5
  • 16.
    • Clinical features •The buccal mucosa and vermillion border are the most common locations • Alveolar ridge, gingiva, palate and tongue • Maculopappular lesions typically smaller than 2mm • White or cream colour spots • May occasionally coalesce and form plaque
  • 17.
    • Treatment • Notrequired • Chemical peel • Laser • Surgical diathermy or cryotherapy
  • 19.
    • Physiological pigmentation •increased melanotic activity rather than an increase in number of melanocytes • • Africans, Asians and Mediterranean • both gender • 1st two decades Epidemiology Epidemiology
  • 20.
    • Clinical features •Attached gingiva • light to dark brown • It appears as bilateral, well demarcated, ribbon like dark brown band • The buccal mucosa, hard palate, lips and tongue may also be affected • symmetrically distributed
  • 22.
    • Disease thatmay be confused with melanin pigmentation are • Addisons disease , • Oral melanotic macule. • Oral mucosal melanoma, • Drug induced pigmentation
  • 24.
    • Geographic tongue •Is an annular lesion affecting the dorsum of tongue and margins • Also known as erythema migrans • Epidemiology • 1-2.5% prevalence • Gender distribution is equal
  • 25.
    • Clinical features •comprise a white yellow or grey slightly elevated peripheral zone • Erythmatous patch =atropy of filiform papilla . • white border regenerating= filiform papilae and a mixture of keratin and neutrophil
  • 26.
    – Tip – lateralborder – dorsum of the tongue • Geographic tongue is circumferentially migrating and leaves an erythmatous area behind • The peripheral zone disappear after sometime and healing of depapilated and erythmatous area starts • The lesion may commence at various starting points, the peripheral zones fuse and typical clinical features of geographic tongue appears
  • 27.
    • single tomultiple lesions • Usually non symptomatic
  • 29.
    • Fissured tongue •shallow to deep grooves or furrows • dorsal surface of the tongue Epidemiology • Higher frequency among males • Hereditary
  • 30.
    clinical features • Agingand local environmental factors • Fissured tongue is diagnosed on the basis of fissures clinically • Based on the position of the fissures it can be classified as median and lateral type
  • 31.
    • Diagnosis • Clinicalfeatures are diagnostic , biopsy is rarely done • Histology • Shows increase thickness of lamina propria • Hyperplasia of rete ridges • Neutrophillic microabcess in the upper epithelial layer • Mixed inflammatory infiltrate in lamina propria
  • 33.
    • Bifid tongue •A completely cleft or bifid tongue is a rare condition • A partially cleft tongue is considerably more common and is manifested simply as a deep groove in the midline of dorsal surface
  • 34.
    • The laterallingual structures rapidly grow and cover the tuberculum impar to form the anterior two-thirds of the tongue. When this process is disturbed, tip of the tongue is divided longitudinally for a certain distance giving rise to cleft tongue/bifid tongue. • Mostly associated with orofacial digital syndrome
  • 36.
    • Median rhomboidglossitis • Median rhomboid glossitis is clinically characterized by erythmatous lesion in the center of posterior part of dorsum of tongue • Developmental defect resulting from an incomplete desent of tuberculum impar and entrapment of a portion between fusing lateral halves of the tongue • 3:1 male predilection
  • 37.
    • rhomboid shaped,smooth erythmatous mucosa lacking in papilla or taste buds • atropic candidiasis
  • 38.
    • Clinical features •Present in the posterior midline of the dorsum of the tongue • Less than 2cm • Surface is smooth • lobulated
  • 39.
    • kissing lesion •Occasionally lesions are located somewhat anterior to usual location. None have been located posterior to circumvallate papilla
  • 41.
    • Oral varicosities •Varicosities are aquired benign lesion of a vein, artery or lymphatic vessel abnormally dilated and tortuous but in within oral cavity is only used in reference to venous lesions • sublingual varix • Males • over 50years
  • 42.
    • Clinical features •Irregular, blue purple lesion • Multiple with a bilateral linear distribution • Thrombosed varix • Diascopy
  • 44.
    • Commisural lippit • congenital or developmental defects • Their location suggest that they may represent a failure of normal fusion of embryonal maxillary and mandibular process
  • 45.
    • Unilateral orbilateral • Clinical features • Invagination is usually 1-2mm in diameter, may be as deep as 4mm and is lined by stratified squamous epithelium
  • 47.
    • Periapical idiopathicosteosclerosis • Enostosis • Dense bone island • Localized growth of compact bone • Asymptomatic • vary in size from 2 mm to 1-2 cm.
  • 48.
    • Mandible • Premolarmolar area • Radiographic image- radiopaque • Asymptomatic • Etiology – no
  • 49.
    • margins orcapsule • D/D
  • 51.
    • Folliate papilla •Occurs as an area of vertical fold and grooves located on the extreme posterior lateral surface of tongue • Occasionaly mistaken for tumours or inflammatory disease • Bilaterally symmetrical
  • 52.
    • In somepeople the papilla are small and inconspicious whereas in others they are prominent
  • 54.
    • Stafne bonedefect • First described by Stafne in 1942 • The exact pathogenesis is still obscure. • Epidemiology • Men in their • fifth or seventh decade of life
  • 55.
    • Stafne suggestedthat the cavity could result from a failure of normal bone deposition in the region formerly occupied by cartilage . • localized pressure atrophy of the lingual surface of the mandible from the adjacent salivary gland
  • 56.
    • Clinical features •Present as asymptomatic radiolucency below the mandibular canal in the posterior mandible between the molar and angle of mandible • well circumscribed • sclerotic border
  • 57.
    • Superimposed overthe apices of anterior teeth • Stable in size • 1 to 3cm in diameter • below the inferior dental canal • Incidental • d/d
  • 64.
    REFERENCES 1. Burket OralMedicine: diagnosis and treatment 12th edition 2. Oral Radiology :Principle and nterpretation White and Pharoah 3. Shafers Textbook of Oral Pathology 4. Oral diseases – Roderich A Cawson, William H Binniew, John H Wright 5. Oral Radiology :Principle and Interpretation White and Pharoah
  • 65.

Editor's Notes