Early childhood caries
Presented by: Deepak Thakur
2/15/2016 1
Early childhood caries
2/15/2016 2
Contents
• Definition
• Terminologies
• epidemiology
• Classification
• Developmental stages of ECC
• Primary etiological risk factor
• Secondary etiological risk factor
• Prevention of ECC
2/15/2016 3
Definition
AAPD:The disease of early childhood caries is the
presence of one or more decayed,missing,or
filled tooth surfaces in any primary tooth in a child 71
months of age or younger.
In children younger than 3 years of age,any sign of
smooth surfaces caries is indicative of severe early
childhood caries.from ages 3 through 5 ,one or more
cavitated,missing or filled smooth surfaces in primary
maxillary anterior teeth or decayed,missing,or filled
score of >4(age3),>5(age4),or >6(age 5) surfaces
constitutes S-ECC.
2/15/2016 4
Terminologies for early childhood
caries
• Nursing caries: Winter(1966)
• Tooth clearing neglect: Moss(1996)
• Infant and early childhood dental decay:
Horowitz(1998)
• Early childhood caries: Davies(1998)
• MDSMD: Maternally derived streptococcus
mutans disease.
2/15/2016 5
Epidemiology
• United states 24.7 percent
• 58.6 percent of all 5 to 17 years old.
Poor and minority children:70 percent
In philippines:ECC is at least 1 in 4(25%)of 5 to 6
years old.
According to who: southeast asia,south
asia,eastern mediterranian region and developing
countries,dental decay is important cause of
disablity in 5 to 6 years old.
2/15/2016 6
classification
• Classification of ECC by wayne
Type 1 •Mild to moderate
•Existence of isolated carious lesion involving molars and incisors
•Number of carious teeth increases as cariogenic challenge persists
•Cause is usually a combination of cariogenic semisolid food and lack of oral
hygiene.
•Seen in 2-5 years old.
Type 2 Moderate to severe
Labiolingual carious lesion affecting maxillary incisors
Mandibular incisors are not affected
Use of feeding bottle or at will breastfeeding or a combination of both with or
without poor oral hygiene
Seen soon after eruption of teeth
2/15/2016 7
Classification
Type 3 Severe
Carious lesion affecting all the teeth including lower incisors
Cause is cariogenic food and poor oral hygiene
Condition is rampant
2/15/2016 8
2/15/2016 9
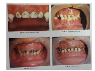
Developmental stages
Stage Clinical features Age Features
I Initial reversible stage 10-18months Cervically and occasionally interproximal
areas of chalky white demineralization.
No pain.
II Damaged carious stage 18-24months Lesion in maxillary anterior teeth,may
spread to dentin and show yellowish
brown discoloration.
Pain on having cold food.
III Deep lesion 24-36months Depending on time of
eruption,cariogenicity of sweetner and
frequency of its use this stage can reach
in 10-14months also.
Molars are also affected
Frequent complaint of pain
Pulpal involvement in maxillary incisors
IV Traumatic stage 36-48months Teeth becomes so weakened
Report of history of trauma
Molars associated with pulpal problems
Maxillary incisors become non vital.2/15/2016 10
2/15/2016 11
Etiological factors
Primary
• Pathogenic microorganism
• Substrate(Fermentable carbohydrate)
• Host
• Time
2/15/2016 12
Pathogenic microorganism
• Streptococcus mutans
• Transmitted to the infant’s mouth primarily
through mother.(vertical transmission)
• Considered more virulent
• It is seen that a child’s infection is nine times
greater when maternal salivary count is greater
than 100,000 colony forming units per ml.
• It is more common in rapid and smooth surface
caries and less common in pit and fissure caries.
2/15/2016 13
Substrate(Fermentable carbohydrate)
• Carbohydrates are utilized by microorganisms
to form dextrans which
Adhere organisms to tooth surface
Cause organic acid to demineralize the tooth.
2/15/2016 14
Host
• Teeth acts as a host for microorganisms.
• Hypomineralized or hypoplasia of the teeth
increases the susceptibility of the child to
caries.
• Thin enamel in the primary teeth is one of the
reasons for early spread of lesions.
• Developmental grooves act as the plaque
retentive areas.
2/15/2016 15
Time
• It is an important factor that determines caries
activity.
• More the time child sleeps with bottle in the
mouth,higher is the risk of caries.
2/15/2016 16
Secondary etiological factor
• Immunological factors
• Tooth maturation and defects
• Race and Ethnicity
• Acid fruit drink
• Socioeconomic status
• Dental knowledge
2/15/2016 17
Immunological factors
• Host immune mechanisms include specific
immune factors derived from saliva(sIgA) or
serum and gingival crevicular fluid(IgG)
• IgA inhibit bacterial adherence or
agglutination,as well as neutralization of
bacterial enzymes.
2/15/2016 18
Tooth maturation and defects
• Tooth is most susceptible to caries in the
period immediately after eruption and prior to
final maturation.
• In addition, presence of developmental
structural defects in enamel may increases the
caries risk.
2/15/2016 19
Race and Ethnicity
• Children living in ethnic areas demonstrate an
extremely high rate of Early Childhood Caries.
• Milnes noted that ECC is so pervasive among
these children that parents consider it a
normal childhood disease that affects all
children.
2/15/2016 20
Acid fruit drink
• Acid in fruit juices and soft drinks may
decrease the oral pH.
• This fall in pH enhances the fermentation of
carbohydrates and thus cause more profound
enamel demineralization..
2/15/2016 21
Socioeconomic status
• Individuals from lower socioeconomic status
experience financial,social and material
disadvantages that compromises their ability
to care for themselves,obtain professional
health care services,and live in a healthy
environment,all of which lead to reduced
resistance to oral and other disease.
2/15/2016 22
Nursing bottle caries
 Definition:condition attributable to frequent prolonged
contact with bottle containing sweet beverages or milk.
 Clinical features:
• It affects primary teeth in following sequence:
a.Maxillary central incisors:
b.Maxillary lateral incisors:
c.Maxillary first molars:
d.Maxillary canine and second molars:
e.Mandibular molars:
• Mandibular anterior teeth are usually spared because:
2/15/2016 23
Progression of the lesion
• Initially a demineralized dull,white
area is seen along the gum line on
the labial aspect of maxillary incisors,
which is undetected by the parents.
These white lesions become cavities
which involve the neck of the tooth in
a ring like lesion.
Finally the whole crown of the incisors is
destroyed leaving behind brown black
root stumps
2/15/2016 24
Implications
• The child with nursing caries has an increased
risk of developing caries even in the
permanent dentition.
• The child with caries is also susceptible to
other health hazards.
• The treatment may prove to be financial
burden for some parents.
2/15/2016 25
Management
Aims
• Management of existing emergency
• Arrest and control of the carious process
• Institution of preventive procedures
• Restoration and rehabilitation
Factors affecting management:
• Extent of the lesion
• Age of the patient
• Behavioral problems
2/15/2016 26
Treatment
1st visit:
• All lesions should be excavated and restored.
• Indirect pulp capping or pulp therapy procedures can
be evaluated by further investigation.
• If abscess is present it can be treated through drainage.
• X-rays are advised to assess the condition of the
succedaneous teeth.
• Collection of saliva for determining the salivary flow
and viscosity.
• Application of fluoride topically.
2/15/2016 27
Parent counseling
• Parents should be questioned about child’s
feeding habits.
• Should be asked to try weaning the child from
using the bottle as a pacifier while in bed.
• Should be instructed to clean the child’s teeth
after every feed.
• Adviced to maintain a diet record for 1 week.
2/15/2016 28
2nd visit
• Analysis of diet chart and explanation of the
disease process of the child’s teeth with a simple
equation.
• Isolate sugar factors from the diet chart and
control sugar exposure by intelligent use.
• Reassess the restoration and redo if needed.
• Caries activity tests can be started and repeated
at monthly intervals to monitor success of
treatment.
2/15/2016 29
3rd and subsequent visit:
• Restoring all grossly decayed teeth
• Endodontic treatment
• In case of unrestorable teeth,extractions can
be done followed by space maintenance.
• Crowns can be given for grossly decayed or
endodontically treated teeth.
• Review and recall after every 3months.
2/15/2016 30
Prevention
• Early screening for signs of caries
development, starting from the first year of
life,could identify infants and toddlers
showing the risk of developing early childhood
caries.
• 3 general approach:
Community based
Professional based
Home based
2/15/2016 31
Rampant caries
• Massler(1945) defined rampant caries as
suddenly appearing widespread ,rapidly
spreading,burrowing type of caries,resulting in
early involvement of pulp and affecting those
teeth,which are usually regarded as immune
to decay.
2/15/2016 32
Nursing vs Rampant caries
• 1.Nature
• 2.Age
• 3.Characteristic features
• 4.Etiology
• 5.Treatment
• 6.Prevention
2/15/2016 33
Difference between nursing and
rampant caries
type/nature Specific form of rampant caries
acute generalized spread of caries
& pulpal involvement in selected
teeth of dentition.
Acute genaralized spread of
caries and pulpal involvement
in all teeth.
Age Infants and toddler At any age, both primary and
permanent teeth are involved
and no specific teeth in
particular
etiology Feeding children with milk bottles
while the child is lying down or
sleeping breast feeding whenever
the child asks & at will for prolonged
duration of time.Use of pacifier
which are coated with honey or any
artificial sweeteners to stop baby
from crying.it involves only feeding
factor.
Frequent intake of sweet
sugary & sticky food substitute
throughout the day decreasesd
water intake through the day &
decreases salivary flow.Genetic
predilection if seen in parents
or family.it is combination of
many factor.
2/15/2016 34
Nursing bottle caries Rampant caries
Continue…
Nursing bottle caries Rampant caries
Characteristic
features
Specific teeth are involved mandibular
incisor are not affected at all(because
of constant flow of saliva from
submandibular gland & constant
cleansing movement of tongue.
No specific teeth are involved.all
teeth are equally involved .
It can be seen at any age.
Treatment It depends on the stage & time of
detection& intervention by parents &
dentist .if diagnosed at an early stage
fluoride application and parent
education is needed.
Pulpectomy , pulpotomy & space
maintainer are decided based on
signs/ symptoms until transition
occurs.
It depends on the stage of
intervention.
Early intervention requires
removal of caries and
restoration/crowns depending on
stage of tooth decay.
In case of pulp involvement pulp
therapy/root canal treatment is
required.
2/15/2016 35
2/15/2016 36
Age specific prevention of rampant
caries
Dentition:0-5 years
• Therapy :Toothpaste
Fluoride tablets, if in area without
water fluoridation
Professional topical fluoride application
every 6 months
• Control: Oral hygiene instructions to parents
Toothbrushing with parental supervision
6 month recall
2/15/2016 37
Age specific prevention
Dentiton 5-12 years
• Advice: diet counseling with parents and patients
• Therapy: toothpaste
fluoride tablets up to 8 years if in
area without water fluoridation.
mouth rinse
professional topical fluoride application
every 6 months.
2/15/2016 38
Age specific prevention
• Control: oral hygiene instructions to patient
toothbrushing without parental
supervision.
sealants
6 months recall
permanent dentition: 12 years onwards
• Advice: diet counseling with parents and
patients
2/15/2016 39
Age specific prevention
• Therapy: toothpaste
mouth rinse
professional topical fluoride
application every 6 months
• control: oral hygiene instructions to patient
toothbrushing
interdental cleaning with floss
sealants
2/15/2016 40
References
• Sobha Tondon-Textbook of pedodontics 2nd
edition.
• Nikhil Marwah-Textbook of Pediatric Dentistry
3rd edition.
2/15/2016 41
2/15/2016 42

New microsoft office power point 2007 presentation

  • 1.
    Early childhood caries Presentedby: Deepak Thakur 2/15/2016 1
  • 2.
  • 3.
    Contents • Definition • Terminologies •epidemiology • Classification • Developmental stages of ECC • Primary etiological risk factor • Secondary etiological risk factor • Prevention of ECC 2/15/2016 3
  • 4.
    Definition AAPD:The disease ofearly childhood caries is the presence of one or more decayed,missing,or filled tooth surfaces in any primary tooth in a child 71 months of age or younger. In children younger than 3 years of age,any sign of smooth surfaces caries is indicative of severe early childhood caries.from ages 3 through 5 ,one or more cavitated,missing or filled smooth surfaces in primary maxillary anterior teeth or decayed,missing,or filled score of >4(age3),>5(age4),or >6(age 5) surfaces constitutes S-ECC. 2/15/2016 4
  • 5.
    Terminologies for earlychildhood caries • Nursing caries: Winter(1966) • Tooth clearing neglect: Moss(1996) • Infant and early childhood dental decay: Horowitz(1998) • Early childhood caries: Davies(1998) • MDSMD: Maternally derived streptococcus mutans disease. 2/15/2016 5
  • 6.
    Epidemiology • United states24.7 percent • 58.6 percent of all 5 to 17 years old. Poor and minority children:70 percent In philippines:ECC is at least 1 in 4(25%)of 5 to 6 years old. According to who: southeast asia,south asia,eastern mediterranian region and developing countries,dental decay is important cause of disablity in 5 to 6 years old. 2/15/2016 6
  • 7.
    classification • Classification ofECC by wayne Type 1 •Mild to moderate •Existence of isolated carious lesion involving molars and incisors •Number of carious teeth increases as cariogenic challenge persists •Cause is usually a combination of cariogenic semisolid food and lack of oral hygiene. •Seen in 2-5 years old. Type 2 Moderate to severe Labiolingual carious lesion affecting maxillary incisors Mandibular incisors are not affected Use of feeding bottle or at will breastfeeding or a combination of both with or without poor oral hygiene Seen soon after eruption of teeth 2/15/2016 7
  • 8.
    Classification Type 3 Severe Cariouslesion affecting all the teeth including lower incisors Cause is cariogenic food and poor oral hygiene Condition is rampant 2/15/2016 8
  • 9.
  • 10.
    Developmental stages Stage Clinicalfeatures Age Features I Initial reversible stage 10-18months Cervically and occasionally interproximal areas of chalky white demineralization. No pain. II Damaged carious stage 18-24months Lesion in maxillary anterior teeth,may spread to dentin and show yellowish brown discoloration. Pain on having cold food. III Deep lesion 24-36months Depending on time of eruption,cariogenicity of sweetner and frequency of its use this stage can reach in 10-14months also. Molars are also affected Frequent complaint of pain Pulpal involvement in maxillary incisors IV Traumatic stage 36-48months Teeth becomes so weakened Report of history of trauma Molars associated with pulpal problems Maxillary incisors become non vital.2/15/2016 10
  • 11.
  • 12.
    Etiological factors Primary • Pathogenicmicroorganism • Substrate(Fermentable carbohydrate) • Host • Time 2/15/2016 12
  • 13.
    Pathogenic microorganism • Streptococcusmutans • Transmitted to the infant’s mouth primarily through mother.(vertical transmission) • Considered more virulent • It is seen that a child’s infection is nine times greater when maternal salivary count is greater than 100,000 colony forming units per ml. • It is more common in rapid and smooth surface caries and less common in pit and fissure caries. 2/15/2016 13
  • 14.
    Substrate(Fermentable carbohydrate) • Carbohydratesare utilized by microorganisms to form dextrans which Adhere organisms to tooth surface Cause organic acid to demineralize the tooth. 2/15/2016 14
  • 15.
    Host • Teeth actsas a host for microorganisms. • Hypomineralized or hypoplasia of the teeth increases the susceptibility of the child to caries. • Thin enamel in the primary teeth is one of the reasons for early spread of lesions. • Developmental grooves act as the plaque retentive areas. 2/15/2016 15
  • 16.
    Time • It isan important factor that determines caries activity. • More the time child sleeps with bottle in the mouth,higher is the risk of caries. 2/15/2016 16
  • 17.
    Secondary etiological factor •Immunological factors • Tooth maturation and defects • Race and Ethnicity • Acid fruit drink • Socioeconomic status • Dental knowledge 2/15/2016 17
  • 18.
    Immunological factors • Hostimmune mechanisms include specific immune factors derived from saliva(sIgA) or serum and gingival crevicular fluid(IgG) • IgA inhibit bacterial adherence or agglutination,as well as neutralization of bacterial enzymes. 2/15/2016 18
  • 19.
    Tooth maturation anddefects • Tooth is most susceptible to caries in the period immediately after eruption and prior to final maturation. • In addition, presence of developmental structural defects in enamel may increases the caries risk. 2/15/2016 19
  • 20.
    Race and Ethnicity •Children living in ethnic areas demonstrate an extremely high rate of Early Childhood Caries. • Milnes noted that ECC is so pervasive among these children that parents consider it a normal childhood disease that affects all children. 2/15/2016 20
  • 21.
    Acid fruit drink •Acid in fruit juices and soft drinks may decrease the oral pH. • This fall in pH enhances the fermentation of carbohydrates and thus cause more profound enamel demineralization.. 2/15/2016 21
  • 22.
    Socioeconomic status • Individualsfrom lower socioeconomic status experience financial,social and material disadvantages that compromises their ability to care for themselves,obtain professional health care services,and live in a healthy environment,all of which lead to reduced resistance to oral and other disease. 2/15/2016 22
  • 23.
    Nursing bottle caries Definition:condition attributable to frequent prolonged contact with bottle containing sweet beverages or milk.  Clinical features: • It affects primary teeth in following sequence: a.Maxillary central incisors: b.Maxillary lateral incisors: c.Maxillary first molars: d.Maxillary canine and second molars: e.Mandibular molars: • Mandibular anterior teeth are usually spared because: 2/15/2016 23
  • 24.
    Progression of thelesion • Initially a demineralized dull,white area is seen along the gum line on the labial aspect of maxillary incisors, which is undetected by the parents. These white lesions become cavities which involve the neck of the tooth in a ring like lesion. Finally the whole crown of the incisors is destroyed leaving behind brown black root stumps 2/15/2016 24
  • 25.
    Implications • The childwith nursing caries has an increased risk of developing caries even in the permanent dentition. • The child with caries is also susceptible to other health hazards. • The treatment may prove to be financial burden for some parents. 2/15/2016 25
  • 26.
    Management Aims • Management ofexisting emergency • Arrest and control of the carious process • Institution of preventive procedures • Restoration and rehabilitation Factors affecting management: • Extent of the lesion • Age of the patient • Behavioral problems 2/15/2016 26
  • 27.
    Treatment 1st visit: • Alllesions should be excavated and restored. • Indirect pulp capping or pulp therapy procedures can be evaluated by further investigation. • If abscess is present it can be treated through drainage. • X-rays are advised to assess the condition of the succedaneous teeth. • Collection of saliva for determining the salivary flow and viscosity. • Application of fluoride topically. 2/15/2016 27
  • 28.
    Parent counseling • Parentsshould be questioned about child’s feeding habits. • Should be asked to try weaning the child from using the bottle as a pacifier while in bed. • Should be instructed to clean the child’s teeth after every feed. • Adviced to maintain a diet record for 1 week. 2/15/2016 28
  • 29.
    2nd visit • Analysisof diet chart and explanation of the disease process of the child’s teeth with a simple equation. • Isolate sugar factors from the diet chart and control sugar exposure by intelligent use. • Reassess the restoration and redo if needed. • Caries activity tests can be started and repeated at monthly intervals to monitor success of treatment. 2/15/2016 29
  • 30.
    3rd and subsequentvisit: • Restoring all grossly decayed teeth • Endodontic treatment • In case of unrestorable teeth,extractions can be done followed by space maintenance. • Crowns can be given for grossly decayed or endodontically treated teeth. • Review and recall after every 3months. 2/15/2016 30
  • 31.
    Prevention • Early screeningfor signs of caries development, starting from the first year of life,could identify infants and toddlers showing the risk of developing early childhood caries. • 3 general approach: Community based Professional based Home based 2/15/2016 31
  • 32.
    Rampant caries • Massler(1945)defined rampant caries as suddenly appearing widespread ,rapidly spreading,burrowing type of caries,resulting in early involvement of pulp and affecting those teeth,which are usually regarded as immune to decay. 2/15/2016 32
  • 33.
    Nursing vs Rampantcaries • 1.Nature • 2.Age • 3.Characteristic features • 4.Etiology • 5.Treatment • 6.Prevention 2/15/2016 33
  • 34.
    Difference between nursingand rampant caries type/nature Specific form of rampant caries acute generalized spread of caries & pulpal involvement in selected teeth of dentition. Acute genaralized spread of caries and pulpal involvement in all teeth. Age Infants and toddler At any age, both primary and permanent teeth are involved and no specific teeth in particular etiology Feeding children with milk bottles while the child is lying down or sleeping breast feeding whenever the child asks & at will for prolonged duration of time.Use of pacifier which are coated with honey or any artificial sweeteners to stop baby from crying.it involves only feeding factor. Frequent intake of sweet sugary & sticky food substitute throughout the day decreasesd water intake through the day & decreases salivary flow.Genetic predilection if seen in parents or family.it is combination of many factor. 2/15/2016 34 Nursing bottle caries Rampant caries
  • 35.
    Continue… Nursing bottle cariesRampant caries Characteristic features Specific teeth are involved mandibular incisor are not affected at all(because of constant flow of saliva from submandibular gland & constant cleansing movement of tongue. No specific teeth are involved.all teeth are equally involved . It can be seen at any age. Treatment It depends on the stage & time of detection& intervention by parents & dentist .if diagnosed at an early stage fluoride application and parent education is needed. Pulpectomy , pulpotomy & space maintainer are decided based on signs/ symptoms until transition occurs. It depends on the stage of intervention. Early intervention requires removal of caries and restoration/crowns depending on stage of tooth decay. In case of pulp involvement pulp therapy/root canal treatment is required. 2/15/2016 35
  • 36.
  • 37.
    Age specific preventionof rampant caries Dentition:0-5 years • Therapy :Toothpaste Fluoride tablets, if in area without water fluoridation Professional topical fluoride application every 6 months • Control: Oral hygiene instructions to parents Toothbrushing with parental supervision 6 month recall 2/15/2016 37
  • 38.
    Age specific prevention Dentiton5-12 years • Advice: diet counseling with parents and patients • Therapy: toothpaste fluoride tablets up to 8 years if in area without water fluoridation. mouth rinse professional topical fluoride application every 6 months. 2/15/2016 38
  • 39.
    Age specific prevention •Control: oral hygiene instructions to patient toothbrushing without parental supervision. sealants 6 months recall permanent dentition: 12 years onwards • Advice: diet counseling with parents and patients 2/15/2016 39
  • 40.
    Age specific prevention •Therapy: toothpaste mouth rinse professional topical fluoride application every 6 months • control: oral hygiene instructions to patient toothbrushing interdental cleaning with floss sealants 2/15/2016 40
  • 41.
    References • Sobha Tondon-Textbookof pedodontics 2nd edition. • Nikhil Marwah-Textbook of Pediatric Dentistry 3rd edition. 2/15/2016 41
  • 42.