Neoplasia
Neoplasia
• Definitions
• Classification
• Nomenclature
• Characteristics of benign and malignant neoplasms
Neoplasia
• Cancer is one of the leading causes of death
worldwide.
• Emotional and physical suffering by the
patient.
• Different mortality rate …..
– Some are curable
– Others are fatal
Neoplasia
• Neoplasia = new growth
• Neoplasm = tumor
• Tumor = swelling
• The study of tumors = Oncology
– Oncos = tumor + ology = study of
Neoplasia
• Definition:
– is an abnormal mass of tissue,
– the growth of which is uncoordinated with that of normal
tissues,
– and that persists in the same excessive manner after the
cessation of the stimulus which evoked the change
– With the loss of responsiveness to normal growth
controls
Non-Neoplastic Proliferation:
*Controlled & Reversible
• Hypertrophy – Size
• Hyperplasia – Number
• Metaplasia – Change
• Dysplasia – Disordered
Neoplasia
• Classification
– Benign
– malignant
Neoplasia
• Benign tumors :
– Will remain localized
– Cannot spread to distant sites
– Generally can be locally excised
– Patient generally survives
Neoplasia
• Malignant neoplasms:
– Can invade and destroy adjacent structure
– Can spread to distant sites
– Cause death (if not treated )
Neoplasia
• All tumors benign and malignant have two
basic components:
–Parechyma: made up of neoplastic cells
–Stroma: made up of non-neoplastic, host-
derived connective tissue and blood vessels
Neoplasia
• The parenchyma:
– Determines the biological behavior of the tumor
– From which the tumor derives its name
Neoplasia
• The stroma:
– Carries the blood supply
– Provides support for the growth of the
parenchyma
• In some tumors, the stromal support is scant
and so the neoplasm is soft and fleshy.
• In other cases the parenchymal cells
stimulate the formation of an abundant
collagenous stroma, referred to as
desmoplasia.
Nomenclature
Benign tumors:
• prefix + suffix
• Type of cell + (-oma)
• Benign tumors arising from mesenchymal
tissue,
• cell of origin + oma
– Benign tumor arising in fibrous tissue:
Fibro + oma = Fibroma
- Benign tumor arising in fatty tissue:
Lipo + oma = lipoma
• Benign tumor arising in cartilage
chondro + oma = chondroma
• Benign tumor arising in smooth muscle
Leiomyo + oma = leiomyoma
• Benign tumor arising in skeletal muscle
Rhabdomyo + oma = rhabdomyoma
• epithelial benign tumors are classified on the
basis of :
– The cell of origin
– Microscopic pattern
– Macroscopic pattern
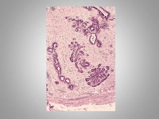
– Adenoma : benign epithelial neoplasms producing
gland pattern….OR … derived from glands but not
necessarily exhibiting gland pattern
– Papilloma : benign epithelial neoplasms growing
on any surface that produce microscopic or
macroscopic finger-like pattern
• Polyp : a mass that projects above a mucosal
surface to form a macroscopically visible
structure.
e.g. - colonic polyp
- nasal polyp
• Examples :
– Respiratory airways: Bronchial adenoma
– Renal epithelium: Renal tubular adenoma
– Liver cell : Liver cell adenoma
– Squamous epithelium: squamous papilloma
Malignant tumors:
– Malignant tumor arising in mesenchymal tissue :
SARCOMA
– Cell of origin + sarcoma
• From fibrous tissue: Fibrosarcoma
• From bone : Osteosarcoma
• From cartilage : chondrosarcoma
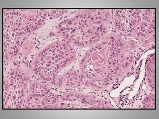
Malignant neoplasm of epithelial cells origin derived
from any of the three germ layer , are called
Carcinomas.
Cell of origin + Carcinoma
Squamous cells + carcinoma = squamous cell
carcinoma
Adenocarcinoma: One with a glandular growth
pattern microscopically.
Adenocarcinoma
Carcinoma
Adenocarcinoma: One with a glandular
growth pattern microscopically.
Squamous cell carcinoma
Clear Cells Renal Carcinoma
(3) Special nomenclature
① Blastoma: tumors rigging in immature tissue
or nervous tissue, most of them are malignant
e.g.medulloblastoma,retinoblastoma,
nephroblastoma,Neuroblastoma
② Some tumors attaching the suffix-oma.
But malignant
e. g. seminoma, lymphoma, melanoma,
dysgerminoma, glioma, hepatoma
③ Some malignant tumors, but called disease.
e. g. leukemias, paget’s disease
④ Some malignant tumors nominated by
scientists’ name
e. g. Hodgkin’s disease, Ewing’s tumor
⑤ Mixed tumors: tumors which derived from one
germ layer may undergo divergent
differentiation creating mixed tumors
e. g. mixed tumor of salivary gland
Neoplasia
Characteristics of benign and malignant
neoplasms
• Differentiation and anaplasia
• Rate of growth
• Local invasion
• metastasis
Neoplasia
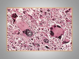
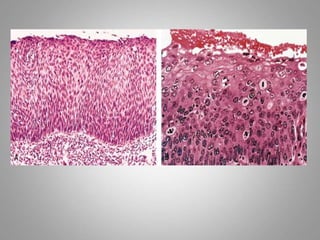
1. Differentiation and anaplasia:
• Differentiation means : the extent to which
the parenchymal cells of the tumor resemble
their normal counterparts morphologically
and functionally
Neoplasia
• well differentiated = closely resemble their
normal counterparts
• Moderately differentiated
• Poorly differentiated
• Undifferentiated ( Anaplasia )
Neoplasia
• Benign tumors = well differentiated
• Malignant tumors =
well differentiated -----> anaplastic
Neoplasia
Characteristics of benign and malignant
neoplasms
• Differentiation and anaplasia
• Rate of growth
• Local invasion
• metastasis
Neoplasia
• Rate of growth:
– Benign tumors:
• grows slowly
• are affected by blood supply, hormonal effects ,
location
– Malignant tumors :
• grows faster
• Correlate with the level of differentiation
Neoplasia
Characteristics of benign and malignant
neoplasms
• Differentiation and anaplasia
• Rate of growth
• Local invasion
• metastasis
Neoplasia
• Local invasion :
– Benign tumors :
• Remain localized
• Cannot invade
• Usually capsulated
– Malignant tumors :
• Progressive invasion
• Destruction
• Usually not capsulated
Neoplasia
Characteristics of benign and malignant
neoplasms
• Differentiation and anaplasia
• Rate of growth
• Local invasion
• metastasis
Neoplasia
• Metastasis :
– Definition : the development of secondary
implants discontinuous with the primary tumor,
possibly in remote tissues.
Neoplasia
• Metastasis :
– Cancers have different ability to metastasize
– Approximately 30% patients present with clinically
evident metastases.
– Generally, the more anaplastic and the larger the
primary tumor, the more likely is metastasis
Benign Malignant:
• Slow growing,
• capsulated,
• Non-invasive
• do not metastasize,
• well differentiated,
• suffix “oma” eg.
Fibroma.
• Fast growing,
• non capsulated,
• Invasive & Infiltrate
• Metastasize.
• poorly differentiated,
• Suffix “Carcinoma” or
“Sarcoma”
Modes of spread
• Metastasis : three pathways
– Lymphatic spread :
– Hematogenous spread :
– Seeding of the body cavities: pleural, peritoneal
cavities and cerebral ventricles
Neoplasia
• Lymphatic spread :
– favored by carcinomas
– Breast carcinoma  axillary lymph nodes
– Lung carcinomas  bronchial lymph nodes
• Hematogenous spread :
• favored by sarcomas
• Also used by carcinomas
• Veins are more commonly invaded
• The liver and lungs are the most frequently
involved secondary sites.
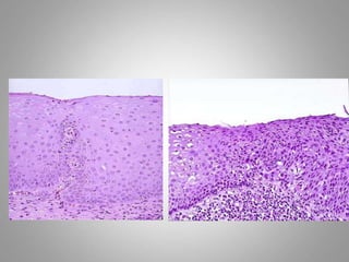
Dysplasia :
– Definiton: a loss in the uniformity of the individual
cells and a loss in their architectural orientation.
– Occurs mainly in the epithelia
– Dysplastic cells shows a degree of : pleomorphism,
hyperchromasia,increased mitosis and loss of
polarity.
• Dysplasia does not mean cancer
• Dyplasia does not necessarily progress to
cancer
• Dysplasia may be reversible
• If dysplastic changes involve the entire
thickness of the epithelium it is called :
CARCINOMA IN-SITU
• Carcinoma in-situ
– Definition: an intraepithelial malignancy in which
malignant cells involve the entire thickness of the
epithelium without penetration of the basement
membrane.
– Applicable only to epithelial neoplasms.
Teratoma:
– Teratoma contains recognizable mature or
immature cells or tissues representative of more
than one germ-cell layer and some times all
three.
– Teratomas originate from totipotential cells such
as those normally present in the ovary and testis.
• Such cells have the capacity to differentiate into any
of the cell types found in the adult body.
• So they may give rise to neoplasms that mimic
bone, epithelium, muscle, fat, nerve and other
tissues.
• Most common sites are: ovary, testis
Epidemiology
– Will help to discover aetiology
– Planning of preventive measures
– To know what is common and what is rare.
– Development of screening methods for early
diagnosis
Neoplasia
• Factors affecting incidence of cancer
– Geographic and Environmental
– Age
– Heredity
– Acquired preneoplastic disorders
Neoplasia
• Geographic and Environmental factors:
– Asbestos : mesothelioma
– Smoking : lung cancer
– Multiple sexual partners: cervical cancer
– Fatty diets : colonic cancer
Neoplasia
• Age:
– Generally, the frequency of cancer increases with
age.
– Most cancer mortality occurs between 55 and 75.
– Cancer mortality is also increased during
childhood
– Most common tumors of children: Leukemia,
tumors of CNS, Lymphomas, soft tissue and bone
sarcomas.
Neoplasia
• Heredity---BRCA 1 &2 mutation
– Inherited Cancer Syndromes
– Familial Cancers
– Autosomal Recessive Syndromes of Defective DNA
repair
Heredity
• Inherited Cancer Syndromes:
– Inheritance of a single mutant gene greatly
increases the risk of developing neoplasm
– E.g. Retinoblastoma in children :
• 40% of Retinoblastomas are familial
• carriers of the gene have 10000 fold increase in the risk
of developing Retinoblastoma
– E.g. multiple endocrine neoplasia
Heredity
• Familial Cancers:
– All common types of cancers occur in familial form
– E.g. breast, colon, ovary,brain
– Familial cancers usually have unique features:
• Start at early age
• Multiple or bilateral
• Two or more relatives
Heredity
– Autosomal Recessive Syndromes of Defective DNA
repair :
• Small group of autosomal recessive disorders
• Characterized by DNA instability
Neoplasia
–Acquired preneoplastic disorders: Some
Clinical conditions that predispose to cancer
• Dysplastic bronchial mucosa in smokers lung
carcinoma
• Atypical endometrial hypeplasia endometrial
carcinoma
• Liver cirrhosis  liver cell carcinoma
• Margins of chronic skin fistula  squamous cell
carcinoma
• Molecular basis of cancer(carcinogenesis)
• Clinical manifestation of neoplasms
• Laboratory diagnosis of tumors

neoplasia 2 (2).ppt

  • 1.
  • 2.
    Neoplasia • Definitions • Classification •Nomenclature • Characteristics of benign and malignant neoplasms
  • 3.
    Neoplasia • Cancer isone of the leading causes of death worldwide. • Emotional and physical suffering by the patient. • Different mortality rate ….. – Some are curable – Others are fatal
  • 4.
    Neoplasia • Neoplasia =new growth • Neoplasm = tumor • Tumor = swelling • The study of tumors = Oncology – Oncos = tumor + ology = study of
  • 5.
    Neoplasia • Definition: – isan abnormal mass of tissue, – the growth of which is uncoordinated with that of normal tissues, – and that persists in the same excessive manner after the cessation of the stimulus which evoked the change – With the loss of responsiveness to normal growth controls
  • 6.
    Non-Neoplastic Proliferation: *Controlled &Reversible • Hypertrophy – Size • Hyperplasia – Number • Metaplasia – Change • Dysplasia – Disordered
  • 7.
  • 8.
    Neoplasia • Benign tumors: – Will remain localized – Cannot spread to distant sites – Generally can be locally excised – Patient generally survives
  • 9.
    Neoplasia • Malignant neoplasms: –Can invade and destroy adjacent structure – Can spread to distant sites – Cause death (if not treated )
  • 10.
    Neoplasia • All tumorsbenign and malignant have two basic components: –Parechyma: made up of neoplastic cells –Stroma: made up of non-neoplastic, host- derived connective tissue and blood vessels
  • 11.
    Neoplasia • The parenchyma: –Determines the biological behavior of the tumor – From which the tumor derives its name
  • 12.
    Neoplasia • The stroma: –Carries the blood supply – Provides support for the growth of the parenchyma
  • 13.
    • In sometumors, the stromal support is scant and so the neoplasm is soft and fleshy. • In other cases the parenchymal cells stimulate the formation of an abundant collagenous stroma, referred to as desmoplasia.
  • 16.
    Nomenclature Benign tumors: • prefix+ suffix • Type of cell + (-oma)
  • 17.
    • Benign tumorsarising from mesenchymal tissue, • cell of origin + oma – Benign tumor arising in fibrous tissue: Fibro + oma = Fibroma - Benign tumor arising in fatty tissue: Lipo + oma = lipoma
  • 18.
    • Benign tumorarising in cartilage chondro + oma = chondroma • Benign tumor arising in smooth muscle Leiomyo + oma = leiomyoma • Benign tumor arising in skeletal muscle Rhabdomyo + oma = rhabdomyoma
  • 19.
    • epithelial benigntumors are classified on the basis of : – The cell of origin – Microscopic pattern – Macroscopic pattern
  • 20.
    – Adenoma :benign epithelial neoplasms producing gland pattern….OR … derived from glands but not necessarily exhibiting gland pattern – Papilloma : benign epithelial neoplasms growing on any surface that produce microscopic or macroscopic finger-like pattern
  • 23.
    • Polyp :a mass that projects above a mucosal surface to form a macroscopically visible structure. e.g. - colonic polyp - nasal polyp
  • 26.
    • Examples : –Respiratory airways: Bronchial adenoma – Renal epithelium: Renal tubular adenoma – Liver cell : Liver cell adenoma – Squamous epithelium: squamous papilloma
  • 27.
    Malignant tumors: – Malignanttumor arising in mesenchymal tissue : SARCOMA – Cell of origin + sarcoma • From fibrous tissue: Fibrosarcoma • From bone : Osteosarcoma • From cartilage : chondrosarcoma
  • 28.
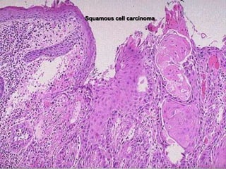
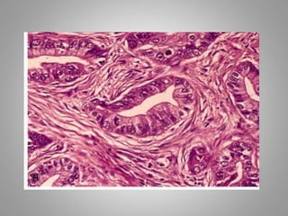
    Malignant neoplasm ofepithelial cells origin derived from any of the three germ layer , are called Carcinomas. Cell of origin + Carcinoma Squamous cells + carcinoma = squamous cell carcinoma Adenocarcinoma: One with a glandular growth pattern microscopically.
  • 29.
  • 30.
  • 31.
    Adenocarcinoma: One witha glandular growth pattern microscopically.
  • 32.
  • 33.
  • 34.
    (3) Special nomenclature ①Blastoma: tumors rigging in immature tissue or nervous tissue, most of them are malignant e.g.medulloblastoma,retinoblastoma, nephroblastoma,Neuroblastoma ② Some tumors attaching the suffix-oma. But malignant e. g. seminoma, lymphoma, melanoma, dysgerminoma, glioma, hepatoma
  • 35.
    ③ Some malignanttumors, but called disease. e. g. leukemias, paget’s disease ④ Some malignant tumors nominated by scientists’ name e. g. Hodgkin’s disease, Ewing’s tumor ⑤ Mixed tumors: tumors which derived from one germ layer may undergo divergent differentiation creating mixed tumors e. g. mixed tumor of salivary gland
  • 36.
    Neoplasia Characteristics of benignand malignant neoplasms • Differentiation and anaplasia • Rate of growth • Local invasion • metastasis
  • 37.
    Neoplasia 1. Differentiation andanaplasia: • Differentiation means : the extent to which the parenchymal cells of the tumor resemble their normal counterparts morphologically and functionally
  • 38.
    Neoplasia • well differentiated= closely resemble their normal counterparts • Moderately differentiated • Poorly differentiated • Undifferentiated ( Anaplasia )
  • 39.
    Neoplasia • Benign tumors= well differentiated • Malignant tumors = well differentiated -----> anaplastic
  • 43.
    Neoplasia Characteristics of benignand malignant neoplasms • Differentiation and anaplasia • Rate of growth • Local invasion • metastasis
  • 44.
    Neoplasia • Rate ofgrowth: – Benign tumors: • grows slowly • are affected by blood supply, hormonal effects , location – Malignant tumors : • grows faster • Correlate with the level of differentiation
  • 45.
    Neoplasia Characteristics of benignand malignant neoplasms • Differentiation and anaplasia • Rate of growth • Local invasion • metastasis
  • 46.
    Neoplasia • Local invasion: – Benign tumors : • Remain localized • Cannot invade • Usually capsulated – Malignant tumors : • Progressive invasion • Destruction • Usually not capsulated
  • 51.
    Neoplasia Characteristics of benignand malignant neoplasms • Differentiation and anaplasia • Rate of growth • Local invasion • metastasis
  • 52.
    Neoplasia • Metastasis : –Definition : the development of secondary implants discontinuous with the primary tumor, possibly in remote tissues.
  • 54.
    Neoplasia • Metastasis : –Cancers have different ability to metastasize – Approximately 30% patients present with clinically evident metastases. – Generally, the more anaplastic and the larger the primary tumor, the more likely is metastasis
  • 55.
    Benign Malignant: • Slowgrowing, • capsulated, • Non-invasive • do not metastasize, • well differentiated, • suffix “oma” eg. Fibroma. • Fast growing, • non capsulated, • Invasive & Infiltrate • Metastasize. • poorly differentiated, • Suffix “Carcinoma” or “Sarcoma”
  • 56.
    Modes of spread •Metastasis : three pathways – Lymphatic spread : – Hematogenous spread : – Seeding of the body cavities: pleural, peritoneal cavities and cerebral ventricles
  • 57.
    Neoplasia • Lymphatic spread: – favored by carcinomas – Breast carcinoma  axillary lymph nodes – Lung carcinomas  bronchial lymph nodes
  • 58.
    • Hematogenous spread: • favored by sarcomas • Also used by carcinomas • Veins are more commonly invaded • The liver and lungs are the most frequently involved secondary sites.
  • 59.
    Dysplasia : – Definiton:a loss in the uniformity of the individual cells and a loss in their architectural orientation. – Occurs mainly in the epithelia – Dysplastic cells shows a degree of : pleomorphism, hyperchromasia,increased mitosis and loss of polarity.
  • 60.
    • Dysplasia doesnot mean cancer • Dyplasia does not necessarily progress to cancer • Dysplasia may be reversible • If dysplastic changes involve the entire thickness of the epithelium it is called : CARCINOMA IN-SITU
  • 62.
    • Carcinoma in-situ –Definition: an intraepithelial malignancy in which malignant cells involve the entire thickness of the epithelium without penetration of the basement membrane. – Applicable only to epithelial neoplasms.
  • 65.
    Teratoma: – Teratoma containsrecognizable mature or immature cells or tissues representative of more than one germ-cell layer and some times all three. – Teratomas originate from totipotential cells such as those normally present in the ovary and testis.
  • 66.
    • Such cellshave the capacity to differentiate into any of the cell types found in the adult body. • So they may give rise to neoplasms that mimic bone, epithelium, muscle, fat, nerve and other tissues. • Most common sites are: ovary, testis
  • 67.
    Epidemiology – Will helpto discover aetiology – Planning of preventive measures – To know what is common and what is rare. – Development of screening methods for early diagnosis
  • 69.
    Neoplasia • Factors affectingincidence of cancer – Geographic and Environmental – Age – Heredity – Acquired preneoplastic disorders
  • 70.
    Neoplasia • Geographic andEnvironmental factors: – Asbestos : mesothelioma – Smoking : lung cancer – Multiple sexual partners: cervical cancer – Fatty diets : colonic cancer
  • 71.
    Neoplasia • Age: – Generally,the frequency of cancer increases with age. – Most cancer mortality occurs between 55 and 75. – Cancer mortality is also increased during childhood – Most common tumors of children: Leukemia, tumors of CNS, Lymphomas, soft tissue and bone sarcomas.
  • 72.
    Neoplasia • Heredity---BRCA 1&2 mutation – Inherited Cancer Syndromes – Familial Cancers – Autosomal Recessive Syndromes of Defective DNA repair
  • 73.
    Heredity • Inherited CancerSyndromes: – Inheritance of a single mutant gene greatly increases the risk of developing neoplasm – E.g. Retinoblastoma in children : • 40% of Retinoblastomas are familial • carriers of the gene have 10000 fold increase in the risk of developing Retinoblastoma – E.g. multiple endocrine neoplasia
  • 74.
    Heredity • Familial Cancers: –All common types of cancers occur in familial form – E.g. breast, colon, ovary,brain – Familial cancers usually have unique features: • Start at early age • Multiple or bilateral • Two or more relatives
  • 75.
    Heredity – Autosomal RecessiveSyndromes of Defective DNA repair : • Small group of autosomal recessive disorders • Characterized by DNA instability
  • 76.
    Neoplasia –Acquired preneoplastic disorders:Some Clinical conditions that predispose to cancer • Dysplastic bronchial mucosa in smokers lung carcinoma • Atypical endometrial hypeplasia endometrial carcinoma • Liver cirrhosis  liver cell carcinoma • Margins of chronic skin fistula  squamous cell carcinoma
  • 77.
    • Molecular basisof cancer(carcinogenesis) • Clinical manifestation of neoplasms • Laboratory diagnosis of tumors