NEOPLASIA
Dr. Parth Bhatt
08/02/2021
• Metaplasia
• Dysplasia
• Anaplasia
• Complication of chronic inflammation /
irritation
Clinical examples of Neoplasia
Nomenclature
• Neoplasia
• Neoplasm
• Tumor
• Oncology
• Clonal / Clonality
• Benign
• Malignant (Latin)
• Cancer
Neoplasia - Definition
Neoplasia = New growth
• Neo = New
• Plasia = Growth
• Tumor = Swelling
• Cancer = Crab (L)
• Oncology = Study of tumor / Neoplasm
(Oncos = Tumor)
Nomenclature
• Normal
• Abnormal
– Non neoplastic
• Hyperplasia
• Metaplasia
– Precancerous (dysplasia / in situ carcinomas)
– Neoplastic
• Benign
– Epithelial
– Mesenchymal
• Malignant
– Epithelial
– Mesenchymal
Cancer (L. Crab)
• Any malignant growth of cells (clonal)
• Nearly 7 lakh people die of cancer in
India (2015)
Gross features Microscopic features
Cancer (L. Crab)
Cancer (L. Crab)
Definition
• “Willis” definition of Neoplasia - (new growth)
abnormal mass of tissue, the growth of which
exceeds and is uncoordinated with the normal
tissues and continues to grow even after the
cessation of the stimulus that evoked the
initial response
• New Definition: (Robbins Path) a neoplasm
can be defined as a disorder of cell growth
that is triggered by a series of acquired
mutations affecting a single cell and its clonal
progeny
Normal – Hyperplasia – Dysplasia – Carcinoma
Neoplasm
The causative mutations give the
neoplastic cells a survival and growth
advantage, resulting in excessive
proliferation that is independent
of physiologic growth signals
(autonomous)
Neoplasia
• It is autonomous, purposeless
• Proliferation is uncontrolled
• Competes with normal cells for its needs
• It is a clonal disorder
• It is a genetic disorder
– In 95% of cases acquired genetic disorder
– In 5% of cases inherited
Nomenclature
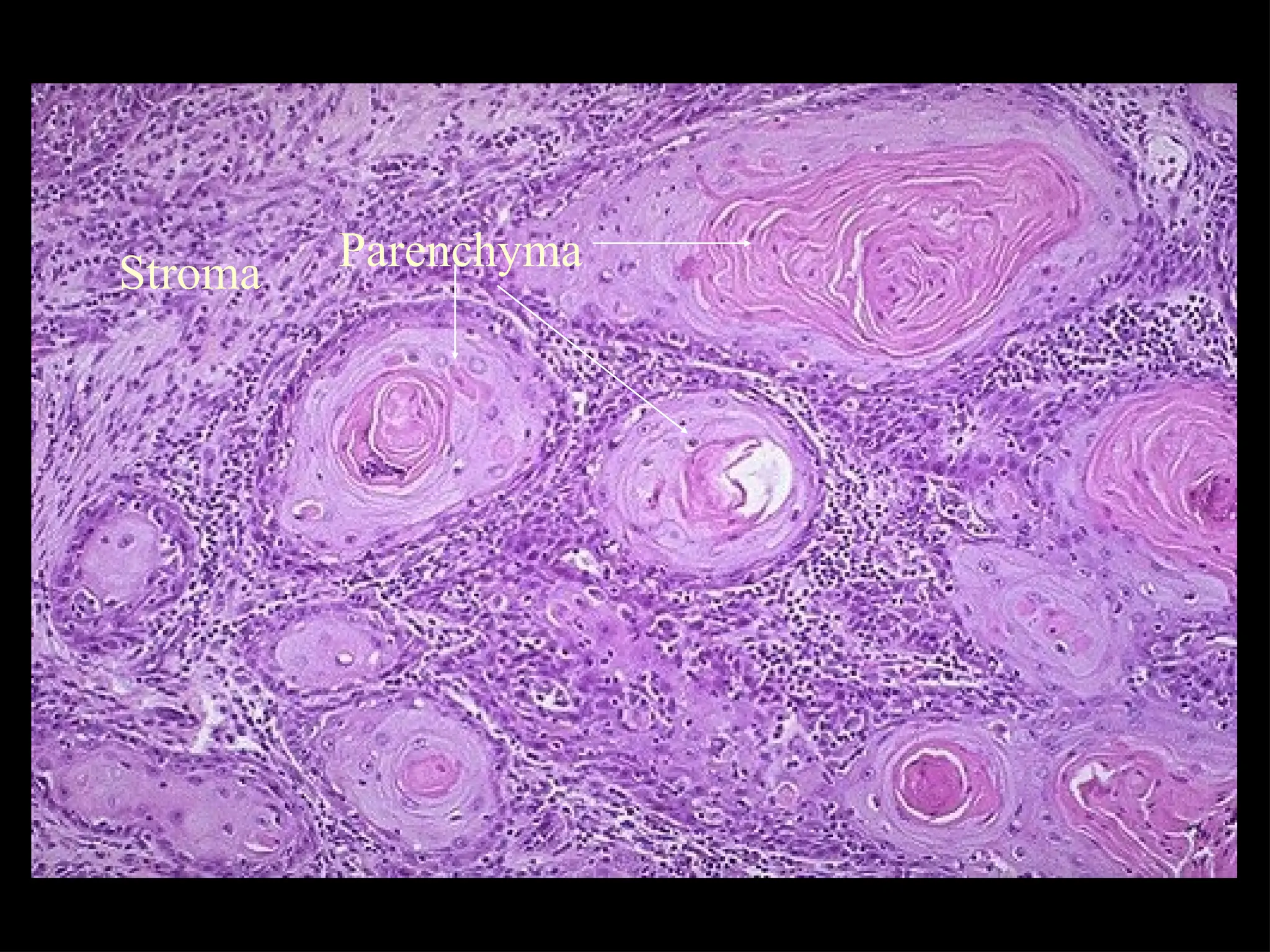
• All tumors have two components
– Parenchyma
• Represents tumor proper; the growth of the tumor
is due to proliferation of these cells
– Stroma
• Provides the framework, blood supply and nutrition
for the parenchymal cells
Parenchyma
Stroma
Soft / Flesy
lesions
Parenchyma
Stroma
Hard lesions
Parenchyma
Stroma
Desmoplasia
• Formation of abundant collagenous stroma
• Stimulated by parenchymal cells
• Ex: Schirrous. ca of breast
Linitus plastica (ca stomach)
Carcinoma prostate
Scirrhous carcinoma of breast
Scirrhous carcinoma of breast
Linitus plastica
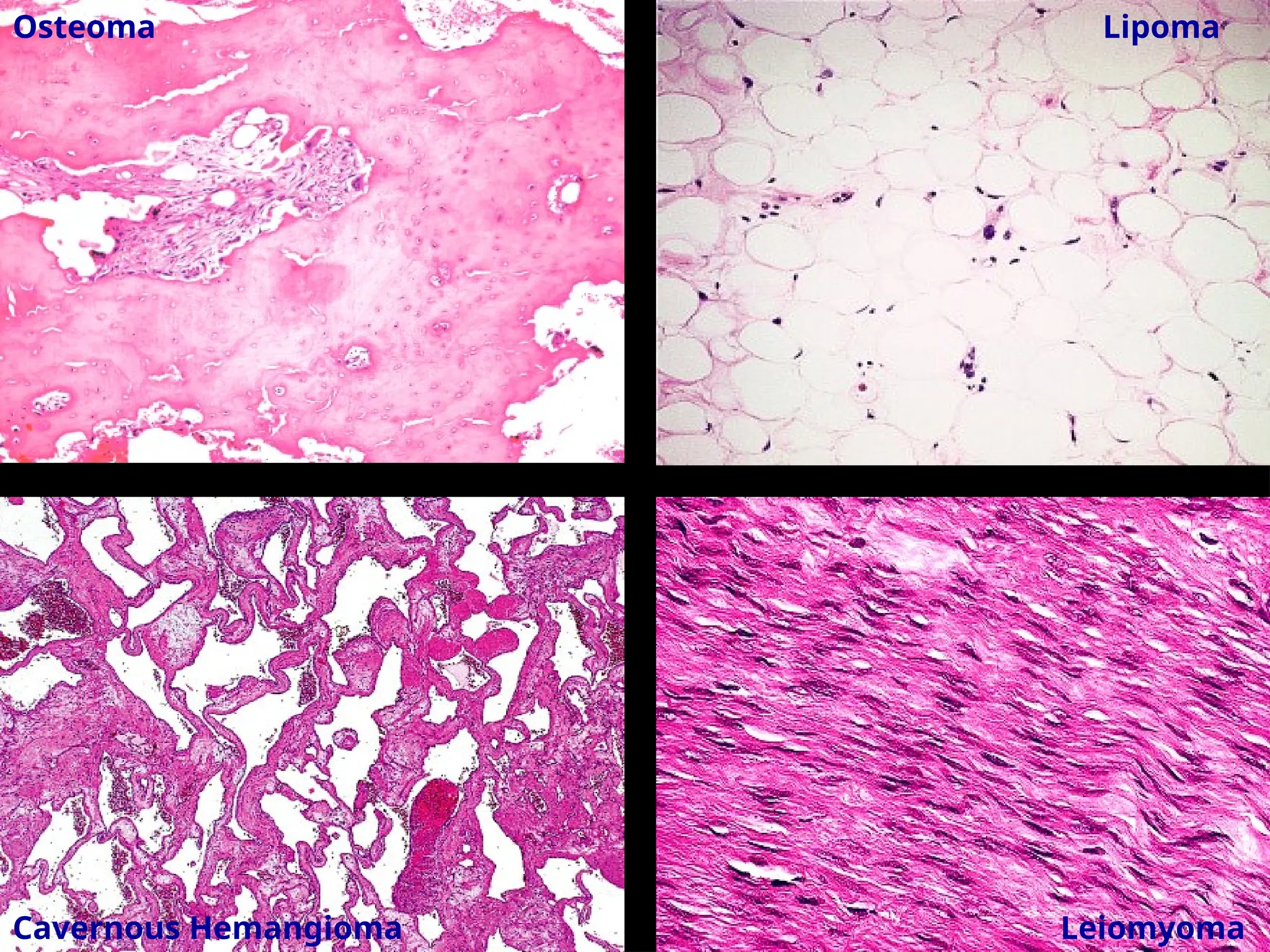
Nomenclature
• Tumors are designated by attaching suffix “–oma”
to the cell or tissue of origin
– Fibroma, chondroma, lipoma, osteoma etc
– Benign tumor arising from glandular structure is called
adenoma
– Benign tumor arising from epithelial surface having finger
like projections is called papilloma
Osteoma Lipoma
Cavernous Hemangioma Leiomyoma
Papilloma / Polyp / Adenoma
Papilloma / Polyp / Adenoma
Pedunculated polyp
Sessile polyp
Papilloma / Polyp / Adenoma
Malignant
Tissue of Origin Benign
Composed of One Parenchymal Cell Type
Tumors of mesenchymal origin
Connective tissue and Fibroma
Fibrosarcoma derivatives
Liposarcoma
Chondrosarcoma
Osteogenic sarcoma
Lipoma
Chondroma
Osteoma
Endothelial and related tissues
Hemangioma
Lymphangioma
Blood vessels
Lymph vessels
Synovium
Mesothelium
Brain Coverings Meningioma
Angiosarcoma
Lymphangiosarcoma
Synovial sarcoma
Mesothelioma
Invasive
meningioma
Tissue of Origin Benign Malignant
Blood cells and related cells
Hematopoietic cells Leukemias
Lymphoid tissue Lymphomas
Muscle
Smooth Leiomyoma Leiomyosarcoma
Striated Rhabdomyoma Rhabdomyosarcoma
Tumors of epithelial origin
Stratified
squamous
Basal cells of skin
or adnexa
Epithelial lining of
glands or ducts
Squamous cell Squamous cell carcinoma
papilloma
Basal cell carcinoma
Adenoma Adenocarcinoma
Papilloma
Cystadenoma
Papillary carcinomas
Cystadenocarcinoma
Bronchogenic carcinoma
Respiratory
passages
Renal
epithelium
Bronchial
adenoma
Renal tubular
adenoma
Renal cell carcinoma
Liver Cell
Urothelial cell
Adenoma Hepatocellular carcinoma
Urothelial carcinoma
Placental epithelium Hydatidiform mole Choriocarcinoma
Testicular epithelium
(germ cells)
Seminoma
Melanocytic Tumors
Nevus
Embryonal carcinoma
Malignant melanoma
More Than One Neoplastic Cell Type-Mixed Tumors, Usually Derived from
One Germ Cell Layer
Salivary glands Pleomorphic adenoma
(mixed tumor of salivary
origin)
Malignant mixed tumor
of salivary gland
origin
Renal anlage Wilms’ tumor
More Than One Neoplastic Cell Type Derived from More Than One Germ
Cell Layer-Teratogenous
Totipotential cells in
gonads or in embryonic
rests
Mature teratoma, dermoid
cyst
Immature teratoma,
teratocarcinoma
Tissues with NO benign tumors
• Synovium
• Mesothelium
• Lymphoid tissue
• Hematopoietic cells
• Basal cells of skin or adnexa
Nomenclature
• Malignant tumor arising from epithelial
structures is called “Carcinoma”
• Malignant tumor of the mesenchymal
tissues is called “Sarcoma”
• Embryonal tumors usually have the suffix
“Blastoma”
• Malignant lesions of the blood are called
“Leukemia”
• Malignant lesions of the lymphoid tissue is
called “Lymphoma”
Neoplasms of
Totipotent Cells
Neoplasms of Embryonic
Pluripotent Cells
• Pluripotent cells can mature into several
different cell types
• These neoplasms are generally called
Embryomas or Blastomas
Blastoma
• All blastomas are childhood tumors
• All blastomas are malignant tumors
Except:
–Chondroblastoma
–Osteoblastoma
–Pulmonary blastoma
Neoplasms of pluripotent embryonic-type cells
(BLASTOMAs)
Nomenclature of Neoplasms of
Differentiated Cells
Exceptions to These Rules
• Neoplasms That Sound Benign But Are
Really Malignant
• Neoplasms That Sound Malignant But Are
Really Benign
• Leukemias
• Mixed Tumors
Whose Cell of Origin Is
• Neoplasms
Unknown
Lymphoma
Plasmacytoma
Melanoma
Glioma
Astrocytoma
Osteoblastoma
Chondroblastoma
Nomenclature
• Some malignant tumors named like
benign tumors
– Melanoma, Hepatoma, Lymphoma
• Some benign tumors named like
malignant tumors
– Cystosarcoma phylloides,
chondroblastoma
• Some unusual tumors
– Mixed tumor of salivary gland (pleomorphic
adenoma)
–
Mixed tumor
• Tumors with single type of
parenchymal cells that differentiates
into many cell lines
– Eg: Pleomorphic adenoma of
salivary gland.
Pleomorphic adenoma - Parotid
Teratoma
• Tumor arising from totipotent cells (germ
cells) showing differentiation towards
tissues derived from all the three germ cell
layers
– Seen usually along the midline
– Common sites
• Ovary, testis, sacro-coccygeal region, retro-
peritoneum, mediastinum, base of the brain etc
What are the common sites for teratomas ?
• Gonads
• Mid line
• Lines of fusion
Along the lines of fusion
Sacrococcygeal teratoma
Teratoma
Teratoma
Named tumors
Hamartomas &
Choristomas
• A hamartoma is composed of tissues that are
normally present in the organ in which the tumor
arises
– Eg: a hamartoma of the lung consists of a
disorganized mass of bronchial epithelium and
cartilage that may become so large that it presents as
a lung mass. Its growth is coordinated with that of
the lung itself
• A choristoma resembles a hamartoma but
contains tissues that are not normally present in
its site of origin
– Eg: A orderly mass of pancreatic acini and ducts in
the wall of the stomach is properly called a
choristoma.
Sarcomas are very vascular
-local rise of temperature
Hamartoma
• Definition - Jumbled mixture of tissue native
to the site / organ
• Eg: Hamartoma of lung
Choristoma
•
•
Definition – Normal organized tissue at an abnormal
site (ectopic rest of normal tissue)
Eg: adrenal cells under kidney capsule, pancreas in
stomach
Differences between normal and
cancer cell
Differences between benign and
malignant neoplasms
Differences between benign
and malignant
neoplasms
BENIGN MALIGNANT
Nuclear variation in
size and shape
minimal
Nuclear variation in size and
shape minimal to marked, often
variable
Diploid Range of ploidy
Low mitotic count,
normal mitosis
Low to high mitotic count,
abnormal mitosis
Retention of
specialisation
Loss of specialisation
Structural
differentiation
retained
Structural differentiation shows
wide range of changes
Organised Not organised
Functional
differentiation
usually
Functional differentiation often
lost
Causes of
cancer
Three major type of
carcinogens
Chemical carcinogenesis
• Mutagens
• Chemical carcinogenesis and their metabolism
Physical carcinogenesis (radiation)
• Ultraviolet radiation, Asbestos
Infectious Pathogens (Viral)
• Human T-cell leukemia viruses, DNA
viruses, Human papillomaviruses
• Epstein-Barr virus, Hepatitis B virus
Development of cancer
• Changes in DNA (mutation)
• The change must cause an alteration in cell growth and behaviour
• The change must be non-lethal and be passed onto daughter cells
• Alterations in more than one gene
• Genes concerned are oncogenes/tumour suppressor genes
• Sequence of gene alterations from normal to benign to malignant
• Intrinsic and extrinsic / inheritance and environment key factors
Properties of cancer cells
• Two unique properties of cancer cells are
– ability to invade locally
– capacity to metastasize to distant sites to distant sites – cancer
spreading (patterns of spread)
Direct extension: Carcinomas begin as
localized growths (direct seeding of
body cavities or surface), when they
arise. In early cancers do not
penetrate the basement membrane
(carcinoma in situ). When the in situ
tumor acquires invasive potential
extends directly to compromise
neighboring cells and to metastasize.
E.g. Peritoneal carcinomatosis
(metastatic ovarian carcinoma)
– Metastatic spread:
Transfer of malignant cells from
one site to another (not
directly) connected
with it). Invasive properties of
malignant tumors bring them
into contact with blood and
lymphatic vessels.
• Hematogenous metastases
• Lymphatic metastases
Characteristics of tumours
• Majority of neoplasms can be categorized clinically and
morphological into benign and malignant on the basis of
certain characteristics listed bellow
– Rate of growth
– Cancer phenotype and stem cells
– Clinical and gross features
– Microscopic features
– Local invasion (direct spread)
– Metastasis (distant spread)
• Rate of growth
– The tumour cell proliferate more rapidly
than the normal cells.
– The tumour enlarge rate is depends upon
1. Rate of cell production, growth fraction
and rate of cell loss
2. Degree of differentiation of the tumour
1.Rate of growth of a tumour depends upon
• Doubling time (mitotic rate) of tumour cells
• Number of cells remaining in preoperative pool (growth fraction)
• Rate of loss of tumour cells by cell shedding
Cancer cell do not follow the normal cell controls in cells, and are
immortal. The cell division rate is high and center of tumor do
not receive adequate nourishment and undergo ischemic
necrosis, loss shedding.
Death tumour cells appear as apoptotic figures and dividing
tumours are seen as normal/ abnormal mitotic figure
ultimately tumour grow in size
• Rate of growth
2.Degree of differentiation
• Rate of growth of malignant tumour is directly
proportionate to the degree of differentiation.
• Poorly differentiated tumours show aggressive
growth pattern compare to better
differentiated tumours.
• Rarely, a malignant tumour may disappear
spontaneously from the primary site, due to good host
immune attack.
• Cancer phenotype and stem cells
Cancer cells
1. disobey the growth control – proliferate rapidly
2. escape from death signals – immortality
3. imbalance between cell proliferation and cell death – excessive growth
4. lose differentiation properties – no function
5. are unstable – newer mutations
6. overrun their neighboring tissue – invade locally
7. have the ability to travel from the site of origin to other part of body
–
distant metastasis
Cancer stem cells/ tumour-initiating cells have the properties of self-renewal,
asymmetric replication and transdifferentiation (i.e. plasticity).
• Clinical and gross features
– Benign tumour are generally slow growing and depending
upon location remains asymptomatic (subcutaneous
lipoma) or may cause serous symptoms (meningioma in the
nervous system). Benign tumours are generally spherical or
ovoid shape.
– Malignant tumor grow rapidly, invade locally into deeper
tissue and spread to distant sites (metastasis). Malignant
tumours are usually irregular in shape, poor-circumscribed
and extend into adjacent tissues.
Two
common
cancers in
our country
in India, cancers of
lung and mouth in
men and cervix and
breast in women are
the biggest killers
E N D

lecture about neoplasia introduction to MBBS students

  • 1.
  • 2.
    • Metaplasia • Dysplasia •Anaplasia • Complication of chronic inflammation / irritation
  • 3.
  • 18.
    Nomenclature • Neoplasia • Neoplasm •Tumor • Oncology • Clonal / Clonality • Benign • Malignant (Latin) • Cancer
  • 19.
    Neoplasia - Definition Neoplasia= New growth • Neo = New • Plasia = Growth • Tumor = Swelling • Cancer = Crab (L) • Oncology = Study of tumor / Neoplasm (Oncos = Tumor)
  • 20.
    Nomenclature • Normal • Abnormal –Non neoplastic • Hyperplasia • Metaplasia – Precancerous (dysplasia / in situ carcinomas) – Neoplastic • Benign – Epithelial – Mesenchymal • Malignant – Epithelial – Mesenchymal
  • 21.
    Cancer (L. Crab) •Any malignant growth of cells (clonal) • Nearly 7 lakh people die of cancer in India (2015) Gross features Microscopic features
  • 22.
  • 23.
  • 24.
    Definition • “Willis” definitionof Neoplasia - (new growth) abnormal mass of tissue, the growth of which exceeds and is uncoordinated with the normal tissues and continues to grow even after the cessation of the stimulus that evoked the initial response • New Definition: (Robbins Path) a neoplasm can be defined as a disorder of cell growth that is triggered by a series of acquired mutations affecting a single cell and its clonal progeny
  • 25.
    Normal – Hyperplasia– Dysplasia – Carcinoma
  • 26.
    Neoplasm The causative mutationsgive the neoplastic cells a survival and growth advantage, resulting in excessive proliferation that is independent of physiologic growth signals (autonomous)
  • 27.
    Neoplasia • It isautonomous, purposeless • Proliferation is uncontrolled • Competes with normal cells for its needs • It is a clonal disorder • It is a genetic disorder – In 95% of cases acquired genetic disorder – In 5% of cases inherited
  • 28.
    Nomenclature • All tumorshave two components – Parenchyma • Represents tumor proper; the growth of the tumor is due to proliferation of these cells – Stroma • Provides the framework, blood supply and nutrition for the parenchymal cells
  • 29.
  • 31.
  • 32.
  • 33.
    Desmoplasia • Formation ofabundant collagenous stroma • Stimulated by parenchymal cells • Ex: Schirrous. ca of breast Linitus plastica (ca stomach) Carcinoma prostate
  • 34.
  • 35.
  • 36.
  • 37.
    Nomenclature • Tumors aredesignated by attaching suffix “–oma” to the cell or tissue of origin – Fibroma, chondroma, lipoma, osteoma etc – Benign tumor arising from glandular structure is called adenoma – Benign tumor arising from epithelial surface having finger like projections is called papilloma
  • 38.
  • 39.
  • 40.
    Papilloma / Polyp/ Adenoma Pedunculated polyp Sessile polyp
  • 41.
  • 42.
    Malignant Tissue of OriginBenign Composed of One Parenchymal Cell Type Tumors of mesenchymal origin Connective tissue and Fibroma Fibrosarcoma derivatives Liposarcoma Chondrosarcoma Osteogenic sarcoma Lipoma Chondroma Osteoma Endothelial and related tissues Hemangioma Lymphangioma Blood vessels Lymph vessels Synovium Mesothelium Brain Coverings Meningioma Angiosarcoma Lymphangiosarcoma Synovial sarcoma Mesothelioma Invasive meningioma
  • 43.
    Tissue of OriginBenign Malignant Blood cells and related cells Hematopoietic cells Leukemias Lymphoid tissue Lymphomas Muscle Smooth Leiomyoma Leiomyosarcoma Striated Rhabdomyoma Rhabdomyosarcoma
  • 44.
    Tumors of epithelialorigin Stratified squamous Basal cells of skin or adnexa Epithelial lining of glands or ducts Squamous cell Squamous cell carcinoma papilloma Basal cell carcinoma Adenoma Adenocarcinoma Papilloma Cystadenoma Papillary carcinomas Cystadenocarcinoma Bronchogenic carcinoma Respiratory passages Renal epithelium Bronchial adenoma Renal tubular adenoma Renal cell carcinoma Liver Cell Urothelial cell Adenoma Hepatocellular carcinoma Urothelial carcinoma
  • 45.
    Placental epithelium Hydatidiformmole Choriocarcinoma Testicular epithelium (germ cells) Seminoma Melanocytic Tumors Nevus Embryonal carcinoma Malignant melanoma More Than One Neoplastic Cell Type-Mixed Tumors, Usually Derived from One Germ Cell Layer Salivary glands Pleomorphic adenoma (mixed tumor of salivary origin) Malignant mixed tumor of salivary gland origin Renal anlage Wilms’ tumor More Than One Neoplastic Cell Type Derived from More Than One Germ Cell Layer-Teratogenous Totipotential cells in gonads or in embryonic rests Mature teratoma, dermoid cyst Immature teratoma, teratocarcinoma
  • 46.
    Tissues with NObenign tumors • Synovium • Mesothelium • Lymphoid tissue • Hematopoietic cells • Basal cells of skin or adnexa
  • 47.
    Nomenclature • Malignant tumorarising from epithelial structures is called “Carcinoma” • Malignant tumor of the mesenchymal tissues is called “Sarcoma” • Embryonal tumors usually have the suffix “Blastoma” • Malignant lesions of the blood are called “Leukemia” • Malignant lesions of the lymphoid tissue is called “Lymphoma”
  • 49.
  • 50.
    Neoplasms of Embryonic PluripotentCells • Pluripotent cells can mature into several different cell types • These neoplasms are generally called Embryomas or Blastomas
  • 51.
    Blastoma • All blastomasare childhood tumors • All blastomas are malignant tumors Except: –Chondroblastoma –Osteoblastoma –Pulmonary blastoma
  • 52.
    Neoplasms of pluripotentembryonic-type cells (BLASTOMAs)
  • 53.
    Nomenclature of Neoplasmsof Differentiated Cells
  • 54.
    Exceptions to TheseRules • Neoplasms That Sound Benign But Are Really Malignant • Neoplasms That Sound Malignant But Are Really Benign • Leukemias • Mixed Tumors Whose Cell of Origin Is • Neoplasms Unknown Lymphoma Plasmacytoma Melanoma Glioma Astrocytoma Osteoblastoma Chondroblastoma
  • 55.
    Nomenclature • Some malignanttumors named like benign tumors – Melanoma, Hepatoma, Lymphoma • Some benign tumors named like malignant tumors – Cystosarcoma phylloides, chondroblastoma • Some unusual tumors – Mixed tumor of salivary gland (pleomorphic adenoma) –
  • 56.
    Mixed tumor • Tumorswith single type of parenchymal cells that differentiates into many cell lines – Eg: Pleomorphic adenoma of salivary gland.
  • 57.
  • 58.
    Teratoma • Tumor arisingfrom totipotent cells (germ cells) showing differentiation towards tissues derived from all the three germ cell layers – Seen usually along the midline – Common sites • Ovary, testis, sacro-coccygeal region, retro- peritoneum, mediastinum, base of the brain etc
  • 59.
    What are thecommon sites for teratomas ? • Gonads • Mid line • Lines of fusion
  • 62.
    Along the linesof fusion
  • 64.
  • 65.
  • 66.
  • 67.
  • 68.
    Hamartomas & Choristomas • Ahamartoma is composed of tissues that are normally present in the organ in which the tumor arises – Eg: a hamartoma of the lung consists of a disorganized mass of bronchial epithelium and cartilage that may become so large that it presents as a lung mass. Its growth is coordinated with that of the lung itself • A choristoma resembles a hamartoma but contains tissues that are not normally present in its site of origin – Eg: A orderly mass of pancreatic acini and ducts in the wall of the stomach is properly called a choristoma.
  • 69.
    Sarcomas are veryvascular -local rise of temperature
  • 70.
    Hamartoma • Definition -Jumbled mixture of tissue native to the site / organ • Eg: Hamartoma of lung
  • 71.
    Choristoma • • Definition – Normalorganized tissue at an abnormal site (ectopic rest of normal tissue) Eg: adrenal cells under kidney capsule, pancreas in stomach
  • 72.
  • 73.
    Differences between benignand malignant neoplasms
  • 74.
    Differences between benign andmalignant neoplasms BENIGN MALIGNANT Nuclear variation in size and shape minimal Nuclear variation in size and shape minimal to marked, often variable Diploid Range of ploidy Low mitotic count, normal mitosis Low to high mitotic count, abnormal mitosis Retention of specialisation Loss of specialisation Structural differentiation retained Structural differentiation shows wide range of changes Organised Not organised Functional differentiation usually Functional differentiation often lost
  • 75.
    Causes of cancer Three majortype of carcinogens Chemical carcinogenesis • Mutagens • Chemical carcinogenesis and their metabolism Physical carcinogenesis (radiation) • Ultraviolet radiation, Asbestos Infectious Pathogens (Viral) • Human T-cell leukemia viruses, DNA viruses, Human papillomaviruses • Epstein-Barr virus, Hepatitis B virus
  • 76.
    Development of cancer •Changes in DNA (mutation) • The change must cause an alteration in cell growth and behaviour • The change must be non-lethal and be passed onto daughter cells • Alterations in more than one gene • Genes concerned are oncogenes/tumour suppressor genes • Sequence of gene alterations from normal to benign to malignant • Intrinsic and extrinsic / inheritance and environment key factors
  • 77.
    Properties of cancercells • Two unique properties of cancer cells are – ability to invade locally – capacity to metastasize to distant sites to distant sites – cancer spreading (patterns of spread)
  • 78.
    Direct extension: Carcinomasbegin as localized growths (direct seeding of body cavities or surface), when they arise. In early cancers do not penetrate the basement membrane (carcinoma in situ). When the in situ tumor acquires invasive potential extends directly to compromise neighboring cells and to metastasize. E.g. Peritoneal carcinomatosis (metastatic ovarian carcinoma)
  • 79.
    – Metastatic spread: Transferof malignant cells from one site to another (not directly) connected with it). Invasive properties of malignant tumors bring them into contact with blood and lymphatic vessels. • Hematogenous metastases • Lymphatic metastases
  • 80.
    Characteristics of tumours •Majority of neoplasms can be categorized clinically and morphological into benign and malignant on the basis of certain characteristics listed bellow – Rate of growth – Cancer phenotype and stem cells – Clinical and gross features – Microscopic features – Local invasion (direct spread) – Metastasis (distant spread)
  • 81.
    • Rate ofgrowth – The tumour cell proliferate more rapidly than the normal cells. – The tumour enlarge rate is depends upon 1. Rate of cell production, growth fraction and rate of cell loss 2. Degree of differentiation of the tumour
  • 82.
    1.Rate of growthof a tumour depends upon • Doubling time (mitotic rate) of tumour cells • Number of cells remaining in preoperative pool (growth fraction) • Rate of loss of tumour cells by cell shedding Cancer cell do not follow the normal cell controls in cells, and are immortal. The cell division rate is high and center of tumor do not receive adequate nourishment and undergo ischemic necrosis, loss shedding. Death tumour cells appear as apoptotic figures and dividing tumours are seen as normal/ abnormal mitotic figure ultimately tumour grow in size
  • 83.
    • Rate ofgrowth 2.Degree of differentiation • Rate of growth of malignant tumour is directly proportionate to the degree of differentiation. • Poorly differentiated tumours show aggressive growth pattern compare to better differentiated tumours. • Rarely, a malignant tumour may disappear spontaneously from the primary site, due to good host immune attack.
  • 84.
    • Cancer phenotypeand stem cells Cancer cells 1. disobey the growth control – proliferate rapidly 2. escape from death signals – immortality 3. imbalance between cell proliferation and cell death – excessive growth 4. lose differentiation properties – no function 5. are unstable – newer mutations 6. overrun their neighboring tissue – invade locally 7. have the ability to travel from the site of origin to other part of body – distant metastasis Cancer stem cells/ tumour-initiating cells have the properties of self-renewal, asymmetric replication and transdifferentiation (i.e. plasticity).
  • 85.
    • Clinical andgross features – Benign tumour are generally slow growing and depending upon location remains asymptomatic (subcutaneous lipoma) or may cause serous symptoms (meningioma in the nervous system). Benign tumours are generally spherical or ovoid shape. – Malignant tumor grow rapidly, invade locally into deeper tissue and spread to distant sites (metastasis). Malignant tumours are usually irregular in shape, poor-circumscribed and extend into adjacent tissues.
  • 88.
    Two common cancers in our country inIndia, cancers of lung and mouth in men and cervix and breast in women are the biggest killers
  • 89.