MICROSCOPY
• The technical field of using microscopes to
view objects that cannot be seen with the
naked eye is called microscopy.
© 2013 FEI
Historic Figures in Microscopy
Robert Hooke
(1635-1703)
Ernst Ruska
(1906-1988)
Ernst Abbe
(1840-1905)
Richard Feynman
(1918-1988)
Antony van Leeuwenhoek
(1632-1723)
When the object is at a distance greater
than twice the focal length from the lens, a
real, inverted, minified image occurs at a point
between
one and two times the focal length on the
other side of the lens
When the object is
at a point exactly twice the focal length, the
image is real, inverted and the same size
When the object is at a distance between one
and two times the focal length, the image is
real,
inverted and magnified, and occurs at a
distance greater than twice the focal length
When the object is at the focal point, the
image occurs at infinity
The basic compound microscope uses two
convex lenses in the arrangement shown in
Figure 5.4. The lens closest to the
object is called the ‘objective’. The lens
closest to the eye is called the ‘eyepiece’.
The microscope is adjusted so that the
object (a) is at a distance between one and
two times the focal length
The image (b) formed is therefore real,
magnified and inverted. This real image acts
as the object for the second lens, i.e. the
eyepiece. The eyepiece magnifies this
intermediate image, and produces a large
virtual image (c) which then becomes the
image for the eye or for the camera lens.
The final real image (d) is formed on the
retina of the eye or the photo film
The overall magnification of the instrument
is the product of the magnifications of the
objective and the eyepiece
• The objective is combination of convex and
concave lenses to produce the desired
magnification and eliminate distortions.
Similarly the eyepiece is built up of many
lenses.
• Nevertheless, the principles underlying the
magnifying systems remain as illustrated here
Types: two types
• Optical or light microscope: magnify approx.
1500 times
• Electron microscope: magnify approx.
200,000 times, only dead cells
• Light microscopes use a series of glass lenses to focus light in order to form an
image whereas electron microscopes use electromagnetic lenses to focus a
beam of electrons.
• Magnification is not the best measure of a microscope. It is the Resolution, the
ability to distinguish between two closely spaced points in a specimen
• 0.5 micrometers (mm) for light microscope
• 1 nanometer (nm) for electron microscope
Optical/ light microscope
• Many of the interesting features of biological systems are
too small to be seen with the naked eye
• When molecular detail is not required, the light microscope
is an ideal, and hence essential, instrument for a biologist
• Light microscopes use glass lenses to bend and focus light
rays and produce enlarged images of small objects.
• Light microscopy is easy to use and inexpensive.
Lenses and the Bending of Light
• When a ray of light passes from one medium
to another, refraction occurs—that is, the ray
is bent at the interface.
Simple microscope
• Consists of a single glass lens mounted in a metal
frame – a magnifying glass.
• The specimen requires very little preparation, and
is usually held close to the eye in the hand.
• Focusing of the region of interest by moving the
lens and the specimen relative to one another.
• The source of light - the Sun or ambient indoor
light.
• The detector - the human eye.
• The recording device - a hand drawing or an
anecdote.
Compound microscopes
• more than one glass lens in combination
• major components are the condenser lens, the objective lens
and the eyepiece lens
• The main components of the compound light microscope
include a light source that is focused at the specimen by a
condenser lens. Light that either passes through the specimen
(transmitted light) or is reflected back from the specimen
(reflected light) is focused by the objective lens into the
eyepiece lens
• image is either viewed directly by eye in the eyepiece or it is
most often projected onto a detector, for example
photographic film or, more likely, a digital camera
• A correctly positioned condenser lens
produces illumination
that is uniformly bright and free from glare
across the viewing area of the specimen
(Koehler illumination). Condenser
misalignment and an improperly adjusted
condenser aperture diaphragm are major
sources of poor images in the light microscope
Basic Types :
• Upright microscope: light source is below the
condenser lens and the objectives are above the specimen
stage
• Inverted microscope: light source and the condenser
lens are above the specimen stage, and the objective lenses
are beneath it
• Typically light sources are mercury lamps, xenon lamps, lasers
or light-emitting diodes (LEDs)
Objective lens
• For producing magnified
images
• Can be most expensive
component
• Available in different
varieties like
magnification (4 ,10 ,20
,40 ,60 , 100 ),immersion
requirements (air, oil or
water), coverslip
thickness (usually
0.17mm) and often
more-specialized optical
properties of the lens
(corrected from
chromatic aberration
and flatness of field)
Eye piece
• Eye piece or sometime
called ocular works in
combination with
objective lens to further
magnify the image
• Eyepieces usually
magnify by 10 X
Chromatic Aberration
• occurs when different wavelengths of light are separated and
pass through a lens at different angles
• This results in rainbow colors around the edges of objects in
the image
• This problem was encountered in the early
microscopes of van Leeuwenhoek and Hooke
• All modern lenses are now corrected to some degree in order
to avoid this problem.
Bright-Field Microscope
• It forms a dark image against a brighter background
• The light is transmitted through the sample and the image is
formed by the absorption of this light. Thus the image will appear
darker than the background which is the bright field.
• Contrast in brightfield images is usually produced by the color of
the specimen itself
• Light source- either a mirror or an electric illuminator
• has several objective lenses
– microscopes remain in focus when objectives are changed
• total magnification
– product of the magnifications of the ocular lens and the
objective lens
Properties
• Magnification
• Resolution
• Numerical aperture
Magnification
• The objective lens forms an enlarged real image
within the microscope, and the eyepiece lens further
magnifies this primary image.
• When one looks into a microscope, the enlarged
specimen image, called the virtual image, appears to
lie just beyond the stage about 25 cm away.
• The total magnification is calculated by multiplying
the objective and eyepiece magnifications together.
For example, if a 45 objective is used with a 10
eyepiece, the overall magnification of the specimen
will be 450.
Microscope Resolution
• Resolution is the ability of a lens to separate
or distinguish between small objects that are
close together.
• the ability to distinguish between two closely
spaced points in a specimen
Resolution
is defined as the act, process, or capability of distinguishing
between two separate, but adjacent objects or sources of light,
or between two nearly
equal wavelengths.
Resolving Power
is the ability to make points or lines which are
closely adjacent in an object distinguishable in
an image.
Contrast: Dependent on the amount of light
scattered by the object and the amount of
light scattered by the objects around it.
A white fox in snow is not visible because both fox
and the snow scatter light to the same degree.
Camouflage in war fare and Chameleon on the
trees.
Sensitivity: Depends on the absolute amount
of light scattered by an object.
A dark adopted eye can detect a pulse of visible
light containing ~50 photons (other devises can
detect smaller amount of light-higher sensitivity).
Numerical aperture
• is a measure of the ability of a lens to collect
light from the specimen
• is a number usually between 0.04 and 1.4
• is always marked on the lens
• Lenses with a low NA collect less light than
those with a high NA
• higher NA objectives yield the best resolution
• The maximum
theoretical resolving
power of a microscope
with an oil immersion
objective (numerical
aperture of 1.25) and
blue-green light is
approximately 0.2 um.
• d is resolving limit
• The working distance of an objective is the
distance between the front surface of the lens
and the surface of the cover glass (if one is
used) or the specimen when it is in sharp
focus.
• Objectives with large numerical apertures and
great resolving power have short working
distances.
The Dark-Field Microscope
• produces a bright image of the object against a dark
background
• Generally, An extra condenser lens is added so that the
rays of light fall obliquely on the object.
• used to observe living, unstained preparations like
viewing the outlines of objects in liquid media such as
living spermatozoa, microorganisms or cells growing in
tissue culture,
• A hollow cone of light is focused on the specimen in
such a way that unreflected and unrefracted rays do
not enter the objective
The Phase-Contrast Microscope
• enhances the contrast between
intracellular structures having slight
differences in refractive index
• excellent way to observe living cells
• In a microscope if the phase of the rays scattered
from the sample can be made to have a different phase from
the unscattered rays, then the image of the specimen will be
different in light intensity as compared to the background and
will be more clearly visible.
• This is because when two waves (e.g. the scattered rays and
unscattered rays) are in phase, they reinforce one another
and the total amplitude is larger
• This effect is used in a phase contrast microscope to image
thin transparent specimens.
The Differential Interference
Contrast Microscope
• creates image by detecting
differences in refractive indices and
thickness of different parts of
specimen
• excellent way to observe living cells
• The object beam passes through the
specimen, while the reference beam passes
through a clear area of the slide.
• After passing through the specimen, the two
beams are combined and interfere with each
other to form an image.
Fluorescence Microscope
• exposes a specimen to ultraviolet, violet, or
blue light and forms an image of the object
with the resulting fluorescent light.
• is currently the most widely used contrast
technique since it gives superior signal-to-
noise ratios
• most commonly used fluorescence technique
is called epifluorescence light microscopy,
where ‘epi’ simply means ‘from above’
• Flourochromes are small fluorescent molecules, which may be
linked chemically to materials of interest
• Fluorescein isothiocyanate (FITC) absorbs blue light and emits
green light. Rhodamine compounds absorb green light and
emit red light
• In clinical medicine, fluorescence microscopy is a powerful
technique to identify the presence of particular viruses in the
sample.
• In biology, it enables the mapping of the distribution of even
fairly small cell components
Preparation and Staining of
Specimens
• Living microorganisms can be directly
examined with the light microscope.
• But dead cells are to be fixed and stained.
Fixation
• Fixation is the process by which the internal and
external structures of cells and microorganisms
are preserved and fixed in position.
• It inactivates enzymes that might disrupt cell
morphology and toughens cell structures so that
they do not change during staining and
observation.
• A microorganism usually is killed and attached
firmly to the microscope slide during fixation.
• Heat-fixed or chemical fixation
Staining
Basic dyes
• methylene blue, basic fuchsin, crystal violet,
safranin, malachite green
• have positively charged groups (usually some
form of pentavalent nitrogen) and are generally
sold as chloride salts.
• Basic dyes bind to negatively charged molecules
like nucleic acids and many proteins.
• Because the surfaces of bacterial cells also are
negatively charged, basic dyes are most often
used in bacteriology.
Acid dyes
• eosin, rose bengal, and acid fuchsin
• Possess negatively charged groups such as
carboxyls (—COOH) and phenolic hydroxyls
(—OH).
• Acid dyes, because of their negative charge,
bind to positively charged cell structures.
Differential Staining
• Gram’s staining
• Acid-fast staining
Staining Specific Structures
• Negative staining-India ink or Nigrosin dye
• Spore staining-Schaeffer-Fulton procedure
Electron Microscopy
• Used when greatest resolution is required and
when living state can be ignored
• Revealed the ultra structure of the cells
• Two different types
• Transmission electron microscope (TEM):
electrons that pass through the specimen are imaged
• Scanning electron microscope (SEM): electrons
that are reflected back from the specimen
(secondary electrons) are collected, and the surfaces
of specimens are imaged
• Light source: electron gun
• Tungsten filaments emit electrons when high
voltage of 40000 to 100000V
• These electrons pass through hole in anode
forming electron beam
• Electron beam passes through stack of
electromagnetic lenses
Scanning probe microscope Charged particle microscope
Optical (light) microscope
Optical (light)
microscope
objective lens
light beam
specimen
light source
Scanning
probe
microscope
laser diode
X, Y piezoelectric
scanner
Z piezoelectric
scanner
cantilever
sample
(stationary)
mirror
multiple segmentphotodiode
(position sensitive detector)
Charged
particle
microscope
objective aperture
selected area aperture
condenser aperture
electron source
first condenser lens
second condenser lens
fluorescent screen
microcondenser lens
specimen (thin)
objective imaging lens
objective condenser lens
diffraction lens
intermediate lens
first projector lens
second projector lens
projector chamber
(Illustration of a TEM shown)
Comparing Microscopes
LIGHT MICROSCOPE ELECTRON MICROSCOPE
Use of vacuum No vacuum
Entire electron path from
gun to camera must be
under vacuum
The source of
illumination
The ambient light source is
light for the microscope
Electrons are used to “see” –
light is replaced by an electron
gun built into the column
The lens type Glass lenses Electromagnetic lenses
Magnification
method
Magnification is changed by
moving the lens
Focal length is charged by
changing the current through
the lens coil
Viewing the
sample
Eyepiece (ocular)
Fluorescent screen or
digital camera
KEY CONCEPT: Resolution
Resolution
is defined as the act, process, or capability of distinguishing
between two separate, but adjacent objects or sources of light,
or between two nearly
equal wavelengths.
Resolving Power
is the ability to make points or lines which are
closely adjacent in an object distinguishable in
an image.
Resolving Power of the Human Eye
What can we see?
Resolution & Magnification
scale
How is Resolution Affected by Wavelength?
KEY CONCEPT: The Electron
An atom is made up of:
Protons
Neutrons
Electron
CORE TECHNOLOGY: The Electron Gun
• Three main sources
of electrons:
– Tungsten
– LaB6 (lanthanum hexaboride)
– Field Emission Gun (FEG)
• Different costs and
benefits of each
• Each selected primarily
for their brightness
CORE TECHNOLOGY: Electromagnetic Lenses
electron beam
soft iron pole piece
electrical coil
CORE TECHNOLOGY: The Vacuum
• A vacuum is a region
of reduced gas pressure.
• Electron microscopes
use a vacuum to make
electrons behave
like light.
What is a Transmission Electron Microscope?
projector lens
electron source
condenser system
specimen (thin)
objective lens
Transmission Electron Microscope
• Electron beams behave like radiation and can be
focused much as light is in a light microscope.
• If electrons illuminate the specimen, the microscope’s
resolution is enormously increased because the
wavelength of the radiation is around 0.005 nm,
approximately 100,000 times shorter than that of
visible light.
• The transmission electron microscope has a practical
resolution roughly 1,000 times better than the light
microscope; with many electron microscopes, points
closer than 5 A or 0.5 nm can be distinguished, and the
useful magnification is well over 100,000X
TEM Aberration Correction
• Chromatic aberration is distortion that occurs when there is a failure of a lens to
focus all colors (wavelengths) to the same convergence point.
• Correcting the aberration is necessary, otherwise the resulting image would
be blurry and delocalized, a form of aberration where periodic structures
appear to extend beyond their physical boundaries.
• Recent improvements in aberration correction have resulted in significantly-
improved image quality and sample information.
• Spherical aberration occurs when parallel light rays that pass through the central
region of the lens focus farther away than the light rays that pass through the
edges of the lens.
• Result is multiple focal points and a blurred image.
Chromatic Aberration
Spherical Aberration
TEM Enables 3D Imaging
3D Imaging
Environmental Microscopy with TEM
FEI Titan ETEM
Nickel catalyst film on silica membrane
Nickel oxide particles in nitrogen gas
Sample preparation
• Fixation -chemicals like glutaraldehyde or osmium
tetroxide to stabilize cell structure
• Dehydration - organic solvents (e.g., acetone or
ethanol).
• soaked in unpolymerized, liquid epoxy plastic until it is
completely permeated, and then the plastic is
hardened to form a solid block
• higher the atomic number the greater the scattering and the
contrast. Thus heavy metals are used to add contrast in the EM, for
example uranium, lead and osmium
• the electron beam can only be produced and focused in a vacuum
therefore all water must be removed
• Thin sections are cut from this block with a
glass or diamond knife using a special
instrument called an ultramicrotome
• The specimen must be around 20 to 100 nm
thick
• Section should be thin because electron has low penetration
power
• Soaking thin sections with solutions of heavy
metal salts like lead citrate and uranyl acetate.
• Heavy osmium atoms from the osmium
tetroxide fixative also “stain” cells and
increase their contrast.
• The stained thin sections are then mounted
on tiny copper grids and viewed.
Scanning Electron microscope
• used to examine the surfaces of microorganisms
in great detail
• The SEM differs from other electron microscopes
in producing an image from electrons emitted by
an object’s surface rather than from transmitted
electrons.
What is Scanning Transmission Electron Microscopy?
STEM image of a 32nm semiconductor device
Elemental map of a 45 nm PMOS
transistor structure
EDX map of semiconductor device
What is a Scanning Electron Microscope?
vacuum
electron beam
impact area
electron source
Specimen preparation
• easy, and in some cases air-dried material can be
examined directly.
• Microorganisms must first be fixed, dehydrated,
and dried to preserve surface structure and
prevent collapse of the cells when they are
exposed to the SEM’s high vacuum.
• Before viewing, dried samples are mounted and
coated with a thin layer of metal to prevent the
buildup of an electrical charge on the surface and
to give a better image
Comparing SEM and TEM
TEM SEM
Imaging
Electrons must pass through and
be transmitted by the specimen
Information needed is
collected near the surface
of the specimen
Electron Beam Broad, static beams
Beam focused to fine point;
sample is scanned line by line
Voltages Needed
TEM voltage ranges from
60-300,000 volts
Accelerating voltage much lower; not
necessary to penetrate the specimen
Image Rendering
Transmitted electrons are
collectively focused by the
objective lens and magnified to
create a real image
Beam is scanned along the surface of
the sample to
build up the image
Interaction of the
beam electrons
Specimen must be very thin
Wide range of specimens allowed;
simplifies
sample preparation
FEI V400ACE Focused Ion Beam
What is a Focused Ion Beam? (FIB)
Cross-section of a semiconductor wafer imaged with a plasma FIB
Physical Failure Analysis
Platinum Nano-Wire
FIB-cut in steel v2a EE by 1nA to
1B milling-002 steel
What is a DualBeam™ System?
Bidens Ferulifolia Pollen on plant structures
Scanning tunneling microscope
• invented in 1980
• Magnifications of 100 million and allow
scientists to view atoms on the surface of a
solid.
• It has a needlelike probe with a point so sharp
that often there is only one atom at its tip.
• The probe is lowered toward the specimen
surface until its electron cloud just touches
that of the surface atoms.
• If a small voltage is applied between the tip
and specimen, electrons flow through a
narrow channel in the electron clouds
(tunneling current).
© 2013 FEI
Applications of Microscopy
© 2013 FEI
Industrial Applications
© 2013 FEI
Life Science Applications
Breast cancer cells
Sperm tails tangled up
in a seminiferous tubule
© 2013 FEI
Natural Resources & Energy
© 2013 FEI
Scientific Research

MICROSCOPY.pdf

  • 1.
  • 2.
    • The technicalfield of using microscopes to view objects that cannot be seen with the naked eye is called microscopy.
  • 7.
    © 2013 FEI HistoricFigures in Microscopy Robert Hooke (1635-1703) Ernst Ruska (1906-1988) Ernst Abbe (1840-1905) Richard Feynman (1918-1988) Antony van Leeuwenhoek (1632-1723)
  • 9.
    When the objectis at a distance greater than twice the focal length from the lens, a real, inverted, minified image occurs at a point between one and two times the focal length on the other side of the lens When the object is at a point exactly twice the focal length, the image is real, inverted and the same size When the object is at a distance between one and two times the focal length, the image is real, inverted and magnified, and occurs at a distance greater than twice the focal length When the object is at the focal point, the image occurs at infinity
  • 10.
    The basic compoundmicroscope uses two convex lenses in the arrangement shown in Figure 5.4. The lens closest to the object is called the ‘objective’. The lens closest to the eye is called the ‘eyepiece’. The microscope is adjusted so that the object (a) is at a distance between one and two times the focal length The image (b) formed is therefore real, magnified and inverted. This real image acts as the object for the second lens, i.e. the eyepiece. The eyepiece magnifies this intermediate image, and produces a large virtual image (c) which then becomes the image for the eye or for the camera lens. The final real image (d) is formed on the retina of the eye or the photo film The overall magnification of the instrument is the product of the magnifications of the objective and the eyepiece
  • 11.
    • The objectiveis combination of convex and concave lenses to produce the desired magnification and eliminate distortions. Similarly the eyepiece is built up of many lenses. • Nevertheless, the principles underlying the magnifying systems remain as illustrated here
  • 12.
    Types: two types •Optical or light microscope: magnify approx. 1500 times • Electron microscope: magnify approx. 200,000 times, only dead cells • Light microscopes use a series of glass lenses to focus light in order to form an image whereas electron microscopes use electromagnetic lenses to focus a beam of electrons. • Magnification is not the best measure of a microscope. It is the Resolution, the ability to distinguish between two closely spaced points in a specimen • 0.5 micrometers (mm) for light microscope • 1 nanometer (nm) for electron microscope
  • 15.
    Optical/ light microscope •Many of the interesting features of biological systems are too small to be seen with the naked eye • When molecular detail is not required, the light microscope is an ideal, and hence essential, instrument for a biologist • Light microscopes use glass lenses to bend and focus light rays and produce enlarged images of small objects. • Light microscopy is easy to use and inexpensive.
  • 16.
    Lenses and theBending of Light • When a ray of light passes from one medium to another, refraction occurs—that is, the ray is bent at the interface.
  • 18.
    Simple microscope • Consistsof a single glass lens mounted in a metal frame – a magnifying glass. • The specimen requires very little preparation, and is usually held close to the eye in the hand. • Focusing of the region of interest by moving the lens and the specimen relative to one another. • The source of light - the Sun or ambient indoor light. • The detector - the human eye. • The recording device - a hand drawing or an anecdote.
  • 19.
    Compound microscopes • morethan one glass lens in combination • major components are the condenser lens, the objective lens and the eyepiece lens • The main components of the compound light microscope include a light source that is focused at the specimen by a condenser lens. Light that either passes through the specimen (transmitted light) or is reflected back from the specimen (reflected light) is focused by the objective lens into the eyepiece lens • image is either viewed directly by eye in the eyepiece or it is most often projected onto a detector, for example photographic film or, more likely, a digital camera
  • 20.
    • A correctlypositioned condenser lens produces illumination that is uniformly bright and free from glare across the viewing area of the specimen (Koehler illumination). Condenser misalignment and an improperly adjusted condenser aperture diaphragm are major sources of poor images in the light microscope
  • 22.
    Basic Types : •Upright microscope: light source is below the condenser lens and the objectives are above the specimen stage • Inverted microscope: light source and the condenser lens are above the specimen stage, and the objective lenses are beneath it • Typically light sources are mercury lamps, xenon lamps, lasers or light-emitting diodes (LEDs)
  • 24.
    Objective lens • Forproducing magnified images • Can be most expensive component • Available in different varieties like magnification (4 ,10 ,20 ,40 ,60 , 100 ),immersion requirements (air, oil or water), coverslip thickness (usually 0.17mm) and often more-specialized optical properties of the lens (corrected from chromatic aberration and flatness of field)
  • 25.
    Eye piece • Eyepiece or sometime called ocular works in combination with objective lens to further magnify the image • Eyepieces usually magnify by 10 X
  • 27.
    Chromatic Aberration • occurswhen different wavelengths of light are separated and pass through a lens at different angles • This results in rainbow colors around the edges of objects in the image • This problem was encountered in the early microscopes of van Leeuwenhoek and Hooke • All modern lenses are now corrected to some degree in order to avoid this problem.
  • 28.
    Bright-Field Microscope • Itforms a dark image against a brighter background • The light is transmitted through the sample and the image is formed by the absorption of this light. Thus the image will appear darker than the background which is the bright field. • Contrast in brightfield images is usually produced by the color of the specimen itself • Light source- either a mirror or an electric illuminator • has several objective lenses – microscopes remain in focus when objectives are changed • total magnification – product of the magnifications of the ocular lens and the objective lens
  • 31.
  • 32.
    Magnification • The objectivelens forms an enlarged real image within the microscope, and the eyepiece lens further magnifies this primary image. • When one looks into a microscope, the enlarged specimen image, called the virtual image, appears to lie just beyond the stage about 25 cm away. • The total magnification is calculated by multiplying the objective and eyepiece magnifications together. For example, if a 45 objective is used with a 10 eyepiece, the overall magnification of the specimen will be 450.
  • 33.
    Microscope Resolution • Resolutionis the ability of a lens to separate or distinguish between small objects that are close together. • the ability to distinguish between two closely spaced points in a specimen
  • 34.
    Resolution is defined asthe act, process, or capability of distinguishing between two separate, but adjacent objects or sources of light, or between two nearly equal wavelengths. Resolving Power is the ability to make points or lines which are closely adjacent in an object distinguishable in an image.
  • 35.
    Contrast: Dependent onthe amount of light scattered by the object and the amount of light scattered by the objects around it. A white fox in snow is not visible because both fox and the snow scatter light to the same degree. Camouflage in war fare and Chameleon on the trees. Sensitivity: Depends on the absolute amount of light scattered by an object. A dark adopted eye can detect a pulse of visible light containing ~50 photons (other devises can detect smaller amount of light-higher sensitivity).
  • 36.
    Numerical aperture • isa measure of the ability of a lens to collect light from the specimen • is a number usually between 0.04 and 1.4 • is always marked on the lens • Lenses with a low NA collect less light than those with a high NA • higher NA objectives yield the best resolution
  • 40.
    • The maximum theoreticalresolving power of a microscope with an oil immersion objective (numerical aperture of 1.25) and blue-green light is approximately 0.2 um. • d is resolving limit
  • 41.
    • The workingdistance of an objective is the distance between the front surface of the lens and the surface of the cover glass (if one is used) or the specimen when it is in sharp focus. • Objectives with large numerical apertures and great resolving power have short working distances.
  • 43.
    The Dark-Field Microscope •produces a bright image of the object against a dark background • Generally, An extra condenser lens is added so that the rays of light fall obliquely on the object. • used to observe living, unstained preparations like viewing the outlines of objects in liquid media such as living spermatozoa, microorganisms or cells growing in tissue culture, • A hollow cone of light is focused on the specimen in such a way that unreflected and unrefracted rays do not enter the objective
  • 47.
    The Phase-Contrast Microscope •enhances the contrast between intracellular structures having slight differences in refractive index • excellent way to observe living cells
  • 48.
    • In amicroscope if the phase of the rays scattered from the sample can be made to have a different phase from the unscattered rays, then the image of the specimen will be different in light intensity as compared to the background and will be more clearly visible. • This is because when two waves (e.g. the scattered rays and unscattered rays) are in phase, they reinforce one another and the total amplitude is larger • This effect is used in a phase contrast microscope to image thin transparent specimens.
  • 53.
    The Differential Interference ContrastMicroscope • creates image by detecting differences in refractive indices and thickness of different parts of specimen • excellent way to observe living cells
  • 54.
    • The objectbeam passes through the specimen, while the reference beam passes through a clear area of the slide. • After passing through the specimen, the two beams are combined and interfere with each other to form an image.
  • 56.
    Fluorescence Microscope • exposesa specimen to ultraviolet, violet, or blue light and forms an image of the object with the resulting fluorescent light. • is currently the most widely used contrast technique since it gives superior signal-to- noise ratios • most commonly used fluorescence technique is called epifluorescence light microscopy, where ‘epi’ simply means ‘from above’
  • 57.
    • Flourochromes aresmall fluorescent molecules, which may be linked chemically to materials of interest • Fluorescein isothiocyanate (FITC) absorbs blue light and emits green light. Rhodamine compounds absorb green light and emit red light • In clinical medicine, fluorescence microscopy is a powerful technique to identify the presence of particular viruses in the sample. • In biology, it enables the mapping of the distribution of even fairly small cell components
  • 62.
    Preparation and Stainingof Specimens • Living microorganisms can be directly examined with the light microscope. • But dead cells are to be fixed and stained.
  • 63.
    Fixation • Fixation isthe process by which the internal and external structures of cells and microorganisms are preserved and fixed in position. • It inactivates enzymes that might disrupt cell morphology and toughens cell structures so that they do not change during staining and observation. • A microorganism usually is killed and attached firmly to the microscope slide during fixation. • Heat-fixed or chemical fixation
  • 64.
    Staining Basic dyes • methyleneblue, basic fuchsin, crystal violet, safranin, malachite green • have positively charged groups (usually some form of pentavalent nitrogen) and are generally sold as chloride salts. • Basic dyes bind to negatively charged molecules like nucleic acids and many proteins. • Because the surfaces of bacterial cells also are negatively charged, basic dyes are most often used in bacteriology.
  • 65.
    Acid dyes • eosin,rose bengal, and acid fuchsin • Possess negatively charged groups such as carboxyls (—COOH) and phenolic hydroxyls (—OH). • Acid dyes, because of their negative charge, bind to positively charged cell structures.
  • 66.
    Differential Staining • Gram’sstaining • Acid-fast staining
  • 68.
    Staining Specific Structures •Negative staining-India ink or Nigrosin dye • Spore staining-Schaeffer-Fulton procedure
  • 69.
  • 70.
    • Used whengreatest resolution is required and when living state can be ignored • Revealed the ultra structure of the cells • Two different types • Transmission electron microscope (TEM): electrons that pass through the specimen are imaged • Scanning electron microscope (SEM): electrons that are reflected back from the specimen (secondary electrons) are collected, and the surfaces of specimens are imaged • Light source: electron gun
  • 71.
    • Tungsten filamentsemit electrons when high voltage of 40000 to 100000V • These electrons pass through hole in anode forming electron beam • Electron beam passes through stack of electromagnetic lenses
  • 72.
    Scanning probe microscopeCharged particle microscope Optical (light) microscope Optical (light) microscope objective lens light beam specimen light source Scanning probe microscope laser diode X, Y piezoelectric scanner Z piezoelectric scanner cantilever sample (stationary) mirror multiple segmentphotodiode (position sensitive detector) Charged particle microscope objective aperture selected area aperture condenser aperture electron source first condenser lens second condenser lens fluorescent screen microcondenser lens specimen (thin) objective imaging lens objective condenser lens diffraction lens intermediate lens first projector lens second projector lens projector chamber (Illustration of a TEM shown)
  • 73.
    Comparing Microscopes LIGHT MICROSCOPEELECTRON MICROSCOPE Use of vacuum No vacuum Entire electron path from gun to camera must be under vacuum The source of illumination The ambient light source is light for the microscope Electrons are used to “see” – light is replaced by an electron gun built into the column The lens type Glass lenses Electromagnetic lenses Magnification method Magnification is changed by moving the lens Focal length is charged by changing the current through the lens coil Viewing the sample Eyepiece (ocular) Fluorescent screen or digital camera
  • 74.
    KEY CONCEPT: Resolution Resolution isdefined as the act, process, or capability of distinguishing between two separate, but adjacent objects or sources of light, or between two nearly equal wavelengths. Resolving Power is the ability to make points or lines which are closely adjacent in an object distinguishable in an image.
  • 75.
    Resolving Power ofthe Human Eye What can we see?
  • 76.
  • 77.
    How is ResolutionAffected by Wavelength?
  • 78.
    KEY CONCEPT: TheElectron An atom is made up of: Protons Neutrons Electron
  • 79.
    CORE TECHNOLOGY: TheElectron Gun • Three main sources of electrons: – Tungsten – LaB6 (lanthanum hexaboride) – Field Emission Gun (FEG) • Different costs and benefits of each • Each selected primarily for their brightness
  • 80.
    CORE TECHNOLOGY: ElectromagneticLenses electron beam soft iron pole piece electrical coil
  • 81.
    CORE TECHNOLOGY: TheVacuum • A vacuum is a region of reduced gas pressure. • Electron microscopes use a vacuum to make electrons behave like light.
  • 82.
    What is aTransmission Electron Microscope? projector lens electron source condenser system specimen (thin) objective lens
  • 83.
    Transmission Electron Microscope •Electron beams behave like radiation and can be focused much as light is in a light microscope. • If electrons illuminate the specimen, the microscope’s resolution is enormously increased because the wavelength of the radiation is around 0.005 nm, approximately 100,000 times shorter than that of visible light. • The transmission electron microscope has a practical resolution roughly 1,000 times better than the light microscope; with many electron microscopes, points closer than 5 A or 0.5 nm can be distinguished, and the useful magnification is well over 100,000X
  • 84.
    TEM Aberration Correction •Chromatic aberration is distortion that occurs when there is a failure of a lens to focus all colors (wavelengths) to the same convergence point. • Correcting the aberration is necessary, otherwise the resulting image would be blurry and delocalized, a form of aberration where periodic structures appear to extend beyond their physical boundaries. • Recent improvements in aberration correction have resulted in significantly- improved image quality and sample information. • Spherical aberration occurs when parallel light rays that pass through the central region of the lens focus farther away than the light rays that pass through the edges of the lens. • Result is multiple focal points and a blurred image. Chromatic Aberration Spherical Aberration
  • 89.
    TEM Enables 3DImaging 3D Imaging
  • 90.
    Environmental Microscopy withTEM FEI Titan ETEM Nickel catalyst film on silica membrane Nickel oxide particles in nitrogen gas
  • 92.
    Sample preparation • Fixation-chemicals like glutaraldehyde or osmium tetroxide to stabilize cell structure • Dehydration - organic solvents (e.g., acetone or ethanol). • soaked in unpolymerized, liquid epoxy plastic until it is completely permeated, and then the plastic is hardened to form a solid block • higher the atomic number the greater the scattering and the contrast. Thus heavy metals are used to add contrast in the EM, for example uranium, lead and osmium • the electron beam can only be produced and focused in a vacuum therefore all water must be removed
  • 93.
    • Thin sectionsare cut from this block with a glass or diamond knife using a special instrument called an ultramicrotome • The specimen must be around 20 to 100 nm thick • Section should be thin because electron has low penetration power
  • 94.
    • Soaking thinsections with solutions of heavy metal salts like lead citrate and uranyl acetate. • Heavy osmium atoms from the osmium tetroxide fixative also “stain” cells and increase their contrast. • The stained thin sections are then mounted on tiny copper grids and viewed.
  • 96.
    Scanning Electron microscope •used to examine the surfaces of microorganisms in great detail • The SEM differs from other electron microscopes in producing an image from electrons emitted by an object’s surface rather than from transmitted electrons.
  • 98.
    What is ScanningTransmission Electron Microscopy? STEM image of a 32nm semiconductor device Elemental map of a 45 nm PMOS transistor structure EDX map of semiconductor device
  • 99.
    What is aScanning Electron Microscope? vacuum electron beam impact area electron source
  • 101.
    Specimen preparation • easy,and in some cases air-dried material can be examined directly. • Microorganisms must first be fixed, dehydrated, and dried to preserve surface structure and prevent collapse of the cells when they are exposed to the SEM’s high vacuum. • Before viewing, dried samples are mounted and coated with a thin layer of metal to prevent the buildup of an electrical charge on the surface and to give a better image
  • 104.
    Comparing SEM andTEM TEM SEM Imaging Electrons must pass through and be transmitted by the specimen Information needed is collected near the surface of the specimen Electron Beam Broad, static beams Beam focused to fine point; sample is scanned line by line Voltages Needed TEM voltage ranges from 60-300,000 volts Accelerating voltage much lower; not necessary to penetrate the specimen Image Rendering Transmitted electrons are collectively focused by the objective lens and magnified to create a real image Beam is scanned along the surface of the sample to build up the image Interaction of the beam electrons Specimen must be very thin Wide range of specimens allowed; simplifies sample preparation
  • 106.
    FEI V400ACE FocusedIon Beam What is a Focused Ion Beam? (FIB) Cross-section of a semiconductor wafer imaged with a plasma FIB Physical Failure Analysis Platinum Nano-Wire FIB-cut in steel v2a EE by 1nA to 1B milling-002 steel
  • 107.
    What is aDualBeam™ System? Bidens Ferulifolia Pollen on plant structures
  • 108.
    Scanning tunneling microscope •invented in 1980 • Magnifications of 100 million and allow scientists to view atoms on the surface of a solid.
  • 110.
    • It hasa needlelike probe with a point so sharp that often there is only one atom at its tip. • The probe is lowered toward the specimen surface until its electron cloud just touches that of the surface atoms. • If a small voltage is applied between the tip and specimen, electrons flow through a narrow channel in the electron clouds (tunneling current).
  • 112.
  • 113.
  • 114.
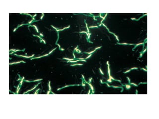
    © 2013 FEI LifeScience Applications Breast cancer cells Sperm tails tangled up in a seminiferous tubule
  • 115.
    © 2013 FEI NaturalResources & Energy
  • 116.