Methods of Ligation
Metal ligation
By Prof. Dr
In orthodontics, ligation method refers to the
means by which an archwire is held inside the
bracket. Conventionally, elastic or metallic ties
were used to hold the archwire in place; however
more recently ligating methods have been designed
and built directly into brackets.
Currently the three most common ligation systems are
active- and passive self ligation and conventional elastic
ligation.
Research has shown that different ligation types produce different
force and moment systems along the orthodontic arch; specifically,
passive self-ligation has been found to decrease the forces and
moments produced when compared to elastic ligation, which may
lead to increased patient comfort .
This is because elastic ligation actively holds
The wire in place against the bracket, whereas
passive ligation simply guides the wire while
leaving room for movement.
Variable Force Orthodontics Delta Force Bracket Features The
Delta Force Bracket – A Change for the Better The Delta Force
Bracket System incorporates an advanced design that allows you
to control the friction between the archwire, bracket and
ligatures.
The advanced technology and variations in ligature placement
provide full control over the sliding mechanics offering the ability
to easily increase or decrease friction for better treatment
planning and results
Delta Force Brackets have unique features to achieve variable force
ligation throughout the treatment stages. Early in treatment: Light
force can be attained for excellent sliding mechanics and low friction.
Intermediate stage of treatment: Medium force can be utilized for
anchorage and stabilization, as well as initial torquing forces.
Delta Force Ligation Options
Minimum Force Start your treatment with passive ligation for minimum force.
Rapid leveling and aligning can be attained as the ligation is configured to
prevent the ligature from directly contacting the archwire. The free sliding
mechanics created result in low friction and more patient comfort during this
early phase of treatment
Maximum Force You may finish your treatment with maximum force by
locking the archwire in for full expression of the straight arch bracket. Tie
the ligature to lock the archwire in the tip, torque and rotational control
Minimum Force Maximum Force
Medium Force In the next stage, medium force is achieved through
limited contact of the ligature and the archwire. This configuration uses a
standard ligation, full tip, torque and rotational control through lightly
seating a rectangular archwire
Minimum Force Maximum Force
Medium Force
Maximum + Force If needed, for full expression of the straight arch bracket
system, you can apply maximum + force, by placing an inverted V elastic ligation
Optional Step – Rotation Control and Force If necessary, extra rotation can
be created by ligating behind one tie wing on one side. Please note,
rotation will occur towards the non-ligated wing
Metal ligature
Short Twisted Preformed Ligature Ties Short Twisted Kobayashi Ligature Wires 008" PRE-FORMED SHORT
METAL LIGATURE TIES
The vast majority of fixed orthodontic appliances have stored
tooth-moving forces in archwires, which are deformed within their
elastic limit. For this force to be transmitted to a tooth, wires need a
form of connection to the bracket.
Elastomeric ligatures” and “self-ligating brackets” are firmly
established orthodontic terms.
Elastomeric modules are adversely affected by oral
environment, demonstrates stress relaxation with time
and exhibit great individual variation in properties.
The normal force exerted by the ligature
has been estimated to be between 50 to
300 g.
Bazakidou showed that there was no significant
differences between frictional resistance offered
by the conventional tied stainless steel ligature
and elastomeric module.
Frictional forces can be reduced by
stretching the elastomeric modules prior
to placement on the brackets or by tying
stainless steel ligatures loosely around
the brackets .
On the other hand stainless steel ligatures
can be too tight or too loose , depending
upon the technique and needs of the
clinician.
Stainless Steel Ligatures
When stainless steel became available, this was universally
adopted as the method of ligation. Stainless steel ligatures
have several beneficial inherent qualities. They are cheap,
robust, and essentially free from deformation and
degradation, and to an extent they can be applied tightly or
loosely to the arch wire.
Stainless Steel Ligatures
They also permit ligation of the archwire at a distance from
the bracket. This distant ligation is particularly useful if the
appliance tends to employ high forces from the archwires,
because this high force prevents sensible full archwire
engagement with significantly irregular teeth.
Kobayashi Ties
Add an auxiliary hook to any bracket
Available in .010", .012", or .014"
Composite ligature
• Fabricated from the acrylic monomer n-
butyl methacrylate and drawn poly
ethylene fibers.
• Due to stress relaxation properties
within an hour it loss 98% of ligation
forces( not used in sliding mechanism)
Specially formulated almond color coating
will not peel. For use with ceramic or
plastic brackets.
Teflon coated Ligature
• No discoloration.
• The coating wears off after 2-3 weeks and the metal is
exposed.
• Produces less friction when compared with elastomeric
ligatures & stainless steel ligatures.
• It generates lighter forces of engagement of the arch
wire into bracket slot.
Ligation materials: • 0.010” stainless steel
ligature wire (G & H wire Company) • 0.010”
Teflon coated stainless steel ligatures (G & H
wire Company) • 0.12” elastomeric ligature
ties (American Orthodontics).
Effects of Different Ligature Materials on Friction in Sliding
Mechanics Aparna Khamatkar1 , Sushma Sonawane2 ,
Sameer Narkhade3 , Nitin Gadhiya2 , Abhijit Bagade1 ,
Vivek Soni4 , Asha Betigiri3
Teflon coated stainless steel ligatures produced the
least friction amongst the materials tested in both
dry and wet conditions, and there was no significant
effect on friction in this group caused due to
lubrication
Artificial saliva produced increased friction in
elastomeric modules, but does not cause any
significant difference in friction when stainless
steel or Teflon coated stainless steel ligatures are
used
COATED KOBAYASHI SHORT TWISTED LIGATURE TIE HOOKS
Despite these good qualities and their widespread use over
many decades, wire ligatures have substantial drawbacks,
and the most immediately apparent of these are the length
of time required to place and remove the ligatures.
Preformed Ligature Ties
•Preformed in dead soft temper
•Available in long or pre–cut
Stainless Steel Ligatures
One typical study found that an additional 11 minutes was
required to remove and replace two archwires if wire
ligatures were used rather than elastomeric ligatures.
Bulk Ligature Spools
•1 pound spools
•Bright finish with soft temper for
ease of use
Stainless Steel Ligatures
Stainless Steel Ligatures
Additional potential hazards include those
arising from puncture wounds from the ligature
ends and trauma to the patients’ mucosa if the
ligature end becomes displaced.
The use of stainless steel ligature ties has been shown to
increase friction through a dual mechanism. There is a
higher engagement force between the archwire and bracket,
and additional friction is generated by the contact of the
ligature surface with the archwire; however, elastomeric
ligatures can induce the same effects.
A practical conclusion from these studies
was that self- ligating brackets showed
less frictional forces, while the figure-of-
eight ligature configuration increased
friction significantly.
Conventional brackets received metallic ligatures used to tie
the arch to the slots (A), always carefully bending them
perpendicular to the leveling arch (B) in order to reduce
plaque retention
Comparative Thickness of MPA
A Multi-Purpose Attachment -MPA can be used in different conditions . The
thickness of an MPA is very less as compared to the conventional brackets
and tubes. It has a body that is very thin - 0.4 mm and a lumen through
which a ligature wire or an 0.016" arch wire can pass. Curved MPAs are for
the canines, premolars and molars and the flat ones are for the incisors.
Multi-Purpose Attachment
EYELET
DIRECT BOND
Easily bonded to any tooth. Specially designed base provides
a firmer bonding strength. 10 per package
Stainless Steel Ligatures
Single Tie
One end of a small piece of ligature wire is passed through the
lumen of the attachment. It is then passed under the arch wire on
the other side, twisted around the other end, cut and tucked in.
This tie can be given for aligning and leveling a tooth
Methods of Ligation
Stainless Steel Ligatures
Double Tie
One end of a small piece of ligature wire is passed through the lumen of the
attachment. It is taken labial to the arch wire on the other side and reinserted
into the lumen from the same side. After pulling out completely to the side
from where it was inserted earlier, it is twisted around the other end of the
ligature wire, cut and tucked in. This tie can be given to correct rotation and to
upright a tooth.
Crowding & Rotations
When the crown of a tooth is not exposed enough to place a bracket, an MPA can
be bonded initially. Once crowding is relieved, a bracket can be bonded after
debonding the MPA
Cross bite, Deep Bite and Scissors bite
Correction of cross bite of one or more teeth with brackets would require a bite
plate to disocclude the teeth in cross bite, or else the brackets may debond or
the patient would be uncomfortable. In such a case an MPA can be bonded as
incisal as possible on to a tooth in cross bite and the main arch wire can be tied
to the attachment to get the tooth into alignment.
If the deep bite is more than 3 to 4 mm then a posterior bite
plate may be necessary, until the tooth in cross bite crosses
over the opposing tooth. Many a times it is difficult to bond
brackets on to the lower incisors in deep bite cases. Deep bite
may be of a single tooth or of multiple teeth
Occlusal interference with even one tooth would be
uncomfortable and painful to the patient or it would
cause bond failure resulting in extended treatment
duration. Teeth in scissors bite can also be corrected
with this attachment
Small clinical crowns
An MPA can be bonded onto the occlusal surface of a
tooth with a small clinical crown and brought into
alignment.
A hook can be made by twisting the strands of a piece of
ligature wire after passing it through the lumen of the
attachment. Even if the tooth gets covered by gingiva after
some time, the hook remains out and can be used for tying
ligatures or elastomerics to the main arch wire to get the
tooth in occlusion and alignment.
Impacted Teeth
As the tooth erupts, the hook can be shortened
by cutting and bending it
Uprighting Second Molars
An impacted lower second or third molar can be
corrected by bonding an MPA and giving a spring which
distalizes and uprights the molar
It is acknowledged that metallic
ligatures produce around 30% to
50% of friction caused by
elastomeric ligatures.
Little Effort, Big Results by Andrew Hayes, DDS
The everyday task of handling extraction spaces is an art in its
own right, with an endless list of variables that require
clarification:
Do you extract before or after bracketing?
•Canine retraction or en-masse retraction?
•Maximum or minimum anchorage?
•Reciprocal space closure?
•Leveling and aligning before any space closure for sliding?
•Active or passive brackets in the buccal segments?
•Skeletal anchorage?
•Periodontally or osteogenically accelerated orthodontics?
The terms laceback and tieback have been commonplace in
the field of orthodontics for some time, and are often
substituted for each other, when they're actually different
entities.
Laceback was popularized by McLaughlin and Bennett in
the late 1980s .1 They described lacebacks as using .010
stainless steel ligature wires extending from the most
distally banded molar to the canine bracket .
Lacebacks are generally placed on the brackets before
the insertion and ligation of the archwire. The purpose
is to restrict canine crowns from tipping forward
during leveling and aligning—a tipping caused by the
addition of angulation in today's prescription brackets.
Tieback refers to the use of stainless steel ligatures threaded
through an elastic module that goes directly from the terminal
molar to the canine bracket Unlike the laceback, this type of
ligation is done after the placement and ligation of the archwire and
is commonly used for active space closure.
Clinical trials have shown both active tieback and active laceback
methods to be reliable in anterior retraction.3, 4The active tieback
method using an elastomeric module has shown to have a clinically
significant decrease in space-closure time compared with the
laceback method with no elastic module. Elastic modules, when
prestretched to twice their original size, have been shown to deliver
50-150g of force initially.2
Canine retraction with active tiebacks is often rapid and has
minimal unwanted side effects even when using with light initial
nickel titanium archwires. It is important to note that there is no
mesial-out/distal-in rotation evident on the canines that typically
seen with elastic chain or coil-spring retraction.
It has been shown that the canines rotate 2.68 degrees
on average with laceback tie, compared with 7.75
degrees with coil springs.4 One study suggests that
using the tieback method of space closure has more
appropriate initial force than elastomeric chain.5
Regional acceleratory phenomenon
It has been noted by many clinicians using tiebacks or lacebacks
that when they're placed, it's not uncommon to see entire
extraction spaces close up on their own and severe crowding to
align at an astounding rate .
Clinical case
A 13-year-old male presented for treatment with slight
overbite and overjet, and maxillary canines actively erupting
toward the buccal . The posterior occlusion was Class I molar
left and full step Class III molar on the right side , resulting
in a significant mandibular midline discrepancy.
The patient had a straight facial profile, good lip
competency and mild chin deviation to the left. In spite of
the asymmetric Class III dentition, the resulting chin
deviation was mild enough to be considered within normal
limits
Mandibular mid line is deviated to
the left
Cephalometric analysis revealed a strong Class III
component with severe dental compensation. At 73 degrees,
the lower incisors were retroclined approximately 20 degrees
from the norm. Although ANB was only slightly negative, the
Wits appraisal came out to -9.3mm. Because of the severity of
the Class III skeletal component and the patient being in
active growth, the likelihood of future surgery was discussed
before any treatment.
•Treatment plan
Begin with maxillary arch only
•Bond to create space for maxillary canine teeth
•Improve overbite and overjet
•When maxillary teeth aligned, bond sectional wire to
Class III side
•Place active tieback from #30-#27
•Extract tooth #28
•Bond lower arch only when #27 is in Class I position
•Re-evaluate for lower arch miniscrews in external oblique
ridge, if necessary for retraction
•Class III elastics prn
Treatment sequencing
The patient's maxillary arch was bonded to include all teeth except
unerupted canines. After three months, adequate space was created
to bond the erupted canines. After six months of maxillary-only
appliances, no significant mandibular growth had taken place .
Because of this, bonding a lower sectional appliance
from molar to canine on the Class III side was done . A
0.014 NiTi wire was used and an active tieback placed
before dental extraction.
This complex, asymmetric Class III case has treated out quite well
and efficiently. The use of the active tieback to close the extraction
space provided all the anchorage necessary in this maximum
anchorage situation. Why aren't all complex orthodontic cases
requiring extraction being treated this way and completed in 15-18
months? After all, it's extremely simple to do, the molars are great
anchorage and best of all, the RAP is free turbocharging for space
closure.
The majority of articles discussing retraction with tiebacks or lacebacks
typically conclude that the canine retraction is adequate, but there is
significant posterior anchorage loss associated. A recent meta-analysis
concluded, "There is no evidence to support the use of lacebacks for the
control of the sagittal position of the incisors during initial orthodontic
alignment." Another recent article concluded, "Active laceback produced
anchorage loss of maxillary first molars."3
It has been shown that teeth move faster in
proximity to a recent extraction, compared with a
healed extraction site.
If one follows the MBT philosophy step by step, McLaughlin proposes a waiting
period for space closure with passive tiebacks or lacebacks until true passive
insertion of a 19x25 stainless steel archwire can be achieved for the sake of improving
sliding mechanics. Without a protocol for having the tieback in place before or
immediately after extraction, one may be missing out on a great deal of Mother
Nature's own tooth-moving accelerator, the RAP. In fact, the increase in cellular
activity is so great that Frost documented that RAP can expedite hard- and soft-
tissue healing stages between two and 10 times that of normal physiological activity.
A 2013 study stated that extractions can be a good source for inflammatory
markers. (These markers play an important role in osteoclast recruitment.)
Because of this, the group proposed that, when possible, extractions should be
delayed until the time of major tooth movement.16
What if our patients are getting the extractions before initiating orthodontics,
or if they're in orthodontic treatment and have the extractions performed but
don't see us for six weeks? What if we're waiting for our large-diameter wire to
become completely passive? Orthodontic literature has shown that extraction
undoubtedly leads to decreased bone density in the extraction.17, 18 Could we be
missing out on the wonderful advantages that biology has to offer
Figure 8 ligation to maintain
diastema closure
•Finishing and detailing , which is the last stage
in treatment , it is important to maintain closure
of all spaces.
•Passive wire tie backs when rect wires in place,
Lacebacks – molar – cuspids – when light wires
used.
•In extn. cases – figure of 8 liagature ties –across
extn. site – to keep it closed
Serpentine wires:- 1 week before appliance removal U&L arch
wires are removed ,ligated together in a serpentine fashion from PM
to PM with std: ligature wire--- occlusion to settle without any
interdental spacing– (in minimal discrepancies of tooth position)
Initial archwire
As in nonextraction cases, in extraction treatment the initial maxillary archwire is usually a
0.016-inch nickel-titanium wire. Because extraction patients often exhibit more initial
crowding in the maxillary arch than do nonextraction patients, this flexible wire is often
used for one to two additional appointments. This archwire will correct the crowding,
reduce the rotations, and help level the teeth. Because the point of least resistance is toward
the extraction site, there is little flaring of the incisors as they align. Most of the tooth
movement is into the extraction sites. To make this even more effective, the special low-
friction ligation can be placed on those teeth that need the greatest amount of movement
Modified laceback for canine retraction
The ligature wire is placed without the placement
of the arch wire
The arch wire is then placed with the open coil spring
and the canine bracket is ligated with metal ligatures
The ends of the ligatures are brought
forward and tied with the compression of
the open coil spring
Retraction of upper incisors
Class I malocclusion with severe double
protrusion treated with first premolars
extraction*
En-masse retraction of anterior teeth
Effect of force applied to the orthodontic archwire
during sliding mechanics associated with mini-
implants.
In cases with reduced or normal overbite, the orthodontic
treatment should be initiated with individual retraction of the
canines, and application of horizontal forces without any
vertical force components, which are not helpful in these
patients
References
1- Seru Surbhi etal. Effect of Ligation Method on Maxillary Arch Force/Moment Systems for a
Simulated Lingual Incisor Malalignment.Open Biomed Eng J. 2014; 8: 106–113.
2-Delta force bracket system. Ortho Organizers, Inc. All rights reserved. PN 999-168 Rev 02/11
3-Friction in orthodontic. Dental lectures in all subjects for dental students. Indian dental
academy
4-AV Arun etal. Frictional characteristics of the newer orthodontic elastomeric
ligatures. Indian J Dent Res 2011;22:95-9
5-Aparna Khamatkar etal. Effects of Different Ligature Materials on Friction in Sliding
Mechanics. J Int Oral Health. 2015 May; 7(5): 34–40.
6-Vito Crincoli etal. Friction Forces during Sliding of Various Brackets for Malaligned
Teeth: An In Vitro Study. ScientificWorldJournal. 2013; 2013: 871423.
7-A. Pravindevaprasad and Beena Agnes Therese. Tooth positioners and their effects on
treatment outcome. J Nat Sci Biol Med. 2013 Jul-Dec; 4(2): 298–301.
8-Gerson Luiz Ulema Ribeiro and Helder B. Jacob. Understanding the basis of space
closure in Orthodontics for a more efficient orthodontic treatment. Dental Press J
Orthod. 2016 Mar-Apr; 21(2): 115–125.

Methods of ligation

  • 1.
    Methods of Ligation Metalligation By Prof. Dr
  • 3.
    In orthodontics, ligationmethod refers to the means by which an archwire is held inside the bracket. Conventionally, elastic or metallic ties were used to hold the archwire in place; however more recently ligating methods have been designed and built directly into brackets.
  • 4.
    Currently the threemost common ligation systems are active- and passive self ligation and conventional elastic ligation.
  • 5.
    Research has shownthat different ligation types produce different force and moment systems along the orthodontic arch; specifically, passive self-ligation has been found to decrease the forces and moments produced when compared to elastic ligation, which may lead to increased patient comfort .
  • 6.
    This is becauseelastic ligation actively holds The wire in place against the bracket, whereas passive ligation simply guides the wire while leaving room for movement.
  • 7.
    Variable Force OrthodonticsDelta Force Bracket Features The Delta Force Bracket – A Change for the Better The Delta Force Bracket System incorporates an advanced design that allows you to control the friction between the archwire, bracket and ligatures.
  • 8.
    The advanced technologyand variations in ligature placement provide full control over the sliding mechanics offering the ability to easily increase or decrease friction for better treatment planning and results
  • 9.
    Delta Force Bracketshave unique features to achieve variable force ligation throughout the treatment stages. Early in treatment: Light force can be attained for excellent sliding mechanics and low friction. Intermediate stage of treatment: Medium force can be utilized for anchorage and stabilization, as well as initial torquing forces.
  • 10.
    Delta Force LigationOptions Minimum Force Start your treatment with passive ligation for minimum force. Rapid leveling and aligning can be attained as the ligation is configured to prevent the ligature from directly contacting the archwire. The free sliding mechanics created result in low friction and more patient comfort during this early phase of treatment
  • 11.
    Maximum Force Youmay finish your treatment with maximum force by locking the archwire in for full expression of the straight arch bracket. Tie the ligature to lock the archwire in the tip, torque and rotational control Minimum Force Maximum Force
  • 12.
    Medium Force Inthe next stage, medium force is achieved through limited contact of the ligature and the archwire. This configuration uses a standard ligation, full tip, torque and rotational control through lightly seating a rectangular archwire Minimum Force Maximum Force Medium Force
  • 13.
    Maximum + ForceIf needed, for full expression of the straight arch bracket system, you can apply maximum + force, by placing an inverted V elastic ligation
  • 14.
    Optional Step –Rotation Control and Force If necessary, extra rotation can be created by ligating behind one tie wing on one side. Please note, rotation will occur towards the non-ligated wing
  • 15.
    Metal ligature Short TwistedPreformed Ligature Ties Short Twisted Kobayashi Ligature Wires 008" PRE-FORMED SHORT METAL LIGATURE TIES
  • 16.
    The vast majorityof fixed orthodontic appliances have stored tooth-moving forces in archwires, which are deformed within their elastic limit. For this force to be transmitted to a tooth, wires need a form of connection to the bracket.
  • 17.
    Elastomeric ligatures” and“self-ligating brackets” are firmly established orthodontic terms.
  • 18.
    Elastomeric modules areadversely affected by oral environment, demonstrates stress relaxation with time and exhibit great individual variation in properties.
  • 19.
    The normal forceexerted by the ligature has been estimated to be between 50 to 300 g.
  • 20.
    Bazakidou showed thatthere was no significant differences between frictional resistance offered by the conventional tied stainless steel ligature and elastomeric module.
  • 21.
    Frictional forces canbe reduced by stretching the elastomeric modules prior to placement on the brackets or by tying stainless steel ligatures loosely around the brackets .
  • 22.
    On the otherhand stainless steel ligatures can be too tight or too loose , depending upon the technique and needs of the clinician.
  • 23.
    Stainless Steel Ligatures Whenstainless steel became available, this was universally adopted as the method of ligation. Stainless steel ligatures have several beneficial inherent qualities. They are cheap, robust, and essentially free from deformation and degradation, and to an extent they can be applied tightly or loosely to the arch wire.
  • 24.
    Stainless Steel Ligatures Theyalso permit ligation of the archwire at a distance from the bracket. This distant ligation is particularly useful if the appliance tends to employ high forces from the archwires, because this high force prevents sensible full archwire engagement with significantly irregular teeth. Kobayashi Ties Add an auxiliary hook to any bracket Available in .010", .012", or .014"
  • 25.
    Composite ligature • Fabricatedfrom the acrylic monomer n- butyl methacrylate and drawn poly ethylene fibers. • Due to stress relaxation properties within an hour it loss 98% of ligation forces( not used in sliding mechanism)
  • 26.
    Specially formulated almondcolor coating will not peel. For use with ceramic or plastic brackets. Teflon coated Ligature • No discoloration. • The coating wears off after 2-3 weeks and the metal is exposed. • Produces less friction when compared with elastomeric ligatures & stainless steel ligatures. • It generates lighter forces of engagement of the arch wire into bracket slot.
  • 27.
    Ligation materials: •0.010” stainless steel ligature wire (G & H wire Company) • 0.010” Teflon coated stainless steel ligatures (G & H wire Company) • 0.12” elastomeric ligature ties (American Orthodontics). Effects of Different Ligature Materials on Friction in Sliding Mechanics Aparna Khamatkar1 , Sushma Sonawane2 , Sameer Narkhade3 , Nitin Gadhiya2 , Abhijit Bagade1 , Vivek Soni4 , Asha Betigiri3
  • 28.
    Teflon coated stainlesssteel ligatures produced the least friction amongst the materials tested in both dry and wet conditions, and there was no significant effect on friction in this group caused due to lubrication
  • 29.
    Artificial saliva producedincreased friction in elastomeric modules, but does not cause any significant difference in friction when stainless steel or Teflon coated stainless steel ligatures are used
  • 30.
    COATED KOBAYASHI SHORTTWISTED LIGATURE TIE HOOKS
  • 35.
    Despite these goodqualities and their widespread use over many decades, wire ligatures have substantial drawbacks, and the most immediately apparent of these are the length of time required to place and remove the ligatures. Preformed Ligature Ties •Preformed in dead soft temper •Available in long or pre–cut Stainless Steel Ligatures
  • 36.
    One typical studyfound that an additional 11 minutes was required to remove and replace two archwires if wire ligatures were used rather than elastomeric ligatures. Bulk Ligature Spools •1 pound spools •Bright finish with soft temper for ease of use Stainless Steel Ligatures
  • 37.
    Stainless Steel Ligatures Additionalpotential hazards include those arising from puncture wounds from the ligature ends and trauma to the patients’ mucosa if the ligature end becomes displaced.
  • 39.
    The use ofstainless steel ligature ties has been shown to increase friction through a dual mechanism. There is a higher engagement force between the archwire and bracket, and additional friction is generated by the contact of the ligature surface with the archwire; however, elastomeric ligatures can induce the same effects.
  • 40.
    A practical conclusionfrom these studies was that self- ligating brackets showed less frictional forces, while the figure-of- eight ligature configuration increased friction significantly.
  • 43.
    Conventional brackets receivedmetallic ligatures used to tie the arch to the slots (A), always carefully bending them perpendicular to the leveling arch (B) in order to reduce plaque retention
  • 44.
    Comparative Thickness ofMPA A Multi-Purpose Attachment -MPA can be used in different conditions . The thickness of an MPA is very less as compared to the conventional brackets and tubes. It has a body that is very thin - 0.4 mm and a lumen through which a ligature wire or an 0.016" arch wire can pass. Curved MPAs are for the canines, premolars and molars and the flat ones are for the incisors. Multi-Purpose Attachment
  • 45.
    EYELET DIRECT BOND Easily bondedto any tooth. Specially designed base provides a firmer bonding strength. 10 per package
  • 46.
    Stainless Steel Ligatures SingleTie One end of a small piece of ligature wire is passed through the lumen of the attachment. It is then passed under the arch wire on the other side, twisted around the other end, cut and tucked in. This tie can be given for aligning and leveling a tooth Methods of Ligation
  • 47.
    Stainless Steel Ligatures DoubleTie One end of a small piece of ligature wire is passed through the lumen of the attachment. It is taken labial to the arch wire on the other side and reinserted into the lumen from the same side. After pulling out completely to the side from where it was inserted earlier, it is twisted around the other end of the ligature wire, cut and tucked in. This tie can be given to correct rotation and to upright a tooth.
  • 48.
    Crowding & Rotations Whenthe crown of a tooth is not exposed enough to place a bracket, an MPA can be bonded initially. Once crowding is relieved, a bracket can be bonded after debonding the MPA
  • 49.
    Cross bite, DeepBite and Scissors bite Correction of cross bite of one or more teeth with brackets would require a bite plate to disocclude the teeth in cross bite, or else the brackets may debond or the patient would be uncomfortable. In such a case an MPA can be bonded as incisal as possible on to a tooth in cross bite and the main arch wire can be tied to the attachment to get the tooth into alignment.
  • 50.
    If the deepbite is more than 3 to 4 mm then a posterior bite plate may be necessary, until the tooth in cross bite crosses over the opposing tooth. Many a times it is difficult to bond brackets on to the lower incisors in deep bite cases. Deep bite may be of a single tooth or of multiple teeth
  • 51.
    Occlusal interference witheven one tooth would be uncomfortable and painful to the patient or it would cause bond failure resulting in extended treatment duration. Teeth in scissors bite can also be corrected with this attachment
  • 52.
    Small clinical crowns AnMPA can be bonded onto the occlusal surface of a tooth with a small clinical crown and brought into alignment.
  • 53.
    A hook canbe made by twisting the strands of a piece of ligature wire after passing it through the lumen of the attachment. Even if the tooth gets covered by gingiva after some time, the hook remains out and can be used for tying ligatures or elastomerics to the main arch wire to get the tooth in occlusion and alignment. Impacted Teeth
  • 54.
    As the tootherupts, the hook can be shortened by cutting and bending it
  • 55.
    Uprighting Second Molars Animpacted lower second or third molar can be corrected by bonding an MPA and giving a spring which distalizes and uprights the molar
  • 56.
    It is acknowledgedthat metallic ligatures produce around 30% to 50% of friction caused by elastomeric ligatures.
  • 57.
    Little Effort, BigResults by Andrew Hayes, DDS The everyday task of handling extraction spaces is an art in its own right, with an endless list of variables that require clarification: Do you extract before or after bracketing? •Canine retraction or en-masse retraction? •Maximum or minimum anchorage? •Reciprocal space closure? •Leveling and aligning before any space closure for sliding? •Active or passive brackets in the buccal segments? •Skeletal anchorage? •Periodontally or osteogenically accelerated orthodontics?
  • 58.
    The terms lacebackand tieback have been commonplace in the field of orthodontics for some time, and are often substituted for each other, when they're actually different entities.
  • 59.
    Laceback was popularizedby McLaughlin and Bennett in the late 1980s .1 They described lacebacks as using .010 stainless steel ligature wires extending from the most distally banded molar to the canine bracket .
  • 60.
    Lacebacks are generallyplaced on the brackets before the insertion and ligation of the archwire. The purpose is to restrict canine crowns from tipping forward during leveling and aligning—a tipping caused by the addition of angulation in today's prescription brackets.
  • 61.
    Tieback refers tothe use of stainless steel ligatures threaded through an elastic module that goes directly from the terminal molar to the canine bracket Unlike the laceback, this type of ligation is done after the placement and ligation of the archwire and is commonly used for active space closure.
  • 63.
    Clinical trials haveshown both active tieback and active laceback methods to be reliable in anterior retraction.3, 4The active tieback method using an elastomeric module has shown to have a clinically significant decrease in space-closure time compared with the laceback method with no elastic module. Elastic modules, when prestretched to twice their original size, have been shown to deliver 50-150g of force initially.2
  • 64.
    Canine retraction withactive tiebacks is often rapid and has minimal unwanted side effects even when using with light initial nickel titanium archwires. It is important to note that there is no mesial-out/distal-in rotation evident on the canines that typically seen with elastic chain or coil-spring retraction.
  • 65.
    It has beenshown that the canines rotate 2.68 degrees on average with laceback tie, compared with 7.75 degrees with coil springs.4 One study suggests that using the tieback method of space closure has more appropriate initial force than elastomeric chain.5
  • 66.
    Regional acceleratory phenomenon Ithas been noted by many clinicians using tiebacks or lacebacks that when they're placed, it's not uncommon to see entire extraction spaces close up on their own and severe crowding to align at an astounding rate .
  • 70.
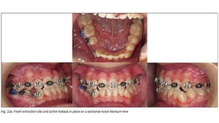
    Clinical case A 13-year-oldmale presented for treatment with slight overbite and overjet, and maxillary canines actively erupting toward the buccal . The posterior occlusion was Class I molar left and full step Class III molar on the right side , resulting in a significant mandibular midline discrepancy.
  • 71.
    The patient hada straight facial profile, good lip competency and mild chin deviation to the left. In spite of the asymmetric Class III dentition, the resulting chin deviation was mild enough to be considered within normal limits
  • 72.
    Mandibular mid lineis deviated to the left
  • 73.
    Cephalometric analysis revealeda strong Class III component with severe dental compensation. At 73 degrees, the lower incisors were retroclined approximately 20 degrees from the norm. Although ANB was only slightly negative, the Wits appraisal came out to -9.3mm. Because of the severity of the Class III skeletal component and the patient being in active growth, the likelihood of future surgery was discussed before any treatment.
  • 76.
    •Treatment plan Begin withmaxillary arch only •Bond to create space for maxillary canine teeth •Improve overbite and overjet •When maxillary teeth aligned, bond sectional wire to Class III side •Place active tieback from #30-#27 •Extract tooth #28 •Bond lower arch only when #27 is in Class I position •Re-evaluate for lower arch miniscrews in external oblique ridge, if necessary for retraction •Class III elastics prn
  • 77.
    Treatment sequencing The patient'smaxillary arch was bonded to include all teeth except unerupted canines. After three months, adequate space was created to bond the erupted canines. After six months of maxillary-only appliances, no significant mandibular growth had taken place .
  • 78.
    Because of this,bonding a lower sectional appliance from molar to canine on the Class III side was done . A 0.014 NiTi wire was used and an active tieback placed before dental extraction.
  • 80.
    This complex, asymmetricClass III case has treated out quite well and efficiently. The use of the active tieback to close the extraction space provided all the anchorage necessary in this maximum anchorage situation. Why aren't all complex orthodontic cases requiring extraction being treated this way and completed in 15-18 months? After all, it's extremely simple to do, the molars are great anchorage and best of all, the RAP is free turbocharging for space closure.
  • 81.
    The majority ofarticles discussing retraction with tiebacks or lacebacks typically conclude that the canine retraction is adequate, but there is significant posterior anchorage loss associated. A recent meta-analysis concluded, "There is no evidence to support the use of lacebacks for the control of the sagittal position of the incisors during initial orthodontic alignment." Another recent article concluded, "Active laceback produced anchorage loss of maxillary first molars."3
  • 82.
    It has beenshown that teeth move faster in proximity to a recent extraction, compared with a healed extraction site.
  • 83.
    If one followsthe MBT philosophy step by step, McLaughlin proposes a waiting period for space closure with passive tiebacks or lacebacks until true passive insertion of a 19x25 stainless steel archwire can be achieved for the sake of improving sliding mechanics. Without a protocol for having the tieback in place before or immediately after extraction, one may be missing out on a great deal of Mother Nature's own tooth-moving accelerator, the RAP. In fact, the increase in cellular activity is so great that Frost documented that RAP can expedite hard- and soft- tissue healing stages between two and 10 times that of normal physiological activity.
  • 84.
    A 2013 studystated that extractions can be a good source for inflammatory markers. (These markers play an important role in osteoclast recruitment.) Because of this, the group proposed that, when possible, extractions should be delayed until the time of major tooth movement.16 What if our patients are getting the extractions before initiating orthodontics, or if they're in orthodontic treatment and have the extractions performed but don't see us for six weeks? What if we're waiting for our large-diameter wire to become completely passive? Orthodontic literature has shown that extraction undoubtedly leads to decreased bone density in the extraction.17, 18 Could we be missing out on the wonderful advantages that biology has to offer
  • 87.
    Figure 8 ligationto maintain diastema closure
  • 88.
    •Finishing and detailing, which is the last stage in treatment , it is important to maintain closure of all spaces. •Passive wire tie backs when rect wires in place, Lacebacks – molar – cuspids – when light wires used. •In extn. cases – figure of 8 liagature ties –across extn. site – to keep it closed
  • 89.
    Serpentine wires:- 1week before appliance removal U&L arch wires are removed ,ligated together in a serpentine fashion from PM to PM with std: ligature wire--- occlusion to settle without any interdental spacing– (in minimal discrepancies of tooth position)
  • 90.
    Initial archwire As innonextraction cases, in extraction treatment the initial maxillary archwire is usually a 0.016-inch nickel-titanium wire. Because extraction patients often exhibit more initial crowding in the maxillary arch than do nonextraction patients, this flexible wire is often used for one to two additional appointments. This archwire will correct the crowding, reduce the rotations, and help level the teeth. Because the point of least resistance is toward the extraction site, there is little flaring of the incisors as they align. Most of the tooth movement is into the extraction sites. To make this even more effective, the special low- friction ligation can be placed on those teeth that need the greatest amount of movement
  • 91.
    Modified laceback forcanine retraction The ligature wire is placed without the placement of the arch wire The arch wire is then placed with the open coil spring and the canine bracket is ligated with metal ligatures The ends of the ligatures are brought forward and tied with the compression of the open coil spring
  • 92.
  • 93.
    Class I malocclusionwith severe double protrusion treated with first premolars extraction*
  • 94.
    En-masse retraction ofanterior teeth
  • 95.
    Effect of forceapplied to the orthodontic archwire during sliding mechanics associated with mini- implants.
  • 96.
    In cases withreduced or normal overbite, the orthodontic treatment should be initiated with individual retraction of the canines, and application of horizontal forces without any vertical force components, which are not helpful in these patients
  • 98.
    References 1- Seru Surbhietal. Effect of Ligation Method on Maxillary Arch Force/Moment Systems for a Simulated Lingual Incisor Malalignment.Open Biomed Eng J. 2014; 8: 106–113. 2-Delta force bracket system. Ortho Organizers, Inc. All rights reserved. PN 999-168 Rev 02/11 3-Friction in orthodontic. Dental lectures in all subjects for dental students. Indian dental academy 4-AV Arun etal. Frictional characteristics of the newer orthodontic elastomeric ligatures. Indian J Dent Res 2011;22:95-9 5-Aparna Khamatkar etal. Effects of Different Ligature Materials on Friction in Sliding Mechanics. J Int Oral Health. 2015 May; 7(5): 34–40. 6-Vito Crincoli etal. Friction Forces during Sliding of Various Brackets for Malaligned Teeth: An In Vitro Study. ScientificWorldJournal. 2013; 2013: 871423. 7-A. Pravindevaprasad and Beena Agnes Therese. Tooth positioners and their effects on treatment outcome. J Nat Sci Biol Med. 2013 Jul-Dec; 4(2): 298–301. 8-Gerson Luiz Ulema Ribeiro and Helder B. Jacob. Understanding the basis of space closure in Orthodontics for a more efficient orthodontic treatment. Dental Press J Orthod. 2016 Mar-Apr; 21(2): 115–125.