MALT LYMPHOMA
Moderator:
Dr. B.P. Nag
Professor
Presented by:
Dr. Reema
Agrawal
3rd year Resident
WHAT IS “MALT” ?
Mucosa-associated lymphoid tissue (MALT)
is scattered along mucosal linings in the
human body and constitutes the most
extensive component of human lymphoid
tissue. These surfaces protect the body from
an enormous quantity and variety of
antigens. The tonsils, the Peyer patches
within the small intestine, and
the vermiform appendix are examples of
MALT.
MALT is understood to include
1. gut-associated lymphoid tissue (GALT)
2. bronchial/tracheal-associated
lymphoid tissue (BALT)
3. nose-associated lymphoid tissue (NALT)
4. vulvovaginal-associated lymphoid
tissue (VALT)
Additional MALT exists within the
accessory organs of the digestive tract,
predominantly the parotid gland.
The most prominent
concentration of native mucosa
associated lymphoid tissue(MALT)
is seen in the terminal ileum in
the form of Peyer’s patches, and
for this reason the term
Lymphoma of MALT applied to this
group of lymphoma.
NORMAL HISTOLOGY OF
MALT
GI LYMPHOID TISSUE
Four lymphoid compartments :
 Organized mucosal lymphoid tissue - Peyer’s
patches in the terminal ileum
 The lamina propria
 Intraepithelial lymphocytes
 Mesenteric lymph nodes
PEYER'S PATCH
 Unencapsulated
organized lymphoid
nodules in small
intestine, the appendix
and colorectum
 Architecture similar to
Lymph node
 Mantle zone - IgM+,
IgD+
 Marginal zone - IgM+,
IgD-
 Peyer patches are unencapsulated aggregates of lymphoid
cells that bear certain resemblance to lymph node.
 It consist of B and T cell areas and associated accessory
cells.
 The B cell area is composed of a germinal centre
surrounded by a mantle zone of small B lymphocytes,
which is broadest at the mucosal aspect of the follicle.
 Surrounding the mantle zone is a broad marginal zone in
which most of the cells are intermediate sized B
lymphocytes with moderately abundant, pale staining
cytoplasm and nuclei with a slightly irregular outline
leading to a resemblance to centrocytes.
 The marginal zone extends towards the mucosal surface
and some marginal zone B cells enter the overlying
dome shaped epithelium, where they form the
lymphoepithelium, which is a defining feature of MALT.
 The epithelium in this area contains a population of
specially adapted cells, M cells, which facilitate the
transport of large molecules across the epithelial barrier.
 The area around follicle contains T-cells, plasma cells
and accessory cells.
Germinal centre
Mantle zone
Marginal zone
lymphoepithelium
Normal Peyer Patch
Dome epithelium showing intraepithelial B
lymphocytes constituting the lymphoepithelium
that defines mucosa associated lymphoid tissue
Intraepithelial B
lymphocyte
IEL(intra epithelial
lymphocytes)
 Phenotypically heterogeneous
population
 MC- CD3+, CD4-, CD8+, CD5-,
CD103+ cytotoxic T- cells that use αβ
T-cell receptor (TCR)
 CD4-, CD8-, and uses γδTCR.
 CD56-positive IELs, virtually
undetectable in normal mucosa
Mesentric Lymphnode
 Inactive B-cell follicles
 Prominent marginal zone
 Prominent dilated sinuses often
containing transformed B-blasts.
 Poorly developed paracortex
Lamina propria
 Plasma cells, macrophages, and to
a lesser extent, B and T cells
 Predominantly secrete IgA
 CD4/CD8 ratio 4:1
 Express CD 103
DEFINITION OF MALT
LYMPHOMA
 MALT Lymphoma is listed in the WHO classification
under the designation of extranodal marginal zone
lypmphoma of mucosa associated lymphoid
tissue(MALT).
 It is defined as lymphoma that recapitulates the
histology of MALT(Peyer Patch), the normal cell
counterpart is marginal zone B cell.
 It typically arise in areas devoid of constitutive
organised lymphoid tissue.
 It consist of morphologically heterogenous small B cells
including the marginal zone (centrocytes) cells, cells
resembling monocytoid cells, small lymphocytes, and
scattered immunoblast and centroblast like cells.
WHO CLASSIFICATION OF
GI LYMPHOMA
B Cell
 Extranodal marginal zone, MALT type
 Immunoproliferative Small Intestinal Disease (IPSID)
 Others (lymph node equivalents)
-Mantle cell lymphoma
-Follicular lymphoma
-Diffuse Large B cell, NOS (MC, 40% extranodal)
-Burkitt lymphoma
T cell
 Enteropathy associated T cell Lymphoma (EATL)- Classic and Monomorphic
 Others (non–enteropathy associated)
-NK/T, nasal type
-γδ
EPIDEMIOLOGY OF
MALT LYMPHOMA
 Extranodal marginal zone lymphoma of MALT
lymphoma is the 4th commonest B cell non-
Hodgkin’s lymphoma(NHL) worldwide.
 Accounting for about 9% of all B cell lymphoma
 Most commonly encountered in GI tract with
stomach the most frequently involved.
 Most cases are middle aged and elderly, usually
over 50 years.
 Slight female preponderance.
 Higher incidence in Europe that have higher
rates of infection with H. Pylori.
ETIOLOGY
 Rarely arise from the native lymphoma
 Ususally arise from MALT that is acquired as a
result of chronic inflammatory disorder at sites
normally devoid of MALT, including the stomach.
 Most commonly as result of infection with
Helicobacter Pylori, which precedes the
development of most cases of gastric MALT
lymphoma.
 Also can be seen with infection by Helicobacter
heilmannii and in patients with Sjogren’s
syndrome.
HISTOLOGY OF ACQUIRED
MUCOSA ASSOCIATED
LYMPHOID TISSUE
Infection with H. Pylori results in
Active chronic inflammation with B cell follicles and formation of
lymphoepithelium by B-cell infiltration of glands immediately
adjacent to the follicles but the specialised M cells are not seen.
Between the follicles, the gastric mucosal lamina propria is infiltrated
by T lymphocytes, plasma cells, macrophages, and occasional
collections of neutrophils.
Immunohistochemically, the B cell follicles shows IgM and IgD positive
mantle zone cells while lymphoma cells are IgM+ and IgD-
Gastric biopsy showing Helicobacter
pylori associated chronic gastritis
resulting in
acquisition of mucosa-associated
lymphoid tissue by gastric antral mucosa
Normal gastric antral mucosa.
There is no organized lymphoid
tissue
CLINICAL PRESENTATION
 Vague upper abdominal symptoms
 Dyspepsia
 Nausea and vomiting
 Lower intestinal symptoms
 Disordered bowel habit
 Vague discomfort
 Rectal bleeding
ENDOSCOPY
 It may form a single
dominant mass with
erythema, thickened
folds and erosions
 Polyps may be seen
 Occasionally a more
solid lesion with or
without ulceration is
seen
HISTOPATHOLOGY OF MALT
LYMPHOMA
 Early stage
 Closely resembles the normal MALT.
 Expansion of the marginal zone around reactive follicles, that
may have intact mantles.
 Cells in the marginal zone are composed of, centrocyte
type cells - closely resemble small lymphocytes with
abundant pale cytoplasm and well-defined cell
borders, cells resembling monocytoid cells, small
lymphocytes, and scattered immunoblast and centroblast like
cell.
 Dutcher bodies may be seen.
 Variable plasma cell infiltrate in one-third of MALT
lymphomas
x
Normal Peyer Patch Early stage lesion of MALT lymphoma
Histological features of gastric MALT lymphoma(A)
Lymphomatous infiltrate forming lymphoepithelial lesions
(B–D) cytology of neoplastic marginal zone cells (E) plasma
cell differentiation
 Followed by
 Infiltration of neoplastic cells into the gland/crypt
epithelium with destruction of architecture resulting
in lymphoepithelial lesions.
 In the earliest stages these can be recognised by
clusters of 3 or more cytologically atypical neoplastic
cells in the epithelium.
 With the disease progression the intact lymphoid
follicle are overrun by lymphoma cells and there
presence can only be demonstrated by
immunostatining with follicular dendritic cells(FDC).
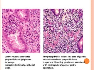
Lymphoepithelial lesions in a case of gastric
mucosa-associated lymphoid tissue
lymphoma distorting glands and associated
with eosinophilic change of gastric
epithelium.
Gastric mucosa-associated
lymphoid tissue lymphoma
showing a
characteristic lymphoepithelial
lesion
IMMUNO-
HISTOCHEMISTRY
 Pan B cell markers such as CD19, CD20, CD22,
CD79a, and PAX5 are positive.
 Aberrant expression of CD 43 in about 50% of cases.
 Surface Ig- IgM or IgA, and rarely IgG.
 Negative for CD5, CD23, cyclinD1, CD10 and bcl-6
 Staining for FDC- antibodies to CD21 and/or CD23
 Staining for cytokeratin-highlight the
lymphoepithelial lesions
 Antibodies to bcl-6 and CD10-residual germinal
centres.
 Light chain restriction(kappa more than lambda)
MOLECULAR GENETIC
ABNORMALITIES
 t(11;18)(q21;q21)- API2-MALT1- present in about 25%.
 This creates a novel functioning fusion product by
translocating the terminus region of apoptosis inhibitor 1
(API1) gene to the carboxy terminus of MALT1.—this activate
the NF-kB pathways.
 t(1;14)(p22;q32) -BCL10-IGH-
 present in about 5% of gastric MALT lymphomas,
translocation of the BCL-10 gene into to come under influence
of immunoglobulin heavy chain(IGH) gene
 trisomies 3, 12, and 18
IMMUNOPROLIFERATIVE
SMALL INTESTINAL
DISEASE(IPSID)
 Subtype of MALT lymphoma
 Frequently encountered in the Middle East,
Mediterranean countries and Cape region of South
Africa and in some parts of Indian sub-continent.
 at any age but mainly in young adults (range, 10-35
years; mean, 25-30 years)
 Associated with infection with campylobacter jejuni
 Type of MALT lymphoma is associated with synthesis of
abnormal IgA chain
 May transform into large cell lymphoma
HISTOPATHOLOGY
Stage A
 Lymphoplasmacytic infiltrate is confined to the mucosa and mesenteric
lymph nodes
 No cytological atypia
 Endoscopic examination appears normal- responsive to antibiotic therapy
Stage B
 Nodular mucosal infiltrates develop and there is extension below the
muscularis mucosae
 Minimal degree of cytological atypia
 Occasional immunoblast like cells
 Endoscopically as thickening of mucosal folds
Stage C
Presence of large masses and
transformation to frank large
cell lymphoma.
Numerous centroblasts and
immunoblasts are present.
Plasmacytic differentiation is
still evident
Marked cytological atypia
including Reed-Sternberg-like
cells.
Mitotic activity is increased
 Imunophenotypically similar to classic
MALT lymphoma.
 Plasma cells show synthesis of IgA (usually
IgA1) and light chain production is absent.
 Serum and duodenal juice shows raised
levels of IgA.
DIFFERENTIAL DIAGNOSIS
 Features differentiating lymphoma are:
 Expansion of the marginal zone with extension of small
B cells away from the immediate confines of the follicle,
extending into the mucosa around epithelial structures
 Presence of moderate cytological atypia, Dutcher
bodies, and formation of genuine lymphoepithelial
lesions
 Special techniques
 CD43+
 Molecular studies
 BIOMED-2 primer/protocol
 Optimised protocol/heteroduplex analysis
REACTIVE LYMPHOID INFILTRATES
OTHER B-CELL LYMPHOMAS
 Follicular lymphoma: Presence of a significant
extrafollicular component
CD10+, bcl-6+, aberrant expression of bcl-2 protein
 Mantle cell lymphoma : CD5+, cyclinD1 staining
 CLL/SLL: CD5+/CD23+
 Burkitt lymphoma: CD19,CD20,CD22,surface IgM
positive; 60-80% of cases CD10 positive
 Diffuse B-cell lymphoma: CD10+ or CD10−, bcl6+,
 WHO Committee for the classification of Tumours of the
Digestive System states that:
“For the distinction between reactive and
neoplastic infiltrates, histologic evaluation
remains the gold standard but the accessory
studies may be helpful”
Wotherspoon et al. devised a useful grading
system by which to indicate the degree of
certainty of diagnosis.
HISTOLOGICAL GRADING FOR GASTRIC MALT
LYMPHOMA
THERAPY OF MALT
LYMPHOMA
 All the patients with GI lymphoma should have an
endoscopy
 Standard staging workup and multiple deep gastric
biopsies must be taken and processed for lymphoma
and stain for H. Pylori.
 Approximately 70% of gastric MALT lymphomas respond
to Hp eradication therapy alone with enduring
remission.
 Determination of Hp status:
 Histological evaluation
 culture
 Stool polymerase chain reaction based studies
 Serological based studies- most accurate as
circulating antibodies may be present up to 2 years
following eradication.
 Prediction of cases that will respond to Hp eradication
alone is important to the management of these patient.
 No clinical, pathological or molecular feature will absolutely
predict those cases
 Time to response is also variable- some showing response at
the time of first endoscopy done to assess Hp status while
others regress after months to years.
 Success of Hp eradication should be confirmed by the
current clinical guidelines.
 This include a urea breath test as the most accurate
determinant of presence of small residual colonies.
 Antibiotic resistant cases should raise the
suspicion of presence of t(11;18) (q21;q21)
 Diagnosis is done by
 Interphase fluorescence in situ hybridisation
with MALT1 dual-color break-apart
 API2-MALT1 dual color fusion probes
 Reverse transcription polymerase chain
reaction (RTPCR) of the API2-MALT1 fusion
transcript
 Persistent MALT lymphoma cases- more
conventional anti-lymphoma therapeutic
approaches are indicated.
 Surgery is no longer indicated- due to
presence of microlymphoma foci.
 Radiotherapy
 Standard chemotherapy with or without
immunotherapy- chlorambucil or
cyclophosphamide or thalidomide.
ASSESSMENT OF POST
ERADICATION BIOPSIES
 The GELA group(Group d’Etude des
Lymphomes de l’Adulte) has developed a
scheme for assessment of post eradication
biopsies.
 The scoring system assess the lymphoid
infiltrate in the mucosa, the degree of
regression associated fibrosis and the
presence of lymphoepithelial lesions and
divides the finding into four groups.
GELA category Morphological features Recommendation
CR-complete histological
response
Empty appearance of LP with
fibrosis,few glands,small
lymphocytes and plasma
cells; no LELs
No need of additional
therapy
pMRD-probable Minimal
Residual Disease
Base of lamina propria
and/or submucosa with
small lymphoid nodules and
fibrosis;no LELs
No need of additional
therapy
rRD-responding residual
diseas
Presence of lymphomatous
infiltrate in a diffuse or
nodular pattern, some
degree of stromal changes;
focal or no LELs
Evaluation of clinincal
progression should
delineate additional
therapy
NC-no change Dense lymphomatous
infiltrate similar to diagnostic
biopsy;LEL present
Oncological treatment
should be proposed if
infiltrate persists over
sequential
examinations
LP-lamina propria; LEL-lymphoepithelial lesion
CONCLUSION
 Sequential follow up biopsies are indicated in all cases of
gastric MALT lymphoma.
 In cases of relapse-repeat eradication therapy has been
proven effective.
 There is risk of development of gastric adenocarcinomas
in these patients—can be detected by repeat biopsies.
 For extra gastic MALT Lymphoma, antibiotic based
therapy may be effective in some cases but
chemotherapeutic strategies are generally involved.
Malt lymphoma

Malt lymphoma

  • 1.
    MALT LYMPHOMA Moderator: Dr. B.P.Nag Professor Presented by: Dr. Reema Agrawal 3rd year Resident
  • 2.
  • 3.
    Mucosa-associated lymphoid tissue(MALT) is scattered along mucosal linings in the human body and constitutes the most extensive component of human lymphoid tissue. These surfaces protect the body from an enormous quantity and variety of antigens. The tonsils, the Peyer patches within the small intestine, and the vermiform appendix are examples of MALT.
  • 4.
    MALT is understoodto include 1. gut-associated lymphoid tissue (GALT) 2. bronchial/tracheal-associated lymphoid tissue (BALT) 3. nose-associated lymphoid tissue (NALT) 4. vulvovaginal-associated lymphoid tissue (VALT) Additional MALT exists within the accessory organs of the digestive tract, predominantly the parotid gland.
  • 5.
    The most prominent concentrationof native mucosa associated lymphoid tissue(MALT) is seen in the terminal ileum in the form of Peyer’s patches, and for this reason the term Lymphoma of MALT applied to this group of lymphoma.
  • 6.
  • 7.
    GI LYMPHOID TISSUE Fourlymphoid compartments :  Organized mucosal lymphoid tissue - Peyer’s patches in the terminal ileum  The lamina propria  Intraepithelial lymphocytes  Mesenteric lymph nodes
  • 8.
    PEYER'S PATCH  Unencapsulated organizedlymphoid nodules in small intestine, the appendix and colorectum  Architecture similar to Lymph node  Mantle zone - IgM+, IgD+  Marginal zone - IgM+, IgD-
  • 9.
     Peyer patchesare unencapsulated aggregates of lymphoid cells that bear certain resemblance to lymph node.  It consist of B and T cell areas and associated accessory cells.  The B cell area is composed of a germinal centre surrounded by a mantle zone of small B lymphocytes, which is broadest at the mucosal aspect of the follicle.  Surrounding the mantle zone is a broad marginal zone in which most of the cells are intermediate sized B lymphocytes with moderately abundant, pale staining cytoplasm and nuclei with a slightly irregular outline leading to a resemblance to centrocytes.
  • 10.
     The marginalzone extends towards the mucosal surface and some marginal zone B cells enter the overlying dome shaped epithelium, where they form the lymphoepithelium, which is a defining feature of MALT.  The epithelium in this area contains a population of specially adapted cells, M cells, which facilitate the transport of large molecules across the epithelial barrier.  The area around follicle contains T-cells, plasma cells and accessory cells.
  • 11.
    Germinal centre Mantle zone Marginalzone lymphoepithelium Normal Peyer Patch
  • 12.
    Dome epithelium showingintraepithelial B lymphocytes constituting the lymphoepithelium that defines mucosa associated lymphoid tissue Intraepithelial B lymphocyte
  • 13.
    IEL(intra epithelial lymphocytes)  Phenotypicallyheterogeneous population  MC- CD3+, CD4-, CD8+, CD5-, CD103+ cytotoxic T- cells that use αβ T-cell receptor (TCR)  CD4-, CD8-, and uses γδTCR.  CD56-positive IELs, virtually undetectable in normal mucosa Mesentric Lymphnode  Inactive B-cell follicles  Prominent marginal zone  Prominent dilated sinuses often containing transformed B-blasts.  Poorly developed paracortex Lamina propria  Plasma cells, macrophages, and to a lesser extent, B and T cells  Predominantly secrete IgA  CD4/CD8 ratio 4:1  Express CD 103
  • 14.
  • 15.
     MALT Lymphomais listed in the WHO classification under the designation of extranodal marginal zone lypmphoma of mucosa associated lymphoid tissue(MALT).  It is defined as lymphoma that recapitulates the histology of MALT(Peyer Patch), the normal cell counterpart is marginal zone B cell.  It typically arise in areas devoid of constitutive organised lymphoid tissue.  It consist of morphologically heterogenous small B cells including the marginal zone (centrocytes) cells, cells resembling monocytoid cells, small lymphocytes, and scattered immunoblast and centroblast like cells.
  • 16.
  • 17.
    B Cell  Extranodalmarginal zone, MALT type  Immunoproliferative Small Intestinal Disease (IPSID)  Others (lymph node equivalents) -Mantle cell lymphoma -Follicular lymphoma -Diffuse Large B cell, NOS (MC, 40% extranodal) -Burkitt lymphoma T cell  Enteropathy associated T cell Lymphoma (EATL)- Classic and Monomorphic  Others (non–enteropathy associated) -NK/T, nasal type -γδ
  • 18.
  • 19.
     Extranodal marginalzone lymphoma of MALT lymphoma is the 4th commonest B cell non- Hodgkin’s lymphoma(NHL) worldwide.  Accounting for about 9% of all B cell lymphoma  Most commonly encountered in GI tract with stomach the most frequently involved.  Most cases are middle aged and elderly, usually over 50 years.  Slight female preponderance.  Higher incidence in Europe that have higher rates of infection with H. Pylori.
  • 20.
  • 21.
     Rarely arisefrom the native lymphoma  Ususally arise from MALT that is acquired as a result of chronic inflammatory disorder at sites normally devoid of MALT, including the stomach.  Most commonly as result of infection with Helicobacter Pylori, which precedes the development of most cases of gastric MALT lymphoma.  Also can be seen with infection by Helicobacter heilmannii and in patients with Sjogren’s syndrome.
  • 22.
    HISTOLOGY OF ACQUIRED MUCOSAASSOCIATED LYMPHOID TISSUE
  • 23.
    Infection with H.Pylori results in Active chronic inflammation with B cell follicles and formation of lymphoepithelium by B-cell infiltration of glands immediately adjacent to the follicles but the specialised M cells are not seen. Between the follicles, the gastric mucosal lamina propria is infiltrated by T lymphocytes, plasma cells, macrophages, and occasional collections of neutrophils. Immunohistochemically, the B cell follicles shows IgM and IgD positive mantle zone cells while lymphoma cells are IgM+ and IgD-
  • 24.
    Gastric biopsy showingHelicobacter pylori associated chronic gastritis resulting in acquisition of mucosa-associated lymphoid tissue by gastric antral mucosa Normal gastric antral mucosa. There is no organized lymphoid tissue
  • 25.
  • 26.
     Vague upperabdominal symptoms  Dyspepsia  Nausea and vomiting  Lower intestinal symptoms  Disordered bowel habit  Vague discomfort  Rectal bleeding
  • 27.
    ENDOSCOPY  It mayform a single dominant mass with erythema, thickened folds and erosions  Polyps may be seen  Occasionally a more solid lesion with or without ulceration is seen
  • 28.
  • 29.
     Early stage Closely resembles the normal MALT.  Expansion of the marginal zone around reactive follicles, that may have intact mantles.  Cells in the marginal zone are composed of, centrocyte type cells - closely resemble small lymphocytes with abundant pale cytoplasm and well-defined cell borders, cells resembling monocytoid cells, small lymphocytes, and scattered immunoblast and centroblast like cell.  Dutcher bodies may be seen.  Variable plasma cell infiltrate in one-third of MALT lymphomas
  • 30.
    x Normal Peyer PatchEarly stage lesion of MALT lymphoma
  • 31.
    Histological features ofgastric MALT lymphoma(A) Lymphomatous infiltrate forming lymphoepithelial lesions (B–D) cytology of neoplastic marginal zone cells (E) plasma cell differentiation
  • 32.
     Followed by Infiltration of neoplastic cells into the gland/crypt epithelium with destruction of architecture resulting in lymphoepithelial lesions.  In the earliest stages these can be recognised by clusters of 3 or more cytologically atypical neoplastic cells in the epithelium.  With the disease progression the intact lymphoid follicle are overrun by lymphoma cells and there presence can only be demonstrated by immunostatining with follicular dendritic cells(FDC).
  • 33.
    Lymphoepithelial lesions ina case of gastric mucosa-associated lymphoid tissue lymphoma distorting glands and associated with eosinophilic change of gastric epithelium. Gastric mucosa-associated lymphoid tissue lymphoma showing a characteristic lymphoepithelial lesion
  • 34.
  • 35.
     Pan Bcell markers such as CD19, CD20, CD22, CD79a, and PAX5 are positive.  Aberrant expression of CD 43 in about 50% of cases.  Surface Ig- IgM or IgA, and rarely IgG.  Negative for CD5, CD23, cyclinD1, CD10 and bcl-6  Staining for FDC- antibodies to CD21 and/or CD23  Staining for cytokeratin-highlight the lymphoepithelial lesions  Antibodies to bcl-6 and CD10-residual germinal centres.  Light chain restriction(kappa more than lambda)
  • 36.
  • 37.
     t(11;18)(q21;q21)- API2-MALT1-present in about 25%.  This creates a novel functioning fusion product by translocating the terminus region of apoptosis inhibitor 1 (API1) gene to the carboxy terminus of MALT1.—this activate the NF-kB pathways.  t(1;14)(p22;q32) -BCL10-IGH-  present in about 5% of gastric MALT lymphomas, translocation of the BCL-10 gene into to come under influence of immunoglobulin heavy chain(IGH) gene  trisomies 3, 12, and 18
  • 38.
  • 39.
     Subtype ofMALT lymphoma  Frequently encountered in the Middle East, Mediterranean countries and Cape region of South Africa and in some parts of Indian sub-continent.  at any age but mainly in young adults (range, 10-35 years; mean, 25-30 years)  Associated with infection with campylobacter jejuni  Type of MALT lymphoma is associated with synthesis of abnormal IgA chain  May transform into large cell lymphoma
  • 41.
    HISTOPATHOLOGY Stage A  Lymphoplasmacyticinfiltrate is confined to the mucosa and mesenteric lymph nodes  No cytological atypia  Endoscopic examination appears normal- responsive to antibiotic therapy Stage B  Nodular mucosal infiltrates develop and there is extension below the muscularis mucosae  Minimal degree of cytological atypia  Occasional immunoblast like cells  Endoscopically as thickening of mucosal folds
  • 42.
    Stage C Presence oflarge masses and transformation to frank large cell lymphoma. Numerous centroblasts and immunoblasts are present. Plasmacytic differentiation is still evident Marked cytological atypia including Reed-Sternberg-like cells. Mitotic activity is increased
  • 43.
     Imunophenotypically similarto classic MALT lymphoma.  Plasma cells show synthesis of IgA (usually IgA1) and light chain production is absent.  Serum and duodenal juice shows raised levels of IgA.
  • 44.
  • 45.
     Features differentiatinglymphoma are:  Expansion of the marginal zone with extension of small B cells away from the immediate confines of the follicle, extending into the mucosa around epithelial structures  Presence of moderate cytological atypia, Dutcher bodies, and formation of genuine lymphoepithelial lesions  Special techniques  CD43+  Molecular studies  BIOMED-2 primer/protocol  Optimised protocol/heteroduplex analysis REACTIVE LYMPHOID INFILTRATES
  • 46.
    OTHER B-CELL LYMPHOMAS Follicular lymphoma: Presence of a significant extrafollicular component CD10+, bcl-6+, aberrant expression of bcl-2 protein  Mantle cell lymphoma : CD5+, cyclinD1 staining  CLL/SLL: CD5+/CD23+  Burkitt lymphoma: CD19,CD20,CD22,surface IgM positive; 60-80% of cases CD10 positive  Diffuse B-cell lymphoma: CD10+ or CD10−, bcl6+,
  • 47.
     WHO Committeefor the classification of Tumours of the Digestive System states that: “For the distinction between reactive and neoplastic infiltrates, histologic evaluation remains the gold standard but the accessory studies may be helpful” Wotherspoon et al. devised a useful grading system by which to indicate the degree of certainty of diagnosis.
  • 48.
    HISTOLOGICAL GRADING FORGASTRIC MALT LYMPHOMA
  • 49.
  • 50.
     All thepatients with GI lymphoma should have an endoscopy  Standard staging workup and multiple deep gastric biopsies must be taken and processed for lymphoma and stain for H. Pylori.
  • 51.
     Approximately 70%of gastric MALT lymphomas respond to Hp eradication therapy alone with enduring remission.  Determination of Hp status:  Histological evaluation  culture  Stool polymerase chain reaction based studies  Serological based studies- most accurate as circulating antibodies may be present up to 2 years following eradication.
  • 52.
     Prediction ofcases that will respond to Hp eradication alone is important to the management of these patient.  No clinical, pathological or molecular feature will absolutely predict those cases  Time to response is also variable- some showing response at the time of first endoscopy done to assess Hp status while others regress after months to years.  Success of Hp eradication should be confirmed by the current clinical guidelines.  This include a urea breath test as the most accurate determinant of presence of small residual colonies.
  • 53.
     Antibiotic resistantcases should raise the suspicion of presence of t(11;18) (q21;q21)  Diagnosis is done by  Interphase fluorescence in situ hybridisation with MALT1 dual-color break-apart  API2-MALT1 dual color fusion probes  Reverse transcription polymerase chain reaction (RTPCR) of the API2-MALT1 fusion transcript
  • 54.
     Persistent MALTlymphoma cases- more conventional anti-lymphoma therapeutic approaches are indicated.  Surgery is no longer indicated- due to presence of microlymphoma foci.  Radiotherapy  Standard chemotherapy with or without immunotherapy- chlorambucil or cyclophosphamide or thalidomide.
  • 55.
  • 56.
     The GELAgroup(Group d’Etude des Lymphomes de l’Adulte) has developed a scheme for assessment of post eradication biopsies.  The scoring system assess the lymphoid infiltrate in the mucosa, the degree of regression associated fibrosis and the presence of lymphoepithelial lesions and divides the finding into four groups.
  • 57.
    GELA category Morphologicalfeatures Recommendation CR-complete histological response Empty appearance of LP with fibrosis,few glands,small lymphocytes and plasma cells; no LELs No need of additional therapy pMRD-probable Minimal Residual Disease Base of lamina propria and/or submucosa with small lymphoid nodules and fibrosis;no LELs No need of additional therapy rRD-responding residual diseas Presence of lymphomatous infiltrate in a diffuse or nodular pattern, some degree of stromal changes; focal or no LELs Evaluation of clinincal progression should delineate additional therapy NC-no change Dense lymphomatous infiltrate similar to diagnostic biopsy;LEL present Oncological treatment should be proposed if infiltrate persists over sequential examinations LP-lamina propria; LEL-lymphoepithelial lesion
  • 58.
  • 59.
     Sequential followup biopsies are indicated in all cases of gastric MALT lymphoma.  In cases of relapse-repeat eradication therapy has been proven effective.  There is risk of development of gastric adenocarcinomas in these patients—can be detected by repeat biopsies.  For extra gastic MALT Lymphoma, antibiotic based therapy may be effective in some cases but chemotherapeutic strategies are generally involved.