LIMFNI SISTEMLIMFNI SISTEM
Prof. dr Vesna DanilovićProf. dr Vesna Danilović
STOMATOLOŠKI FAKULTETSTOMATOLOŠKI FAKULTET
UNIVERZITET U BEOGRADUUNIVERZITET U BEOGRADU
•• SKUP ORGANA,TKIVA I SUDOVA STRATEŠKI
RASPOREĐENIH DA PREDSTAVLJAJU
OSNOVNO ODBRAMBENO TKIVO
• UČESTVUJU U STVARANJU, DIFERENCIJACIJI,
PROLIFERACIJI I SAZREVANJU ĆELIJA KOJE
POSTAJU IMUNOKOMPETENTNE – sposobne da
uklanjaju nepoznate, strane i sopstvene promenjene
ćelije i strukture
• Nespecifična (urođena) imunostNespecifična (urođena) imunost
a.spoljašnja barijeraa.spoljašnja barijera (prva linija odbrane)(prva linija odbrane)
b.unutrašnja barijerab.unutrašnja barijera (druga linija odbrane)(druga linija odbrane)
• Specifična (stečena) imunostSpecifična (stečena) imunost (treća(treća
linija odbrane)linija odbrane)
• a.celularnaa.celularna
• b.humoralnab.humoralna
SPOLJAŠNJA ODBRANA
PRVA LINIJA ODBRANE
• KOŽA
• SLUZNICE SA LIZOZIMOM (SUZE ILI
PLJUVAČKA, GINGIVALNA TEČNOST)
• SLUZNICA SA MUKUSOM -
RESPIRATORNI SISTEM
• SLUZNICA SA KISELIM SADRŽAJEM
(ŽELUDAC, VAGINA)
Unutrašnja odbranaUnutrašnja odbrana
druga linija odbranedruga linija odbrane
 NEUTROFILNI GRANULOCITI –NEUTROFILNI GRANULOCITI –
FAGOCITOZAFAGOCITOZA
 MAKROFAGI – FAGOCITOZAMAKROFAGI – FAGOCITOZA
 MASTOCITI – OSLOBADJANJEMASTOCITI – OSLOBADJANJE
MEDIJATORA ZAPALJENJAMEDIJATORA ZAPALJENJA
 KOMPLEMENT, LIMFOCITI...KOMPLEMENT, LIMFOCITI...
 Ćelije limfatičnih organa:Ćelije limfatičnih organa:
 sesilne (epitelne i retikularne)sesilne (epitelne i retikularne)
 mobilne (limfociti i ćelije MPS)mobilne (limfociti i ćelije MPS)
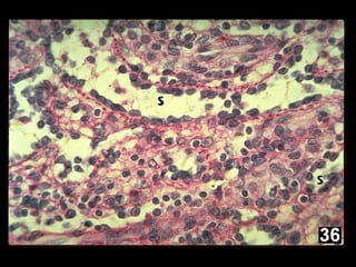
LIMFOCITI (2LIMFOCITI (255--440% u0% u
leukocitarnoj formuleukocitarnoj formuli)li)
MALI 7-8 μM
• SREDNJI 10-12μM
• VELIKI do 18 μ m
• Jedro okruglo i hetreohromatično
• Slabo vidljive granule (lizozomi)
• Citoplazma oskudna i bazofilna
• Životni vek: nekoliko meseci do nekoliko
godina
klasifikacija limfocitaklasifikacija limfocita
Prema mestu sazrevanja:Prema mestu sazrevanja:
T limfociti/timocitiT limfociti/timociti (diferenciraju se u timusu)(diferenciraju se u timusu)
B limfocitiB limfociti (diferenciraju se u koštanoj srži)(diferenciraju se u koštanoj srži)
Po funkcionalnom stanju:Po funkcionalnom stanju:
mirujući limfocitimirujući limfociti
aktivirani limfocitiaktivirani limfociti
 T limfociti su nosioci celularnogT limfociti su nosioci celularnog
imunitetaimuniteta
 B limfociti su nosioci humoralnogB limfociti su nosioci humoralnog
imunitetaimuniteta
T ly su nosioci celularnogT ly su nosioci celularnog
imunitetaimuniteta
 T limfociti:T limfociti:
CD3CD3++
pan Tpan T
CD4CD4++
T helperT helper
CD8CD8++
T cytotoxicT cytotoxic
CD (cluster of diferentiation)CD (cluster of diferentiation)
grupa molekula na membrani T lygrupa molekula na membrani T ly
T helperT helper
 POMAŽUĆI –HELPERI - TH
-TH1 REGULIŠU CELULARNI ODGOVOR
-TH2 REGULIŠE HUMORALNI ODGOVOR
Kada receptor na membrani prepozna antigen B ćelije seKada receptor na membrani prepozna antigen B ćelije se
ubrzano dele....ubrzano dele....
1.1. plazma ćelijeplazma ćelije kojekoje
sekretuju specifičnasekretuju specifična
antitelaantitela
2.2. memorijske B ćelijememorijske B ćelije
 EFEKTORNE ĆELIJE CELULARNOGEFEKTORNE ĆELIJE CELULARNOG
IMUNITETA SU CITOTOKSIČNI TIMUNITETA SU CITOTOKSIČNI T
LIMFOCITILIMFOCITI
 EFEKTORNE ĆELIJE HUMORALNOGEFEKTORNE ĆELIJE HUMORALNOG
IMUNITETA SU PLAZMOCITIIMUNITETA SU PLAZMOCITI
Limf(atič)ni sistemLimf(atič)ni sistem
Ćelije, tkiva & organiĆelije, tkiva & organi
PRIMARNI ORGANI – MESTAPRIMARNI ORGANI – MESTA
PROLIFERACIJE I DIFERENCIJACIJEPROLIFERACIJE I DIFERENCIJACIJE
ĆELIJA BEZ PRISUSTVA ANTIGENAĆELIJA BEZ PRISUSTVA ANTIGENA
(antigen nezavisna faza)(antigen nezavisna faza). Ne učestvuju u. Ne učestvuju u
imunom odgovoruimunom odgovoru
 1. Timus (grudna žlezda)1. Timus (grudna žlezda)
 2. Koštana srž2. Koštana srž
SEKUNDARNI ORGANI- MESTO
DEŠAVANJA IMUNSKOG ODGOVORA
(primarni i sekundarni imuni odgovor)
3. Slezina (III nivo odbrane)
4. Limfni čvorovi (II nivo odbrane)
5. MALT (I nivo odbrane)
 MALT (mucosa associated lymphoid tissue)MALT (mucosa associated lymphoid tissue)
 GALT (gut associated lymphoid tissue)GALT (gut associated lymphoid tissue)
 BALT (bronchus associated lymphoid tissue)BALT (bronchus associated lymphoid tissue)
 LALT (larynx associated lymphoid tissue)LALT (larynx associated lymphoid tissue)
T-LimfocitiT-Limfociti
Posle aktivacije ćelije su:Posle aktivacije ćelije su:
 •• T-helper (pomažuće) ćelijeT-helper (pomažuće) ćelije
-- sekretuju citokinesekretuju citokine
- pomažu B ćelijama- pomažu B ćelijama
- stimulišu makrofage- stimulišu makrofage
 •• Citotoksične T ćelije (killer T ćelije)Citotoksične T ćelije (killer T ćelije)
- ubijaju ćelije ako imaju (pokazuju) antigen- ubijaju ćelije ako imaju (pokazuju) antigen
 •• Memorijske T ćelijeMemorijske T ćelije
- ostaju u telu- ostaju u telu
 Timus zavisne zoneTimus zavisne zone
 PALS (slezina)PALS (slezina)
 duboki korteks (n.lymphaticus)duboki korteks (n.lymphaticus)
 interfolikularna regija (MALT)interfolikularna regija (MALT)
 Timus nezavisne zoneTimus nezavisne zone
 slezina (bela pulpa)slezina (bela pulpa)
 nodus lymphaticus (spoljašnjinodus lymphaticus (spoljašnji
korteks)korteks)
 MALT (lamina propria)MALT (lamina propria)
PREZENTACIJA ANTIGENAPREZENTACIJA ANTIGENA
Antigen-prezentujuće ćelijeAntigen-prezentujuće ćelije
(APC)(APC)
Makrofagi, LangerhansoveMakrofagi, Langerhansove
ćelije, dendritične,ćelije, dendritične,
folikulodendritične,folikulodendritične,
interdigitatne, M ćelije,interdigitatne, M ćelije,
epitelne retikularneepitelne retikularne
ćelije timusa i Bćelije timusa i B
limfocitilimfociti
 •• Birbekove granuleBirbekove granule
 •• Brojni nastavci tj.Brojni nastavci tj.
DendritiDendriti
 MHC IIMHC II
Epitelne retikularne ćelije obezbeđuju strukturnuEpitelne retikularne ćelije obezbeđuju strukturnu
potporu timusu. Nema vlakana.potporu timusu. Nema vlakana.
 timozintimozin
 timusni humoralnitimusni humoralni
faktorfaktor
 timopoetintimopoetin
 timulintimulin
 faktori rastafaktori rasta
 citokinicitokini
 Epitelne retikularne ćelije:Epitelne retikularne ćelije:
 subkapsularne/perivaskularnesubkapsularne/perivaskularne
 kortikalne (nurse cells)kortikalne (nurse cells)
 medularnemedularne
 emperipoiezaemperipoieza
 pozitivna selekcijapozitivna selekcija  negativna selekcijanegativna selekcija
zanemareni ilizanemareni ili
autoreaktivni Tautoreaktivni T
95-98% T ćelija95-98% T ćelija
umire procesomumire procesom
apoptozeapoptoze
Ograničenost sopstvenim (self-Ograničenost sopstvenim (self-
restriction):restriction):
mogućnost T Ly da u perifernim organima
prepoznaju Ag prikazan u kombinaciji sa
sopstvenim MHC (MAJOR
HISTOCOMPATIBILITY COMPLEX)
MOLEKULIMA
I stadijum: dvostruko negativniI stadijum: dvostruko negativni
CD4CD4--
CD8CD8--
II stadijum: dvostruko pozitivniII stadijum: dvostruko pozitivni
CD4CD4++
CD8CD8++
III stadijum: jednostriko pozitivniIII stadijum: jednostriko pozitivni
CD4CD4++
CD8CD8--
CD4CD4--
CD8CD8++
Timus krvna barijeraTimus krvna barijera
 1. endotel kapilara1. endotel kapilara
 2. perivaskularni2. perivaskularni
makrofazimakrofazi
 3. perivaskularne3. perivaskularne
epitelne ćelijeepitelne ćelije
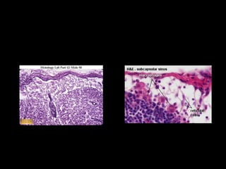
LIMFNI ČVORLIMFNI ČVOR
 Najbrojniji limfni organNajbrojniji limfni organ
 Pasuljastog oblikaPasuljastog oblika
 Limfni čvorovi su mesta gdeLimfni čvorovi su mesta gde
 započinje specifični imunskizapočinje specifični imunski
 odgovor.odgovor.
 Svaki limfni čvorSvaki limfni čvor
predstavlja mali nodularnipredstavlja mali nodularni
agregat sastavljen odagregat sastavljen od
brojnih limfocitabrojnih limfocita
FUNKCIJA LIMFNOG ČVORAFUNKCIJA LIMFNOG ČVORA
FILTRACIJA LIMFEFILTRACIJA LIMFE
UKLANJANJE TKIVNO NASTALIHUKLANJANJE TKIVNO NASTALIH
ANTIGENAANTIGENA
PROLIFERACIJA LIMFOCITA (B,T) IPROLIFERACIJA LIMFOCITA (B,T) I
PLAZMOCITAPLAZMOCITA
STVARANJE IMUNOGLOBULINASTVARANJE IMUNOGLOBULINA
Okružen je fibroznom kapsulom koju probija
veliki broj tzv. aferentnih limfnih sudova koji
donose limfu koja se izliva u subkapsularni ili
marginalni sinus.
Ispod subkapsularnog sinusa se nalazi KORA:
spoljašnji korteks i unutrašnji parakorteks.
U spoljašnjem korteksu su smešteni gustiU spoljašnjem korteksu su smešteni gusti
agregati limfocita koji čine folikuli. U srediniagregati limfocita koji čine folikuli. U sredini
folikula se nalazi svetlija zona koja se nazivafolikula se nalazi svetlija zona koja se naziva
germinativni centar- a oko njega je tamnijagerminativni centar- a oko njega je tamnija
zona-korona. Deo okrenut izvoru infekcijezona-korona. Deo okrenut izvoru infekcije
naziva se kapa i sadrži B memorijske limfocite.naziva se kapa i sadrži B memorijske limfocite.
Ovakav folikul se naziva sekundarni folikuli.Ovakav folikul se naziva sekundarni folikuli.
Folikuli bez germinativnog centra se nazivajuFolikuli bez germinativnog centra se nazivaju
primarni folikuli.primarni folikuli.
FolikularneFolikularne
dendritične ćelijedendritične ćelije
Antigen-antiteloAntigen-antitelo
kompleksi se pričvršćujukompleksi se pričvršćuju
za nastavke preko Fcza nastavke preko Fc
receptorareceptora
Mogu da zadrže antigenMogu da zadrže antigen
nedeljama, ali nenedeljama, ali ne
endocitoziranendocitoziran
One nisu antigenOne nisu antigen
prezentujuće ćelije jerprezentujuće ćelije jer
nemaju MHC IInemaju MHC II
paracortex (P),paracortex (P), uglavnom naseljen Tuglavnom naseljen T
limfocitima koji ulaze preko postkapilarnih venulalimfocitima koji ulaze preko postkapilarnih venula
Medula limfnog čvora se nalazi ispod parakorteksa i
sadrži medularne trake koje se
nalaze između medularnih sinusa.
Medularne trake su sačinjeni uglavnom od B limfocita,
makrofaga i plazma ćelija
LIMFNI SINUSILIMFNI SINUSI
PROSTORI OBLOŽENI LITORALNIM
ĆELIJAMA
1. KORTIKALNI
• a.SUBKAPSULARNI
• b. PARATRABEKULARNI
• 2. MEDULARNI
Limfa sa periferije iz subkapsularnih sinusa ide
duž kortikalnih ili trabekularnih sinusa i prodire
ka medularnim sinusima odakle napušta limfni
čvor putem eferentnog limfnog suda.
SLEZINASLEZINA
 NAJVEĆI LIMFNINAJVEĆI LIMFNI
ORGANORGAN
 STROMA:STROMA:
KAPSULAKAPSULA
TRABEKULERETIKULARNOTRABEKULERETIKULARNO
VEZIVOVEZIVO
 PARENHIM:PARENHIM:
BELA PULPA –BELA PULPA – OKOOKO
ARTERIJAARTERIJA
CRVENA PULPACRVENA PULPA
FUNKCIJA SLEZINEFUNKCIJA SLEZINE
 FILTER ZA KRVFILTER ZA KRV
 UKLANJANJE OSTARELIH IUKLANJANJE OSTARELIH I
OŠTEĆENIH ĆELIJA KRVIOŠTEĆENIH ĆELIJA KRVI
 METABOLIZAM GVOŽĐAMETABOLIZAM GVOŽĐA
 HEMATOPOEZA U FETUSNOMHEMATOPOEZA U FETUSNOM
PERIODUPERIODU
 DEPO KRVIDEPO KRVI
SLEZINASLEZINA
Raspored pojedinih subpopulacija limfocita iRaspored pojedinih subpopulacija limfocita i
akcesornih ćelija u slezini je sličan kao i u limfnomakcesornih ćelija u slezini je sličan kao i u limfnom
čvoru.čvoru.
Periarterijski limfni omotači su sastavljeni odPeriarterijski limfni omotači su sastavljeni od
pomažućih T-limfocita (2/3) dok 1/3 sačinjavajupomažućih T-limfocita (2/3) dok 1/3 sačinjavaju
citotoksični T limfociti.citotoksični T limfociti.
Folikule i i germinativne centre čine B-limfociti.Folikule i i germinativne centre čine B-limfociti.
Marginalna zona sadrži B-limfocite, makrofage i TMarginalna zona sadrži B-limfocite, makrofage i T
pomažućepomažuće ćelije.ćelije.
CRVENA PULPA:CRVENA PULPA:
1.BILROTOVE TRAKE:TRAKE:
MAKROFAGIMAKROFAGI
SVE ĆELIJE KRVI (Er,Ly,SVE ĆELIJE KRVI (Er,Ly,
Mo)Mo)
2. SINUSOIDNI2. SINUSOIDNI
KAPILARIKAPILARI
SPECIJALNI VENSKI SASPECIJALNI VENSKI SA
UZDUŽNIM OTVORIMAUZDUŽNIM OTVORIMA
TONZILETONZILE
Tonzile su strateški raspoređene u usnoj dupljiTonzile su strateški raspoređene u usnoj duplji
da spreče ulazak bakterija, virusa tj. antigenada spreče ulazak bakterija, virusa tj. antigena
Tonzile su uvlačenja površinskog epitelaTonzile su uvlačenja površinskog epitela
(KRIPTE) oko koga su grupisani agregati(KRIPTE) oko koga su grupisani agregati
limfnog tkiva, a koje su delimičnolimfnog tkiva, a koje su delimično
inkapsulisaneinkapsulisane
Limfnoepitelna kooperacijaLimfnoepitelna kooperacija
Primarni i sekundarni limfni folikuli suPrimarni i sekundarni limfni folikuli su prisutniprisutni
Waldejerov prsten od tonzila -limfnog tkivaWaldejerov prsten od tonzila -limfnog tkiva
 na ulazu u orofaringsna ulazu u orofarings
–– Adenoidi: krov faringsaAdenoidi: krov faringsa
–– Palatinalne tonzile: faringsni lukoviPalatinalne tonzile: faringsni lukovi
–– Lingualna tonzila: baza jezikaLingualna tonzila: baza jezika
–– Tonsilae tubarie: bočne straneTonsilae tubarie: bočne strane
faringsafaringsa
 M (microfold) ćelije suM (microfold) ćelije su
modifikovane ćelijemodifikovane ćelije
epitela koji direktnoepitela koji direktno
pokriva Peyerove pločepokriva Peyerove ploče
i koje učestvuju ui koje učestvuju u
zahvatanja antigena izahvatanja antigena i
transportuje ih u doletransportuje ih u dole
ležeće limfne struktureležeće limfne strukture
Limfni sistem

Limfni sistem

  • 1.
    LIMFNI SISTEMLIMFNI SISTEM Prof.dr Vesna DanilovićProf. dr Vesna Danilović STOMATOLOŠKI FAKULTETSTOMATOLOŠKI FAKULTET UNIVERZITET U BEOGRADUUNIVERZITET U BEOGRADU
  • 2.
    •• SKUP ORGANA,TKIVAI SUDOVA STRATEŠKI RASPOREĐENIH DA PREDSTAVLJAJU OSNOVNO ODBRAMBENO TKIVO • UČESTVUJU U STVARANJU, DIFERENCIJACIJI, PROLIFERACIJI I SAZREVANJU ĆELIJA KOJE POSTAJU IMUNOKOMPETENTNE – sposobne da uklanjaju nepoznate, strane i sopstvene promenjene ćelije i strukture
  • 3.
    • Nespecifična (urođena)imunostNespecifična (urođena) imunost a.spoljašnja barijeraa.spoljašnja barijera (prva linija odbrane)(prva linija odbrane) b.unutrašnja barijerab.unutrašnja barijera (druga linija odbrane)(druga linija odbrane) • Specifična (stečena) imunostSpecifična (stečena) imunost (treća(treća linija odbrane)linija odbrane) • a.celularnaa.celularna • b.humoralnab.humoralna
  • 4.
    SPOLJAŠNJA ODBRANA PRVA LINIJAODBRANE • KOŽA • SLUZNICE SA LIZOZIMOM (SUZE ILI PLJUVAČKA, GINGIVALNA TEČNOST) • SLUZNICA SA MUKUSOM - RESPIRATORNI SISTEM • SLUZNICA SA KISELIM SADRŽAJEM (ŽELUDAC, VAGINA)
  • 5.
    Unutrašnja odbranaUnutrašnja odbrana drugalinija odbranedruga linija odbrane  NEUTROFILNI GRANULOCITI –NEUTROFILNI GRANULOCITI – FAGOCITOZAFAGOCITOZA  MAKROFAGI – FAGOCITOZAMAKROFAGI – FAGOCITOZA  MASTOCITI – OSLOBADJANJEMASTOCITI – OSLOBADJANJE MEDIJATORA ZAPALJENJAMEDIJATORA ZAPALJENJA  KOMPLEMENT, LIMFOCITI...KOMPLEMENT, LIMFOCITI...
  • 6.
     Ćelije limfatičnihorgana:Ćelije limfatičnih organa:  sesilne (epitelne i retikularne)sesilne (epitelne i retikularne)  mobilne (limfociti i ćelije MPS)mobilne (limfociti i ćelije MPS)
  • 7.
    LIMFOCITI (2LIMFOCITI (255--440%u0% u leukocitarnoj formuleukocitarnoj formuli)li) MALI 7-8 μM • SREDNJI 10-12μM • VELIKI do 18 μ m • Jedro okruglo i hetreohromatično • Slabo vidljive granule (lizozomi) • Citoplazma oskudna i bazofilna • Životni vek: nekoliko meseci do nekoliko godina
  • 8.
    klasifikacija limfocitaklasifikacija limfocita Premamestu sazrevanja:Prema mestu sazrevanja: T limfociti/timocitiT limfociti/timociti (diferenciraju se u timusu)(diferenciraju se u timusu) B limfocitiB limfociti (diferenciraju se u koštanoj srži)(diferenciraju se u koštanoj srži) Po funkcionalnom stanju:Po funkcionalnom stanju: mirujući limfocitimirujući limfociti aktivirani limfocitiaktivirani limfociti
  • 9.
     T limfocitisu nosioci celularnogT limfociti su nosioci celularnog imunitetaimuniteta  B limfociti su nosioci humoralnogB limfociti su nosioci humoralnog imunitetaimuniteta
  • 10.
    T ly sunosioci celularnogT ly su nosioci celularnog imunitetaimuniteta  T limfociti:T limfociti: CD3CD3++ pan Tpan T CD4CD4++ T helperT helper CD8CD8++ T cytotoxicT cytotoxic CD (cluster of diferentiation)CD (cluster of diferentiation) grupa molekula na membrani T lygrupa molekula na membrani T ly
  • 11.
    T helperT helper POMAŽUĆI –HELPERI - TH -TH1 REGULIŠU CELULARNI ODGOVOR -TH2 REGULIŠE HUMORALNI ODGOVOR
  • 13.
    Kada receptor namembrani prepozna antigen B ćelije seKada receptor na membrani prepozna antigen B ćelije se ubrzano dele....ubrzano dele.... 1.1. plazma ćelijeplazma ćelije kojekoje sekretuju specifičnasekretuju specifična antitelaantitela 2.2. memorijske B ćelijememorijske B ćelije
  • 14.
     EFEKTORNE ĆELIJECELULARNOGEFEKTORNE ĆELIJE CELULARNOG IMUNITETA SU CITOTOKSIČNI TIMUNITETA SU CITOTOKSIČNI T LIMFOCITILIMFOCITI  EFEKTORNE ĆELIJE HUMORALNOGEFEKTORNE ĆELIJE HUMORALNOG IMUNITETA SU PLAZMOCITIIMUNITETA SU PLAZMOCITI
  • 15.
    Limf(atič)ni sistemLimf(atič)ni sistem Ćelije,tkiva & organiĆelije, tkiva & organi PRIMARNI ORGANI – MESTAPRIMARNI ORGANI – MESTA PROLIFERACIJE I DIFERENCIJACIJEPROLIFERACIJE I DIFERENCIJACIJE ĆELIJA BEZ PRISUSTVA ANTIGENAĆELIJA BEZ PRISUSTVA ANTIGENA (antigen nezavisna faza)(antigen nezavisna faza). Ne učestvuju u. Ne učestvuju u imunom odgovoruimunom odgovoru  1. Timus (grudna žlezda)1. Timus (grudna žlezda)  2. Koštana srž2. Koštana srž
  • 16.
    SEKUNDARNI ORGANI- MESTO DEŠAVANJAIMUNSKOG ODGOVORA (primarni i sekundarni imuni odgovor) 3. Slezina (III nivo odbrane) 4. Limfni čvorovi (II nivo odbrane) 5. MALT (I nivo odbrane)
  • 17.
     MALT (mucosaassociated lymphoid tissue)MALT (mucosa associated lymphoid tissue)  GALT (gut associated lymphoid tissue)GALT (gut associated lymphoid tissue)  BALT (bronchus associated lymphoid tissue)BALT (bronchus associated lymphoid tissue)  LALT (larynx associated lymphoid tissue)LALT (larynx associated lymphoid tissue)
  • 18.
    T-LimfocitiT-Limfociti Posle aktivacije ćelijesu:Posle aktivacije ćelije su:  •• T-helper (pomažuće) ćelijeT-helper (pomažuće) ćelije -- sekretuju citokinesekretuju citokine - pomažu B ćelijama- pomažu B ćelijama - stimulišu makrofage- stimulišu makrofage  •• Citotoksične T ćelije (killer T ćelije)Citotoksične T ćelije (killer T ćelije) - ubijaju ćelije ako imaju (pokazuju) antigen- ubijaju ćelije ako imaju (pokazuju) antigen  •• Memorijske T ćelijeMemorijske T ćelije - ostaju u telu- ostaju u telu
  • 19.
     Timus zavisnezoneTimus zavisne zone  PALS (slezina)PALS (slezina)  duboki korteks (n.lymphaticus)duboki korteks (n.lymphaticus)  interfolikularna regija (MALT)interfolikularna regija (MALT)
  • 20.
     Timus nezavisnezoneTimus nezavisne zone  slezina (bela pulpa)slezina (bela pulpa)  nodus lymphaticus (spoljašnjinodus lymphaticus (spoljašnji korteks)korteks)  MALT (lamina propria)MALT (lamina propria)
  • 21.
  • 22.
    Antigen-prezentujuće ćelijeAntigen-prezentujuće ćelije (APC)(APC) Makrofagi,LangerhansoveMakrofagi, Langerhansove ćelije, dendritične,ćelije, dendritične, folikulodendritične,folikulodendritične, interdigitatne, M ćelije,interdigitatne, M ćelije, epitelne retikularneepitelne retikularne ćelije timusa i Bćelije timusa i B limfocitilimfociti  •• Birbekove granuleBirbekove granule  •• Brojni nastavci tj.Brojni nastavci tj. DendritiDendriti  MHC IIMHC II
  • 25.
    Epitelne retikularne ćelijeobezbeđuju strukturnuEpitelne retikularne ćelije obezbeđuju strukturnu potporu timusu. Nema vlakana.potporu timusu. Nema vlakana.  timozintimozin  timusni humoralnitimusni humoralni faktorfaktor  timopoetintimopoetin  timulintimulin  faktori rastafaktori rasta  citokinicitokini
  • 26.
     Epitelne retikularnećelije:Epitelne retikularne ćelije:  subkapsularne/perivaskularnesubkapsularne/perivaskularne  kortikalne (nurse cells)kortikalne (nurse cells)  medularnemedularne  emperipoiezaemperipoieza
  • 27.
     pozitivna selekcijapozitivnaselekcija  negativna selekcijanegativna selekcija zanemareni ilizanemareni ili autoreaktivni Tautoreaktivni T 95-98% T ćelija95-98% T ćelija umire procesomumire procesom apoptozeapoptoze
  • 28.
    Ograničenost sopstvenim (self-Ograničenostsopstvenim (self- restriction):restriction): mogućnost T Ly da u perifernim organima prepoznaju Ag prikazan u kombinaciji sa sopstvenim MHC (MAJOR HISTOCOMPATIBILITY COMPLEX) MOLEKULIMA
  • 29.
    I stadijum: dvostrukonegativniI stadijum: dvostruko negativni CD4CD4-- CD8CD8-- II stadijum: dvostruko pozitivniII stadijum: dvostruko pozitivni CD4CD4++ CD8CD8++ III stadijum: jednostriko pozitivniIII stadijum: jednostriko pozitivni CD4CD4++ CD8CD8-- CD4CD4-- CD8CD8++
  • 34.
    Timus krvna barijeraTimuskrvna barijera  1. endotel kapilara1. endotel kapilara  2. perivaskularni2. perivaskularni makrofazimakrofazi  3. perivaskularne3. perivaskularne epitelne ćelijeepitelne ćelije
  • 37.
    LIMFNI ČVORLIMFNI ČVOR Najbrojniji limfni organNajbrojniji limfni organ  Pasuljastog oblikaPasuljastog oblika  Limfni čvorovi su mesta gdeLimfni čvorovi su mesta gde  započinje specifični imunskizapočinje specifični imunski  odgovor.odgovor.  Svaki limfni čvorSvaki limfni čvor predstavlja mali nodularnipredstavlja mali nodularni agregat sastavljen odagregat sastavljen od brojnih limfocitabrojnih limfocita
  • 38.
    FUNKCIJA LIMFNOG ČVORAFUNKCIJALIMFNOG ČVORA FILTRACIJA LIMFEFILTRACIJA LIMFE UKLANJANJE TKIVNO NASTALIHUKLANJANJE TKIVNO NASTALIH ANTIGENAANTIGENA PROLIFERACIJA LIMFOCITA (B,T) IPROLIFERACIJA LIMFOCITA (B,T) I PLAZMOCITAPLAZMOCITA STVARANJE IMUNOGLOBULINASTVARANJE IMUNOGLOBULINA
  • 40.
    Okružen je fibroznomkapsulom koju probija veliki broj tzv. aferentnih limfnih sudova koji donose limfu koja se izliva u subkapsularni ili marginalni sinus. Ispod subkapsularnog sinusa se nalazi KORA: spoljašnji korteks i unutrašnji parakorteks.
  • 42.
    U spoljašnjem korteksusu smešteni gustiU spoljašnjem korteksu su smešteni gusti agregati limfocita koji čine folikuli. U srediniagregati limfocita koji čine folikuli. U sredini folikula se nalazi svetlija zona koja se nazivafolikula se nalazi svetlija zona koja se naziva germinativni centar- a oko njega je tamnijagerminativni centar- a oko njega je tamnija zona-korona. Deo okrenut izvoru infekcijezona-korona. Deo okrenut izvoru infekcije naziva se kapa i sadrži B memorijske limfocite.naziva se kapa i sadrži B memorijske limfocite. Ovakav folikul se naziva sekundarni folikuli.Ovakav folikul se naziva sekundarni folikuli. Folikuli bez germinativnog centra se nazivajuFolikuli bez germinativnog centra se nazivaju primarni folikuli.primarni folikuli.
  • 43.
    FolikularneFolikularne dendritične ćelijedendritične ćelije Antigen-antiteloAntigen-antitelo kompleksise pričvršćujukompleksi se pričvršćuju za nastavke preko Fcza nastavke preko Fc receptorareceptora Mogu da zadrže antigenMogu da zadrže antigen nedeljama, ali nenedeljama, ali ne endocitoziranendocitoziran One nisu antigenOne nisu antigen prezentujuće ćelije jerprezentujuće ćelije jer nemaju MHC IInemaju MHC II
  • 44.
    paracortex (P),paracortex (P),uglavnom naseljen Tuglavnom naseljen T limfocitima koji ulaze preko postkapilarnih venulalimfocitima koji ulaze preko postkapilarnih venula
  • 45.
    Medula limfnog čvorase nalazi ispod parakorteksa i sadrži medularne trake koje se nalaze između medularnih sinusa. Medularne trake su sačinjeni uglavnom od B limfocita, makrofaga i plazma ćelija
  • 46.
    LIMFNI SINUSILIMFNI SINUSI PROSTORIOBLOŽENI LITORALNIM ĆELIJAMA 1. KORTIKALNI • a.SUBKAPSULARNI • b. PARATRABEKULARNI • 2. MEDULARNI Limfa sa periferije iz subkapsularnih sinusa ide duž kortikalnih ili trabekularnih sinusa i prodire ka medularnim sinusima odakle napušta limfni čvor putem eferentnog limfnog suda.
  • 51.
    SLEZINASLEZINA  NAJVEĆI LIMFNINAJVEĆILIMFNI ORGANORGAN  STROMA:STROMA: KAPSULAKAPSULA TRABEKULERETIKULARNOTRABEKULERETIKULARNO VEZIVOVEZIVO  PARENHIM:PARENHIM: BELA PULPA –BELA PULPA – OKOOKO ARTERIJAARTERIJA CRVENA PULPACRVENA PULPA
  • 52.
    FUNKCIJA SLEZINEFUNKCIJA SLEZINE FILTER ZA KRVFILTER ZA KRV  UKLANJANJE OSTARELIH IUKLANJANJE OSTARELIH I OŠTEĆENIH ĆELIJA KRVIOŠTEĆENIH ĆELIJA KRVI  METABOLIZAM GVOŽĐAMETABOLIZAM GVOŽĐA  HEMATOPOEZA U FETUSNOMHEMATOPOEZA U FETUSNOM PERIODUPERIODU  DEPO KRVIDEPO KRVI
  • 55.
    SLEZINASLEZINA Raspored pojedinih subpopulacijalimfocita iRaspored pojedinih subpopulacija limfocita i akcesornih ćelija u slezini je sličan kao i u limfnomakcesornih ćelija u slezini je sličan kao i u limfnom čvoru.čvoru. Periarterijski limfni omotači su sastavljeni odPeriarterijski limfni omotači su sastavljeni od pomažućih T-limfocita (2/3) dok 1/3 sačinjavajupomažućih T-limfocita (2/3) dok 1/3 sačinjavaju citotoksični T limfociti.citotoksični T limfociti. Folikule i i germinativne centre čine B-limfociti.Folikule i i germinativne centre čine B-limfociti. Marginalna zona sadrži B-limfocite, makrofage i TMarginalna zona sadrži B-limfocite, makrofage i T pomažućepomažuće ćelije.ćelije.
  • 58.
    CRVENA PULPA:CRVENA PULPA: 1.BILROTOVETRAKE:TRAKE: MAKROFAGIMAKROFAGI SVE ĆELIJE KRVI (Er,Ly,SVE ĆELIJE KRVI (Er,Ly, Mo)Mo) 2. SINUSOIDNI2. SINUSOIDNI KAPILARIKAPILARI SPECIJALNI VENSKI SASPECIJALNI VENSKI SA UZDUŽNIM OTVORIMAUZDUŽNIM OTVORIMA
  • 61.
    TONZILETONZILE Tonzile su strateškiraspoređene u usnoj dupljiTonzile su strateški raspoređene u usnoj duplji da spreče ulazak bakterija, virusa tj. antigenada spreče ulazak bakterija, virusa tj. antigena Tonzile su uvlačenja površinskog epitelaTonzile su uvlačenja površinskog epitela (KRIPTE) oko koga su grupisani agregati(KRIPTE) oko koga su grupisani agregati limfnog tkiva, a koje su delimičnolimfnog tkiva, a koje su delimično inkapsulisaneinkapsulisane Limfnoepitelna kooperacijaLimfnoepitelna kooperacija Primarni i sekundarni limfni folikuli suPrimarni i sekundarni limfni folikuli su prisutniprisutni
  • 62.
    Waldejerov prsten odtonzila -limfnog tkivaWaldejerov prsten od tonzila -limfnog tkiva  na ulazu u orofaringsna ulazu u orofarings –– Adenoidi: krov faringsaAdenoidi: krov faringsa –– Palatinalne tonzile: faringsni lukoviPalatinalne tonzile: faringsni lukovi –– Lingualna tonzila: baza jezikaLingualna tonzila: baza jezika –– Tonsilae tubarie: bočne straneTonsilae tubarie: bočne strane faringsafaringsa
  • 66.
     M (microfold)ćelije suM (microfold) ćelije su modifikovane ćelijemodifikovane ćelije epitela koji direktnoepitela koji direktno pokriva Peyerove pločepokriva Peyerove ploče i koje učestvuju ui koje učestvuju u zahvatanja antigena izahvatanja antigena i transportuje ih u doletransportuje ih u dole ležeće limfne struktureležeće limfne strukture