RAZVOJ LICA I VILICARAZVOJ LICA I VILICA
Prof. dr Vesna DanilovićProf. dr Vesna Danilović
STOMATOLOŠKI FAKULTETSTOMATOLOŠKI FAKULTET
UNIVERZITET U BEOGRADUUNIVERZITET U BEOGRADU
 1. površinski ektoderm1. površinski ektoderm
 2. inttraembrionalni paraksijalni mezoderm2. inttraembrionalni paraksijalni mezoderm
 3. nervni greben (ektomezenhim)3. nervni greben (ektomezenhim)
 4. faringealni aparat4. faringealni aparat
Prenatalni razvoj
Figure from Ten Cate’s Oral Histology, Ed., Antonio Nanci, 6th
edition
The Developing Human by Moore & Persaud
Faringealni spag
luk
membrana
ezofagus
Faringealni aparat
1 2 34
usek
Formiranje
glave
 Rostralno od uvrata glaveRostralno od uvrata glave
 Anteriorni deo neuralne cevi razvijaAnteriorni deo neuralne cevi razvija
se u prednji, sredni I zadnji mozakse u prednji, sredni I zadnji mozak
 Neuroektoderm ove regije razvija seNeuroektoderm ove regije razvija se
uu olfaktivne, orbitalne I otičkeolfaktivne, orbitalne I otičke
plakodeplakode
 Zadnji mozak razvija se u 8 nabora =Zadnji mozak razvija se u 8 nabora =
rombomererombomere
 Paraksijalni mezoderm razvija se uParaksijalni mezoderm razvija se u
somitesomite
 Migracijom ćelija nervnog grebenaMigracijom ćelija nervnog grebena
raz vija se embrionalno vezivno tkivoraz vija se embrionalno vezivno tkivo
– mezenhim– mezenhim
Migracija celija nervnog grebena
Ten Cate’s Oral Histology, Ed., Antonio Nanci, 6th
edition
Klinicke implikacije
Treacher Collins sindrome nastaje zbog nesposobnosti celija
nervnog grebena da migriraju u podrucje prvog i drugog
branhijalnog luka
“Before We Were Born; Moore and Persaud, 6th
edition, 2003”.
4-6mm
35.dan35.dan35.dan35.dan
Ten Cate’s Oral Histology, Ed., Antonio Nanci, 6th
edition
Bukofaringealna membrana rupturira izmedju 24-26 dana
embrionalnog razvica
“Before We Were Born; Moore and Persaud, 6th
edition, 2003”.
 Lice see razvija izmedju 28-og i 34-ogLice see razvija izmedju 28-og i 34-og
dana gestacijedana gestacije
24-og dana prvi branhijalni luk se podeli u24-og dana prvi branhijalni luk se podeli u
maksilarni i mandibularni nastavakmaksilarni i mandibularni nastavak
26 dan embrionalnog razvica
Ten Cate’s Oral Histology, Ed., Antonio Nanci, 6th
edition
34 dan34 dan
Ljudski embrion u 7-oj nedelji razvica
Ten Cate’s Oral Histology, Ed., Antonio Nanci, 6th
edition
Formiranje sekundarnog palatuma
(pocinje izmedju 7 . i 8. nedelje embrionalnog zivota i
zavrsava se oko 3.meseca )
Cate’s Oral Histology, Ed., Antonio Nanci, 6th
edition
Ten Cate’s Oral Histology, Ed., Antonio Nanci, 6th
edition
Fuzija procesusa eliminacijom zlebova Fuzija procesusa nakon eliminacije povrsinskog
epitela
Ten Cate’s Oral Histology, Ed., Antonio Nanci, 6th
edition
Rascep usana
Rascep palatuma
11-14mm
13-17mm
17-20mm
21-23mm
25-27mm
23-32mm
 NeurokranijumNeurokranijum
 -membranski-membranski
 -hrskvični-hrskvični
 ViscerokranijumViscerokranijum
 -membranski-membranski
 -hrskvični-hrskvični
Razvoj lica i vilica
Razvoj lica i vilica
Razvoj lica i vilica
Razvoj lica i vilica
Razvoj lica i vilica
Razvoj lica i vilica
Razvoj lica i vilica
Razvoj lica i vilica
Razvoj lica i vilica
Razvoj lica i vilica
Razvoj lica i vilica
Razvoj lica i vilica
Razvoj lica i vilica
Razvoj lica i vilica
Razvoj lica i vilica
Razvoj lica i vilica
Razvoj lica i vilica
Razvoj lica i vilica
Razvoj lica i vilica
Razvoj lica i vilica
Razvoj lica i vilica
Razvoj lica i vilica
Razvoj lica i vilica
Razvoj lica i vilica
Razvoj lica i vilica
Razvoj lica i vilica
Razvoj lica i vilica
Razvoj lica i vilica
Razvoj lica i vilica
Razvoj lica i vilica
Razvoj lica i vilica
Razvoj lica i vilica
Razvoj lica i vilica
Razvoj lica i vilica
Razvoj lica i vilica
Razvoj lica i vilica
Razvoj lica i vilica
Razvoj lica i vilica
Razvoj lica i vilica
Razvoj lica i vilica
Razvoj lica i vilica
Razvoj lica i vilica

Razvoj lica i vilica

  • 1.
    RAZVOJ LICA IVILICARAZVOJ LICA I VILICA Prof. dr Vesna DanilovićProf. dr Vesna Danilović STOMATOLOŠKI FAKULTETSTOMATOLOŠKI FAKULTET UNIVERZITET U BEOGRADUUNIVERZITET U BEOGRADU
  • 2.
     1. površinskiektoderm1. površinski ektoderm  2. inttraembrionalni paraksijalni mezoderm2. inttraembrionalni paraksijalni mezoderm  3. nervni greben (ektomezenhim)3. nervni greben (ektomezenhim)  4. faringealni aparat4. faringealni aparat
  • 3.
    Prenatalni razvoj Figure fromTen Cate’s Oral Histology, Ed., Antonio Nanci, 6th edition
  • 4.
    The Developing Humanby Moore & Persaud Faringealni spag luk membrana ezofagus Faringealni aparat 1 2 34 usek
  • 6.
    Formiranje glave  Rostralno oduvrata glaveRostralno od uvrata glave  Anteriorni deo neuralne cevi razvijaAnteriorni deo neuralne cevi razvija se u prednji, sredni I zadnji mozakse u prednji, sredni I zadnji mozak  Neuroektoderm ove regije razvija seNeuroektoderm ove regije razvija se uu olfaktivne, orbitalne I otičkeolfaktivne, orbitalne I otičke plakodeplakode  Zadnji mozak razvija se u 8 nabora =Zadnji mozak razvija se u 8 nabora = rombomererombomere  Paraksijalni mezoderm razvija se uParaksijalni mezoderm razvija se u somitesomite  Migracijom ćelija nervnog grebenaMigracijom ćelija nervnog grebena raz vija se embrionalno vezivno tkivoraz vija se embrionalno vezivno tkivo – mezenhim– mezenhim
  • 7.
    Migracija celija nervnoggrebena Ten Cate’s Oral Histology, Ed., Antonio Nanci, 6th edition
  • 8.
    Klinicke implikacije Treacher Collinssindrome nastaje zbog nesposobnosti celija nervnog grebena da migriraju u podrucje prvog i drugog branhijalnog luka
  • 9.
    “Before We WereBorn; Moore and Persaud, 6th edition, 2003”.
  • 10.
  • 11.
  • 12.
    Ten Cate’s OralHistology, Ed., Antonio Nanci, 6th edition Bukofaringealna membrana rupturira izmedju 24-26 dana embrionalnog razvica
  • 13.
    “Before We WereBorn; Moore and Persaud, 6th edition, 2003”.  Lice see razvija izmedju 28-og i 34-ogLice see razvija izmedju 28-og i 34-og dana gestacijedana gestacije 24-og dana prvi branhijalni luk se podeli u24-og dana prvi branhijalni luk se podeli u maksilarni i mandibularni nastavakmaksilarni i mandibularni nastavak
  • 14.
    26 dan embrionalnograzvica Ten Cate’s Oral Histology, Ed., Antonio Nanci, 6th edition
  • 15.
  • 16.
    Ljudski embrion u7-oj nedelji razvica Ten Cate’s Oral Histology, Ed., Antonio Nanci, 6th edition
  • 17.
    Formiranje sekundarnog palatuma (pocinjeizmedju 7 . i 8. nedelje embrionalnog zivota i zavrsava se oko 3.meseca ) Cate’s Oral Histology, Ed., Antonio Nanci, 6th edition
  • 18.
    Ten Cate’s OralHistology, Ed., Antonio Nanci, 6th edition
  • 19.
    Fuzija procesusa eliminacijomzlebova Fuzija procesusa nakon eliminacije povrsinskog epitela Ten Cate’s Oral Histology, Ed., Antonio Nanci, 6th edition
  • 20.
  • 21.
  • 22.
  • 23.
  • 25.
  • 27.
  • 29.
  • 30.
  • 33.
     NeurokranijumNeurokranijum  -membranski-membranski -hrskvični-hrskvični  ViscerokranijumViscerokranijum  -membranski-membranski  -hrskvični-hrskvični

Editor's Notes

  • #39 H.E. 40x. Stomatodeum. Neproprocionalno veliki jezik zauzima centralni deo stomatodeuma i onemogućuje da palatinalni procesusi zauzmu položaj pogodan za srastanje. Zbog toga oni umesto u horizontalnoj ravni rastu vertikalno nadole. U mandibularnim procesusima prisutna je Meckel-ova hrskavica.
  • #40 H.E. 100x. Stomatodeum. Centralni seo slajda zauzimaju jezik i septum nasi. Palatinalni procesusi rastu vertikalno nadole prema mandibularnim procesusima (levo i desno). Objasnite mehanizme koji će omogućiti da se palatinalni procesi postave u položaj pogodan za sratanje.
  • #41 H.E. 40x. Stomatodeum. Maksilarni i mandibularni procesusi su fuzionisani (desno). U mandibularnim procesusima prisutna je Meckel-ova hrskavica i neurovaskularni elementi.
  • #42 H.E. 100. Primitivna nosna šupljina. Palatinalni procesusi (dole desno i levo) postavili su se u horizontalnu ravan i rastu jedan prema drugome, što će u funkciji vremena rezultirati razvojem sekundarnog palatuma i podeliti stomatodeum na gornju (nosnu) i donju (usnu) šupljinu. Istovremeno sa krova stomatodeuma spušta se primitivni septum nasi, deleći nosnu šupljinu na levu i desnu polovinu. Vide se conchae nasales sa znacima hondrogeneze.
  • #43 H.E. 40x. Razvoj palatuma. Palatinalni procesusi su se postavili u horizontalnu ravan i ostvarili kontakt. Stomatodeum je podeljen na usnu i nosnu šupljinu. Nosna šupljina je podeljena septumom nasi na levu i desnu polovinu. U septumu su prisutni delovi fetalne hijaline hrskavice. Na donjem delu slajda vidi se jezik.
  • #44 H.E. 100x. Srastanje procesusa. Na mestu fuzije palatinalnih procesusa vidi se da nije došlo do kompletne eliminacije epitelnih ćelija. Prisutni su znaci endezmalne osifikacije.
  • #45 H.E. 100x. Srastanje palatinalnih procesusa. Šupljina na donjoj polovini slajda je usna duplja.
  • #46 H.E. 400x. Detalj sa slike 6. Ostaci epitelnih ćelija (epitelne perle) na mestu fuzije palatinalnih procesusa. Epitelne perle mogu imati klinički značaj u nastanku cisti.
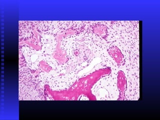
  • #47 H.E. 40x. Razvoj palatuma. Vidi se canalis incisivus koji čini granici uzmeđu premaksile (primarnog palatuma) i palatinalnih procesusa (sekundarnog palatuma). U kanalu se nalazi nervus nasopalatinus i krvni sudovi. Deo zubnog zametka vidi se savim levo na slajdu.
  • #48 H.E. 40x. Spoj tvrdog i mekog nepca. Gornja strana nepca pokrivena je pseudoslojevitim trorednim epitelom, a donja pločastoslojevitim epitelom bez keratinizacije. Vidi se deo lamine horizontalis nepčane kosti za koju se pripajaju nezrela vlakna musculus tensor veli palatini. Ispod njih locirane su jako bazofilne epitelne trake iz kojih će se razviti glandule palatine. Na donjem delu slajda vidi se epitel jezika.
  • #49 H.E. 100x. Detalj sa prethodne slike. Epitelne ćelija proliferišu u mezenhim, što će rezultovati stvaranjem glandula palatina.
  • #50 H.E.40x.Detalj sa slike 10. Oralni epitel na palatumu (gore) i dorzalnoj površini jezika (dole). Šupljina u centralnom delu slajda je usna duplja.
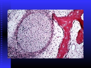
  • #51 H.E. 100x. Razvoj mandibule. U centru slajda vidi se Meckel-ova hrskavica, a u njenoj neposrednoj blizini ogranak nerva u razvoju. Mezenhimne ćelije su kondenzovane i stvaraju blastem.
  • #52 H.E. 40x. Razvoj mandibule. Primarni centri osifikacije javljaju se u mandibularnim procesusima obostrano, na mestu račve nervus alveolaris inferiora, spolja od Meckel-ove hrskavice. Vide se nezrela skeletna mišićna vlakna i proliferacija epitelnih iz kojih će se razviti pljuvačna žlezda.
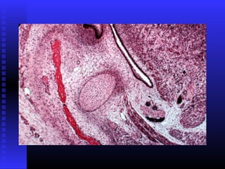
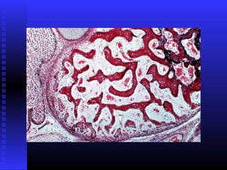
  • #53 H.E. 100x. Razvoj mandibule. U centralnom delu je Meckel-ova hrskavica, obavijena prihondrijumom, a desno od nje vide se trabekule novoformirane kosti koja pokazuje karakteristike fibrozne (nezrele) kosti.
  • #54 H.E. 40x. Razvoj mandibule. U centralnom delu je Meckel-ova hrskavica, koja na pojedinim mestima pokazuje znake hipertrofije. Na desnoj strani slajda vaide se trabekule novoformirane alveolarne kosti. Prisutna su i nezrela skeletna mišićna vlakna, kao i epitelne ćelije iz kojih će se razviti pljuvačne žlezde (bazofilne ćelije na vrhu slajda).
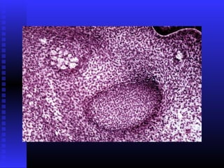
  • #55 H.E. 40x. Zubni zametak u alveoli koja se takođe nalazi u razvoju.
  • #56 H.E. 100x. Zubni zametak u alveoli u razvoju.
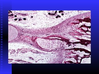
  • #57 H.E. Zubna alveola. Vide se trabekule novoformirane kosti u neposrednoj blizii neurovaskularnih elemenata, deo zubnog zametka (sasvim gore) i deo Meckel-ove hrskavice (sasvim levo dole).
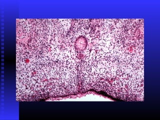
  • #58 H.E: 100x. Endezmalna osifikacija u mandibuli.
  • #59 H.E. 100x. Razvoj mandibule. Endezmalna osifikacija koja se uočava u neposrednoj blizini neurovaskularnih elemenata (u sredini). Vidi se deo Meckel-ove hrskavice (dole levo).