Autoimmune hepatitis
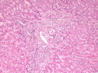
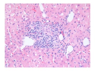
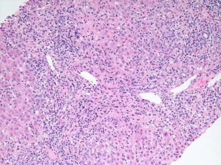
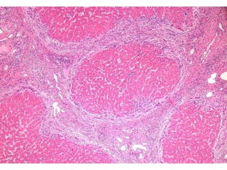
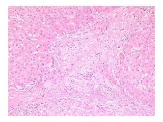
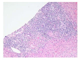
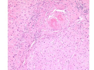
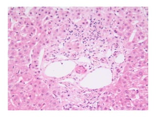
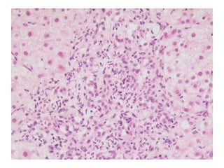
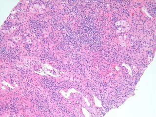
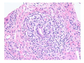
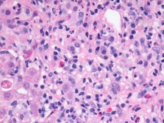
BS09-10453 55 yo, female.  Clinical history:  Elevated ALT/AST. Viral serologies negative.
 
 
 
 
 
BS09-10453:  Dx: Chronic hepatitis, with severe activity (bridging necrosis) and portal fibrosis, ? autoimmune hepatitis vs. drug/toxin mediated injury. Corresponds to: Modified Ishak stage 1/4 Metavir F1
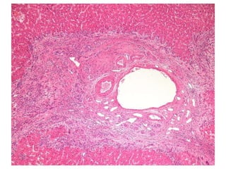
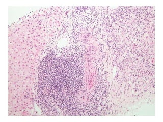
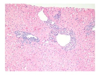
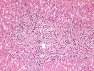
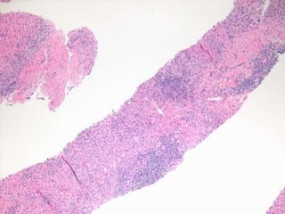
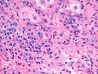
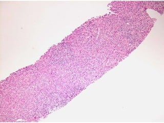
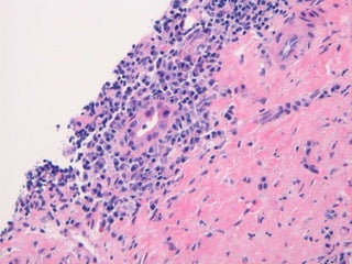
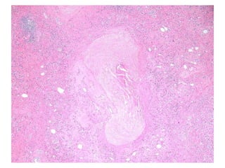
BS09-22346 49 yo, female.  Clinical history:  Acute hepatitis.  Mild elevation of IgG, ANA.  Viral serologies negative.  No drug/toxin exposure history.  AIH?
 
 
 
 
 
 
 
 
 
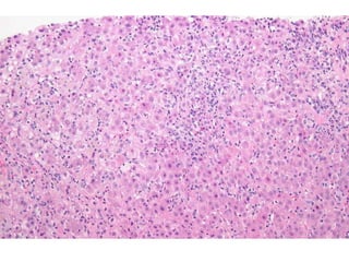
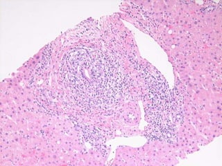
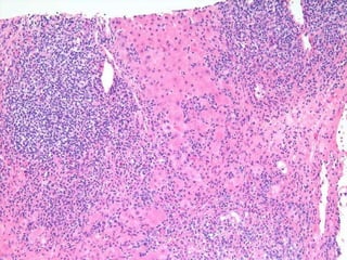
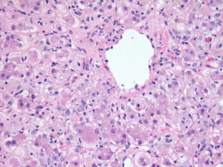
BS09-10453:  Dx: Chronic hepatitis, with severe activity (perivenular confluent necrosis) and focal fibrous septa, compatible with autoimmune hepatitis. Corresponds to: Modified Ishak stage 2/4 Metavir F2
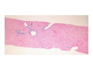
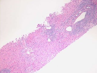
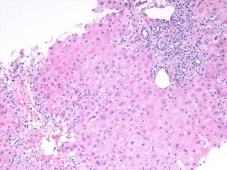
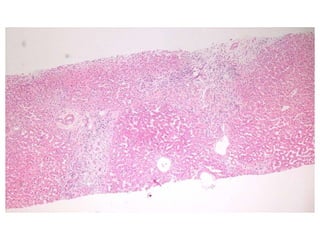
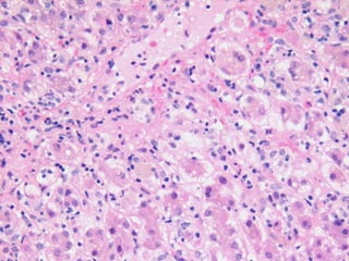
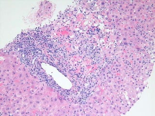
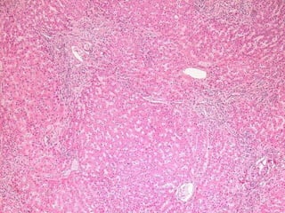
LS08-10290 Abnormal LFT, negative for Hepatitis A, B, C.  Sono: heterogeneous liver.
 
 
 
 
 
 
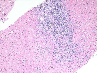
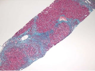
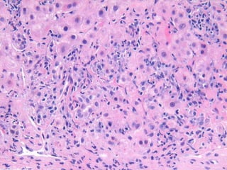
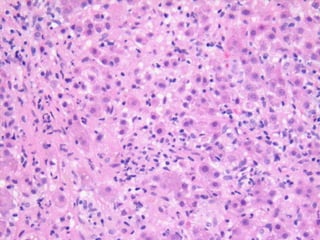
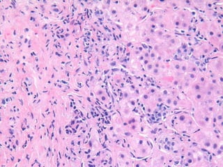
BS09-10453:  Dx: Chronic hepatitis, with severe activity (focal parenchymal collapse) and cirrhosis, suggestive of autoimmune hepatitis. Corresponds to: Modified Ishak stage 4/4 Metavir F4
PBC
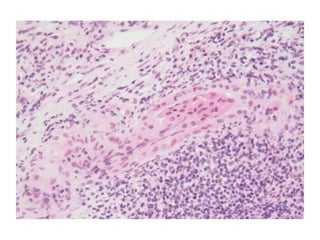
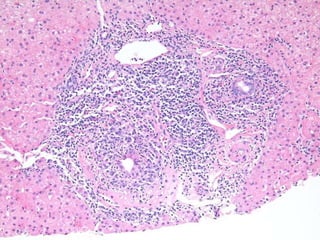
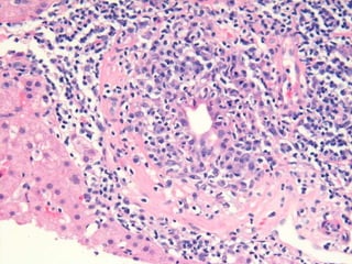
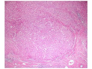
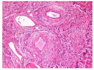
BS09-15303  Clinical history: 56 yo, female. elevated transaminase and anti-mitochondrial antibody.
 
 
 
 
BS09-15303  Dx: Primary biliary cirrhosis, Scheuer stage 1/4 (Diagnostic biopsy).
07-R-1192 Middle aged female with intractable pruritis.
 
 
 
 
 
 
 
S07-9238  Dx: Features compatible with primary biliary cirrhosis, Scheuer stage 1/4.
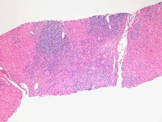
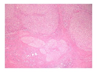
91-1824 47 yo female, with AMA positive. Transplanted for portal hypertensive decompensation.
 
 
 
 
91-1824  Dx: Primary biliary cirrhosis, Scheuer stage 3/4 to 4/4, with features of nodular regenerative hyperplasia.
S07-9238 female, 45 yo.  AMA:1/160, alkaline phosphatase 1700, bilirubin normal, ALT/AST:  195/255.
 
 
 
 
 
S07-9238  Dx: Primary biliary cirrhosis, Scheuer stage 4/4 (diagnostic biopsy), with features of nodular regenerative hyperplasia.
AIH and PBC Overlap Syndromes
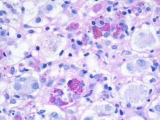
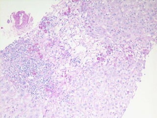
BS08-26823 Clinical history:  67 yo, male.  H/O PBC and cirrhosis, elevated gamma globulin.
 
 
 
 
 
 
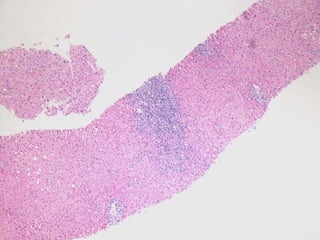
BS08-26823: Dx with known biopsy and clinical history of PBC: Cirrhosis with features of overlap autoimmune hepatitis (with severe activity) and primary biliary cirrhosis. Dx without prior documented PBC: Chronic hepatitis, with severe activity (focal parenchymal collapse) and probable cirrhosis, compatible with autoimmune hepatitis; cannot exclude overlap primary biliary cirrhosis (focal duct paucity).
BS08-12291 36 yo, female.  Clinical history:  AMA 1:1280, rule out PBC.
 
 
 
 
 
 
BS08-12291 Dx: Primary biliary cirrhosis (diagnostic biopsy), Scheuer stage 2/4; cannot exclude overlap autoimmune hepatitis. Comment: Bile duct paucity and active, diagnostic duct destructive lesions are identified.  Some portal tracts are expanded by a prominent ductular reaction.  Significant scarring is not seen.  The degree of interface and lobular hepatitis is focally more severe than is typical for primary biliary cirrhosis and suggests the possibility of overlap autoimmune hepatitis; clinical correlation required.
PSC
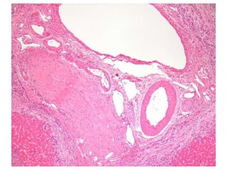
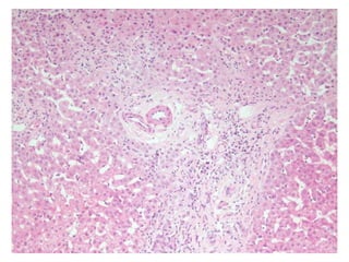
1206/82 54 yo women with Ulcerative Colitis.
 
 
 
 
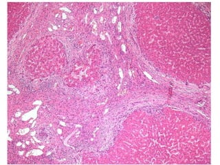
LS 1206/82  Dx: Bile duct injury and paucity compatible with primary sclerosing cholangitis Comment: There is focal, marked portal expansion by ductular reactions, inflammatory infiltrates and fibrosis.
RFH case 3 38 yo, female.  Section from an explant specimen.  The patient was transplanted for end stage liver disease.
 
 
 
 
 
RFH 3  Dx: Liver: Explant - Primary sclerosing cholangitis.
MSH 2 A 73 yo man, heavy alcohol drinker, had liver and kidney failure (hepatorenal syndrome)  and received liver and kidney grafts.  Sections are from the explanted liver.
 
 
 
 
 
MSH 2  Dx: Liver: Explant - Primary sclerosing cholangitis. Comment: Cannot exclude features of concomitant alcoholic liver injury.

Kw - Cases - Aih Pbc Psc

  • 1.
  • 2.
    BS09-10453 55 yo,female. Clinical history: Elevated ALT/AST. Viral serologies negative.
  • 3.
  • 4.
  • 5.
  • 6.
  • 7.
  • 8.
    BS09-10453: Dx:Chronic hepatitis, with severe activity (bridging necrosis) and portal fibrosis, ? autoimmune hepatitis vs. drug/toxin mediated injury. Corresponds to: Modified Ishak stage 1/4 Metavir F1
  • 9.
    BS09-22346 49 yo,female. Clinical history: Acute hepatitis. Mild elevation of IgG, ANA. Viral serologies negative. No drug/toxin exposure history. AIH?
  • 10.
  • 11.
  • 12.
  • 13.
  • 14.
  • 15.
  • 16.
  • 17.
  • 18.
  • 19.
    BS09-10453: Dx:Chronic hepatitis, with severe activity (perivenular confluent necrosis) and focal fibrous septa, compatible with autoimmune hepatitis. Corresponds to: Modified Ishak stage 2/4 Metavir F2
  • 20.
    LS08-10290 Abnormal LFT,negative for Hepatitis A, B, C. Sono: heterogeneous liver.
  • 21.
  • 22.
  • 23.
  • 24.
  • 25.
  • 26.
  • 27.
    BS09-10453: Dx:Chronic hepatitis, with severe activity (focal parenchymal collapse) and cirrhosis, suggestive of autoimmune hepatitis. Corresponds to: Modified Ishak stage 4/4 Metavir F4
  • 28.
  • 29.
    BS09-15303 Clinicalhistory: 56 yo, female. elevated transaminase and anti-mitochondrial antibody.
  • 30.
  • 31.
  • 32.
  • 33.
  • 34.
    BS09-15303 Dx:Primary biliary cirrhosis, Scheuer stage 1/4 (Diagnostic biopsy).
  • 35.
    07-R-1192 Middle agedfemale with intractable pruritis.
  • 36.
  • 37.
  • 38.
  • 39.
  • 40.
  • 41.
  • 42.
  • 43.
    S07-9238 Dx:Features compatible with primary biliary cirrhosis, Scheuer stage 1/4.
  • 44.
    91-1824 47 yofemale, with AMA positive. Transplanted for portal hypertensive decompensation.
  • 45.
  • 46.
  • 47.
  • 48.
  • 49.
    91-1824 Dx:Primary biliary cirrhosis, Scheuer stage 3/4 to 4/4, with features of nodular regenerative hyperplasia.
  • 50.
    S07-9238 female, 45yo. AMA:1/160, alkaline phosphatase 1700, bilirubin normal, ALT/AST: 195/255.
  • 51.
  • 52.
  • 53.
  • 54.
  • 55.
  • 56.
    S07-9238 Dx:Primary biliary cirrhosis, Scheuer stage 4/4 (diagnostic biopsy), with features of nodular regenerative hyperplasia.
  • 57.
    AIH and PBCOverlap Syndromes
  • 58.
    BS08-26823 Clinical history: 67 yo, male. H/O PBC and cirrhosis, elevated gamma globulin.
  • 59.
  • 60.
  • 61.
  • 62.
  • 63.
  • 64.
  • 65.
    BS08-26823: Dx withknown biopsy and clinical history of PBC: Cirrhosis with features of overlap autoimmune hepatitis (with severe activity) and primary biliary cirrhosis. Dx without prior documented PBC: Chronic hepatitis, with severe activity (focal parenchymal collapse) and probable cirrhosis, compatible with autoimmune hepatitis; cannot exclude overlap primary biliary cirrhosis (focal duct paucity).
  • 66.
    BS08-12291 36 yo,female. Clinical history: AMA 1:1280, rule out PBC.
  • 67.
  • 68.
  • 69.
  • 70.
  • 71.
  • 72.
  • 73.
    BS08-12291 Dx: Primarybiliary cirrhosis (diagnostic biopsy), Scheuer stage 2/4; cannot exclude overlap autoimmune hepatitis. Comment: Bile duct paucity and active, diagnostic duct destructive lesions are identified. Some portal tracts are expanded by a prominent ductular reaction. Significant scarring is not seen. The degree of interface and lobular hepatitis is focally more severe than is typical for primary biliary cirrhosis and suggests the possibility of overlap autoimmune hepatitis; clinical correlation required.
  • 74.
  • 75.
    1206/82 54 yowomen with Ulcerative Colitis.
  • 76.
  • 77.
  • 78.
  • 79.
  • 80.
    LS 1206/82 Dx: Bile duct injury and paucity compatible with primary sclerosing cholangitis Comment: There is focal, marked portal expansion by ductular reactions, inflammatory infiltrates and fibrosis.
  • 81.
    RFH case 338 yo, female. Section from an explant specimen. The patient was transplanted for end stage liver disease.
  • 82.
  • 83.
  • 84.
  • 85.
  • 86.
  • 87.
    RFH 3 Dx: Liver: Explant - Primary sclerosing cholangitis.
  • 88.
    MSH 2 A73 yo man, heavy alcohol drinker, had liver and kidney failure (hepatorenal syndrome) and received liver and kidney grafts. Sections are from the explanted liver.
  • 89.
  • 90.
  • 91.
  • 92.
  • 93.
  • 94.
    MSH 2 Dx: Liver: Explant - Primary sclerosing cholangitis. Comment: Cannot exclude features of concomitant alcoholic liver injury.