INFLAMMATION
Presented by:
Manita sitaula(686)
Monica Jha(688)
CONTENTS
•Introduction to Inflammation
•Goals of inflammation
•Causes of Inflammation
•Cardinal signs of inflammation
•Steps of inflammation
•Acute and Chronic inflammation
•Events in acute inflammation
•Chemical mediators in Inflammation
•Chronic Inflammation
•Clinical Aspect
CONTENTS
INFLAMMATION
Response of vascularized tissue to infection
and damaged tissue that brings cells and
molecules of host defence from the circulation
to the sites where they are needed in order to
eliminate the offending agent
Goals of Inflammation
•To get rid of initial cause of cell injury.
•To get rid of consequences of injury.
•To prevent other organ system damage
•Initiate the process of repair
Cardinal signs of Inflammation
1.Rubor- Redness.
2.Tumor-Swelling.
3.Calor-Heat
4.Dollar-pain
5.Loss of function(functio laesa)
CAUSES OF INFLAMMATION
1.Infection-
bacterial,viral,fungal,parasitic,microbial
toxic
2.Tissue Necrosis
3.Foreign Body-dirt,splinters,sutures
4.Immune Reaction
STEPS OF INFLAMMATION
1.Recognition of injurious agent
2.Recruitment of leukocytes
3.Removal of the agent
4.Regulation of response
5.Resolution/Repair
TYPES OF INFLAMMATION
1.ACUTE INFLMMATION
2.CHRONIC INFLAMMATION
ACUTE INFLAMMATION
Rapid onset
Short duration
Subsides when goals are fulfilled
ACUTE
 Fast:min to hrs
 Neutrophils
 Mild self
limited
 prominent
CHRONIC
 slow: days
 Monocytes
macrophages
and lymphocytes
 Sever and
progressive
 Less prominent
FEATURES
 Onset
Cellular
infiltrate
Tissue injury
Local and
systemic
signs
FEATURES OF ACUTE AND CHRONIC INFLAMMATION
MAJOR COMPONENTS OF ACUTE INFLAMMATION
1. Alteration in vascular flow and caliber
2 Alteration in permeability
3 Emigration of leukocytes from microcirculation ,their
accumulation in focus and their activation
VASCULAR CHANGES
Vasodilation – earliest manifestation
-mediated by histamine and nitric oxide
Increased permeability of
microvasculature
Escape of protein rich fluid from blood
into extra vascular space leading to edema
Outcome- stasis ( cause neutrophils to
accumulate along the vascular
endothelium)
MECHANISM OF INCREASED VASCULARPERMEABILITY
•Contraction of endothelial cells
•Endothelial injury
•Transcytosis
C
CELLULAR CHANGES
Leukocytes recruitment:
•Margination
•Rolling
•Adhesion
•Migration across endothelium
•Chemotactic movement
phagocytosis
MARGINATION-
 It is the process of redistribution of leukocytes along the
periphery of endothelial wall
In normal blood flow the red cells are confined to central
axial column
Central stream consist of RBC and leukocytes surrounded by
cell free peripheral layer of plasma
During inflammation the rate of blood flow is increased due
to vasodilation but subsequently there is stasis of blood stream
This leads to change in normal axial blood flow in micro
circulation due to which central stream of cell widens and
peripheral plasma zone becomes narrower because of loss of
plasma by exudation leads to margination
Rolling-
Initial transient attachment and detachment of
leukocytes to the endothelium
Thus the leukocyte appears to roll along the vessel
wall
•Mediated by selectins – 3 types
•E seletin –present on the surface of endothelium
•P selectin –found on platelets and surface of
endothelium
•L selectin-found on surface of leukocyte
MECHANISM
•Locally produced cytokines(IL-1, TNF) and other
mediators activate endothelial cells which expresses
the selectin molecules present on the surface of
endothelium
•Usually takes 1 to 2 hours
ADHESION
Rolling leukocytes bind more firmly to the
endothelium
•Mediated by integrins (transmembrane heterodimeric
glycoprotein)
•MECHANISM
•Chemokines act on rollong leukocytes
•Low affinity state integrins is converted in high
affinity state
•Result in firm adhesion due to reorganization of
cytoskeleton of integrins
TRANSMIGRATTION
•It is the migration of leukocytes through the
endothelium .
•It is also called as diapedesis.
•Occurs mainly in post capillary venule.
•Mediated by chemokines and platelet endothelial cell
adhesion molecules which stimulate the cell to migrate
through inter endothelail space towards the site of
injury.
•After traversing the endothelium , leukocytes pierce the
basement membrane by secreting enzyme collagenase
and enter the extra vascular site.
CHEMOTAXIS
It is the process of movement of leukocytes toward the site of injury
after entering into the extra vascular space
CHEMOATTRACTANTS
 Exogenous- bacterial products
 Endogenous- cytokines IL-8, complement system component C5a
, arachidonic acid metabolites
These chemotactic agent bind to a specific transmembrane G protein
coupled receptor present on the surface of leukocytes which induces
signal and result in activation of second messenger.
The net result is that leukocytes migrate toards the inflammatory
stimulus in the direction of locally produced chemoatractants.
PHAGOCYTOSIS
•It is the process of engulfment of solid particulate
material by the cell.
•Two main types of phagocytes are PMNs and
macrophage
•Involve three sequential steps :
1. Recognition and attachment of particles to be
ingested
2. Engulfment by forming phagocytic vacuole
3. Killing or degradation of the ingested material
1.RECOGNITION AND ATTACHMENT :
Phagocytic Receptor present on the cell surface of phagocytic cell
help to detect harmful substances
1. Mannose receptors-It is a lectin that binds with mannose and
fucose residue of glycoproteins present in microbial cell wall.
2. Scavanger receptor-It binds and mediate endocytosis of oxidised
and acetylated LDL along with varieties of microbes
3. Opsonin receptor-It establish a bond between microorganism and
the cell membrane of phagocytic cell.
The major opsonins are :
 IgG Ab
 C3b breakdown product of complement
 Mannose binding lectins
2. ENGULFMENT
• After the particle is bound to phagocytic
receptors,extension of cytoplasm flow around
it and plasma membrane pinches off to form
vesicle called phagosome that encloses the
particle
• Afterward lysosome fuses with phagosome
resulting in discharge of granules contents into
phagolysosome .
3.KILLING AND DEGRDATION
•It is acomplished by reactive oxygen species ,
reactive nitrogen species and lysomal enzymes
•All these mechanism are normally sequestered in
lysosome
TWO MECHANISM:
a) Intracellular
b) Extracellular
MEDIATORS OF INFLAMMATION
•These are the substances that initiate and regulate
inflammatory reaction
•They can be either :
1. C ell derived
2. Plasma derived
CHARACTERSTICS:
 Released in response to certain stimuli
 One mediators can stimulate the release of other
mediators
 They are short lived
OUTCOMES OF ACUTE INFLAMMATION
Typically have three outcome :
1. Complete resolution
2. Healing by connective tissue replacement
3. Progression to chronic inflammation
CHRONIC INFLAMMATION
Chronic inflammation is a response of prolonged
duration weeks or months in which
inflammation , tissue injury and attempts at
repair coexist in varying combination
CAUSES OF CHRONIC INFLAMMATION
 Persistent infections by microorganism –
mycobacterium ,certain viruses, fungi,
parasite
 Prolonged exposure to potentially toxic agents
either exogenous and endogenous
 Hypersensitivity disease
 Following acute inflammation
MORPHOLOGIC FEATURES
Infiltration with mononuclear cells: macrophages
, lymphocytes, and plasma cells
Tissue destruction
Attempts at healing by connective tissue
replacement
Angiogenesis
Fibrosis
CELLS AND MEDIATORS OF CHRONIC
INFLAMMATION
1) Macrophages:
 Dominant cell of chronic inflammation
 Initiates tissue repair
 Secrete inflammatory mediators (IL-1, TNF)
 Displace Ag to T lymphocytes
 Response to signal from T lymphocytes
 ACTIVATION OF MACROPHAGES: 2 MAJOR
PATHWAYS
 Clasically activated
 Alternatively activated
2) Lymphocytes :
Microbes and other environmental antigens
activate T and B lymphocyte
Secretes cytokines ,CD4+T lymphocytes promote
inflammation and influence nature of
inflammatory reactions
3) Other cells:
Eosinophils :
Are abdunant in immune reaction mediated by IgE and in
parasitic infections
 They have granules that contain major basic protein a highly
cationic protein which are toxic to parasite but also cause lysis of
mammalian epithelail cell
Mast cell:
 participate in both acute and chronic inflammation
Express surface receptors that bind to Fc portion of IgE
Result in degranulation of cell which causes release of mediators
Neutrophils :
Characterstic of acute inflammation
May be seen in chronic inflammation lasting for months
GRANULOMATUS INFLAMMATION
Granulomatous inflammation is a form of chronic
inflammation characterised by collection of
macrophages, often with T lymphocytes and
sometimes associated with central necrosis.
Granuloma : It is a focus of chronic inflammation
consisting of microscopic aggregation of macrophages
that are transformed into epithelium like cell
,surrounded by collar of mononuclear leukocytes
,principally lymphocytes and ocassionally plasma cell.
Types of granuloma:
1. Foreign body
2. Immune granuloma
COMPONENTS OF GRANULOMA:
EPITHELOID CELLS
MULTINUCLEATED GIANT CELLS
LYMPHOID CELLS
NECROSIS
FIBROSIS
DISEASE ASSOCIATED WITH GRANULOMATOUS
INFLAMMATION
•TUBERCULOSIS
•LEPROSY
•SYPHILIS
•CAT-SCRATCH
•SARCODOSIS
•CROHNS DISEASE
SYSTEMIC EFFECT OF INFLAMMATION
Fever
It is the most important manifestation of acute
phase response especially when inflammation is
associated with infection.
Mediated by IL-1 and TNF
Anemia
Leukocytosis- common in bacteria induced
inflammation
ESR elevated in all cases of chronic inflammation
CLINICAL EXAMPLES OF ACUTE AND CHROINIC INFLAMMATION
1.ACUTE SKIN INFLAMMATION
2.APPENDICITIS
3.BACTERIAL BRONCHOPNEUMONIA
4.CHRONIC GASTRIC ULCER
ACUTE INFLAMMATION
CHRONIC INFLAMMATION
1. TUBERCULOUS GRANULOMA
2. CHRONIC PANCREATITIS WITH FIBROSIS
3. PULMONARY SILICOCSIS
4. RHEUMATOID ARTHRITIS
CLINICAL ASPECT
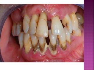
Gingivitis:
It is an inflammation of the gums ,usually caused by
bacterial infections
If left untreated it can become more serious infection
called periodontistis
Gingivitis and periodontitis are major cause of tooth
loss in adult
The most common form of periodontal disease is in
response to bacterial biofilm ( plaque)attached to tooth
surfaces.
Periodontitis :
It is a serious gum infection that damage the soft tissue
and bone that support the tooth.
The alveolar bone around the teeth is slowly and
progressively lost.
Microorganism stick to the surface of the tooth and
multiply.
Bacterial plaque,a sticky, colorless membrane that
developes over the surface of teeth is the most common
cause.
Symptoms:
•Swollen gums
•Gingival recession
•Bleeding gingiva
•Bad breath
PULPITIS:
It is the inflammation of the dental pulp due to
deep cavities, trauma or extensive dental repair
May be reversible or irreversible
Reversible pulpitis :
 It is the condition where the pulp is inflamed
and is actively responding to an irritant
Symptoms include: transient pain or
sensitivity resulting from hot cold stimuli,
sweet, touch.
The pulp returns to normal healthy state on
removal of irritant
Irreversible pulpitis
Pulp is irreversibly damaged.
Pulp cant recover from damage and insult
Pulp become necrotic
RCT or extraction is needed.
Reference
Robins and Cotran Basic Pathology,
south Asian edition
Inflammation

Inflammation

  • 1.
  • 2.
    CONTENTS •Introduction to Inflammation •Goalsof inflammation •Causes of Inflammation •Cardinal signs of inflammation •Steps of inflammation •Acute and Chronic inflammation •Events in acute inflammation •Chemical mediators in Inflammation •Chronic Inflammation •Clinical Aspect CONTENTS
  • 3.
    INFLAMMATION Response of vascularizedtissue to infection and damaged tissue that brings cells and molecules of host defence from the circulation to the sites where they are needed in order to eliminate the offending agent
  • 4.
    Goals of Inflammation •Toget rid of initial cause of cell injury. •To get rid of consequences of injury. •To prevent other organ system damage •Initiate the process of repair
  • 5.
    Cardinal signs ofInflammation 1.Rubor- Redness. 2.Tumor-Swelling. 3.Calor-Heat 4.Dollar-pain 5.Loss of function(functio laesa)
  • 6.
    CAUSES OF INFLAMMATION 1.Infection- bacterial,viral,fungal,parasitic,microbial toxic 2.TissueNecrosis 3.Foreign Body-dirt,splinters,sutures 4.Immune Reaction
  • 7.
    STEPS OF INFLAMMATION 1.Recognitionof injurious agent 2.Recruitment of leukocytes 3.Removal of the agent 4.Regulation of response 5.Resolution/Repair
  • 8.
    TYPES OF INFLAMMATION 1.ACUTEINFLMMATION 2.CHRONIC INFLAMMATION
  • 9.
    ACUTE INFLAMMATION Rapid onset Shortduration Subsides when goals are fulfilled
  • 10.
    ACUTE  Fast:min tohrs  Neutrophils  Mild self limited  prominent CHRONIC  slow: days  Monocytes macrophages and lymphocytes  Sever and progressive  Less prominent FEATURES  Onset Cellular infiltrate Tissue injury Local and systemic signs FEATURES OF ACUTE AND CHRONIC INFLAMMATION
  • 11.
    MAJOR COMPONENTS OFACUTE INFLAMMATION 1. Alteration in vascular flow and caliber 2 Alteration in permeability 3 Emigration of leukocytes from microcirculation ,their accumulation in focus and their activation
  • 12.
    VASCULAR CHANGES Vasodilation –earliest manifestation -mediated by histamine and nitric oxide Increased permeability of microvasculature Escape of protein rich fluid from blood into extra vascular space leading to edema Outcome- stasis ( cause neutrophils to accumulate along the vascular endothelium)
  • 14.
    MECHANISM OF INCREASEDVASCULARPERMEABILITY •Contraction of endothelial cells •Endothelial injury •Transcytosis
  • 16.
  • 18.
    MARGINATION-  It isthe process of redistribution of leukocytes along the periphery of endothelial wall In normal blood flow the red cells are confined to central axial column Central stream consist of RBC and leukocytes surrounded by cell free peripheral layer of plasma During inflammation the rate of blood flow is increased due to vasodilation but subsequently there is stasis of blood stream This leads to change in normal axial blood flow in micro circulation due to which central stream of cell widens and peripheral plasma zone becomes narrower because of loss of plasma by exudation leads to margination
  • 19.
    Rolling- Initial transient attachmentand detachment of leukocytes to the endothelium Thus the leukocyte appears to roll along the vessel wall •Mediated by selectins – 3 types •E seletin –present on the surface of endothelium •P selectin –found on platelets and surface of endothelium •L selectin-found on surface of leukocyte MECHANISM •Locally produced cytokines(IL-1, TNF) and other mediators activate endothelial cells which expresses the selectin molecules present on the surface of endothelium •Usually takes 1 to 2 hours
  • 20.
    ADHESION Rolling leukocytes bindmore firmly to the endothelium •Mediated by integrins (transmembrane heterodimeric glycoprotein) •MECHANISM •Chemokines act on rollong leukocytes •Low affinity state integrins is converted in high affinity state •Result in firm adhesion due to reorganization of cytoskeleton of integrins
  • 21.
    TRANSMIGRATTION •It is themigration of leukocytes through the endothelium . •It is also called as diapedesis. •Occurs mainly in post capillary venule. •Mediated by chemokines and platelet endothelial cell adhesion molecules which stimulate the cell to migrate through inter endothelail space towards the site of injury. •After traversing the endothelium , leukocytes pierce the basement membrane by secreting enzyme collagenase and enter the extra vascular site.
  • 22.
    CHEMOTAXIS It is theprocess of movement of leukocytes toward the site of injury after entering into the extra vascular space CHEMOATTRACTANTS  Exogenous- bacterial products  Endogenous- cytokines IL-8, complement system component C5a , arachidonic acid metabolites These chemotactic agent bind to a specific transmembrane G protein coupled receptor present on the surface of leukocytes which induces signal and result in activation of second messenger. The net result is that leukocytes migrate toards the inflammatory stimulus in the direction of locally produced chemoatractants.
  • 23.
    PHAGOCYTOSIS •It is theprocess of engulfment of solid particulate material by the cell. •Two main types of phagocytes are PMNs and macrophage •Involve three sequential steps : 1. Recognition and attachment of particles to be ingested 2. Engulfment by forming phagocytic vacuole 3. Killing or degradation of the ingested material
  • 24.
    1.RECOGNITION AND ATTACHMENT: Phagocytic Receptor present on the cell surface of phagocytic cell help to detect harmful substances 1. Mannose receptors-It is a lectin that binds with mannose and fucose residue of glycoproteins present in microbial cell wall. 2. Scavanger receptor-It binds and mediate endocytosis of oxidised and acetylated LDL along with varieties of microbes 3. Opsonin receptor-It establish a bond between microorganism and the cell membrane of phagocytic cell. The major opsonins are :  IgG Ab  C3b breakdown product of complement  Mannose binding lectins
  • 26.
    2. ENGULFMENT • Afterthe particle is bound to phagocytic receptors,extension of cytoplasm flow around it and plasma membrane pinches off to form vesicle called phagosome that encloses the particle • Afterward lysosome fuses with phagosome resulting in discharge of granules contents into phagolysosome .
  • 27.
    3.KILLING AND DEGRDATION •Itis acomplished by reactive oxygen species , reactive nitrogen species and lysomal enzymes •All these mechanism are normally sequestered in lysosome TWO MECHANISM: a) Intracellular b) Extracellular
  • 28.
    MEDIATORS OF INFLAMMATION •Theseare the substances that initiate and regulate inflammatory reaction •They can be either : 1. C ell derived 2. Plasma derived CHARACTERSTICS:  Released in response to certain stimuli  One mediators can stimulate the release of other mediators  They are short lived
  • 30.
    OUTCOMES OF ACUTEINFLAMMATION Typically have three outcome : 1. Complete resolution 2. Healing by connective tissue replacement 3. Progression to chronic inflammation
  • 32.
    CHRONIC INFLAMMATION Chronic inflammationis a response of prolonged duration weeks or months in which inflammation , tissue injury and attempts at repair coexist in varying combination
  • 33.
    CAUSES OF CHRONICINFLAMMATION  Persistent infections by microorganism – mycobacterium ,certain viruses, fungi, parasite  Prolonged exposure to potentially toxic agents either exogenous and endogenous  Hypersensitivity disease  Following acute inflammation
  • 34.
    MORPHOLOGIC FEATURES Infiltration withmononuclear cells: macrophages , lymphocytes, and plasma cells Tissue destruction Attempts at healing by connective tissue replacement Angiogenesis Fibrosis
  • 35.
    CELLS AND MEDIATORSOF CHRONIC INFLAMMATION 1) Macrophages:  Dominant cell of chronic inflammation  Initiates tissue repair  Secrete inflammatory mediators (IL-1, TNF)  Displace Ag to T lymphocytes  Response to signal from T lymphocytes  ACTIVATION OF MACROPHAGES: 2 MAJOR PATHWAYS  Clasically activated  Alternatively activated
  • 37.
    2) Lymphocytes : Microbesand other environmental antigens activate T and B lymphocyte Secretes cytokines ,CD4+T lymphocytes promote inflammation and influence nature of inflammatory reactions
  • 38.
    3) Other cells: Eosinophils: Are abdunant in immune reaction mediated by IgE and in parasitic infections  They have granules that contain major basic protein a highly cationic protein which are toxic to parasite but also cause lysis of mammalian epithelail cell Mast cell:  participate in both acute and chronic inflammation Express surface receptors that bind to Fc portion of IgE Result in degranulation of cell which causes release of mediators Neutrophils : Characterstic of acute inflammation May be seen in chronic inflammation lasting for months
  • 39.
    GRANULOMATUS INFLAMMATION Granulomatous inflammationis a form of chronic inflammation characterised by collection of macrophages, often with T lymphocytes and sometimes associated with central necrosis. Granuloma : It is a focus of chronic inflammation consisting of microscopic aggregation of macrophages that are transformed into epithelium like cell ,surrounded by collar of mononuclear leukocytes ,principally lymphocytes and ocassionally plasma cell. Types of granuloma: 1. Foreign body 2. Immune granuloma
  • 40.
    COMPONENTS OF GRANULOMA: EPITHELOIDCELLS MULTINUCLEATED GIANT CELLS LYMPHOID CELLS NECROSIS FIBROSIS DISEASE ASSOCIATED WITH GRANULOMATOUS INFLAMMATION •TUBERCULOSIS •LEPROSY •SYPHILIS •CAT-SCRATCH •SARCODOSIS •CROHNS DISEASE
  • 42.
    SYSTEMIC EFFECT OFINFLAMMATION Fever It is the most important manifestation of acute phase response especially when inflammation is associated with infection. Mediated by IL-1 and TNF Anemia Leukocytosis- common in bacteria induced inflammation ESR elevated in all cases of chronic inflammation
  • 43.
    CLINICAL EXAMPLES OFACUTE AND CHROINIC INFLAMMATION 1.ACUTE SKIN INFLAMMATION 2.APPENDICITIS 3.BACTERIAL BRONCHOPNEUMONIA 4.CHRONIC GASTRIC ULCER ACUTE INFLAMMATION CHRONIC INFLAMMATION 1. TUBERCULOUS GRANULOMA 2. CHRONIC PANCREATITIS WITH FIBROSIS 3. PULMONARY SILICOCSIS 4. RHEUMATOID ARTHRITIS
  • 44.
    CLINICAL ASPECT Gingivitis: It isan inflammation of the gums ,usually caused by bacterial infections If left untreated it can become more serious infection called periodontistis Gingivitis and periodontitis are major cause of tooth loss in adult The most common form of periodontal disease is in response to bacterial biofilm ( plaque)attached to tooth surfaces.
  • 46.
    Periodontitis : It isa serious gum infection that damage the soft tissue and bone that support the tooth. The alveolar bone around the teeth is slowly and progressively lost. Microorganism stick to the surface of the tooth and multiply. Bacterial plaque,a sticky, colorless membrane that developes over the surface of teeth is the most common cause. Symptoms: •Swollen gums •Gingival recession •Bleeding gingiva •Bad breath
  • 49.
    PULPITIS: It is theinflammation of the dental pulp due to deep cavities, trauma or extensive dental repair May be reversible or irreversible Reversible pulpitis :  It is the condition where the pulp is inflamed and is actively responding to an irritant Symptoms include: transient pain or sensitivity resulting from hot cold stimuli, sweet, touch. The pulp returns to normal healthy state on removal of irritant Irreversible pulpitis Pulp is irreversibly damaged. Pulp cant recover from damage and insult Pulp become necrotic RCT or extraction is needed.
  • 51.
    Reference Robins and CotranBasic Pathology, south Asian edition

Editor's Notes

  • #25 Mannose and fucose residue are absent in mammalian glycoprotein and glycolipid