IMAGING IN
BOWEL ISCHEMIA
MODERATOR : Dr. SHRIDHAR M N
PRESENTER: DR.GANESH GADAG
Anatomy Of Splanchnic Circulation
The splanchnic or mesenteric arteries
comprise
 Celiac artery
 Superior mesenteric artery
 Inferior mesenteric artery
Major collateral circuits

Pancreaticoduodenal
arcade
Celiac
artery
SMA
Arc Of Riolan
SMA
Marginal Artery Of
Drummond
IMA
IMA
SMA
MESENTERIC VEINS
 Superior Mesenteric Vein
 Inferior Mesenteric Vein
Mesenteric Ischemia
Mesenteric ischemia is condition
characterized by inadequate blood flow to
or from the involved mesenteric vessels
supplying a particular segment of bowel
PATHOPHYSIOLOGY :
ISCHEMIC INJURY DEPRIVES O2 AND NUTRITION TO
CELLULAR METABOLISM AND ITS INTACTNESS
↓
DUE TO DECREASED ARTERIAL PRESSURE DISTAL
OBSTUCTION COLLATERALS FORMED
↓
AFTER CRITICAL PERIOD,PERSISTANCE OF ISCHEMIA
VASOCONSTRICTION ↓
INCREASED ARTERIAL PRESSURE WHICH HAMPERS
COLLATERALS
ARTERIAL OCLUSION VENOUS OCLUSION
VASOSPASM AND SUBSEQUENT STASIS AND EDEMA
LOSS OF CELLULAR INTEGRITY
↓ ↓
INTESTINAL NECROSIS AND PERITONITIS
ACUTE BOWEL ISCHEMIA STAGES
STAGE I – REVERSIBLE
LIMITED TO MUCOSA ONLY
STAGE II – EXTENDS SUBMUCOSA AND
MUSCULARIS MUCOSA
STAGE III – TRANSMURAL (HIGH MORTALITY)
VENOUS
OCCLUSION
ARTERIAL
OCCLUSION
Non occlusive
Mesenteric ischemia
Causes-Acute MI
Arterial origin
 Thromboembolism
 Trauma
 Extension of
abdominal aorta
dissection
 Vasculitis
 Arterial compression
/ infiltration.
 Non Occlusive
Ischemia
VENOUS ORIGIN
 Closed loop bowel
obstruction
 Portal hypertension
 Abdominal and pelvic
inflammation
 Hypercoagulable states
 Abdominal surgery
 Renal and cardiac
disease
Clinical features
 Classic triad of acute ischemia includes:
• Abdominal pain (Out of proportion to clinical
signs)
• Pyrexia
• Blood in stools
Imaging Options
 Plain Radiograph
 Ultrasound and Doppler
 Computed tomography
 Angiography
 MRI
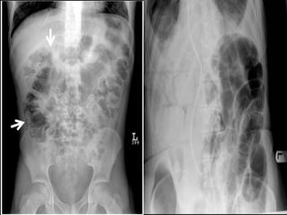
ABDOMINAL PLAIN
RADIOGRAPH
 Gas filled, dilated small bowel loops with air fluid
levels.
 Thumb printing sign (thickening of bowel wall +
valvulae (edema)
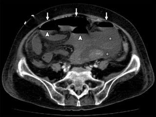
 Pneumatosis intestinalis.
 Mesenteric + portal vein gas
Ultrasound and Doppler
 In patients suspected of acute mesenteric
ischemia do not typically present to vascular
ultrasound due to severity of their symptoms
and urgency of condition.
 It has important role in chronic mesenteric
ischemia
Indirect evidence
 Rarely identification of occlusion of SMA / SMV.
 Dilated bowel loops and bowel wall thickening
 Pneumatosis intestinalis
 Air in portal venous system
Pneumatosis intestinalis
Air within the portal venous system
Mesenteric Vessel Doppler
 It is a noninvasive means with proven value in
detecting mesenteric artery stenosis and
occlusion.
USG & Doppler Findings
 Grey scale evaluation :
- atherosclerotic plaque or thrombus at the site of stenosis /
occlusion.
 Color Doppler :
 Luminal narrowing
 Color flow aliasing
 Reversal of flow
 Collateral vessels
Normal wave form patterns
 High resistance flow with low diastolic velocities
in fasting state characterize SMA & IMA.
 Low resistance flow with high end diastolic
velocities characterize celiac artery.
Normal velocities
Range of normal blood flow velocities in
 Celiac artery : 98 – 105 cm/sec
 SMA : 97 – 142 cm/sec
 IMA : 93 -189 cm/sec
 Widely accepted criteria are based on the
PSV measurements of mesenteric arteries
 Pulsed Doppler :
Elevated velocities
 PSV of > 200 cm/sec in celiac artery
 PSV of > 275 cm/sec in SMA are predictive of
stenosis of 70% or more.
 Mesenteric : Aortic ratio greater than 3 is
associated with hemodynamically significant
stenosis .
Aliasing artifact with high
grade velocity of 456 cm/sec
in proximal celiac artery
SMA stenosis with high velocity and
low velocity in post stenotic zone
Computed tomography
 CT is the primary imaging modality, and it
has been proven to be highly accurate in
the diagnosis of mesenteric ischemia
 Sometimes depict the underlying etiology
 MDCT is useful in patients with suspected ischemia
because it can :-
 help detect ischemic changes in the affected small
bowel loops and mesentery and
 help determine the cause of the ischemia by allowing
evaluation of the mesenteric vasculature.
• MPR
• CT angiograms
• MIP
• VR
• TTP
• Arterial: 35-40 s
• Venous:60 s
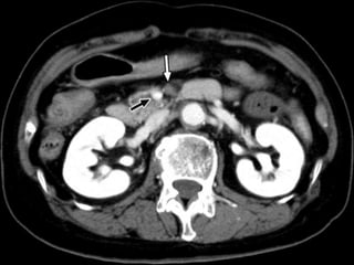
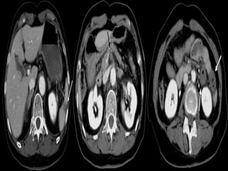
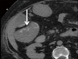
CT Scan Findings In Mesenteric
Ischemia
Specific CT signs
 Thromboembolism in the mesenteric
vessels
 Lack of bowel enhancement
 Circumferential bowel wall thickening:
-Target sign
 Intramural gas
 Portal vein gas
 Focal / diffuse bowel dilatation
 Bowel obstruction
 Increased attenuation of mesenteric fat (edema)
 Vascular engorgement
 Variable enhancement pattern
 Ascites
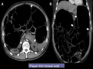
Nonspecific CT signs
Signs of bowel gangrene:
 Large amount of intraperitoneal fluid
 Gas in the mesenteric / portal vessels
 Intramural gas
 Thinned bowel wall with poor or absent
enhancement
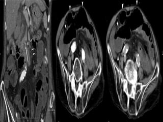
Paper thin bowel wall
White attenuation Grey attenuation
Water target sign Pneumatosis intestinalis
SMV THROMBOSIS
ARTERIAL OCLUSIVE ISCHEMIA VENOUS OCLUSIVE ISCHEMIA
SMA THROMBOSIS SMV THROMBOSIS
NO /SUBTLE BOWEL ENHANCEMENT HYPO/HYPERDENSE BOWEL WALL
THINNED BOWEL WALL (PAPER THIN
BOWEL )
SIGNIFICANT BOWEL WALL
THICKENING
NO MUCOSAL ENHANCEMENT MUCOSAL ENHANCEMENT
BOWEL LOOP DILATATION ONLY AFTER
INFARCTION
DILATED BOWEL LOOPS WITHOUT
INFARCTION
LATE STAGES –MESENTERIC FAT
STRANDING,EDEMA/HEMORRHAGES
MARKED FAT STRANDING AND
HEMORRHAGE
Nonocclusive mesenteric ischemia
Systemic low flow state (hypovolemia,
cardiac failure)
Shock bowel
Bowel vasoconstriction
Vasoconstrictor drugs
COLONIC ISCHEMIA:
 MOST COMMON FORM OF INTESTINAL
ISCHEMIA
 COMMON IN 7TH DECADE
 MOST COMMON NONOCLUSIVE
CAUSES LIKE HYPOTENSION STATUS
,VASCULITIS AND OTHER
VASCULOPATHIES
CLINICAL FEATURE:
ABDOMINAL PAIN ,BLOODY DIARRHOEA,
Chronic M I
Etiology
 Atherosclerosis
 Extrinsic compression
 Vasculitis
 Fibromuscular dysplasia
Abdominal Angina
 Intermittent mesenteric ischemia in severe arterial
stenosis with inadequate collateralization
provoked by food ingestion.
 Postprandial abdominal pain (due to "gastric steal"
diverting blood flow away from intestine) .
 Fear of eating large meals .
 Weight loss.
 Malabsorption
Diagnosis of intestinal angina is justified
only if …
 At least two of the major mesenteric arteries
are shown to be occluded
and
 Third artery is narrowed by atheroma.
 CMI-Diagnosis by exclusion
Computed tomography
 Used to for
-screening the patients with suspected
chronic mesenteric ischemia
-Calcified plaque.
-collateral vessels.
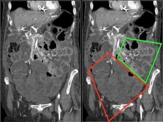
CHRONIC MESENTRIC ISCHEMIA
WITH VASCULAR CALCIFICATION
CHRONIC MESENTRIC ISCHEMIA
WITH VASCULAR COLLATERALS
Angiography
It is the gold standard for
diagnosis of mesenteric vascular
occlusion.
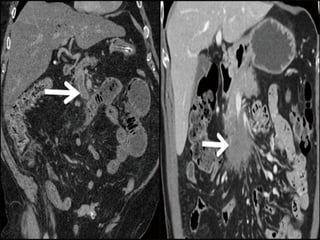
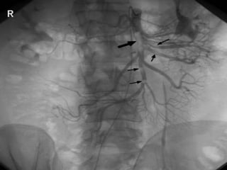
63-year-old woman status post aortic valve replacement who presents with a one
week history of abdominal pain becoming quite severe over the last 24 hours.
Role of interventional radiology
 NOMI-
selective catheter-directed administration of
vasodilating agents
 Catheter directed thrombolysis
 Percutaneous transluminal angioplasty
 Fenestration of the aortic dissection.
Post OP - Diffuse vasospasm
without occlusions.
Post Papaverine infusion
Arteriogram 24 hr later.
Reversal of vasospasm.
ROLE OF MRI
 Current role of MRI is yet to be defined.
 True FISP images is used to assess large
mesenteric vessel occlusion
 MRI has significant problem in detecting
small thromboemboli in peripheral vessels
 Routine use of MRI patients with suspected
mesenteric arterial occlusion may not be
justified
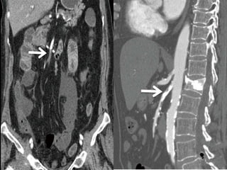
Sagittal subvolume and coronal subvolume MIP images show severe stenosis of
the celiac, superior mesenteric and inferior mesenteric arteries.
REFERENCES :
 GASTROINTESTINAL IMAGING :GORE AND LEVIN
 DIAGNOSTIC IMAGING OF GASTROINTESTINAL
SYSTEM :BERRY
Thank you

Imaging in Bowel ischemia

  • 1.
    IMAGING IN BOWEL ISCHEMIA MODERATOR: Dr. SHRIDHAR M N PRESENTER: DR.GANESH GADAG
  • 2.
    Anatomy Of SplanchnicCirculation The splanchnic or mesenteric arteries comprise  Celiac artery  Superior mesenteric artery  Inferior mesenteric artery
  • 7.
    Major collateral circuits  Pancreaticoduodenal arcade Celiac artery SMA ArcOf Riolan SMA Marginal Artery Of Drummond IMA IMA SMA
  • 10.
    MESENTERIC VEINS  SuperiorMesenteric Vein  Inferior Mesenteric Vein
  • 13.
  • 14.
    Mesenteric ischemia iscondition characterized by inadequate blood flow to or from the involved mesenteric vessels supplying a particular segment of bowel
  • 15.
    PATHOPHYSIOLOGY : ISCHEMIC INJURYDEPRIVES O2 AND NUTRITION TO CELLULAR METABOLISM AND ITS INTACTNESS ↓ DUE TO DECREASED ARTERIAL PRESSURE DISTAL OBSTUCTION COLLATERALS FORMED ↓ AFTER CRITICAL PERIOD,PERSISTANCE OF ISCHEMIA VASOCONSTRICTION ↓ INCREASED ARTERIAL PRESSURE WHICH HAMPERS COLLATERALS
  • 16.
    ARTERIAL OCLUSION VENOUSOCLUSION VASOSPASM AND SUBSEQUENT STASIS AND EDEMA LOSS OF CELLULAR INTEGRITY ↓ ↓ INTESTINAL NECROSIS AND PERITONITIS
  • 17.
    ACUTE BOWEL ISCHEMIASTAGES STAGE I – REVERSIBLE LIMITED TO MUCOSA ONLY STAGE II – EXTENDS SUBMUCOSA AND MUSCULARIS MUCOSA STAGE III – TRANSMURAL (HIGH MORTALITY)
  • 18.
  • 20.
    Causes-Acute MI Arterial origin Thromboembolism  Trauma  Extension of abdominal aorta dissection  Vasculitis  Arterial compression / infiltration.  Non Occlusive Ischemia VENOUS ORIGIN  Closed loop bowel obstruction  Portal hypertension  Abdominal and pelvic inflammation  Hypercoagulable states  Abdominal surgery  Renal and cardiac disease
  • 21.
    Clinical features  Classictriad of acute ischemia includes: • Abdominal pain (Out of proportion to clinical signs) • Pyrexia • Blood in stools
  • 22.
    Imaging Options  PlainRadiograph  Ultrasound and Doppler  Computed tomography  Angiography  MRI
  • 24.
    ABDOMINAL PLAIN RADIOGRAPH  Gasfilled, dilated small bowel loops with air fluid levels.  Thumb printing sign (thickening of bowel wall + valvulae (edema)  Pneumatosis intestinalis.  Mesenteric + portal vein gas
  • 28.
    Ultrasound and Doppler In patients suspected of acute mesenteric ischemia do not typically present to vascular ultrasound due to severity of their symptoms and urgency of condition.  It has important role in chronic mesenteric ischemia
  • 29.
    Indirect evidence  Rarelyidentification of occlusion of SMA / SMV.  Dilated bowel loops and bowel wall thickening  Pneumatosis intestinalis  Air in portal venous system
  • 31.
  • 32.
    Air within theportal venous system
  • 33.
  • 34.
     It isa noninvasive means with proven value in detecting mesenteric artery stenosis and occlusion.
  • 35.
    USG & DopplerFindings  Grey scale evaluation : - atherosclerotic plaque or thrombus at the site of stenosis / occlusion.  Color Doppler :  Luminal narrowing  Color flow aliasing  Reversal of flow  Collateral vessels
  • 36.
    Normal wave formpatterns  High resistance flow with low diastolic velocities in fasting state characterize SMA & IMA.  Low resistance flow with high end diastolic velocities characterize celiac artery.
  • 38.
    Normal velocities Range ofnormal blood flow velocities in  Celiac artery : 98 – 105 cm/sec  SMA : 97 – 142 cm/sec  IMA : 93 -189 cm/sec  Widely accepted criteria are based on the PSV measurements of mesenteric arteries
  • 39.
     Pulsed Doppler: Elevated velocities  PSV of > 200 cm/sec in celiac artery  PSV of > 275 cm/sec in SMA are predictive of stenosis of 70% or more.  Mesenteric : Aortic ratio greater than 3 is associated with hemodynamically significant stenosis .
  • 40.
    Aliasing artifact withhigh grade velocity of 456 cm/sec in proximal celiac artery
  • 41.
    SMA stenosis withhigh velocity and low velocity in post stenotic zone
  • 42.
  • 43.
     CT isthe primary imaging modality, and it has been proven to be highly accurate in the diagnosis of mesenteric ischemia  Sometimes depict the underlying etiology
  • 44.
     MDCT isuseful in patients with suspected ischemia because it can :-  help detect ischemic changes in the affected small bowel loops and mesentery and  help determine the cause of the ischemia by allowing evaluation of the mesenteric vasculature.
  • 45.
    • MPR • CTangiograms • MIP • VR • TTP • Arterial: 35-40 s • Venous:60 s
  • 46.
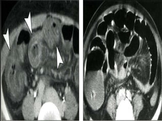
    CT Scan FindingsIn Mesenteric Ischemia Specific CT signs  Thromboembolism in the mesenteric vessels  Lack of bowel enhancement
  • 47.
     Circumferential bowelwall thickening: -Target sign  Intramural gas  Portal vein gas  Focal / diffuse bowel dilatation  Bowel obstruction  Increased attenuation of mesenteric fat (edema)  Vascular engorgement  Variable enhancement pattern  Ascites Nonspecific CT signs
  • 48.
    Signs of bowelgangrene:  Large amount of intraperitoneal fluid  Gas in the mesenteric / portal vessels  Intramural gas  Thinned bowel wall with poor or absent enhancement
  • 49.
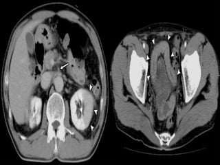
  • 50.
  • 51.
    Water target signPneumatosis intestinalis
  • 65.
  • 70.
    ARTERIAL OCLUSIVE ISCHEMIAVENOUS OCLUSIVE ISCHEMIA SMA THROMBOSIS SMV THROMBOSIS NO /SUBTLE BOWEL ENHANCEMENT HYPO/HYPERDENSE BOWEL WALL THINNED BOWEL WALL (PAPER THIN BOWEL ) SIGNIFICANT BOWEL WALL THICKENING NO MUCOSAL ENHANCEMENT MUCOSAL ENHANCEMENT BOWEL LOOP DILATATION ONLY AFTER INFARCTION DILATED BOWEL LOOPS WITHOUT INFARCTION LATE STAGES –MESENTERIC FAT STRANDING,EDEMA/HEMORRHAGES MARKED FAT STRANDING AND HEMORRHAGE
  • 71.
    Nonocclusive mesenteric ischemia Systemiclow flow state (hypovolemia, cardiac failure) Shock bowel Bowel vasoconstriction Vasoconstrictor drugs
  • 75.
    COLONIC ISCHEMIA:  MOSTCOMMON FORM OF INTESTINAL ISCHEMIA  COMMON IN 7TH DECADE  MOST COMMON NONOCLUSIVE CAUSES LIKE HYPOTENSION STATUS ,VASCULITIS AND OTHER VASCULOPATHIES CLINICAL FEATURE: ABDOMINAL PAIN ,BLOODY DIARRHOEA,
  • 79.
    Chronic M I Etiology Atherosclerosis  Extrinsic compression  Vasculitis  Fibromuscular dysplasia
  • 80.
    Abdominal Angina  Intermittentmesenteric ischemia in severe arterial stenosis with inadequate collateralization provoked by food ingestion.  Postprandial abdominal pain (due to "gastric steal" diverting blood flow away from intestine) .  Fear of eating large meals .  Weight loss.  Malabsorption
  • 81.
    Diagnosis of intestinalangina is justified only if …  At least two of the major mesenteric arteries are shown to be occluded and  Third artery is narrowed by atheroma.  CMI-Diagnosis by exclusion
  • 83.
    Computed tomography  Usedto for -screening the patients with suspected chronic mesenteric ischemia -Calcified plaque. -collateral vessels.
  • 85.
    CHRONIC MESENTRIC ISCHEMIA WITHVASCULAR CALCIFICATION CHRONIC MESENTRIC ISCHEMIA WITH VASCULAR COLLATERALS
  • 86.
  • 87.
    It is thegold standard for diagnosis of mesenteric vascular occlusion.
  • 90.
    63-year-old woman statuspost aortic valve replacement who presents with a one week history of abdominal pain becoming quite severe over the last 24 hours.
  • 92.
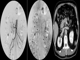
    Role of interventionalradiology  NOMI- selective catheter-directed administration of vasodilating agents  Catheter directed thrombolysis  Percutaneous transluminal angioplasty  Fenestration of the aortic dissection.
  • 93.
    Post OP -Diffuse vasospasm without occlusions. Post Papaverine infusion Arteriogram 24 hr later. Reversal of vasospasm.
  • 98.
  • 99.
     Current roleof MRI is yet to be defined.  True FISP images is used to assess large mesenteric vessel occlusion  MRI has significant problem in detecting small thromboemboli in peripheral vessels  Routine use of MRI patients with suspected mesenteric arterial occlusion may not be justified
  • 100.
    Sagittal subvolume andcoronal subvolume MIP images show severe stenosis of the celiac, superior mesenteric and inferior mesenteric arteries.
  • 102.
    REFERENCES :  GASTROINTESTINALIMAGING :GORE AND LEVIN  DIAGNOSTIC IMAGING OF GASTROINTESTINAL SYSTEM :BERRY
  • 103.