Hypertensive crisis
D ODAY ABDOW
Damascus hospital
25/4/2018
Hypertension
Affecting 75 million people in USA and 1
billion worldwide, hypertension remains the
most common, readily identifable, and
reversible risk factor for MI ,stroke, heart
failure, AF, aortic dissection, and PAD.
The prevalence of hypertension among U.S.
adults is substantially higher when the
definition in the present guideline is used
versus the JNC 7 definition
(46% versus 32%)
Urgency VS emergency
Hypertensive emergencies: defined as severe
elevation in BP(>180/120mmHG)associated
with evidence of new or worsening target
organ damage( acute TOD).
Hypertensive urgencies: sever BP elevation
without acute TOD.
The 1-year death rate associated with
hypertensive emergencies is >79% and
the median survival is 10,4 months if
the emergency is left untreated
Conditions that may precipitate
hypertensive crisis
 Non adherence to antihypertensive treatment
 Reno vascular disease
 Collagene vascular disease and vasculitis (classically scleroderma )
Pregnancy (Preeclampsia)
Rebound hypertension :sudden withdrawal of antihypertensive
agents such as clonidine and beta blockers
Acute increase in sympathetic activity:
- Pheochromocytoma
-Use of sympathomemitic drugs(cocaine ,amphetamines
,phenocyclidine ,lysergic acid diethylamide(LSD), teramine interaction
with MAO inhibitors
-Perioperative status
TOD
Subclinical Target Organ Damage
Left ventricular hypertrophy
Carotid wall thickening or plaque
Low estimated glomerular filtration rate ≤ 60
ml/min /1.73 m2
Microalbuminuria
Ankle-brachial index<0.9
Acute Target Organ Damage
• Hypertensive encephalopathy
• Intracranial hemarrhage(intracerebral or subarachnoid)
or ischemic stroke
• Acute coronary syndrome(myocardial
infarction,unstable angina)
• Acute left ventricular failure with pulmonary edema
• Acute aortic dissection
• Renal empairment
• Advanced retinopathy (hemorrhages , exudates or
papilledema)
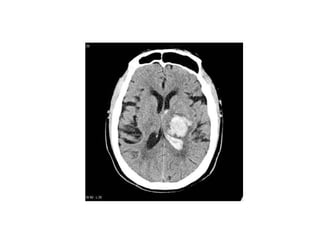
Hypertensive encephalopathy
-This condition is related to cerebral edema and
charactarized by headache ,nausea,and vomiting
followed by nonlocalizing symptoms such as
restlessness ,confusion ,seizures ,and coma.
-Although these insidious neurologic symptoms
differ from abrupt onset of focal neurologic
symptoms typically seen with a stroke or
hemorrhage an MRI should be obtained to
exclude stroke or hemorrhage
Magnetic resonance imaging
may reveal edema of the white
matter of the parieto-occipital
regions a finding termed :
reversible posterior
leukoencephalopathy
Cerebral autoregulation
Autoregulatory mechanisms maintain
blood flow at near-constant levels
despite fluctuations in blood pressure
The cardiovascular equivalent to
Ohm‘s law in physics is that blood
flow is equal to pressure divided by
resistance, constant blood flow is
maintained by parallel changes in
these two parameters(flow=P/R)
Encephalopathy occurs when BP exceeds
the upper limit of cerebral autoregulation
which normally maintains cerebral blood
flow constant over a range of mean arterial
pressure from 60-150mm HG
In those with chronic hypertension, the
autoregulatory curve shifts to the right to
defend against a higher level of BP,
but this adjustment makes patients
vulnerable to cerebral underperfusion if
BP is lowered too quickly into the
normotensive range
Cerebral autoregulation curve
Clinical evaluation
A focused history should be obtained especially
regarding:
 headaches,seizures,mental status changes
 chest pain,shortness of breath
 change in urination, development of edema
Physical examination
-A Cardiovascular exam should document
radial,femoral,and carotid pulses because
any pulse deficits should raise the
suspesion of aortic dissection
-Thorough Neurological
examination(including mental status)
-A standardized sphygmomamometer with
appropriate sized cuff should be used
-Many automated BP monitors are inacurate
at very high levels
All patients should have a funduscopic
examination by an experienced clinician
looking carefully for
hemorrhages,exudates,and/or papilledema
investigations
• ECG, CXR (chest pain or dysnea)
• MRI,CT scan of the head(change in mental
status or acute neurological signs indicative of
enceplalopathy/ischemia/intra cranial
hemorrhage)
• TTE,TOE,CT with contrast of the aorta
(dissection)
Laboratory evaluation should include:
- CBC, peripheral semear tol look for
schistocytes(indicative of microangiopathic
hemolytic anemia)
- Urea,creatinine,electrolytes
- Urinalysis(RBC cells and RBC casts typical of
acute glumerolar/tubular disease)
Management
Sodium nitroprusside
-Dilate both arterioles and veins
-Nitrovasodilator that provide nitric
oxide and induce vasodilatation via
generation of cyclic GMP
-Initial dose 0,3-0,5 mcg/kg/min
increase by increments of 0,5
mcg/kg/min to achieve BP target
-Maximum dose 10mcg /kg/min
-Duration of treatment as short as
possible
-Onset of action <2 min
-Cyanid toxicity with prolonged use
can result in irreversible
neurologicalchanges and cardiac
arrest
-Hepatic impairment>>cyanide
toxicity
-Renal impairement>>thiocyanate
toxicity
Labetalol
Alpha1 and nonselective beta
adrenergic antagonist
Onset of action: 5-10 min
Duration of action: 3-6 hours
Dosage: Infusion 0,3-1
mg/kg/dose slow IV injection
every 10min (max 20mg)or 0.4-
1mg/kg/h IV infusion up
to3mg/kg/h (total cumulative
dose 300mg)this dose can be
repeated every 4-6 hour
especially useful in hyper
adrenergic states, aortic
dissection, preeclampsia
contraindications: reactive
airways disease , second and
third degree AV block,
bradyycardia, may worsen HF
Nitroglycerine
-Initial dose 5mcg/min, increase in
increments of 5 mcg/min every 3-5 min
to a maximum of 20mcg/min
- Use only in patients with acute coronary
syndrome or pulmonary edema ,don’t
use in volume depleted patients
Nitrate:Mechanism of action
Other agents
-CCB dihydropyridines(nicardipine,clevidipine)
-Direct vasodilators(hydralazine)
-Adrenergic alpha receptor
antagonist(phentolamine)
-Dopamine1 receptor selective
agonist(fenoldopam)
ACEinhibitor(enalaprilat)
-beta blocker(esmolol)
Acute coronary syndrome
-Bp should be lowered with intravenous
nitroglycerine after administration of a beta
blocker such as iv metoprolol or esmolol to
prevent reflex tachycardia
-Nitroprusside can cause coronary steal and
should be avoided
-Hypotension must be avoided to prevent
infarct extension
Aortic dissection
-The initial aim of medical therapy of patients with
acute aortic dissection is to decrease both BP and
shear stress on the torn aorta
-Short acting easily titratable beta blockers such as
esmolol and labetalol are most commonly
recommended ,if a beta blocker is contraindicated
deltiazem can be used
-it is recommended to reduces SBP to less than 120
mmHG during the first hour,Nitroprusside can be
used with beta blocker to achieve this goal
preeclampsia
-hypertension can be managed by
Labetalol , hydralazine,or nicardipine
-ACEI,ARBs,Nitroprusside are
contraindicated in pregnancy,
Nitroprusside may cause cyanide
poisoning of the fetus
Adrenergic crisis
-Pheochromocytoma crisis should be treated acutely
with phentolamine followed by a beta blocker
- Clonidine withdrawal can be aborted by
reintoduction od this agent
-Cocaine or methamphetamine – induced acute
hypertension should be treated with benzodiazepines
followed by phentolamine
Perioperative hypertension
-Bp ≤160/90 mmHG or SBP elevation ≤20% of
the preoperative value that persists for >15min
Most frequently seen during anesthesia
induction or airway manipulation
-Prefered drugs are
(nitroglycerinem,esmolol,clevidipine
,nicardipine)
references
-BRAUNWALD’S heart disease 10th edition
-2017 AHA/ACC guideline for hypertension
-Manual of cardiovascular medicine
-Hypertension (a companion to Brauwald’s
heart disease- third edition)

Hypertensive emergencies

  • 1.
    Hypertensive crisis D ODAYABDOW Damascus hospital 25/4/2018
  • 2.
    Hypertension Affecting 75 millionpeople in USA and 1 billion worldwide, hypertension remains the most common, readily identifable, and reversible risk factor for MI ,stroke, heart failure, AF, aortic dissection, and PAD.
  • 4.
    The prevalence ofhypertension among U.S. adults is substantially higher when the definition in the present guideline is used versus the JNC 7 definition (46% versus 32%)
  • 6.
    Urgency VS emergency Hypertensiveemergencies: defined as severe elevation in BP(>180/120mmHG)associated with evidence of new or worsening target organ damage( acute TOD). Hypertensive urgencies: sever BP elevation without acute TOD.
  • 7.
    The 1-year deathrate associated with hypertensive emergencies is >79% and the median survival is 10,4 months if the emergency is left untreated
  • 8.
    Conditions that mayprecipitate hypertensive crisis  Non adherence to antihypertensive treatment  Reno vascular disease  Collagene vascular disease and vasculitis (classically scleroderma ) Pregnancy (Preeclampsia) Rebound hypertension :sudden withdrawal of antihypertensive agents such as clonidine and beta blockers Acute increase in sympathetic activity: - Pheochromocytoma -Use of sympathomemitic drugs(cocaine ,amphetamines ,phenocyclidine ,lysergic acid diethylamide(LSD), teramine interaction with MAO inhibitors -Perioperative status
  • 9.
  • 10.
    Subclinical Target OrganDamage Left ventricular hypertrophy Carotid wall thickening or plaque Low estimated glomerular filtration rate ≤ 60 ml/min /1.73 m2 Microalbuminuria Ankle-brachial index<0.9
  • 11.
    Acute Target OrganDamage • Hypertensive encephalopathy • Intracranial hemarrhage(intracerebral or subarachnoid) or ischemic stroke • Acute coronary syndrome(myocardial infarction,unstable angina) • Acute left ventricular failure with pulmonary edema • Acute aortic dissection • Renal empairment • Advanced retinopathy (hemorrhages , exudates or papilledema)
  • 17.
    Hypertensive encephalopathy -This conditionis related to cerebral edema and charactarized by headache ,nausea,and vomiting followed by nonlocalizing symptoms such as restlessness ,confusion ,seizures ,and coma. -Although these insidious neurologic symptoms differ from abrupt onset of focal neurologic symptoms typically seen with a stroke or hemorrhage an MRI should be obtained to exclude stroke or hemorrhage
  • 19.
    Magnetic resonance imaging mayreveal edema of the white matter of the parieto-occipital regions a finding termed : reversible posterior leukoencephalopathy
  • 20.
    Cerebral autoregulation Autoregulatory mechanismsmaintain blood flow at near-constant levels despite fluctuations in blood pressure
  • 21.
    The cardiovascular equivalentto Ohm‘s law in physics is that blood flow is equal to pressure divided by resistance, constant blood flow is maintained by parallel changes in these two parameters(flow=P/R)
  • 22.
    Encephalopathy occurs whenBP exceeds the upper limit of cerebral autoregulation which normally maintains cerebral blood flow constant over a range of mean arterial pressure from 60-150mm HG
  • 24.
    In those withchronic hypertension, the autoregulatory curve shifts to the right to defend against a higher level of BP, but this adjustment makes patients vulnerable to cerebral underperfusion if BP is lowered too quickly into the normotensive range
  • 25.
  • 26.
    Clinical evaluation A focusedhistory should be obtained especially regarding:  headaches,seizures,mental status changes  chest pain,shortness of breath  change in urination, development of edema
  • 27.
    Physical examination -A Cardiovascularexam should document radial,femoral,and carotid pulses because any pulse deficits should raise the suspesion of aortic dissection -Thorough Neurological examination(including mental status)
  • 28.
    -A standardized sphygmomamometerwith appropriate sized cuff should be used -Many automated BP monitors are inacurate at very high levels
  • 33.
    All patients shouldhave a funduscopic examination by an experienced clinician looking carefully for hemorrhages,exudates,and/or papilledema
  • 34.
    investigations • ECG, CXR(chest pain or dysnea) • MRI,CT scan of the head(change in mental status or acute neurological signs indicative of enceplalopathy/ischemia/intra cranial hemorrhage) • TTE,TOE,CT with contrast of the aorta (dissection)
  • 35.
    Laboratory evaluation shouldinclude: - CBC, peripheral semear tol look for schistocytes(indicative of microangiopathic hemolytic anemia) - Urea,creatinine,electrolytes - Urinalysis(RBC cells and RBC casts typical of acute glumerolar/tubular disease)
  • 36.
  • 39.
    Sodium nitroprusside -Dilate botharterioles and veins -Nitrovasodilator that provide nitric oxide and induce vasodilatation via generation of cyclic GMP -Initial dose 0,3-0,5 mcg/kg/min increase by increments of 0,5 mcg/kg/min to achieve BP target -Maximum dose 10mcg /kg/min -Duration of treatment as short as possible -Onset of action <2 min -Cyanid toxicity with prolonged use can result in irreversible neurologicalchanges and cardiac arrest -Hepatic impairment>>cyanide toxicity -Renal impairement>>thiocyanate toxicity
  • 40.
    Labetalol Alpha1 and nonselectivebeta adrenergic antagonist Onset of action: 5-10 min Duration of action: 3-6 hours Dosage: Infusion 0,3-1 mg/kg/dose slow IV injection every 10min (max 20mg)or 0.4- 1mg/kg/h IV infusion up to3mg/kg/h (total cumulative dose 300mg)this dose can be repeated every 4-6 hour especially useful in hyper adrenergic states, aortic dissection, preeclampsia contraindications: reactive airways disease , second and third degree AV block, bradyycardia, may worsen HF
  • 41.
    Nitroglycerine -Initial dose 5mcg/min,increase in increments of 5 mcg/min every 3-5 min to a maximum of 20mcg/min - Use only in patients with acute coronary syndrome or pulmonary edema ,don’t use in volume depleted patients
  • 42.
  • 43.
    Other agents -CCB dihydropyridines(nicardipine,clevidipine) -Directvasodilators(hydralazine) -Adrenergic alpha receptor antagonist(phentolamine) -Dopamine1 receptor selective agonist(fenoldopam) ACEinhibitor(enalaprilat) -beta blocker(esmolol)
  • 46.
    Acute coronary syndrome -Bpshould be lowered with intravenous nitroglycerine after administration of a beta blocker such as iv metoprolol or esmolol to prevent reflex tachycardia -Nitroprusside can cause coronary steal and should be avoided -Hypotension must be avoided to prevent infarct extension
  • 47.
    Aortic dissection -The initialaim of medical therapy of patients with acute aortic dissection is to decrease both BP and shear stress on the torn aorta -Short acting easily titratable beta blockers such as esmolol and labetalol are most commonly recommended ,if a beta blocker is contraindicated deltiazem can be used -it is recommended to reduces SBP to less than 120 mmHG during the first hour,Nitroprusside can be used with beta blocker to achieve this goal
  • 48.
    preeclampsia -hypertension can bemanaged by Labetalol , hydralazine,or nicardipine -ACEI,ARBs,Nitroprusside are contraindicated in pregnancy, Nitroprusside may cause cyanide poisoning of the fetus
  • 49.
    Adrenergic crisis -Pheochromocytoma crisisshould be treated acutely with phentolamine followed by a beta blocker - Clonidine withdrawal can be aborted by reintoduction od this agent -Cocaine or methamphetamine – induced acute hypertension should be treated with benzodiazepines followed by phentolamine
  • 50.
    Perioperative hypertension -Bp ≤160/90mmHG or SBP elevation ≤20% of the preoperative value that persists for >15min Most frequently seen during anesthesia induction or airway manipulation -Prefered drugs are (nitroglycerinem,esmolol,clevidipine ,nicardipine)
  • 51.
    references -BRAUNWALD’S heart disease10th edition -2017 AHA/ACC guideline for hypertension -Manual of cardiovascular medicine -Hypertension (a companion to Brauwald’s heart disease- third edition)