Histology of Digestive system
Faseeh
Digestive system
• The digestive (gastrointestinal) tract is a long hollow tube that
extends from the esophagus to the rectum.
• The wall of the digestive tube exhibits four layers that show a
basic histologic organization. The layers are the mucosa, sub-
mucosa, Muscularis externa, and serosa or adventitia.
– Tunica Mucosa: Epithelium, Underlying C.T (Lamina propria) and
inner circular and outer longitudinal layer of smooth muscle, called
the muscularis mucosae.
– Tunica Sub-mucosa: consists of dense irregular connective tissue with
numerous blood, lymph vessels and nerve plexus.
– Muscularis externa is a thick, smooth muscle layer, except for the
large intestine, this layer is composed of an inner layer of circular
smooth muscle and outer layer of longitudinal smooth muscle.
– Serosa/Adventitia
Esophagus
• mucosa:
– consists of three parts:
• Nonkeratinized stratified squamous epithelium
• underlying thin layer of fine connective tissue, the lamina propria
• layer of longitudinal smooth muscle fibers, the muscularis mucosae
• Sub-mucosa:
– wide layer of moderately dense irregular connective tissue that
often contains adipose tissue and mucous acini of esophageal
glands.
• Muscularis externa:
– composed of two well-defined muscle layers,
• an inner circular muscle layer
• outer longitudinal muscle layer
• Adventitia/ Serosa:
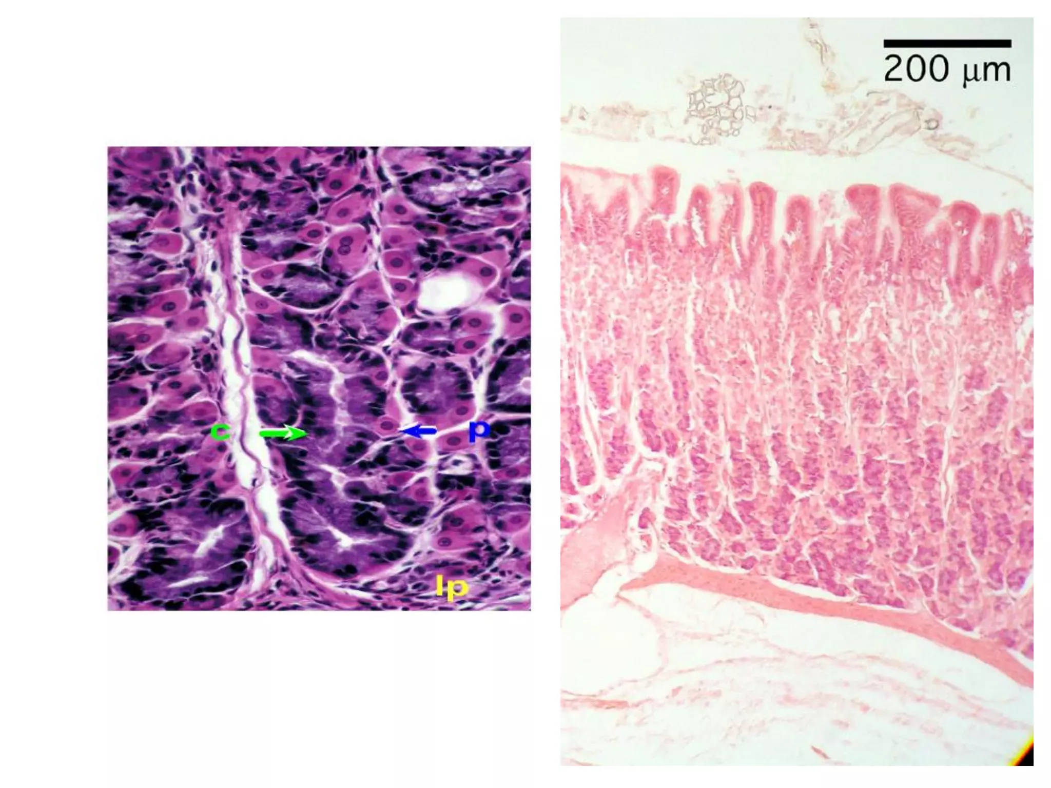
Stomach
• The three histologic regions of the stomach are the cardia,
the fundus and body, and the pylorus.
• The gastric mucosa consists of a surface epithelium that
invaginates to various extents into the lamina propria,
forming gastric pits.
• Emptying into the gastric pits are glands (cardiac, gastric,
and pyloric) characteristic of each region of the stomach.
• Mucosa:
– Epithelium covering the surface and lining the pits is a simple
columnar epithelium.
– Beneath the epithelium is the loose connective tissue lamina
propria that fills the spaces between the gastric glands.
– A thin smooth muscle, muscularis mucosae, consisting of an
inner circular and an outer longitudinal layer, forms the outer
boundary of the mucosa.
Stomach
• Sub-mucosa:
– The sub-mucosa contains dense irregular connective
tissue and more collagen fibers than the lamina propria.
• Muscularis externa:
– consists of three layers of smooth muscle, each oriented in
a different plane: an inner oblique, a middle circular, and
an outer longitudinal layer.
(Note: The oblique layer is not complete and is not always
seen in sections of the stomach wall).
• Serosa:
– consists of a thin outer layer of connective tissue that
overlies the muscularis externa and is covered by a simple
squamous mesothelium.
Regional Differences in Stomach
• Cardiac:
– In the cardia, the gastric pits are shallow compared to pylorus and
contain one type of cell, Mucous secreting cells.
• Fundus/Body:
– Gastric pits are shallow and gastric glands occupy major area of
mucosa.
– The gastric glands in the fundus and body of the stomach contain
three major cell types. Located in the upper region of gastric glands
near the gastric pits are mucous neck cells. The large polygonal cells
primarily located in the upper half of the gastric glands with a
distinctive eosinophilic cytoplasm are the parietal cells. Located
predominantly in the lower region of the gastric glands are basophilic
staining cuboidal chief(zymogenic ) cells.
• Pylorus:
– In the mucosa of the pyloric region of the stomach, the gastric pits are
deeper than those in the fundus regions.
– only one type of cell, Mucous secreting cell, is found in these glands.
Ruminant Stomach (Rumen)
Ruminant Stomach (Rumen)
Ruminant Stomach (Reticulum)
Ruminant Stomach (Reticulum)
Ruminant Stomach (Omasum)
Ruminant Stomach (Omasum)
Small Intestine
• The mucosa is highly folded. large circular folds
called plicae circulares most numerous in the upper
part of the small intestine
• smaller folds called villi, which are finger like mucosal
projections.
• the lining columnar epithelial cells have fine
projections on their apical surfaces called microvilli.
• Between the villi there are crypts, called crypts of
Lieberkuhn, which extend down to the muscularis
mucosae. These crypts are short glands.
• Epithelium lining the villus: Simple Columnar
epithelium with goblet cells
• Each villus contains a core of lamina propria,
strands of smooth muscle fibers that extend
upward into the villi from the muscularis mucosae
and a central lymphatic vessel called the lacteal
• Muscularis externa consists of an inner circular
layer and an outer longitudinal layer of smooth
muscle.
• Serosa the outer most layer.
Regional Differences in Small Intestine
• Brunner's glands, which are found in the sub-
mucosa of duodenum.
• Jejunum don't have sub-mucosal gland and
lymphatic nodules.
• A characteristic feature of the ileum is the
aggregations of lymphatic nodules (located in
L.P and sub-mucosa) called Peyer’s patches.
Histology of digestive system 2
Histology of digestive system 2
Histology of digestive system 2

Histology of digestive system 2

  • 1.
  • 2.
    Digestive system • Thedigestive (gastrointestinal) tract is a long hollow tube that extends from the esophagus to the rectum. • The wall of the digestive tube exhibits four layers that show a basic histologic organization. The layers are the mucosa, sub- mucosa, Muscularis externa, and serosa or adventitia. – Tunica Mucosa: Epithelium, Underlying C.T (Lamina propria) and inner circular and outer longitudinal layer of smooth muscle, called the muscularis mucosae. – Tunica Sub-mucosa: consists of dense irregular connective tissue with numerous blood, lymph vessels and nerve plexus. – Muscularis externa is a thick, smooth muscle layer, except for the large intestine, this layer is composed of an inner layer of circular smooth muscle and outer layer of longitudinal smooth muscle. – Serosa/Adventitia
  • 4.
    Esophagus • mucosa: – consistsof three parts: • Nonkeratinized stratified squamous epithelium • underlying thin layer of fine connective tissue, the lamina propria • layer of longitudinal smooth muscle fibers, the muscularis mucosae • Sub-mucosa: – wide layer of moderately dense irregular connective tissue that often contains adipose tissue and mucous acini of esophageal glands. • Muscularis externa: – composed of two well-defined muscle layers, • an inner circular muscle layer • outer longitudinal muscle layer • Adventitia/ Serosa:
  • 7.
    Stomach • The threehistologic regions of the stomach are the cardia, the fundus and body, and the pylorus. • The gastric mucosa consists of a surface epithelium that invaginates to various extents into the lamina propria, forming gastric pits. • Emptying into the gastric pits are glands (cardiac, gastric, and pyloric) characteristic of each region of the stomach. • Mucosa: – Epithelium covering the surface and lining the pits is a simple columnar epithelium. – Beneath the epithelium is the loose connective tissue lamina propria that fills the spaces between the gastric glands. – A thin smooth muscle, muscularis mucosae, consisting of an inner circular and an outer longitudinal layer, forms the outer boundary of the mucosa.
  • 8.
    Stomach • Sub-mucosa: – Thesub-mucosa contains dense irregular connective tissue and more collagen fibers than the lamina propria. • Muscularis externa: – consists of three layers of smooth muscle, each oriented in a different plane: an inner oblique, a middle circular, and an outer longitudinal layer. (Note: The oblique layer is not complete and is not always seen in sections of the stomach wall). • Serosa: – consists of a thin outer layer of connective tissue that overlies the muscularis externa and is covered by a simple squamous mesothelium.
  • 10.
    Regional Differences inStomach • Cardiac: – In the cardia, the gastric pits are shallow compared to pylorus and contain one type of cell, Mucous secreting cells. • Fundus/Body: – Gastric pits are shallow and gastric glands occupy major area of mucosa. – The gastric glands in the fundus and body of the stomach contain three major cell types. Located in the upper region of gastric glands near the gastric pits are mucous neck cells. The large polygonal cells primarily located in the upper half of the gastric glands with a distinctive eosinophilic cytoplasm are the parietal cells. Located predominantly in the lower region of the gastric glands are basophilic staining cuboidal chief(zymogenic ) cells. • Pylorus: – In the mucosa of the pyloric region of the stomach, the gastric pits are deeper than those in the fundus regions. – only one type of cell, Mucous secreting cell, is found in these glands.
  • 16.
  • 17.
  • 18.
  • 19.
  • 20.
  • 21.
  • 22.
    Small Intestine • Themucosa is highly folded. large circular folds called plicae circulares most numerous in the upper part of the small intestine • smaller folds called villi, which are finger like mucosal projections. • the lining columnar epithelial cells have fine projections on their apical surfaces called microvilli. • Between the villi there are crypts, called crypts of Lieberkuhn, which extend down to the muscularis mucosae. These crypts are short glands.
  • 23.
    • Epithelium liningthe villus: Simple Columnar epithelium with goblet cells • Each villus contains a core of lamina propria, strands of smooth muscle fibers that extend upward into the villi from the muscularis mucosae and a central lymphatic vessel called the lacteal • Muscularis externa consists of an inner circular layer and an outer longitudinal layer of smooth muscle. • Serosa the outer most layer.
  • 25.
    Regional Differences inSmall Intestine • Brunner's glands, which are found in the sub- mucosa of duodenum. • Jejunum don't have sub-mucosal gland and lymphatic nodules. • A characteristic feature of the ileum is the aggregations of lymphatic nodules (located in L.P and sub-mucosa) called Peyer’s patches.