FURCATION
INVOLVEMENT & ITS
MANAGEMENT
Guided by:
DR.P.VEERENDRANATH REDDY
Presented by:
PHANI YASASWINI (PG)
CONTENTS:
 Introduction;
 Terminology;
 Anatomy of multirooted teeth;
 Classification of furcation involvement;
 Etiology;
 Diagnosis;
 Treatment;
 Prognostic factors;
 Failures in furcation therapy;
 Current concepts;
 Conclusion;
 References.
Introduction
 Furcation involvement refers to a condition in which the
bifurcations and trifurcations of multi-rooted teeth are
invaded by periodontal disease process.
 Characterized by bone resorption and attachment loss in the
interradicular space (Newmann et.al., 2010).
TERMINOLOGIES
 Root complex is the portion of a tooth that is located
apical of the cemento-enamel junction (CEJ).
The root complex
may be divided into
two parts:
The root trunk and
The root cone(s)
Degree of
separation: The angle
of separation Between
two roots (cones).
Divergence: The
distance between two
roots.
Furcation Entrance
Entrance: The transitional
area between the undivided
and the divided part of the
root.
Fornix: The roof of the
furcation.
DEFINITIONS
Glickman (1950) :Commonly occurring condition in which the
bifurcation and trifurcation of multi-rooted teeth are denuded
by periodontal disease.
Goldman & Cohen (1968) Extension of pocket into
the interradicular area of bone in multirooted teeth.
Prichard (1965) Bifurcation and trifurcation
involvements are common periodontal lesions which
occur a result of gingival inflammation and bone
resorption adjacent to and with the furca of multi-
rooted teeth.
Classification
Glickman`s Classification(1953)
Class I Furcation
 This is an early lesion.
 The pocket is suprabony, involving
the soft tissue.
 There is slight bone loss in the
furcation area.
 Radiographic change is not usual
since bone loss is minimal.
Class I Furcation
The level of bone loss
allows for the insertion of
the periodontal probe into
the concavity of the root
trunk.
 In this, bone is destroyed in one or
more aspects of the furcation.
 But a portion of the alveolar bone
and periodontal ligament remain
intact, permitting only partial
penetration of the probe into the
furca.
 Radiographs may or may not reveal
this type of furcation.
Class II Furcation
Class II Furcation
The level of bone loss
allows for the insertion of
a periodontal probe into
the furcation area between
the roots.
Class III Communicating or
Through and Through Furcation
 This type of furcation
involvement the probe
penetrates completely from
one side to the other side
characterized by severe bone
destruction in the furcation
area.
 It is clearly shown in the
radiographs as a radiolucent
area in between the roots,
especially in the lower
molars.
Class IV Furcation
 As in Class III, but the
gingival tissues recede apically
so that furcation is clearly
visible.
MODIFICATION OF
GLICKMAN’S CLASSIFICATION:
 GRADE II degree I : vertical component of >1mm But
<3mm
 GRADE II degree II : vertical component of >3mm but not
through & through.
Hamp, Nyman & Lindhe`s
Classification (1975)
 CLASS I
 CLASS II
 CLASS III
VERTICAL CLASSIFICATION 1984
 Vertical component of furcation
measured from floor of the furca to
the roof of the furca
OTHER CLASSIFICATIONS
▪ Goldman 1958 ▪ Grade I : incipient.
▪ Grade II : cul-de-sac.
▪ Grade III : through & through.
Easley and
Drenman
1969
Class I : fluting coronal to furcation affected.
no definite horizontal component.
Class II :Type I – essentially horizontal, no
buccal/lingual ledge.
Type II - buccal/lingual ledge, definite vertical
component.
Class III : through & through.
▪ 1969 Staffileno ▪ Grade I: Soft tissue lesion extending to the entrance of
the furcation with minor degree of bone loss
▪ Grade II: Loss of furcal bone but not through and
through
▪ Grade III: Through and through
▪Ramford & Ash
1979.
▪Class I : beginning involvement. Tissue destruction < 2mm
▪Class II : cul-de-sac > 2mm but not through & through.
▪Class III : through & through.
▪ Basaraba 1990 Class I : initial/incipient furcal invasion
Class II : partial/ patent furcal invasion
Class III : communicating furcal invasion
1998 Hou et al Two subclasses (Subclass a and b):
a: for Suprabony defects
b: for infrabony defects
Three types (A, B, and C):
A: Root trunk represents the cervical one-third of the root
complex
B: Root trunk represents half of the root complex
C: Root trunk represents the cervical two-thirds of the root
complex
Epidemiology
Incidence and Distribution
 Lorato (1981) found that average no. of furcation
involvement increased with age.
 Most common - 1st permanent molars
 Maxillary molars - buccal aspects more often invaded.
 Maxillary premolars - Lower incidence of furcation.
ETIOLOGY
Microbial
dental
plaque
Iatrogenic
factors
Vertical root
fractures
Trauma
from
occlusion
Dental caries
/pulpal death
Local
anatomic and
developmenta
l factors
ETIOLOGY
MICROBIAL DENTAL PLAQUE
 Extension of inflammatory periodontal disease in Furcation
area leads to:
A) Inter-radicular bone resorption
B) Reduction of bone height and formation of
furcation defect.
 Furcation involvement is a phase in root ward extension of
periodontal pocket(Glickman, 1950)
 Microbial dental plaque is the microorganism colony found on
the outer surface of the tooth, covering the tooth like a biofilm
(Socransky and Haffajee, 2002)
 Plaque’s bacteria are generally in harmony with the host and they
consume endogenous nutrients (Salivary proteins and
glycoproteins).
 The existence of endogenous bacteria cause the formation of a
low amount of acid and the settlement of exogenous
microorganisms.
CERVICAL ENAMEL PROJECTIONS
 Ectopic deposits of enamel apical to the
level of the normal CEJ with a tapering
form and extending towards or to the
furcation areas are called Cervical enamel
projections.
 It has been observed that CEP’S occur in
13% of multirooted teeth
 Carranza & Jolkovsky…CEP have been implicated as
etiologic factors in furcation defects due to the lack of
connective tissue attachment on enamel surfaces.
 Mandelaris et.al., reported that CEPs were found in 56.4%
of all mandibular molars.
 CEPs were more commonly found on the buccal than the
lingual aspects..
CLASSIFICATION OF CEP
Grade I: Extension from CEJ of the tooth to
furcation entrance.
Grade II: Approaches entrance but does not enter
the Furcation.
Grade III: Extends horizontally into furcation.
Masters and Hoskins(1964)
Root Trunk length:
 Teeth with shorter trunks are more prone for development of
furcation defects compared to ones with longer root trunk
length.
 Once the furcation is exposed, teeth with short root trunks
may be more accessible to maintainence procedures.
 A molar with a short root trunk is more vulnerable to furcal
involvement, but has a better prognosis after treatment since
less periodontal destruction has presumably occurred.
 Alternatively, a furcation-involved molar with a long root
trunk and short roots may not be a candidate for root
resection, since these teeth lose more periodontal support
with furcal invasion.
Root length
 Determines the amount of
attachment or support that a tooth
will have.
 Teeth with long root trunks and
short roots would have lost
significant amount of support by
the time the furcation is affected.
 Teeth with long roots and short-
to-moderate root trunk length are
more readily treated because
sufficient attachment remains to
meet functional demands.
Root form:
 The mesial root of most
mandibular 1st and 2nd molars and
the mesiofacial root of the
maxillary first molar are typically
curved to the distal side in the
apical third.
 Grooves and concavities - plaque
retentive areas hastening the
process of periodontal breakdown
leading to early furcation
involvement.
ROOT CONCAVITIES:
 Bower 1979, reported a 17–94%
incidence of root depressions in
maxillary roots and 99–100% in
mandibular roots.
 Booker 1989,,In a study of 50
maxillary first premolars, reported
the presence of mesial concavities in
100% of examined teeth
 In two-rooted maxillary premolars,
they reported a buccal root furcal
depression in 100% of the examined
teeth at a level of 9.4 mm.
ENAMEL PEARL:
 The prevalence of enamel pearls is less
than that of cervical enamel
projections.
 In Maxillary 2nd molar -found near the
CEJ extending into molar bifurcations
 Prevent connective tissue attachment.
 Moskow & Canut (1990), reported an
incidence of 2.6%.
 Like CEPs, enamel pearls contribute to
the etiology of furcation involvement
by preventing connective tissue
attachment.
BIFURCATION RIDGES
 INTERMEDIATE
• BUCCAL/
LINGUAL
 Hou & Tsai et.al., Their results indicated that 63.2% of
molars with furcation involvement had CEPs and
intermediate bifurcation ridges, with mandibular 1st molars
having a greater prevalence (67.9%) than mandibular 2nd
molars (54.8%).
PULPAL PATHOLOGY
 Although the role of pulpal pathology in the etiology of
furcation involvement is still unclear, the high incidence of
molar teeth with accessory canals supports such an
association
 Lowman et al. (1973), reported the incidence of accessory
canals to be 55% in maxillary molars and 63% in
mandibular molars
 Alternatively, Kirkham (1975), found no accessory canals
in the furcation areas of 45 maxillary and mandibular
molars.
 Another study done by Gutman (1978), reported a 29.4%
incidence of accessory canals in mandibular molars and
27.4% in maxillary molars.
TRAUMAFROMOCCLUSION
 The periodontal fiber orientation in furcation areas facilitated
a more rapid spread of inflammation and accounted for the
increased susceptibility to occlusal forces.
 The heavy occlusal load on molar teeth may render them
susceptible to increased bone loss in the furcation areas if
inflammation is present.
 Glickman et.al.,(1961), reported that furcations are some of
the more susceptible areas of the periodontium to excessive
occlusal forces.
 Wang et al. (1994), reported that teeth with mobility and
furcation involvement were more likely to lose attachment
and to be extracted.
 Waerhaug (1980), however, has suggested that increased
mobility is a late symptom, rather than the cause of furcation
defects.
 Lindhe & Svanberg 1974, stated that trauma from occlusion
coupled with gingival inflammation has been implicated in
greater alveolar bone loss in experimental animals.
VERTICAL ROOT FRACTURES
 Lommel et.al., (1978), reported
that vertical root fractures are
associated with rapid, localized
alveolar bone loss.
 Furcation defects can result if the
fracture extends into the furcation
area.
 A poor prognosis is often given in
these situations.
IATROGENIC FACTORS
 Overhanging restorations present iatrogenic predisposing
factors that may lead to furcation involvement
 Wang et.al.,(1993), reported that molars with a crown or a
proximal restoration had a significantly higher percentage
of furcation involvement than non-restored teeth.
 While only 39.1% of molars without restorations had
furcation involvement, 52.8% of molars with class II
restorations and 63.3% of molars with crowns were found to
have furcation involvement.
CLINICAL FEATURES
 Sensitivity to thermal changes caused by caries or lacunar
resorption of root in furcation.
 Recurrent or constant throbbing pain caused by pulpal
changes.
 Sensitivity to percussion caused by acute inflammatory
involvement of the PDL.
 Acute periodontal or periapical abscess formation.
DIAGNOSIS OF FURCATION INVOLVEMENT
 The buccal furcation entrance of the maxillary molars and the
buccal and lingual furcation entrances of the mandibular molars
are normally accessible for examination using a curved
graduated periodontal probe (Naber’s probe), an explorer or a
small curette.
DIAGNOSIS
 Mealy and Beybayer (1994) have investigated the role of
transgingival probing in defining the anatomy of the
furcation defect. They found it to be importance in
determination of factors such as
 Morphology of the tooth.
 The position in relation to adjacent teeth.
 Local anatomy of the alveolar bone.
 Configuration of bone defects.
 Presence and extent of other diseases such as caries and
pulpal necrosis.
BONE SOUNDING
 Bone sounding or transgingival probing with local
anesthesia may aid in the diagnosis of furcation defects by
more accurately determining the underlying bony contours.
 Greenberg et.al., (1976), reported that bone sounding
yielded accurate measurements when compared to surgical
entry measurements.
 Kalkwarf & Reinhardt,1988 stated that diagnosing furcation
invasion is therefore best accomplished using a combination
of radiographs, periodontal probing with a curved explorer
or Nabers probe, and bone sounding.
 PERIO-ENDOSCOPIC VISUALIZATION OF FURCATION
RADIOGRAPHS IN FURCATION DIAGNOSIS
 Include paralleling, periapical & bitewing techniques.
 Sometimes superimposition of palatal root or thick bone
may obscure the furcation.
 Slightest radiographic change in furcation area should be
investigated clinically, especially if there is bone loss on
adjacent roots.
 Whenever there is marked bone loss in relation to a single
molar root, it may be assumed that the furcation is also
involved.
 Ross & Thompson (1980), reported that radiographs were
able to detect furcation invasion in 22% of maxillary and 8%
of mandibular molars.
 This discrepancy was attributed to the difference in bone
densities of the maxillary and mandibular arches.
 Hardekopf et.al., (1987), reported a significant association
between a radiographic ‘‘furcation arrow’’ and degree II and
III maxillary interproximal furcation invasion.
 CONE BEAMCOMPUTED TOMOGRAPHY (CBCT)
TRANSVERSE CT CROSS SECTIONAL CT
When compared to periodontal probing and 2D intraoral
radiography, 3D CBCT scanning was found to be more
effective in assessing periodontal structures.
observed that the mean length of the root trunk and the
width of the furcation entrance revealed by CBCT were
consistent with their respective intrasurgical values, though
CBCT underestimated vertical and horizontal bone loss in
the maxillary furcae.
revealed that the number of FI detected by means of CBCT
was larger than by means of periodontal probing.In cases
where surgical treatment is necessary, CBCT may be
suggested as an adjunct tool for FI assessment.
Misch
et.al.,2006
Wang
et.al.,
2014
Milena
et.al.,2015
PROGNOSIS
1. Morphology of the bone deformity.
2. Root anatomy.
3. Tooth morphology.
4.Chronicity of the destructive process.
5.Clinical crown to clinical root ratio.
6.Mobility.
7.Patients age and general health.
MOSTPREDICTABLE
MANDIBULAR OR
MAXILLARY BUCCAL
CLASS II FURCATION
MESIAL OR DISTAL
MAXILLARY
CLASS II FURCATION
LEAST PREDICTABLE
CLASS III/IV
FURCATIONS
 Grade I & II Furcation ----- Good Prognosis.
 Grade III (early stage) ----- Fair Prognosis.
 Grade III (advanced) & IV -- Poor Prognosis
TREATMENT PLAN
Factorstobe consideredforsuccessfultreatmentof furcationinvolvement:
▪ Degree of Involvement;
▪ Crown: Root ratio;
▪ Length of roots ,Root anatomy/morphology;
▪ Degree of root separation;
▪ Residual tooth mobility;
▪ Need for endodontic treatment;
▪ Prosthetic requirements;
▪ Periodontal condition of adjacent teeth;
▪ Ability to maintain oral hygiene;
▪ Quality of bone/ ability to place implants;
▪ Financial considerations;
▪ Long term prognosis.
OBJECTIVES OF TREATMENT
 The elimination of microbial plaque from the exposed
surface of root complex to Prevent further attachment loss.
 The establishment of anatomy of affected surface that
facilitates proper self performed plaque control.
 Eliminating trauma & correcting Pulpal pathology.
Three broad strategies of furcation therapy
(Kalkwarf & Reinhardt R.A 1988)
Maintenance of the
existing Furcation
Increasing access
to the Furcation
Elimination of the
Furcation
FURCATION INVOLVEMENT DEGREE I
 Non-surgical Treatment;(Oral Hygiene measurements and
Scaling and Root planning)
 Obliteration of furcation by restorative materials;
 Furcation Plasty.
Non-surgical Treatment:
 1st approach to all types of furcation involvements.
 Non surgical Scaling & root planing often suffices in
resolution of the inflammatory condition.
 Healing re- establishes normal gingiva anatomy with properly
adapted soft tissues and morphology optimal for good patient
control.
 May be the treatment of choice if surgery is contraindicated for
medical or psychological reasons.
 The type of instruments used also plays a significant role in
more thorough furcation debridement (Fleischer et.al.,1989)
 In 58% of upper and lower first molars, the furcation entrance
diameter is narrower (<0.75 mm) than the width of
conventional periodontal curette.
 So, use of curettes alone would result in inadequate
debridement of many furcation areas.
 Ultrasonic tips and curettes have been found to be equally
effective in wide furcations, but ultrasonic tips were more
effective in narrow ones (Matia et.al.,1986)
 Leon and Vogel (1987) reported that the use of ultrasonic
scalers was more effective than hand scaling in close
debridement of advanced furcations.
 The large dimensions of conventional ultrasonic-tips inhibit
entry into the furcation in some cases.
 So many new designs of furcation tips were designed and
developed and were shown to be superior to conventional
sonic/ultrasonic inserts with greater accessibility and ease of
instrumentation in furcation areas.
Oda and Ishikawa (1989)
 Designed a new ultrasonic scaler tip made of acid resistant
stainless steel.
 End of the tip was spherical (0.8 mm in diameter) to protect
the root surfaces and soft tissue injury and improve contact
with the root surfaces.
 Tip was in the shape of a spiral with a radius of curvature of
about 9 mm and available in clockwise and anticlockwise
direction.
CHEMOTHERAPY
 The difficulties of performing
adequate debridement in furcations
by mechanical means have prompted
experimentation with
chemotherapeutic agents in these
areas.
 Needleman & Watts (1997) - 1%
metronidazole gel irrigation into
furcation areas with grade II and III
involvements during periodontal
maintenance + subgingival scaling.
Clinically, no further improvement
was seen for the furcations treated
with metronidazole.
 Nylund & Egelberg (1993): Subgingival irrigation with
tetracycline for 3 months + mechanical debridement in
furcations with grade I, II and III involvements.
Results : Clinically negligible (1 mm) variation in both
tetracycline and saline-irrigated furcations.
 AR Pradeep et.al.,(2012) subgingivally delivered 1.2-mg
simvastatin in the treatment of individuals with class II
furcation defects used as an adjunct to scaling and root
planing Vs SRP + placebo showed that the simvastatin
administered group had a significantly greater gain in mean
RVAL and RHAL (P <0.05).
Results: Furthermore, significantly greater mean percentage
of bone fill was found compared with placebo group .
ODONTOPLASTY
 Reshaping of tooth coronal to furcation to improve access
for plaque control.
 Widens entrance of the furca & reduces horizontal depth of
the furcation involvement.
 Removes plaque retentive areas like grooves, CEPs,
cervical enamel pearls smooth areas.
 Advised for Grade I & II lesions.
Potential Complications
Hypersenstivity;
Pulpal irritation;
Permanent change;
Pulp exposure;
Increased risk of root caries.
FURCATION PLASTY
 It is a resective surgical treatment associated with
odontoplasty and osteoplasty.
 It is used mainly at the buccal and lingual furcations.
FURCATION INVOLVEMENT DEGREE II
 Furcation plasty;
 Tunnel preparation;
 Root resection;
 Tooth extraction;
 Guided tissue regeneration.
TUNNEL PREPARATION
 In advanced lesions i.e. Deep Grade II and Grade III
lesions.
 Usually done in mandibular molars for clear two way
access.
 Implemented sometimes in maxillary molars.
 It can be utilized only when the furcation entrance
dimension is wide enough and coronally located to allow
for an easy utilization of cleaning devices.
 However, one of the three roots may have to be resected to
improve accessibility to the furcation area. (Hellden et.al.,
1989)
 During surgery, bone is reshaped to obtain a scalloped
morphology and the soft tissues are apically positioned.
 Care must be taken that the space obtained under the roof of the
furcation should allow proper plaque removal.
Advantages:
 Avoidance of prosthetic reconstruction and endodontic
therapy.
Disadvantages:
 Slight loss in attachment as a consequence of the therapy.
 High rate of caries development.
 Hellden et.al., 1989 evaluated 148 teeth with tunnel
preparation for 37.5 months, 24% developed caries.
 Tunneling often fails because of decay in the furcation area
(Lindhe, 1983).
 Hellden and colleagues (1989) concluded that teeth with
tunnel preparations have a considerably better prognosis than
that previously reported.
FURCATION INVOLVEMENT DEGREE III
 Tunnel preparation;
 Root resection;
 Tooth Extraction.
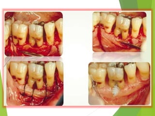
ROOT SEPARATION AND RESECTION(RSR)
 Root separation involves the sectioning of the root complex
and the maintenance of all roots.
 Root resection involves the sectioning and the removal of one
or two roots of a multi-rooted tooth.
 RSR is frequently used in cases of deep degree II and degree
III furcation involved molars.
 Can be done on vital or endodontically treated teeth.
FACTORS TO BE CONSIDERED
 The length of the root trunk;
 The divergence between the root cones;
 The length and the shape of the root cones;
 Fusion between root cones;
 Amount of remaining support around individual roots;
 Stability of individual roots;
 Access for oral hygiene devices.
INDICATIONS OF RSR
 Teeth that have sufficient attachment remaining for function.
 Teeth for which a more predictable or cost-effective method
of therapy is not available.
 Furcation defects that have been treated successfully with
endodontics but present with a vertical root fracture,
advanced bone loss, or caries on the root.
 Teeth in patients with good oral hygiene and low activity for
caries.
 Root-resected teeth require endodontic treatment and usually
cast restorations.
SEQUENCE OF TREATMENT OF RSR
GENERAL GUIDELINES
 Remove the root(s) that will eliminate the furcation and
allow the production of a maintainable architecture on the
remaining roots.
 Remove the root with the greatest amount of bone and
attachment loss.
 Sufficient periodontal attachment must remain after surgery
for the tooth to withstand the functional demands.
 Remove the root with the greatest number of anatomic
problems such as severe curvature, developmental grooves,
root flutings, or accessory and multiple root canals.
 Remove the root that complicates future periodontal
maintenance..
ROOT RESECTION TECHNIQUE
 Under LA, elevate full thickness mucoperiosteal flap and
debride the defect.
 Removal of small amount of bone may be required to
facilitate root removal.
 With contra angles hand piece & cross- cut or a straight
fissure bur, a cut directed just apical to contact point
through the furcation to sever the root where it joins the
crown.
 Elevate & remove the root With stone or diamond point
smooth the resected root stump & contour the tooth to
create easily cleansable area.
 Clean the area & apically position the flap ,suture & cover
with periodontal pack.
 Carnevale et.al., (1991) reported on the outcomes of 185
teeth treated with hemisection or root amputation with a 7–
11-year follow-up. Out of these 185 teeth, three teeth were
lost, yielding a survival rate of 98.4%.
 Hou et.al., (1999) reported a survival rate of 100% of 52
root-separated molars in a case series comprising 25 patients
followed up for a mean observation period of 6.7 years
(range 5–13 years).
INDICATIONS FOR ROOT RESECTION
Periodontal Indications:
• Severe bone loss affecting one or more roots untreatable
with regenerative procedures;
• Class II or Class III furcation invasions;
• Severe recession or dehiscence of a root.
Prosthetic Indications:
• Severe root proximity inadequate for a proper embrasure
space;
• Root trunk fracture or decay with invasion of the biological
width.
Endodontic or Conservative Indications:
• Inability to successfully treat and fill a canal;
• Root fracture or root perforation;
• Severe root resorption;
• Root decay.
Contraindications for Root Resection
 Restorative factors Strategic considerations
• Internal root
decay
• Presence of a
cemented post
in the remaining
root
• Consider adjacent
teeth for conventional
prosthetic restoration
• Consider removable
Prosthesis
• Consider implants
HEMISECTION
 In mandibular molars with buccal & lingual Class II or Class
III furcation involvement.
 Vertically oriented cut is made bucco-lingually through the
buccal & lingual developmental grooves through the pulp
chamber and furcation.
 Retained mesial or distal half serve as a useful abutment.
BICUSPIDIZATION
INDICATIONS :
 Mandibular molars with Buccal & Lingual Class II or III
Furcation involvements.
ROOT CONDITIONINIG AND CORONALLY
ADVANCED FLAP
 Root conditioning combined with coronally advanced flap
procedure.
 Root conditioning is intended to decontaminate, detoxify and
demineralize the root surface, removing the smear layer and
exposing collagen matrix.
 Agents commonly used :
- Citric acid;
- Tetracycline HCL;
- Fibronectin;
Others - EDTA, Detergents, Phosphoric acid, Bile salts.
 Acid etching of the debrided planed root surface removes the
smear layer on the denuded root surface and exposes Type I
collagen chemotactic to fibroblasts.
 Polson and Proye 1983 suggested that a fibrin linkage to the
exposed collagen fibrils is a precursor to the connective tissue
attachment. This fibrin network may serve to prevent apical
migration of epithelium allowing migration of periodontal
precursor cells to the root.
 Crigger et.al., (1978), Nilveus et.al., (1980), Bogle et.al.,
(1981)-demonstrated increased amounts of new connective
tissue attachment in furcation defects following acid
conditioning compared with non-acid treated control.
BONE GRAFTS
 The strong focus on bone formation as a prerequisite for new
attachment formation has led to implantation of bone grafts or
different types of bone substitutes into furcation defects.
i) Contain bone forming cells (osteogenesis);
ii) Serve as a scaffold for bone formation (osteoconduction);
iii) Matrix of the grafting material contains bone inductive
substances (osteoinduction);
Which would stimulate both the regrowth of alveolar bone and
the formation of new attachment.
 Guided Tissue Regeneration :Procedure attempting to
regenerate lost periodontal structures through differential
tissue responses.
 Using GTR, Gottlow et.al., (1986) demonstrated clinical and
histological resolution of angular as well as furcation defects
in humans.
 These barriers can be
Absorbable/non-absorbable;
Natural/synthetic.
 Clinical indications - Mandibular molar with a Class II
furcation lesion.
 Other furcation lesions in other areas of the mouth have also
been approached with this therapeutic principle, although
rendering different outcomes.
 The first generation of GTR studies were carried out using
non-resorbable expanded poly tetra fluoroethylene
membranes.
AAP PAPER ON PERIODONTAL REGENERATION IN FURCATIONS (WANG
ET AL 2005) FOUND THE FOLLOWING:
 GTR provided additional benefits over OFD in clinical
attachment level, reduced probing in furcations.
 Bone replacement grafts enhance GTR treatment outcomes in
furcations.
 Clinically, GTR procedures for furcations should be limited to
mandibular and maxillary buccal grade II furcation defects.
 Only limited results are obtainable for mandibular (grade III)
and maxillary medial and distal grade I or III furcation defects.
 Bone grafts have been found to enhance GTR outcomes in
furcations but not in intrabony defects.
ENAMEL MATRIX:
 Play key role in the development of tooth supporting tissues.
These “matrix proteins” mediate the formation of acellular
cementum on the root of the developing tooth, providing a
foundation for all of the necessary tissues associated with a
true functional attachment.
 Sculean et.al., 2001,EMD may also promote periodontal
regeneration by reducing dental plaque.
 In an ex vivo dental plaque model, it was found that EMD had
an inhibitory effect on dental plaque viability.
 Lyngstadaas et.al., 2001,Attachment rate, growth factor
production (TGF- b1, IL-6, and PDGF-AB), proliferation, and
metabolism of human PDL cells in culture were all
significantly increased in the presence of EMD.
 Gestrelius et.al., 1997, EMD favors mesenchymal cell growth
over growth of epithelial cells. Furthermore, it had been
shown earlier that EMD also seems to exhibit a cytostatic
effect upon cultured epithelial cells.
 Spahr et.al., 2002, EMD has a marked inhibitory effect on the
growth of the Gram negative periodontal pathogens, without a
similar effect on the Gram-positive bacteria In addition, it was
demonstrated to have some antimicrobial effect in vivo.
PATIENT FACTORS INFLUENCING REGENERATION
 Each patient has a different healing potential that can directly
influence the response to treatment.
 The patient-related factors which have negative influence on
the regeneration –
Smoking,
Stress,
Diabetes Mellitus,
Acquired Immunodeficiency Syndrome
And Other Acute And Debilitating
Diseases,
Presence Of Multiple Deep Periodontal
Pockets.
LOCAL FACTORS INFLUENCING SUCCESSFUL
REGENERATION
 Furcal Anatomy;
 Defect Morphology;
 Thickness of Gingival Tissue;
 Tooth Mobility - clinical relevance of mobility in regenerative
therapy has not yet been elucidated.
SURGICAL FACTORS INFLUENCING REGENERATION
 Infection control;
 Bone replacement grafts combined with barriers or GTR alone;
 Type of barrier;
 Surgical technique;
 Space maintenance under the barrier;
 Membrane stability.
POSTOPERATIVE FACTORS INFLUENCING
REGENERATION
 Plaque control;
 Membrane exposure;
 Membrane retrieval;
 Regular supportive periodontal care program.
EXTRACTION
 (Lindhe 1997)Extraction is the treatment of choice, when:
1) The patient’s oral hygiene will not maintain the tooth.
2) The patient does not choose to comply with restorative
recommendations without which the tooth cannot survive.
3) Adjacent teeth would serve as adequate abutments.
4) Financial considerations
5) Extraction will improve the prognosis of the adjacent teeth
by improving bone levels resulting from socket fill.
FAILURE IN FURCATION THERAPY
 Inadequate plaque control and maintenance;
 Poor resection technique;
 Improper restoration after initial periodontal therapy;
 Root caries;
 Patients who respond poorly despite the best treatment
efforts;
 Endodontic failure and root fracture.
CURRENT CONCEPTS
 Swaid FF, Riberio FV et.al., 2011.Investigated the use of
Periodontal ligament cells in tissue engineering with GTR in
Class II furcations in dogs. This histological study revealed
promising results.
 Anuj Sharma (2011) assessed the efficacy of PRF & OFD
Vs OFD alone in grade II Mandibular defects, treated either
with autologous PRF and OFD or OFD alone.
 Results: statistically significant improvement at the sites
treated with PRF and OFD compared to those with OFD
alone.
 John Casper (2012) investigated the use of Porous titanium
granules (PTG) in the treatment of class II buccal furcation
defects in mandibular molars in humans.
 Results: Study showed that PTG is safe to use in close
proximity to root surfaces, but no significant improvements in
clinical endpoints of defect resolution were observed.
 Masao Ozasa et.al.,(2014) surgically created furcation defects
in beagle dogs and the autologous transplantation of ADMPC
(Adipose tissue derived Multilineage Progenitor cells) and
fibrin gel was performed. Six weeks after transplantation
periodontal regeneration was assessed using microCT
 Results: showed a significant increase in bone formation at
sites where ADMPCS where applied when compared to control
sites.
 Sambhav Jain et.al., (2014) in a case report assessed the
efficacy of PRF and ß Tricalcium phosphate in mandibular
molar with recession and grade II Furcation defect.
 Results: They observed complete root coverage with gain in
CAL I Month postop. However extent of bone fill could not
be assessed as the patient did not report for follow up.
 Anuj sharma (2016) in an RCT on Rosuvastatin 1.2 mg in
situ gel combined with 1:1 mixture of autologous platelet-rich
fibrin and porous hydroxyapatite bone graft in mandibular
class II furcation defects observed significant improvements
of clinical and radiographic parameters in this group
compared with OFD alone.
CONCLUSION
 Furcation involvement is a commonly encountered problem
in day-to-day periodontal practice.
 Indeed, some earlier authors have reported that periodontal
pockets that involve the domes of furcations of multi-rooted
teeth present a hopeless or at best an unfavorable prognosis
and should be extracted.
 However, long-term studies of treated teeth with furcations
have shown impressive on retention for up to 50 years.
 The key to long-term success appears to be “thorough
diagnosis, selection of patient with good oral hygiene and
careful surgical and restorative management.”
REFERENCES
 Carranza clinical Periodontology 11th edition
 Jan Lindhe, Clinical Periodontology and Implant dentistry:6th
ed.
 Al-Shammari KF, Kazor CE, Wang H-L: Molar root anatomy
and management of furcation defects. J Clin Periodontol 2001;
28: 730–740.
 Huynh-Ba G, Kuonen P, Hofer D, Schmid J, Lang NP, Salvi
GE. The effect of periodontal therapy on the survival rate and
incidence of complications of multirooted teeth with furcation
involvement after an observation period of at least 5 years: a
systematic review.J Clin Periodontol 2009; 36: 164–176.
 MASSIMO DESANCTIS & KEVIN G.MURPHY The role of
resective periodontal surgery in the treatment of furcation
defects Periodontology 2000, Vol. 22, 2000, 154–168.
 Sánchez-Pérez A, Moya- Villaescusa MªJ. Periodontal disease
affecting tooth furcations. A review of the treatments
available. Med Oral Patol Oral Cir Bucal. 2009 Oct 1;14
(10):e554-7.
 Tanya Nandkeoliar, Ajeya Kumara E G, Meenu Dangi,Sinam
Subhas Chandra Singh, Ujjwala Rastogi, Chengappa M
U.furcation – an unsolved mystery. IJOCR Jul - Sep 2014;
Volume 2 Issue 5.
 Gustavo Avila-Ortiz, Juan G. De Buitrago, and Michael S.
Reddy Periodontal Regeneration – Furcation Defects: A
Systematic Review From the AAP Regeneration Workshop.
Periodontol 2015;86(Suppl.):S108-S130.
 Chowdhary Z, Mohan R. Furcation involvement: Still a
dilemma. Indian J Multidiscip Dent 2017;7:34-40.

Furcation

  • 1.
    FURCATION INVOLVEMENT & ITS MANAGEMENT Guidedby: DR.P.VEERENDRANATH REDDY Presented by: PHANI YASASWINI (PG)
  • 2.
    CONTENTS:  Introduction;  Terminology; Anatomy of multirooted teeth;  Classification of furcation involvement;  Etiology;  Diagnosis;  Treatment;  Prognostic factors;  Failures in furcation therapy;  Current concepts;  Conclusion;  References.
  • 3.
    Introduction  Furcation involvementrefers to a condition in which the bifurcations and trifurcations of multi-rooted teeth are invaded by periodontal disease process.  Characterized by bone resorption and attachment loss in the interradicular space (Newmann et.al., 2010).
  • 4.
    TERMINOLOGIES  Root complexis the portion of a tooth that is located apical of the cemento-enamel junction (CEJ). The root complex may be divided into two parts: The root trunk and The root cone(s)
  • 5.
    Degree of separation: Theangle of separation Between two roots (cones). Divergence: The distance between two roots.
  • 6.
    Furcation Entrance Entrance: Thetransitional area between the undivided and the divided part of the root. Fornix: The roof of the furcation.
  • 7.
    DEFINITIONS Glickman (1950) :Commonlyoccurring condition in which the bifurcation and trifurcation of multi-rooted teeth are denuded by periodontal disease. Goldman & Cohen (1968) Extension of pocket into the interradicular area of bone in multirooted teeth. Prichard (1965) Bifurcation and trifurcation involvements are common periodontal lesions which occur a result of gingival inflammation and bone resorption adjacent to and with the furca of multi- rooted teeth.
  • 8.
  • 9.
    Class I Furcation This is an early lesion.  The pocket is suprabony, involving the soft tissue.  There is slight bone loss in the furcation area.  Radiographic change is not usual since bone loss is minimal.
  • 10.
    Class I Furcation Thelevel of bone loss allows for the insertion of the periodontal probe into the concavity of the root trunk.
  • 11.
     In this,bone is destroyed in one or more aspects of the furcation.  But a portion of the alveolar bone and periodontal ligament remain intact, permitting only partial penetration of the probe into the furca.  Radiographs may or may not reveal this type of furcation. Class II Furcation
  • 12.
    Class II Furcation Thelevel of bone loss allows for the insertion of a periodontal probe into the furcation area between the roots.
  • 13.
    Class III Communicatingor Through and Through Furcation  This type of furcation involvement the probe penetrates completely from one side to the other side characterized by severe bone destruction in the furcation area.  It is clearly shown in the radiographs as a radiolucent area in between the roots, especially in the lower molars.
  • 14.
    Class IV Furcation As in Class III, but the gingival tissues recede apically so that furcation is clearly visible.
  • 15.
    MODIFICATION OF GLICKMAN’S CLASSIFICATION: GRADE II degree I : vertical component of >1mm But <3mm  GRADE II degree II : vertical component of >3mm but not through & through.
  • 16.
    Hamp, Nyman &Lindhe`s Classification (1975)  CLASS I  CLASS II  CLASS III
  • 18.
    VERTICAL CLASSIFICATION 1984 Vertical component of furcation measured from floor of the furca to the roof of the furca
  • 19.
  • 20.
    ▪ Goldman 1958▪ Grade I : incipient. ▪ Grade II : cul-de-sac. ▪ Grade III : through & through. Easley and Drenman 1969 Class I : fluting coronal to furcation affected. no definite horizontal component. Class II :Type I – essentially horizontal, no buccal/lingual ledge. Type II - buccal/lingual ledge, definite vertical component. Class III : through & through.
  • 21.
    ▪ 1969 Staffileno▪ Grade I: Soft tissue lesion extending to the entrance of the furcation with minor degree of bone loss ▪ Grade II: Loss of furcal bone but not through and through ▪ Grade III: Through and through ▪Ramford & Ash 1979. ▪Class I : beginning involvement. Tissue destruction < 2mm ▪Class II : cul-de-sac > 2mm but not through & through. ▪Class III : through & through.
  • 22.
    ▪ Basaraba 1990Class I : initial/incipient furcal invasion Class II : partial/ patent furcal invasion Class III : communicating furcal invasion 1998 Hou et al Two subclasses (Subclass a and b): a: for Suprabony defects b: for infrabony defects Three types (A, B, and C): A: Root trunk represents the cervical one-third of the root complex B: Root trunk represents half of the root complex C: Root trunk represents the cervical two-thirds of the root complex
  • 23.
    Epidemiology Incidence and Distribution Lorato (1981) found that average no. of furcation involvement increased with age.  Most common - 1st permanent molars  Maxillary molars - buccal aspects more often invaded.  Maxillary premolars - Lower incidence of furcation.
  • 24.
  • 25.
  • 26.
    MICROBIAL DENTAL PLAQUE Extension of inflammatory periodontal disease in Furcation area leads to: A) Inter-radicular bone resorption B) Reduction of bone height and formation of furcation defect.  Furcation involvement is a phase in root ward extension of periodontal pocket(Glickman, 1950)
  • 27.
     Microbial dentalplaque is the microorganism colony found on the outer surface of the tooth, covering the tooth like a biofilm (Socransky and Haffajee, 2002)  Plaque’s bacteria are generally in harmony with the host and they consume endogenous nutrients (Salivary proteins and glycoproteins).  The existence of endogenous bacteria cause the formation of a low amount of acid and the settlement of exogenous microorganisms.
  • 28.
    CERVICAL ENAMEL PROJECTIONS Ectopic deposits of enamel apical to the level of the normal CEJ with a tapering form and extending towards or to the furcation areas are called Cervical enamel projections.  It has been observed that CEP’S occur in 13% of multirooted teeth
  • 29.
     Carranza &Jolkovsky…CEP have been implicated as etiologic factors in furcation defects due to the lack of connective tissue attachment on enamel surfaces.  Mandelaris et.al., reported that CEPs were found in 56.4% of all mandibular molars.  CEPs were more commonly found on the buccal than the lingual aspects..
  • 30.
    CLASSIFICATION OF CEP GradeI: Extension from CEJ of the tooth to furcation entrance. Grade II: Approaches entrance but does not enter the Furcation. Grade III: Extends horizontally into furcation. Masters and Hoskins(1964)
  • 31.
    Root Trunk length: Teeth with shorter trunks are more prone for development of furcation defects compared to ones with longer root trunk length.  Once the furcation is exposed, teeth with short root trunks may be more accessible to maintainence procedures.
  • 32.
     A molarwith a short root trunk is more vulnerable to furcal involvement, but has a better prognosis after treatment since less periodontal destruction has presumably occurred.  Alternatively, a furcation-involved molar with a long root trunk and short roots may not be a candidate for root resection, since these teeth lose more periodontal support with furcal invasion.
  • 33.
    Root length  Determinesthe amount of attachment or support that a tooth will have.  Teeth with long root trunks and short roots would have lost significant amount of support by the time the furcation is affected.  Teeth with long roots and short- to-moderate root trunk length are more readily treated because sufficient attachment remains to meet functional demands.
  • 34.
    Root form:  Themesial root of most mandibular 1st and 2nd molars and the mesiofacial root of the maxillary first molar are typically curved to the distal side in the apical third.  Grooves and concavities - plaque retentive areas hastening the process of periodontal breakdown leading to early furcation involvement.
  • 35.
    ROOT CONCAVITIES:  Bower1979, reported a 17–94% incidence of root depressions in maxillary roots and 99–100% in mandibular roots.  Booker 1989,,In a study of 50 maxillary first premolars, reported the presence of mesial concavities in 100% of examined teeth  In two-rooted maxillary premolars, they reported a buccal root furcal depression in 100% of the examined teeth at a level of 9.4 mm.
  • 36.
    ENAMEL PEARL:  Theprevalence of enamel pearls is less than that of cervical enamel projections.  In Maxillary 2nd molar -found near the CEJ extending into molar bifurcations  Prevent connective tissue attachment.  Moskow & Canut (1990), reported an incidence of 2.6%.  Like CEPs, enamel pearls contribute to the etiology of furcation involvement by preventing connective tissue attachment.
  • 37.
  • 38.
     Hou &Tsai et.al., Their results indicated that 63.2% of molars with furcation involvement had CEPs and intermediate bifurcation ridges, with mandibular 1st molars having a greater prevalence (67.9%) than mandibular 2nd molars (54.8%).
  • 39.
    PULPAL PATHOLOGY  Althoughthe role of pulpal pathology in the etiology of furcation involvement is still unclear, the high incidence of molar teeth with accessory canals supports such an association  Lowman et al. (1973), reported the incidence of accessory canals to be 55% in maxillary molars and 63% in mandibular molars  Alternatively, Kirkham (1975), found no accessory canals in the furcation areas of 45 maxillary and mandibular molars.  Another study done by Gutman (1978), reported a 29.4% incidence of accessory canals in mandibular molars and 27.4% in maxillary molars.
  • 40.
    TRAUMAFROMOCCLUSION  The periodontalfiber orientation in furcation areas facilitated a more rapid spread of inflammation and accounted for the increased susceptibility to occlusal forces.  The heavy occlusal load on molar teeth may render them susceptible to increased bone loss in the furcation areas if inflammation is present.  Glickman et.al.,(1961), reported that furcations are some of the more susceptible areas of the periodontium to excessive occlusal forces.
  • 41.
     Wang etal. (1994), reported that teeth with mobility and furcation involvement were more likely to lose attachment and to be extracted.  Waerhaug (1980), however, has suggested that increased mobility is a late symptom, rather than the cause of furcation defects.  Lindhe & Svanberg 1974, stated that trauma from occlusion coupled with gingival inflammation has been implicated in greater alveolar bone loss in experimental animals.
  • 42.
    VERTICAL ROOT FRACTURES Lommel et.al., (1978), reported that vertical root fractures are associated with rapid, localized alveolar bone loss.  Furcation defects can result if the fracture extends into the furcation area.  A poor prognosis is often given in these situations.
  • 43.
    IATROGENIC FACTORS  Overhangingrestorations present iatrogenic predisposing factors that may lead to furcation involvement  Wang et.al.,(1993), reported that molars with a crown or a proximal restoration had a significantly higher percentage of furcation involvement than non-restored teeth.  While only 39.1% of molars without restorations had furcation involvement, 52.8% of molars with class II restorations and 63.3% of molars with crowns were found to have furcation involvement.
  • 44.
    CLINICAL FEATURES  Sensitivityto thermal changes caused by caries or lacunar resorption of root in furcation.  Recurrent or constant throbbing pain caused by pulpal changes.  Sensitivity to percussion caused by acute inflammatory involvement of the PDL.  Acute periodontal or periapical abscess formation.
  • 45.
    DIAGNOSIS OF FURCATIONINVOLVEMENT  The buccal furcation entrance of the maxillary molars and the buccal and lingual furcation entrances of the mandibular molars are normally accessible for examination using a curved graduated periodontal probe (Naber’s probe), an explorer or a small curette.
  • 46.
    DIAGNOSIS  Mealy andBeybayer (1994) have investigated the role of transgingival probing in defining the anatomy of the furcation defect. They found it to be importance in determination of factors such as  Morphology of the tooth.  The position in relation to adjacent teeth.  Local anatomy of the alveolar bone.  Configuration of bone defects.  Presence and extent of other diseases such as caries and pulpal necrosis.
  • 47.
    BONE SOUNDING  Bonesounding or transgingival probing with local anesthesia may aid in the diagnosis of furcation defects by more accurately determining the underlying bony contours.  Greenberg et.al., (1976), reported that bone sounding yielded accurate measurements when compared to surgical entry measurements.  Kalkwarf & Reinhardt,1988 stated that diagnosing furcation invasion is therefore best accomplished using a combination of radiographs, periodontal probing with a curved explorer or Nabers probe, and bone sounding.
  • 48.
  • 49.
    RADIOGRAPHS IN FURCATIONDIAGNOSIS  Include paralleling, periapical & bitewing techniques.  Sometimes superimposition of palatal root or thick bone may obscure the furcation.  Slightest radiographic change in furcation area should be investigated clinically, especially if there is bone loss on adjacent roots.  Whenever there is marked bone loss in relation to a single molar root, it may be assumed that the furcation is also involved.
  • 50.
     Ross &Thompson (1980), reported that radiographs were able to detect furcation invasion in 22% of maxillary and 8% of mandibular molars.  This discrepancy was attributed to the difference in bone densities of the maxillary and mandibular arches.  Hardekopf et.al., (1987), reported a significant association between a radiographic ‘‘furcation arrow’’ and degree II and III maxillary interproximal furcation invasion.
  • 51.
     CONE BEAMCOMPUTEDTOMOGRAPHY (CBCT) TRANSVERSE CT CROSS SECTIONAL CT
  • 52.
    When compared toperiodontal probing and 2D intraoral radiography, 3D CBCT scanning was found to be more effective in assessing periodontal structures. observed that the mean length of the root trunk and the width of the furcation entrance revealed by CBCT were consistent with their respective intrasurgical values, though CBCT underestimated vertical and horizontal bone loss in the maxillary furcae. revealed that the number of FI detected by means of CBCT was larger than by means of periodontal probing.In cases where surgical treatment is necessary, CBCT may be suggested as an adjunct tool for FI assessment. Misch et.al.,2006 Wang et.al., 2014 Milena et.al.,2015
  • 53.
    PROGNOSIS 1. Morphology ofthe bone deformity. 2. Root anatomy. 3. Tooth morphology. 4.Chronicity of the destructive process. 5.Clinical crown to clinical root ratio. 6.Mobility. 7.Patients age and general health.
  • 54.
    MOSTPREDICTABLE MANDIBULAR OR MAXILLARY BUCCAL CLASSII FURCATION MESIAL OR DISTAL MAXILLARY CLASS II FURCATION LEAST PREDICTABLE CLASS III/IV FURCATIONS
  • 55.
     Grade I& II Furcation ----- Good Prognosis.  Grade III (early stage) ----- Fair Prognosis.  Grade III (advanced) & IV -- Poor Prognosis
  • 56.
  • 57.
    Factorstobe consideredforsuccessfultreatmentof furcationinvolvement: ▪Degree of Involvement; ▪ Crown: Root ratio; ▪ Length of roots ,Root anatomy/morphology; ▪ Degree of root separation; ▪ Residual tooth mobility; ▪ Need for endodontic treatment;
  • 58.
    ▪ Prosthetic requirements; ▪Periodontal condition of adjacent teeth; ▪ Ability to maintain oral hygiene; ▪ Quality of bone/ ability to place implants; ▪ Financial considerations; ▪ Long term prognosis.
  • 59.
    OBJECTIVES OF TREATMENT The elimination of microbial plaque from the exposed surface of root complex to Prevent further attachment loss.  The establishment of anatomy of affected surface that facilitates proper self performed plaque control.  Eliminating trauma & correcting Pulpal pathology.
  • 60.
    Three broad strategiesof furcation therapy (Kalkwarf & Reinhardt R.A 1988) Maintenance of the existing Furcation Increasing access to the Furcation Elimination of the Furcation
  • 61.
    FURCATION INVOLVEMENT DEGREEI  Non-surgical Treatment;(Oral Hygiene measurements and Scaling and Root planning)  Obliteration of furcation by restorative materials;  Furcation Plasty.
  • 62.
    Non-surgical Treatment:  1stapproach to all types of furcation involvements.  Non surgical Scaling & root planing often suffices in resolution of the inflammatory condition.  Healing re- establishes normal gingiva anatomy with properly adapted soft tissues and morphology optimal for good patient control.  May be the treatment of choice if surgery is contraindicated for medical or psychological reasons.
  • 63.
     The typeof instruments used also plays a significant role in more thorough furcation debridement (Fleischer et.al.,1989)  In 58% of upper and lower first molars, the furcation entrance diameter is narrower (<0.75 mm) than the width of conventional periodontal curette.  So, use of curettes alone would result in inadequate debridement of many furcation areas.  Ultrasonic tips and curettes have been found to be equally effective in wide furcations, but ultrasonic tips were more effective in narrow ones (Matia et.al.,1986)
  • 64.
     Leon andVogel (1987) reported that the use of ultrasonic scalers was more effective than hand scaling in close debridement of advanced furcations.  The large dimensions of conventional ultrasonic-tips inhibit entry into the furcation in some cases.  So many new designs of furcation tips were designed and developed and were shown to be superior to conventional sonic/ultrasonic inserts with greater accessibility and ease of instrumentation in furcation areas.
  • 65.
    Oda and Ishikawa(1989)  Designed a new ultrasonic scaler tip made of acid resistant stainless steel.  End of the tip was spherical (0.8 mm in diameter) to protect the root surfaces and soft tissue injury and improve contact with the root surfaces.  Tip was in the shape of a spiral with a radius of curvature of about 9 mm and available in clockwise and anticlockwise direction.
  • 66.
    CHEMOTHERAPY  The difficultiesof performing adequate debridement in furcations by mechanical means have prompted experimentation with chemotherapeutic agents in these areas.  Needleman & Watts (1997) - 1% metronidazole gel irrigation into furcation areas with grade II and III involvements during periodontal maintenance + subgingival scaling. Clinically, no further improvement was seen for the furcations treated with metronidazole.
  • 67.
     Nylund &Egelberg (1993): Subgingival irrigation with tetracycline for 3 months + mechanical debridement in furcations with grade I, II and III involvements. Results : Clinically negligible (1 mm) variation in both tetracycline and saline-irrigated furcations.  AR Pradeep et.al.,(2012) subgingivally delivered 1.2-mg simvastatin in the treatment of individuals with class II furcation defects used as an adjunct to scaling and root planing Vs SRP + placebo showed that the simvastatin administered group had a significantly greater gain in mean RVAL and RHAL (P <0.05). Results: Furthermore, significantly greater mean percentage of bone fill was found compared with placebo group .
  • 69.
    ODONTOPLASTY  Reshaping oftooth coronal to furcation to improve access for plaque control.  Widens entrance of the furca & reduces horizontal depth of the furcation involvement.  Removes plaque retentive areas like grooves, CEPs, cervical enamel pearls smooth areas.  Advised for Grade I & II lesions.
  • 70.
    Potential Complications Hypersenstivity; Pulpal irritation; Permanentchange; Pulp exposure; Increased risk of root caries.
  • 71.
    FURCATION PLASTY  Itis a resective surgical treatment associated with odontoplasty and osteoplasty.  It is used mainly at the buccal and lingual furcations.
  • 72.
    FURCATION INVOLVEMENT DEGREEII  Furcation plasty;  Tunnel preparation;  Root resection;  Tooth extraction;  Guided tissue regeneration.
  • 73.
    TUNNEL PREPARATION  Inadvanced lesions i.e. Deep Grade II and Grade III lesions.  Usually done in mandibular molars for clear two way access.  Implemented sometimes in maxillary molars.  It can be utilized only when the furcation entrance dimension is wide enough and coronally located to allow for an easy utilization of cleaning devices.
  • 74.
     However, oneof the three roots may have to be resected to improve accessibility to the furcation area. (Hellden et.al., 1989)  During surgery, bone is reshaped to obtain a scalloped morphology and the soft tissues are apically positioned.  Care must be taken that the space obtained under the roof of the furcation should allow proper plaque removal.
  • 76.
    Advantages:  Avoidance ofprosthetic reconstruction and endodontic therapy. Disadvantages:  Slight loss in attachment as a consequence of the therapy.  High rate of caries development.  Hellden et.al., 1989 evaluated 148 teeth with tunnel preparation for 37.5 months, 24% developed caries.
  • 77.
     Tunneling oftenfails because of decay in the furcation area (Lindhe, 1983).  Hellden and colleagues (1989) concluded that teeth with tunnel preparations have a considerably better prognosis than that previously reported.
  • 78.
    FURCATION INVOLVEMENT DEGREEIII  Tunnel preparation;  Root resection;  Tooth Extraction.
  • 79.
    ROOT SEPARATION ANDRESECTION(RSR)  Root separation involves the sectioning of the root complex and the maintenance of all roots.  Root resection involves the sectioning and the removal of one or two roots of a multi-rooted tooth.  RSR is frequently used in cases of deep degree II and degree III furcation involved molars.  Can be done on vital or endodontically treated teeth.
  • 80.
    FACTORS TO BECONSIDERED  The length of the root trunk;  The divergence between the root cones;  The length and the shape of the root cones;  Fusion between root cones;  Amount of remaining support around individual roots;  Stability of individual roots;  Access for oral hygiene devices.
  • 81.
    INDICATIONS OF RSR Teeth that have sufficient attachment remaining for function.  Teeth for which a more predictable or cost-effective method of therapy is not available.  Furcation defects that have been treated successfully with endodontics but present with a vertical root fracture, advanced bone loss, or caries on the root.  Teeth in patients with good oral hygiene and low activity for caries.  Root-resected teeth require endodontic treatment and usually cast restorations.
  • 82.
  • 83.
    GENERAL GUIDELINES  Removethe root(s) that will eliminate the furcation and allow the production of a maintainable architecture on the remaining roots.  Remove the root with the greatest amount of bone and attachment loss.  Sufficient periodontal attachment must remain after surgery for the tooth to withstand the functional demands.  Remove the root with the greatest number of anatomic problems such as severe curvature, developmental grooves, root flutings, or accessory and multiple root canals.  Remove the root that complicates future periodontal maintenance..
  • 84.
    ROOT RESECTION TECHNIQUE Under LA, elevate full thickness mucoperiosteal flap and debride the defect.  Removal of small amount of bone may be required to facilitate root removal.  With contra angles hand piece & cross- cut or a straight fissure bur, a cut directed just apical to contact point through the furcation to sever the root where it joins the crown.  Elevate & remove the root With stone or diamond point smooth the resected root stump & contour the tooth to create easily cleansable area.  Clean the area & apically position the flap ,suture & cover with periodontal pack.
  • 85.
     Carnevale et.al.,(1991) reported on the outcomes of 185 teeth treated with hemisection or root amputation with a 7– 11-year follow-up. Out of these 185 teeth, three teeth were lost, yielding a survival rate of 98.4%.  Hou et.al., (1999) reported a survival rate of 100% of 52 root-separated molars in a case series comprising 25 patients followed up for a mean observation period of 6.7 years (range 5–13 years).
  • 86.
    INDICATIONS FOR ROOTRESECTION Periodontal Indications: • Severe bone loss affecting one or more roots untreatable with regenerative procedures; • Class II or Class III furcation invasions; • Severe recession or dehiscence of a root. Prosthetic Indications: • Severe root proximity inadequate for a proper embrasure space; • Root trunk fracture or decay with invasion of the biological width.
  • 87.
    Endodontic or ConservativeIndications: • Inability to successfully treat and fill a canal; • Root fracture or root perforation; • Severe root resorption; • Root decay.
  • 88.
    Contraindications for RootResection  Restorative factors Strategic considerations • Internal root decay • Presence of a cemented post in the remaining root • Consider adjacent teeth for conventional prosthetic restoration • Consider removable Prosthesis • Consider implants
  • 89.
    HEMISECTION  In mandibularmolars with buccal & lingual Class II or Class III furcation involvement.  Vertically oriented cut is made bucco-lingually through the buccal & lingual developmental grooves through the pulp chamber and furcation.  Retained mesial or distal half serve as a useful abutment.
  • 90.
    BICUSPIDIZATION INDICATIONS :  Mandibularmolars with Buccal & Lingual Class II or III Furcation involvements.
  • 91.
    ROOT CONDITIONINIG ANDCORONALLY ADVANCED FLAP  Root conditioning combined with coronally advanced flap procedure.  Root conditioning is intended to decontaminate, detoxify and demineralize the root surface, removing the smear layer and exposing collagen matrix.  Agents commonly used : - Citric acid; - Tetracycline HCL; - Fibronectin; Others - EDTA, Detergents, Phosphoric acid, Bile salts.
  • 92.
     Acid etchingof the debrided planed root surface removes the smear layer on the denuded root surface and exposes Type I collagen chemotactic to fibroblasts.  Polson and Proye 1983 suggested that a fibrin linkage to the exposed collagen fibrils is a precursor to the connective tissue attachment. This fibrin network may serve to prevent apical migration of epithelium allowing migration of periodontal precursor cells to the root.  Crigger et.al., (1978), Nilveus et.al., (1980), Bogle et.al., (1981)-demonstrated increased amounts of new connective tissue attachment in furcation defects following acid conditioning compared with non-acid treated control.
  • 93.
    BONE GRAFTS  Thestrong focus on bone formation as a prerequisite for new attachment formation has led to implantation of bone grafts or different types of bone substitutes into furcation defects. i) Contain bone forming cells (osteogenesis); ii) Serve as a scaffold for bone formation (osteoconduction); iii) Matrix of the grafting material contains bone inductive substances (osteoinduction); Which would stimulate both the regrowth of alveolar bone and the formation of new attachment.
  • 95.
     Guided TissueRegeneration :Procedure attempting to regenerate lost periodontal structures through differential tissue responses.  Using GTR, Gottlow et.al., (1986) demonstrated clinical and histological resolution of angular as well as furcation defects in humans.  These barriers can be Absorbable/non-absorbable; Natural/synthetic.
  • 96.
     Clinical indications- Mandibular molar with a Class II furcation lesion.  Other furcation lesions in other areas of the mouth have also been approached with this therapeutic principle, although rendering different outcomes.  The first generation of GTR studies were carried out using non-resorbable expanded poly tetra fluoroethylene membranes.
  • 97.
    AAP PAPER ONPERIODONTAL REGENERATION IN FURCATIONS (WANG ET AL 2005) FOUND THE FOLLOWING:  GTR provided additional benefits over OFD in clinical attachment level, reduced probing in furcations.  Bone replacement grafts enhance GTR treatment outcomes in furcations.  Clinically, GTR procedures for furcations should be limited to mandibular and maxillary buccal grade II furcation defects.  Only limited results are obtainable for mandibular (grade III) and maxillary medial and distal grade I or III furcation defects.  Bone grafts have been found to enhance GTR outcomes in furcations but not in intrabony defects.
  • 98.
    ENAMEL MATRIX:  Playkey role in the development of tooth supporting tissues. These “matrix proteins” mediate the formation of acellular cementum on the root of the developing tooth, providing a foundation for all of the necessary tissues associated with a true functional attachment.  Sculean et.al., 2001,EMD may also promote periodontal regeneration by reducing dental plaque.  In an ex vivo dental plaque model, it was found that EMD had an inhibitory effect on dental plaque viability.
  • 99.
     Lyngstadaas et.al.,2001,Attachment rate, growth factor production (TGF- b1, IL-6, and PDGF-AB), proliferation, and metabolism of human PDL cells in culture were all significantly increased in the presence of EMD.  Gestrelius et.al., 1997, EMD favors mesenchymal cell growth over growth of epithelial cells. Furthermore, it had been shown earlier that EMD also seems to exhibit a cytostatic effect upon cultured epithelial cells.  Spahr et.al., 2002, EMD has a marked inhibitory effect on the growth of the Gram negative periodontal pathogens, without a similar effect on the Gram-positive bacteria In addition, it was demonstrated to have some antimicrobial effect in vivo.
  • 100.
    PATIENT FACTORS INFLUENCINGREGENERATION  Each patient has a different healing potential that can directly influence the response to treatment.  The patient-related factors which have negative influence on the regeneration – Smoking, Stress, Diabetes Mellitus, Acquired Immunodeficiency Syndrome And Other Acute And Debilitating Diseases, Presence Of Multiple Deep Periodontal Pockets.
  • 101.
    LOCAL FACTORS INFLUENCINGSUCCESSFUL REGENERATION  Furcal Anatomy;  Defect Morphology;  Thickness of Gingival Tissue;  Tooth Mobility - clinical relevance of mobility in regenerative therapy has not yet been elucidated.
  • 102.
    SURGICAL FACTORS INFLUENCINGREGENERATION  Infection control;  Bone replacement grafts combined with barriers or GTR alone;  Type of barrier;  Surgical technique;  Space maintenance under the barrier;  Membrane stability.
  • 103.
    POSTOPERATIVE FACTORS INFLUENCING REGENERATION Plaque control;  Membrane exposure;  Membrane retrieval;  Regular supportive periodontal care program.
  • 104.
    EXTRACTION  (Lindhe 1997)Extractionis the treatment of choice, when: 1) The patient’s oral hygiene will not maintain the tooth. 2) The patient does not choose to comply with restorative recommendations without which the tooth cannot survive. 3) Adjacent teeth would serve as adequate abutments. 4) Financial considerations 5) Extraction will improve the prognosis of the adjacent teeth by improving bone levels resulting from socket fill.
  • 105.
    FAILURE IN FURCATIONTHERAPY  Inadequate plaque control and maintenance;  Poor resection technique;  Improper restoration after initial periodontal therapy;  Root caries;  Patients who respond poorly despite the best treatment efforts;  Endodontic failure and root fracture.
  • 106.
    CURRENT CONCEPTS  SwaidFF, Riberio FV et.al., 2011.Investigated the use of Periodontal ligament cells in tissue engineering with GTR in Class II furcations in dogs. This histological study revealed promising results.  Anuj Sharma (2011) assessed the efficacy of PRF & OFD Vs OFD alone in grade II Mandibular defects, treated either with autologous PRF and OFD or OFD alone.  Results: statistically significant improvement at the sites treated with PRF and OFD compared to those with OFD alone.
  • 107.
     John Casper(2012) investigated the use of Porous titanium granules (PTG) in the treatment of class II buccal furcation defects in mandibular molars in humans.  Results: Study showed that PTG is safe to use in close proximity to root surfaces, but no significant improvements in clinical endpoints of defect resolution were observed.  Masao Ozasa et.al.,(2014) surgically created furcation defects in beagle dogs and the autologous transplantation of ADMPC (Adipose tissue derived Multilineage Progenitor cells) and fibrin gel was performed. Six weeks after transplantation periodontal regeneration was assessed using microCT  Results: showed a significant increase in bone formation at sites where ADMPCS where applied when compared to control sites.
  • 108.
     Sambhav Jainet.al., (2014) in a case report assessed the efficacy of PRF and ß Tricalcium phosphate in mandibular molar with recession and grade II Furcation defect.  Results: They observed complete root coverage with gain in CAL I Month postop. However extent of bone fill could not be assessed as the patient did not report for follow up.  Anuj sharma (2016) in an RCT on Rosuvastatin 1.2 mg in situ gel combined with 1:1 mixture of autologous platelet-rich fibrin and porous hydroxyapatite bone graft in mandibular class II furcation defects observed significant improvements of clinical and radiographic parameters in this group compared with OFD alone.
  • 109.
    CONCLUSION  Furcation involvementis a commonly encountered problem in day-to-day periodontal practice.  Indeed, some earlier authors have reported that periodontal pockets that involve the domes of furcations of multi-rooted teeth present a hopeless or at best an unfavorable prognosis and should be extracted.  However, long-term studies of treated teeth with furcations have shown impressive on retention for up to 50 years.  The key to long-term success appears to be “thorough diagnosis, selection of patient with good oral hygiene and careful surgical and restorative management.”
  • 110.
    REFERENCES  Carranza clinicalPeriodontology 11th edition  Jan Lindhe, Clinical Periodontology and Implant dentistry:6th ed.  Al-Shammari KF, Kazor CE, Wang H-L: Molar root anatomy and management of furcation defects. J Clin Periodontol 2001; 28: 730–740.  Huynh-Ba G, Kuonen P, Hofer D, Schmid J, Lang NP, Salvi GE. The effect of periodontal therapy on the survival rate and incidence of complications of multirooted teeth with furcation involvement after an observation period of at least 5 years: a systematic review.J Clin Periodontol 2009; 36: 164–176.  MASSIMO DESANCTIS & KEVIN G.MURPHY The role of resective periodontal surgery in the treatment of furcation defects Periodontology 2000, Vol. 22, 2000, 154–168.
  • 111.
     Sánchez-Pérez A,Moya- Villaescusa MªJ. Periodontal disease affecting tooth furcations. A review of the treatments available. Med Oral Patol Oral Cir Bucal. 2009 Oct 1;14 (10):e554-7.  Tanya Nandkeoliar, Ajeya Kumara E G, Meenu Dangi,Sinam Subhas Chandra Singh, Ujjwala Rastogi, Chengappa M U.furcation – an unsolved mystery. IJOCR Jul - Sep 2014; Volume 2 Issue 5.  Gustavo Avila-Ortiz, Juan G. De Buitrago, and Michael S. Reddy Periodontal Regeneration – Furcation Defects: A Systematic Review From the AAP Regeneration Workshop. Periodontol 2015;86(Suppl.):S108-S130.  Chowdhary Z, Mohan R. Furcation involvement: Still a dilemma. Indian J Multidiscip Dent 2017;7:34-40.

Editor's Notes

  • #23 Three classes (Class I, II, and III): Classes are the same as grades in the classification by Hamp et al Two subclasses (Subclass a and b): a: for suprabony defects b: for infrabony defects Three types (A, B, and C): A: Root trunk represents the cervical one-third of the root complex B: Root trunk represents half of the root complex C: Root trunk represents the cervical two-thirds of the root complex