CASE PRESENTATION ON
PATELLA FRACTURE
By
BASIL WILSON
13Q0408
PHARM D IVth yr
The patello-femoral joint is the
heaviest-loaded joint in the body. Any
compromise of the joint surface is
likely to lead to degenerative joint
disease. It is, therefore, highly
desirable, in patellar fractures to strive
for anatomical reduction of the joint
surface and stable fixation.
The patella is the largest sesamoid
bone in the human body. It is located
within the extensor apparatus of the
knee.
A patella fracture is a fracture of the kneecap,
which is one of the most common knee injuries. It
is usually the result of a hard blow to the front of
the knee.
Currently three forms of operative treatment for
displaced
patella fractures are most commonly utilized.
• Open reduction and internal fixation, usually with a
tension
band wiring technique or cannulated screw tension
band
technique
• Partial patellectomy
• Total patellectomy
A–L: Illustrations of patellar fracture fixation constructs.
Patellar Fracture Classification
Patellar fracture classification is typically descriptive in nature, and can be based
on fracture pattern, degree of displacement, or mechanism of injury.
Demographic Details
Name : ABC Age : 45 Sex : F
I.P No : 1679 Dept. : Orthopaedics Unit : A
D.O.A : 15/01/2017 D.O.D :02/01/2017
Reason For Admission
History Of Present Illness
H/o fall yesterday morning
H/o pain in left patella
Swelling of left leg
Loss of consciousness for 5-10 minutes
H/o injury to head
C/O trauma to forehead and left knee
Patient was apparently alright till yesterday
morning, then she had a h/o fall. C/o pain insidious
in onset, gradually progressive in nature. Patient
also c/o swelling, initially of peanut size now
progressed to present size.
H/O unconsciousness
Family History
 Diet : Veg
 Sleep : Normal
 Appetite : Good
 Habits : Nil
No Known Allergies
General Physical Examination
Patient is moderately built and nourished, well
oriented to Time Place & Person
Afebrile
Oedema positive
BP : 170/100 mmHg
PR : 78 bpm
Local Examination
Tenderness - +ve(over left knee)
Peripheral Sensation - +ve
Swelling - +ve
Investigations
CBC
X-RAY
RBS
HIV
HBs Ag
Sr. CREATININE
Sr. UREA
ECG
CHEST X-RAY
BT & CT
Provisional Diagnosis :
LEFT PATELLA FRACTURE
INVESTIGATIONS RESULTS REFERENCE
Hb (g/dl) 10.2 ↓ 12.0-16.0
WBC 4800 4500-10500
Lymphocytes 30 20-40 %
Monocytes 03 0-7 %
Basophils 00 0-1 %
Eosinophils 02 0-5 %
Polymorphs 65 45-75 %
RBC (millions/uL) 3.97 ↓ 4.2-5.4
Platelet (cells/mm3) 285000 150000-450000
RBS (mg/dL) 105 65-140
Laboratory Data
INVESTIGATIONS RESULTS REFERENCE
ELECTROLYTES
Sodium (mEq/L) 136 135-147
Potassium (mEq/L) 4.2 3.5-5.2
Calcium (mEq/L) 103 95-107
ECG Normal
BT (min) 3.30 1-6
CT (min) 5.30 5-10
Sr. Urea (mg%) 12 10-50
Sr. Creatinine (mg/dl) 0.8 0.6-1.2
TREATMENT CHART
BRAND NAME GENERIC NAME DOSE ROUTE FREQUENCY DAYS
Tab. ZERODOL SP PARACETAMOL
ACECLOFENAC
SERATIOPEPTIDASE
500 MG P/O 1-0-1 1-6
Tab. RAZO RABEPRAZOLE 20 MG P/O 1-0-0 1-6
INJ.VOVERAN DICLOFENAC 75 MG IM S-O-S 1-2
TAB.XTRACAL CALCITRIOL
CALCIUM CITRATE
1 GM P/O 0-1-0 1-6
Daily Assessments
Day 2
c/o pain in left knee
Afebrile
PR : 78 bpm
B.P : 170/80 mmHg
L/E : Tenderness +
Swelling +
Treatment Advice
Tab. Zerodol sp 1-0-1
Tab. Razo 1-0-0
Tab. Xtracal CT 0-1-0
Inj. Voveran 75mg IM sos
Day 3
Afebrile Continue Same Treatment
C/o pain in left knee
B.P : 136/84
P.R : 80 bpm
L/E : Tenderness +
Swelling +
Day 4
Afebrile
C/o pain in left knee
B.P : 130/90
P.R : 80 bpm
L/E : Tenderness +
Swelling +
Day 5
Afebrile Continue Same Treatment
C/o pain in left knee
B.P : 130/90
P.R : 78 bpm
L/E : Tenderness +
Swelling +
Day 6
Afebrile
C/o pain in left knee
B.P : 130/90
P.R : 78 bpm
L/E : Tenderness +
Swelling +
Treatment Advice
Tab. Zerodol sp 1-0-1
Tab. Razo 1-0-0
Tab.Xtracal CT 0-1-0
SURGERY TOMORROW
PRE-OPERATIVE DIAGNOSIS:
LEFT PATELLA FRACTURE
PROPOSED SURGERY :
TBW
(TENSION BAND WIRING)
A tension band wire is a form of
orthopaedic internal
fixation method used to convert
distraction forces into compression
forces, promoting bone healing.
Tension-band wiring is commonly
used to treat transverse patella
fractures. The most common
configuration has parallel Kirschner
(K) wires and a stainless steel wire
loop placed in a vertically oriented
figure of eight.
Tension band principles
The forces produced by the quadriceps
on patellar fractures are significant and
cause early fixation failure.
In most cases, the stability necessary to
achieve this is obtained using the
tension band fixation.
The anterior tension band converts tensile forces on the
anterior aspect of the knee joint into compression forces
at the joint line.
In the patella, an anterior figure-of-eight wire loop acts
as a tension band during flexion of the knee.
Multi fragmentary patellar fractures cannot be fixed with
a tension band.
The figure-of-eight wire loop lies on the anterior surface
of the patella and acts as a tension band when tightened.
PRE-OPERATIVE ORDERS
NBM
Informed Written Consent
Inj.TT 0.5 CC
Inj. Ceftriaxone 1 gm IV
Inj. Amikacin 500 mg IV
Inj. Emset 4 mg IV
Inj. Rantac 50 mg IV
Informed OT Staff
Shift the patient to OT at 8:30 AM
ANAESTHESIA RECORD
INDUCTION : Under SPINAL ANAESTHESIA
Under Aseptic precautions LP
(LUMBAR PUNCTURE) was
done at L3 &L4 in sitting position
with 25-guage needle. Free flow
of CSF is seen.
Inj. ANACAINE
(BENZOCAINE) 0.5 % 2.5 cc is
given. Adequate block achieved.
Vitals monitored and maintained.
SPINAL ANAESTHESIA
Spinal anaesthesia , also called
spinal block, subarachnoid block,
intradural block and intrathecal
block, is a form of regional
anaesthesia involving the injection
of a local anaesthetic into the
subarachnoid space, generally
through a fine needle, usually 9 cm
(3.5 in) long.
A spinal anaesthetic delivers drug to
the intrathecal space (the CSF), and
acts on the spinal cord directly.
Regardless of the drug used,
the desired effect is to block
the transmission of afferent
nerve signals from peripheral
nociceptors. Sensory signals
from the site are blocked,
thereby eliminating pain. The
degree of neuronal blockade
depends on the amount and
concentration of local
anaesthetic used and the
properties of the axon.
Use the 10-mL syringe to administer a local
anaesthetic . Raise a skin wheal using the 25-gauge
needle, then switch to the longer 20-gauge needle
to anesthetize the deeper tissue. Insert the needle
all the way to the hub, aspirate to confirm that the
needle is not in a blood vessel, and then inject a
small amount as the needle is withdrawn a few
centimetres. Continue this process above, below,
and to the sides very slightly (using the same
puncture site).
OPERATIVE NOTES
Patient is under Spinal Anaesthesia in supine
position on OT table. Parts are scrubbed, painted,
and draped. IV antibiotics given.
Vertical incision taken over the patella. The patella
fracture site identified. Fracture site is cleared off
with the help of bone-nibbler. Reduction achieved
with the help of 2 patella holding clamps.2 parallel
K-wire is passed vertical through the patella.18
gauge SS wire is bound around wire in ‘8’-
shape.Tension is created and compressing of
fracture achieved. Thorough wash is given. Stitch
skin. Dressing done. Patient shifted to recovery
room.
POST OPERATIVE NOTES
NBM for 6 hours
Monitor vitals
Inj. Xone 1 gm IV BD
Inj. Amikacin 500 mg BD
Inj. Emset 4 mg IV BD
Inj. Tramadol 1 amp in 100 ml NS
Inj. Pantop 50 mg IV BD
Tab. Xtracal CT 0-0-1
IVF – 1 pint NS & 1 pint DNS @50 ml/hr
TREATMENT CHART (POST-OPERATIVE)
BRAND NAME GENERIC NAME DOSE ROUTE FREQUENCY PO-DAYS
INJ. CEFTRIAXONE CEFTRIAXONE 1 GM IV 1-0-1 1-5
INJ. AMIKACIN AMIKACIN 500 MG IV 1-0-1 1-2
INJ. RANTAC RANITIDINE 50 MG IV 1-0-1 1-4
TAB-5-8
INJ.VOVERAN DICLOFENAC 75 MG IM S-O-S 1-2
INJ. TRAMADOL TRAMADOL 50MG IN
100MLNS
IV 1-0-1 1
TAB. ZERODOL SP ACECLOFENAC
PARACETAMOL
SERRATIOPEPTIDASE
500 MG P/O 1-0-1 1-8
TAB.XTRACAL CALCITRIOL
CALCIUM CITRATE
1 GM P/O 0-1-0 2-10
SYP. A-Z MULTIVITAMIN 2.5 ML P/O √-×-√ 3-10
TAB. COVATIL CEFUROXIME 500 MG P/O 1-0-1 5-10
TAB. RAZO RABEPRAZOLE 20 MG P/O 1-0-0 9-10
PHYSIOTHERAPY
DAYS POD 2 POD 3 POD 4 POD 5 POD 6
PHYSIOTHERAP
Y
√ √ √ √ √
Day 8
POD 1
GC fair
Afebrile
BP : 130/90 mmHg
PR : 82 bpm
L/E
Tenderness +ve
Dressings intact
Treatment Advice
Inj. Ceftriaxone 1 gm IV 1-0-1
Inj. Amikacin 500 mg IV 1-0-1
Inj. Rantac IV 1-0-1
Inj. Voveran IM s-o-s
Inj. Tramadol IV 100 ml NS 1-0-1
Inj. Emset IV s-o-s
Tab. Zerodol sp 1-0-1
Day 9
POD 2
C/O pain at operated site
Afebrile
BP : 130/80 mmHg
PR : 88 bpm
L/E
Tenderness +ve
Dressings intact
No soakage
Treatment Advice
Inj. Ceftriaxone 1 gm IV 1-0-1
Inj. Amikacin 500 mg IV 1-0-1
Inj. Rantac 1 amp IV 1-0-1
Inj. Voveran IM s-o-s
Tab. Zerodol sp 1-0-1
Tab. Xtracal CT 0-1-0
Day 10
POD 3
C/O Pain over operated site
O/E PR :80 bpm
BP :110/70 mmHg
L/E Tenderness +ve
No soakage
Continue Same Treatment
ADD-Syp. A-Z 5 ml √-0-√
Long Knee Brace
Day 11
POD 4
C/O Pain over operated site
O/E PR :80 bpm
BP :130/80 mmHg
L/E Tenderness +ve
No soakage
Continue Same Treatment
Day 12
POD 5
No Fresh Complaints
O/E Afebrile
PR :80 bpm
BP :130/80 mmHg
L/E Tenderness +ve
No soakage
Dressing intact
TREATMENT ADVICE
Tab. Covatil 500 mg 1-0-1
Tab. Rantac 1-0-1
Tab. Zerodol sp 1-0-1
Tab. Xtracal CT 0-1-0
Syp. A-Z 2.5 ml BD
Day 13
POD 6
No Fresh Complaints
O/E PR :80 bpm
BP :132/80 mmHg
L/E Dressings intact
No soakage
Continue Same Treatment
Day 14
POD 7
No Fresh Complaints
O/E PR :80 bpm
BP :120/80 mmHg
L/E Dressings intact
No soakage
Continue Same Treatment
Day 15
POD 8
No Fresh Complaints
O/E PR :80 bpm
BP :120/80 mmHg
L/E Dressing intact
No soakage
Continue Same Treatment
Day 16
POD 9
No Fresh Complaints
O/E PR :80 bpm
BP :120/80 mmHg
L/E Tenderness reduced
No soakage
Peripheral Pulsation +ve
Treatment Advice
Tab. Covatil 500 mg 1-0-1
Tab. Razo 1-0-0
Tab. Xtracal CT 0-1-0
Syp. A-Z 2.5ml BD
Day 17
POD 10
GC Fair
O/E PR :80 bpm
BP :130/80 mmHg
L/E Tenderness reduced
Peripheral Pulsation +ve
Continue Same Treatment
FINAL DIAGNOSIS
PATELLA FRACTURE
BRAND NAME GENERIC NAME DOSE ROUTE FREQUENCY DURATION
TAB. COVATIL CEFUROXIME 500 MG P/O 1-0-1 10 DAYS
TAB. RAZO RABEPRAZOLE 20 MG P/O 1-0-0 10 DAYS
TAB. XTRACAL CT CALCIUM CITRATE
CALCITRIOL
1 GM P/O 0-1-0 30 DAYS
SYP. A-Z MULTIVITAMIN 2.5 ML P/O √-×-√ 10 DAYS
DISCHARGE MEDICATIONS
PHARMACEUTICAL CARE PLAN
Subjective Evidence
Objective Evidence
H/O Fall
Swelling in left leg
H/O Pain in the left patella
X-RAY of left leg showing Fracture of patella
Assessment
Based on the Subjective and Objective evidences ,
it is assessed that the patient is suffering from
LEFT PATELLA FRACTURE
Plan
Treatment Goals
Doing the Surgery successfully
Reduce Pain and swelling
Prevent possible surgical site infections
Improve the quality of life
Surgery done successfully
Swelling reduced
Tenderness reduced
Drugs : ACECLOFENAC-DICLOFENAC
Severity : MAJOR
Summary : Concurrent use of DICLOFENAC and
NSAIDs may result in increased risk of bleeding.
Not seen in the patient
Patient Counselling
About drugs
• Pantoprazole-should be taken 1hr before
food
• Do not skip the medication .
• Strictly adhere to medication .
RECOVERY
Recovery times after a broken knee cap can vary with the degree of
severity of the fracture. Normally, a patella fracture is healed enough
in 8-12 weeks to allow the patient to resume walking. In order to
ensure movement is maintained in the knee after treatment, handling
of the knee should be careful during the treatment phase to ensure
there is no lingering scar tissue that can hinder recovery.
It is not only the bone that is damaged by a patella fracture, as
muscles will necessarily weaken due to lack of use of the limb
throughout the healing time. Without a strong physiotherapy
programme, a patient may not recover full strength again in their leg
for eight months to a year. Physiotherapy shortens the amount of time
muscles take to get back to full strength and level of flexibility by
several months. Most patients will fully recover by six months if
using appropriate physiotherapy.
Life Style Modification
Avoid walking through stairs
Avoid doing hard works
Avoid lifting heavy weights
Reduce activities that requires
bending of knee
Wear Knee brace or other protective
bandage to get extra support
Fracture of patella

Fracture of patella

  • 1.
    CASE PRESENTATION ON PATELLAFRACTURE By BASIL WILSON 13Q0408 PHARM D IVth yr
  • 2.
    The patello-femoral jointis the heaviest-loaded joint in the body. Any compromise of the joint surface is likely to lead to degenerative joint disease. It is, therefore, highly desirable, in patellar fractures to strive for anatomical reduction of the joint surface and stable fixation. The patella is the largest sesamoid bone in the human body. It is located within the extensor apparatus of the knee.
  • 3.
    A patella fractureis a fracture of the kneecap, which is one of the most common knee injuries. It is usually the result of a hard blow to the front of the knee. Currently three forms of operative treatment for displaced patella fractures are most commonly utilized. • Open reduction and internal fixation, usually with a tension band wiring technique or cannulated screw tension band technique • Partial patellectomy • Total patellectomy
  • 4.
    A–L: Illustrations ofpatellar fracture fixation constructs.
  • 5.
    Patellar Fracture Classification Patellarfracture classification is typically descriptive in nature, and can be based on fracture pattern, degree of displacement, or mechanism of injury.
  • 6.
    Demographic Details Name :ABC Age : 45 Sex : F I.P No : 1679 Dept. : Orthopaedics Unit : A D.O.A : 15/01/2017 D.O.D :02/01/2017
  • 7.
    Reason For Admission HistoryOf Present Illness H/o fall yesterday morning H/o pain in left patella Swelling of left leg Loss of consciousness for 5-10 minutes H/o injury to head C/O trauma to forehead and left knee Patient was apparently alright till yesterday morning, then she had a h/o fall. C/o pain insidious in onset, gradually progressive in nature. Patient also c/o swelling, initially of peanut size now progressed to present size. H/O unconsciousness
  • 8.
    Family History  Diet: Veg  Sleep : Normal  Appetite : Good  Habits : Nil No Known Allergies
  • 9.
    General Physical Examination Patientis moderately built and nourished, well oriented to Time Place & Person Afebrile Oedema positive BP : 170/100 mmHg PR : 78 bpm
  • 10.
    Local Examination Tenderness -+ve(over left knee) Peripheral Sensation - +ve Swelling - +ve
  • 11.
  • 12.
  • 13.
    INVESTIGATIONS RESULTS REFERENCE Hb(g/dl) 10.2 ↓ 12.0-16.0 WBC 4800 4500-10500 Lymphocytes 30 20-40 % Monocytes 03 0-7 % Basophils 00 0-1 % Eosinophils 02 0-5 % Polymorphs 65 45-75 % RBC (millions/uL) 3.97 ↓ 4.2-5.4 Platelet (cells/mm3) 285000 150000-450000 RBS (mg/dL) 105 65-140 Laboratory Data
  • 14.
    INVESTIGATIONS RESULTS REFERENCE ELECTROLYTES Sodium(mEq/L) 136 135-147 Potassium (mEq/L) 4.2 3.5-5.2 Calcium (mEq/L) 103 95-107 ECG Normal BT (min) 3.30 1-6 CT (min) 5.30 5-10 Sr. Urea (mg%) 12 10-50 Sr. Creatinine (mg/dl) 0.8 0.6-1.2
  • 17.
    TREATMENT CHART BRAND NAMEGENERIC NAME DOSE ROUTE FREQUENCY DAYS Tab. ZERODOL SP PARACETAMOL ACECLOFENAC SERATIOPEPTIDASE 500 MG P/O 1-0-1 1-6 Tab. RAZO RABEPRAZOLE 20 MG P/O 1-0-0 1-6 INJ.VOVERAN DICLOFENAC 75 MG IM S-O-S 1-2 TAB.XTRACAL CALCITRIOL CALCIUM CITRATE 1 GM P/O 0-1-0 1-6
  • 18.
    Daily Assessments Day 2 c/opain in left knee Afebrile PR : 78 bpm B.P : 170/80 mmHg L/E : Tenderness + Swelling + Treatment Advice Tab. Zerodol sp 1-0-1 Tab. Razo 1-0-0 Tab. Xtracal CT 0-1-0 Inj. Voveran 75mg IM sos
  • 19.
    Day 3 Afebrile ContinueSame Treatment C/o pain in left knee B.P : 136/84 P.R : 80 bpm L/E : Tenderness + Swelling + Day 4 Afebrile C/o pain in left knee B.P : 130/90 P.R : 80 bpm L/E : Tenderness + Swelling +
  • 20.
    Day 5 Afebrile ContinueSame Treatment C/o pain in left knee B.P : 130/90 P.R : 78 bpm L/E : Tenderness + Swelling + Day 6 Afebrile C/o pain in left knee B.P : 130/90 P.R : 78 bpm L/E : Tenderness + Swelling + Treatment Advice Tab. Zerodol sp 1-0-1 Tab. Razo 1-0-0 Tab.Xtracal CT 0-1-0 SURGERY TOMORROW
  • 21.
    PRE-OPERATIVE DIAGNOSIS: LEFT PATELLAFRACTURE PROPOSED SURGERY : TBW (TENSION BAND WIRING)
  • 22.
    A tension bandwire is a form of orthopaedic internal fixation method used to convert distraction forces into compression forces, promoting bone healing. Tension-band wiring is commonly used to treat transverse patella fractures. The most common configuration has parallel Kirschner (K) wires and a stainless steel wire loop placed in a vertically oriented figure of eight.
  • 23.
    Tension band principles Theforces produced by the quadriceps on patellar fractures are significant and cause early fixation failure. In most cases, the stability necessary to achieve this is obtained using the tension band fixation.
  • 24.
    The anterior tensionband converts tensile forces on the anterior aspect of the knee joint into compression forces at the joint line. In the patella, an anterior figure-of-eight wire loop acts as a tension band during flexion of the knee. Multi fragmentary patellar fractures cannot be fixed with a tension band. The figure-of-eight wire loop lies on the anterior surface of the patella and acts as a tension band when tightened.
  • 25.
    PRE-OPERATIVE ORDERS NBM Informed WrittenConsent Inj.TT 0.5 CC Inj. Ceftriaxone 1 gm IV Inj. Amikacin 500 mg IV Inj. Emset 4 mg IV Inj. Rantac 50 mg IV Informed OT Staff Shift the patient to OT at 8:30 AM
  • 26.
    ANAESTHESIA RECORD INDUCTION :Under SPINAL ANAESTHESIA Under Aseptic precautions LP (LUMBAR PUNCTURE) was done at L3 &L4 in sitting position with 25-guage needle. Free flow of CSF is seen. Inj. ANACAINE (BENZOCAINE) 0.5 % 2.5 cc is given. Adequate block achieved. Vitals monitored and maintained.
  • 27.
    SPINAL ANAESTHESIA Spinal anaesthesia, also called spinal block, subarachnoid block, intradural block and intrathecal block, is a form of regional anaesthesia involving the injection of a local anaesthetic into the subarachnoid space, generally through a fine needle, usually 9 cm (3.5 in) long. A spinal anaesthetic delivers drug to the intrathecal space (the CSF), and acts on the spinal cord directly.
  • 28.
    Regardless of thedrug used, the desired effect is to block the transmission of afferent nerve signals from peripheral nociceptors. Sensory signals from the site are blocked, thereby eliminating pain. The degree of neuronal blockade depends on the amount and concentration of local anaesthetic used and the properties of the axon.
  • 29.
    Use the 10-mLsyringe to administer a local anaesthetic . Raise a skin wheal using the 25-gauge needle, then switch to the longer 20-gauge needle to anesthetize the deeper tissue. Insert the needle all the way to the hub, aspirate to confirm that the needle is not in a blood vessel, and then inject a small amount as the needle is withdrawn a few centimetres. Continue this process above, below, and to the sides very slightly (using the same puncture site).
  • 30.
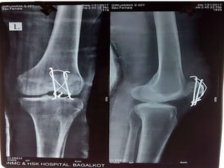
    OPERATIVE NOTES Patient isunder Spinal Anaesthesia in supine position on OT table. Parts are scrubbed, painted, and draped. IV antibiotics given. Vertical incision taken over the patella. The patella fracture site identified. Fracture site is cleared off with the help of bone-nibbler. Reduction achieved with the help of 2 patella holding clamps.2 parallel K-wire is passed vertical through the patella.18 gauge SS wire is bound around wire in ‘8’- shape.Tension is created and compressing of fracture achieved. Thorough wash is given. Stitch skin. Dressing done. Patient shifted to recovery room.
  • 31.
    POST OPERATIVE NOTES NBMfor 6 hours Monitor vitals Inj. Xone 1 gm IV BD Inj. Amikacin 500 mg BD Inj. Emset 4 mg IV BD Inj. Tramadol 1 amp in 100 ml NS Inj. Pantop 50 mg IV BD Tab. Xtracal CT 0-0-1 IVF – 1 pint NS & 1 pint DNS @50 ml/hr
  • 33.
    TREATMENT CHART (POST-OPERATIVE) BRANDNAME GENERIC NAME DOSE ROUTE FREQUENCY PO-DAYS INJ. CEFTRIAXONE CEFTRIAXONE 1 GM IV 1-0-1 1-5 INJ. AMIKACIN AMIKACIN 500 MG IV 1-0-1 1-2 INJ. RANTAC RANITIDINE 50 MG IV 1-0-1 1-4 TAB-5-8 INJ.VOVERAN DICLOFENAC 75 MG IM S-O-S 1-2 INJ. TRAMADOL TRAMADOL 50MG IN 100MLNS IV 1-0-1 1 TAB. ZERODOL SP ACECLOFENAC PARACETAMOL SERRATIOPEPTIDASE 500 MG P/O 1-0-1 1-8 TAB.XTRACAL CALCITRIOL CALCIUM CITRATE 1 GM P/O 0-1-0 2-10 SYP. A-Z MULTIVITAMIN 2.5 ML P/O √-×-√ 3-10 TAB. COVATIL CEFUROXIME 500 MG P/O 1-0-1 5-10 TAB. RAZO RABEPRAZOLE 20 MG P/O 1-0-0 9-10
  • 34.
    PHYSIOTHERAPY DAYS POD 2POD 3 POD 4 POD 5 POD 6 PHYSIOTHERAP Y √ √ √ √ √
  • 35.
    Day 8 POD 1 GCfair Afebrile BP : 130/90 mmHg PR : 82 bpm L/E Tenderness +ve Dressings intact Treatment Advice Inj. Ceftriaxone 1 gm IV 1-0-1 Inj. Amikacin 500 mg IV 1-0-1 Inj. Rantac IV 1-0-1 Inj. Voveran IM s-o-s Inj. Tramadol IV 100 ml NS 1-0-1 Inj. Emset IV s-o-s Tab. Zerodol sp 1-0-1
  • 36.
    Day 9 POD 2 C/Opain at operated site Afebrile BP : 130/80 mmHg PR : 88 bpm L/E Tenderness +ve Dressings intact No soakage Treatment Advice Inj. Ceftriaxone 1 gm IV 1-0-1 Inj. Amikacin 500 mg IV 1-0-1 Inj. Rantac 1 amp IV 1-0-1 Inj. Voveran IM s-o-s Tab. Zerodol sp 1-0-1 Tab. Xtracal CT 0-1-0
  • 37.
    Day 10 POD 3 C/OPain over operated site O/E PR :80 bpm BP :110/70 mmHg L/E Tenderness +ve No soakage Continue Same Treatment ADD-Syp. A-Z 5 ml √-0-√ Long Knee Brace
  • 38.
    Day 11 POD 4 C/OPain over operated site O/E PR :80 bpm BP :130/80 mmHg L/E Tenderness +ve No soakage Continue Same Treatment
  • 39.
    Day 12 POD 5 NoFresh Complaints O/E Afebrile PR :80 bpm BP :130/80 mmHg L/E Tenderness +ve No soakage Dressing intact TREATMENT ADVICE Tab. Covatil 500 mg 1-0-1 Tab. Rantac 1-0-1 Tab. Zerodol sp 1-0-1 Tab. Xtracal CT 0-1-0 Syp. A-Z 2.5 ml BD
  • 40.
    Day 13 POD 6 NoFresh Complaints O/E PR :80 bpm BP :132/80 mmHg L/E Dressings intact No soakage Continue Same Treatment
  • 41.
    Day 14 POD 7 NoFresh Complaints O/E PR :80 bpm BP :120/80 mmHg L/E Dressings intact No soakage Continue Same Treatment
  • 42.
    Day 15 POD 8 NoFresh Complaints O/E PR :80 bpm BP :120/80 mmHg L/E Dressing intact No soakage Continue Same Treatment
  • 43.
    Day 16 POD 9 NoFresh Complaints O/E PR :80 bpm BP :120/80 mmHg L/E Tenderness reduced No soakage Peripheral Pulsation +ve Treatment Advice Tab. Covatil 500 mg 1-0-1 Tab. Razo 1-0-0 Tab. Xtracal CT 0-1-0 Syp. A-Z 2.5ml BD
  • 44.
    Day 17 POD 10 GCFair O/E PR :80 bpm BP :130/80 mmHg L/E Tenderness reduced Peripheral Pulsation +ve Continue Same Treatment
  • 45.
  • 46.
    BRAND NAME GENERICNAME DOSE ROUTE FREQUENCY DURATION TAB. COVATIL CEFUROXIME 500 MG P/O 1-0-1 10 DAYS TAB. RAZO RABEPRAZOLE 20 MG P/O 1-0-0 10 DAYS TAB. XTRACAL CT CALCIUM CITRATE CALCITRIOL 1 GM P/O 0-1-0 30 DAYS SYP. A-Z MULTIVITAMIN 2.5 ML P/O √-×-√ 10 DAYS DISCHARGE MEDICATIONS
  • 47.
    PHARMACEUTICAL CARE PLAN SubjectiveEvidence Objective Evidence H/O Fall Swelling in left leg H/O Pain in the left patella X-RAY of left leg showing Fracture of patella
  • 49.
    Assessment Based on theSubjective and Objective evidences , it is assessed that the patient is suffering from LEFT PATELLA FRACTURE
  • 50.
    Plan Treatment Goals Doing theSurgery successfully Reduce Pain and swelling Prevent possible surgical site infections Improve the quality of life
  • 51.
    Surgery done successfully Swellingreduced Tenderness reduced
  • 52.
    Drugs : ACECLOFENAC-DICLOFENAC Severity: MAJOR Summary : Concurrent use of DICLOFENAC and NSAIDs may result in increased risk of bleeding. Not seen in the patient
  • 53.
    Patient Counselling About drugs •Pantoprazole-should be taken 1hr before food • Do not skip the medication . • Strictly adhere to medication .
  • 54.
    RECOVERY Recovery times aftera broken knee cap can vary with the degree of severity of the fracture. Normally, a patella fracture is healed enough in 8-12 weeks to allow the patient to resume walking. In order to ensure movement is maintained in the knee after treatment, handling of the knee should be careful during the treatment phase to ensure there is no lingering scar tissue that can hinder recovery. It is not only the bone that is damaged by a patella fracture, as muscles will necessarily weaken due to lack of use of the limb throughout the healing time. Without a strong physiotherapy programme, a patient may not recover full strength again in their leg for eight months to a year. Physiotherapy shortens the amount of time muscles take to get back to full strength and level of flexibility by several months. Most patients will fully recover by six months if using appropriate physiotherapy.
  • 55.
    Life Style Modification Avoidwalking through stairs Avoid doing hard works Avoid lifting heavy weights Reduce activities that requires bending of knee Wear Knee brace or other protective bandage to get extra support