Hepatitis
Ahmed Essam Elsayed Farrag
3rd year Medical Student
Mansoura Faculty Of Medicine - Egypt
What is HEPATITIS ?
Hepatitis refers to an
inflammatory
condition of the liver
commonly caused by a viral infection
There are 5 main hepatitis viruses, referred to as
types A, B, C, D and E. These 5 types are of
greatest concern because of the burden of
illness and death they cause and the potential
for outbreaks and epidemic spread ..
Hepatitis A and E are typically caused by ingestion of contaminated food or
water. Hepatitis B, C and D usually occur as a result of parenteral contact
with infected body fluids. Common modes of transmission for these viruses
include receipt of contaminated blood or blood products, invasive medical
procedures using contaminated equipment and for hepatitis B transmission
from mother to baby at birth, from family member to child, and also by
sexual contact.
Acute infection may occur with limited or no symptoms, or may include
symptoms such as jaundice (yellowing of the skin and eyes), dark urine,
extreme fatigue, nausea, vomiting and abdominal pain.
Alcohol
Hepatitis can be caused by liver damage from excessive
alcohol consumption. This is sometimes referred to as alcoholic
hepatitis. The alcohol causes the liver to swell and become
inflamed. Other toxic causes include overuse of medication or
exposure to poisons.
Autoimmune Disease
The immune system may mistake the liver as a harmful object
and begin to attack it, hindering liver function.
Causes of Non-viral Hepatitis
The condition can be self-limiting or
can progress to fibrosis (scarring),
cirrhosis or liver cancer .
Types of Viral Hepatitis :
Hepatitis A virus (HAV) is present in the faeces of infected
persons and is most often transmitted through consumption of
contaminated water or food. Certain sex practices can also
spread HAV. Infections are in many cases mild, with most
people making a full recovery and remaining immune from
further HAV infections. However, HAV infections can also be
severe and life threatening. Most people in areas of the world
with poor sanitation have been infected with this virus. Safe and
effective vaccines are available to prevent HAV.
HAV
No treatment is needed for hepatitis A since the
infection almost always resolves on its own. Nausea is
common, though transient, and it is important to stay
hydrated. It is recommended that strenuous exercise
be avoided until the acute illness is over.
Hepatitis B virus (HBV) is transmitted through exposure to
infective blood, semen, and other body fluids. HBV can be
transmitted from infected mothers to infants at the time of birth
or from family member to infant in early childhood. Transmission
may also occur through transfusions of HBV-contaminated
blood and blood products, contaminated injections during
medical procedures, and through injection drug use. HBV also
poses a risk to healthcare workers who sustain accidental
needle stick injuries while caring for infected-HBV patients. Safe
and effective vaccines are available to prevent HBV.
HBV
For hepatitis B, treatment is aimed at controlling the
virus and preventing damage to the liver. Antiviral
medications are available that will benefit most
people, but the medications need to be chosen
carefully, and the treatment needs to be monitored in
order to assure successful treatment and prevent or
treat medication-related side effects. For some
individuals, the risks of treatment may not be justified.
Hepatitis C virus (HCV) is mostly transmitted through exposure to
infective blood. This may happen through transfusions of HCV-
contaminated blood and blood products, contaminated
injections during medical procedures, and through injection
drug use. Sexual transmission is also possible, but is much less
common. There is no vaccine for HCV.
HCV
World map of HCV prevalence
Treatment of chronic hepatitis C has evolved, rendering many
earlier drugs obsolete. The drugs currently used (as of March
2016) include pegylated interferon, ribavirin, elbasvir,
grazoprevir, ledipasvir, sofosbuvir, paritaprevir, ritonavir,
ombitasvir, dasabuvir, simeprevir, daclatasvir. These are always
used in various combinations, never alone. Interferon is given by
injection while the other medications are pills. Studies have
shown that combinations of these drugs can cure all but a small
proportion of patients; however, serious side effects of
treatment can occur.
Hepatitis D virus (HDV) infections occur only in those who are
infected with HBV. The dual infection of HDV and HBV can result
in a more serious disease and worse outcome. Hepatitis B
vaccines provide protection from HDV infection.
HDV
Hepatitis E virus (HEV) is mostly transmitted through consumption
of contaminated water or food. HEV is a common cause of
hepatitis outbreaks in developing parts of the world and is
increasingly recognized as an important cause of disease in
developed countries. Safe and effective vaccines to prevent
HEV infection have been developed but are not widely
available.
HEV
Although structurally quite different, the Hepatitis Viruses produce similar
morphological and clinical pictures. Three basic clinico-pathological
pictures can develop depending on the timescale of infection which is
largely determined by the exuberance of the immune response to the virus.
oClinico-pathological Patterns
• Acute Viral Hepatitis : Strong Immune Response
• Chronic Viral Hepatitis : Absent or Low Immune Response
• Fulminant Hepatitis : Catastrophically exuberant immune response
Acute Viral Hepatitis refers to a clinico-pathological
pattern of disease caused by infection with Hepatitis
Viruses that results in short-term inflammation
of the liver.
Definition
Acute Viral Hepatitis
Infection with any of the Hepatitis Viruses (HAV, HBV,
HCV, HDV) can initiate acute viral hepatitis.
Generally speaking, HAV only produces acute viral
hepatitis, HBV produces acute syndromes in adults
but rarely when infection occurs in infants, and HCV
produces acute syndromes in a minority of cases.
Etiologies
Acute Viral Hepatitis
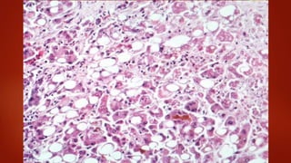
• Gross Appearance
The liver may be enlarged and slightly reddened.
• Histological Appearance
Hepatocytes respond to injury in a number of ways including cytoplasmic
vacuolation (Termed "Ballooning Degeneration"), cellular rupture, or simply
apoptosis. In severe cases, areas of hepatic tissue may undergo necrosis. The
hepatic tissue displays striking inflammation in acute viral hepatitis which
manifests with proliferation of kupffer cells as well as parenchymal infiltration
with mononuclear cells, especially lymphocytes. Within this inflammatory war
zone, areas of hepatocyte regeneration can be observed. Finally, in the case
of HBV infection, the cytoplasm of hepatocytes may appear full of granules,
giving them a characteristic "Ground-Glass Appearance", representing dense
granules of HBV Surface Antigen (HBsAg).
Morphology
Acute Viral Hepatitis
Classic Clinical Syndrome
Incubation
Period
prodrome
Icteric
Phase
Recovery
Phase
Acute Viral Hepatitis
• Incubation Period
All of the Hepatitis Viruses possess an incubation period
where there is no clinical or serological evidence of
infection. The incubation periods vary for each virus but
generally last between one to two months.
Classic Clinical Syndrome
Acute Viral Hepatitis
• Prodrome
The prodromal period is characterized by nonspecific
symptoms associated with systemic infection. The prodrome
characterizes rapid viral proliferation prior to the development
of an immune response. During this period serological markers
of viral proteins as well as serum aminotransferase (ALT and AST)
levels will skyrocket. Clinically, constitutional symptoms along
with malaise, fatigue, and anorexia may be present.
Classic Clinical Syndrome
Acute Viral Hepatitis
• Icteric Phase
During this phase clinical signs of jaundice and scleral icterus
will appear and some right upper quadrant tenderness may
develop due to enlargement of the liver. However, this phase
coincides with a building immune response which begins to
bring the virus under control .
During this period IgM antibodies to certain viral antigens begin
to develop and viral protein levels will decline. Constitutional
symptoms also decrease in intensity and serum
aminotransferases begin to fall.
Classic Clinical Syndrome
Acute Viral Hepatitis
• Recovery Phase
During this phase clinical signs of jaundice subside as
do most constitutional symptoms. The immune
response also matures and many of the anti-viral IgM
antibodies begin to class switch to the IgG subtype.
Levels of serum aminotransferases also return to
normal.
Classic Clinical Syndrome
Acute Viral Hepatitis
Chronic Viral Hepatitis refers to a clinico-pathological
pattern of disease caused by infection with certain
Hepatitis Viruses that results in greater than 6 months
of hepatic inflammation and injury .
Definition
Chronic Viral Hepatitis
• Hepatitis A Virus
Almost never results in chronic infection.
• Hepatitis B Virus
If transmission occurs in neonates via mother-to-child transmission: Nearly 99% of individuals
display chronic infection
If transmission occurs in immunocompetent adults: Only 1% of individuals display chronic
infection
If transmission occurs in immunocompromised adults: Rate of chronic infection is significantly
higher than 1%
• Hepatitis C Virus
Nearly 80% of infected adults will display chronic infection.
• Hepatitis D Virus
If acquired through co-infection with HBV, follows same pattern as HBV. If
acquired on top of chronic HBV infection, will result in chronic HDV infection.
Etiology
Chronic Viral Hepatitis
Long-term infection with hepatitis viruses results in variable
degrees of low-grade inflammation. In many cases,
inflammation is so minute and pathological changes so
nuanced that clinical consequences are not observed. In
other cases, inflammation smolders sufficiently that over
time extensive fibrosis is observed that ends in a picture of
cirrhosis. Finally, in some individuals the immune system may
suddenly and spontaneously mount a stronger response to
the virus leading to a syndrome of acute viral hepatitis.
Pathogenesis
Chronic Viral Hepatitis
The morphology of chronic hepatitis is extremely variable.
When mild, a predominantly lymphocytic infiltrate may
occur just within the portal tracts. Frequently, steatosis is
observed along with lymph node-like aggregations within
the hepatic parenchyma
When severe, hepatocyte necrosis may be apparent.
Progression to cirrhosis is manifested by increasing fibrosis.
Morphology
Chronic Viral Hepatitis
Fulminant Hepatitis is a complication of
acute viral hepatitis that manifests as
rapid functional decompensation of
the liver.
Definition
Fulminant Hepatitis
Fulminant Hepatitis occurs in the context of
acute viral hepatitis. It is rare during hepatitis
A or C virus infection. Most cases are due to
Hepatitis B Virus infection with or without
Hepatitis D Virus. It is most likely the result of
a massive, overly-exuberant immune
response to the presence of virus, resulting in
rapid inflammatory damage to the liver.
Etiology and Pathogenesis
Fulminant Hepatitis
• Overview
Fulminant Hepatitis is characterized by certain signs of hepatic failure that can
manifest rapidly and thus does not include those that require chronic timescales to
develop.
• Symptomology
Hepatic Encephalopathy: Characterized by altered mental status, confusion, somnolence, or coma
Brain Edema: May occur, possibly resulting in cerebral herniation
Hepatorenal Syndrome: Which may result in acute renal failure
Generalized Edema: Due to rapid hypoalbuminemia
Prolonged Prothrombin Time (PT) : Due to reduced synthesis of coagulation proteins
Jaundice: Due to hyperbilirubinemia
ARDS may result
• Prognosis
Fulminant Hepatitis has a high degree of mortality and is rapidly fatal.
Clinical Consequences
Fulminant Hepatitis
Very frequently the onset of hepatitis, the acute phase, is not
associated with symptoms or signs, but when they do occur
they are usually general and include fatigue, nausea,
decreased appetite, mild fever, or mild abdominal pain.
Later signs more specific for liver disease may occur,
specifically yellowing of the skin and eyes (jaundice) and
darkening of the urine. If the infection becomes chronic as is
the cause with hepatitis B and C, that is, lasting longer than
months, the symptoms and signs of chronic liver disease may
begin. At this point the liver often is badly damaged.
Symptoms of Hepatitis
How Is Hepatitis Diagnosed ?
Physical Exam
Liver Biopsy
Liver Function Tests
Ultrasound
Blood Tests
Viral Antibody Testing
Thank you ..

Hepatitis

  • 1.
    Hepatitis Ahmed Essam ElsayedFarrag 3rd year Medical Student Mansoura Faculty Of Medicine - Egypt
  • 2.
    What is HEPATITIS? Hepatitis refers to an inflammatory condition of the liver commonly caused by a viral infection
  • 3.
    There are 5main hepatitis viruses, referred to as types A, B, C, D and E. These 5 types are of greatest concern because of the burden of illness and death they cause and the potential for outbreaks and epidemic spread ..
  • 5.
    Hepatitis A andE are typically caused by ingestion of contaminated food or water. Hepatitis B, C and D usually occur as a result of parenteral contact with infected body fluids. Common modes of transmission for these viruses include receipt of contaminated blood or blood products, invasive medical procedures using contaminated equipment and for hepatitis B transmission from mother to baby at birth, from family member to child, and also by sexual contact. Acute infection may occur with limited or no symptoms, or may include symptoms such as jaundice (yellowing of the skin and eyes), dark urine, extreme fatigue, nausea, vomiting and abdominal pain.
  • 6.
    Alcohol Hepatitis can becaused by liver damage from excessive alcohol consumption. This is sometimes referred to as alcoholic hepatitis. The alcohol causes the liver to swell and become inflamed. Other toxic causes include overuse of medication or exposure to poisons. Autoimmune Disease The immune system may mistake the liver as a harmful object and begin to attack it, hindering liver function. Causes of Non-viral Hepatitis
  • 7.
    The condition canbe self-limiting or can progress to fibrosis (scarring), cirrhosis or liver cancer .
  • 14.
    Types of ViralHepatitis :
  • 16.
    Hepatitis A virus(HAV) is present in the faeces of infected persons and is most often transmitted through consumption of contaminated water or food. Certain sex practices can also spread HAV. Infections are in many cases mild, with most people making a full recovery and remaining immune from further HAV infections. However, HAV infections can also be severe and life threatening. Most people in areas of the world with poor sanitation have been infected with this virus. Safe and effective vaccines are available to prevent HAV. HAV
  • 17.
    No treatment isneeded for hepatitis A since the infection almost always resolves on its own. Nausea is common, though transient, and it is important to stay hydrated. It is recommended that strenuous exercise be avoided until the acute illness is over.
  • 18.
    Hepatitis B virus(HBV) is transmitted through exposure to infective blood, semen, and other body fluids. HBV can be transmitted from infected mothers to infants at the time of birth or from family member to infant in early childhood. Transmission may also occur through transfusions of HBV-contaminated blood and blood products, contaminated injections during medical procedures, and through injection drug use. HBV also poses a risk to healthcare workers who sustain accidental needle stick injuries while caring for infected-HBV patients. Safe and effective vaccines are available to prevent HBV. HBV
  • 19.
    For hepatitis B,treatment is aimed at controlling the virus and preventing damage to the liver. Antiviral medications are available that will benefit most people, but the medications need to be chosen carefully, and the treatment needs to be monitored in order to assure successful treatment and prevent or treat medication-related side effects. For some individuals, the risks of treatment may not be justified.
  • 20.
    Hepatitis C virus(HCV) is mostly transmitted through exposure to infective blood. This may happen through transfusions of HCV- contaminated blood and blood products, contaminated injections during medical procedures, and through injection drug use. Sexual transmission is also possible, but is much less common. There is no vaccine for HCV. HCV
  • 22.
    World map ofHCV prevalence
  • 23.
    Treatment of chronichepatitis C has evolved, rendering many earlier drugs obsolete. The drugs currently used (as of March 2016) include pegylated interferon, ribavirin, elbasvir, grazoprevir, ledipasvir, sofosbuvir, paritaprevir, ritonavir, ombitasvir, dasabuvir, simeprevir, daclatasvir. These are always used in various combinations, never alone. Interferon is given by injection while the other medications are pills. Studies have shown that combinations of these drugs can cure all but a small proportion of patients; however, serious side effects of treatment can occur.
  • 24.
    Hepatitis D virus(HDV) infections occur only in those who are infected with HBV. The dual infection of HDV and HBV can result in a more serious disease and worse outcome. Hepatitis B vaccines provide protection from HDV infection. HDV
  • 25.
    Hepatitis E virus(HEV) is mostly transmitted through consumption of contaminated water or food. HEV is a common cause of hepatitis outbreaks in developing parts of the world and is increasingly recognized as an important cause of disease in developed countries. Safe and effective vaccines to prevent HEV infection have been developed but are not widely available. HEV
  • 26.
    Although structurally quitedifferent, the Hepatitis Viruses produce similar morphological and clinical pictures. Three basic clinico-pathological pictures can develop depending on the timescale of infection which is largely determined by the exuberance of the immune response to the virus. oClinico-pathological Patterns • Acute Viral Hepatitis : Strong Immune Response • Chronic Viral Hepatitis : Absent or Low Immune Response • Fulminant Hepatitis : Catastrophically exuberant immune response
  • 27.
    Acute Viral Hepatitisrefers to a clinico-pathological pattern of disease caused by infection with Hepatitis Viruses that results in short-term inflammation of the liver. Definition Acute Viral Hepatitis
  • 28.
    Infection with anyof the Hepatitis Viruses (HAV, HBV, HCV, HDV) can initiate acute viral hepatitis. Generally speaking, HAV only produces acute viral hepatitis, HBV produces acute syndromes in adults but rarely when infection occurs in infants, and HCV produces acute syndromes in a minority of cases. Etiologies Acute Viral Hepatitis
  • 29.
    • Gross Appearance Theliver may be enlarged and slightly reddened. • Histological Appearance Hepatocytes respond to injury in a number of ways including cytoplasmic vacuolation (Termed "Ballooning Degeneration"), cellular rupture, or simply apoptosis. In severe cases, areas of hepatic tissue may undergo necrosis. The hepatic tissue displays striking inflammation in acute viral hepatitis which manifests with proliferation of kupffer cells as well as parenchymal infiltration with mononuclear cells, especially lymphocytes. Within this inflammatory war zone, areas of hepatocyte regeneration can be observed. Finally, in the case of HBV infection, the cytoplasm of hepatocytes may appear full of granules, giving them a characteristic "Ground-Glass Appearance", representing dense granules of HBV Surface Antigen (HBsAg). Morphology Acute Viral Hepatitis
  • 30.
  • 31.
    • Incubation Period Allof the Hepatitis Viruses possess an incubation period where there is no clinical or serological evidence of infection. The incubation periods vary for each virus but generally last between one to two months. Classic Clinical Syndrome Acute Viral Hepatitis
  • 32.
    • Prodrome The prodromalperiod is characterized by nonspecific symptoms associated with systemic infection. The prodrome characterizes rapid viral proliferation prior to the development of an immune response. During this period serological markers of viral proteins as well as serum aminotransferase (ALT and AST) levels will skyrocket. Clinically, constitutional symptoms along with malaise, fatigue, and anorexia may be present. Classic Clinical Syndrome Acute Viral Hepatitis
  • 33.
    • Icteric Phase Duringthis phase clinical signs of jaundice and scleral icterus will appear and some right upper quadrant tenderness may develop due to enlargement of the liver. However, this phase coincides with a building immune response which begins to bring the virus under control . During this period IgM antibodies to certain viral antigens begin to develop and viral protein levels will decline. Constitutional symptoms also decrease in intensity and serum aminotransferases begin to fall. Classic Clinical Syndrome Acute Viral Hepatitis
  • 34.
    • Recovery Phase Duringthis phase clinical signs of jaundice subside as do most constitutional symptoms. The immune response also matures and many of the anti-viral IgM antibodies begin to class switch to the IgG subtype. Levels of serum aminotransferases also return to normal. Classic Clinical Syndrome Acute Viral Hepatitis
  • 35.
    Chronic Viral Hepatitisrefers to a clinico-pathological pattern of disease caused by infection with certain Hepatitis Viruses that results in greater than 6 months of hepatic inflammation and injury . Definition Chronic Viral Hepatitis
  • 36.
    • Hepatitis AVirus Almost never results in chronic infection. • Hepatitis B Virus If transmission occurs in neonates via mother-to-child transmission: Nearly 99% of individuals display chronic infection If transmission occurs in immunocompetent adults: Only 1% of individuals display chronic infection If transmission occurs in immunocompromised adults: Rate of chronic infection is significantly higher than 1% • Hepatitis C Virus Nearly 80% of infected adults will display chronic infection. • Hepatitis D Virus If acquired through co-infection with HBV, follows same pattern as HBV. If acquired on top of chronic HBV infection, will result in chronic HDV infection. Etiology Chronic Viral Hepatitis
  • 37.
    Long-term infection withhepatitis viruses results in variable degrees of low-grade inflammation. In many cases, inflammation is so minute and pathological changes so nuanced that clinical consequences are not observed. In other cases, inflammation smolders sufficiently that over time extensive fibrosis is observed that ends in a picture of cirrhosis. Finally, in some individuals the immune system may suddenly and spontaneously mount a stronger response to the virus leading to a syndrome of acute viral hepatitis. Pathogenesis Chronic Viral Hepatitis
  • 38.
    The morphology ofchronic hepatitis is extremely variable. When mild, a predominantly lymphocytic infiltrate may occur just within the portal tracts. Frequently, steatosis is observed along with lymph node-like aggregations within the hepatic parenchyma When severe, hepatocyte necrosis may be apparent. Progression to cirrhosis is manifested by increasing fibrosis. Morphology Chronic Viral Hepatitis
  • 39.
    Fulminant Hepatitis isa complication of acute viral hepatitis that manifests as rapid functional decompensation of the liver. Definition Fulminant Hepatitis
  • 40.
    Fulminant Hepatitis occursin the context of acute viral hepatitis. It is rare during hepatitis A or C virus infection. Most cases are due to Hepatitis B Virus infection with or without Hepatitis D Virus. It is most likely the result of a massive, overly-exuberant immune response to the presence of virus, resulting in rapid inflammatory damage to the liver. Etiology and Pathogenesis Fulminant Hepatitis
  • 41.
    • Overview Fulminant Hepatitisis characterized by certain signs of hepatic failure that can manifest rapidly and thus does not include those that require chronic timescales to develop. • Symptomology Hepatic Encephalopathy: Characterized by altered mental status, confusion, somnolence, or coma Brain Edema: May occur, possibly resulting in cerebral herniation Hepatorenal Syndrome: Which may result in acute renal failure Generalized Edema: Due to rapid hypoalbuminemia Prolonged Prothrombin Time (PT) : Due to reduced synthesis of coagulation proteins Jaundice: Due to hyperbilirubinemia ARDS may result • Prognosis Fulminant Hepatitis has a high degree of mortality and is rapidly fatal. Clinical Consequences Fulminant Hepatitis
  • 42.
    Very frequently theonset of hepatitis, the acute phase, is not associated with symptoms or signs, but when they do occur they are usually general and include fatigue, nausea, decreased appetite, mild fever, or mild abdominal pain. Later signs more specific for liver disease may occur, specifically yellowing of the skin and eyes (jaundice) and darkening of the urine. If the infection becomes chronic as is the cause with hepatitis B and C, that is, lasting longer than months, the symptoms and signs of chronic liver disease may begin. At this point the liver often is badly damaged. Symptoms of Hepatitis
  • 45.
    How Is HepatitisDiagnosed ? Physical Exam Liver Biopsy Liver Function Tests Ultrasound Blood Tests Viral Antibody Testing
  • 47.