Fetal Circulation
and Fetal Echo
DR. PRADEEP PATIL
Prof. Department of Radio-diagnosis,
DY Patil medical college, hospital & research institute Kolhapur
Umbilical Artery
The normal placental vascular bed is low resistance, with continuous forward flow throughout the cardiac cycle.
Diastolic flow increases as pregnancy progresses, so the S/D ratio decreases with advancing gestational age.
At 20 weeks, the 50th percentile for the S/D ratio is 4.
At 30 weeks, the 50th percentile is 2.83; and at
40 weeks, the 50th percentile is 2.18
the S/D ratio and the presence of absent or reversed end-diastolic flow are used to manage fetal growth
restriction and to stage the twin-twin transfusion syndrome.
The Doppler indices have been found to decline gradually with gestational age (i.e. there is more diastolic flow
as the fetus matures):
S/D ratio mean value decreases with fetal age 8
at 20 weeks, the 50th percentile for the S/D ratio is 4
at 30 weeks, the 50th percentile is 2.83
at 40 weeks, the 50th percentile is 2.18
RI mean value decreases from 0.756 to 0.609
PI mean value decreases from 1.270 to 0.967
Normal flow in the umbilical vein is continuous, returning oxygenated blood from the placenta to the fetus (Fig 12).
Fetal breathing is a common observation in the third trimester.
The changes in intrathoracic pressure alter flow dynamics in the vein to produce undulations in the umbilical vein
waveform that are not linked to the cardiac cycle (Fig 12).
Pulsatile flow in the umbilical vein is an ominous finding. When present, it indicates that the abnormal placental
pressures have compromised right heart function such that there is back pressure through the right ventricle to the
right atrium, back out the ductus venosus (which will show a decreased or reversed A wave) all the way into the
umbilical vein, where forward flow decreases during diastole. This process causes a pulsatile waveform with
diminished forward flow in the umbilical vein during ventricular diastole (Fig 12).
Umbilical Vein
On Doppler ultrasound, the flow in the ductus venosus has a characteristic triphasic waveform where in a normal
physiological situation flow should always be in the forward direction 7 (i.e. towards the fetal heart).
This triphasic waveform comprises of:
S wave: corresponds to fetal ventricular systolic contraction and is the highest peak
D wave: corresponds to fetal early ventricular diastole and is the second highest peak
A wave: corresponds to fetal atrial contraction and is the lowest point in the wave form albeit still being in the forward
direction
as above, reversal of the A wave (i.e. crossing the baseline) is always abnormal 1
Ductus Venosus
MCA
Measurement
The fetal MCA should be sampled-2 mm from the origin of the fetal internal carotid artery
and the angle of the ultrasound beam and the direction of blood flow should be 0°.
Usually, the highest peak systolic velocity (PSV) value is taken.
Interpretation
reliable between 18-35 weeks
increased PSV can indicate moderate-to-severe anemia in non-hydrops fetuses 4
The fetal MCA PI normally has a high value.
The mean value (normal reference range) slowly decreases through gestation from around 28 weeks onwards.
A low PI reflects the redistribution of cardiac output to the brain due to the fetal head sparing theory.
Middle Cerebral Artery
Fetal Doppler US of the middle cerebral artery is used in two situations:
(a) Non invasive assessment of fetal anemia and
(b) Calculation of the cerebro-placental ratio as a measure of fetal brain sparing.
The assessment of fetal anemia by using Doppler US of the middle cerebral artery can start as early as 18
weeks.
In calculation of the cerebro-placental ratio, the pulsatility index(PI) is preferred over the S/D ratio.
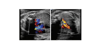
The cerebroplacental ratio is a ratio of the middle cerebral artery flow to the umbilical artery flow by using the
pulsatility index values; therefore, the angle of insonation is less important than when using Doppler US of the
middle cerebral artery for assessment of anemia, where measurement of velocity is angle dependent.
The cerebroplacental ratio compares fetal brain perfusion to that of the placenta. In normal circumstances,
flow in the middle cerebral artery is fairly high resistance, and flow in the umbilical artery should be low
resistance, with continuous antegrade flow and a continuous increase in the diastolic flow as the pregnancy
progresses.
As a rule of thumb, the S/D ratio in the umbilical artery should always be lower than that in the middle
cerebral artery. In response to hypoxia, the fetus diverts blood flow to the brain, increasing the middle
cerebral artery diastolic flow, thereby decreasing the pulsatility index and altering the ratio of the umbilical
artery flow to the middle cerebral artery flow (Fig 13).
Cerebroplacental ratio (CPR) is an obstetric ultrasound tool used as a predictor of adverse pregnancy outcome in both small for
gestational age (SGA) and appropriate for gestational age (AGA) fetuses.
An abnormal CPR reflects redistribution of cardiac output to the cerebral circulation, and has been associated with intrapartum fetal
distress, increased rates of emergency cesarean and NICU admissions and poorer neurological outcomes.
Measurement
It is calculated by dividing the Doppler pulsatility index of the middle cerebral artery (MCA) by the umbilical artery (UA) pulsatility
index:
CPR = MCA PI / UA PI
The index will reflect mild increase in placental resistance with mild reductions in the fetal brain vascular resistance. An abnormal
cerebroplacental ratio may result in the following conditions:
low normal range MCA and upper normal range UA PI
abnormal low MCA and normal UA PI
abnormal low MCA and high UA PI
It follows then that detection of perinatal risk based on CPR may occur in the setting of reassuring UA PI (but abnormal MCA), or even
if both UA and MCA PI are within the normal range.
Interpretation
Various studies have variably defined the threshold of abnormal CPR as either ratio <1 ref, ratio <1.08ref, in terms of MoM ref or
based on centiles. The only longitudinal study known to the article editor at the time of writing defines abnormal CPR as <5th centile.
(B)
(A) (C)
Fetal circulation
Fetal circulation
Fetal circulation
Fetal circulation
Fetal circulation
Fetal circulation
Fetal circulation
Fetal circulation
Fetal circulation
Fetal circulation
Fetal circulation
Fetal circulation
Fetal circulation
Fetal circulation
Fetal circulation
Fetal circulation

Fetal circulation

  • 1.
    Fetal Circulation and FetalEcho DR. PRADEEP PATIL Prof. Department of Radio-diagnosis, DY Patil medical college, hospital & research institute Kolhapur
  • 3.
  • 4.
    The normal placentalvascular bed is low resistance, with continuous forward flow throughout the cardiac cycle. Diastolic flow increases as pregnancy progresses, so the S/D ratio decreases with advancing gestational age. At 20 weeks, the 50th percentile for the S/D ratio is 4. At 30 weeks, the 50th percentile is 2.83; and at 40 weeks, the 50th percentile is 2.18 the S/D ratio and the presence of absent or reversed end-diastolic flow are used to manage fetal growth restriction and to stage the twin-twin transfusion syndrome. The Doppler indices have been found to decline gradually with gestational age (i.e. there is more diastolic flow as the fetus matures): S/D ratio mean value decreases with fetal age 8 at 20 weeks, the 50th percentile for the S/D ratio is 4 at 30 weeks, the 50th percentile is 2.83 at 40 weeks, the 50th percentile is 2.18 RI mean value decreases from 0.756 to 0.609 PI mean value decreases from 1.270 to 0.967
  • 5.
    Normal flow inthe umbilical vein is continuous, returning oxygenated blood from the placenta to the fetus (Fig 12). Fetal breathing is a common observation in the third trimester. The changes in intrathoracic pressure alter flow dynamics in the vein to produce undulations in the umbilical vein waveform that are not linked to the cardiac cycle (Fig 12). Pulsatile flow in the umbilical vein is an ominous finding. When present, it indicates that the abnormal placental pressures have compromised right heart function such that there is back pressure through the right ventricle to the right atrium, back out the ductus venosus (which will show a decreased or reversed A wave) all the way into the umbilical vein, where forward flow decreases during diastole. This process causes a pulsatile waveform with diminished forward flow in the umbilical vein during ventricular diastole (Fig 12). Umbilical Vein
  • 6.
    On Doppler ultrasound,the flow in the ductus venosus has a characteristic triphasic waveform where in a normal physiological situation flow should always be in the forward direction 7 (i.e. towards the fetal heart). This triphasic waveform comprises of: S wave: corresponds to fetal ventricular systolic contraction and is the highest peak D wave: corresponds to fetal early ventricular diastole and is the second highest peak A wave: corresponds to fetal atrial contraction and is the lowest point in the wave form albeit still being in the forward direction as above, reversal of the A wave (i.e. crossing the baseline) is always abnormal 1 Ductus Venosus
  • 7.
    MCA Measurement The fetal MCAshould be sampled-2 mm from the origin of the fetal internal carotid artery and the angle of the ultrasound beam and the direction of blood flow should be 0°. Usually, the highest peak systolic velocity (PSV) value is taken. Interpretation reliable between 18-35 weeks increased PSV can indicate moderate-to-severe anemia in non-hydrops fetuses 4 The fetal MCA PI normally has a high value. The mean value (normal reference range) slowly decreases through gestation from around 28 weeks onwards. A low PI reflects the redistribution of cardiac output to the brain due to the fetal head sparing theory.
  • 8.
    Middle Cerebral Artery FetalDoppler US of the middle cerebral artery is used in two situations: (a) Non invasive assessment of fetal anemia and (b) Calculation of the cerebro-placental ratio as a measure of fetal brain sparing. The assessment of fetal anemia by using Doppler US of the middle cerebral artery can start as early as 18 weeks. In calculation of the cerebro-placental ratio, the pulsatility index(PI) is preferred over the S/D ratio. The cerebroplacental ratio is a ratio of the middle cerebral artery flow to the umbilical artery flow by using the pulsatility index values; therefore, the angle of insonation is less important than when using Doppler US of the middle cerebral artery for assessment of anemia, where measurement of velocity is angle dependent. The cerebroplacental ratio compares fetal brain perfusion to that of the placenta. In normal circumstances, flow in the middle cerebral artery is fairly high resistance, and flow in the umbilical artery should be low resistance, with continuous antegrade flow and a continuous increase in the diastolic flow as the pregnancy progresses. As a rule of thumb, the S/D ratio in the umbilical artery should always be lower than that in the middle cerebral artery. In response to hypoxia, the fetus diverts blood flow to the brain, increasing the middle cerebral artery diastolic flow, thereby decreasing the pulsatility index and altering the ratio of the umbilical artery flow to the middle cerebral artery flow (Fig 13).
  • 9.
    Cerebroplacental ratio (CPR)is an obstetric ultrasound tool used as a predictor of adverse pregnancy outcome in both small for gestational age (SGA) and appropriate for gestational age (AGA) fetuses. An abnormal CPR reflects redistribution of cardiac output to the cerebral circulation, and has been associated with intrapartum fetal distress, increased rates of emergency cesarean and NICU admissions and poorer neurological outcomes. Measurement It is calculated by dividing the Doppler pulsatility index of the middle cerebral artery (MCA) by the umbilical artery (UA) pulsatility index: CPR = MCA PI / UA PI The index will reflect mild increase in placental resistance with mild reductions in the fetal brain vascular resistance. An abnormal cerebroplacental ratio may result in the following conditions: low normal range MCA and upper normal range UA PI abnormal low MCA and normal UA PI abnormal low MCA and high UA PI It follows then that detection of perinatal risk based on CPR may occur in the setting of reassuring UA PI (but abnormal MCA), or even if both UA and MCA PI are within the normal range. Interpretation Various studies have variably defined the threshold of abnormal CPR as either ratio <1 ref, ratio <1.08ref, in terms of MoM ref or based on centiles. The only longitudinal study known to the article editor at the time of writing defines abnormal CPR as <5th centile.
  • 13.

Editor's Notes

  • #6 igure 12. Umbilical vein waveforms. Top: Spectral US image shows a normal umbilical artery waveform above the line and a normal umbilical vein waveform below the line. Note the continuous flow throughout the cardiac cycle. Middle: Spectral US image shows absent end-diastolic flow (long arrow) in the umbilical artery, with undulations in the umbilical vein (*) owing to fetal breathing. The undulations are independent of the fetal heart rate. Bottom: Spectral US image shows mixed absent and reversed end-diastolic flow (short arrows) and a pulsatile umbilical vein waveform (arrowheads). The umbilical vein pulsations occur during diastole at the same time as the absent end-diastolic flow. For the best technique, sample in a free-floating loop of the umbilical cord in singletons. In multiple fetuses, sample close to the abdominal site of umbilical cord insertion to verify which umbilical vein belongs to which fetus (19). The angle of insonation is not critical, because there are no velocity measurements. Ideally, the fetus should be at rest and not breathing. Observe the shape of the waveform, and be sure to differentiate between the normal undulations seen with fetal breathing and pulsatile venous flow.
  • #14 Figs A to C: Determination of the fetal right and left side by use of method described by Cordes et al. (A) The fetal head is aligned to the right of the screen The transducer is then rotated clockwise by 90° to obtain an image in the transverse plane at the level of the abdomen; (B) The spine is identified (yellow arrow), going clockwise from the spine is the right side followed by the left; (C) Showing diagrammatic representation that demonstrates the right and left sidedness according to the position of the spine in the transverse plane.
  • #15 Right hand thumb rule for transabdominal scanning and left hand thumb rule for transvaginal scanning as described by Bronshtein, et al. The palm represents the fetal face and the thumb represents the fetal heart and aorta
  • #16 Heart Position and Axis. Normal position and axis of the heart. The heart is predominantly in the left side of the chest, with the apex of the heart pointing leftward. Dual-screen image shows the stomach also on the left side.
  • #17 Schematic drawing and apical four-chamber view (B) with a highlight of the left ventricle (LV) (C) and right ventricle (RV) (D) in a normal fetus, showing the differentiating features of the LV and RV. The LV is longer than the RV (double-sided arrows), is smooth, and forms the apex of the heart (yellow arrow). The RV is coarse and has the typical moderator band (white arrow) in its apex. The tricuspid valve (TV) is shown to insert more apically on the septum than the mitral valve (MV).
  • #18 The axis of the fetal heart can be determined by drawing two imaginary lines. One passing through the anterior chest wall and the spine (red) and another passing through the interventricular septum (yellow). The normal cardiac axis is between 25–65°
  • #19 Cardiac size can be determined by calculating the cardiothoracic ratio. It is the ratio of the area covered by the heart (red) to the entire thoracic area (yellow)
  • #21 Cephalad sweep from the left ventricular outflow tract view would reveal the right ventricular outflow (blue arrow), which in a fetus with normal cardiac morphology crosses the left ventricular outflow tract (yellow arrow) at a right angle
  • #22 The three-vessel view. In this view, one can identify the three vessels from left to right (A) or anterior to posterior (B) as pulmonary artery (PA), aorta (A) and superior vena cava (V). The sizes of the pulmonary artery and aorta can be compared with the PA slightly larger than the aorta