Female Reproductive System Histology




    Assoc Prof. Dr. Karim Al-Jashamy
             IMS MSU 2010
• Ovary
    – Ovarian ligament
• Uterine (fallopian)
  tube
    – Infundibulum
    – Ampulla
• Uterus
    –   Endometrium
    –   Myometrium
    –   Epimetrium
    –   Fundus
    –   Fornix
• Cervix
• Urethra
• Vagina
Clitoris       Combination of 3 erectile bodies – glans clitoris and 2 corpora cavernosa


Glans          Expanded distal end of corpus spongiosum
clitoris


Prepuce        Fold of smooth skin extending over the glans clitoris


Hymen          Thin, usually incomplete septum at the inferior vaginal orifice


Labia majora   Joined across the midline by the anterior and posterior labial commissures, blending
               together anteriorly as the mons pubis


Labia          Paired folds of hairless skin located medial to the labia majora
minora
Vagina         Part of the female genital canal between the vestibule and cervix; contains vaginal
               fornices


Vestibule      Region inferior to the hymen between labia minora; contains the external urethral orifice
               and opening of vagina


Uterus         Hollow muscular organ for fetus growth; normally lies anteverted posterosuperior to the
               bladder
Ovum
  Graafian follicle                                      Corpus albicans
Corpus luteum




                               Secondary follicle


                  Primary follicle      Graafian follicle after
                                        releasing ovum




                           Ovulation
The Female Reproductive System

The female reproductive system consists
of two ovaries, two oviducts (uterine
tubes), the uterus, the vagina, and the
external genitalia. Its functions are to
produce female gametes (oocytes) and to
hold a fertilized oocyte during its
complete       development       through
embryonic and fetal stages until birth.
The system also produces sexual
hormones that control organs of the
reproductive system and influence other
organs of the body.

 Menopause is a variable period during which the cyclic changes become
 irregular and eventually disappear. In the postmenopausal period there is a
 slow involution of the reproductive system. Although the mammary glands
 do not belong to the genital system, they are studied here because they
 undergo changes directly connected to the functional state of the
 reproductive system.
Ovary




1 - cortex
2 - medulla
3 - area where primordial follicles are located
4 - primordial follicles
5 - secondary follicles
6 - tertiary follicles
7 - mature follicles (Graafian follicles)
8 - atretic follicles
• Ovaries
•   Ovaries       are     almond-shaped            bodies
    approximately 3 cm long, 1.5 cm wide, and 1
    cm thick. Their surface is covered by a simple
    squamous or cuboidal epithelium, the germinal
    epithelium.
•   Under the germinal epithelium is a layer of
    dense connective tissue, the tunica albuginea
•   Underneath the tunica albuginea is the cortical
    region, where ovarian follicles—structures that
    contain the oocytes—predominate. The follicles
    are embedded in the connective tissue
    (stroma) of the cortical region. This stroma is
    composed of characteristic spindle-shaped
    fibroblasts that respond to hormonal stimuli in a
    different way than do fibroblasts of other
    organs. The most internal part of the ovary is
    the medullary region, containing a rich
    vascular bed within a loose connective tissue.
    There are no sharp limits between the cortical
    and medullary regions. 5 - primordial follicles
                              6 - simple cuboidal epithelium
                              7 - tunica albuginea
                              8 - interstitial connective tissue
•    Development of the Ovary & Its Function
•    Around the end of the first month of embryonic life, a
     small population of primordial germ cells migrates
     from the yolk sac to the gonadal primordia.

•    In the gonads these cells divide and transform into
     oogonia. Division is so intense that in the second
     month of intrauterine life there are around 600,000
     oogonia.
•    These cells are the primary oocytes surrounded by
     flattened cells called follicular cells. By the seventh
     month of pregnancy, most oogonia have been
     transformed into primary oocytes.

•    Many primary oocytes, however, are lost through a
     degenerative process called atresia.


    Around puberty the ovaries contain about 300,000 oocytes. Atresia continues over
    the entire span of the woman's reproductive life so that by 40–45 years of age about
    8000 oocytes are left. Because generally only one oocyte is liberated by the ovaries
    in each menstrual cycle (average duration, 28 days) and the reproductive life of a
    woman lasts about 30–40 years, only about 450 oocytes are liberated. All others
    degenerate through atresia.
• Ovarian Follicles
•   An ovarian follicle consists of an oocyte
    surrounded by one or more layers of
    follicular cells, or granulosa cells. A basal
    lamina underlies the follicular cells and
    marks the boundary between the follicle and
    the surrounding stroma.

•   These follicles are found in the superficial
    layer of the cortical region.

•   The oocyte in the primordial follicle is a
    spherical cell about 25 m in diameter. Its
    nucleus is large and has a large nucleolus.
    These cells are in the first prophase of
    meiosis.
•   The organelles in the cytoplasm tend to form
    a clump adjacent to the nucleus. There are
    numerous mitochondria, several Golgi
    complexes, and cisternae of endoplasmic
    reticulum.
•   Follicular Growth
•   Follicular growth is stimulated by follicle-stimulating
    hormone, secreted by the hypophysis.

•   Oocyte growth is most rapid during the first part of
    follicular growth, with the oocyte reaching a
    maximum diameter of about 120 m.
•   Follicular cells divide by mitosis and form a single
    layer of cuboidal cells; the follicle is then called a
    unilaminar primary follicle.

•   The follicular cells continue to proliferate and form a
    stratified follicular epithelium, or granulosa layer,
    whose cells communicate through gap junctions.
•   The follicle is then called a multilaminar primary or
    preantral follicle.

•   A thick amorphous layer, the zona pellucida,
    composed of several glycoproteins, is secreted and
    surrounds the oocyte.
•   Both the oocyte and follicular cells are believed to
    contribute to the synthesis of the zona pellucida.
    Filopodia of follicular cells and microvilli of the
    oocyte penetrate the zona pellucida and make
    contact with one another via gap junctions.
Ovary




                 Coronada radiata
oocyte

                     antrum
Ovary follicle

 follicle
 oocyte


Coronada
radiata
antrum
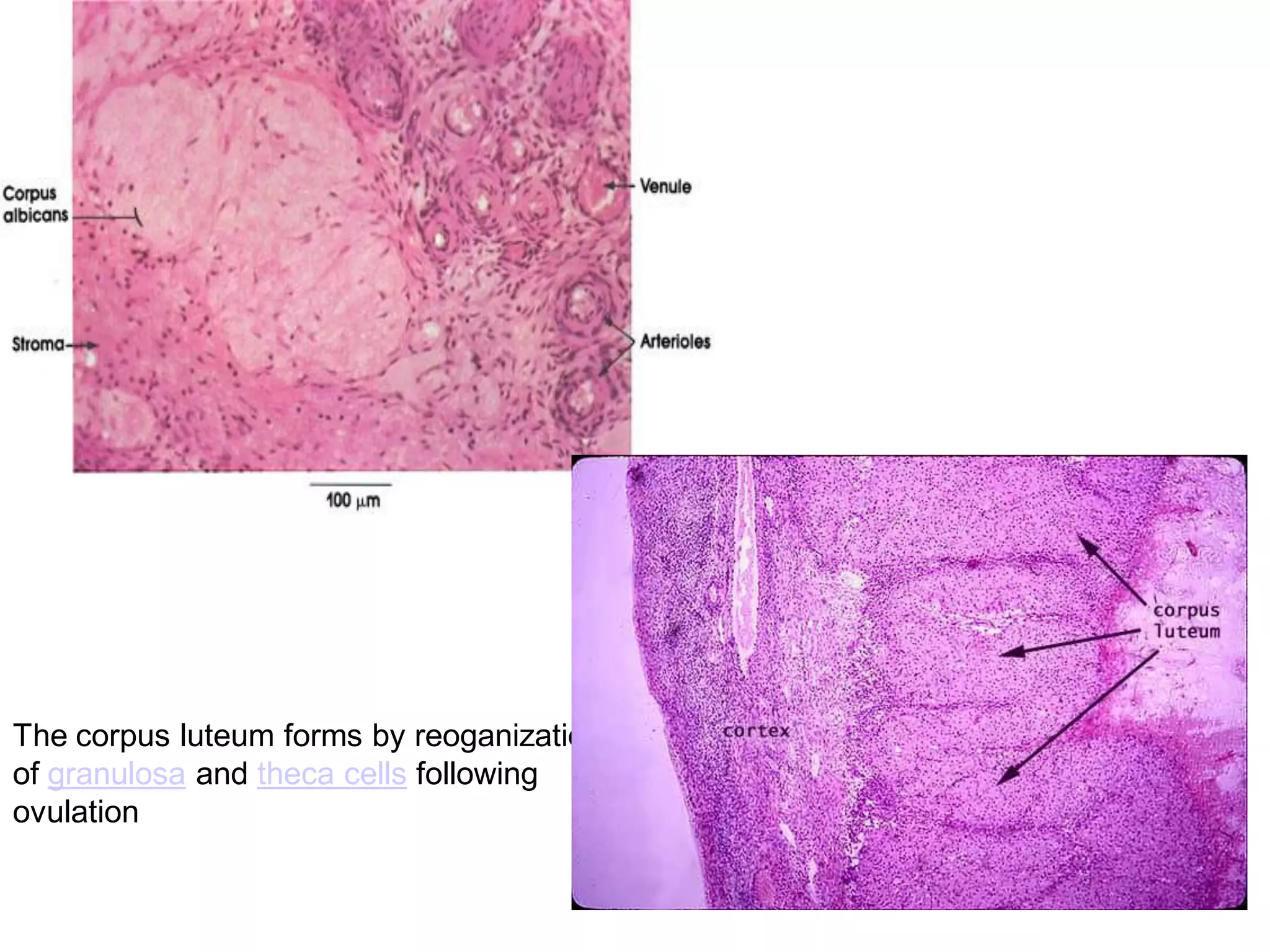
The corpus luteum forms by reoganization
of granulosa and theca cells following
ovulation
Uterine tube and Uterus
 – Infundibulum
 – Ampulla
 – Uterus
   • Endometrium
   • Myometrium
   • Epimetrium
 – Fundus
 – Fornix
Oviducts
•   The oviducts are tmuscular tubes of great
    mobility. One of its extremities, the
    infundibulum, opens into the peritoneal cavity
    next to the ovary and has a fringe of fingerlike
    extensions called fimbriae; the other
    extremity, the intramural portion, passes
    through the wall of the uterus and opens into
    the interior of this organ.
•   The wall of the oviduct is composed of three
    layers: (1) a mucosa, (2) a thick muscularis
    composed of smooth muscle disposed as an
    inner circular or spiral layer and an outer
    longitudinal layer, (3) and a serosa composed
    of visceral peritoneum.
•   The mucosa has longitudinal folds that are
    most numerous in the ampulla. These folds
    become smaller in the segments of the tube
    that are closer to the uterus. In the intramural
    portion, the folds are reduced to small bulges
    in the lumen, so its internal surface is almost
    smooth.
-The uterine or fallopian tubes, or
oviduct, contain complex mucosal
folds with distinct ciliated columnar
epithelium.
- The ampulla (top left) shows the
oviduct in low power. In the inset,
small arrows point to ciliated cells,
while arrowheads point to bulging,
non-ciliated secretory (peg) cells.
-The funnel-shaped opening called
the infundibulum contains many
finger-like projections called
fimbriae During ovulation, the
fimbriae get close to the ovary and
help to sweep the ovum that is
released into the abdominal cavity.
- As the oviduct approaches the
uterus, the mucosal folds become
less complex. The uterine or
interstitial portion contains a
relatively simple lumen and
columnar epithelium.
Uterus
 Myometrium

• Thickest layer
• Four poorly defined layers of
  smooth muscle separated by
  connective tissue
• Inner and outer layers are
  mostly longitudinal in
  orientation
• Middle layers are more
  circular
• Middle layer thickens in
  pregnancy with more smooth
  muscle cells and increased
  collagen
Endometrium
• Simple columnar
  epithelium invaginated
  into simple tubular
  glands
• Ciliated columnar cells
  and secretory columnar
  cells
• Lamina propria of highly
  cellular connective tissue   1 - tunica mucosa (endometrium)
                               2 - tunica muscularis (myometrium)
  and vessels                  3 - tunica serosa (perimetrium)
• 2 zones in endometrium       4 - functional layer of the endometrium
                               5 - basal layer of the endometrium
    – functional layer
                               6 - blood vessels
    – basal layer              7 - endometrial glands (in tunica propria
                                   of uterine mucosa)
                               8 - endometrial stroma (connective tuissue in
                                   tunica propria of uterine mucosa)
                               9 - epithelium of the endometrium
- The uterus is divided into endometrial (E),
myometrial (M), and perimetrial (P) layers (top left).
-The endometrium prepares for implantation of an
ovum by cycling through proliferative and secretory
phases. It can be divided into the basal and
functional layers. The basal layer remains relatively
unchanged through the cycles.
- The proliferative phase characterized by long,
relatively straight endometrial glands, as indicated
by the arrows.
- Immediately following ovulation, the glandular
epithelial cells, many of which may be ciliated,
exhibit ―basal vacuolization‖ which is the
accumulation of glycogen in the basal cytoplasm .
- The  most characteristic change in the
secretory phase of the endometrium is the
“saw-tooth” or “serrated” appearance of the
glands. Note the abundance of coiled or
spiral arteries that supply the entire
functional endometrium. The secretory cells
are also shorter with rounder nuclei than
those during the proliferative phase.
- During menstruation, the endometrial
surface epithelium undergoes ischemia,
which weakens the vascular walls resulting
in hemorrhage.
- The endometrial surface lacks epithelium,
the uterine glands open onto the surface
(large arrow), and there may be some blood
clots (small arrows).
Uterine Cervix
• Cervical mucosa has
  mucous glands
• Cervical mucosa remains
  intact during menstrual
  cycle
• Cervical gland secretions
  vary during menstrual cycle
  – at ovulation mucous is watery
    so sperm can penetrate
    easily
  – in luteal phase or pregnancy
    mucous more viscous to
    block sperm or microbes
Uterine Cervix
• Lower part of uterus
• Lined by mucous
  secreting simple
  columnar epithelium
• Some smooth muscle
  and much connective
  tissue in lamina propria
• Part of cervix in upper
  vagina has stratified
  squamous
  nonkeratinized
  epithelium
- The cervix is shown the junction and
change in epithelium, from the
columnar epithelium of the cervical
canal to the stratified, squamous
epithelium of the vagina.


- This is known as the strato-
columnar junction, and earliest signs
indicative of cervical cancer occur at
this junction.


- The cervical canal contains complex
folds that resemble glands.
- The epithelium contains simple, tall
columnar mucus-secreting epithelial
cells.


- The cervix also contains much
smooth muscle and dense connective
tissue.
The vagina wall contains abundant
connective tissue with large amounts
of elastin. There is also a thick
muscular layer. The inset shows the
muscular layer in more detail, with
longitudinal and circular smooth
muscle layers.


- The adventitia contains large nerves
and arteries that blend with the
connective tissue of the pelvis.


- The vaginal epithelium is covered
with     non-keratinized    stratified
squamous epithelium that contain
abundant glycogen in the cytoplasm.
The glycogen is released into the
vaginal lumen, where bacterial action
produces lactic acid to acidify the
mucosa and protect it.
Menstrual Cycle
• Estrogen and progesterone from ovary
  stimulate changes in the endometrium
• 28 day cycle on average
• Begins age 12-15 and ends age 45-50
• 3 main phases of cycle
  – Menstrual phase: days 1-4
  – Proliferative (follicular) phase: days 5-14
  – Ovulation around day 14
  – Secretory (luteal) phase: days 15-28
Secretory (Luteal) Phase
• Begins after ovulation, days 15-28
• Corpus luteum forms and produces
  progesterone
• Glands develop further, become coiled
  and begin to secrete
• Endometrium reaches 5 mm thick
Menstrual Phase
• Progesterone and estrogen decrease
  causing coiled arteries to constrict
  cutting off blood flow to the functional
  layer of endometrium
• Endometrial cells die and the functional
  layer is sloughed off
• Vessels distal to constrictions are shed
  with the functional layer causing some
  bleeding
Endometrium - menstrual
 phase
Placenta
• Organ that forms from uterine wall and fetal
  tissues during pregnancy to provide site for
  exchange between maternal and fetal
  circulation
• Fetal part: chorion
• Maternal part: decidua basalis
• Chorionic villi contain fetal vessels and are
  bathed by maternal blood
• Syncytial trophoblasts make up walls of villi;
  syncytial knots are groups of nuclei
Vagina
• Epithelium is stratified squamous partly
  keratinized
• No glands in epithelium
• Underlying lamina propria of loose connective
  tissue, highly vascularized with many elastic
  fibers
• Muscular layer of circular and longitudinal
  smooth muscle
• Adventitia of dense irregular connective tissue
  with elastic fibers, many vessels and nerves
Mammary Glands
• 15-25 lobes of compund tubuloacinar glands
  similar to apocrine sweat glands
• Glands secrete by apocrine mechanism
  (lipids) and exocytosis (proteins)
• Each lobe surrounded by dense irregular
  connective tissue and has its own duct
  leading into lactiferous ducts of nipple
• Interlobular ducts have simple cuboidal
  epithelium surrounded by myoepithelial cells
Mammary Glands

• Lactiferous sinuses lined by stratified
  squamous epithelium that changes to
  stratified columnar/cuboidal deeper in
  lactiferous ducts
• Glandular cells proliferate during
  pregnancy
Lactating mammary gland

Female2

  • 1.
    Female Reproductive SystemHistology Assoc Prof. Dr. Karim Al-Jashamy IMS MSU 2010
  • 2.
    • Ovary – Ovarian ligament • Uterine (fallopian) tube – Infundibulum – Ampulla • Uterus – Endometrium – Myometrium – Epimetrium – Fundus – Fornix • Cervix • Urethra • Vagina
  • 3.
    Clitoris Combination of 3 erectile bodies – glans clitoris and 2 corpora cavernosa Glans Expanded distal end of corpus spongiosum clitoris Prepuce Fold of smooth skin extending over the glans clitoris Hymen Thin, usually incomplete septum at the inferior vaginal orifice Labia majora Joined across the midline by the anterior and posterior labial commissures, blending together anteriorly as the mons pubis Labia Paired folds of hairless skin located medial to the labia majora minora Vagina Part of the female genital canal between the vestibule and cervix; contains vaginal fornices Vestibule Region inferior to the hymen between labia minora; contains the external urethral orifice and opening of vagina Uterus Hollow muscular organ for fetus growth; normally lies anteverted posterosuperior to the bladder
  • 4.
    Ovum Graafianfollicle Corpus albicans Corpus luteum Secondary follicle Primary follicle Graafian follicle after releasing ovum Ovulation
  • 5.
    The Female ReproductiveSystem The female reproductive system consists of two ovaries, two oviducts (uterine tubes), the uterus, the vagina, and the external genitalia. Its functions are to produce female gametes (oocytes) and to hold a fertilized oocyte during its complete development through embryonic and fetal stages until birth. The system also produces sexual hormones that control organs of the reproductive system and influence other organs of the body. Menopause is a variable period during which the cyclic changes become irregular and eventually disappear. In the postmenopausal period there is a slow involution of the reproductive system. Although the mammary glands do not belong to the genital system, they are studied here because they undergo changes directly connected to the functional state of the reproductive system.
  • 6.
    Ovary 1 - cortex 2- medulla 3 - area where primordial follicles are located 4 - primordial follicles 5 - secondary follicles 6 - tertiary follicles 7 - mature follicles (Graafian follicles) 8 - atretic follicles
  • 7.
    • Ovaries • Ovaries are almond-shaped bodies approximately 3 cm long, 1.5 cm wide, and 1 cm thick. Their surface is covered by a simple squamous or cuboidal epithelium, the germinal epithelium. • Under the germinal epithelium is a layer of dense connective tissue, the tunica albuginea • Underneath the tunica albuginea is the cortical region, where ovarian follicles—structures that contain the oocytes—predominate. The follicles are embedded in the connective tissue (stroma) of the cortical region. This stroma is composed of characteristic spindle-shaped fibroblasts that respond to hormonal stimuli in a different way than do fibroblasts of other organs. The most internal part of the ovary is the medullary region, containing a rich vascular bed within a loose connective tissue. There are no sharp limits between the cortical and medullary regions. 5 - primordial follicles 6 - simple cuboidal epithelium 7 - tunica albuginea 8 - interstitial connective tissue
  • 8.
    Development of the Ovary & Its Function • Around the end of the first month of embryonic life, a small population of primordial germ cells migrates from the yolk sac to the gonadal primordia. • In the gonads these cells divide and transform into oogonia. Division is so intense that in the second month of intrauterine life there are around 600,000 oogonia. • These cells are the primary oocytes surrounded by flattened cells called follicular cells. By the seventh month of pregnancy, most oogonia have been transformed into primary oocytes. • Many primary oocytes, however, are lost through a degenerative process called atresia. Around puberty the ovaries contain about 300,000 oocytes. Atresia continues over the entire span of the woman's reproductive life so that by 40–45 years of age about 8000 oocytes are left. Because generally only one oocyte is liberated by the ovaries in each menstrual cycle (average duration, 28 days) and the reproductive life of a woman lasts about 30–40 years, only about 450 oocytes are liberated. All others degenerate through atresia.
  • 9.
    • Ovarian Follicles • An ovarian follicle consists of an oocyte surrounded by one or more layers of follicular cells, or granulosa cells. A basal lamina underlies the follicular cells and marks the boundary between the follicle and the surrounding stroma. • These follicles are found in the superficial layer of the cortical region. • The oocyte in the primordial follicle is a spherical cell about 25 m in diameter. Its nucleus is large and has a large nucleolus. These cells are in the first prophase of meiosis. • The organelles in the cytoplasm tend to form a clump adjacent to the nucleus. There are numerous mitochondria, several Golgi complexes, and cisternae of endoplasmic reticulum.
  • 10.
    Follicular Growth • Follicular growth is stimulated by follicle-stimulating hormone, secreted by the hypophysis. • Oocyte growth is most rapid during the first part of follicular growth, with the oocyte reaching a maximum diameter of about 120 m. • Follicular cells divide by mitosis and form a single layer of cuboidal cells; the follicle is then called a unilaminar primary follicle. • The follicular cells continue to proliferate and form a stratified follicular epithelium, or granulosa layer, whose cells communicate through gap junctions. • The follicle is then called a multilaminar primary or preantral follicle. • A thick amorphous layer, the zona pellucida, composed of several glycoproteins, is secreted and surrounds the oocyte. • Both the oocyte and follicular cells are believed to contribute to the synthesis of the zona pellucida. Filopodia of follicular cells and microvilli of the oocyte penetrate the zona pellucida and make contact with one another via gap junctions.
  • 11.
    Ovary Coronada radiata oocyte antrum
  • 12.
    Ovary follicle follicle oocyte Coronada radiata antrum
  • 13.
    The corpus luteumforms by reoganization of granulosa and theca cells following ovulation
  • 14.
    Uterine tube andUterus – Infundibulum – Ampulla – Uterus • Endometrium • Myometrium • Epimetrium – Fundus – Fornix
  • 15.
    Oviducts • The oviducts are tmuscular tubes of great mobility. One of its extremities, the infundibulum, opens into the peritoneal cavity next to the ovary and has a fringe of fingerlike extensions called fimbriae; the other extremity, the intramural portion, passes through the wall of the uterus and opens into the interior of this organ. • The wall of the oviduct is composed of three layers: (1) a mucosa, (2) a thick muscularis composed of smooth muscle disposed as an inner circular or spiral layer and an outer longitudinal layer, (3) and a serosa composed of visceral peritoneum. • The mucosa has longitudinal folds that are most numerous in the ampulla. These folds become smaller in the segments of the tube that are closer to the uterus. In the intramural portion, the folds are reduced to small bulges in the lumen, so its internal surface is almost smooth.
  • 16.
    -The uterine orfallopian tubes, or oviduct, contain complex mucosal folds with distinct ciliated columnar epithelium. - The ampulla (top left) shows the oviduct in low power. In the inset, small arrows point to ciliated cells, while arrowheads point to bulging, non-ciliated secretory (peg) cells.
  • 17.
    -The funnel-shaped openingcalled the infundibulum contains many finger-like projections called fimbriae During ovulation, the fimbriae get close to the ovary and help to sweep the ovum that is released into the abdominal cavity. - As the oviduct approaches the uterus, the mucosal folds become less complex. The uterine or interstitial portion contains a relatively simple lumen and columnar epithelium.
  • 18.
    Uterus Myometrium • Thickestlayer • Four poorly defined layers of smooth muscle separated by connective tissue • Inner and outer layers are mostly longitudinal in orientation • Middle layers are more circular • Middle layer thickens in pregnancy with more smooth muscle cells and increased collagen
  • 19.
    Endometrium • Simple columnar epithelium invaginated into simple tubular glands • Ciliated columnar cells and secretory columnar cells • Lamina propria of highly cellular connective tissue 1 - tunica mucosa (endometrium) 2 - tunica muscularis (myometrium) and vessels 3 - tunica serosa (perimetrium) • 2 zones in endometrium 4 - functional layer of the endometrium 5 - basal layer of the endometrium – functional layer 6 - blood vessels – basal layer 7 - endometrial glands (in tunica propria of uterine mucosa) 8 - endometrial stroma (connective tuissue in tunica propria of uterine mucosa) 9 - epithelium of the endometrium
  • 20.
    - The uterusis divided into endometrial (E), myometrial (M), and perimetrial (P) layers (top left). -The endometrium prepares for implantation of an ovum by cycling through proliferative and secretory phases. It can be divided into the basal and functional layers. The basal layer remains relatively unchanged through the cycles. - The proliferative phase characterized by long, relatively straight endometrial glands, as indicated by the arrows. - Immediately following ovulation, the glandular epithelial cells, many of which may be ciliated, exhibit ―basal vacuolization‖ which is the accumulation of glycogen in the basal cytoplasm .
  • 21.
    - The most characteristic change in the secretory phase of the endometrium is the “saw-tooth” or “serrated” appearance of the glands. Note the abundance of coiled or spiral arteries that supply the entire functional endometrium. The secretory cells are also shorter with rounder nuclei than those during the proliferative phase. - During menstruation, the endometrial surface epithelium undergoes ischemia, which weakens the vascular walls resulting in hemorrhage. - The endometrial surface lacks epithelium, the uterine glands open onto the surface (large arrow), and there may be some blood clots (small arrows).
  • 22.
    Uterine Cervix • Cervicalmucosa has mucous glands • Cervical mucosa remains intact during menstrual cycle • Cervical gland secretions vary during menstrual cycle – at ovulation mucous is watery so sperm can penetrate easily – in luteal phase or pregnancy mucous more viscous to block sperm or microbes
  • 23.
    Uterine Cervix • Lowerpart of uterus • Lined by mucous secreting simple columnar epithelium • Some smooth muscle and much connective tissue in lamina propria • Part of cervix in upper vagina has stratified squamous nonkeratinized epithelium
  • 24.
    - The cervixis shown the junction and change in epithelium, from the columnar epithelium of the cervical canal to the stratified, squamous epithelium of the vagina. - This is known as the strato- columnar junction, and earliest signs indicative of cervical cancer occur at this junction. - The cervical canal contains complex folds that resemble glands. - The epithelium contains simple, tall columnar mucus-secreting epithelial cells. - The cervix also contains much smooth muscle and dense connective tissue.
  • 25.
    The vagina wallcontains abundant connective tissue with large amounts of elastin. There is also a thick muscular layer. The inset shows the muscular layer in more detail, with longitudinal and circular smooth muscle layers. - The adventitia contains large nerves and arteries that blend with the connective tissue of the pelvis. - The vaginal epithelium is covered with non-keratinized stratified squamous epithelium that contain abundant glycogen in the cytoplasm. The glycogen is released into the vaginal lumen, where bacterial action produces lactic acid to acidify the mucosa and protect it.
  • 26.
    Menstrual Cycle • Estrogenand progesterone from ovary stimulate changes in the endometrium • 28 day cycle on average • Begins age 12-15 and ends age 45-50 • 3 main phases of cycle – Menstrual phase: days 1-4 – Proliferative (follicular) phase: days 5-14 – Ovulation around day 14 – Secretory (luteal) phase: days 15-28
  • 29.
    Secretory (Luteal) Phase •Begins after ovulation, days 15-28 • Corpus luteum forms and produces progesterone • Glands develop further, become coiled and begin to secrete • Endometrium reaches 5 mm thick
  • 31.
    Menstrual Phase • Progesteroneand estrogen decrease causing coiled arteries to constrict cutting off blood flow to the functional layer of endometrium • Endometrial cells die and the functional layer is sloughed off • Vessels distal to constrictions are shed with the functional layer causing some bleeding
  • 32.
  • 33.
    Placenta • Organ thatforms from uterine wall and fetal tissues during pregnancy to provide site for exchange between maternal and fetal circulation • Fetal part: chorion • Maternal part: decidua basalis • Chorionic villi contain fetal vessels and are bathed by maternal blood • Syncytial trophoblasts make up walls of villi; syncytial knots are groups of nuclei
  • 35.
    Vagina • Epithelium isstratified squamous partly keratinized • No glands in epithelium • Underlying lamina propria of loose connective tissue, highly vascularized with many elastic fibers • Muscular layer of circular and longitudinal smooth muscle • Adventitia of dense irregular connective tissue with elastic fibers, many vessels and nerves
  • 37.
    Mammary Glands • 15-25lobes of compund tubuloacinar glands similar to apocrine sweat glands • Glands secrete by apocrine mechanism (lipids) and exocytosis (proteins) • Each lobe surrounded by dense irregular connective tissue and has its own duct leading into lactiferous ducts of nipple • Interlobular ducts have simple cuboidal epithelium surrounded by myoepithelial cells
  • 38.
    Mammary Glands • Lactiferoussinuses lined by stratified squamous epithelium that changes to stratified columnar/cuboidal deeper in lactiferous ducts • Glandular cells proliferate during pregnancy
  • 39.