SYMPOSIUM
10-01-2017
S3 UNIT
ESOPHAGEAL
PERFORATION / INJURIES
DR JAMSHEER .VT 2nd year MS PG
THANJAVUR MEDICAL COLLEGE
INTRODUCTION
• LACK OF SEROSA- EASY PERFORATION
• CHARECTERISTIC ANATOMICAL LOCATION-NOT
COMMONLY INJURED IN BLUNT INJURY
• DELAY IN DIAGNOSIS - PRESENTATION SIMILAR TO
OTHER VARIOUS MEDICAL AND SURGICAL
ILLNESSES - ONE OF MOST LETHAL
GASTROINTESTINAL PERFORATION
• INCIDENCE IS TOO LOW
• MORTALITY IS TOO HIGH
ETIOLOGY
• INSTRUMENTATION MOST COMMON
• TRAUMA
• SPONTANEOUS
OTHER
• SURGICAL
• FOREIGN BODY
• MALIGNANCY
• PEPTIC ULCER
• OPERATIVE INJURY
• HSV/HIV/TB
PILL ESOPHAGITIS
• NSAID
• KCl
• OSTEOPOROSIS-ALENDRONATE
• MINO/DOXYCYCLIN
FOREIGN BODY
• ADULT-FISH MEAT BONE
• PAEDIATRIC
• NON CORROSIVE & SMALL - WAIT IF PASS
CRICOPHARYNX
• LITHIUM BATTERY – WAIT IF PASS BEYOND LOWER
ESOPHAGEAL SPHINTURE
• EMERGENCY IF IN ESOPHAGUS
COMMON ANATOMICAL LOCATION
• INSTRUMENTATION - CRICOPHARYNX
• DILATATION – AT/PROXYMAL TO LESION
• FOREIGN BODY - CRICOPHARYNX
• CAUSTIC – NEAR LES
SPONTANEOUS PERFORATION
• BOERHAAVES SYNDROME
• COMPLETE DISRUPTION OF WALL IN THE ABSENCE
OF PRE-EXISTING PATHOLOGY
• FIRST 1723- 200YEARS NO CURE
• LOCATION – LOWER 3RD
• MALE & ALCOHOLIC
CAUSES
• RETCHING/VOMITING
• BLUNT TRAUMA
• WEIGHT LIFTING
• PARTURITION
• DEFECATION
• STATUS EPILEPTICUS
CLINICAL FEATURES
DEPENDS ON
• TIME SINCE INJURY
• SITE OF LESION
• SIZE OF LESION
• MOST IMPORTANT EVENT-PRIOR SEVERE VOMITING
MACKLER’S TRIAD
• VOMITING / RETCHING
• SEVERE CHEST PAIN
• SUBCUTANEOUS EMPHYSEMA
• CLASSICALLY SEEN IN 12%
• COMPLETELY ABSENT IN 22%
• SO NOT AT ALL RELAIBLE
PATHOGNOMONIC SIGN
EARLIEST SIGN
CLINICAL FEATURES
• CHEST PAIN
• FEVER
• TACHYCARDIA
• TACHYPNOEA
DIAGNOSIS
• CHARECTERISTIC CLINICAL FEATURES
• RADIOLOGY
DELAY IN DIAGNOSIS
• DUE TO CLOSE SIMILARITY BETWEEN OTHER
MEDICAL & SURGICAL CONDITIONS LIKE
MEDICAL
• MYOCARDIAL INFARCTION
• PERICARDITIS
• SPONTANEOUS PNEUMOTHORAX
• PNEUMONIA
• MALLORY WEISS TEAR…..
SURGICAL
• PERITONITIS
• ACUTE PANCREATITIS
• PERFORATED PEPTIC ULCER
• AORTIC ANEURYSM (LEAK/RUPRTURE)
• BILIARY COLIC / RENAL COLIC
• MESENTERIC ISCHEMIA
INVESTIGATION
• XRAY – IF FAILS GASTROGRAFFIN IF FAILS- THIN
BARIUM IF FAILS CT IF FAILS ENDOSCOPY
PLAIN X-RAY
CONTRAST ESOPHAGOGRAM
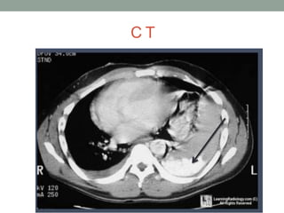
C T
• CT
• INDICATION
• USES- POST OP FOLLOW UP OF IMPROVEMENT
ENDOSCOPY – BLUNT INJURY
TREATMENT
• INITIAL RESUSCITATION
• NON OPERATIVE
• OPERATIVE
INITIAL RESCUCITATION
• MONITOR VITALS.
• SPo2
• URINE OUTPUT
• OPIATE BASED ANALGESIA
• ANTIBIOTIC.
• PROTON PUMP INHIBITORS
• NPO/NASOGASTRIC TUBE
• TUBE THORACOSTOMY.
NON OPERATIVE
• ICU
• CT GUIDED ASPIRATION
• NASO GASTRIC WASH
• FEEDING JEJUNOSTOMY
SURGERY
• AIM-MOST IMPORTANT –THOROUGH DEBRIDEMENT
• THEN REPAIR
• FEEDING JEJUNOSTOMY
PRIMARY REPAIR & REINFORCEMENT
• MYOTOMY
• SINCE MUCOSAL LESION MORE THAN MUSCLE
T-TUBE REPAIR
• DELAYED BUT TOLERATED PATIENT
• PRINCIPLE – MAKE CONTROLLED ESOPHAGO
CUTANEOUS FISTULA
• SERIAL CT
• VIABLE OPTION FOR ALL PERFORATION
IATROGENIC PERFORATION
• ENDOSCOPY & SURGICAL
• ANATOMICAL SITE- CRICOPHARYNX
• STENT PLACEMENT CARRY A RISK OF ABOUT 5-25%
• HIGHEST
MANAGEMENT
• SINCE PATIENT IS IN NPO IS VERY LOW
CONTAMINATION
Cameron’s criteria – NON OPERATIVE
Shaffer - NON OPERATIVE
Indication for surgery
CAUSTIC INJURIES
• ADULT SUICIDAL – MORE INJURY
• CHILDHOOD – ACCIDENTAL LESS INJURY
• ACID –CHARRING – PREVENT FURTHER
PROGRESSION
• ALKALI – LIQIFACTIVE NECROSIS – TRANSMURAL
INVOLVEMENT
INVESTIGATION
• CHEST X-RAY
• EARLY FLEXIBLE SCOPY
• RESPIRATORY COMPROMISE/PERFORATION
• ESOPHAGEAL ENDOSONOGRAPHY
GRADE FINDING
1 MUCOSAL EDEMA /
HYPEREMIA
2 EROSION/EXUDATES
3 NECROSIS
FIRST 1723-200
FUTURE COMPLICATION
• STRICTURE
• MALIGNANCY
•THANK YOU

Esophageal perforation