Endovascular
ANEURYSM
REPAIR
(EVAR)
Dr. Huthayfa Ghanem
Vascular Surgery Unit
CASE PRESENTATION
• 62-year-old male
• AAA 5.5 cm
• Ischemic cardiomyopathy
• Hypertension
• Dyslipidemia
• Intact pedal pulses
CASE PRESENTATION
AortogramCTA
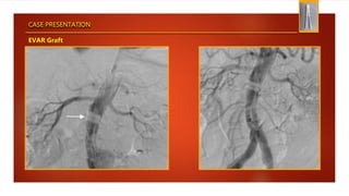
CASE PRESENTATION
EVAR Graft
ABDOMINAL AORTIC ANEURYSMS
Abdominal Aortic Aneurysm is a permanent pathologic dilation of the
abdominal aorta with a greater than 50% increase in its diameter
The most significant pathology is “elastin degradation due to MMPs
(mainly 2,9,12) in the aortic media
Risk Factors: smoking, ♂, hypertension, genetics
Annual risk of rupture of diameters between 5-5.9: 5%
ABDOMINAL AORTIC ANEURYSMS
Management of AAAs
• Imaging: Plain radiographs, USS, CT, MRA
• Screening: recommended for men over 65 years (single USS)
• Treatment:
 Aim is to prevent death from aortic rupture
 Pharmacologic: control risk factors (e.g. Blood Pressure: β-
blockers, Losartan), Doxycycline (↓ MMP 9), Statins (anti-
inflammatory), Curcumin (reduces cytokines)
ABDOMINAL AORTIC ANEURYSMS
Management of AAAs
• Treatment:
 Repair
Open Repair (OR)
Endovascular Aneurysm Repair (EVAR)
Hybrid Repairs
ABDOMINAL AORTIC ANEURYSMS
Management of AAAs
• Treatment:
 Repair
Open Repair
ABDOMINAL AORTIC ANEURYSMS
Management of AAAs
• Treatment:
 Repair
Endovascular
Aneurysm Repair
ABDOMINAL AORTIC ANEURYSMS
Management of AAAs
• Treatment:
 Repair
Hybrid Repairs
ABDOMINAL AORTIC ANEURYSMS
INDICATIONS FOR AAA REPAIR
• Diameter ≥ 5.5 cm (5 cm in females)
• Diameter ≥ 2.5 times the normal aortic diameter
• Aneurysm annual growth rate ≥ 1 cm
• AAA rupture
• Symptomatic (e.g. back pain)
ABDOMINAL AORTIC ANEURYSMS
EVAR versus OR
• No laparotomy
• Less postoperative pain
• Shorter hospital stay
• Lower operative mortality
• Similar mid-term all cause mortality and quality of life
• No survival benefit compared with “NO INTERVENTION” in unfit patients
• Higher re-intervention rates and graft specific problems
EVAR
EVAR for AAA represents an advance in patient
care, serving as an effective alternative to
traditional open surgical AAA repair, and is now
the most common treatment method for AAA
repair in the United States.
EVAR
Juan Carlos Parodi
• 1970s:
Proposed the concept
of using endoluminal
route to deliver fabric
grafts reinforced with
metal stents
• 1990:
First Human Implant
Unfit patient
The patient lived for 9
years before dying from
pancreatic carcinoma
EVAR
Graft Characteristics
• Active fixation at the proximal end (e.g. hooks)
• Resting flow divider at the distal end
• Low permeability ePTFE
• Polymer filled ring at the proximal sealing zone
to protect the aortic neck
• Kink-resistant iliac limbs
• Radio-opaque markers to assist positioning
EVAR
Preoperative workup (almost identical to OR)
• Planning CT for accurate assessment of the aortic
morphology:
 With contrast
 Arterial phase
 Reconstructed at a max. 3 mm axial slices (1.5 mm
for fenestrated / branched grafts)
 Diaphragm – Groin
 Measurement: adventitia – adventitia (most grafts)
 Formally reported by a radiologist
EVAR
Preoperative workup (almost identical to OR)
• Planning CT for accurate assessment of the aortic morphology:
 1 – 2 mm diameter variation is expected (phase of cardiac cycle)
 Standard instructions for use IFUs (according to the graft)
EVAR
EVAR is not favored in the following:
• Heavy calcifications
• Excessive iliacs tortuosity
• Excessive angulation of the aneurysm neck
EVAR
Preoperative workup (almost identical to OR)
• Planning CT for accurate assessment of the aortic
morphology
• Theatre environment to reduce the infection
rates
• Fixed high specification angiographic
fluoroscopy units
• General / regional anaesthesia preferred
(excessive patient discomfort may be encountered due
to lower limb ischaemia as the delivery system may
occludes femorals)
EVAR
Procedure
EVAR
Procedure
EVAR
Procedure
EVAR
Results
EVAR
Results
EVAR
Complications
• Medical: less than OR, PIS
(inflammatory response)
• Deployment: renal,
mesenteric, athero-
embolism
• Graft related: fracture,
migration, thrombosis,
limb ischaemia,
ENDOLEAKS, …
EVAR
Complications
• Medical: less than OR, PIS
(inflammatory response)
• Deployment: renal,
mesenteric, athero-
embolism
• Graft related: fracture,
migration, thrombosis,
limb ischaemia,
ENDOLEAKS, …
EVAR
Complications
• Medical: less than OR
• Deployment: renal,
mesenteric, athero-
embolism
• Graft related: fracture,
migration, thrombosis,
limb ischaemia,
ENDOLEAKS, …
ENDOLEAKS
Types of Endoleaks
ENDOLEAKS
Types of
Endoleaks
ENDOLEAKS
Types of Endoleaks
ENDOLEAKS
Types of Endoleaks
ENDOLEAKS
Types of Endoleaks
Type I a
ENDOLEAKS
Types of Endoleaks
Type I a
ENDOLEAKS
Types of Endoleaks
Type I a
ENDOLEAKS
Types of Endoleaks
Type I b
ENDOLEAKS
Types of Endoleaks
Type I b
ENDOLEAKS
Types of Endoleaks
Type II
ENDOLEAKS
Types of Endoleaks
Type II
ENDOLEAKS
Types of Endoleaks
Type II
ENDOLEAKS
Types of Endoleaks
Type II
ENDOLEAKS
Types of Endoleaks
Type II
ENDOLEAKS
Types of Endoleaks
Type II
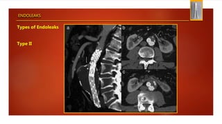
ENDOLEAKS
Types of Endoleaks
Type II
ENDOLEAKS
Types of Endoleaks
Type II
ENDOLEAKS
Types of Endoleaks
Type III
ENDOLEAKS
Types of Endoleaks
Type III
ENDOLEAKS
Types of Endoleaks
Type III
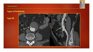
ENDOLEAKS
Types of Endoleaks
Type III
ENDOLEAKS
Types of Endoleaks
Type IV
Type IV endoleaks are not true leaks but
represent passage of blood through the
graft fabric as a result of porosity. Typically
this type of endoleak is transient and only
noted at the time of repair appearing as a
blush on the post-deployment angiogram,
when patients are often fully
anticoagulated, and resolve spontaneously
after the withdrawal of anticoagulation.
This type of endoleak has been eliminated
by changes in graft porosity
ENDOLEAKS
Types of Endoleaks
Type V
ENDOLEAKS
Types of Endoleaks
Type V

Endovascular Aortic Aneurysm Repair