Embed presentation
Downloaded 35 times












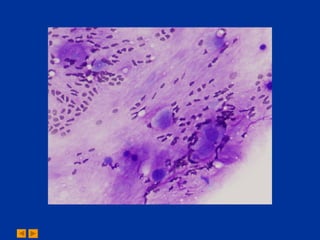
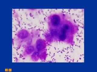
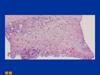
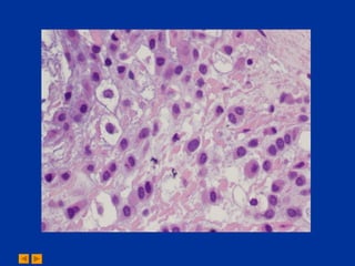
A 36-year-old female presented with a left popliteal mass. The differential diagnosis for the fine needle aspiration of the mass included chondroma and chondrosarcoma. The diagnosis from the cytopathology conference was chondrosarcoma.











