R A W A M U H S I N
Extraskeletal Ewing Sarcoma
Definition
 Malignant small round blue cell neoplasm of bone
and soft tissue characterized by specific EWSR1
mutations
 ES and PNET represent continuous morphologic
spectrum
 Evidence of neuronal differentiation in PNET
 Origin from mesenchymal stem cell or neural crest
stem cell
Epidemiology
 Rare
 2nd decade of life
 M:F ratio = 1.4:1.0
 More common in Caucasians
Clinical
 Symptoms
 Swelling, pain, constitutional
 Treatment
 Chemotherapy followed by surgery ± radiation
 Prognosis
 Early metastasis to lungs, bone
 10-year survival: 67% (localized), 28% (metastasis)
 Poor with metastasis, axial, size >10 cm, age >19 years
Gross
 Tan to gray, friable cut surfaces
 Hemorrhage and necrosis common
 May display cystic change with necrotic, semiliquid
contents
Imaging
Architecture
 Sheets (densely packed)
 Homer-Wright rosettes in PNET
 Minimal intercellular collagen or reticulin
 Rare myxoid change with microcyst formation
 Necrosis with perivascular preservation of cells
Cells
 Uniform cells
 Rarely spindled
 Scant cytoplasm with indistinct membranes
 Clear from glycogen
 Fine chromatin, inconspicuous nucleoli
 Atypical (large cell) variant
 Large nuclei, conspicuous nucleoli, pleomorphism, spindling
Histochemistry
 PAS +ve
 intracytoplasmic glycogen in up to 75% of tumors
 Reticulin -ve
 Minimal or intercellular reticulin
 vs lymphoma (cells), synovial sarcoma (small cell groups)
Immunohistochemistry
Antibody Pattern Positive Cases
CD99 Membrane 93% 1810
NKX2.2 Nucleus 84% 417
FLI-1 Nucleus 84% 685
HDGF (100% in 108 cases), caveolin-1 (96% in 385 cases), GSK-3-beta (89% in
372 cases), SLUG (84% in 369 cases), etc.
Immunohistochemistry
Antibody Pattern Positive Cases
AE1/AE3 Cytoplasm 22% 655
CK-PAN Cytoplasm 9% 198
CAM 5.2 Cytoplasm 11% 307
34bE12 Cytoplasm 4% 284
EMA Cytoplasm 10% 98
CK7 Cytoplasm 0% 78
CK20 Cytoplasm 0% 40
CK19 Cytoplasm 10% 40
Immunohistochemistry
Antibody Pattern Positive Cases
NSE Cytoplasm 50% 411
Synaptophysin Cytoplasm 36% 326
CD56 Membrane 25% 134
Chromogranin-A Cytoplasm 2% 265
Molecular
 Gene rearrangements of FET family gene with ETS
family gene
 FET gene family: EWSR1, FUS, TAF15
 ETS gene family: FLI1, ERG, ETV1, ETV4, FEV
Molecular
 EWSR1-FLI1 fusion
 t(11;22)(q24;q12)
 90%
 EWSR1-ERG fusion
 t(21;22)(q12;q12)
 5-10%
 EWSR1 variant translocations
 ETS and non-ETS
 <1%
Differential diagnosis
 Alveolar rhabdomyosarcoma
 Synovial sarcoma
 DSRCT
 Lymphoma
 CIC-DUX4 undifferentiated sarcoma
 BCOR-CCNB3 fusion sarcoma
 Neuroblastoma
 Small cell carcinoma
Extraskeletal Ewing Sarcoma

Extraskeletal Ewing Sarcoma

  • 1.
    R A WA M U H S I N Extraskeletal Ewing Sarcoma
  • 2.
    Definition  Malignant smallround blue cell neoplasm of bone and soft tissue characterized by specific EWSR1 mutations  ES and PNET represent continuous morphologic spectrum  Evidence of neuronal differentiation in PNET  Origin from mesenchymal stem cell or neural crest stem cell
  • 3.
    Epidemiology  Rare  2nddecade of life  M:F ratio = 1.4:1.0  More common in Caucasians
  • 4.
    Clinical  Symptoms  Swelling,pain, constitutional  Treatment  Chemotherapy followed by surgery ± radiation  Prognosis  Early metastasis to lungs, bone  10-year survival: 67% (localized), 28% (metastasis)  Poor with metastasis, axial, size >10 cm, age >19 years
  • 5.
    Gross  Tan togray, friable cut surfaces  Hemorrhage and necrosis common  May display cystic change with necrotic, semiliquid contents
  • 8.
  • 9.
    Architecture  Sheets (denselypacked)  Homer-Wright rosettes in PNET  Minimal intercellular collagen or reticulin  Rare myxoid change with microcyst formation  Necrosis with perivascular preservation of cells
  • 16.
    Cells  Uniform cells Rarely spindled  Scant cytoplasm with indistinct membranes  Clear from glycogen  Fine chromatin, inconspicuous nucleoli  Atypical (large cell) variant  Large nuclei, conspicuous nucleoli, pleomorphism, spindling
  • 27.
    Histochemistry  PAS +ve intracytoplasmic glycogen in up to 75% of tumors  Reticulin -ve  Minimal or intercellular reticulin  vs lymphoma (cells), synovial sarcoma (small cell groups)
  • 31.
    Immunohistochemistry Antibody Pattern PositiveCases CD99 Membrane 93% 1810 NKX2.2 Nucleus 84% 417 FLI-1 Nucleus 84% 685 HDGF (100% in 108 cases), caveolin-1 (96% in 385 cases), GSK-3-beta (89% in 372 cases), SLUG (84% in 369 cases), etc.
  • 32.
    Immunohistochemistry Antibody Pattern PositiveCases AE1/AE3 Cytoplasm 22% 655 CK-PAN Cytoplasm 9% 198 CAM 5.2 Cytoplasm 11% 307 34bE12 Cytoplasm 4% 284 EMA Cytoplasm 10% 98 CK7 Cytoplasm 0% 78 CK20 Cytoplasm 0% 40 CK19 Cytoplasm 10% 40
  • 33.
    Immunohistochemistry Antibody Pattern PositiveCases NSE Cytoplasm 50% 411 Synaptophysin Cytoplasm 36% 326 CD56 Membrane 25% 134 Chromogranin-A Cytoplasm 2% 265
  • 38.
    Molecular  Gene rearrangementsof FET family gene with ETS family gene  FET gene family: EWSR1, FUS, TAF15  ETS gene family: FLI1, ERG, ETV1, ETV4, FEV
  • 39.
    Molecular  EWSR1-FLI1 fusion t(11;22)(q24;q12)  90%  EWSR1-ERG fusion  t(21;22)(q12;q12)  5-10%  EWSR1 variant translocations  ETS and non-ETS  <1%
  • 43.
    Differential diagnosis  Alveolarrhabdomyosarcoma  Synovial sarcoma  DSRCT  Lymphoma  CIC-DUX4 undifferentiated sarcoma  BCOR-CCNB3 fusion sarcoma  Neuroblastoma  Small cell carcinoma

Editor's Notes

  • #7 Axillary Ewing. Photograph of the sectioned gross specimen demonstrates several prominent intrinsic vascular channels (arrowheads), findings that correspond to the imaging appearance. Scale is in centimeters.
  • #8 Gross pathological image from radical left nephrectomy demonstrates large mass in lower pole of kidney. Cut-surface shows pinkish yellow mass with internal hemorrhage and cystic change.
  • #9 MRI shows high signal intensity on the T2-weighted image. Serpentine areas of low signal intensity on the T2-weighted image (arrowheads in c) suggest a high-flow vessel component. Coronal contrast-enhanced computed tomography scan of abdomen reveals large, heterogeneous, enhancing right renal mass with prominent internal vascular structure. Central, non-enhancing portions represent central tumor necrosis (asterisk).
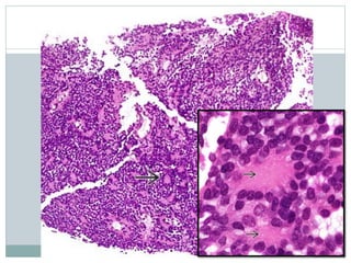
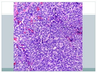
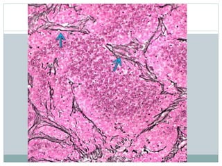
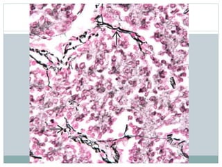
  • #11 Ewing sarcoma (ES) is a highly cellular, high-grade sarcoma with a dense, solid to sheet-like distribution of cells, as depicted. Most tumors are diagnosed on small biopsy prior to treatment with chemotherapy, and large, preserved sections, as shown, are uncommon.
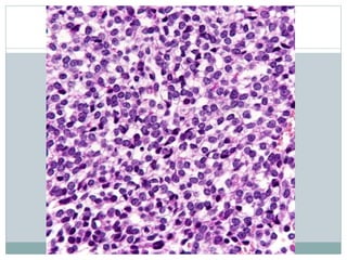
  • #12 The tumor is classically very cellular cells arranged in diffuse sheets or lobules. Tumor cells and nuclei are generally uniform. Stromal vessels are commonly found.
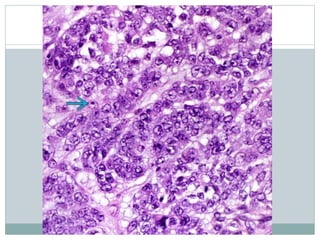
  • #13 This case of ES features a more prominent lobulated pattern of growth with large nests and sheets of clear tumor cells separated by thickened fibrocollagenous septa .
  • #14 Some cases of ES feature conspicuous morphologic evidence of neuroectodermal differentiation in the form of scattered true rosettes . These tumors have also been described as primitive neuroectodermal tumors (PNETs). The true rosettes of ES (PNET) are formed by tumor cells arranged around a core of fibrillary material without formation of a central lumen. Cell boundaries are indistinct. These structures are also known as Homer Wright rosettes.
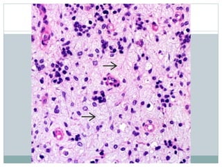
  • #15 Coagulative necrosis is common in ES and is often geographic in distribution. A common finding is the presence of perivascular tumor cell preservation ("peritheliomatous growth") with degeneration and death of surrounding cells.
  • #16 After chemotherapy, there is often shrinkage and loss of tumor cells with prominent edema &/or fibrosis of the stroma. Large areas of necrosis are also common after therapy.
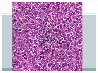
  • #18 Tumor cells in ES are generally very uniform, and overlapping of nuclei is quite common. Chromatin is finely and evenly distributed, and nucleoli are small, if present.
  • #19 This high-power H&E of ES shows a sheet of neoplastic cells with no particular pattern. The cells are medium sized and have a high nuclear:cytoplasmic ratio. The nuclear chromatin is evenly distributed, and there are numerous mitotic figures in this example.
  • #20 Focal spindle cell morphology is a rare finding in ES. In this H&E, spindled tumor cells within an area of myxoid stromal changes (also rare) merge with more typical round cells . Spindling is more frequently seen in the large cell (atypical) variant.
  • #21 Accumulation of intracytoplasmic glycogen is common in ES and results in a conspicuous clear cell appearance. This morphology may be focal, patchy, or diffuse in any given tumor.
  • #22 Clear tumor cells are admixed with more conventional small cells in this case of ES. Hemosiderin pigment is also present and associated with stromal vessels.
  • #23 Nuclei in ES are generally small, round, and relatively uniform. Nucleoli are small, if present. Occasional cases show scattered cells with more prominent nucleoli.
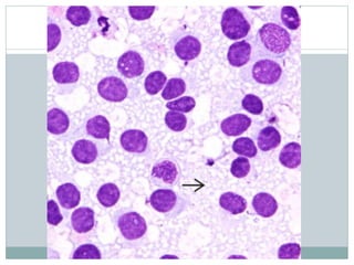
  • #24 An admixed population of degenerating tumor cells with smaller, hyperchromatic, and angulated nuclei may be seen in many cases of ES and have been referred to as "dark" cells. Note the contrast with the more conventional tumor cells .
  • #25 Occasional cases of ES contain tumor cells that are larger, show greater nuclear irregularity, and often feature prominent nucleoli . This variant is known as atypical or large cell ES.
  • #26 Pap-stained FNA smear of Ewing sarcoma shows individually distributed monotonous small round blue tumor cells .
  • #27 Diff-Quik-stained smear of Ewing sarcoma shows a vacuolated tigroid background caused by glycogen derived from a disrupted cytoplasm of tumor cells.
  • #29 Intracytoplasmic glycogen in ES can be demonstrated by a periodic acid-Schiff (PAS) stain and is removed by pretreatment with diastase. Glycogen appears granular and brightly pink or magenta. Ewing sarcoma stained with PAS demonstrates red intracytoplasmic granules that represent glycogen. Note that not all cells are positive. Rhabdomyosarcoma contains glycogen, whereas lymphoma and neuroblastoma do not. EWS stained with PAS-D is shown. The diastase digests the glycogen, confirming that intracytoplasmic material is not some other type of complex carbohydrate.
  • #30 A reticulin stain of Ewing sarcoma shows that groups of cells, and not individual cells, are surrounded by reticulin fibers . Reticulin fibers surround individual cells in lymphoma (previously known as "reticulum cell sarcoma").
  • #31 Reticulin fibers are seen around blood vessels and between tumor lobules in ES; however, these fibers are absent between neoplastic cells. By contrast, reticulin often surrounds small groups of cells in the morphologically similar, poorly differentiated synovial sarcoma.
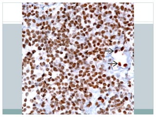
  • #32 CD99(+), characteristically strong, diffuse, and membranous Weak, patchy, or focal expression should lead to consideration of other diagnoses
  • #35 ES characteristically shows strong, diffuse membranous staining for CD99 (MIC2), as shown. Once thought to be specific for ES, CD99 has since been well described in many other small round blue cell tumors; however, expression is usually weak or focal in these other entities.
  • #36 Ewing sarcoma stained for FLI-1 shows the typical pattern of diffuse and strong nuclear staining. Note the staining of normal endothelial cells .
  • #37 All cases of Ewing sarcoma were diffusely positive for NKX2.2 by immunohistochemistry (b, X400)
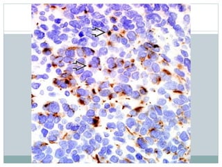
  • #38 Focal keratin expression can be seen in up to 25-30% of cases of ES, often in a dot-like pattern . Other morphologically similar entities, such as desmoplastic small round cell tumor and poorly differentiated synovial sarcoma, should be carefully excluded.
  • #40 RT-PCR and FISH
  • #41 This graphic depicts the t(11;22)(q24;q12) translocation between the carboxy-terminal domain of FLI1 (11q24) and the EWSR1 gene aminoterminal domain (22q12), resulting in an EWSR1-FLI1 fusion gene.
  • #42 In this fluorescence in situ hybridization (FISH) preparation, dual color break-apart probes are used for the EWSR1 gene on chromosome 22. In the nucleus of a tumor cell, split red and green signals, instead of a fused yellow one , indicate a translocation involving EWSR1.
  • #43 Soft tissue ES shows rearrangement of the EWSR1 gene in 92% of cells analyzed using a dual-color, break-apart probe. A fused signal is yellow or has touching signals, while the 5' and 3' split signals are red and green , indicating rearrangement. There is generally 1 normal EWSR1 allele and 1 split allele per nucleus.