THOÁT VỊ NÃO
DR Nguyễn Ngọc Sơn
Khoa CĐHA- BVĐK tỉnh Ninh Bình
THOÁT VỊ NÃO
 Hộp sọ có thể tích không đổi chứa ba thành phần
chính: não(80%), dịch não tủy(10%)(CSF) và
máu(10%).
 Học thuyết Monro-Kellie: tăng V của một thành phần sẽ
được bù trừ bằng một hoặc cả hai thành phần còn lại.
 Khi có sự thay đổi thể tích nội sọ vượt quá các cơ chế
bù trừ này, mô não bị giảm tưới máu và dịch chuyển từ
ngăn này sang ngăn khác.
THOÁT VỊ NÃO
 Là sự dịch chuyển mô não từ vị trí bình thường của nó sang
một không gian lân cận. Đây là tình trạng cấp cứu, đa số BN
trong tình trạng lâm sàng nguy kịch, cần được chẩn đoán và
xử trí kịp thời.
 Nguyên nhân:
- Khối choán chỗ trong sọ: khối u, ổ áp xe, máu tụ...
- Phù não: động kinh, thiếu oxy kéo dài, bệnh não do chuyển
hoá, viêm não-màng não...
- Tắc đường lưu thông CSF
- Giảm áp lực nội sọ: sau thủ thuật
THOÁT VỊ NÃO
Hậu quả:
- Một đường thoát duy nhất: nhu mô não chui qua lỗ
chẩm hành não bị chèn ép ngưng thở, tử vong
- Chèn ép vào các vùng chức năng của não
- Chèp ép dây thần kinh sọ
- Tổn thương mạch máu nội sọ gây xuất huyết hoặc thiếu
máu cục bộ
- Cản trở lưu thông CSFứ nước não thất
THOÁT VỊ NÃO
Phân loại:
1. Thoát vị trong sọ:
- Thoát vị dưới liềm
- Thoát vị qua lều tiểu não: TV thái dương trong, TV trung tâm,
TV hướng lên
- Thoát vị hạnh nhân tiểu não
- Thoát vị qua cánh xương bướm
2. Thoát vị ngoài sọ:
- Thoát vị nhu mô não qua cửa sổ mở xương
- Thoát vị đảo ngược
-
THOÁT VỊ NÃO
Chẩn đoán hình ảnh: CT và MRI:
- CT : dùng trong cấp cứu, thời gian ngắn, ít tốn kém hơn và phổ
biến rộng rãi hơn so với MRI.
- MRI giúp tìm kiếm các dấu hiệu tương tự CT nhưng độ phân
giải nhu mô cao hơn, đặc biệt vùng hố sau
- Các chuỗi xung giải phẫu: T1W, T2W, T1W sau tiêm, các
hướng Coronal và Sagittal được khuyến cáo.
TIẾP CẬN CHẨN ĐOÁN
TIẾP CẬN CHẨN ĐOÁN
Tiếp cận qua 6 yếu tố:
- Lâm sàng bệnh nhân: triệu chứng, bệnh sử
- Các mốc giải phẫu: liềm đại não, lều tiểu não, vách
trong suốt, lỗ gian não thất
- Phân tích được chiều hướng tác động của hiệu ứng
khối gây những biến đổi
- Nhận biết các cấu trúc ở vị trí bất thường
- Dấu hiệu gián tiếp: bể não, thân não, não thất...
- Biến chứng: nhồi máu, chèn ép dây thần kinh, ứ nước
não thất
1. Thoát vị dưới liềm đại não (TV hồi đai)
- Hay gặp nhất, hồi đai bị đẩy sang bên đối diện qua bờ
tự do của liềm đại não
- Chèn ép các nhánh ĐM não trước gây nhồi máu nhu
mô mặt trong thuỳ trán
- LS của thoát vị dưới liềm không đặc hiệu( lơ mơ, yếu
chân...)
- Được coi là một yếu tố dự báo các loại TV khác, có thể
tiến triển thành thoát vị trung tâm.
1. Thoát vị dưới liềm đại não (TV hồi đai)
CĐHA:
- Hình ảnh trực tiếp: hồi đai và thể trai thoát vị sang bên
đối diện
- Hình ảnh gián tiếp:
- Giãn não thất bên bên đối diện do chèn ép lỗ monro
- Di lệch các cấu trúc đường giữa.
- Trường hợp nặng, chèn ép ĐM quanh chai, ĐM viền
chai gây nhồi máu hồi đai, thể chai, nhu mô não thuỳ
trán
-
-
Subfalcine hernia in a 33-year-old man with a cerebral metastasis from a germinal tumor.
Coronal contrast-enhanced CT image shows herniation of the cingulate gyrus beneath the free
edge of the falx cerebri from left to right (arrow)
and associated inferior and lateral displacement of the ipsilateral
corpus callosum (*). Note the compression of the ipsilateral ventricle and dilatation of the
contralateral ventricle (arrowheads)
2. Thoát vị qua lều
2.1 Thoát vị bên ( TV thái dương trong):
- Chia thành TV phần trước và phần sau
- Là 1 thể của TV qua lều tiểu não hướng xuống, móc hải
mã hoặc hồi cạnh hải mã thoát vị qua lều tiểu não và
chèn ép cuống não.
Thoát vị móc hải mã:
- Chèn ép dây TK III: gây giãn đồng tử cung bên và không đáp
ứng ánh sáng cùng bên, lác ngoài và xuống dưới
- Chèn ép gây nhồi máu ĐM não sau cùng bên gây tổn thương
vỏ não thị giác sơ cấp cùng bênbán manh đồng danh nghịch
bên.
- Giai đoạn tiến triển nặng có thể chèn ép đoạn tận của ĐM
cảnh trong cùng bên gây thiếu máu toàn bộ bán cầu đại não
cùng bên.
TV hồi cạnh hải mã:
- Chèn ép phía sau cuống não gây hội chứng Piranaud, ít
chèn ép dây III và ĐM não sau
Drawing shows a lateral DTH with compression of the posterior cerebral
artery (white arrowhead) and third cranial nerve (black arrowhead). Note
the ipsilateral blown pupil (arrow) and contralateral temporal horn
dilatation (*)
CĐHA:
- Dấu hiệu trực tiếp: nhu mô thái dương trong chui qua
lều tiểu não xuống dưới
- Xoá bể gian cuống và bể củ não sinh tư( tuỳ theo khối
thoát vị)
- Rộng bể quanh thân não cùng bên và hẹp bên đối diện
- Cuống não bị đè đẩy sang bên đối diện, bị xoay và biến
dạng
- Nhồi máu vùng cấp máu ĐM não sau cùng bên
Subdural hematoma after a hemodialysis session in a 26-year-old man with a history of
end-stage kidney disease. The right pupil was dilated and unresponsive to light. Axial
CT image shows the uncus displaced downward across the tentorial incisura (curved
arrow). The ipsilateral perimesencephalic cistern (double-headed arrow) is widened,
and the contralateral cistern is compressed. Note the contralateral dilatation of
the temporal horn of the lateral ventricle (*).
- DTH in a 38-year-old man with an acute head injury and left subdural hematoma. There is
right shift and mild rotation of the brainstem. (a) Axial nonenhanced CT image shows widening of the
left basal cistern (arrow) and effacement of the right basal cistern (dashed line), as well as dilatation of the
temporal horn of the right lateral ventricle (*). (b) CT image shows compression and rotation of the midbrain, which
appears elongated (arrowheads). There is complete obliteration of the perimesencephalic
cisterns. Note the widening of the opposite ventricular atrium and temporal horn (*).
Kernohan notch phenomenon
- Do đè đẩy cuống não sang bên đối diện
- Cuống não bên đối diện bị ép vào bờ cứng của lều tiểu
não (khía Kernohan) lâu dần dẫn tới phá vỡ tính liên tục
của cuống não và bó tháp bên trong
 liệt cùng bên với tổn thương (the "false localizing" sign)
2.2 Thoát vị trung tâm
- Dạng thoát vị trầm trọng, tiến triển liệt vận động, thay đổi ý thức, hôn
mê và tử vong
- Do tổn thương cả hai bên bán cầu, phù não lan toả hoặc sau não
úng thuỷ trên lều
- Vùng dưới đồi và giao thoa thị giác bị đè ép vào mỏm yên. Thuỳ thái
dương trong hai bên thoát vị qua khe của lều tiểu não xuống dưới,
thân não bị chèn ép từ hai bên và bị đẩy xuống thấp
- Gây tổn thương ĐM thân nền và xuất huyết Duret, chèn ép ĐM não
sau
- Tiến triển nặng dẫn tới thoát vị hạnh nhân tiểu não
2.2 Thoát vị trung tâm
CĐHA:
- Xoá bể gian cuống, bể quanh cầu não
- Góc giữa cuống và cầu não thành 0°( bình thường
65±10°)
- Thoát vị cả hai hồi thái dương trong qua lều tiểu não
- Đè đẩy cuống não (đk ngang < đk trước sau)
- Cầu não bị ép dẹt vào dốc nền xương chẩm
- Xuất huyết Duret
- Di lệch ĐM thân nền và tuyến tùng
- Chèn ép ĐM não sau gây nhồi máu thái dương chẩm
- Chèn ép cống não gây giãn não thất.
Xuất huyết Duret
- Là một hoặc nhiều ổ xuất huyết nhỏ ở cầu và hành não, sau
thoát vị qua lều hướng xuống, đặc biệt là thoát vị trung tâm.
Thường thấy ở BN có thoát vị trung tâm mức độ nặng từ 12-
24h trước khi chết
 Hình ảnh điển hình: một ổ xuất huyết tròn, nhỏ nằm ở đường
giữa hành não hoặc cầu não vị trí nối với cuống não.
 Chẩn đoán phân biệt:
- Xuất huyết do tăng huyết áp nguyên phát: thường lớn hơn,
nằm ở phần giữa cầu não, không có thoát vị não
- Dập não/ tổn thương sợi trục lan toả: ở mặt lưng của thân não(
quanh cống não và mảnh sinh tư), thường đa ổ và kích thước
nhỏ hơn
2.3 Thoát vị qua lều hướng lên
Do phần trên tiểu não thoát vị qua lều tiểu não lên trên
Nguyên nhân:
- Do hiệu ứng khối vùng hố sau
- Do giảm đột ngột áp lực nội sọ trên lều
Hậu quả:
- Chèn ép ĐM não sau và ĐM tiểu não trên
- Ứ nước não thất do chèn cống Sylvius
2.3 Thoát vị qua lều hướng lên
CĐHA:
HA trực tiếp: phần trên tiểu não qua lỗ lều tiểu não lên
trên
- Đè đẩy phía sau cuống não di lệch và xoay cuống
não
- Hình thái "Spinning top" của cuống não
HA gián tiếp:
- Xoá bể củ não sinh tư
- Ứ nước não thất do chèn cống Sylvius
- Nhồi máu theo vùng cấp máu ĐM tiểu não trên và ĐM
não sau
3. Thoát vị hạnh nhân
- Hạnh nhân tiểu não xuống thấp so với lỗ chẩm
=> Thân não hạ thấp, trung tâm hô hấp và tim mạch bị đè
ép vào bản dốc xương chẩm
- Nguyên nhân: giai đoạn sau của DTH, tăng áp lực hố
sau, chọc dò tuỷ sống dẫn lưu dịch não tuỷ...
CĐHA:
• Hạnh nhân tiểu não trở nên dẹt, nhọn, lồi xuống >3 mm
so với đường McRae line (tuỳ tác giả)
• Xoá bể lớn
• Ứ nước não thất do chèn vào não thất IV
• Nhồi máu tiểu não nếu chèn ép ĐM tiểu não sau dưới
4. Thoát vị qua cánh xương bướm
- Tổ chức não thoát vị trong và quanh hố sọ giữa băng
qua cánh xương bướm có thể lên trên hoặc xuống
dưới.
- Không phổ biến, thường kết hợp TV dưới liềm và qua
lều hướng xuống.
4.1. TV hướng xuống:
- Gây ra bởi hiệu ứng khối vùng trán đẩy bề mặt sau
dưới thuỳ trán qua cánh nhỏ xương bướm xuống dưới.
Nếu nhỏ chỉ bao gồm các hồi ổ mắt, nếu lớn sẽ kèm
thêm hồi thẳng. Thoát vị sẽ chèn ép động mạch não
giữa cùng bên gây nhồi máu
4.2. TV hướng lên:
Gây ra bởi hiệu ứng khối vùng thái dương, đẩy bề mặt
trước trên thuỳ thái dương qua cánh nhỏ xương bướm
lên trước trên. Thoát vị sẽ chèn ép đoạn tận động mạch
cảnh trong cùng bên gây nhồi máu ĐM não trước và não
giữa
5. Thoát vị ngoài sọ
- Nhu mô não chui qua vùng khuyết sọ sau phẫu thuật
mở sọ giải áp hoặc sau chấn thương.
- Phù não thường xuất hiện trong tuần đầu sau PT giải
ép
- Nếu lỗ mở không đủ lớn, mô nãp phù sẽ lồi qua tạo
hình ảnh mũ nấm-> chèn ép TM vỏ não gây nhồi máu
tĩnh mạch và đụng dập mô não cạnh viền mở sọ
6. Thoát vị đảo ngược:
- Hiếm gặp, sau mở sọ giải áp, là cấp cứu phẫu thuật
thần kinh
- Áp suất khí quyển vượt quá áp lực nội sọ(ICP) tại vị trí
mở xương gây mất cân bằng áp lực-> gây thoát vị dưới
liềm và qua lều, đè đẩy nhu mô não dưới vị trí mở
xương vào trong
- Được kích hoạt do mất cân bằng áp lực cấp tính thứ
phát sau dẫn lưu dịch não tuỷ hoặc chọc dò thắt lưng
Paradoxical hernia in a 32-year-old man who was shot in the head three times. He underwent
decompressive craniectomy and developed sinking flap syndrome. (a) Axial nonenhanced CT image shows
left midline displacement and right ventricle compression with associated edema. There is metal artifact in the
left frontal lobe from remnants of the bullet (arrowheads). (b) Sagittal CT image demonstrates the frontal and
temporal lobe displacement.
Giảm áp lực nội sọ
- Là một nguyên nhân khác của thoát vị não cần được
quan tâm, được nghi ngờ khi BN không có khối nội sọ
hoặc phù nề hoặc khi mức độ thoát vị không tương
ứng với hiệu ứng khối
- Được gây ra bởi rò dịch não tủy nguyên phát hay thứ
phát sau điều trị. Việc mất thể tích dịch não tủy dẫn đến
não đi xuống thứ phát. DTH và thoát vị hạnh nhân có
thể xảy ra.
- Ngoài ra, lượng máu sẽ tăng lên để duy trì thể tích nội
sọ-> xung huyết và phù nề màng não -> trên MRI ngấm
thuốc màng não lan tỏa
https://pubs.rsna.org/doi/full/10.1148/rg.2019190018#fig1a
https://radiopaedia.org/articles/brain-herniation-1?lang=us
Brain herniation syndroma - A Pictorial Review, Thorsang
Chayovan R1/Aj.Nuttha, 2014
https://epos.myesr.org/posterimage/esr/ecr2019/146862/
mediagallery/787641?deliveroriginal=1
REFERENCES
Thoát vị não

Thoát vị não

  • 1.
    THOÁT VỊ NÃO DRNguyễn Ngọc Sơn Khoa CĐHA- BVĐK tỉnh Ninh Bình
  • 2.
    THOÁT VỊ NÃO Hộp sọ có thể tích không đổi chứa ba thành phần chính: não(80%), dịch não tủy(10%)(CSF) và máu(10%).  Học thuyết Monro-Kellie: tăng V của một thành phần sẽ được bù trừ bằng một hoặc cả hai thành phần còn lại.  Khi có sự thay đổi thể tích nội sọ vượt quá các cơ chế bù trừ này, mô não bị giảm tưới máu và dịch chuyển từ ngăn này sang ngăn khác.
  • 3.
    THOÁT VỊ NÃO Là sự dịch chuyển mô não từ vị trí bình thường của nó sang một không gian lân cận. Đây là tình trạng cấp cứu, đa số BN trong tình trạng lâm sàng nguy kịch, cần được chẩn đoán và xử trí kịp thời.  Nguyên nhân: - Khối choán chỗ trong sọ: khối u, ổ áp xe, máu tụ... - Phù não: động kinh, thiếu oxy kéo dài, bệnh não do chuyển hoá, viêm não-màng não... - Tắc đường lưu thông CSF - Giảm áp lực nội sọ: sau thủ thuật
  • 4.
    THOÁT VỊ NÃO Hậuquả: - Một đường thoát duy nhất: nhu mô não chui qua lỗ chẩm hành não bị chèn ép ngưng thở, tử vong - Chèn ép vào các vùng chức năng của não - Chèp ép dây thần kinh sọ - Tổn thương mạch máu nội sọ gây xuất huyết hoặc thiếu máu cục bộ - Cản trở lưu thông CSFứ nước não thất
  • 5.
    THOÁT VỊ NÃO Phânloại: 1. Thoát vị trong sọ: - Thoát vị dưới liềm - Thoát vị qua lều tiểu não: TV thái dương trong, TV trung tâm, TV hướng lên - Thoát vị hạnh nhân tiểu não - Thoát vị qua cánh xương bướm 2. Thoát vị ngoài sọ: - Thoát vị nhu mô não qua cửa sổ mở xương - Thoát vị đảo ngược
  • 6.
  • 7.
    THOÁT VỊ NÃO Chẩnđoán hình ảnh: CT và MRI: - CT : dùng trong cấp cứu, thời gian ngắn, ít tốn kém hơn và phổ biến rộng rãi hơn so với MRI. - MRI giúp tìm kiếm các dấu hiệu tương tự CT nhưng độ phân giải nhu mô cao hơn, đặc biệt vùng hố sau - Các chuỗi xung giải phẫu: T1W, T2W, T1W sau tiêm, các hướng Coronal và Sagittal được khuyến cáo.
  • 8.
  • 9.
    TIẾP CẬN CHẨNĐOÁN Tiếp cận qua 6 yếu tố: - Lâm sàng bệnh nhân: triệu chứng, bệnh sử - Các mốc giải phẫu: liềm đại não, lều tiểu não, vách trong suốt, lỗ gian não thất - Phân tích được chiều hướng tác động của hiệu ứng khối gây những biến đổi - Nhận biết các cấu trúc ở vị trí bất thường - Dấu hiệu gián tiếp: bể não, thân não, não thất... - Biến chứng: nhồi máu, chèn ép dây thần kinh, ứ nước não thất
  • 11.
    1. Thoát vịdưới liềm đại não (TV hồi đai) - Hay gặp nhất, hồi đai bị đẩy sang bên đối diện qua bờ tự do của liềm đại não - Chèn ép các nhánh ĐM não trước gây nhồi máu nhu mô mặt trong thuỳ trán - LS của thoát vị dưới liềm không đặc hiệu( lơ mơ, yếu chân...) - Được coi là một yếu tố dự báo các loại TV khác, có thể tiến triển thành thoát vị trung tâm.
  • 12.
    1. Thoát vịdưới liềm đại não (TV hồi đai) CĐHA: - Hình ảnh trực tiếp: hồi đai và thể trai thoát vị sang bên đối diện - Hình ảnh gián tiếp: - Giãn não thất bên bên đối diện do chèn ép lỗ monro - Di lệch các cấu trúc đường giữa. - Trường hợp nặng, chèn ép ĐM quanh chai, ĐM viền chai gây nhồi máu hồi đai, thể chai, nhu mô não thuỳ trán
  • 13.
  • 15.
    - Subfalcine hernia ina 33-year-old man with a cerebral metastasis from a germinal tumor. Coronal contrast-enhanced CT image shows herniation of the cingulate gyrus beneath the free edge of the falx cerebri from left to right (arrow) and associated inferior and lateral displacement of the ipsilateral corpus callosum (*). Note the compression of the ipsilateral ventricle and dilatation of the contralateral ventricle (arrowheads)
  • 16.
    2. Thoát vịqua lều 2.1 Thoát vị bên ( TV thái dương trong): - Chia thành TV phần trước và phần sau - Là 1 thể của TV qua lều tiểu não hướng xuống, móc hải mã hoặc hồi cạnh hải mã thoát vị qua lều tiểu não và chèn ép cuống não.
  • 18.
    Thoát vị móchải mã: - Chèn ép dây TK III: gây giãn đồng tử cung bên và không đáp ứng ánh sáng cùng bên, lác ngoài và xuống dưới - Chèn ép gây nhồi máu ĐM não sau cùng bên gây tổn thương vỏ não thị giác sơ cấp cùng bênbán manh đồng danh nghịch bên. - Giai đoạn tiến triển nặng có thể chèn ép đoạn tận của ĐM cảnh trong cùng bên gây thiếu máu toàn bộ bán cầu đại não cùng bên. TV hồi cạnh hải mã: - Chèn ép phía sau cuống não gây hội chứng Piranaud, ít chèn ép dây III và ĐM não sau
  • 19.
    Drawing shows alateral DTH with compression of the posterior cerebral artery (white arrowhead) and third cranial nerve (black arrowhead). Note the ipsilateral blown pupil (arrow) and contralateral temporal horn dilatation (*)
  • 20.
    CĐHA: - Dấu hiệutrực tiếp: nhu mô thái dương trong chui qua lều tiểu não xuống dưới - Xoá bể gian cuống và bể củ não sinh tư( tuỳ theo khối thoát vị) - Rộng bể quanh thân não cùng bên và hẹp bên đối diện - Cuống não bị đè đẩy sang bên đối diện, bị xoay và biến dạng - Nhồi máu vùng cấp máu ĐM não sau cùng bên
  • 21.
    Subdural hematoma aftera hemodialysis session in a 26-year-old man with a history of end-stage kidney disease. The right pupil was dilated and unresponsive to light. Axial CT image shows the uncus displaced downward across the tentorial incisura (curved arrow). The ipsilateral perimesencephalic cistern (double-headed arrow) is widened, and the contralateral cistern is compressed. Note the contralateral dilatation of the temporal horn of the lateral ventricle (*).
  • 22.
    - DTH ina 38-year-old man with an acute head injury and left subdural hematoma. There is right shift and mild rotation of the brainstem. (a) Axial nonenhanced CT image shows widening of the left basal cistern (arrow) and effacement of the right basal cistern (dashed line), as well as dilatation of the temporal horn of the right lateral ventricle (*). (b) CT image shows compression and rotation of the midbrain, which appears elongated (arrowheads). There is complete obliteration of the perimesencephalic cisterns. Note the widening of the opposite ventricular atrium and temporal horn (*).
  • 25.
    Kernohan notch phenomenon -Do đè đẩy cuống não sang bên đối diện - Cuống não bên đối diện bị ép vào bờ cứng của lều tiểu não (khía Kernohan) lâu dần dẫn tới phá vỡ tính liên tục của cuống não và bó tháp bên trong  liệt cùng bên với tổn thương (the "false localizing" sign)
  • 28.
    2.2 Thoát vịtrung tâm - Dạng thoát vị trầm trọng, tiến triển liệt vận động, thay đổi ý thức, hôn mê và tử vong - Do tổn thương cả hai bên bán cầu, phù não lan toả hoặc sau não úng thuỷ trên lều - Vùng dưới đồi và giao thoa thị giác bị đè ép vào mỏm yên. Thuỳ thái dương trong hai bên thoát vị qua khe của lều tiểu não xuống dưới, thân não bị chèn ép từ hai bên và bị đẩy xuống thấp - Gây tổn thương ĐM thân nền và xuất huyết Duret, chèn ép ĐM não sau - Tiến triển nặng dẫn tới thoát vị hạnh nhân tiểu não
  • 29.
    2.2 Thoát vịtrung tâm CĐHA: - Xoá bể gian cuống, bể quanh cầu não - Góc giữa cuống và cầu não thành 0°( bình thường 65±10°) - Thoát vị cả hai hồi thái dương trong qua lều tiểu não - Đè đẩy cuống não (đk ngang < đk trước sau) - Cầu não bị ép dẹt vào dốc nền xương chẩm - Xuất huyết Duret - Di lệch ĐM thân nền và tuyến tùng - Chèn ép ĐM não sau gây nhồi máu thái dương chẩm - Chèn ép cống não gây giãn não thất.
  • 33.
    Xuất huyết Duret -Là một hoặc nhiều ổ xuất huyết nhỏ ở cầu và hành não, sau thoát vị qua lều hướng xuống, đặc biệt là thoát vị trung tâm. Thường thấy ở BN có thoát vị trung tâm mức độ nặng từ 12- 24h trước khi chết  Hình ảnh điển hình: một ổ xuất huyết tròn, nhỏ nằm ở đường giữa hành não hoặc cầu não vị trí nối với cuống não.  Chẩn đoán phân biệt: - Xuất huyết do tăng huyết áp nguyên phát: thường lớn hơn, nằm ở phần giữa cầu não, không có thoát vị não - Dập não/ tổn thương sợi trục lan toả: ở mặt lưng của thân não( quanh cống não và mảnh sinh tư), thường đa ổ và kích thước nhỏ hơn
  • 35.
    2.3 Thoát vịqua lều hướng lên Do phần trên tiểu não thoát vị qua lều tiểu não lên trên Nguyên nhân: - Do hiệu ứng khối vùng hố sau - Do giảm đột ngột áp lực nội sọ trên lều Hậu quả: - Chèn ép ĐM não sau và ĐM tiểu não trên - Ứ nước não thất do chèn cống Sylvius
  • 36.
    2.3 Thoát vịqua lều hướng lên CĐHA: HA trực tiếp: phần trên tiểu não qua lỗ lều tiểu não lên trên - Đè đẩy phía sau cuống não di lệch và xoay cuống não - Hình thái "Spinning top" của cuống não HA gián tiếp: - Xoá bể củ não sinh tư - Ứ nước não thất do chèn cống Sylvius - Nhồi máu theo vùng cấp máu ĐM tiểu não trên và ĐM não sau
  • 40.
    3. Thoát vịhạnh nhân - Hạnh nhân tiểu não xuống thấp so với lỗ chẩm => Thân não hạ thấp, trung tâm hô hấp và tim mạch bị đè ép vào bản dốc xương chẩm - Nguyên nhân: giai đoạn sau của DTH, tăng áp lực hố sau, chọc dò tuỷ sống dẫn lưu dịch não tuỷ... CĐHA: • Hạnh nhân tiểu não trở nên dẹt, nhọn, lồi xuống >3 mm so với đường McRae line (tuỳ tác giả) • Xoá bể lớn • Ứ nước não thất do chèn vào não thất IV • Nhồi máu tiểu não nếu chèn ép ĐM tiểu não sau dưới
  • 44.
    4. Thoát vịqua cánh xương bướm - Tổ chức não thoát vị trong và quanh hố sọ giữa băng qua cánh xương bướm có thể lên trên hoặc xuống dưới. - Không phổ biến, thường kết hợp TV dưới liềm và qua lều hướng xuống. 4.1. TV hướng xuống: - Gây ra bởi hiệu ứng khối vùng trán đẩy bề mặt sau dưới thuỳ trán qua cánh nhỏ xương bướm xuống dưới. Nếu nhỏ chỉ bao gồm các hồi ổ mắt, nếu lớn sẽ kèm thêm hồi thẳng. Thoát vị sẽ chèn ép động mạch não giữa cùng bên gây nhồi máu
  • 46.
    4.2. TV hướnglên: Gây ra bởi hiệu ứng khối vùng thái dương, đẩy bề mặt trước trên thuỳ thái dương qua cánh nhỏ xương bướm lên trước trên. Thoát vị sẽ chèn ép đoạn tận động mạch cảnh trong cùng bên gây nhồi máu ĐM não trước và não giữa
  • 48.
    5. Thoát vịngoài sọ - Nhu mô não chui qua vùng khuyết sọ sau phẫu thuật mở sọ giải áp hoặc sau chấn thương. - Phù não thường xuất hiện trong tuần đầu sau PT giải ép - Nếu lỗ mở không đủ lớn, mô nãp phù sẽ lồi qua tạo hình ảnh mũ nấm-> chèn ép TM vỏ não gây nhồi máu tĩnh mạch và đụng dập mô não cạnh viền mở sọ
  • 52.
    6. Thoát vịđảo ngược: - Hiếm gặp, sau mở sọ giải áp, là cấp cứu phẫu thuật thần kinh - Áp suất khí quyển vượt quá áp lực nội sọ(ICP) tại vị trí mở xương gây mất cân bằng áp lực-> gây thoát vị dưới liềm và qua lều, đè đẩy nhu mô não dưới vị trí mở xương vào trong - Được kích hoạt do mất cân bằng áp lực cấp tính thứ phát sau dẫn lưu dịch não tuỷ hoặc chọc dò thắt lưng
  • 53.
    Paradoxical hernia ina 32-year-old man who was shot in the head three times. He underwent decompressive craniectomy and developed sinking flap syndrome. (a) Axial nonenhanced CT image shows left midline displacement and right ventricle compression with associated edema. There is metal artifact in the left frontal lobe from remnants of the bullet (arrowheads). (b) Sagittal CT image demonstrates the frontal and temporal lobe displacement.
  • 54.
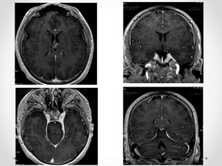
    Giảm áp lựcnội sọ - Là một nguyên nhân khác của thoát vị não cần được quan tâm, được nghi ngờ khi BN không có khối nội sọ hoặc phù nề hoặc khi mức độ thoát vị không tương ứng với hiệu ứng khối - Được gây ra bởi rò dịch não tủy nguyên phát hay thứ phát sau điều trị. Việc mất thể tích dịch não tủy dẫn đến não đi xuống thứ phát. DTH và thoát vị hạnh nhân có thể xảy ra. - Ngoài ra, lượng máu sẽ tăng lên để duy trì thể tích nội sọ-> xung huyết và phù nề màng não -> trên MRI ngấm thuốc màng não lan tỏa
  • 57.
    https://pubs.rsna.org/doi/full/10.1148/rg.2019190018#fig1a https://radiopaedia.org/articles/brain-herniation-1?lang=us Brain herniation syndroma- A Pictorial Review, Thorsang Chayovan R1/Aj.Nuttha, 2014 https://epos.myesr.org/posterimage/esr/ecr2019/146862/ mediagallery/787641?deliveroriginal=1 REFERENCES

Editor's Notes

  • #56 Nguồn: BV ĐHY Hà Nội