Consecutive aneurysms treated by endovascular approach-our experience 
Talk at ISNR 2014 (annual conference of Indian Society of Neuroradiology, Delhi) 
VipulGupta 
NeurointerventionalSurgery 
(Interventional Neuroradiology) 
Institute of Neurosciences 
Medantathe Medicity
ANEURYSMS-basic facts 
•Subarachnoid hemorrhage(SAH). 
•One in every 20 strokes , at the prime of ones life (commonly between 40-50yrs). 
•Up to 40-50% patients do not survive even for a month mostly because of the reruptureof the aneurysm 
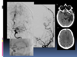
•With proper treatment up to 90% of patient who reach hospital before any major damage has happened will lead an independent and productive lifeInitial CT ScanRebleeding after 1 day
ISAT 
Randomized, prospective, 
international trial 
Clipping vs coiling 
9559 patients screened, 2143 randomized 
at 1 year, the difference in the risk of dependency or death between the two groups was 6.9% and the relative risk reduction was 22.6%(in the coiling group) 
ISAT follow-up, Lancet 2009-death at 5 years lowerThe Barrow Ruptured Aneurysm TrialCompared clipping vscoiling in SAH patients. Poor outcome -33.7% in clipping vs23.2% in coiling
Guidelines for the Management of AneurysmalSAH: Special Writing Group of the Stroke Council, ASA/AHA Stroke 2009 
Amenable to both endovascularcoiling andneurosurgical clipping, endovascular coiling canbe beneficial(Class I, Level of Evidence B). 
Metanalysis 
•Stroke 2013 
•AJNR 2013 
•Ruptured aneurysms-better outcomesafter endovascular management
In the ISAT and BRAT trials only 39.8% and 62.3% percentage of patients respectively were treated by endovascular approach 
•Image-guidance (3-D , Dyna-CT) 
•Coil, catheter, balloons, stents 
•Drugs-aspirin, clopidogrel, abciximab 
•Appx. 90% by endovascular 
•Intra-arterial vasospasm mgt. 
•HELP and Cerecytestudies –mRS0-2 in 87% (80% in ISAT)
Coiling as first choice… 
Lubicz B et alof 167 patients treated by coiling as first intention, 87.3% coiled, surgery in 12.7% cases. 
(Lubicz B, et alEndovascular treatment of intracranial aneurysms as the first thérapeutic option. J Neuroradiol.2007; 34(4):250-9) 
Clarity GDC study-405 patients, 19 French centers, coilig-402 cases, 3 –clipping 
(Cognard C,et al, Clarity Study Group. Results of embolization used as the first treatment choice in a consecutive nonselected population of ruptured aneurysms: clinical results of the Clarity GDC study. Neurosurgery.2011;69(4):837) 
Multicentre series of 705 ruptured intracranial aneurysms, 96.9% feasibility of the endovascular technique was achieved. 
(Sophie Gallas, et al. A Multicenter Study of 705 Ruptured Intracranial Aneurysms Treated with Guglielmi Detachable Coils. AJNR Am J Neuroradiol 2005; 26:17230
Our protocol 
Interventionist part of neurosurgery team 
DSA & if possible embolization 
Neurolab with 3D, CT 
NS ICU monitoring (TCD/CTP). 
Vasospasm-IAVD 
N-706 (Sept 2014) 
Data of consecutive patients
Circumferential involvement-End hole
Broad neck , dyplastic aneurysms
A 
B 
C
large-/giant aneurysms
Data 
•Retrospective review of 548intracranial aneurysms 
•35 aneurysms in 33 patients -F-19, M-14; 30-68 yrs 
•Fisher grade III SAH -22 (66.6%) 
•H& H grade-I-III -27 (81.8%) 
•EVD/ Lumbar drainage-8 (24.2%) 
•<14 days of SAH-26(78.7%) 
• 
•Wide Neck aneurysms -16 
•Dissecting and/or blister aneurysms-19 
•Single (28) or double overlapping (5) stents with additional coil placement in 26 aneurysms.
Parent vessel occlusion-Cavernous ICA, dissecting (VA), small peripheral
Fusiform, dissecting aneurysm
38 yr old male patient, 2-day old SAH 
Known hypertensive 
Clinically grade II 
Small Blister/dissecting Friable, continued growth, re-rupture
Classical blister aneurysm 
34-year M, SAH
Very small aneurysms
? Near the neck rupture/lobule
Catheter reposition
1-mm coil
Branch from aneurysm-Overinflationtechnique
Embolization 
Surgery 
95% 
5% 
Good outcome 
FND 
Mortality 
Mgt. outcome in good grade patients- 90 % mRS 0-2
The ISAT revealed a complete occlusion rate of 66% (584 of 988) in the coiled patients, whereas other case series of ruptured coiled aneurysms revealed complete occlusion rates ranging from 33% to 81% 
Occlussion rate…
Complications... 
Low ischemic complications -analysis, anti-coagulation (ACT), early use of lytic agents like Abciximib (Reopro) to prevent clinical complication. 
Cases of rupture-prevention is the key, rapid response (hypotension, reversal of anticoagulation, coil occlusion of the perforation site, and the use of a balloon to temporarily occlude the artery.)
overall death or dependency was 18.0%. 
ISAT trial -23.7%, 
BRAT trial -20.4% 
GDC CLARITY study -23.3% 
Outcome…
56 yr old, ischaemic stroke
CONCLUSION 
>90-95%, with good outcomes –87.6% ( Good grade), 
Team work (NS, INR, critical care) 
Meticulous technique with protocols 
Imaging, technological advances in material, team work, management of SAH related complication such as vasospasm 
Limitation -these are the initial management outcomes only
Thank you

Consecutive Aneurysms Treated by Endovascular Approach

  • 1.
    Consecutive aneurysms treatedby endovascular approach-our experience Talk at ISNR 2014 (annual conference of Indian Society of Neuroradiology, Delhi) VipulGupta NeurointerventionalSurgery (Interventional Neuroradiology) Institute of Neurosciences Medantathe Medicity
  • 2.
    ANEURYSMS-basic facts •Subarachnoidhemorrhage(SAH). •One in every 20 strokes , at the prime of ones life (commonly between 40-50yrs). •Up to 40-50% patients do not survive even for a month mostly because of the reruptureof the aneurysm •With proper treatment up to 90% of patient who reach hospital before any major damage has happened will lead an independent and productive lifeInitial CT ScanRebleeding after 1 day
  • 3.
    ISAT Randomized, prospective, international trial Clipping vs coiling 9559 patients screened, 2143 randomized at 1 year, the difference in the risk of dependency or death between the two groups was 6.9% and the relative risk reduction was 22.6%(in the coiling group) ISAT follow-up, Lancet 2009-death at 5 years lowerThe Barrow Ruptured Aneurysm TrialCompared clipping vscoiling in SAH patients. Poor outcome -33.7% in clipping vs23.2% in coiling
  • 4.
    Guidelines for theManagement of AneurysmalSAH: Special Writing Group of the Stroke Council, ASA/AHA Stroke 2009 Amenable to both endovascularcoiling andneurosurgical clipping, endovascular coiling canbe beneficial(Class I, Level of Evidence B). Metanalysis •Stroke 2013 •AJNR 2013 •Ruptured aneurysms-better outcomesafter endovascular management
  • 5.
    In the ISATand BRAT trials only 39.8% and 62.3% percentage of patients respectively were treated by endovascular approach •Image-guidance (3-D , Dyna-CT) •Coil, catheter, balloons, stents •Drugs-aspirin, clopidogrel, abciximab •Appx. 90% by endovascular •Intra-arterial vasospasm mgt. •HELP and Cerecytestudies –mRS0-2 in 87% (80% in ISAT)
  • 6.
    Coiling as firstchoice… Lubicz B et alof 167 patients treated by coiling as first intention, 87.3% coiled, surgery in 12.7% cases. (Lubicz B, et alEndovascular treatment of intracranial aneurysms as the first thérapeutic option. J Neuroradiol.2007; 34(4):250-9) Clarity GDC study-405 patients, 19 French centers, coilig-402 cases, 3 –clipping (Cognard C,et al, Clarity Study Group. Results of embolization used as the first treatment choice in a consecutive nonselected population of ruptured aneurysms: clinical results of the Clarity GDC study. Neurosurgery.2011;69(4):837) Multicentre series of 705 ruptured intracranial aneurysms, 96.9% feasibility of the endovascular technique was achieved. (Sophie Gallas, et al. A Multicenter Study of 705 Ruptured Intracranial Aneurysms Treated with Guglielmi Detachable Coils. AJNR Am J Neuroradiol 2005; 26:17230
  • 7.
    Our protocol Interventionistpart of neurosurgery team DSA & if possible embolization Neurolab with 3D, CT NS ICU monitoring (TCD/CTP). Vasospasm-IAVD N-706 (Sept 2014) Data of consecutive patients
  • 11.
  • 13.
    Broad neck ,dyplastic aneurysms
  • 16.
  • 21.
  • 22.
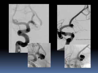
    Data •Retrospective reviewof 548intracranial aneurysms •35 aneurysms in 33 patients -F-19, M-14; 30-68 yrs •Fisher grade III SAH -22 (66.6%) •H& H grade-I-III -27 (81.8%) •EVD/ Lumbar drainage-8 (24.2%) •<14 days of SAH-26(78.7%) • •Wide Neck aneurysms -16 •Dissecting and/or blister aneurysms-19 •Single (28) or double overlapping (5) stents with additional coil placement in 26 aneurysms.
  • 25.
    Parent vessel occlusion-CavernousICA, dissecting (VA), small peripheral
  • 26.
  • 28.
    38 yr oldmale patient, 2-day old SAH Known hypertensive Clinically grade II Small Blister/dissecting Friable, continued growth, re-rupture
  • 29.
  • 31.
  • 34.
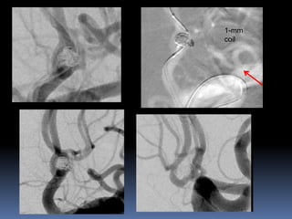
    ? Near theneck rupture/lobule
  • 35.
  • 36.
  • 37.
  • 38.
    Embolization Surgery 95% 5% Good outcome FND Mortality Mgt. outcome in good grade patients- 90 % mRS 0-2
  • 39.
    The ISAT revealeda complete occlusion rate of 66% (584 of 988) in the coiled patients, whereas other case series of ruptured coiled aneurysms revealed complete occlusion rates ranging from 33% to 81% Occlussion rate…
  • 40.
    Complications... Low ischemiccomplications -analysis, anti-coagulation (ACT), early use of lytic agents like Abciximib (Reopro) to prevent clinical complication. Cases of rupture-prevention is the key, rapid response (hypotension, reversal of anticoagulation, coil occlusion of the perforation site, and the use of a balloon to temporarily occlude the artery.)
  • 41.
    overall death ordependency was 18.0%. ISAT trial -23.7%, BRAT trial -20.4% GDC CLARITY study -23.3% Outcome…
  • 42.
    56 yr old,ischaemic stroke
  • 44.
    CONCLUSION >90-95%, withgood outcomes –87.6% ( Good grade), Team work (NS, INR, critical care) Meticulous technique with protocols Imaging, technological advances in material, team work, management of SAH related complication such as vasospasm Limitation -these are the initial management outcomes only
  • 45.