Dr Rita Singh
BSc, BVMS, DipVetClinStud, FANZCVSc, Dip
ACVIM (Cardiology)
 Most are flawed:
 “A state in which the heart fails to maintain
adequate circulation for the needs of the
body despite satisfactory venous pressure”
 “A clinical syndrome characterized by
exertional symptoms and caused by heart
disease”
 “ Impaired cardiac function leading to
elevated venous and capillary pressures
causing organs to become congested”
 Myxomatous mitral valve degeneration
 Middle aged-older small breed dog
 Large breed dog
 Dilated cardiomyopathy
 Large breed dog – GSD, Boxer, Irish
Wolfhound, Doberman
 Hypertrophic cardiomyopathy
 Cats – Maine Coon, Ragdoll, Bengal, British
Shorthair, American Shorthair, DSH
 Myxomatous degeneration
 Very common
 Small breed dogs
 Soft murmur = mild disease
 Loud murmur = mild/mod or severe ds
 Dilated cardiomyopathy
 Large breed dogs
 Soft murmur can = severe
disease
 Hypertrophic
cardiomyopathy
 Most common feline
cardiac disease
 Any breed
 Genetic mutation
 Heart murmur
heart disease!
 Baroreceptors detect
reduced CO
 Stimulate SNS
 HR and contractility
 Arteriolar constriction
 Normalize
haemodynamics
 β1 receptors down-
regulate
 CHF – approx 50%
can’t stimulate
 Improved rate and
contractility
diminishes
 What now??
 BP
 β1 stimulation
 Renal perfusion
 Na+ resorption
Stimulates renal release of renin
Renin – Angiotensin –
Aldosterone System
Sympathetic
efferent activity
Diuretics
Na to
distal
tubule
Renal
perfusion
K+, Ca++
PGl
ANP
Renin
release
Angiotensinogen
(liver)
Angiotensin I
(lung)
Angiotensin II
ACE
Thirst
Vasoconstriction
Na retention
Aldosterone
secretion
(adrenal)
ADH secretion
(pituitary)
 CHF results from SEVERE heart disease
 Treatment NOT required with mild or
moderate changes
 Progression forward SV
 LA pressure ↑
 Pulmonary capillary pressure ↑
 Pulmonary oedema
 Medication is required
Once in heart failure:
 MMVD: Average survival 12 months
 DCM: 8 months (Dobermans 4 months)
 HCM: 18 months ?! (1 study)
 Murmur, tachycardia, tachypnea
 O2 and frusemide before echo!
 Body weight – need to lose 7-10% BW
 Renal panel, urinalysis prior if possible
 Diagnosis
 Severity
 Stage disease via LA size
 Cough due to pulmonary
oedema?
 Older than 7 yrs
 Loud murmur (IV/VI or >)
 Sinus arrhythmia absent
 Tachycardic (HR >120 bpm)
 Dyspneac (sleeping RR > 30)
**Cough on its own is not considered a
sign of congestive heart failure**
* Beijerink, Campbell, Gavaghan, Singh and Wooley. Published online via Vetforum,
Boehringer Ingelheim, 2015
 Large LA → ‘compression’ of bronchus
vs airway disease
 Does the syndrome of ‘compression of
the left mainstem bronchus from a
large LA’ actually exist?
 Small breed dog with a murmur and
cough but normal respiratory rate ?
* Singh et al, JVIM March/April 2012
1. Left cranial and caudal
segments of the left cranial lobar
bronchus
2. Left caudal lobar bronchus
3. Right middle lobar bronchus
 NT-proBNP
 Cats CHF: 3 studies. 220 pmol/L - 90%
sens, 88% spec for ddx CHF from
respiratory causes of dyspnea
 Screening for HCM: 100 pmol/L - 100%
spec, 0-70% sens (44% severe ds)
 Dogs CHF : 210 pmol/L - 80% sens, 82%
spec
 MMVD: Useful
 Severity, PHT, chordal rupture, LA tear
 DCM:Worse prognosis
 Cats: Usually required
 HCM vs RCM vs UCM vs DCM vs DRVOTO
 Thrombus formation
 End stage disease
 Nothing prior to HF
 DCM – pimobendan*
 Once in HF (remember there must
be severe disease!!)
 Diuretics
 ACEi
 Vasodilators/ Positive inotropes
* ‘The PROTECT Study’, Summerfield et al. JVIM, Volume 26, Issue 6 2012
 Loop diuretic
 Effective
 Many routes/doses
 Mild –mod HF: 1-3
mg/kg q 8-12 hr
 Severe/refractory: 4
mg/kg q 8 hr
 Very few side affects
 Venodilation – redistribution of blood
volume, venous capacity
 ACEi, pimobendan
 Nitroglycerin?
 Arteriolar dilation – ↓ systemic vascular
resistance ↓ MR, improve forward flow
 ACEi, hydralazine, amlodipine,
pimobendan, nitroprusside
 Blocks conversion of AgI AgII
 Decreases plasma aldosterone
 Mild arteriolar/venous dilation
 Less Na+/H2O retention
 Reduces pathologic remodelling/fibrosis
 No evidence for use prior to CHF
Angiotensin I
(lung)
Angiotensin II
ACE
 Dobutamine:
 β1 > β2 > α
 Potent positive inotrope
 Pimobendan:
 Increases binding affinity of calcium to cTNc
 Inhibits cardiac PDE III → reduces breakdown
of cAMP → increase ß stim
 Improves myocardial contractility/ relaxation
 Vasodilation
 Spironolactone – K+
sparing
 Aldosterone
antagonist
 Combined with
frusemide to limit
hypokalaemia/ aid
diuresis
 Hydrochlorthiazide/
chlorthiazide
 Tachypnea (RR 40-60), dyspnea +/- cough
 Tachycardic
 Pulmonary oedema
 Severe regurgitation (MMVD) or systolic
dysfunction (DCM)
 Treatment is always indicated
 Frusemide, ACEI, pimobendan
 Medical emergency
 Markedly dyspneac and hypoxemic
 Coughing white/blood tinged froth
 RR 60- >100 breaths/min
 HANDLE GENTLY
 O2
 Baseline RR, body weight
 IV frusemide 4-6 mg/kg q30-60mins or
CRI till RR < 60 OR lost 10% BW
 Delay radiographs/ echocardiography
 Consider arteriolar dilators: oral
hydralazine, IV nitroprusside (BP)
 Positive inotropes: dobutamine,
pimobendan (now comes IV)
 Sleeping RR > 40 breaths/min
 Maximum frusemide (4mg/kg q 8 hours)
 ACEI, pimobendan (tid)
 Spironolactone 2 mg/kg bid
 Hydrochlorothiazide 1mg/kg 2x/week*
 +/- antiarrhythmics
 +/- hydralazine or amlodipine
* Must monitor renal parameters
 Pulmonary arteriolar constriction
secondary to pulmonary venous
hypertension
 Exacerbates mild right heart
disease
 Severe clinical signs – diuretic
refractory ascites, exercise
intolerance, syncope
 Dx: PA cath (gold standard) or echo
(needTR or PI)
25
25
5
 No medically recognised Rx (except O2)
 Prostacycline/selective endothelin
receptor antagonists (Bosentan) benefit
some humans
 Sildenifil (Viagra) – phosphodiesteraseV
inhibitor, only treat severe disease (PA
pressure > 80 mm Hg)
 $$$
 Procedure of choice –
humans
 Replacement -
potential for
thrombosis
 Lifelong anticoagulant
therapy
 Repair preferred
Difficult in dogs:
 Very few trained veterinarians
 US ~ $10,000 - $15,000
 Requires cardiopulmonary bypass
 High mortality
 Asymptomatic:
 No treatment
 ß-blockers if
systolic anterior
motion of the
mitral valve
WITH significant
obstruction
 CHF:
 Frusemide: 1-4 mg/kg bid-
tid
 ACEi
 Thoracocentesis
 Dobutamine/ pimobendan?
 Heparin, clopidogrel?
 Asprin, warfarin?
SASH : Congestive Heart Failure by Dr Rita Singh

SASH : Congestive Heart Failure by Dr Rita Singh

  • 1.
    Dr Rita Singh BSc,BVMS, DipVetClinStud, FANZCVSc, Dip ACVIM (Cardiology)
  • 2.
     Most areflawed:  “A state in which the heart fails to maintain adequate circulation for the needs of the body despite satisfactory venous pressure”  “A clinical syndrome characterized by exertional symptoms and caused by heart disease”  “ Impaired cardiac function leading to elevated venous and capillary pressures causing organs to become congested”
  • 3.
     Myxomatous mitralvalve degeneration  Middle aged-older small breed dog  Large breed dog  Dilated cardiomyopathy  Large breed dog – GSD, Boxer, Irish Wolfhound, Doberman  Hypertrophic cardiomyopathy  Cats – Maine Coon, Ragdoll, Bengal, British Shorthair, American Shorthair, DSH
  • 4.
     Myxomatous degeneration Very common  Small breed dogs  Soft murmur = mild disease  Loud murmur = mild/mod or severe ds
  • 6.
     Dilated cardiomyopathy Large breed dogs  Soft murmur can = severe disease
  • 8.
     Hypertrophic cardiomyopathy  Mostcommon feline cardiac disease  Any breed  Genetic mutation  Heart murmur heart disease!
  • 10.
     Baroreceptors detect reducedCO  Stimulate SNS  HR and contractility  Arteriolar constriction  Normalize haemodynamics
  • 11.
     β1 receptorsdown- regulate  CHF – approx 50% can’t stimulate  Improved rate and contractility diminishes  What now??
  • 12.
     BP  β1stimulation  Renal perfusion  Na+ resorption Stimulates renal release of renin
  • 13.
    Renin – Angiotensin– Aldosterone System Sympathetic efferent activity Diuretics Na to distal tubule Renal perfusion K+, Ca++ PGl ANP Renin release Angiotensinogen (liver) Angiotensin I (lung) Angiotensin II ACE Thirst Vasoconstriction Na retention Aldosterone secretion (adrenal) ADH secretion (pituitary)
  • 14.
     CHF resultsfrom SEVERE heart disease  Treatment NOT required with mild or moderate changes
  • 15.
     Progression forwardSV  LA pressure ↑  Pulmonary capillary pressure ↑  Pulmonary oedema  Medication is required
  • 16.
    Once in heartfailure:  MMVD: Average survival 12 months  DCM: 8 months (Dobermans 4 months)  HCM: 18 months ?! (1 study)
  • 17.
     Murmur, tachycardia,tachypnea  O2 and frusemide before echo!  Body weight – need to lose 7-10% BW  Renal panel, urinalysis prior if possible
  • 18.
     Diagnosis  Severity Stage disease via LA size  Cough due to pulmonary oedema?
  • 19.
     Older than7 yrs  Loud murmur (IV/VI or >)  Sinus arrhythmia absent  Tachycardic (HR >120 bpm)  Dyspneac (sleeping RR > 30) **Cough on its own is not considered a sign of congestive heart failure** * Beijerink, Campbell, Gavaghan, Singh and Wooley. Published online via Vetforum, Boehringer Ingelheim, 2015
  • 22.
     Large LA→ ‘compression’ of bronchus vs airway disease  Does the syndrome of ‘compression of the left mainstem bronchus from a large LA’ actually exist?  Small breed dog with a murmur and cough but normal respiratory rate ? * Singh et al, JVIM March/April 2012
  • 23.
    1. Left cranialand caudal segments of the left cranial lobar bronchus 2. Left caudal lobar bronchus 3. Right middle lobar bronchus
  • 29.
     NT-proBNP  CatsCHF: 3 studies. 220 pmol/L - 90% sens, 88% spec for ddx CHF from respiratory causes of dyspnea  Screening for HCM: 100 pmol/L - 100% spec, 0-70% sens (44% severe ds)  Dogs CHF : 210 pmol/L - 80% sens, 82% spec
  • 30.
     MMVD: Useful Severity, PHT, chordal rupture, LA tear  DCM:Worse prognosis  Cats: Usually required  HCM vs RCM vs UCM vs DCM vs DRVOTO  Thrombus formation  End stage disease
  • 32.
     Nothing priorto HF  DCM – pimobendan*  Once in HF (remember there must be severe disease!!)  Diuretics  ACEi  Vasodilators/ Positive inotropes * ‘The PROTECT Study’, Summerfield et al. JVIM, Volume 26, Issue 6 2012
  • 33.
     Loop diuretic Effective  Many routes/doses  Mild –mod HF: 1-3 mg/kg q 8-12 hr  Severe/refractory: 4 mg/kg q 8 hr  Very few side affects
  • 34.
     Venodilation –redistribution of blood volume, venous capacity  ACEi, pimobendan  Nitroglycerin?  Arteriolar dilation – ↓ systemic vascular resistance ↓ MR, improve forward flow  ACEi, hydralazine, amlodipine, pimobendan, nitroprusside
  • 35.
     Blocks conversionof AgI AgII  Decreases plasma aldosterone  Mild arteriolar/venous dilation  Less Na+/H2O retention  Reduces pathologic remodelling/fibrosis  No evidence for use prior to CHF Angiotensin I (lung) Angiotensin II ACE
  • 36.
     Dobutamine:  β1> β2 > α  Potent positive inotrope  Pimobendan:  Increases binding affinity of calcium to cTNc  Inhibits cardiac PDE III → reduces breakdown of cAMP → increase ß stim  Improves myocardial contractility/ relaxation  Vasodilation
  • 37.
     Spironolactone –K+ sparing  Aldosterone antagonist  Combined with frusemide to limit hypokalaemia/ aid diuresis  Hydrochlorthiazide/ chlorthiazide
  • 38.
     Tachypnea (RR40-60), dyspnea +/- cough  Tachycardic  Pulmonary oedema  Severe regurgitation (MMVD) or systolic dysfunction (DCM)  Treatment is always indicated  Frusemide, ACEI, pimobendan
  • 39.
     Medical emergency Markedly dyspneac and hypoxemic  Coughing white/blood tinged froth  RR 60- >100 breaths/min  HANDLE GENTLY
  • 40.
     O2  BaselineRR, body weight  IV frusemide 4-6 mg/kg q30-60mins or CRI till RR < 60 OR lost 10% BW  Delay radiographs/ echocardiography  Consider arteriolar dilators: oral hydralazine, IV nitroprusside (BP)  Positive inotropes: dobutamine, pimobendan (now comes IV)
  • 42.
     Sleeping RR> 40 breaths/min  Maximum frusemide (4mg/kg q 8 hours)  ACEI, pimobendan (tid)  Spironolactone 2 mg/kg bid  Hydrochlorothiazide 1mg/kg 2x/week*  +/- antiarrhythmics  +/- hydralazine or amlodipine * Must monitor renal parameters
  • 43.
     Pulmonary arteriolarconstriction secondary to pulmonary venous hypertension  Exacerbates mild right heart disease  Severe clinical signs – diuretic refractory ascites, exercise intolerance, syncope  Dx: PA cath (gold standard) or echo (needTR or PI) 25 25 5
  • 44.
     No medicallyrecognised Rx (except O2)  Prostacycline/selective endothelin receptor antagonists (Bosentan) benefit some humans  Sildenifil (Viagra) – phosphodiesteraseV inhibitor, only treat severe disease (PA pressure > 80 mm Hg)  $$$
  • 45.
     Procedure ofchoice – humans  Replacement - potential for thrombosis  Lifelong anticoagulant therapy  Repair preferred
  • 46.
    Difficult in dogs: Very few trained veterinarians  US ~ $10,000 - $15,000  Requires cardiopulmonary bypass  High mortality
  • 47.
     Asymptomatic:  Notreatment  ß-blockers if systolic anterior motion of the mitral valve WITH significant obstruction
  • 48.
     CHF:  Frusemide:1-4 mg/kg bid- tid  ACEi  Thoracocentesis  Dobutamine/ pimobendan?  Heparin, clopidogrel?  Asprin, warfarin?

Editor's Notes

  • #3 First lets start with ‘what is heart failure’ Most definitions of HF as applied to veterinary medicine are flawed. Definitions in human medicine include: “a state in which the heart fails to maintain adequate circulation for the needs of the body despite satisfactory venous pressure” Or: “A clinical syndrome characterized by exertional symptoms and caused by heart disease.” These are human definitions relating often to systolic dysfunction. Such signs as exertional symptoms are difficult to recognize in domestic pets, particularly cats whom spend 90% of their day sleeping. The critical event in progression from heart disease to heart failure is activation of neurohormonal abnormalities (SNS and RAAS) In veterinary medicine it is usually congestive heart failure that is first recognized. Hence a better definition would be: “Impaired cardiac function leading to elevated venous and capillary pressures causing organs to become congested”
  • #5 Myxomatous mitral valve degeneration is the cause of >95% of heart failure in older small breed dogs Degeneration of the valves results in regurgitation. In this disease the severity of the heart murmur correlates with the severity of disease at the lower end of the spectrum What this means is that a soft murmur ie grades I-III/VI are likely to be due to mild disease that would not yet result in heart failure A loud murmur ie grades IV-VI can have mild, moderate or severe disease and usually further clinical signs or diagnostics would be required to tell if respiratory signs are due to heart failure.
  • #6 Here is an video image of a dog with severe mitral regurgitation due to myxomatous mitral valve degeneration. Degeneration of the mitral valve results in valvular regurgitation. With each contraction, more of the SV is recycled so there is a greater volume of blood/beat. Preload, which is the amount of the blood filling the heart in diastole, increases. To deal with this there is eccentric (longitudinal) hypertrophy which increases chamber size without wall thickness. Slippage of myocardial cells also occurs. The result is enhanced early diastolic filling and decreased LV stiffness. Diastolic function improves. However, the increase LV chamber size increases wall stress
  • #7 It is important to consider dilated cardiomyopathy in any large breed dog with a left apical systolic heart murmur. With this disease, as opposed to MMVD, the murmur can be soft and still be due to severe disease causing heart failure
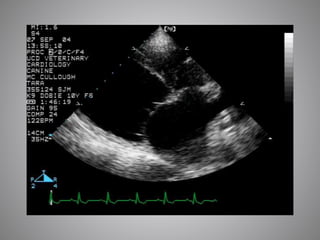
  • #8 Here is a video loop of dilated cardiomyopathy. With this disease, the primary event is failure of the left ventricular myocardium. Poor systolic pressure generation causes the EF to decrease resulting in self induced volume overload and increased wall stress. The cardiac chambers enlarge, first in systole then also in diastole. The decreased force of contraction results in impaired SV and CO. Eventually congestion and muscle fatigue occur due to poor CO.
  • #9 HCM is the most common cause of heart disease in cats It is identified in any breed of cat however is known to occur with increased predisposition in certain pedigree breeds including the Maine Coon, Ragdoll, Burmese, Persian, Spynx, American Shorthair, British Shorthair and Bengal It is considered to be an inherited disease in these breeds and the genetic mutation has been identified in the Maine Coon and Ragdoll breeds Cats are much more difficult than dogs in that the presence or absence of a murmur including its grade tells us nothing about the severity of the heart disease So, cats can have heart murmurs with no underlying structural heart disease or they can severe, end stage heart disease with no murmur. This is just typical of anything to do with cats in feline medicine – they like to make things difficult!
  • #10 Here is a video image of severe HCM in a cat Concentric hypertrophy which is thickening of the LV wall, results in a smaller sized LV cavity and a consequent inability to fill normally. The main pathophysologic event is diastolic failure. This is the inability to relax. Increased venous pressure and pulm congestion occur due to imperfect LA emptying and incomplete filling of LV.
  • #11 Regardless of whether the initiating factor is volume overload from MMVD, systolic failure from DCM or diastolic failure from HCM, If the disease is severe the eventual result is a decrease in CO. Baroreceptors in the aortic arch and carotid sinus’s detect reduced CO. The SNS is stimulated. Stimulation of cardiac B receptors via the SNS results in increased HR, force of contraction and arteriolar constriction The result is a normalization in haemodynamics
  • #12 However, it is well known that chronic SNS stimulation results in down regulation of cardiac B1 receptors. With chronic SNS stimulation, theses cardiac beta receptors internalize and eventual degrade In chronic CHF ~ 50% can no longer be stimulated Hence, the improved HR and contractility diminish The failing heart needs to find another form of compensation
  • #14 This is the all important renin- angiotensin-aldosterone system (RAAS) Discuss diagram RAAS acts to increase blood volume While this is helpful in situations such as acute blood loss, it is not helpful chronically with heart disease as blood volume is normal to start with. The result is increased blood volume and, eventually congestion.
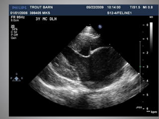
  • #15 All these previously discussed changes – stim of SNS, stim of RAAS and fluid retention only occur with SEVERE heart disease. The heart does not fail with mild or moderate changes. Thus animals with MMVD or HCM must have a severely enlarged LA to be in HF. The only exception to this is acute chordal rupture in MMVD in which case there will be severe respiratory signs and a suddenly loud murmur. In DCM there should be severe systolic dysfunction (CHF not likely if FS > 15%) Anything less severe than this, and the dog or cats signs are unlikely due to CHF and other causes of clinical signs should be sort. Thus, sometimes diagnosing CHF can be more difficult than one would think. 1st image – cat with respiratory signs, alveolar pattern, HCM with severe LAE 2nd Doberman with DCM, cough, increased respiratory rate. Severe systolic dysfunction and marked LAE and LVE
  • #17 Once in heart failure with intensive treatment, the average survival for dogs with MMVD is ~ 12 months, for DCM is ~ 8 months (and a very poor 4 months for Dobermans) and for cats with HF due to HCM ~ 18 months (not my experience) . I find cats can either do badly (and be euthanized in a period of weeks-months) or do well and live for 12-18 months. It is hard to predict which category a cat will be in and tend to be based on how they respond to initial treatment for CHF (with regards to demeanor and appetite). I find some cats just never regain their appetite despite appropriate treatment of CHF while other can do very well If you have dogs that have been previously diagnosed with CHF that are on frusemide +/- pimobendan, benazepril that are still alive and doing well 3-4 years later, it is highly likely that these dogs were not in heart failure to start with.
  • #18 If a dog or cat presents to you with a murmur (must be loud if it is a small breed dog), tachycardia and tachypnea – HF is high on the list of differentials and I will usually commence treatment immediately while organizing further diagnostic tests. Do not send a dyspneac dog that you are highly suspicious could be in heart failure for an echocardiogram prior to commencing frusemide. The dog could be dead by the time the echo is done and I will rarely echo such a dog immediately, I will usually do this 24-48hrs later once the patient is stable. A baseline body weight and monitoring during treatment is essential. Animals usually need to lose 7-10% of their body weight to come out of heart failure and I will pay close attention to this during therapy. If the animal has lost 10% of its presenting body weight and is still dyspneac, one needs to strongly consider that heart failure may not be the cause of the respiratory signs. If possible, a renal panel and urinalysis are useful prior to commencing therapy. If the patient becomes azotaemic during therapy, once frusemide is in the system, producing dilute urine, it is then impossible to tell if this it just dehydration from the medication or renal failure.
  • #19 Thoracic radiographs are important for the diagnosis of CHF, assessing the severity, staging the cardiac disease via assessment of left atrial size and assessing potential causes of cough
  • #20 While severe CHF is easy diagnosis, mild CHF can be a little more difficult There are even some cases where a cardiologist is unsure so it is not always as easy as one may think! In March 2014, the 5 Australian cardiologists in collaboration with Boehringher Ingelheim, put together a consensus statement on diagnosis of CHF in MMVD. This has been released on the BI website The consensus statement says, that one should strongly consider CHF due to MMVD if: 1) The dog is older than 7 yrs and < 15kg 2) The murmur is loud (Grade IV/VI or more) 3) The dog is tachycardic (HR >120 bpm) and sinus arrhythmia is absent 4) The dog is dyspneac at rest (sleeping RR > 30 breaths/minute) If the dog statisfies these criteria, it is reasonable to commence immediate treatment with frusemide and obtain confirmatory radiographs once stable Also note that cough on its own in a dog that is not tachycardic and has a normal sleeping RR is NOT consistent with congestive heart failure and thoracic radiographs are recommended in this instance rather than a treatment trial with frusemide
  • #21 Describe radiograph
  • #22 This is one of the most extreme examples of left atrial enlargement without CHF that I have seen. This was a older small breed dog whom presented with chronic cough Despite the extreme LA enlargement, the lung fields are completely clear and the pulmonary veins are small indicating that this dog is not in heart failure. Hence, frusemide is not warranted in this patient. This dog was part of a study I performed during my cardiology training looking at dogs like this. Those that had a heart murmur due to MMVD and a chronic cough but weren’t in CHF. If we look closely at this this radiograph, we can see collapse of the mainstem bronchi on the lateral view and severe collapse of the left lower airways on the DV
  • #23 In this study, 10 dogs with mod- severe LAE due to MMVD and chronic cough without CHF were enrolled. These were the study dogs 6 dogs without or with only mild LAE with chronic cough were the control dogs. All dogs had echocardiography, thoracic radiographs, fluoroscopy and bronchoscopy performed in an attempt to try and characterize further the disease process occurring. Historically the cough in this dogs was thought to be due to compression of the left mainstem bronchus and I thought this was going to be the case in my study However, the results of this study led me to question if this syndrome actually exists and to also question now best to treat these dogs.
  • #24 These are some images during broncoscopy of the airways of dogs in this study, Figure 1. Bronchoscopic evaluation of the left cranial and caudal segments of the left cranial lobar bronchus from a dog in group 1 (A) and a dog in group 2 (B) showing 90-100% static collapse of both segments of this airway in both dogs with a large LA and those without Figure 2. Bronchoscopic evaluation of the left caudal lobar bronchus from a dog in group 1 (A) and a dog in group 2 (B) showing 100% static collapse. Figure 3. Bronchoscopic evaluation of right middle lobar bronchus (arrows) from a dog in group 1 (A) and a dog in group (B) showing 100% static collapse. ** Every dog in each group had airway inflammation** Hence, our conclusions were that the large left atrium doesn’t actually cause compression of the left mainstem bronchus in these patients as multiple other airways are also collapsed and dogs without LAE also had collapse of similar airways. It is now my opinion that these dogs should be approached as though they have 2 separate diseases – MMVD AS WELL AS chronic airway disease and treated as such.
  • #25 This was on the of the control dogs in the study Small breed dog, chronic cough While the heart looks big on radiographs, he only had mild LA enlargement on echo (LA:Ao 1.5) The reasons of the heart to look big are Shallow chest Expiratory film Both of these instances will result in a smaller volume chest on radiographs and, in relation, make the heart look bigger This dog was not in heart failure. He had a chronic cough and was treated with a combination of doxycyline/ theophylline and later oral/inhaled corticosteroids
  • #27 HCM severe HF Cats are more difficult than dogs The left atrium sits further forward n the lateral view making It harder to tell in there is cardiomegaly on this view In this particular cat however, there is a huge left auricle on the DV view. The lung pattern is also more difficult in cats. In this particular cat it looks almost miliary in appearance which may lead one to think that neoplasia may be the cause of the cats signs However, due to the obviously large left atrium, I would treat this cat with frusemide then confirm this suspicious with echo (once stable). This cat had also thrown a distal aortic thromboembolus hence, the presence of the fentanyl patch for pain relief.
  • #28 HCM, early CHF large LA
  • #29 HW cat Not CHF
  • #30 What are cardiac biomarkers. Biomarkers are tests performed on products in the blood to aid in the detection of cardiac disease or cardiac failure. NT-pro BNP is one such biomarker: It is a degradation product of BNP BNP is rapidly produced by cardiomyocytes in response to stimuli such as myocardial stretch or hypoxia. BNP is produced where ever there are cardiomyocytes (most from ventricle) It is a test vastly promoted by laboratories as an aid in the detection of heart disease and heart failure in dogs and cats Cats. 3 studies: Dx CHF from non CHF causes of dyspnea Cut off 220 pmol/L gave 90% sensitivity (ie 10% incorrectly dx has not having CHF) 88% spec (12% false +ve - incorrectly dx as having CHF). BUT, no one looked at cats with HCM, no HF and respiratory signs which is the only time I would personally find it useful. There is now an in house snap test available which I think is useful in the emergency situation in deciding if a cat presenting with dyspnea could have CHF as the cause of its signs when echocardiogram is not available. Cats: As a screening test for occult HCM, not useful. Using cut off of 100 pmol/L 44% sensitivity for diagnosing cat with severe HCM, 0% sens for mild and moderate disease. Specificity 100% (no cat without HCM was misdiagnosed). Fox et al 2011 found > 99 pmol/L gave 100% spec and 70% sens (ie 30% not diagnosed). Thus not a good screening test. If elevated, has good chance of having heart disease, but will miss many with heart disease. Dogs: Weekly variability in common in normal dogs. In 1 study 22/53 normal dogs had > result > 500 pmol/L Many extracardiac effects on NT-proBNP documented in people including fluid intake, HR, renal function, circadian patterns, physical activity, genetics. Screening for MMVD (Chetboul 2009): Control dogs NT-pro BNP 68-515 pmol/L MMVD, no heart enlargement 175-1101 pmol/L MMVD, enlarged heart, no CHF 284-2007 To much overlap. Not good for detection of severity of the mitral regurg. Detection of resp distress from CHF vs resp disease (Boswood 2008) CHF 171-8960 Heart disease but no CHF < 42-3910 Resp disease only (no heart dis) <42-1342 Cut off of 210 pmol/L gave 80% sens (20% not diagnosed with CHF) and 82% spec (18% falsely ds with CHF). NOT GOOd ENOUGH Hence, as I perform echocardiography, I find little indication for its use in either species. In general practice, there is some use is screening for heart disease in cats (note, will miss many with heart disease) and to aid in dx of CHF in cats
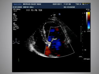
  • #31 MMVD: Echocardiography is not essential is diagnosing CHF due to MMVD but it remains useful for confirming the severity of cardiac enlargement (esp in the shallow chested dogs with rads that are difficult to interpret) Look for PHT Chordal rupture LA tear DCM – echo is essential for dx as this disease offers a worse prognosis than MMVD HCM - echo is usually required for diagnosis, staging severity, looking for thrombus formation and for diagnosis of end stage disease that may warrant additional therapy. This video loop is a left parasternal oblique view of the left atrium and auricle showing severe spontaneous echo contrast and a thrombus in the left auricle
  • #32 Both Dobermans and Boxers (possibly also GSD and great danes) develop VPCs prior to or with DCM. In Dobermans, number of VPCs/24 hrs is a predictor of development of DCM. Always recommended 24 hr Holter in both breeds in CHF, if even 1 VPC is seen on resting ECG, if syncopal episodes have occurred and prior to breeding. Aim: Predicting DCM in Dobermans with normal or equivocal echo Treatment – prevention of sudden death in both breeds.
  • #33 Currently I do not treat dogs with MMVD with any drugs prior to congestive heart failure. This is based on evidence in the current literature With DCM – I now will give pimobendan prior to CHF based on recent studies (The PROTECT JVIM 2012), Which showed a significant increase in time to CHF or sudden death in Dobermans with DCM. Most of us have extrapolated this to other breeds and will commence pimobendan prior to CHF when echocardiographically detected significant DCM is present. Once in heart failure – triple therapy is commenced in dogs with a combination of diuretics, ACEi, vasodilators and positive inotropes.
  • #34 Frusemide is a diuretic in the class called ‘loop diuretics’ Diuretics in this class act on the thick ascending limb of the loop of Henle to block absorption of Na, Cl and other electrolytes including K+, H+, Ca++, Mg Frusemide is the only drug of the 3 ‘triple therapy’ drugs that will remove pulmonary oedema. There is no point in treating a dog with a heart murmur and a cough soley with an ACEi or pimobendan as, if the dog truly does have pulmonary oedema, these drugs are not going to remove it. Frusemide is a very effective drug in the setting of pulmonary oedema There are many routes and doses listed (read off slide) PO, SC, IM, IV Frusemide also has venodilating properties and will result in decreased venous pressure before diuresis even takes place. It is also a known bronchodilator in humans, horses and guinea pigs – and likely also dogs and cats. Hence, many will report improvements in a cough with frusemide in dogs that do not have pulmonary oedema
  • #35 Vasodilation refers to either dilation of the veins (venodialtion) or the arteries (arteriolar dilation) Venodilation is helpful in heart failure as it helps to redistribute the increased blood volume and helps to increase the venous capacity. If the veins can hold more blood, less is likely to leak out into the interstitial spaces. Drugs that have an ability to achieve this effect include ACEi such as enalapril and benazepril, pimobendan and nitroglycerin ointment. There is some question as to how well nitroglycerin is absorbed in dogs and it is now only available as a patch rather than ointment. Hence, I know longer use it. Arteriolar dilation is helpful in heart failure as it helps to reduce systemic vascular resistance. Hence, forward flow of blood is improved and less leaks backwards. Drugs than can achieve this include ACEi, hydralazine, amlodipine, pimobendan and sodium nitroprusside.
  • #36 Enalapril prior to CHF MMVD: There are a group of cardiologists whom do use ACEi in MMVD prior to CHF if there is significant cardiomegaly. Research has shown that is makes a difference so I do not. 2002 SVEP (Kvart et at): No diff in controls vs enalapril (with or wihout cardiomegaly) 2007 VETPROOF (Atkins et al): No sig diff between groups (although they try to make it sound like there was a modest effect 2008 (Pouchelon et al) (Benazapril): Found a signif diff between groups for ALL CAUSE DEATH !! (so benaz prevents dog from dying of cancer or being HBC!). No sig diff in CKCS dogs. In other breeds P 0.04 (v weak stats). Searched hard using diff tests to get this results. No sig diff in time to onset of CHF. Most dogs in either group didn’t go into CHF so it was heavily censored Hazards ratio centred around 1 (0.014-1.2) = same risk of dying on benaz or not. DCM: Only 1 retrospective looking at benezepril in Dobermans (2009). 79% of Dobermans on benaz reached cardiac end point vs 82% on placebo. Not signif diff. HCM: 2006 (Macdonald and Kittleson). Ramipril for 1 year in Maine Coons and M Coon crosses with HCM but no CHF made no difference to LV mass, diastolic function, BNP or aldosterone [ ]
  • #37 Positive inotropes increase heart rate and contractility, either by direct or indirect stimulation of cardiac beta receptors The 2 positive inotropes used most commonly in congestive heart failure are dobutamine and pimobendan Dobutamine: Dobutamine is a synthetic analogue of dopamine It causes stimulation of the cardiac sympathetic nervous system with the cardiac B1 receptors being stimulated more than B2 receptors which are stimulated more than alpha receptors. Stimulation of cardiac B1 receptors results in an increased HR and contractility while stimulation of B2 receptors causes vasodilation and of alpha receptors vasoconstriction. Therefore dobutamine, through its effect on B1 receptors causes an increased HR and contractility with less effect on the vasculature. Pimobendan Pimobendan increases the binding affinity of calcium to cardiac troponin c. It also inhibits cardiac phosphodiesterase III. This results in reduced breakdown of cAMP and increased B stimulation. The overall effect is improved myocardial contraction and relaxation as well as vasodilation.
  • #38 Other diuretics that I will use in chronic CHF cases include spironolactone which is potassium sparing diuretic It achieves this action by inhibiting the action of aldosterone on the distal renal tubular cells Spironolactone has mild diuretic effects but is commonly used in combination with frusemide to aid diuresis and limit hypokalaemia that can be caused by frusemide In addition to this use, a strong link has been shown in humans between increased aldosterone levels and worsening cardiac fibrosis. This is an additional positive effect in that there may be some delay of the progression of the disease although this has never been shown to be the case clinically in veterinary patients. The final class of diuretics used in the cardiac patient are the thiazide diuretics. Drugs in this class include chlorthiazide and hydrochlorthiazide. These drugs act by primarily reducing the membrane permeability of the distal convoluted tubule to Na and Cl They will also promote K+ loss at this site I use this drug quite frequently in my end stage congestive heart failure patients but low doses must be used and frequent monitoring of renal parameters and electrolytes is required when used in combination with high dose frusemide and spironolactone.
  • #39 The following slides outline my approach to dogs in various stages of heart failure.
  • #42 Intermittent positive pressure ventilation may be lifesaving in this situation. It gives the patient a rest while giving a chance of the drugs to work In a patient that is not responding quickly to treatment (or even prior) consider referral so that it can be transported before it is to critical
  • #43 * Must monitor renal parameters carefully patients can be become very azotaemic and hypokalaemic on this drug
  • #47 Other than a single surgeon in Japan whom is achieving 95% succuss rates even on 2 kg dogs Most programs in the USA open with great excitement then shut down due to poor success rates.
  • #50 I have tried to cover a lot of information in a very short period of time so I am happy to entertain and questions.