Complication of Extraction
Islam Kassem
ikassem@dr.com
Dealing with local complications
Complications of tooth extraction
• Local complications
• Immediate:
• Failure of LA
• Failure to move the tooth
• Fracture of tooth, alveolus, mandible
• Oro-antral communication
• Displacement in soft tissues
• Hemorrhage
• TMJ dislocation
• Damage to V1,2,3
• Delayed
• Exessive pain, swelling, and trismus
• Bleeding
• Dry socket
• A. osteomyelitis
• Infection
• Oro-antral fistula
• Failure of the socket to heal
• Nerve damage
• Late
• Chronic osteomyelitis
• Osteoradionecrosis
• Nerve damage
• Chronic pain
• Systemic complications
• Immediate
• Faint
• Hypoglycemia
• Hyperventelation/panic attack
• Fits
• MI
• Addisonian crisis
• Respiratory obstruction
Complications of tooth extraction
• Local complications
• Immediate:
• Failure of LA
• Failure to move the tooth
• Fracture of tooth, alveolus, mandible
• Oro-antral communication
• Displacement in soft tissues
• Hemorrhage
• TMJ dislocation
• Damage to V1,2,3
1-Failure of Anesthesia
too small a dose
Improper injection technique:
Not waiting long enough for anesthesia to act;
before commencing the surgery
ikassem@dr.com
Complications of tooth extraction
• Local complications
• Immediate:
• Failure of LA
• Failure to move the tooth
• Fracture of tooth, alveolus, mandible
• Oro-antral communication
• Displacement in soft tissues
• Hemorrhage
• TMJ dislocation
• Damage to V1,2,3
2-Failure to move the tooth
ikassem@dr.com
ikassem@dr.com
ikassem@dr.com
Ankylosis
ikassem@dr.com
ikassem@dr.com
ikassem@dr.com
Warwick James
ikassem@dr.com
Coupland chisel
ikassem@dr.com
Cryer’s elevator
ikassem@dr.com
ikassem@dr.com
ikassem@dr.com
ikassem@dr.com
ikassem@dr.com
ikassem@dr.com
ikassem@dr.com
Complications of tooth extraction
• Local complications
• Immediate:
• Failure of LA
• Failure to move the tooth
• Fracture of tooth, alveolus, mandible
• Oro-antral communication
• Displacement in soft tissues
• Hemorrhage
• TMJ dislocation
• Damage to V1,2,3
3-Fracture of the tooth
Force, technique, root anatomy
Caries
Fracture of the alveolus
ikassem@dr.com
• Fracture of :
-tooth being extracted
-alveolar bone
-maxillary tuberosity
-adjacent teeth
-mandible
• Damage to:
- gum , lips , tongue , palate ,
floor of the mouth.
- inferior dental nerve.
Fracture of Alveolar Process
Fracture of the Buccal or Lingual Cortex
Cause
Inadequate exposure & excessive force
Prevention
Adequate bone removal & eposure
Fracture of Maxillary Tuberosity
Cause
Excessive force
Prevention
Proper support and controlled force
Management
If still attached; dissect and remove the tooth
If detached; smooth bone edges & suture
Fracture of the Mandible
Cause
Excessive force
Prevention
Proper bone removal & controlled force
Photoelastic model of the mandible, showing the
development of stress during a luxation attempt of
the third molar when insufficient bone has been
removed from the tooth peripherally
Fracture of the maxillary tuberosity
Large antrum, large root, fusion 3rd molar with
2nd molar root
Small fragments, large segment
ikassem@dr.com
ikassem@dr.com
ikassem@dr.com
ikassem@dr.com
ikassem@dr.com
ikassem@dr.com
Complications of tooth extraction
• Local complications
• Immediate:
• Failure of LA
• Failure to move the tooth
• Fracture of tooth, alveolus, mandible
• Oro-antral communication
• Displacement in soft tissues
• Hemorrhage
• TMJ dislocation
• Damage to V1,2,3
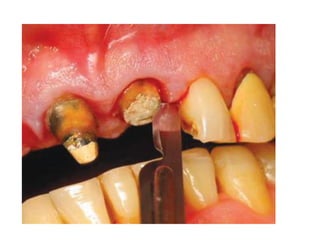
Oro-antral communication
Large antrum
Lone-standing tooth in an atrophic maxilla
Large splayed roots
Fracture of tuberosity
History of antral involvement
Cause
During extraction of an impacted maxillary
canine
-Excessive bone removal
-Failure to locate the tooth
Prevention
-Proper preoperative radiographic evaluation
-Proper bone removal
-Controlled force
Fracture tubrosity
ikassem@dr.com
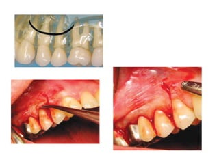
Plastic Closure of Oroantral Fistula
ikassem@dr.com
Complications of tooth extraction
• Local complications
• Immediate:
• Failure of LA
• Failure to move the tooth
• Fracture of tooth, alveolus, mandible
• Oro-antral communication
• Displacement in soft tissues
• Hemorrhage
• TMJ dislocation
• Damage to V1,2,3
Displacement of the tooth
into:
-soft tissues
-maxillary sinus
-beyond the pharynx
ikassem@dr.com
Root Displacement
Into:
• Mandibular Canal
• Lingual Pouch
• Infratemporal Space
• Maxillary Sinus
Complications of tooth extraction
• Local complications
• Immediate:
• Failure of LA
• Failure to move the tooth
• Fracture of tooth, alveolus, mandible
• Oro-antral communication
• Displacement in soft tissues
• Hemorrhage
• TMJ dislocation
• Damage to V1,2,3
ikassem@dr.com
Local Measures: Irrigation of wound with
Tranexamic acid
Local Measures: Suturing the wound
Local Measures: Pressure with oral packs
Local Measures: Surgicel (Oxidised
Regenerated Cellulose)
Local measures: Gelfoam with activated
thrombin
Local Measures: Avitene (Microfibrillar
Collagen)
Local Measures:
Etik Collagen (Packed collagen)
Local Measures: Tranexamic acid 5%
Local Measures: Tranexamic acid 5% in
Syringe
• Excessive bleeding:
- during extraction.
- postoperatively.
ikassem@dr.com
ikassem@dr.com
Tearing Mucosal Flap
Causes
Due to an inadequately sized flap which is
retracted beyond the tissue`s ability to
stretch.
As with a short envelope flap when the area
of surgery is at the apex.
Prevention
-Adequately sized flaps
-Gentle Retraction
Management
Reposition the flap & suture
If the tear is jagged, trim it before suturing
Puncture Wound of Soft Tissue
Cause
Instrument Slippage
Prevention
Controlled force
Management
Suturing to prevent infection & allow healing
to occur
Stretch or Abrasion Injury
Cause
Bur shank or retractor injury
Prevention
Care
Management
Keep it moist ( ointment )
Heals within 5 – 10 days
Complications of tooth extraction
• Local complications
• Immediate:
• Failure of LA
• Failure to move the tooth
• Fracture of tooth, alveolus, mandible
• Oro-antral communication
• Displacement in soft tissues
• Hemorrhage
• TMJ dislocation
• Damage to V1,2,3
Definition:
Locked jaw in open bite with deviation
(unilat.) or protrusion (bilat.)
The condyle moves forward out of the
fossa, does not return back.
Mandibular Dislocations
Clinical features
Severe pain
Lock jaw in class III position
Central ….. (Bilateral).
Cross bite …. (Unilateral).
Concavity in front of the ear.
Dislocation
TRISMUS
• Trismus is the inability to normally open the mouth
• It is a fairly common complication of local anesthesia,
particularly while giving pterygomandibular block
• Causes :
A. Primary Cause
Trauma to muscles (medial pterygoid, temporalis, and
masseter) during insertion of the needle
ikassem@dr.com
Complications of tooth extraction
• Local complications
• Immediate:
• Failure of LA
• Failure to move the tooth
• Fracture of tooth, alveolus, mandible
• Oro-antral communication
• Displacement in soft tissues
• Hemorrhage
• TMJ dislocation
• Damage to V1,2,3
Injury to Inferior Alveolar Nerve
Cause
-Excessive extraction force in case of curved
roots
-Sectioning the tooth all the way inferiorly
Prevention
-Proper exposure & bone removal
-Controlled force
-Careful setioning, leaving a shell of the tooth
Injury to the Lingual Nerve
Cause
-Placement of the retromolar incision far
lingually
-Sectioning the tooth all the way to the lingual
cortex
Prevention
-Proper incision
-Careful sectioning, leaving a shell of the tooth
Study source?
ikassem@dr.com
• Contemporary Oral &
maxiallofacial surgery
• Page 185-199
ikassem@dr.com
• You can get it form
• http://www.slideshare.net/islamkassem
•Thank you
ikassem@dr.com

Complication of extraction 1