Chronic Myelogenous Leukemia
Addis Ababa University College of Health
Science,Department of Biochemistry
By: Yohannes Gemechu( B.Sc., MSc. Fellow)
December, 2014
01/12/15 1
Outline
Introduction about Chronic Myeloid Leukemia (CML)
Epidemiology of CML
Clinical Phases of CML
Pathogenesis of CML
Laboratory Features
Molecular target(treatment) for CML
Mechanism of Resistance of CML to Imatinib
01/12/15 2
Chronic Myeloid Leukemia (CML)Chronic Myeloid Leukemia (CML)
 Cancer of leukocytes(Leukemia).
 In 1960, Nowell and Hungerford detected the
Philadelphia chromosome (22q-).
 In 1973, Rowley identified the reciprocal translocation
involving chromosome 9 : t(9;22)(q34;q11).
 In 1980s, the unique fusion gene termed BCR-ABL was
discovered. 01/12/15 3
 Median age range at presentation: 45 to 55 years
 Incidence increases with age
 Up to 30% of patients are >60 years old
 Slightly higher incidence in males
 Male-to-female ratio—1.3:1
 At presentation
 50% diagnosed by routine laboratory tests
 85% diagnosed during chronic phase
 Accounts for 15-20% of adult leukemias
 Higher incidence noted in patients with heavy radiation
exposure
Epidemiology of CMLEpidemiology of CML
01/12/15 4
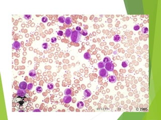
(John K. University of Pennsylvania)
Normal Chronic phase CML
CML: Peripheral Blood Smear
01/12/15 5
Chronic phase
Median duration
5–6 years
Accelerated
phase
Median duration
6–9 months
Blast crisis
Median survival
3–6 months
Advanced phases
(Faderl et al. 1999)
Clinical Course: Phases of Untreated CML
p53, Rb, p16, t(3;21),
t(8;21), t(7;11)
01/12/15 6
Pathogenesis of CMLPathogenesis of CML
 A single, pleuripotential, hematopoietic stem cell acquires a
Ph chromosome carrying the BCL-ABL fusion gene 
proliferative advantage
 Constitutive expression by leukemic stem cell of growth
factors ( Il-3, G-CSF)
 CML cells survive longer due to defective apoptosis
 Close proximity of the BCR and ABL genes in
hematopoietic cells in interphase may favor translocations.
 Transformation from the chronic phase to blast phase is
associated with additional molecular changes ( activation of
oncogenes or deletion of tumor-suppressor genes)
01/12/15 7
Pathogenesis of CMLPathogenesis of CML
 The classic BCR-ABL gene result from the fusion of parts of two
normal genes  ABL on Ch9 and BCR on Ch22.
 Both genes are ubiquitously expressed in normal tissue, but their
precise functions are not well defined.
 Break occurs in ABL upstream of exon a2 and the major
breakpoint cluster region of the BCR gene  a 5’ portion of BCR
and a 3’ portion of ABL are juxtaposed on a shortened Ch22.
 The mRNA molecules transcribed from this hybrid gene contain
one of two BCR-ABL junctions: e13a2 and e14a2  translated
into p210BCR-ABL
01/12/15 8
Faderl, S. et al. N Engl J Med 1999;341:164-172
The Translocation of t(9;22)(q34;q11) in CML
01/12/15 9
Pathogenesis of CMLPathogenesis of CML
 What causes the leukemogenic potential of p210bcr-abl
?
 The constitutive activation of the ABL tyrosine kinase
activity by BCR
 deregulated cellular proliferation
 decreased adherence of leukemic cell to the stroma
 reduced apoptotic response to mutagenetic stimuli
 Most crucial domain : the tyrosine kinase encoded by the
SRC-homology 1 (SH1) domain on ABL
 Various substrates have been found to bind to BCR-ABL
and to be tyrosine –phosphorylated by it.
01/12/15 10
Pathophysiologic Result of the Expression ofPathophysiologic Result of the Expression of
Bcr-AblBcr-Abl
01/12/15 11
Bcr-Abl expression alone is necessary and sufficient for the development of CML
(Stephen et al., 2005)
BCR–ABL activation of STATBCR–ABL activation of STAT
The STAT participates in diverse processes, including
cell growth, differentiation, apoptosis, fetal
development, inflammation, and immune response.
Ligand binding to cytokine or growth factor receptors
initiates signaling events that result in STAT
phosphorylation and subsequent translocation to the
nucleus.
 STAT target genes include Bcl-xL and Mcl-1,
substantiating an anti-apoptotic role for the activity of
STAT transcription factors.
01/12/15 12
BCR–ABL activation of STAT Cont’dBCR–ABL activation of STAT Cont’d
 BCR–ABL-positive CML cell lines display
constitutive phosphorylation and activation
of STAT-1 and STAT-5.
 STAT-5 activation induces upregulation of
the serine/threonine kinase Pim-1 and
the anti-apoptotic genes of the Bcl-2 family,
A1 and Bcl-xL.
01/12/15 13
BCR–ABL activation of NF-ΚbBCR–ABL activation of NF-Κb
The Nuclear Factor-κB (NF-κB) families of
pleiotropic transcription factors function as dimers.
The IκB proteins negatively regulate NF-κB by
sequestering it to the cytoplasm.
Phosphorylation and subsequent degradation of IκB
relieves NF-κB to translocate to the nucleus.
The constitutive activation of NF-κB is frequently
observed in various cancers, and correlates with
resistance of tumor cells to apoptosis.
The NF-κB anti-apoptotic target genes include
those from the Bcl-2 family (Bcl-xL, BFL1) and the
inhibitors of apoptosis proteins, IAP1, IAP2, and XIAP.
01/12/15 14
BCR–ABL activation of the Ras pathwayBCR–ABL activation of the Ras pathway
The Ras pathway regulates various aspects of cellular
growth both in the context of normal and cancer
cells.
Activating mutations in Ras, or changes in
molecular components that comprise Ras signaling,
are found in most human cancers including
leukemias, and result in increased cellular
proliferation and survival.
01/12/15 15
BCR–ABL activation of the PI3-K/Akt pathwayBCR–ABL activation of the PI3-K/Akt pathway
BCR–ABL activation of the PI3-K/Akt pathway
Signal transduction pathways play a central role in
survival, proliferation, differentiation, adhesion,
metabolism, and motility.
Upon its activation by growth factor tyrosine kinase
receptors, PI3-K phosphorylates PIP2 to form PIP3.
The formation of PIP3 can be reversed by the
phosphatase and tensin homolog deleted on
chromosome 10 (PTEN).
01/12/15 16
 PIP3 provides a platform for the recruitment of
kinases, such as the serine/threonine kinases Akt,
3-phosphoinositide- dependent protein kinase-1
(PDK1), and others via their pleckstrin homology
(PH) domains.
 Akt is phosphorylated at distinct residues, namely at
threonine 308 by PDK1, and at serine 473 by PDK2
(mTORC2).
 Activated Akt regulates numerous cellular
substrates, resulting in cell growth, survival, and
suppression of apoptosis.
01/12/15 17
 Pharmacological inhibitors of PI3-K (LY294002 and
Wortmannin) synergize with imatinib in inducing
apoptosis of both chronic and blast crisis C L cells.
 Combination of a PDK-1 inhibitor (OSU-03012),
which inhibits Akt activation, with imatinib
resulted in apoptosis even in cells expressing the
BCR–ABL T315I imatinib-resistant mutant.
 Besides substantiating a role for PI3-K/Akt
signaling in BCR–ABL-mediated transformation and
leukemogenesis, some of these observations also
indicate that PI3-K/Akt activation is potentially a
crucial event in BCR–ABL-mediated resistance to
imatinib.
01/12/15 18
Fig. : Signaling pathways impacted by BCR-ABL expression. (Patel et
al., 2010)
01/12/15 19
Laboratory featuresLaboratory features
 The hemoglobin concentration is decreased
 Nucleated red cells in blood film
 The leukocyte count above 25000/μl (often
above 100000/μl), granulocytes at all stages of
development
 Hypersegmentated neutrophils
 The basophiles count is increased
 The platelet count is normal or increased
 Neutrophils alkaline phosphatase activity is low
or absent (90%)
01/12/15 20
01/12/15 21ref
01/12/15 22
Lab features
 Bone marrow
 Hypercellular (reduced fat
spaces)
 Myeloid:erythroid ratio –
10:1 to 30:1 (N : 2:1)
 Myelocyte predominant
cell, blasts less 10%
 Megakaryocytes increased &
dysplastic
 Increase reticulin fibrosis in
30-40%
01/12/15 23
Molecular TargetsMolecular Targets
 Target for inhibition: Tyrosine kinase
 By blocking the ATP site, no phosphate groups would
be transferred to tyrosine residues on the BCR-ABL
substrate 
 unphosphorylated substrate protein would not be able
to undergo a conformational change to allow it to
associate with downstream effectors 
 the downstream reactions would then be impeded 
 interrupting transmission of the oncogenic signal to
the nucleus.
01/12/15 24
Molecular TargetsMolecular Targets
 Imatinib Mesylate (Gleevec, STI571): a small molecule
that inhibits the kinase activity of all proteins that
contain ABL, ABL-related gene protein, PDGFR, as
well as c-kit receptor.
 It was first approved in 2001.
 It occupies the ATP binding site in the SH1 domain of
the BCR-ABL oncoprotein.
 It inhibits cellular growth and induces apoptosis.
 Other targeted therapies being investigated:
 The more specific Tyrosine Kinase inhibitors such as
the dual SRC-ABL inhibitor : Dasatanib
01/12/15 25
Savage, D. G. et al. N Engl J Med 2002;346:683-693
Translocation Leading to the Philadelphia (Ph) Chromosome and the Role of BCR-ABL in the
Pathogenesis of CML (Panel A) and the Effect of Normal (Panel B) and Abnormal (Panel C) c-kit
Function on Platelet-Derived Growth Factor and Gastrointestinal Stromal Tumors
01/12/15 26
Savage, D. G. et al. N Engl J Med 2002;346:683-693
Mechanism of Action of BCR-ABL and of Its Inhibition by Imatinib
01/12/15 27
Imatinib Mesylate (Gleevec, STI571) Mechanism of action
Mechanisms of Imatinib ResistanceMechanisms of Imatinib Resistance
01/12/15 28
Primary resistancePrimary resistance
failure to achieve preset hematologic and/or
cytogenetic milestones
rates higher in accelerated and blast phase disease
Secondary resistanceSecondary resistance
loss of a previously achieved hematologic or
cytogenetic milestone
rates may be 10-15% on Imatinib, but become
rarer as time on therapy progresses
rates higher in accelerated and blast phase disease
Resistance MechanismsResistance Mechanisms
1) Bcr-Abl Kinase mutations
 50 known mutations within Abl sequence which inhibits
Imatinib from binding
 mutations identified in 30-80% of individuals with resistant
disease
 E.g. T315I point mutation prevents imatinib mesylate
from binding to the ATP-binding domain
2) Bcr-Abl duplication
 duplication of the Bcr-Abl sequence has been identified in
cell lines with Im resistance
01/12/15 29
Resistance Mechanisms Cont’dResistance Mechanisms Cont’d
3) Pgp over-expression
 export pump of many chemotherapeutics leading
to lower intracellular Im concentration
4) hOct-1(Human Organic Cation Transporter-1)
under-expression
 import pump for Im which may lead to lower
intracellular levels of IM
01/12/15 30
Resistance Mechanisms Cont’dResistance Mechanisms Cont’d
5) Src-Family kinase (SFK) expression
 activation may circumnavigate the Bcr-Abl
‘addiction’ of the transformed cell
6) High plasma levels of α1 Acid Glycoprotein
(AGP).
 AGP binds imatinib mesylate at physiological
concentrations in vitro and in vivo, and blocks the
ability of imatinib mesylate to inhibit BCR/ABL
kinase activity in a dose-dependent manner.
01/12/15 31
01/12/15 32
(Patel et al., 2010)
References
Faderl S.,Talpaz M., Estrov Z. and Kantarjian HM . (1999)
Chronic myelogenous leukemia: biology and therapy. Ann Intern
Med;131:207-219.
Pasternak G., Hochhaus A., Schultheis B. and Hehlmann R.
(1998) Chronic myelogenous leukemia:molecular and cellular
aspects. J Cancer Res Clin Oncol;124:643-660. 
Patel D., Suthar M., Patel V. and Singh R. (2010) BCR ABL
Kinase Inhibitors for Cancer Therapy. Inter Jour of Pharma Sci
and Drug Res; 2(2): 80-90.
01/12/15 33
References
Sawyers CL . (1999) Chronic myeloid leukemia. N Engl J
Med;340:1330–1340. 
Stephen B. Marley and Myrtle Y. Gordon. (2005) Chronic
myeloid leukaemia: stem cell derived but progenitor cell
driven. Clinical Science ;109:13-25.
01/12/15 34
Thank
U 01/12/15 35

Chronic myelogenous leukemia

  • 1.
    Chronic Myelogenous Leukemia AddisAbaba University College of Health Science,Department of Biochemistry By: Yohannes Gemechu( B.Sc., MSc. Fellow) December, 2014 01/12/15 1
  • 2.
    Outline Introduction about ChronicMyeloid Leukemia (CML) Epidemiology of CML Clinical Phases of CML Pathogenesis of CML Laboratory Features Molecular target(treatment) for CML Mechanism of Resistance of CML to Imatinib 01/12/15 2
  • 3.
    Chronic Myeloid Leukemia(CML)Chronic Myeloid Leukemia (CML)  Cancer of leukocytes(Leukemia).  In 1960, Nowell and Hungerford detected the Philadelphia chromosome (22q-).  In 1973, Rowley identified the reciprocal translocation involving chromosome 9 : t(9;22)(q34;q11).  In 1980s, the unique fusion gene termed BCR-ABL was discovered. 01/12/15 3
  • 4.
     Median agerange at presentation: 45 to 55 years  Incidence increases with age  Up to 30% of patients are >60 years old  Slightly higher incidence in males  Male-to-female ratio—1.3:1  At presentation  50% diagnosed by routine laboratory tests  85% diagnosed during chronic phase  Accounts for 15-20% of adult leukemias  Higher incidence noted in patients with heavy radiation exposure Epidemiology of CMLEpidemiology of CML 01/12/15 4
  • 5.
    (John K. Universityof Pennsylvania) Normal Chronic phase CML CML: Peripheral Blood Smear 01/12/15 5
  • 6.
    Chronic phase Median duration 5–6years Accelerated phase Median duration 6–9 months Blast crisis Median survival 3–6 months Advanced phases (Faderl et al. 1999) Clinical Course: Phases of Untreated CML p53, Rb, p16, t(3;21), t(8;21), t(7;11) 01/12/15 6
  • 7.
    Pathogenesis of CMLPathogenesisof CML  A single, pleuripotential, hematopoietic stem cell acquires a Ph chromosome carrying the BCL-ABL fusion gene  proliferative advantage  Constitutive expression by leukemic stem cell of growth factors ( Il-3, G-CSF)  CML cells survive longer due to defective apoptosis  Close proximity of the BCR and ABL genes in hematopoietic cells in interphase may favor translocations.  Transformation from the chronic phase to blast phase is associated with additional molecular changes ( activation of oncogenes or deletion of tumor-suppressor genes) 01/12/15 7
  • 8.
    Pathogenesis of CMLPathogenesisof CML  The classic BCR-ABL gene result from the fusion of parts of two normal genes  ABL on Ch9 and BCR on Ch22.  Both genes are ubiquitously expressed in normal tissue, but their precise functions are not well defined.  Break occurs in ABL upstream of exon a2 and the major breakpoint cluster region of the BCR gene  a 5’ portion of BCR and a 3’ portion of ABL are juxtaposed on a shortened Ch22.  The mRNA molecules transcribed from this hybrid gene contain one of two BCR-ABL junctions: e13a2 and e14a2  translated into p210BCR-ABL 01/12/15 8
  • 9.
    Faderl, S. etal. N Engl J Med 1999;341:164-172 The Translocation of t(9;22)(q34;q11) in CML 01/12/15 9
  • 10.
    Pathogenesis of CMLPathogenesisof CML  What causes the leukemogenic potential of p210bcr-abl ?  The constitutive activation of the ABL tyrosine kinase activity by BCR  deregulated cellular proliferation  decreased adherence of leukemic cell to the stroma  reduced apoptotic response to mutagenetic stimuli  Most crucial domain : the tyrosine kinase encoded by the SRC-homology 1 (SH1) domain on ABL  Various substrates have been found to bind to BCR-ABL and to be tyrosine –phosphorylated by it. 01/12/15 10
  • 11.
    Pathophysiologic Result ofthe Expression ofPathophysiologic Result of the Expression of Bcr-AblBcr-Abl 01/12/15 11 Bcr-Abl expression alone is necessary and sufficient for the development of CML (Stephen et al., 2005)
  • 12.
    BCR–ABL activation ofSTATBCR–ABL activation of STAT The STAT participates in diverse processes, including cell growth, differentiation, apoptosis, fetal development, inflammation, and immune response. Ligand binding to cytokine or growth factor receptors initiates signaling events that result in STAT phosphorylation and subsequent translocation to the nucleus.  STAT target genes include Bcl-xL and Mcl-1, substantiating an anti-apoptotic role for the activity of STAT transcription factors. 01/12/15 12
  • 13.
    BCR–ABL activation ofSTAT Cont’dBCR–ABL activation of STAT Cont’d  BCR–ABL-positive CML cell lines display constitutive phosphorylation and activation of STAT-1 and STAT-5.  STAT-5 activation induces upregulation of the serine/threonine kinase Pim-1 and the anti-apoptotic genes of the Bcl-2 family, A1 and Bcl-xL. 01/12/15 13
  • 14.
    BCR–ABL activation ofNF-ΚbBCR–ABL activation of NF-Κb The Nuclear Factor-κB (NF-κB) families of pleiotropic transcription factors function as dimers. The IκB proteins negatively regulate NF-κB by sequestering it to the cytoplasm. Phosphorylation and subsequent degradation of IκB relieves NF-κB to translocate to the nucleus. The constitutive activation of NF-κB is frequently observed in various cancers, and correlates with resistance of tumor cells to apoptosis. The NF-κB anti-apoptotic target genes include those from the Bcl-2 family (Bcl-xL, BFL1) and the inhibitors of apoptosis proteins, IAP1, IAP2, and XIAP. 01/12/15 14
  • 15.
    BCR–ABL activation ofthe Ras pathwayBCR–ABL activation of the Ras pathway The Ras pathway regulates various aspects of cellular growth both in the context of normal and cancer cells. Activating mutations in Ras, or changes in molecular components that comprise Ras signaling, are found in most human cancers including leukemias, and result in increased cellular proliferation and survival. 01/12/15 15
  • 16.
    BCR–ABL activation ofthe PI3-K/Akt pathwayBCR–ABL activation of the PI3-K/Akt pathway BCR–ABL activation of the PI3-K/Akt pathway Signal transduction pathways play a central role in survival, proliferation, differentiation, adhesion, metabolism, and motility. Upon its activation by growth factor tyrosine kinase receptors, PI3-K phosphorylates PIP2 to form PIP3. The formation of PIP3 can be reversed by the phosphatase and tensin homolog deleted on chromosome 10 (PTEN). 01/12/15 16
  • 17.
     PIP3 providesa platform for the recruitment of kinases, such as the serine/threonine kinases Akt, 3-phosphoinositide- dependent protein kinase-1 (PDK1), and others via their pleckstrin homology (PH) domains.  Akt is phosphorylated at distinct residues, namely at threonine 308 by PDK1, and at serine 473 by PDK2 (mTORC2).  Activated Akt regulates numerous cellular substrates, resulting in cell growth, survival, and suppression of apoptosis. 01/12/15 17
  • 18.
     Pharmacological inhibitorsof PI3-K (LY294002 and Wortmannin) synergize with imatinib in inducing apoptosis of both chronic and blast crisis C L cells.  Combination of a PDK-1 inhibitor (OSU-03012), which inhibits Akt activation, with imatinib resulted in apoptosis even in cells expressing the BCR–ABL T315I imatinib-resistant mutant.  Besides substantiating a role for PI3-K/Akt signaling in BCR–ABL-mediated transformation and leukemogenesis, some of these observations also indicate that PI3-K/Akt activation is potentially a crucial event in BCR–ABL-mediated resistance to imatinib. 01/12/15 18
  • 19.
    Fig. : Signalingpathways impacted by BCR-ABL expression. (Patel et al., 2010) 01/12/15 19
  • 20.
    Laboratory featuresLaboratory features The hemoglobin concentration is decreased  Nucleated red cells in blood film  The leukocyte count above 25000/μl (often above 100000/μl), granulocytes at all stages of development  Hypersegmentated neutrophils  The basophiles count is increased  The platelet count is normal or increased  Neutrophils alkaline phosphatase activity is low or absent (90%) 01/12/15 20
  • 21.
  • 22.
  • 23.
    Lab features  Bonemarrow  Hypercellular (reduced fat spaces)  Myeloid:erythroid ratio – 10:1 to 30:1 (N : 2:1)  Myelocyte predominant cell, blasts less 10%  Megakaryocytes increased & dysplastic  Increase reticulin fibrosis in 30-40% 01/12/15 23
  • 24.
    Molecular TargetsMolecular Targets Target for inhibition: Tyrosine kinase  By blocking the ATP site, no phosphate groups would be transferred to tyrosine residues on the BCR-ABL substrate   unphosphorylated substrate protein would not be able to undergo a conformational change to allow it to associate with downstream effectors   the downstream reactions would then be impeded   interrupting transmission of the oncogenic signal to the nucleus. 01/12/15 24
  • 25.
    Molecular TargetsMolecular Targets Imatinib Mesylate (Gleevec, STI571): a small molecule that inhibits the kinase activity of all proteins that contain ABL, ABL-related gene protein, PDGFR, as well as c-kit receptor.  It was first approved in 2001.  It occupies the ATP binding site in the SH1 domain of the BCR-ABL oncoprotein.  It inhibits cellular growth and induces apoptosis.  Other targeted therapies being investigated:  The more specific Tyrosine Kinase inhibitors such as the dual SRC-ABL inhibitor : Dasatanib 01/12/15 25
  • 26.
    Savage, D. G.et al. N Engl J Med 2002;346:683-693 Translocation Leading to the Philadelphia (Ph) Chromosome and the Role of BCR-ABL in the Pathogenesis of CML (Panel A) and the Effect of Normal (Panel B) and Abnormal (Panel C) c-kit Function on Platelet-Derived Growth Factor and Gastrointestinal Stromal Tumors 01/12/15 26
  • 27.
    Savage, D. G.et al. N Engl J Med 2002;346:683-693 Mechanism of Action of BCR-ABL and of Its Inhibition by Imatinib 01/12/15 27 Imatinib Mesylate (Gleevec, STI571) Mechanism of action
  • 28.
    Mechanisms of ImatinibResistanceMechanisms of Imatinib Resistance 01/12/15 28 Primary resistancePrimary resistance failure to achieve preset hematologic and/or cytogenetic milestones rates higher in accelerated and blast phase disease Secondary resistanceSecondary resistance loss of a previously achieved hematologic or cytogenetic milestone rates may be 10-15% on Imatinib, but become rarer as time on therapy progresses rates higher in accelerated and blast phase disease
  • 29.
    Resistance MechanismsResistance Mechanisms 1)Bcr-Abl Kinase mutations  50 known mutations within Abl sequence which inhibits Imatinib from binding  mutations identified in 30-80% of individuals with resistant disease  E.g. T315I point mutation prevents imatinib mesylate from binding to the ATP-binding domain 2) Bcr-Abl duplication  duplication of the Bcr-Abl sequence has been identified in cell lines with Im resistance 01/12/15 29
  • 30.
    Resistance Mechanisms Cont’dResistanceMechanisms Cont’d 3) Pgp over-expression  export pump of many chemotherapeutics leading to lower intracellular Im concentration 4) hOct-1(Human Organic Cation Transporter-1) under-expression  import pump for Im which may lead to lower intracellular levels of IM 01/12/15 30
  • 31.
    Resistance Mechanisms Cont’dResistanceMechanisms Cont’d 5) Src-Family kinase (SFK) expression  activation may circumnavigate the Bcr-Abl ‘addiction’ of the transformed cell 6) High plasma levels of α1 Acid Glycoprotein (AGP).  AGP binds imatinib mesylate at physiological concentrations in vitro and in vivo, and blocks the ability of imatinib mesylate to inhibit BCR/ABL kinase activity in a dose-dependent manner. 01/12/15 31
  • 32.
  • 33.
    References Faderl S.,Talpaz M.,Estrov Z. and Kantarjian HM . (1999) Chronic myelogenous leukemia: biology and therapy. Ann Intern Med;131:207-219. Pasternak G., Hochhaus A., Schultheis B. and Hehlmann R. (1998) Chronic myelogenous leukemia:molecular and cellular aspects. J Cancer Res Clin Oncol;124:643-660.  Patel D., Suthar M., Patel V. and Singh R. (2010) BCR ABL Kinase Inhibitors for Cancer Therapy. Inter Jour of Pharma Sci and Drug Res; 2(2): 80-90. 01/12/15 33
  • 34.
    References Sawyers CL . (1999)Chronic myeloid leukemia. N Engl J Med;340:1330–1340.  Stephen B. Marley and Myrtle Y. Gordon. (2005) Chronic myeloid leukaemia: stem cell derived but progenitor cell driven. Clinical Science ;109:13-25. 01/12/15 34
  • 35.

Editor's Notes

  • #7 CML: a Progressive and Fatal Disease CML progresses through 3 phases of shortening duration characterized by worsening clinical features and laboratory findings and increasing refractoriness to therapy. These stages include chronic phase, accelerated phase, and blast crisis. The majority of patients present in chronic phase and then progress to accelerated phase; however, 25% to 40% of patients progress directly from chronic phase to terminal blast crisis without evidence of a transitional accelerated phase.1,2 � Chronic phase. There are less than 10% to 15% blasts in peripheral blood and bone marrow, and the white blood cell (WBC) count at presentation is typically elevated to ≥20 x 109/L. The cutoff for blasts in all Novartis studies was 15%. Signs and symptoms may initially be mild and develop as the disease progresses. The chronic phase of CML may last 5 to 6 years before the disease accelerates.1,3,4 � Accelerated phase. There are more than 10% to 15% (but less than 30%) blasts in peripheral blood or bone marrow. The less favorable cutoff of 15% was used in all Novartis studies. Symptoms may increase and include unexplained fever, bone pain, splenomegaly, and hepatomegaly. Basophilia, decreased platelet counts, and cytogenetic progression may also be observed. Cytogenetic abnormalities such as duplication of the Ph chromosome, iso17q, or trisomy 8 (+8) are the most common additional chromosomal abnormalities described during cytogenetic progression. The accelerated phase may last 6 to 9 months.1,3 � Blast crisis. There are more than 30% blasts in peripheral blood or bone marrow and increased symptomatology, especially relating to anemia and infection, central nervous system (CNS) disease, lymphadenopathy, and bleeding. Approximately 50% of patients have myeloid blast crisis, 25% have lymphoid blast crisis, and  25% are mixed.5 Patients with CML in blast crisis have a poor prognosis because of the lack of effective therapy. This phase is rapidly fatal, with a median survival of 3 to 6 months.2,5 References 1. Hill JM, Meehan KR. Chronic myelogenous leukemia. Curable with early diagnosis and treatment. Postgrad Med. 1999;106:149-152, 157-159. 2. Faderl S, Kantarjian HM, Talpaz M. Chronic myelogenous leukemia: update on biology and treatment. Oncology (Huntingt). 1999;13:169-180. 3. Faderl S, Talpaz M, Estrov Z, et al. Chronic myelogenous leukemia: biology and therapy.Ann Intern Med. 1999;131:207-219. 4. Pasternak G, Hochhaus A, Schultheis B, et al. Chronic myelogenous leukemia: molecular and cellular aspects. J Cancer Res Clin Oncol. 1998;124:643-660. 5. Cortes JE, Talpaz M, Kantarjian H. Chronic myelogenous leukemia: a review. Am J Med. 1996;100:555- 570.