cells
The Cell Theory
• A cell is the basic structural and functional unit of
living organisms.
• The activity of an organism depends on both the
individual and collective activities of its cells
• According to the principle of complementarity,
the biochemical activities of cells are dictated by
the specific subcellular structures of cells.
• Continuity of life has a cellular basis.
Parts of a cell
• Plasma membrane – boundary, maintains cell integrity
• Nucleus – contains chromosomes, has a double
membrane
• Nucleolus – organelle inside the nucleus, where
ribosomal subunits are manufactured
• Rough endoplasmic reticulum – extensive system of
membranes, contiguous with nucleus, studded with
ribosomes
• Ribosomes – small dark-staining granules composed of
protein and rRNA, some are located on the outer surface
of the RER and some are free in the cytoplasm, sites of
protein synthesis, each is composed of 2 subunits, each
subunit is made of rRNA (ribosomal RNA) + protein
Cell Anatomy
• After synthesis, proteins transported into lumen of RER
where they fold into their final 3 dim. shape, some are
modified by attachment of carb., packaged into transport
vesicles which carry them to Golgi complex (apparatus)
• Golgi apparatus – site of synthesis of most
carbohydrates, also where proteins are further
processed by addition of other CHO chains + packaged
into secretory granules (vesicles) for exocytosis or into
lysosomes in which intracellular digestion is performed.
• Smooth endoplasmic reticulum – where phospholipids,
steroids and some carbohydrates are synthesized;
processes exogenous chemicals (drugs)
Cell Anatomy cont.
• The Golgi complex is like the cell's packaging and
shipping department. It is made up of a stack of flattened
membrane sacs. Some of the protein being transported
through the canals of the endoplasmic reticulum ends up
in the Golgi complex. Here it may be joined with other
molecules before being "packaged". The packages are
little pieces of the Golgi complex which break off and
form "vesicles". The vesicles move to the cell membrane
and fuse with it. It may then squirt its contents outside of
the cell as a secretion, or the product assembled in the
Golgi complex may become a new piece of the cell
membrane itself. In that case the vesicle fuses with the
membrane and becomes a part of it
• Lysosomes and peroxisomes – types of vesicles, they
contain enzymes
Plasma membrane
Electron photomicrograph of
two adjacent plasma membranes
Fluid Mosaic Model
• The plasma membrane is composed of
– A lipid bilayer of phospholipids:
• The polar phosphate-containing heads are hydrophilic and
face the internal and external aqueous environments
• The non-polar fatty acid chains are hydrophobic and are
directed inward to the center of the membrane
– Cholesterol is embedded in the lipid portion of the
membrane
– Two populations of proteins are present:
• Integral proteins span the entire membrane
• Peripheral proteins are associated with the inner and outer
surfaces of the membrane
Other molecules associated
with cell membranes
• Glycolipids—externally facing
phospholipids with attached sugar groups
• Glycoproteins—branching sugar groups
associated with proteins on the external
surface of the cell. The glycoproteins
function as biological markers and are
important in cell recognition.
How do peripheral proteins differ
from integral proteins?
Functions of membrane
proteins
• Most integral proteins are transmembrane
proteins that span the entire membrane
and function in transport either as carriers
or by forming channels for the transport of
water-soluble molecules
• Peripheral proteins are not embedded in
the lipid bilayer—some support the
membrane, others function as enzymes
Phospholipid
molecule
Cholesterol
makes the
lipid bilayer
less
deformable
and
decreases its
permeability
to small
water-
soluble
molecules.
Cytoplasm
• The cellular material between the plasma
membrane and the nucleus
• Three major components
– Cytosol—the viscous fluid in which the other
cytoplasmic elements are suspended; mostly
water with proteins, salts, sugars and other
solutes
– Cytoplasmic organelles—tiny machines that
perform specific functions for the cell
– Inclusions—stored nutrients and pigments
found in some cells
Cell Organelles
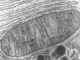
• Mitochondria (sing. – mitochondrion) -
sites of ATP synthesis, the power plants of
the cell, they provide most of the cell’s
energy in the form of ATP. The more
metabolically active the cell, the greater
the # of mitochondria. They have a double
membrane. Inner membrane is folded.
Folds are called cristae. Interior of mito
called the matrix.
Cell Organelles
• Golgi apparatus: consists of stacked,
flattened membranous sacs and vesicles;
it modifies and packages the proteins
synthesized on the RER and lipids
manufactured in the smooth ER.
• Lysosomes: membrane-bound organelles
containing digestive enzymes, abundant in
phagocytes and necessary for intracellular
digestion.
Cellular Extensions
• Microvilli, cilia and flagella – 3 types of cell
membrane modifications
• Microvilli increase surface area of cell, function
to increase absorption, also called brush border
• Cilia: whip like, motile cellular extensions found
on some cells, cilia function in movement of
substances directionally along cell surfaces
• Flagella: much longer than cilia, only one per
cell—in the human body found only on sperm
cells; function in propelling the cells themselves
cilia
Name the
cellular
extensions
visible in
the photo.
Sperm cells
with flagella
Nucleus
• Control center of the cell
• All body cells are nucleated except mature
red blood cells
• Bound by a nuclear envelope with nuclear
pores
• Contains one or more nucleoli, sites where
ribosome subunits are made
• Contains DNA (the genetic material)
arranged in chromosomes
Name the
RNA
molecules
that travel
through the
nuclear
pores and
carry the
code for
protein
synthesis.
Protein Synthesis, 1
• A gene is a segment of a chromosome
(DNA molecule) that carries instructions
for creating a protein
• The code for building a protein is copied
by a messenger RNA molecule in a
process called transcription
• mRNA leaves the nucleus and attaches to
a ribosome where the code is “read” by
transfer RNA molecules
Protein Synthesis, 2
• tRNA molecules match amino acids to the
triplet codons of mRNA in a process
known as translation
• The newly synthesized protein may
remain in the cell or be packaged and
secreted for use in another location
Some Important Proteins
• Keratin remains within epidermal cells as
a structural protein
• Digestive enzymes are secreted by
exocytosis for extracellular functions
• Hemoglobin in produced by red blood cells
when they are forming in bone marrow; it
remains in the cells and functions in
transport of blood gases

Cells anatomy 2013

  • 1.
  • 2.
    The Cell Theory •A cell is the basic structural and functional unit of living organisms. • The activity of an organism depends on both the individual and collective activities of its cells • According to the principle of complementarity, the biochemical activities of cells are dictated by the specific subcellular structures of cells. • Continuity of life has a cellular basis.
  • 5.
    Parts of acell • Plasma membrane – boundary, maintains cell integrity • Nucleus – contains chromosomes, has a double membrane • Nucleolus – organelle inside the nucleus, where ribosomal subunits are manufactured • Rough endoplasmic reticulum – extensive system of membranes, contiguous with nucleus, studded with ribosomes • Ribosomes – small dark-staining granules composed of protein and rRNA, some are located on the outer surface of the RER and some are free in the cytoplasm, sites of protein synthesis, each is composed of 2 subunits, each subunit is made of rRNA (ribosomal RNA) + protein
  • 6.
    Cell Anatomy • Aftersynthesis, proteins transported into lumen of RER where they fold into their final 3 dim. shape, some are modified by attachment of carb., packaged into transport vesicles which carry them to Golgi complex (apparatus) • Golgi apparatus – site of synthesis of most carbohydrates, also where proteins are further processed by addition of other CHO chains + packaged into secretory granules (vesicles) for exocytosis or into lysosomes in which intracellular digestion is performed. • Smooth endoplasmic reticulum – where phospholipids, steroids and some carbohydrates are synthesized; processes exogenous chemicals (drugs)
  • 9.
    Cell Anatomy cont. •The Golgi complex is like the cell's packaging and shipping department. It is made up of a stack of flattened membrane sacs. Some of the protein being transported through the canals of the endoplasmic reticulum ends up in the Golgi complex. Here it may be joined with other molecules before being "packaged". The packages are little pieces of the Golgi complex which break off and form "vesicles". The vesicles move to the cell membrane and fuse with it. It may then squirt its contents outside of the cell as a secretion, or the product assembled in the Golgi complex may become a new piece of the cell membrane itself. In that case the vesicle fuses with the membrane and becomes a part of it • Lysosomes and peroxisomes – types of vesicles, they contain enzymes
  • 10.
  • 11.
    Electron photomicrograph of twoadjacent plasma membranes
  • 12.
    Fluid Mosaic Model •The plasma membrane is composed of – A lipid bilayer of phospholipids: • The polar phosphate-containing heads are hydrophilic and face the internal and external aqueous environments • The non-polar fatty acid chains are hydrophobic and are directed inward to the center of the membrane – Cholesterol is embedded in the lipid portion of the membrane – Two populations of proteins are present: • Integral proteins span the entire membrane • Peripheral proteins are associated with the inner and outer surfaces of the membrane
  • 13.
    Other molecules associated withcell membranes • Glycolipids—externally facing phospholipids with attached sugar groups • Glycoproteins—branching sugar groups associated with proteins on the external surface of the cell. The glycoproteins function as biological markers and are important in cell recognition.
  • 14.
    How do peripheralproteins differ from integral proteins?
  • 15.
    Functions of membrane proteins •Most integral proteins are transmembrane proteins that span the entire membrane and function in transport either as carriers or by forming channels for the transport of water-soluble molecules • Peripheral proteins are not embedded in the lipid bilayer—some support the membrane, others function as enzymes
  • 16.
  • 17.
    Cholesterol makes the lipid bilayer less deformable and decreasesits permeability to small water- soluble molecules.
  • 18.
    Cytoplasm • The cellularmaterial between the plasma membrane and the nucleus • Three major components – Cytosol—the viscous fluid in which the other cytoplasmic elements are suspended; mostly water with proteins, salts, sugars and other solutes – Cytoplasmic organelles—tiny machines that perform specific functions for the cell – Inclusions—stored nutrients and pigments found in some cells
  • 19.
    Cell Organelles • Mitochondria(sing. – mitochondrion) - sites of ATP synthesis, the power plants of the cell, they provide most of the cell’s energy in the form of ATP. The more metabolically active the cell, the greater the # of mitochondria. They have a double membrane. Inner membrane is folded. Folds are called cristae. Interior of mito called the matrix.
  • 22.
    Cell Organelles • Golgiapparatus: consists of stacked, flattened membranous sacs and vesicles; it modifies and packages the proteins synthesized on the RER and lipids manufactured in the smooth ER. • Lysosomes: membrane-bound organelles containing digestive enzymes, abundant in phagocytes and necessary for intracellular digestion.
  • 27.
    Cellular Extensions • Microvilli,cilia and flagella – 3 types of cell membrane modifications • Microvilli increase surface area of cell, function to increase absorption, also called brush border • Cilia: whip like, motile cellular extensions found on some cells, cilia function in movement of substances directionally along cell surfaces • Flagella: much longer than cilia, only one per cell—in the human body found only on sperm cells; function in propelling the cells themselves
  • 28.
  • 29.
  • 30.
  • 31.
    Nucleus • Control centerof the cell • All body cells are nucleated except mature red blood cells • Bound by a nuclear envelope with nuclear pores • Contains one or more nucleoli, sites where ribosome subunits are made • Contains DNA (the genetic material) arranged in chromosomes
  • 32.
    Name the RNA molecules that travel throughthe nuclear pores and carry the code for protein synthesis.
  • 33.
    Protein Synthesis, 1 •A gene is a segment of a chromosome (DNA molecule) that carries instructions for creating a protein • The code for building a protein is copied by a messenger RNA molecule in a process called transcription • mRNA leaves the nucleus and attaches to a ribosome where the code is “read” by transfer RNA molecules
  • 34.
    Protein Synthesis, 2 •tRNA molecules match amino acids to the triplet codons of mRNA in a process known as translation • The newly synthesized protein may remain in the cell or be packaged and secreted for use in another location
  • 37.
    Some Important Proteins •Keratin remains within epidermal cells as a structural protein • Digestive enzymes are secreted by exocytosis for extracellular functions • Hemoglobin in produced by red blood cells when they are forming in bone marrow; it remains in the cells and functions in transport of blood gases

Editor's Notes

  • #9 The Golgi complex is like the cell's packaging and shipping department. It is made up of a stack of flattened membrane sacks. Some of the protein being transported through the canals of the endoplasmic reticulum ends up in the Golgi complex. Here it may be joined with other molecules before being "packaged". The packages are little pieces of the Golgi complex which break off and form "vesicles". The vesicles move to the cell membrane and fuse with it. It may then squirt its contents outside of the cell as a secretion, or the product assembled in the Golgi complex may become a new piece of the cell membrane itself. In that case the vesicle fuses with the membrane and becomes a part of it
  • #12 This figure actually shows two adjacent plasma membranes, both of which have the "unit membrane" structure. Membranes are vital  because they separate the cell from the outside world.  They also separate compartments inside the cell to protect important processes and events.
  • #15 Note the glycoproteins that function as biological markers and are important in cell recognition.
  • #17 phospholipids . These have a polar head group and two hydrocarbon tails. An example of a phospholipid is shown in this figure (right). The top region beginning with the NH3 is the polar group. It is connected by glycerol to two fatty acid tails.
  • #18 Cholesterol makes the lipid bilayer less deformable and decreases its permeability to small water-soluble molecules.
  • #22 Mitochondria are the cells' power sources. They are distinct organelles with two membranes. Usually they are rod-shaped, however they can be round. The outer membrane limits the organelle. The inner membrane is thrown into folds or shelves that project inward. These are called "cristae mitochondriales".
  • #26 Macrophage Engulfing Escherichia coli