Cateterismo vena ombelicale FM. Risso – R.SabatiniCVO: “dove, come, quando, perché”
Dove/QuandoSala PartoReparto
Dove/QuandoSala PartoRepartoAccesso vascolare d’emergenza per infusione fluidi e terapie
Dove/QuandoSala PartoRepartoAccesso vascolare d’emergenza per infusione fluidi e terapieNeonati critici, che necessitano di farmaci inotropi, soluzioni ipertoniche o NPT per giorni
Cateterismo vena ombelicale CONTROINDICAZIONI Peritonite
 Enterocolite Necrotizzante
 Onfalite
 OnfaloceleComeCuffia, mascherina.cappa e guanti steriliBacinella con soluzione antisettica Fenestrato trasparenteFettuccia per legare cordone ombelicaleSiringhe 10 mlfiale di acqua distillata e/o soluzione fisiologicaset di ferri specifico (forbice grande, forbice piccola, pinza di Kocher, due pinze piccole chirurgiche, pinza piccola anatomica, specillo, porta-aghi, filo di sutura con ago ricurvo 000, bisturi a lama retta monouso)
Catetere Venoso OmbelicaleACCESSO VENOSO IN EMERGENZA/URGENZA :  Exanguinotrasfusione
  Accesso vasale d’urgenza
  Terapia infusionale
  Misurazione della PVC*  Butler-O'Hara, M., et al.,  A randomized trial comparing long-term and short-term use of umbilical venous catheters in premature infants with birth weights of less than 1251 grams. Pediatrics, 2006.  118(1): p. e25-35. *  Kim, J.H., et al., Does umbilical vein catheterization lead to portal venous thrombosis? Prospective US  evaluation in 100 neonates. Radiology, 2001. 219(3): p. 645-50
Come: Il catetereLume singoloa.1 Ridurre superficie per potenziali trombi. a.2 La registrazione della pressione varierà in caso di occlusione del lume.Materiale flessibile che possa seguire l’andamento dei vasi. Parete relativamente rigidaScarsa capacità  (minime quantità di sangue devono essere aspirate prima di un prelievo)Radio-opacoPunta liscia e arrotondata, materiale non trombogeno Catetere 3.5-Fr per neonatio di peso  <1,200 g Catetere 5-Fr per neonati di peso >1,200 ghome
IL CATETEREPOLYURETHANE CATHETERS1. Thermosensitive - softens at body         temperature such that physical          characteristics emulate silicone after       placement.2. Slightly stiffer than silicone -     easier to insert.3. Allows crisp arterial waveform.4. Higher tensile strength and less       catheter elongation to provide more         resistance to breaking if catheter is     nicked.5. Supports triple-lumen patency in a     small diameter catheter.SILICONE CATHETERS1. Ultimate biocompatible     material - no plasticizers.2. Non-irritating to vessel walls     to avoid phlebitis.3. Non-reactive to body tissues     and body fluids, providing     long-term product stability.4. Does not support bacterial     growth.5. Non-thrombogenic - resists     encrustation.6. Does not adhere to tissues –     allows easy removal and     avoids necrosis of injured cells.
PREPARAZIONE INSERIMENTO CVOOPERATORE STERILEMATERIALE  CVOCAMPO STERILE  Procedura operativa CIO*  O'Gorman CS. Insertion of umbilical arterial and venous catheters. Ir Med J. May 2005;98(5):151-3
QuantoGraficoFormula[(Peso in Kg + 3 +9) /2] + lunghezza moncone
Cateterismo arteria ombelicale PRECAUZIONINon forzare il catetere se incontra una ostruzione .
 Evitare di far procedere il catetere una volta posizionato e fissato . (rischio infettivo)
Non coprire il moncone ombelicale (sanguinamenti e/o dislocazioni )
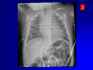
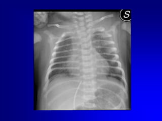
 Eseguire sempre controllo radiografico o ecografico della posizione del catetere..
Evitare l’uso di soluzioni ipertoniche se la punta del catetere non è in vena cava inferiore
 Se non è possibile passare il dotto venoso lasciare il catetere circa 2 cm dentro il piano cutaneo e valutare il ritorno ematico.
Il CVO può essere mantenuto per un tempo massimo di 14 giorni. Nei VLBW sarebbe preferibile rimuoverlo entro 7-8 giorniApplicare suzione lieve alla siringa.Se non vi è ritorno ematico vi può essere un coagulo sulla punta, quindi sfilare il catetere in aspirazione, rimuovere il cagulo e reinserire. Se vi è ritorno ematico, continuare ad inserire il catetere fino alla distanza stimata. Se il catetere incontra qualche ostruzione prima della distanza desiderata:Cause più comuniEntrato nel sistema portaleIncuneato in una branca intraepatica della vena ombelicaleRetrarre il catetere di 2-3 cm ruotarlo delicatamente e reinserirlo Se il catetere è nel circolo portale lasciare li il catetere; reinserire un altro 5–Fr nello stesso vaso. Una volta che il catetere è nella posizione giusta  si sfila quello in porta. Questa procedura ha successo nel 50% dei casi.
Cateterismo vena ombelicale - ComplicazioniInfezioniTromboemboliche. Se gli emboli sono infetti potranno causare numerosi ascessi. Catetere malposizionato nel cuore o nei vasi. Versamento pericardico/tamponamento cardiaco (perforazione cardiaca) Aritmie cardiacheCatetere malposizionato nel sistema portaleNECNecrosi epatica (trombosi delle vene epatiche o infusionedi soluzione ipertonica o vasospastivca nel tessuto epatico. Cisti epatiche
CVO competenze infermieristicheMEDICAZIONE, procedura operativa:  Preparazione del materiale sterile (guanti      sterili, garze imbevute di SF e altre di iodopovidone)  Procedere con la pulizia  con SF dell’inserzione con      movimenti rotatori centrifughi  Ripetere per tre volte la stessa manovra con iodopovidone
  Lasciare agire per due minuti
  Ripulire con Soluzione Fisiologica
  Applicare medicazioneChloraprep o betadine? Base di clorexidina o iodio? http://www.chloraprep.com/what-is-chloraprepRICERCHE SCIENTIFICHE*  Centres for Disease Control. Linee guida per la prevenzione delle infezioni associate a catetere intravascolare. Giornale Italiano delle Infezioni Ospedaliere 2002; 9:110-37.* Procedura CIO
CVO competenze infermieristiche Prima medicazione   cerotto con compressa   centraleMEDICAZIONE:GESTIONE: Parametri vitali

Cateterismo vena ombelicale

  • 1.
    Cateterismo vena ombelicaleFM. Risso – R.SabatiniCVO: “dove, come, quando, perché”
  • 2.
  • 3.
    Dove/QuandoSala PartoRepartoAccesso vascolared’emergenza per infusione fluidi e terapie
  • 4.
    Dove/QuandoSala PartoRepartoAccesso vascolared’emergenza per infusione fluidi e terapieNeonati critici, che necessitano di farmaci inotropi, soluzioni ipertoniche o NPT per giorni
  • 5.
    Cateterismo vena ombelicaleCONTROINDICAZIONI Peritonite
  • 6.
  • 7.
  • 8.
    OnfaloceleComeCuffia, mascherina.cappae guanti steriliBacinella con soluzione antisettica Fenestrato trasparenteFettuccia per legare cordone ombelicaleSiringhe 10 mlfiale di acqua distillata e/o soluzione fisiologicaset di ferri specifico (forbice grande, forbice piccola, pinza di Kocher, due pinze piccole chirurgiche, pinza piccola anatomica, specillo, porta-aghi, filo di sutura con ago ricurvo 000, bisturi a lama retta monouso)
  • 9.
    Catetere Venoso OmbelicaleACCESSOVENOSO IN EMERGENZA/URGENZA : Exanguinotrasfusione
  • 10.
    Accessovasale d’urgenza
  • 11.
    Terapiainfusionale
  • 12.
    Misurazionedella PVC* Butler-O'Hara, M., et al., A randomized trial comparing long-term and short-term use of umbilical venous catheters in premature infants with birth weights of less than 1251 grams. Pediatrics, 2006. 118(1): p. e25-35. * Kim, J.H., et al., Does umbilical vein catheterization lead to portal venous thrombosis? Prospective US evaluation in 100 neonates. Radiology, 2001. 219(3): p. 645-50
  • 13.
    Come: Il catetereLumesingoloa.1 Ridurre superficie per potenziali trombi. a.2 La registrazione della pressione varierà in caso di occlusione del lume.Materiale flessibile che possa seguire l’andamento dei vasi. Parete relativamente rigidaScarsa capacità (minime quantità di sangue devono essere aspirate prima di un prelievo)Radio-opacoPunta liscia e arrotondata, materiale non trombogeno Catetere 3.5-Fr per neonatio di peso <1,200 g Catetere 5-Fr per neonati di peso >1,200 ghome
  • 14.
    IL CATETEREPOLYURETHANE CATHETERS1.Thermosensitive - softens at body temperature such that physical characteristics emulate silicone after placement.2. Slightly stiffer than silicone - easier to insert.3. Allows crisp arterial waveform.4. Higher tensile strength and less catheter elongation to provide more resistance to breaking if catheter is nicked.5. Supports triple-lumen patency in a small diameter catheter.SILICONE CATHETERS1. Ultimate biocompatible material - no plasticizers.2. Non-irritating to vessel walls to avoid phlebitis.3. Non-reactive to body tissues and body fluids, providing long-term product stability.4. Does not support bacterial growth.5. Non-thrombogenic - resists encrustation.6. Does not adhere to tissues – allows easy removal and avoids necrosis of injured cells.
  • 15.
    PREPARAZIONE INSERIMENTO CVOOPERATORESTERILEMATERIALE CVOCAMPO STERILE Procedura operativa CIO* O'Gorman CS. Insertion of umbilical arterial and venous catheters. Ir Med J. May 2005;98(5):151-3
  • 16.
    QuantoGraficoFormula[(Peso in Kg+ 3 +9) /2] + lunghezza moncone
  • 18.
    Cateterismo arteria ombelicalePRECAUZIONINon forzare il catetere se incontra una ostruzione .
  • 19.
    Evitare difar procedere il catetere una volta posizionato e fissato . (rischio infettivo)
  • 20.
    Non coprire ilmoncone ombelicale (sanguinamenti e/o dislocazioni )
  • 21.
    Eseguire semprecontrollo radiografico o ecografico della posizione del catetere..
  • 22.
    Evitare l’uso disoluzioni ipertoniche se la punta del catetere non è in vena cava inferiore
  • 23.
    Se nonè possibile passare il dotto venoso lasciare il catetere circa 2 cm dentro il piano cutaneo e valutare il ritorno ematico.
  • 24.
    Il CVO puòessere mantenuto per un tempo massimo di 14 giorni. Nei VLBW sarebbe preferibile rimuoverlo entro 7-8 giorniApplicare suzione lieve alla siringa.Se non vi è ritorno ematico vi può essere un coagulo sulla punta, quindi sfilare il catetere in aspirazione, rimuovere il cagulo e reinserire. Se vi è ritorno ematico, continuare ad inserire il catetere fino alla distanza stimata. Se il catetere incontra qualche ostruzione prima della distanza desiderata:Cause più comuniEntrato nel sistema portaleIncuneato in una branca intraepatica della vena ombelicaleRetrarre il catetere di 2-3 cm ruotarlo delicatamente e reinserirlo Se il catetere è nel circolo portale lasciare li il catetere; reinserire un altro 5–Fr nello stesso vaso. Una volta che il catetere è nella posizione giusta si sfila quello in porta. Questa procedura ha successo nel 50% dei casi.
  • 25.
    Cateterismo vena ombelicale- ComplicazioniInfezioniTromboemboliche. Se gli emboli sono infetti potranno causare numerosi ascessi. Catetere malposizionato nel cuore o nei vasi. Versamento pericardico/tamponamento cardiaco (perforazione cardiaca) Aritmie cardiacheCatetere malposizionato nel sistema portaleNECNecrosi epatica (trombosi delle vene epatiche o infusionedi soluzione ipertonica o vasospastivca nel tessuto epatico. Cisti epatiche
  • 26.
    CVO competenze infermieristicheMEDICAZIONE,procedura operativa: Preparazione del materiale sterile (guanti sterili, garze imbevute di SF e altre di iodopovidone) Procedere con la pulizia con SF dell’inserzione con movimenti rotatori centrifughi Ripetere per tre volte la stessa manovra con iodopovidone
  • 27.
    Lasciareagire per due minuti
  • 28.
    Ripulirecon Soluzione Fisiologica
  • 29.
    ApplicaremedicazioneChloraprep o betadine? Base di clorexidina o iodio? http://www.chloraprep.com/what-is-chloraprepRICERCHE SCIENTIFICHE* Centres for Disease Control. Linee guida per la prevenzione delle infezioni associate a catetere intravascolare. Giornale Italiano delle Infezioni Ospedaliere 2002; 9:110-37.* Procedura CIO
  • 30.
    CVO competenze infermieristichePrima medicazione cerotto con compressa centraleMEDICAZIONE:GESTIONE: Parametri vitali