ULTRASOUND ASSESSMENT OF
CAROTID ARTERY
INTRODUCTION
• Stroke -third leading cause of death and is a major cause of morbidity.
• Thus, the identification of patients with ICA stenoses of 60% to 70% is
clearly important for patient management, allowing appropriate
referral for carotid endarterectomy.
• Risk factors for disease at the carotid bifurcation include
atherosclerosis, hypertension, diabetes mellitus, hyperlipidemia,
hypercholesterolemia, obesity, and smoking.
TECHNICAL REQUIREMENTS
• Doppler ultrasound examination of the carotid arteries requires an ultrasound
machine with high-resolution gray-scale imaging as well as color Doppler and
spectral Doppler capability.
• A high-frequency 5- to 7.5-MHz linear array transducer should be used to
optimize spatial resolution.
• However, if the carotid arteries are too deep to visualize with the linear array
transducer in a patient with a short, thick neck, a lower frequency curved array
transducer may be necessary for adequate penetration.
Technique
Indications for a carotid ultrasound examination include
1. carotid bruit,
2. stroke,
3. transient ischemic attack,
4. syncope,
5. risk factors for atherosclerosis,
6. preoperative evaluation before major surgery,
7. follow-up for carotid endarterectomy or carotid stent placement,
and trauma.
Technique Description
• A complete ultrasound evaluation of the carotid arteries has three
components:
• (1) evaluation of plaque,
• (2) estimation of ICA stenosis by velocity criteria, and
• (3) waveform analysis.
• The examination begins with evaluation of plaque burden. Plaque
echotexture should be characterized as hypoechoic, heterogeneous,
or echogenic .
• The surface contour of the plaque should be described as smooth or
irregular ,and the percentage reduction of the arterial diameter by
the plaque should be estimated.
Protocol
• Longitudinal gray-scale and color or power Doppler images of the
proximal and distal CCA, bifurcation, bulb extending into the ICA, and bulb
extending into the ECA.
• Transverse gray-scale and color or power Doppler images of the proximal
and distal CCA, bulb, bifurcation, proximal ICA, and proximal ECA.
• Spectral Doppler tracings from the proximal CCA, distal CCA, proximal ICA,
mid ICA, distal ICA, proximal ECA, and mid vertebral artery.
• PSV is recorded for each segment, and end-diastolic velocity (EDV) is noted if it
is more than 100 cm/sec.
• The PSVR is calculated by dividing the highest PSV in the proximal ICA or area
of stenosis by the PSV in the distal CCA.
• PSV in the distal CCA should always be measured 2 to 3 cm proximal to the
level of the carotid bulb.
• Several measurements, optimally three, of PSV should be obtained and the
highest velocity recorded.
Normal Findings
• The normal carotid arteries have a thin, regular echogenic wall
without focal areas of calcification, intraluminal plaque, or thrombus.
• Color should fill the vessel lumen homogeneously with a slight central
increase in color intensity consistent with normal parabolic or laminar
flow.
• Where the carotid bulb widens, a helical blood flow pattern or
reversal of peripheral flow is a normal finding, particularly in younger
patients, and is believed to be due to boundary layer separation.
• The CCA, ICA, and ECA demonstrate distinct characteristic waveform
patterns.
• All segments of the extracranial carotid arteries normally demonstrate a
sharp systolic upstroke and thin spectral envelope, the amount of
diastolic flow varies in each vessel.
• The ECA, which supplies the muscular bed of the scalp, typically
demonstrates completely absent or very low velocity end-diastolic flow.
Although the amount of diastolic flow in the ECA may vary from patient
to patient, it should be symmetric right to left and less than the diastolic
flow in the ICA or CCA.
• An early diastolic notch followed by a short reversal of flow in early
diastole is often seen in the ECA.
• The ICA, which supplies blood to the brain (high oxygen consumption),
has a low-resistance waveform pattern with continuous forward,
relatively high velocity diastolic flow.
• The waveform of the CCA demonstrates an intermediate amount of
diastolic flow and often demonstrates a brief reversal of flow in early
diastole.
• The vertebral artery has a waveform pattern similar to that of the ICA,
characterized by a sharp systolic upstroke and continuous forward
diastolic flow.
> SHARP SYSYTOLIC UPSTROKE
> INTERMEDIATE AMOUNT
DIASTOLIC FLOW
> HIGH RESISTANCE
WAVEFORM
> SHARP SYSTOLIC
UPSTROKE
> LOW OR ABSENT
DIASTOLIC FLOW
> EARLY DIASTOLIC
NOTCH
> THIN SPECTRAL
ENVELOPE
> LOW RESISTENCE WAVEFORM
> BLUNTED SYSTOLIC PEAK
> HIGH DIASTOLIC FLOW
> WIDE SPECTRAL ENVELOPE
> WAVEFORM
PATTERN SIMILAR TO
ICA
• Differentiation of the ICA from the ECA is critically important to avoid
misinterpretation of a stenosis in the ECA as a more clinically significant ICA
stenosis.
• The best method of identifying the ECA is by visualization of branches arising
from the vessel .
• The ICA virtually never gives rise to branch vessels in the neck.
• Temporal tapping over the ophthalmic artery will generate sharp, spike-like
deflections in the waveform of the ECA during diastole
Grading Stenoses in the Internal Carotid Artery
• Because flow volume is a relative constant, PSV is inversely related to vessel
lumen diameter. Therefore, if the vessel diameter decreases, PSV must
increase to maintain flow volume.
• As demonstrated by the Spencer diagram, once the vessel diameter
decreases by more than 50%, PSV at the site of the stenosis rises
exponentially, and this compensatory increase in PSV maintains flow volume
until the stenosis reaches approximately 70%.
The SRU convened a multidisciplinary panel of experts, including both
radiologists and vascular surgeons, to develop a consensus for grading of ICA
stenoses by Doppler ultrasonography. The published recommendations of this
consensus conference are as follows:
• PSV < 125 cm/sec and PSVR < 2.0 suggest a stenosis < 50%
• PSV between 125 and 230 cm/sec and PSVR between 2.0 and 4.0 are most
consistent with a stenosis of 50% to 69%
• PSV > 230 cm/sec, PSVR > 4.0, and EDV > 100 cm/sec indicate a stenosis of
≥70% to 96%
PSV- 195 CM/SEC PSV-96CM/SEC
PSV-305 CM/SEC PSV-85 CM/SEC
Pitfalls: Technique
• Incorrect Choice of Doppler Angle
• Incorrect Gain
PSV-131CM/SEC PSV-190CM/SEC PSV-266CM/SEC
Pitfalls: Pathology
• Tortuous Carotid Artery
When the carotid arteries are tortuous, most commonly in elderly patients,
PSV can be elevated without an underlying stenosis.
This is due in part to a true increase in PSV as the blood accelerates around
the curves but is also likely due to difficulty in assigning a correct Doppler
angle along the curved vessel, which results in an overestimation of PSV
due to incorrect Doppler angle
Long-Segment or Synchronous Involvement
Coexistent disease in the carotid arteries will also make PSV Doppler criteria less
reliable.
Synchronous disease in the CCA, or tandem lesions, will result in a decrease in
PSV for a given percentage stenosis in the ICA.
Hence, the entire CCA and ICA must be evaluated, not just the carotid
bifurcation.
Most ICA stenoses are less than 2 cm in length. However, if a stenosis is
unusually long (>2 cm), PSV often drops (possibly because of increased in-flow
resistance), although diastolic velocity may remain high.
Prior radiation therapy, carotid dissection, arteritis, or fibromuscular dysplasia should be
considered when a long-segment stenosis is noted.
• Contralateral Carotid Disease
A high-grade carotid stenosis or occlusion will increase PSV in the
contralateral side, especially at the site of a stenosis.
Hence, if the PSV seems more elevated than one would expect given the
amount of visualized plaque and if the vessel is not tortuous, one should be
suspicious of contralateral disease.
ULTRASOUND ASSESSMENT OF PLAQUE
• Ultrasound evaluation of plaque requires gray-scale and color Doppler imaging in
both longitudinal and transverse planes.
• Such images can be used to estimate percentage diameter reduction by plaque and
correlated with PSV measurements.
• In addition, the echotexture and surface contour of the plaque should be
assessed.
• Plaque should be characterized as hypoechoic or echogenic with either a smooth
or irregular surface.
• Prospective studies have shown that hypoechoic, irregular plaque is associated
with an increased risk of neurologic events and increased rate of plaque
progression.
WAVEFORM ANALYSIS OF THE CAROTID ARTERIES
Abnormalities of the Systolic Peak:
1) Parvus Tardus Waveform:
The parvus tardus waveform is characterized by decreased PSV and a
delayed, more horizontal systolic upstroke with rounding or blunting of
the systolic peak.
The parvus tardus waveform phenomenon becomes more pronounced the
more distal to the stenosis that the vessel is sampled. Hence, it is
important to sample the ICA as distally as possible.
THIS 79-YEAR-OLD WOMAN HAS SEVERE AORTIC STENOSIS
2) Pulsus Bisferiens Waveform:
Rarely, two systolic peaks of similar velocity with an interposed midsystolic
retraction or deceleration may be observed .
This has been termed pulsus bisferiens (Latin, “beat twice”).
Whereas this has been described in the literature as most commonly
associated with aortic regurgitation (particularly if it coexists with aortic
stenosis) and hypertrophic cardiomyopathy
3) Pulsus Alternans Waveform:
Alternating systolic velocity peaks, pulsus alternans, may be very rarely
observed.
The cause of this phenomenon is not known. However, intrinsic myocardial
disease, hypocalcemia, and impairment of venous return have been
postulated as possible causes
THIS 69-YEAR-OLD MAN WITH HISTORY OF ATRIAL FIBRILLATION, GLOBAL
HYPOKINESIS, AND EJECTION FRACTION OF 30%.
Abnormalities of Diastolic Flow
• The normal ECA demonstrates a characteristic high-resistance waveform
pattern with little or no diastolic flow and an early diastolic notch.
• Although the amount of diastolic flow may vary from individual to individual,
the diastolic flow pattern should be symmetric right to left in the same
individual.
• When the ipsilateral ICA is occluded, “internalization” of the ECA may occur,
and a lower resistance waveform pattern with increased diastolic flow and
asymmetric to the contralateral ECA may be observed.
• A high-resistance waveform pattern with diminished, absent, or reversed
diastolic flow is an abnormal finding in the CCA or ICA suggestive of
increased peripheral vascular resistance or a distal vascular occlusion or
high-grade stenosis.
• When PSV is significantly reduced, this appearance has been described as a
“knocking” waveform pattern.
• Bilateral high-resistance waveform patterns in the ICAs may indicate
increased intracranial pressure, diffuse intracerebral vasospasm, or arteritis
Abnormal Waveform Patterns Involving the Entire
Cardiac Cycle
1) Carotid Dissection:
In patients with carotid dissection, an echogenic intraluminal flap may
be observed on longitudinal or transverse gray-scale images .
The spectral Doppler waveform pattern is highly variable, probably
related to the length of the dissection, diameter of the lumen,
fenestration of the dissection flap, coexisting involvement of aortic
dissection, and whether the true or false lumen is sampled
2) Carotid Pseudoaneurysm:
• occur most commonly in the CCAs as a result of inadvertent needle sticks
during attempts to place an internal jugular central line.
• May also occur in the setting of other forms of penetrating trauma (including
drug abuse), blunt trauma, infection, cystic medial necrosis, invasion of the
carotid artery by malignant neoplasm, and after carotid endarterectomy.
• On gray-scale and color Doppler imaging, pseudoaneurysms are easily
recognized as an outpouching from the carotid artery.
50-YEAR-OLD MAN WITH NECK SWELLING AFTER PLACEMENT OF A CENTRAL LINE
REPRESENTING A LARGELY THROMBOSED PSEUDOANEURYSM
3) Arteriovenous Fistula:
Arteriovenous fistulas involving the carotid arteries typically occur secondary to
trauma or malignant invasion.
Color Doppler interrogation may demonstrate the connection between the
artery and the vein.
Color aliasing due to high-velocity flow within the arteriovenous fistula may be
observed, and a color bruit due to tissue reverberation secondary to the high-
velocity flow may be seen in the surrounding soft tissues.
46-YEAR-OLD WOMAN WITH RIGHT UPPER EXTREMITY SWELLING AFTER
ATTEMPTED CENTRAL LINE PLACEMENT
CONCLUSION
• Highly accurate, readily accessible, inexpensive, and noninvasive method of
diagnosis of high-grade (>70%) stenosis of the ICA.
• Provide morphologic information similar to an angiogram unless the image is
degraded by shadowing from calcified plaque.
• Important for identification of hypoechoic or irregular plaque, which is believed to
progress more rapidly and to pose an increased risk of thromboembolic events.
• To avoid pitfalls in the estimation of ICA stenoses, PSV criteria should always be
correlated with the gray-scale images and analysis of the spectral waveforms
THANK YOU

Carotid doppler

  • 1.
  • 2.
    INTRODUCTION • Stroke -thirdleading cause of death and is a major cause of morbidity. • Thus, the identification of patients with ICA stenoses of 60% to 70% is clearly important for patient management, allowing appropriate referral for carotid endarterectomy. • Risk factors for disease at the carotid bifurcation include atherosclerosis, hypertension, diabetes mellitus, hyperlipidemia, hypercholesterolemia, obesity, and smoking.
  • 4.
    TECHNICAL REQUIREMENTS • Dopplerultrasound examination of the carotid arteries requires an ultrasound machine with high-resolution gray-scale imaging as well as color Doppler and spectral Doppler capability. • A high-frequency 5- to 7.5-MHz linear array transducer should be used to optimize spatial resolution. • However, if the carotid arteries are too deep to visualize with the linear array transducer in a patient with a short, thick neck, a lower frequency curved array transducer may be necessary for adequate penetration.
  • 5.
    Technique Indications for acarotid ultrasound examination include 1. carotid bruit, 2. stroke, 3. transient ischemic attack, 4. syncope, 5. risk factors for atherosclerosis, 6. preoperative evaluation before major surgery, 7. follow-up for carotid endarterectomy or carotid stent placement, and trauma.
  • 6.
    Technique Description • Acomplete ultrasound evaluation of the carotid arteries has three components: • (1) evaluation of plaque, • (2) estimation of ICA stenosis by velocity criteria, and • (3) waveform analysis.
  • 7.
    • The examinationbegins with evaluation of plaque burden. Plaque echotexture should be characterized as hypoechoic, heterogeneous, or echogenic . • The surface contour of the plaque should be described as smooth or irregular ,and the percentage reduction of the arterial diameter by the plaque should be estimated.
  • 10.
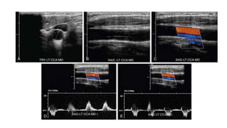
    Protocol • Longitudinal gray-scaleand color or power Doppler images of the proximal and distal CCA, bifurcation, bulb extending into the ICA, and bulb extending into the ECA. • Transverse gray-scale and color or power Doppler images of the proximal and distal CCA, bulb, bifurcation, proximal ICA, and proximal ECA. • Spectral Doppler tracings from the proximal CCA, distal CCA, proximal ICA, mid ICA, distal ICA, proximal ECA, and mid vertebral artery.
  • 11.
    • PSV isrecorded for each segment, and end-diastolic velocity (EDV) is noted if it is more than 100 cm/sec. • The PSVR is calculated by dividing the highest PSV in the proximal ICA or area of stenosis by the PSV in the distal CCA. • PSV in the distal CCA should always be measured 2 to 3 cm proximal to the level of the carotid bulb. • Several measurements, optimally three, of PSV should be obtained and the highest velocity recorded.
  • 12.
    Normal Findings • Thenormal carotid arteries have a thin, regular echogenic wall without focal areas of calcification, intraluminal plaque, or thrombus. • Color should fill the vessel lumen homogeneously with a slight central increase in color intensity consistent with normal parabolic or laminar flow. • Where the carotid bulb widens, a helical blood flow pattern or reversal of peripheral flow is a normal finding, particularly in younger patients, and is believed to be due to boundary layer separation.
  • 13.
    • The CCA,ICA, and ECA demonstrate distinct characteristic waveform patterns. • All segments of the extracranial carotid arteries normally demonstrate a sharp systolic upstroke and thin spectral envelope, the amount of diastolic flow varies in each vessel. • The ECA, which supplies the muscular bed of the scalp, typically demonstrates completely absent or very low velocity end-diastolic flow. Although the amount of diastolic flow in the ECA may vary from patient to patient, it should be symmetric right to left and less than the diastolic flow in the ICA or CCA. • An early diastolic notch followed by a short reversal of flow in early diastole is often seen in the ECA.
  • 14.
    • The ICA,which supplies blood to the brain (high oxygen consumption), has a low-resistance waveform pattern with continuous forward, relatively high velocity diastolic flow. • The waveform of the CCA demonstrates an intermediate amount of diastolic flow and often demonstrates a brief reversal of flow in early diastole. • The vertebral artery has a waveform pattern similar to that of the ICA, characterized by a sharp systolic upstroke and continuous forward diastolic flow.
  • 15.
    > SHARP SYSYTOLICUPSTROKE > INTERMEDIATE AMOUNT DIASTOLIC FLOW > HIGH RESISTANCE WAVEFORM > SHARP SYSTOLIC UPSTROKE > LOW OR ABSENT DIASTOLIC FLOW > EARLY DIASTOLIC NOTCH > THIN SPECTRAL ENVELOPE
  • 16.
    > LOW RESISTENCEWAVEFORM > BLUNTED SYSTOLIC PEAK > HIGH DIASTOLIC FLOW > WIDE SPECTRAL ENVELOPE > WAVEFORM PATTERN SIMILAR TO ICA
  • 21.
    • Differentiation ofthe ICA from the ECA is critically important to avoid misinterpretation of a stenosis in the ECA as a more clinically significant ICA stenosis. • The best method of identifying the ECA is by visualization of branches arising from the vessel . • The ICA virtually never gives rise to branch vessels in the neck. • Temporal tapping over the ophthalmic artery will generate sharp, spike-like deflections in the waveform of the ECA during diastole
  • 23.
    Grading Stenoses inthe Internal Carotid Artery • Because flow volume is a relative constant, PSV is inversely related to vessel lumen diameter. Therefore, if the vessel diameter decreases, PSV must increase to maintain flow volume. • As demonstrated by the Spencer diagram, once the vessel diameter decreases by more than 50%, PSV at the site of the stenosis rises exponentially, and this compensatory increase in PSV maintains flow volume until the stenosis reaches approximately 70%.
  • 24.
    The SRU conveneda multidisciplinary panel of experts, including both radiologists and vascular surgeons, to develop a consensus for grading of ICA stenoses by Doppler ultrasonography. The published recommendations of this consensus conference are as follows: • PSV < 125 cm/sec and PSVR < 2.0 suggest a stenosis < 50% • PSV between 125 and 230 cm/sec and PSVR between 2.0 and 4.0 are most consistent with a stenosis of 50% to 69% • PSV > 230 cm/sec, PSVR > 4.0, and EDV > 100 cm/sec indicate a stenosis of ≥70% to 96%
  • 25.
    PSV- 195 CM/SECPSV-96CM/SEC
  • 26.
  • 28.
    Pitfalls: Technique • IncorrectChoice of Doppler Angle • Incorrect Gain
  • 29.
  • 31.
    Pitfalls: Pathology • TortuousCarotid Artery When the carotid arteries are tortuous, most commonly in elderly patients, PSV can be elevated without an underlying stenosis. This is due in part to a true increase in PSV as the blood accelerates around the curves but is also likely due to difficulty in assigning a correct Doppler angle along the curved vessel, which results in an overestimation of PSV due to incorrect Doppler angle
  • 33.
    Long-Segment or SynchronousInvolvement Coexistent disease in the carotid arteries will also make PSV Doppler criteria less reliable. Synchronous disease in the CCA, or tandem lesions, will result in a decrease in PSV for a given percentage stenosis in the ICA. Hence, the entire CCA and ICA must be evaluated, not just the carotid bifurcation. Most ICA stenoses are less than 2 cm in length. However, if a stenosis is unusually long (>2 cm), PSV often drops (possibly because of increased in-flow resistance), although diastolic velocity may remain high.
  • 34.
    Prior radiation therapy,carotid dissection, arteritis, or fibromuscular dysplasia should be considered when a long-segment stenosis is noted.
  • 35.
    • Contralateral CarotidDisease A high-grade carotid stenosis or occlusion will increase PSV in the contralateral side, especially at the site of a stenosis. Hence, if the PSV seems more elevated than one would expect given the amount of visualized plaque and if the vessel is not tortuous, one should be suspicious of contralateral disease.
  • 37.
    ULTRASOUND ASSESSMENT OFPLAQUE • Ultrasound evaluation of plaque requires gray-scale and color Doppler imaging in both longitudinal and transverse planes. • Such images can be used to estimate percentage diameter reduction by plaque and correlated with PSV measurements. • In addition, the echotexture and surface contour of the plaque should be assessed. • Plaque should be characterized as hypoechoic or echogenic with either a smooth or irregular surface. • Prospective studies have shown that hypoechoic, irregular plaque is associated with an increased risk of neurologic events and increased rate of plaque progression.
  • 41.
    WAVEFORM ANALYSIS OFTHE CAROTID ARTERIES Abnormalities of the Systolic Peak: 1) Parvus Tardus Waveform: The parvus tardus waveform is characterized by decreased PSV and a delayed, more horizontal systolic upstroke with rounding or blunting of the systolic peak. The parvus tardus waveform phenomenon becomes more pronounced the more distal to the stenosis that the vessel is sampled. Hence, it is important to sample the ICA as distally as possible.
  • 42.
    THIS 79-YEAR-OLD WOMANHAS SEVERE AORTIC STENOSIS
  • 43.
    2) Pulsus BisferiensWaveform: Rarely, two systolic peaks of similar velocity with an interposed midsystolic retraction or deceleration may be observed . This has been termed pulsus bisferiens (Latin, “beat twice”). Whereas this has been described in the literature as most commonly associated with aortic regurgitation (particularly if it coexists with aortic stenosis) and hypertrophic cardiomyopathy
  • 45.
    3) Pulsus AlternansWaveform: Alternating systolic velocity peaks, pulsus alternans, may be very rarely observed. The cause of this phenomenon is not known. However, intrinsic myocardial disease, hypocalcemia, and impairment of venous return have been postulated as possible causes
  • 46.
    THIS 69-YEAR-OLD MANWITH HISTORY OF ATRIAL FIBRILLATION, GLOBAL HYPOKINESIS, AND EJECTION FRACTION OF 30%.
  • 47.
    Abnormalities of DiastolicFlow • The normal ECA demonstrates a characteristic high-resistance waveform pattern with little or no diastolic flow and an early diastolic notch. • Although the amount of diastolic flow may vary from individual to individual, the diastolic flow pattern should be symmetric right to left in the same individual. • When the ipsilateral ICA is occluded, “internalization” of the ECA may occur, and a lower resistance waveform pattern with increased diastolic flow and asymmetric to the contralateral ECA may be observed.
  • 49.
    • A high-resistancewaveform pattern with diminished, absent, or reversed diastolic flow is an abnormal finding in the CCA or ICA suggestive of increased peripheral vascular resistance or a distal vascular occlusion or high-grade stenosis. • When PSV is significantly reduced, this appearance has been described as a “knocking” waveform pattern. • Bilateral high-resistance waveform patterns in the ICAs may indicate increased intracranial pressure, diffuse intracerebral vasospasm, or arteritis
  • 51.
    Abnormal Waveform PatternsInvolving the Entire Cardiac Cycle 1) Carotid Dissection: In patients with carotid dissection, an echogenic intraluminal flap may be observed on longitudinal or transverse gray-scale images . The spectral Doppler waveform pattern is highly variable, probably related to the length of the dissection, diameter of the lumen, fenestration of the dissection flap, coexisting involvement of aortic dissection, and whether the true or false lumen is sampled
  • 53.
    2) Carotid Pseudoaneurysm: •occur most commonly in the CCAs as a result of inadvertent needle sticks during attempts to place an internal jugular central line. • May also occur in the setting of other forms of penetrating trauma (including drug abuse), blunt trauma, infection, cystic medial necrosis, invasion of the carotid artery by malignant neoplasm, and after carotid endarterectomy. • On gray-scale and color Doppler imaging, pseudoaneurysms are easily recognized as an outpouching from the carotid artery.
  • 54.
    50-YEAR-OLD MAN WITHNECK SWELLING AFTER PLACEMENT OF A CENTRAL LINE REPRESENTING A LARGELY THROMBOSED PSEUDOANEURYSM
  • 55.
    3) Arteriovenous Fistula: Arteriovenousfistulas involving the carotid arteries typically occur secondary to trauma or malignant invasion. Color Doppler interrogation may demonstrate the connection between the artery and the vein. Color aliasing due to high-velocity flow within the arteriovenous fistula may be observed, and a color bruit due to tissue reverberation secondary to the high- velocity flow may be seen in the surrounding soft tissues.
  • 56.
    46-YEAR-OLD WOMAN WITHRIGHT UPPER EXTREMITY SWELLING AFTER ATTEMPTED CENTRAL LINE PLACEMENT
  • 57.
    CONCLUSION • Highly accurate,readily accessible, inexpensive, and noninvasive method of diagnosis of high-grade (>70%) stenosis of the ICA. • Provide morphologic information similar to an angiogram unless the image is degraded by shadowing from calcified plaque. • Important for identification of hypoechoic or irregular plaque, which is believed to progress more rapidly and to pose an increased risk of thromboembolic events. • To avoid pitfalls in the estimation of ICA stenoses, PSV criteria should always be correlated with the gray-scale images and analysis of the spectral waveforms
  • 58.

Editor's Notes

  • #9 Carotid plaque: echotexture. A, Color Doppler image demonstrating a large amount of homogeneous hypoechoic plaque causing a “string sign” (arrow) in the left ICA. B, Note focal hypoechoic area (arrow) within a heterogeneous plaque in the left carotid bulb. C, Note homogeneous echogenic shadowing plaque (arrows) in the proximal right ICA. D, Color Doppler image demonstrating homogeneous echogenic shadowing plaque (arrows) in the left proximal ICA.
  • #19 Normal spectral Doppler tracing of the internal carotid artery. Note that in comparison to the ECA, there is increased diastolic flow, the systolic peak is slightly blunted, and the spectral envelope is slightly widened in the ICA. The systolic upstroke is sharp, and velocity gradually tapers during diastole.
  • #20 Normal spectral tracing of the common carotid artery. The systolic upstroke is sharp in the CCA, and there is an intermediate amount of diastolic flow in comparison to the ICA and ECA. An early diastolic notch may be present, but it is less pronounced than in the ECA
  • #21 Normal spectral tracing of the vertebral artery. The waveform of the normal vertebral artery is similar to the waveform of the ICA
  • #26 reveals echogenic plaque and a stenosis at the origin of the right ICA. Note color mosaic just distal to the narrowing of the vessel lumen indicative of increased velocity of flow in the post-stenotic jet
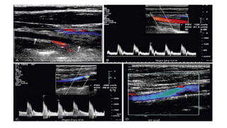
  • #30 The angle of spectral Doppler insonation should be kept between 45 and 60 degrees to minimize error in the calculation of velocity from the Doppler frequency shift. When the Doppler angle (yellow circles) is 44 degrees (A), PSV is calculated at 131 cm/sec. However, with a Doppler angle of 60 degrees (B), PSV is 190 cm/sec; and when the Doppler angle is 70 degrees (C), PSV is calculated at 266 cm/sec. Thus, an incorrect Doppler angle or variations in Doppler angle from examination to examination can introduce significant error into the measurement of PSV.
  • #33 Tortuous ICA. A, Color Doppler image demonstrates a tortuous right ICA. B, Duplex Doppler tracing demonstrates a PSV of 186 cm/sec. By SRU criteria, this corresponds to a 50% to 69% stenosis. However, no stenosis was noted on gray-scale or color Doppler imaging. Increased PSV is due to tortuosity of the vessel.
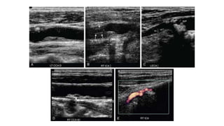
  • #37 A, Longitudinal color Doppler image reveals that the left proximal CCA (arrows) is occluded. B, PSV is elevated in the mid right CCA (129 cm/sec) and was even more elevated proximally (160 cm/sec; not shown). C, PSV is 269 cm/sec in the right ICA. By SRU criteria, this corresponds to a stenosis of more than 70%. However, on color Doppler imaging (D), there is only a small amount of plaque noted (arrow) in the right ICA consistent with a stenosis of less than 50%. Furthermore, PSVR is approximately 2 : 1, which corresponds to a stenosis of only 50%. PSV is artificially elevated in the right CCA and ICA because of the occlusion of the left CCA.
  • #39  Hypoechoic plaque. A, Longitudinal gray-scale image does not demonstrate the hypoechoic plaque in the left carotid bulb. B, However, the hypoechoic plaque (arrow) is clearly outlined by color flow on the color Doppler image.
  • #40 Irregular plaque. Longitudinal gray-scale (A) and color Doppler (B) images of the left carotid bulb demonstrate flow (arrow) undermining a focus of echogenic, shadowing plaque.
  • #41 Ulcerated plaque. Gray-scale (A) and color Doppler (B) images demonstrating a divot or pit (arrow) within a large area of echogenic plaque with an irregular surface. This probably represents an ulcer.
  • #43 Aortic stenosis. Note tardus parvus waveform on spectral tracings of the right CCA (A), left CCA (B) decreased PSV and a delayed, more horizontal systolic upstroke with rounding or blunting of the systolic peak. , and left vertebral artery (C). The delay in systolic acceleration is even more pronounced in the right (D) and left (E) ICAs. This 79-year-old woman has severe aortic stenosis with a mean aortic valve gradient of 58 mm Hg and valve area of 0.73 cm.
  • #45 Bisferiens waveform. Note prominent midsystolic retraction (arrow) and two systolic peaks. This young patient has neither aortic regurgitation nor known cardiomyopathy. The bisferiens waveform may not be visualized in all vessels and may be visualized only intermittently in some patients.
  • #47  Note oscillating peak systolic velocities in The patient had a middle cerebral artery infarct.
  • #49 Internalization of the ECA. Color Doppler image (A) from an 83-year-old woman presenting with a stroke demonstrates no evidence of blood flow in the right ICA. Spectral Doppler tracing of the right ECA (B) demonstrates increased diastolic flow in comparison to the left ECA (C). This phenomenon is termed internalization of the ECA.
  • #51  Increased intracranial pressure. A, Spectral tracing of the right ICA from a 75-year-old woman with a large right hemispheric stroke reveals a knocking waveform with decreased PSV (24 cm/sec) and absent end-diastolic flow. B, Longitudinal color Doppler image demonstrates that the right ICA is widely patent. Magnetic resonance angiography (not shown) demonstrated occlusion of the right middle cerebral artery. Duplex Doppler interrogation reveals markedly reduced flow, both systolic and diastolic, in the left ICA (C), which was widely patent. Note that there is actually more diastolic flow in the left ECA (D) than in the ICA. These findings are due to increased intracranial pressure from the large right middle cerebral artery stroke. Axial CT images of the brain reveal both transtentorial (E) and uncal (F) herniation as well as the large middle cerebral artery stroke. Note midline shift and compression of the left lateral ventricle as well as obliteration of the right lateral ventricle (E).
  • #53  Carotid dissection. Transverse (A) and longitudinal (B) gray-scale images of the left mid CCA from a 36-year-old man with Marfan syndrome and a type A aortic dissection reveal a thin dissection flap. C, Longitudinal color Doppler image reveals flow in the true lumen (red) and reversed flow in the false lumen (blue). D, Spectral Doppler tracing from the true lumen demonstrates a slight delay in systolic upstroke and reduced diastolic flow. E, The waveform in the false lumen is extremely irregular, and flow direction is reversed.
  • #55 Pseudoaneurysm of the common carotid artery. A, Gray-scale image of the left neck from a reveals a mass (cursors). B, Color Doppler image demonstrates the neck arising from the CCA with a small focus of color aliasing (long arrow) indicating increased velocity. There is a small amount of flow (short arrows) with a yin-yang pattern at the base of the pseudoaneurysm. C, Spectral tracing from the neck of the pseudoaneurysm reveals a classic to-and-fro waveform pattern above the baseline in systole and below the baseline in diastole.
  • #57 Common carotid artery to internal jugular fistula. Sagittal (A) and transverse (B) color Doppler images from a demonstrate a connection (arteriovenous fistula, arrow) between the right internal jugular vein (red) and CCA (blue). C, Spectral Doppler tracing from the right internal jugular vein reveals pulsatile flow.